JavaScript is disabled in your browser. Please enable JavaScript to view this website.
AB227497

Anti-STAT6 antibody

Be the first to review this product! Submit a review

|

(2 Publications)

Rabbit Polyclonal STAT6 antibody. Suitable for IP, IHC-P, WB, ICC/IF and reacts with Human samples. Cited in 2 publications. Immunogen corresponding to Recombinant Fragment Protein within Human STAT6.

View Alternative Names

Signal transducer and activator of transcription 6, IL-4 Stat, STAT6

3 Images
Immunocytochemistry/ Immunofluorescence - Anti-STAT6 antibody (AB227497)
  • ICC/IF

Supplier Data

Immunocytochemistry/ Immunofluorescence - Anti-STAT6 antibody (AB227497)

Immunofluorescence analysis of HeLa cells fixed in 4% paraformaldehyde at RT for 15 min labelling STAT6 protein at cytoplasm and nucleus using ab227497 at a 1/500 dilution (Green). Hoechst 33342 was used for nuclear staining (Blue).

Immunoprecipitation - Anti-STAT6 antibody (AB227497)
  • IP

Supplier Data

Immunoprecipitation - Anti-STAT6 antibody (AB227497)

STAT6 was immunoprecipitated from HeLa (human epithelial cell line from cervix adenocarcinoma) whole cell lysate with 2 μg ab227497. Western blot was performed from the immunoprecipitate using ab227497. Anti-Rabbit IgG was used as a secondary reagent.

Lane 1 : HeLa whole cell lysate 50 μg.

Lane 2 : Control IP in HeLa whole cell lysate with 2 μg of preimmune rabbit IgG.

Lane 3 : ab227497 IP in HeLa whole cell lysate.

10% SDS-PAGE gel.

All lanes:

Immunoprecipitation - Anti-STAT6 antibody (ab227497)

Predicted band size: 94 kDa

false

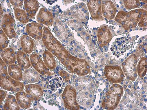
Immunohistochemistry (Formalin/PFA-fixed paraffin-embedded sections) - Anti-STAT6 antibody (AB227497)
  • IHC-P

Supplier Data

Immunohistochemistry (Formalin/PFA-fixed paraffin-embedded sections) - Anti-STAT6 antibody (AB227497)

Paraffin-embedded mouse kidney tissue stained for STAT6 using ab227497 at 1/500 dilution in immunohistochemical analysis.

Key facts

Host species

Rabbit

Clonality

Polyclonal

Isotype

IgG

Carrier free

No

Reacts with

Human

Applications

ICC/IF, IP, IHC-P, WB

applications

Immunogen

Recombinant Fragment Protein within Human STAT6. The exact immunogen used to generate this antibody is proprietary information.

P42226

Reactivity data

{ "title": "Reactivity Data", "filters": { "stats": ["", "Species", "Dilution Info", "Notes"], "tabs": { "all-applications": {"fullname" : "All Applications", "shortname": "All Applications"}, "IP" : {"fullname" : "Immunoprecipitation", "shortname":"IP"}, "IHCP" : {"fullname" : "Immunohistochemistry (Formalin/PFA-fixed paraffin-embedded sections)", "shortname":"IHC-P"}, "WB" : {"fullname" : "Western blot", "shortname":"WB"}, "ICCIF" : {"fullname" : "Immunocytochemistry/ Immunofluorescence", "shortname":"ICC/IF"} }, "product-promise": { "all": "all", "testedAndGuaranteed": "tested", "guaranteed": "expected", "predicted": "predicted", "notRecommended": "not-recommended" } }, "values": { "Human": { "IP-species-checked": "testedAndGuaranteed", "IP-species-dilution-info": "1/500 - 1/1000", "IP-species-notes": "<p></p>", "IHCP-species-checked": "testedAndGuaranteed", "IHCP-species-dilution-info": "1/100 - 1/1000", "IHCP-species-notes": "<p></p>", "WB-species-checked": "guaranteed", "WB-species-dilution-info": "1/500 - 1/3000", "WB-species-notes": "<p></p>", "ICCIF-species-checked": "testedAndGuaranteed", "ICCIF-species-dilution-info": "", "ICCIF-species-notes": "<p></p>" }, "Pig": { "IP-species-checked": "predicted", "IP-species-dilution-info": "", "IP-species-notes": "", "IHCP-species-checked": "predicted", "IHCP-species-dilution-info": "", "IHCP-species-notes": "", "WB-species-checked": "predicted", "WB-species-dilution-info": "", "WB-species-notes": "", "ICCIF-species-checked": "predicted", "ICCIF-species-dilution-info": "", "ICCIF-species-notes": "" }, "Rhesus monkey": { "IP-species-checked": "predicted", "IP-species-dilution-info": "", "IP-species-notes": "", "IHCP-species-checked": "predicted", "IHCP-species-dilution-info": "", "IHCP-species-notes": "", "WB-species-checked": "predicted", "WB-species-dilution-info": "", "WB-species-notes": "", "ICCIF-species-checked": "predicted", "ICCIF-species-dilution-info": "", "ICCIF-species-notes": "" } } }

Properties and storage information

Form
Liquid
Purification technique
Affinity purification Immunogen
Storage buffer
pH: 7 Preservative: 0.025% Proclin 300 Constituents: PBS, 20% Glycerol (glycerin, glycerine), 1% BSA
Shipped at conditions
Blue Ice
Appropriate short-term storage duration
1-2 weeks
Appropriate short-term storage conditions
+4°C
Appropriate long-term storage conditions
-20°C
Aliquoting information
Upon delivery aliquot
Storage information
Avoid freeze / thaw cycle

Supplementary information

This supplementary information is collated from multiple sources and compiled automatically.

STAT6 also known as Signal Transducer and Activator of Transcription 6 is a transcription factor with a mass of around 94 kDa. This protein is an important component in the signaling pathways that respond to cytokines especially those of the IL-4 and IL-13 receptors. STAT6 mainly expresses in immune cells including T cells B cells and macrophages. It exists in the cytoplasm until the cytokine stimulation prompts its phosphorylation and translocation to the nucleus where it influences gene expression.
Biological function summary

STAT6 plays a central role in the development and function of Th2 cells a subset of T helper cells. The protein controls genes linked to the immune response and inflammation such as IL-4 and IL-13 by binding to specific DNA sequences as part of the transcriptional complex. These processes are critical for antibody class switching in B cells and also for regulating the differentiation of T cells which are processes important in defending against parasitic infections and are linked to allergies.

Pathways

STAT6 functions mainly in the JAK-STAT signaling pathway a pathway important for transmitting information from chemical signals outside cells to the cell nucleus resulting in DNA transcription. Within this pathway STAT6 works closely with JAK1 and JAK3 kinases which phosphorylate STAT6 enabling its activation. The protein also connects with other members of the STAT family like STAT1 and STAT3 during overlapping signaling processes.

STAT6 has associations with asthma and certain types of cancer such as colorectal cancer. In asthma STAT6 influences the production of IgE and eosinophilic inflammation often connected to allergic responses. Meanwhile STAT6 promotes tumorigenesis in some cancers by regulating genes responsible for cell survival and proliferation. It connects with proteins like IL-4 and IL-13 in these disorders which suggests potential therapeutic targets for treatment.

Product protocols

For this product, it's our understanding that no specific protocols are required. You can visit:

Target data

Carries out a dual function : signal transduction and activation of transcription. Involved in IL4/interleukin-4- and IL3/interleukin-3-mediated signaling.
See full target information STAT6

Publications (2)

Recent publications for all applications. Explore the full list and refine your search

Clinical and translational medicine 14:e1811 PubMed39175405

2024

PUS7-dependent pseudouridylation of ALKBH3 mRNA inhibits gastric cancer progression.

Applications

Unspecified application

Species

Unspecified reactive species

Yongxia Chang,Hao Jin,Yun Cui,Feng Yang,Kanghua Chen,Wenjun Kuang,Chunxiao Huo,Zhangqi Xu,Ya Li,Aifu Lin,Bo Yang,Wei Liu,Shanshan Xie,Tianhua Zhou

Oncology reports 42:2806-2813 PubMed31578589

2019

Follistatin‑like protein 1 knockdown elicits human gastric cancer cell apoptosis via a STAT6‑dependent pathway.

Applications

Unspecified application

Species

Unspecified reactive species

Xingang Peng,Peige Wang,Shikuan Li,Yingjun Jiang,Changliang Wu
View all publications

Product promise

We are committed to supporting your work with high-quality reagents, and we're here for you every step of the way. In the unlikely event that one of our products does not perform as expected, you're protected by our Product Promise.
For full details, please see our Terms & Conditions

Please note: All products are 'FOR RESEARCH USE ONLY. NOT FOR USE IN DIAGNOSTIC OR THERAPEUTIC PROCEDURES'.

For licensing inquiries, please contact partnerships@abcam.com