JavaScript is disabled in your browser. Please enable JavaScript to view this website.
AB221017

Anti-Stathmin 1 antibody [EP1573Y] - BSA and Azide free

5

(1 Review)

|

(7 Publications)

Rabbit Recombinant Monoclonal Stathmin 1 antibody. Carrier free. Suitable for IP, WB, ICC/IF, Flow Cyt (Intra), IHC-P and reacts with Human, Mouse, Rat samples. Cited in 7 publications.

View Alternative Names

C1orf215, LAP18, OP18, STMN1, Stathmin, Leukemia-associated phosphoprotein p18, Metablastin, Oncoprotein 18, Phosphoprotein p19, Prosolin, Protein Pr22, pp17, Op18, pp19

10 Images
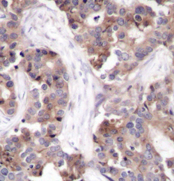
Immunohistochemistry (Formalin/PFA-fixed paraffin-embedded sections) - Anti-Stathmin 1 antibody [EP1573Y] - BSA and Azide free (AB221017)
  • IHC-P

Unknown

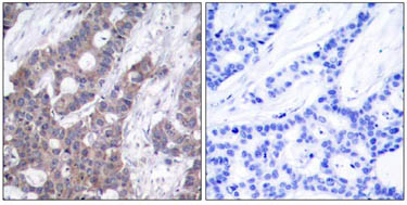
Immunohistochemistry (Formalin/PFA-fixed paraffin-embedded sections) - Anti-Stathmin 1 antibody [EP1573Y] - BSA and Azide free (AB221017)

Immunohistochemistry (Formalin/PFA-fixed paraffin-embedded sections) analysis of Human lung carcinoma tissue sections labeling Stathmin 1 with purified ab52630 at 1/2000 dilution (0.31 μg/ml). Perform heat mediated antigen retrieval using ab93684 (Tris/EDTA buffer, pH 9.0). ImmunoHistoProbe one step HRP Polymer (ready to use) was used as the secondary antibody. Negative control : PBS instead of the primary antibody. Hematoxylin was used as a counterstain.

This data was developed using the same antibody clone in a different buffer formulation containing PBS, BSA, glycerol, and sodium azide (ab52630).

Immunohistochemistry (Formalin/PFA-fixed paraffin-embedded sections) - Anti-Stathmin 1 antibody [EP1573Y] - BSA and Azide free (AB221017)
  • IHC-P

Unknown

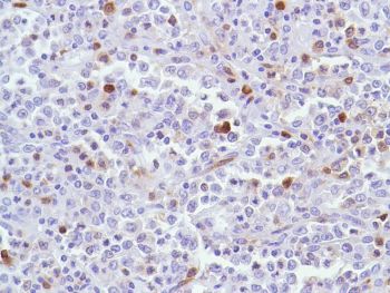
Immunohistochemistry (Formalin/PFA-fixed paraffin-embedded sections) - Anti-Stathmin 1 antibody [EP1573Y] - BSA and Azide free (AB221017)

ab52630, at a 1/250 dilution, staining human Stathmin 1 in lymph node tissue, using Immunohistochemistry, Paraffin embedded sections.This data was developed using the same antibody clone in a different buffer formulation containing PBS, BSA, glycerol, and sodium azide (ab52630).

Flow Cytometry (Intracellular) - Anti-Stathmin 1 antibody [EP1573Y] - BSA and Azide free (AB221017)
  • Flow Cyt (Intra)

Unknown

Flow Cytometry (Intracellular) - Anti-Stathmin 1 antibody [EP1573Y] - BSA and Azide free (AB221017)

Intracellular Flow Cytometry analysis of Jurkat (Human T cell leukemia T lymphocyte) cells labeling Stathmin 1 with purified ab52630 at 1/60 dilution (10μg/ml) (red). Cells were fixed with 4% Paraformaldehyde and permeabilised with 90% Methanol. A Goat anti rabbit IgG (Alexa Fluor® 488, ab150077) secondary antibody was used at 1/2000. Isotype control - Rabbit monoclonal IgG (Black). Unlabeled control - Cell without incubation with primary antibody and secondary antibody (Blue). This data was developed using the same antibody clone in a different buffer formulation containing PBS, BSA, glycerol, and sodium azide (ab52630).

Immunocytochemistry/ Immunofluorescence - Anti-Stathmin 1 antibody [EP1573Y] - BSA and Azide free (AB221017)
  • ICC/IF

Unknown

Immunocytochemistry/ Immunofluorescence - Anti-Stathmin 1 antibody [EP1573Y] - BSA and Azide free (AB221017)

ab52630 stained HeLa cellsThis data was developed using the same antibody clone in a different buffer formulation containing PBS, BSA, glycerol, and sodium azide (ab52630).

Flow Cytometry (Intracellular) - Anti-Stathmin 1 antibody [EP1573Y] - BSA and Azide free (AB221017)
  • Flow Cyt (Intra)

Unknown

Flow Cytometry (Intracellular) - Anti-Stathmin 1 antibody [EP1573Y] - BSA and Azide free (AB221017)

Overlay histogram showing Jurkat cells stained with ab52630 (red line). The cells were fixed with 80% methanol (5 min) and then permeabilized with 0.1% PBS-Tween for 20 min. The cells were then incubated in 1x PBS / 10% normal goat serum / 0.3M glycine to block non-specific protein-protein interactions followed by the antibody (ab52630, 1/100 dilution) for 30 min at 22°C. The secondary antibody used was DyLight® 488 goat anti-rabbit IgG (H+L) (ab96899) at 1/500 dilution for 30 min at 22°C. Isotype control antibody (black line) was rabbit IgG (monoclonal) (1μg/1x106 cells) used under the same conditions. Acquisition of >5,000 events was performed. This antibody gave a positive signal in Jurkat cells fixed with 4% paraformaldehyde/permeabilized in 0.1% PBS-Tween used under the same conditions. This data was developed using the same antibody clone in a different buffer formulation containing PBS, BSA, glycerol, and sodium azide (ab52630).

Immunocytochemistry/ Immunofluorescence - Anti-Stathmin 1 antibody [EP1573Y] - BSA and Azide free (AB221017)
  • ICC/IF

Unknown

Immunocytochemistry/ Immunofluorescence - Anti-Stathmin 1 antibody [EP1573Y] - BSA and Azide free (AB221017)

Immunocytochemistry/ Immunofluorescence analysis of HeLa (Human cervix adenocarcinoma epithelial cell) cells labeling Stathmin 1 with purified ab52630 at 1/200 dilution (3.1 μg/ml). Cells were fixed in 4% Paraformaldehyde and permeabilized with 0.1% tritonX-100. Cells were counterstained with ab195889 Anti-alpha Tubulin antibody [DM1A] - Microtubule Marker (Alexa Fluor® 594) at 1/200 (2.5 μg/ml) dilution. Goat anti rabbit IgG (Alexa Fluor® 488, ab150077) was used as the secondary antibody at 1/1000 (2 μg/ml) dilution. DAPI (blue) was used as nuclear counterstain. PBS instead of the primary antibody was used as the secondary antibody only control.

This data was developed using the same antibody clone in a different buffer formulation containing PBS, BSA, glycerol, and sodium azide (ab52630).

Immunoprecipitation - Anti-Stathmin 1 antibody [EP1573Y] - BSA and Azide free (AB221017)
  • IP

Unknown

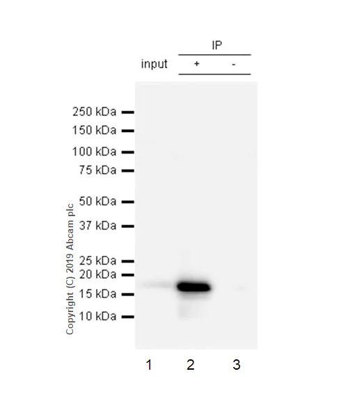
Immunoprecipitation - Anti-Stathmin 1 antibody [EP1573Y] - BSA and Azide free (AB221017)

ab52630 (purified) at 1/30 dilution (2ug) immunoprecipitating Stathmin 1 in HeLa whole cell lysates.
Lane 1 : HeLa (Human cervix adenocarcinoma epithelial cell) whole cell lysates 10ug
Lane 2 (+) : ab52630 & HeLa whole cell lysates
Lane 3 (-) : Rabbit monoclonal IgG (ab172730) instead of ab52630 in HeLa whole cell lysates
For western blotting, VeriBlot for IP Detection Reagent (HRP) (ab131366) was used at 1/1000 dilution.
Blocking and diluting buffer : 5% NFDM/TBST.

This data was developed using the same antibody clone in a different buffer formulation containing PBS, BSA, glycerol, and sodium azide (ab52630).

All lanes:

Immunoprecipitation - Anti-Stathmin 1 antibody [EP1573Y] (<a href='/en-us/products/primary-antibodies/stathmin-1-antibody-ep1573y-ab52630'>ab52630</a>)

Predicted band size: 17 kDa

false

Immunoprecipitation - Anti-Stathmin 1 antibody [EP1573Y] - BSA and Azide free (AB221017)
  • IP

AbReview24772****

Immunoprecipitation - Anti-Stathmin 1 antibody [EP1573Y] - BSA and Azide free (AB221017)

Whole cell lysate prepared from human colon cells was loaded at 20µg. The immunoprecipitation step was performed using Protein A/G. ab52630 used at a 1/200 dilution for 12 hours at 4°C. For WB ab52630 used at a 1/10000 dilution.This data was developed using the same antibody clone in a different buffer formulation containing PBS, BSA, glycerol, and sodium azide (ab52630).

All lanes:

Immunoprecipitation - Anti-Stathmin 1 antibody [EP1573Y] (<a href='/en-us/products/primary-antibodies/stathmin-1-antibody-ep1573y-ab52630'>ab52630</a>)

Predicted band size: 17 kDa

false

Image courtesy of Qifeng Lin by Abreview.

Immunohistochemistry (Formalin/PFA-fixed paraffin-embedded sections) - Anti-Stathmin 1 antibody [EP1573Y] - BSA and Azide free (AB221017)
  • IHC-P

Unknown

Immunohistochemistry (Formalin/PFA-fixed paraffin-embedded sections) - Anti-Stathmin 1 antibody [EP1573Y] - BSA and Azide free (AB221017)

Immunohistochemistry (Formalin/PFA-fixed paraffin-embedded sections) analysis of Rat brain tissue sections labeling Stathmin 1 with purified ab52630 at 1/2000 dilution (0.31 μg/ml). Perform heat mediated antigen retrieval using ab93684 (Tris/EDTA buffer, pH 9.0). ImmunoHistoProbe one step HRP Polymer (ready to use) was used as the secondary antibody. Negative control : PBS instead of the primary antibody. Hematoxylin was used as a counterstain.

This data was developed using the same antibody clone in a different buffer formulation containing PBS, BSA, glycerol, and sodium azide (ab52630).

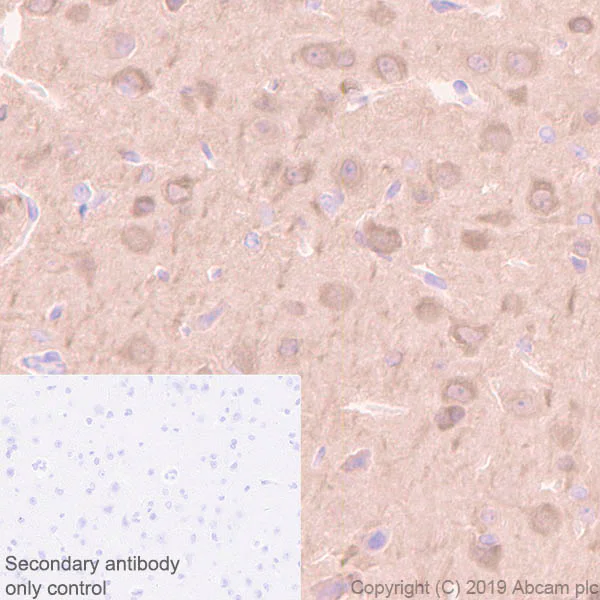
Immunohistochemistry (Formalin/PFA-fixed paraffin-embedded sections) - Anti-Stathmin 1 antibody [EP1573Y] - BSA and Azide free (AB221017)
  • IHC-P

Unknown

Immunohistochemistry (Formalin/PFA-fixed paraffin-embedded sections) - Anti-Stathmin 1 antibody [EP1573Y] - BSA and Azide free (AB221017)

Immunohistochemistry (Formalin/PFA-fixed paraffin-embedded sections) analysis of Mouse brain tissue sections labeling Stathmin 1 with purified ab52630 at 1/2000 dilution (0.31 μg/ml). Perform heat mediated antigen retrieval using ab93684 (Tris/EDTA buffer, pH 9.0). ImmunoHistoProbe one step HRP Polymer (ready to use) was used as the secondary antibody. Negative control : PBS instead of the primary antibody. Hematoxylin was used as a counterstain.

This data was developed using the same antibody clone in a different buffer formulation containing PBS, BSA, glycerol, and sodium azide (ab52630).

Key facts

Host species

Rabbit

Clonality

Monoclonal

Clone number

EP1573Y

Isotype

IgG

Carrier free

Yes

Reacts with

Mouse, Rat, Human

Applications

ICC/IF, WB, IHC-P, IP, Flow Cyt (Intra)

applications

Immunogen

The exact immunogen used to generate this antibody is proprietary information.

Reactivity data

{ "title": "Reactivity Data", "filters": { "stats": ["", "Species", "Dilution Info", "Notes"], "tabs": { "all-applications": {"fullname" : "All Applications", "shortname": "All Applications"}, "IP" : {"fullname" : "Immunoprecipitation", "shortname":"IP"}, "WB" : {"fullname" : "Western blot", "shortname":"WB"}, "ICCIF" : {"fullname" : "Immunocytochemistry/ Immunofluorescence", "shortname":"ICC/IF"}, "FlowCytIntra" : {"fullname" : "Flow Cytometry (Intracellular)", "shortname":"Flow Cyt (Intra)"}, "IHCP" : {"fullname" : "Immunohistochemistry (Formalin/PFA-fixed paraffin-embedded sections)", "shortname":"IHC-P"} }, "product-promise": { "all": "all", "testedAndGuaranteed": "tested", "guaranteed": "expected", "predicted": "predicted", "notRecommended": "not-recommended" } }, "values": { "Human": { "IP-species-checked": "testedAndGuaranteed", "IP-species-dilution-info": "", "IP-species-notes": "<p></p>", "WB-species-checked": "guaranteed", "WB-species-dilution-info": "", "WB-species-notes": "<p></p>", "ICCIF-species-checked": "testedAndGuaranteed", "ICCIF-species-dilution-info": "", "ICCIF-species-notes": "<p></p>", "FlowCytIntra-species-checked": "testedAndGuaranteed", "FlowCytIntra-species-dilution-info": "", "FlowCytIntra-species-notes": "<p><a href='/en-us/products/primary-antibodies/rabbit-igg-monoclonal-epr25a-isotype-control-low-endotoxin-azide-free-ab199376'>ab199376</a> - Rabbit monoclonal IgG, is suitable for use as an isotype control with this antibody.</p>", "IHCP-species-checked": "testedAndGuaranteed", "IHCP-species-dilution-info": "", "IHCP-species-notes": "<p></p>" }, "Mouse": { "IP-species-checked": "predicted", "IP-species-dilution-info": "", "IP-species-notes": "", "WB-species-checked": "guaranteed", "WB-species-dilution-info": "", "WB-species-notes": "<p></p>", "ICCIF-species-checked": "predicted", "ICCIF-species-dilution-info": "", "ICCIF-species-notes": "", "FlowCytIntra-species-checked": "predicted", "FlowCytIntra-species-dilution-info": "", "FlowCytIntra-species-notes": "", "IHCP-species-checked": "predicted", "IHCP-species-dilution-info": "", "IHCP-species-notes": "" }, "Rat": { "IP-species-checked": "predicted", "IP-species-dilution-info": "", "IP-species-notes": "", "WB-species-checked": "guaranteed", "WB-species-dilution-info": "", "WB-species-notes": "<p></p>", "ICCIF-species-checked": "predicted", "ICCIF-species-dilution-info": "", "ICCIF-species-notes": "", "FlowCytIntra-species-checked": "predicted", "FlowCytIntra-species-dilution-info": "", "FlowCytIntra-species-notes": "", "IHCP-species-checked": "predicted", "IHCP-species-dilution-info": "", "IHCP-species-notes": "" } } }

Product details

ab221017 is the carrier-free version of ab52630.

Patented technology
Our RabMAb® technology is a patented hybridoma-based technology for making rabbit monoclonal antibodies. For details on our patents, please refer to RabMAb® patents.

What are the advantages of a recombinant monoclonal antibody?
This product is a recombinant monoclonal antibody, which offers several advantages including:

  • - High batch-to-batch consistency and reproducibility
  • - Improved sensitivity and specificity
  • - Long-term security of supply
  • - Animal-free batch production

For more information, read more on recombinant antibodies.

Conjugation ready
Our carrier-free antibodies are typically supplied in a PBS-only formulation, purified and free of BSA, sodium azide and glycerol. This conjugation-ready format is designed for use with fluorochromes, metal isotopes, oligonucleotides, and enzymes, which makes them ideal for antibody labelling, functional and cell-based assays, flow-based assays (e.g. mass cytometry) and Multiplex Imaging applications.

Use our conjugation kits for antibody conjugates that are ready-to-use in as little as 20 minutes with 1 minute hands-on-time and 100% antibody recovery: available for fluorescent dyes, HRP, biotin and gold.

Compatibility
This product is compatible with the Maxpar® Antibody Labeling Kit from Fluidigm, without the need for antibody preparation. Maxpar® is a trademark of Fluidigm Canada Inc.

Properties and storage information

Form
Liquid
Purification technique
Affinity purification Protein A
Storage buffer
pH: 7.2 - 7.4 Constituents: PBS
Shipped at conditions
Blue Ice
Appropriate short-term storage conditions
+4°C
Appropriate long-term storage conditions
+4°C
Storage information
Do Not Freeze

Supplementary information

This supplementary information is collated from multiple sources and compiled automatically.

Stathmin 1 also known as Oncoprotein 18 (Op18) is a cytoplasmic phosphoprotein weighing approximately 19 kDa. It functions primarily by regulating microtubule dynamics; it destabilizes microtubules and promotes depolymerization. Stathmin 1 achieves this by binding to tubulin heterodimers preventing their polymerization into microtubules. This protein is widely expressed in neurons immune cells and various cancer cell lines indicating its significant role in cellular processes.
Biological function summary

Stathmin 1 is important in cell cycle regulation and cell signaling. It does not operate as part of a larger protein complex but rather exerts its effects directly on microtubules. By overriding the stabilization of microtubules it ensures proper mitotic spindle function. This action is especially significant during the G2/M transition and mitosis contributing to the precise segregation of chromosomes.

Pathways

The regulation of microtubule dynamics by Stathmin 1 plays an important role in cell division and neuronal development. It is involved in the PI3K/AKT signaling pathway which ensures cell survival and proliferation. Stathmin 1 interacts with other regulatory proteins such as Tau which stabilizes microtubules offering a balance between dynamic instability and stabilization. This interaction highlights its involvement in cytoskeletal reorganization essential for both cancer progression and neuronal function.

The altered expression of Stathmin 1 is often associated with various cancers including breast and ovarian cancers. Overexpression leads to enhanced tumor growth and metastasis. It also plays a role in neurological disorders by affecting neuronal microtubules making it of particular interest in research on neurodegenerative diseases like Alzheimer's. Its interaction with proteins like Tau in the brain further connects it to these disorders as both are involved in microtubule modulation important for maintaining cell structure and function.

Product protocols

For this product, it's our understanding that no specific protocols are required. You can visit:

Target data

Involved in the regulation of the microtubule (MT) filament system by destabilizing microtubules. Prevents assembly and promotes disassembly of microtubules. Phosphorylation at Ser-16 may be required for axon formation during neurogenesis. Involved in the control of the learned and innate fear (By similarity).
See full target information STMN1

Publications (7)

Recent publications for all applications. Explore the full list and refine your search

Oncology reports 44:139-155 PubMed32377743

2020

miR‑193b exhibits mutual interaction with MYC, and suppresses growth and metastasis of osteosarcoma.

Applications

Unspecified application

Species

Unspecified reactive species

Jinjian Gao,Sai Ma,Fan Yang,Xu Chen,Wei Wang,Jianping Zhang,Yufang Li,Tao Wang,Lequn Shan

Oncology reports 29:419-24 PubMed23229199

2012

Expression and phosphorylation of stathmin correlate with cell migration in esophageal squamous cell carcinoma.

Applications

WB

Species

Unspecified reactive species

Fei Liu,Yu-Lin Sun,Yang Xu,Fang Liu,Li-Shun Wang,Xiao-Hang Zhao

Proteomics 11:3992-4006 PubMed21761558

2011

Top-down label-free LC-MALDI analysis of the peptidome during neural progenitor cell differentiation reveals complexity in cytoskeletal protein dynamics and identifies progenitor cell markers.

Applications

Unspecified application

Species

Unspecified reactive species

Daniel J Maltman,Sven Brand,Eckhard Belau,Rainer Paape,Detlev Suckau,Stefan A Przyborski

Clinical proteomics 6:129-51 PubMed21691416

2011

A Technical Assessment of the Utility of Reverse Phase Protein Arrays for the Study of the Functional Proteome in Non-microdissected Human Breast Cancers.

Applications

Dot

Species

Human

Bryan T Hennessy,Yiling Lu,Ana Maria Gonzalez-Angulo,Mark S Carey,Simen Myhre,Zhenlin Ju,Michael A Davies,Wenbin Liu,Kevin Coombes,Funda Meric-Bernstam,Isabelle Bedrosian,Mollianne McGahren,Roshan Agarwal,Fan Zhang,Jens Overgaard,Jan Alsner,Richard M Neve,Wen-Lin Kuo,Joe W Gray,Anne-Lise Borresen-Dale,Gordon B Mills

Human reproduction (Oxford, England) 24:2607-17 PubMed19556289

2009

Proteomic analysis of the human receptive versus non-receptive endometrium using differential in-gel electrophoresis and MALDI-MS unveils stathmin 1 and annexin A2 as differentially regulated.

Applications

Unspecified application

Species

Unspecified reactive species

F Domínguez,T Garrido-Gómez,J A López,E Camafeita,A Quiñonero,A Pellicer,C Simón

Molecular bioSystems 5:458-71 PubMed19381361

2009

Proteomic profiling of the stem cell response to retinoic acid and synthetic retinoid analogues: identification of major retinoid-inducible proteins.

Applications

WB

Species

Human

Daniel J Maltman,Victoria B Christie,Jonathan C Collings,Jonathan H Barnard,Stepan Fenyk,Todd B Marder,Andrew Whiting,Stefan A Przyborski

Cancer prevention research (Philadelphia, Pa.) 1:577-87 PubMed19139008

2009

A novel derivative of the natural agent deguelin for cancer chemoprevention and therapy.

Applications

Unspecified application

Species

Unspecified reactive species

Woo-Young Kim,Dong Jo Chang,Bryan Hennessy,Hae Jin Kang,Jakyung Yoo,Seung-Ho Han,Yoo-Shin Kim,Hyun-Ju Park,Seung-Yong Seo,Seung-Yong Geo,Gordon Mills,Kyu-Won Kim,Waun Ki Hong,Young-Ger Suh,Ho-Young Lee
View all publications

Product promise

We are committed to supporting your work with high-quality reagents, and we're here for you every step of the way. In the unlikely event that one of our products does not perform as expected, you're protected by our Product Promise.
For full details, please see our Terms & Conditions

Please note: All products are 'FOR RESEARCH USE ONLY. NOT FOR USE IN DIAGNOSTIC OR THERAPEUTIC PROCEDURES'.

For licensing inquiries, please contact partnerships@abcam.com