JavaScript is disabled in your browser. Please enable JavaScript to view this website.
AB194757

Anti-Stathmin 1 (phospho S38) antibody

Be the first to review this product! Submit a review

|

(1 Publication)

Rabbit Polyclonal Stathmin 1 phospho S38 antibody. Suitable for WB, IHC-P and reacts with Human samples. Cited in 1 publication. Immunogen corresponding to Synthetic Peptide within Human STMN1 phospho S38.

View Alternative Names

C1orf215, LAP18, OP18, STMN1, Stathmin, Leukemia-associated phosphoprotein p18, Metablastin, Oncoprotein 18, Phosphoprotein p19, Prosolin, Protein Pr22, pp17, Op18, pp19

2 Images
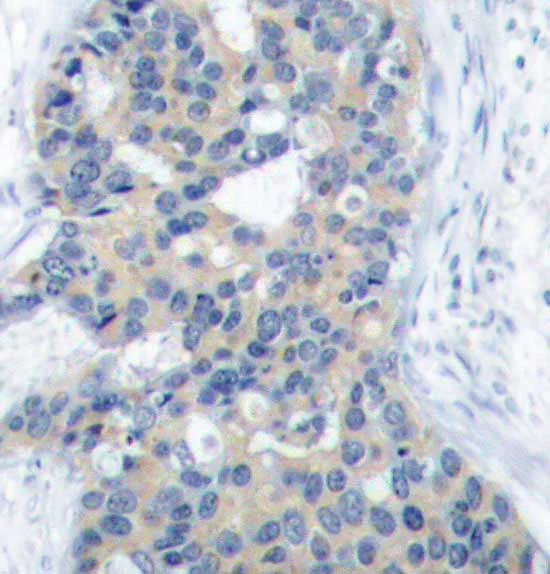
Immunohistochemistry (Formalin/PFA-fixed paraffin-embedded sections) - Anti-Stathmin 1 (phospho S38) antibody (AB194757)
  • IHC-P

Supplier Data

Immunohistochemistry (Formalin/PFA-fixed paraffin-embedded sections) - Anti-Stathmin 1 (phospho S38) antibody (AB194757)

Immunohistochemical analysis of paraffin-embedded human breast carcinoma tissue labeling Stathmin 1 (phospho S38) with ab194757 at 1/50 dilution.

Western blot - Anti-Stathmin 1 (phospho S38) antibody (AB194757)
  • WB

Supplier Data

Western blot - Anti-Stathmin 1 (phospho S38) antibody (AB194757)

All lanes:

Western blot - Anti-Stathmin 1 (phospho S38) antibody (ab194757) at 1/500 dilution

Lane 1:

Starvation treated K562 cell extract

Lane 2:

Untreated K562 cell extract

Predicted band size: 17 kDa

false

Key facts

Host species

Rabbit

Clonality

Polyclonal

Isotype

IgG

Carrier free

No

Reacts with

Human

Applications

IHC-P, WB

applications

Immunogen

Synthetic Peptide within Human STMN1 phospho S38. The exact immunogen used to generate this antibody is proprietary information.

P16949

Reactivity data

{ "title": "Reactivity Data", "filters": { "stats": ["", "Species", "Dilution Info", "Notes"], "tabs": { "all-applications": {"fullname" : "All Applications", "shortname": "All Applications"}, "WB" : {"fullname" : "Western blot", "shortname":"WB"}, "IHCP" : {"fullname" : "Immunohistochemistry (Formalin/PFA-fixed paraffin-embedded sections)", "shortname":"IHC-P"} }, "product-promise": { "all": "all", "testedAndGuaranteed": "tested", "guaranteed": "expected", "predicted": "predicted", "notRecommended": "not-recommended" } }, "values": { "Human": { "WB-species-checked": "testedAndGuaranteed", "WB-species-dilution-info": "1/500 - 1/2000", "WB-species-notes": "<p></p>", "IHCP-species-checked": "testedAndGuaranteed", "IHCP-species-dilution-info": "1/50 - 1/100", "IHCP-species-notes": "<p></p>" } } }

Properties and storage information

Form
Liquid
Purification technique
Affinity purification Immunogen
Storage buffer
pH: 7.3 Preservative: 0.05% Proclin 300 Constituents: PBS, 50% Glycerol (glycerin, glycerine)
Shipped at conditions
Blue Ice
Appropriate short-term storage duration
1-2 weeks
Appropriate short-term storage conditions
+4°C
Appropriate long-term storage conditions
-20°C
Aliquoting information
Upon delivery aliquot
Storage information
Avoid freeze / thaw cycle

Supplementary information

This supplementary information is collated from multiple sources and compiled automatically.

Stathmin 1 also known as Oncoprotein 18 (Op18) is a cytoplasmic phosphoprotein weighing approximately 19 kDa. It functions primarily by regulating microtubule dynamics; it destabilizes microtubules and promotes depolymerization. Stathmin 1 achieves this by binding to tubulin heterodimers preventing their polymerization into microtubules. This protein is widely expressed in neurons immune cells and various cancer cell lines indicating its significant role in cellular processes.
Biological function summary

Stathmin 1 is important in cell cycle regulation and cell signaling. It does not operate as part of a larger protein complex but rather exerts its effects directly on microtubules. By overriding the stabilization of microtubules it ensures proper mitotic spindle function. This action is especially significant during the G2/M transition and mitosis contributing to the precise segregation of chromosomes.

Pathways

The regulation of microtubule dynamics by Stathmin 1 plays an important role in cell division and neuronal development. It is involved in the PI3K/AKT signaling pathway which ensures cell survival and proliferation. Stathmin 1 interacts with other regulatory proteins such as Tau which stabilizes microtubules offering a balance between dynamic instability and stabilization. This interaction highlights its involvement in cytoskeletal reorganization essential for both cancer progression and neuronal function.

The altered expression of Stathmin 1 is often associated with various cancers including breast and ovarian cancers. Overexpression leads to enhanced tumor growth and metastasis. It also plays a role in neurological disorders by affecting neuronal microtubules making it of particular interest in research on neurodegenerative diseases like Alzheimer's. Its interaction with proteins like Tau in the brain further connects it to these disorders as both are involved in microtubule modulation important for maintaining cell structure and function.

Product protocols

For this product, it's our understanding that no specific protocols are required. You can visit:

Target data

Involved in the regulation of the microtubule (MT) filament system by destabilizing microtubules. Prevents assembly and promotes disassembly of microtubules. Phosphorylation at Ser-16 may be required for axon formation during neurogenesis. Involved in the control of the learned and innate fear (By similarity).
See full target information STMN1 phospho S38

Publications (1)

Recent publications for all applications. Explore the full list and refine your search

International journal of molecular medicine 40:235-242 PubMed28534969

2017

The Cdc2/Cdk1 inhibitor, purvalanol A, enhances the cytotoxic effects of taxol through Op18/stathmin in non-small cell lung cancer cells in vitro.

Applications

Unspecified application

Species

Unspecified reactive species

Xian Chen,Ying Liao,Dan Long,Ting Yu,Fang Shen,Xuechi Lin
View all publications

Product promise

We are committed to supporting your work with high-quality reagents, and we're here for you every step of the way. In the unlikely event that one of our products does not perform as expected, you're protected by our Product Promise.
For full details, please see our Terms & Conditions

Please note: All products are 'FOR RESEARCH USE ONLY. NOT FOR USE IN DIAGNOSTIC OR THERAPEUTIC PROCEDURES'.

For licensing inquiries, please contact partnerships@abcam.com