JavaScript is disabled in your browser. Please enable JavaScript to view this website.
AB239888

Anti-Stathmin 1 (phospho S63) antibody [EPR1574] - BSA and Azide free

Be the first to review this product! Submit a review

|

(1 Publication)

Rabbit Recombinant Monoclonal Stathmin 1 phospho S63 antibody. Carrier free. Suitable for IHC-P, IP, Dot, WB and reacts with Human, Synthetic peptide samples. Cited in 1 publication.

View Alternative Names

C1orf215, LAP18, OP18, STMN1, Stathmin, Leukemia-associated phosphoprotein p18, Metablastin, Oncoprotein 18, Phosphoprotein p19, Prosolin, Protein Pr22, pp17, Op18, pp19

3 Images
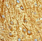
Immunohistochemistry (Formalin/PFA-fixed paraffin-embedded sections) - Anti-Stathmin 1 (phospho S63) antibody [EPR1574] - BSA and Azide free (AB239888)
  • IHC-P

Unknown

Immunohistochemistry (Formalin/PFA-fixed paraffin-embedded sections) - Anti-Stathmin 1 (phospho S63) antibody [EPR1574] - BSA and Azide free (AB239888)

ab76583, at a 1/250 dilution, staining Stathmin 1 in paraffin embedded human brain tissue by Immunohistochemistry.

This data was developed using the same antibody clone in a different buffer formulation containing PBS, BSA, glycerol, and sodium azide (ab76583).

Perform heat mediated antigen retrieval before commencing with IHC staining protocol.

Immunoprecipitation - Anti-Stathmin 1 (phospho S63) antibody [EPR1574] - BSA and Azide free (AB239888)
  • IP

Lab

Immunoprecipitation - Anti-Stathmin 1 (phospho S63) antibody [EPR1574] - BSA and Azide free (AB239888)

This data was developed using ab76583, the same antibody clone in a different buffer formulation.

Stathmin 1 was immunoprecipitated from 0.35 mg HeLa (Human cervix adenocarcinoma epithelial cell) treated with Calyculin A whole cell lysate 10 μg with ab76583 at 1/50 dilution (2μg). VeriBlot for IP Detection Reagent (HRP) (ab131366) was used at 1/5000 dilution.

Lane 1 : HeLa (Human cervix adenocarcinoma epithelial cell) treated with Calyculin A whole cell lysate 10 μg

Lane 2 : ab76583 IP in HeLa treated with Calyculin A whole cell lysate

Lane 3 : Rabbit monoclonal IgG (ab172730) instead of ab76583 in HeLa treated with Calyculin A whole cell lysate

Blocking and dilution buffer and concentration : 5% NFDM/TBST.

75kDa band could be stathmin/alpha tubulin complex. (PMID : 9369201)

All lanes:

Immunoprecipitation - Anti-Stathmin 1 (phospho S63) antibody [EPR1574] (<a href='/en-us/products/primary-antibodies/stathmin-1-phospho-s63-antibody-epr1574-ab76583'>ab76583</a>)

Predicted band size: 17 kDa

Observed band size: 17 kDa

false

Dot Blot - Anti-Stathmin 1 (phospho S63) antibody [EPR1574] - BSA and Azide free (AB239888)
  • Dot

Unknown

Dot Blot - Anti-Stathmin 1 (phospho S63) antibody [EPR1574] - BSA and Azide free (AB239888)

Dot blot analysis of Stathmin 1 (phospho S63) phospho peptide (Lane 1) and Stathmin 1 non-phospho peptide (Lane 2) labeling Stathmin 1 (phospho S63) with ab76583 at a dilution of 1/1000. ab97051 (Peroxidase conjugated goat anti-rabbit IgG) (H+L) at 1/100 000 was used as the secondary antibody.

Blocking and diluting buffer : 5% NFDM/TBST.

Exposure time : 3 minutes.

This data was developed using the same antibody clone in a different buffer formulation containing PBS, BSA, glycerol, and sodium azide (ab76583).

  • Unconjugated

    Anti-Stathmin 1 (phospho S63) antibody [EPR1574]

Key facts

Host species

Rabbit

Clonality

Monoclonal

Clone number

EPR1574

Isotype

IgG

Carrier free

Yes

Reacts with

Human

Applications

IP, WB, Dot, IHC-P

applications

Immunogen

The exact immunogen used to generate this antibody is proprietary information.

Specificity

This antibody only detects Stathmin 1 phosphorylated on Serine 62. The antibody immunogen shares 86% homology with Stathmin-2, therefore it is possible that the antibody will cross-react with Stathmin-2 when phosphorylated at serine 97. This has not been assessed experimentally.

Reactivity data

{ "title": "Reactivity Data", "filters": { "stats": ["", "Species", "Dilution Info", "Notes"], "tabs": { "all-applications": {"fullname" : "All Applications", "shortname": "All Applications"}, "IHCP" : {"fullname" : "Immunohistochemistry (Formalin/PFA-fixed paraffin-embedded sections)", "shortname":"IHC-P"}, "ICCIF" : {"fullname" : "Immunocytochemistry/ Immunofluorescence", "shortname":"ICC/IF"}, "IP" : {"fullname" : "Immunoprecipitation", "shortname":"IP"}, "FlowCyt" : {"fullname" : "Flow Cytometry", "shortname":"Flow Cyt"}, "Dot" : {"fullname" : "Dot Blot", "shortname":"Dot"}, "WB" : {"fullname" : "Western blot", "shortname":"WB"} }, "product-promise": { "all": "all", "testedAndGuaranteed": "tested", "guaranteed": "expected", "predicted": "predicted", "notRecommended": "not-recommended" } }, "values": { "Human": { "IHCP-species-checked": "testedAndGuaranteed", "IHCP-species-dilution-info": "", "IHCP-species-notes": "<p></p> Perform heat-mediated antigen retrieval before commencing with IHC staining protocol.", "ICCIF-species-checked": "notRecommended", "ICCIF-species-dilution-info": "", "ICCIF-species-notes": "<p></p>", "IP-species-checked": "testedAndGuaranteed", "IP-species-dilution-info": "", "IP-species-notes": "<p></p>", "FlowCyt-species-checked": "notRecommended", "FlowCyt-species-dilution-info": "", "FlowCyt-species-notes": "<p></p>", "Dot-species-checked": "guaranteed", "Dot-species-dilution-info": "", "Dot-species-notes": "", "WB-species-checked": "guaranteed", "WB-species-dilution-info": "", "WB-species-notes": "<p></p>" }, "Synthetic peptide": { "IHCP-species-checked": "notRecommended", "IHCP-species-dilution-info": "", "IHCP-species-notes": "", "ICCIF-species-checked": "notRecommended", "ICCIF-species-dilution-info": "", "ICCIF-species-notes": "", "IP-species-checked": "notRecommended", "IP-species-dilution-info": "", "IP-species-notes": "", "FlowCyt-species-checked": "notRecommended", "FlowCyt-species-dilution-info": "", "FlowCyt-species-notes": "", "Dot-species-checked": "testedAndGuaranteed", "Dot-species-dilution-info": "", "Dot-species-notes": "<p></p>", "WB-species-checked": "notRecommended", "WB-species-dilution-info": "", "WB-species-notes": "" } } }

Product details

ab239888 is the carrier-free version of ab76583.

Species reactivity
Mouse, Rat: We have preliminary internal testing data to indicate this antibody may not react with these species.
Please contact us for more information.

Patented technology
Our RabMAb® technology is a patented hybridoma-based technology for making rabbit monoclonal antibodies. For details on our patents, please refer to RabMAb® patents.

What are the advantages of a recombinant monoclonal antibody?
This product is a recombinant monoclonal antibody, which offers several advantages including:

  • - High batch-to-batch consistency and reproducibility
  • - Improved sensitivity and specificity
  • - Long-term security of supply
  • - Animal-free batch production

For more information, read more on recombinant antibodies.

Conjugation ready
Our carrier-free antibodies are typically supplied in a PBS-only formulation, purified and free of BSA, sodium azide and glycerol. This conjugation-ready format is designed for use with fluorochromes, metal isotopes, oligonucleotides, and enzymes, which makes them ideal for antibody labelling, functional and cell-based assays, flow-based assays (e.g. mass cytometry) and Multiplex Imaging applications.

Use our conjugation kits for antibody conjugates that are ready-to-use in as little as 20 minutes with 1 minute hands-on-time and 100% antibody recovery: available for fluorescent dyes, HRP, biotin and gold.

Compatibility
This product is compatible with the Maxpar® Antibody Labeling Kit from Fluidigm, without the need for antibody preparation. Maxpar® is a trademark of Fluidigm Canada Inc.

Properties and storage information

Form
Liquid
Purification technique
Affinity purification Protein A
Storage buffer
pH: 7.2 - 7.4 Constituents: PBS
Shipped at conditions
Blue Ice
Appropriate short-term storage conditions
+4°C
Appropriate long-term storage conditions
+4°C
Storage information
Do Not Freeze

Supplementary information

This supplementary information is collated from multiple sources and compiled automatically.

Stathmin 1 also known as Oncoprotein 18 (Op18) is a cytoplasmic phosphoprotein weighing approximately 19 kDa. It functions primarily by regulating microtubule dynamics; it destabilizes microtubules and promotes depolymerization. Stathmin 1 achieves this by binding to tubulin heterodimers preventing their polymerization into microtubules. This protein is widely expressed in neurons immune cells and various cancer cell lines indicating its significant role in cellular processes.
Biological function summary

Stathmin 1 is important in cell cycle regulation and cell signaling. It does not operate as part of a larger protein complex but rather exerts its effects directly on microtubules. By overriding the stabilization of microtubules it ensures proper mitotic spindle function. This action is especially significant during the G2/M transition and mitosis contributing to the precise segregation of chromosomes.

Pathways

The regulation of microtubule dynamics by Stathmin 1 plays an important role in cell division and neuronal development. It is involved in the PI3K/AKT signaling pathway which ensures cell survival and proliferation. Stathmin 1 interacts with other regulatory proteins such as Tau which stabilizes microtubules offering a balance between dynamic instability and stabilization. This interaction highlights its involvement in cytoskeletal reorganization essential for both cancer progression and neuronal function.

The altered expression of Stathmin 1 is often associated with various cancers including breast and ovarian cancers. Overexpression leads to enhanced tumor growth and metastasis. It also plays a role in neurological disorders by affecting neuronal microtubules making it of particular interest in research on neurodegenerative diseases like Alzheimer's. Its interaction with proteins like Tau in the brain further connects it to these disorders as both are involved in microtubule modulation important for maintaining cell structure and function.

Product protocols

For this product, it's our understanding that no specific protocols are required. You can visit:

Target data

Involved in the regulation of the microtubule (MT) filament system by destabilizing microtubules. Prevents assembly and promotes disassembly of microtubules. Phosphorylation at Ser-16 may be required for axon formation during neurogenesis. Involved in the control of the learned and innate fear (By similarity).
See full target information STMN1 phospho S63

Publications (1)

Recent publications for all applications. Explore the full list and refine your search

Frontiers in immunology 13:869365 PubMed35967407

2022

ILC2s expanded by exogenous IL-33 regulate CD45+CD11b+F4/80high macrophage polarization to alleviate hepatic ischemia-reperfusion injury.

Applications

Unspecified application

Species

Unspecified reactive species

Hai-Ming Zhang,Xiao-Jie Chen,Shi-Peng Li,Jin-Ming Zhang,Jie Sun,Liu-Xin Zhou,Guang-Peng Zhou,Bin Cui,Li-Ying Sun,Zhi-Jun Zhu
View all publications

Product promise

We are committed to supporting your work with high-quality reagents, and we're here for you every step of the way. In the unlikely event that one of our products does not perform as expected, you're protected by our Product Promise.
For full details, please see our Terms & Conditions

Please note: All products are 'FOR RESEARCH USE ONLY. NOT FOR USE IN DIAGNOSTIC OR THERAPEUTIC PROCEDURES'.

For licensing inquiries, please contact partnerships@abcam.com