JavaScript is disabled in your browser. Please enable JavaScript to view this website.
AB246918

Anti-STAU2 antibody

Be the first to review this product! Submit a review

|

(1 Publication)

Rabbit Polyclonal STAU2 antibody. Suitable for IHC-P, WB and reacts with Human, Mouse, Rat samples. Cited in 1 publication. Immunogen corresponding to Recombinant Fragment Protein within Human STAU2 aa 1-150.

View Alternative Names

Double-stranded RNA-binding protein Staufen homolog 2, STAU2

5 Images
Immunohistochemistry (Formalin/PFA-fixed paraffin-embedded sections) - Anti-STAU2 antibody (AB246918)
  • IHC-P

Unknown

Immunohistochemistry (Formalin/PFA-fixed paraffin-embedded sections) - Anti-STAU2 antibody (AB246918)

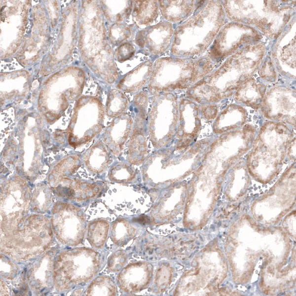
Paraffin-embedded human kidney tissue stained for STAU2 using ab246918 at 1/50 dilution in immunohistochemical analysis.

Immunohistochemistry (Formalin/PFA-fixed paraffin-embedded sections) - Anti-STAU2 antibody (AB246918)
  • IHC-P

Unknown

Immunohistochemistry (Formalin/PFA-fixed paraffin-embedded sections) - Anti-STAU2 antibody (AB246918)

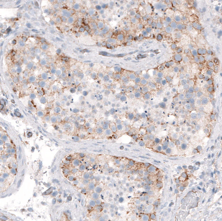
Paraffin-embedded human testis tissue stained for STAU2 using ab246918 at 1/50 dilution in immunohistochemical analysis.

Immunohistochemistry (Formalin/PFA-fixed paraffin-embedded sections) - Anti-STAU2 antibody (AB246918)
  • IHC-P

Unknown

Immunohistochemistry (Formalin/PFA-fixed paraffin-embedded sections) - Anti-STAU2 antibody (AB246918)

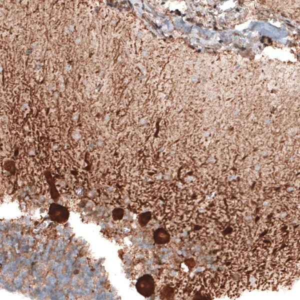
Paraffin-embedded human cerebellum tissue stained for STAU2 using ab246918 at 1/50 dilution in immunohistochemical analysis.

Western blot - Anti-STAU2 antibody (AB246918)
  • WB

Unknown

Western blot - Anti-STAU2 antibody (AB246918)

All lanes:

Western blot - Anti-STAU2 antibody (ab246918) at 0.4 µg/mL

All lanes:

MOLT-4 (Human lymphoblastic leukemia cell line) cell lysate

Predicted band size: 63 kDa

false

Western blot - Anti-STAU2 antibody (AB246918)
  • WB

Unknown

Western blot - Anti-STAU2 antibody (AB246918)

All lanes:

Western blot - Anti-STAU2 antibody (ab246918) at 0.4 µg/mL

Lane 1:

NIH/3T3 (Mouse embryo fibroblast cell line) cell lysate

Lane 2:

NBT-II (Rat cell line) cell lysate

Predicted band size: 63 kDa

false

Key facts

Host species

Rabbit

Clonality

Polyclonal

Isotype

IgG

Carrier free

No

Reacts with

Mouse, Rat, Human

Applications

WB, IHC-P

applications

Immunogen

Recombinant Fragment Protein within Human STAU2 aa 1-150. The exact immunogen used to generate this antibody is proprietary information.

Q9NUL3

Reactivity data

{ "title": "Reactivity Data", "filters": { "stats": ["", "Species", "Dilution Info", "Notes"], "tabs": { "all-applications": {"fullname" : "All Applications", "shortname": "All Applications"}, "IHCP" : {"fullname" : "Immunohistochemistry (Formalin/PFA-fixed paraffin-embedded sections)", "shortname":"IHC-P"}, "WB" : {"fullname" : "Western blot", "shortname":"WB"} }, "product-promise": { "all": "all", "testedAndGuaranteed": "tested", "guaranteed": "expected", "predicted": "predicted", "notRecommended": "not-recommended" } }, "values": { "Human": { "IHCP-species-checked": "testedAndGuaranteed", "IHCP-species-dilution-info": "1/50 - 1/200", "IHCP-species-notes": "<p></p> Perform heat-mediated antigen retrieval with citrate buffer pH 6 before commencing with IHC staining protocol.", "WB-species-checked": "testedAndGuaranteed", "WB-species-dilution-info": "0.04-0.4 µg/mL", "WB-species-notes": "<p></p>" }, "Mouse": { "IHCP-species-checked": "guaranteed", "IHCP-species-dilution-info": "", "IHCP-species-notes": "", "WB-species-checked": "testedAndGuaranteed", "WB-species-dilution-info": "0.04-0.4 µg/mL", "WB-species-notes": "<p></p>" }, "Rat": { "IHCP-species-checked": "guaranteed", "IHCP-species-dilution-info": "", "IHCP-species-notes": "", "WB-species-checked": "testedAndGuaranteed", "WB-species-dilution-info": "0.04-0.4 µg/mL", "WB-species-notes": "<p></p>" } } }

Properties and storage information

Form
Liquid
Purification technique
Affinity purification Immunogen
Storage buffer
pH: 7.2 Preservative: 0.02% Sodium azide Constituents: PBS, 40% Glycerol (glycerin, glycerine)
Shipped at conditions
Blue Ice
Appropriate short-term storage duration
1-2 weeks
Appropriate short-term storage conditions
+4°C
Appropriate long-term storage conditions
-20°C
Aliquoting information
Upon delivery aliquot
Storage information
Avoid freeze / thaw cycle

Supplementary information

This supplementary information is collated from multiple sources and compiled automatically.

STAU2 also known as Staufen double-stranded RNA-binding protein 2 is a protein that plays a mechanical role in RNA binding and localization. It weighs approximately 62 kDa and is expressed widely especially in neuronal tissues. The protein has several RNA recognition motifs that allow it to bind with different RNA molecules facilitating the transport and localization of mRNA within cells. This function is critical for cellular processes like mRNA stability and translation regulation.
Biological function summary

STAU2 influences dynamic cellular processes like the regulation of mRNA degradation and localization contributing to protein synthesis in neurons. It operates as part of a ribonucleoprotein complex which includes other proteins like UPF1 that are important for mRNA surveillance. This complex works to ensure mRNA molecules are properly recognized and processed within the cell highlighting the role of STAU2 in maintaining cellular homeostasis.

Pathways

There is a good integration between STAU2 and molecular pathways such as nonsense-mediated mRNA decay and synaptic plasticity. STAU2 associates with the NMD pathway modulating the degradation of aberrant mRNAs and protecting the cell from dysfunctional proteins. Cells use this interaction with UPF1 and other NMD components to maintain genetic quality control highlighting the coordination between STAU2 and these pathways for proper cellular function.

STAU2 shows relevance to neurological disorders particularly those involving synaptic dysfunction. Aberrations in STAU2 activity are linked to conditions such as schizophrenia and autism spectrum disorders. In the context of these diseases STAU2 interacts with proteins involved in synaptic formation and maintenance highlighting its importance in brain function. STAU2's connection to conditions like these highlights its potential as a target for therapeutic intervention in neurodegenerative diseases.

Product protocols

For this product, it's our understanding that no specific protocols are required. You can visit:

Target data

RNA-binding protein required for the microtubule-dependent transport of neuronal RNA from the cell body to the dendrite. As protein synthesis occurs within the dendrite, the localization of specific mRNAs to dendrites may be a prerequisite for neurite outgrowth and plasticity at sites distant from the cell body (By similarity).
See full target information STAU2

Publications (1)

Recent publications for all applications. Explore the full list and refine your search

Scientific reports 15:25012 PubMed40646006

2025

Tanshinone IIA induces oxidative stress in trophoblast cells and enhances copper dependent death.

Applications

Unspecified application

Species

Unspecified reactive species

Juemeng Du,Xuanyin Wang,Yuerui Zeng,Jingjing Feng,Lisha Yang,Yanxi Huang,Gaopi Deng
View all publications

Product promise

We are committed to supporting your work with high-quality reagents, and we're here for you every step of the way. In the unlikely event that one of our products does not perform as expected, you're protected by our Product Promise.
For full details, please see our Terms & Conditions

Please note: All products are 'FOR RESEARCH USE ONLY. NOT FOR USE IN DIAGNOSTIC OR THERAPEUTIC PROCEDURES'.

For licensing inquiries, please contact partnerships@abcam.com