JavaScript is disabled in your browser. Please enable JavaScript to view this website.
AB325969

Anti-STEAP1 antibody [EPR29701-75] - BSA and Azide free

Be the first to review this product! Submit a review

|

(0 Publication)

Rabbit Recombinant Monoclonal STEAP1 antibody. Carrier free. Suitable for WB, IHC-P and reacts with Transfected cell line - Human, Human samples.

View Alternative Names

PRSS24, STEAP, STEAP1, STEAP1 protein, Six-transmembrane epithelial antigen of prostate 1

7 Images
Immunohistochemistry (Formalin/PFA-fixed paraffin-embedded sections) - Anti-STEAP1 antibody [EPR29701-75] - BSA and Azide free (AB325969)
  • IHC-P

Supplier Data

Immunohistochemistry (Formalin/PFA-fixed paraffin-embedded sections) - Anti-STEAP1 antibody [EPR29701-75] - BSA and Azide free (AB325969)

This data was developed using ab324263, the same antibody clone in a different buffer formulation.

Immunohistochemical analysis of paraffin-embedded (A) LNCaP (human prostate carcinoma epithelial cell) cell pellet. (B) PC-3 (human prostate adenocarcinoma epithelial cell) cell pellet. tissue labeling STEAP1 with ab324263 at 1/100 (5.27 ug/ml) dilution followed by a ready to use LeicaDS9800 (Bond™ Polymer Refine Detection).

Positive staining on (A) LNCaP cell pellet no staining on (B) PC-3 cell pellet.
The primary antibody was incubated for 30 mins at room temperature.
The immunostaining was performed on a Leica Biosystems BOND® RX instrument

Counterstained with Hematoxylin.

Secondary antibody only control : Secondary antibody is a ready to use LeicaDS9800 (Bond™ Polymer Refine Detection).

Heat mediated antigen retrieval was performed with Tris-EDTA buffer (pH 9.0 Epitope Retrieval Solution2) for 20 mins

Immunohistochemistry (Formalin/PFA-fixed paraffin-embedded sections) - Anti-STEAP1 antibody [EPR29701-75] - BSA and Azide free (AB325969)
  • IHC-P

Supplier Data

Immunohistochemistry (Formalin/PFA-fixed paraffin-embedded sections) - Anti-STEAP1 antibody [EPR29701-75] - BSA and Azide free (AB325969)

This data was developed using ab324263, the same antibody clone in a different buffer formulation.

Immunohistochemical analysis of paraffin-embedded Human cerebrum tissue labeling STEAP1 with ab324263 at 1/100 (5.27 ug/ml) dilution followed by a ready to use LeicaDS9800 (Bond™ Polymer Refine Detection).

Low expression tissue : No staining on human cerebrum (PMID : 10588738).
The primary antibody was incubated for 30 mins at room temperature.
The immunostaining was performed on a Leica BiosystemsBOND® RX instrument

Counterstained with Hematoxylin.

Secondary antibody only control : Secondary antibody is a ready to use LeicaDS9800 (Bond™ Polymer Refine Detection).

Heat mediated antigen retrieval was performed with Tris-EDTA buffer (pH 9.0 Epitope Retrieval Solution2) for 20 mins

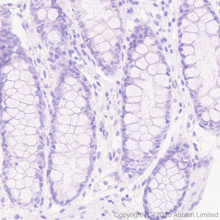
Immunohistochemistry (Formalin/PFA-fixed paraffin-embedded sections) - Anti-STEAP1 antibody [EPR29701-75] - BSA and Azide free (AB325969)
  • IHC-P

Supplier Data

Immunohistochemistry (Formalin/PFA-fixed paraffin-embedded sections) - Anti-STEAP1 antibody [EPR29701-75] - BSA and Azide free (AB325969)

This data was developed using ab324263, the same antibody clone in a different buffer formulation.

Immunohistochemical analysis of paraffin-embedded Human colon tissue labeling STEAP1 with ab324263 at 1/100 (5.27 ug/ml) dilution followed by a ready to use LeicaDS9800 (Bond™ Polymer Refine Detection).

Low expression tissue : No staining on human colon (PMID : 10588738).
The primary antibody was incubated for 30 mins at room temperature.
The immunostaining was performed on a Leica Biosystems BOND® RX instrument

Counterstained with Hematoxylin.

Secondary antibody only control : Secondary antibody is a ready to use LeicaDS9800 (Bond™ Polymer Refine Detection).

Heat mediated antigen retrieval was performed with Tris-EDTA buffer (pH 9.0 Epitope Retrieval Solution2) for 20 mins

Immunohistochemistry (Formalin/PFA-fixed paraffin-embedded sections) - Anti-STEAP1 antibody [EPR29701-75] - BSA and Azide free (AB325969)
  • IHC-P

Lab

Immunohistochemistry (Formalin/PFA-fixed paraffin-embedded sections) - Anti-STEAP1 antibody [EPR29701-75] - BSA and Azide free (AB325969)

This data was developed using ab324263, the same antibody clone in a different buffer formulation.

Immunohistochemical analysis of paraffin-embedded HEK-293T (human embryonic kidney epithelial cell) cells labelling STEAP1 with ab324263 at 1 : 8000 (0.066 µg/ml). Positive staining on (A) HEK-293T transfected with a human STEAP1 expression vector containing a His tag no staining on (B) HEK-293T transfected with a human STEAP1B1 expression vector containing a His tag (C) HEK-293T transfected with a human STEAP1B2 expression vector containing a His tag (D) HEK-293T transfected with a human STEAP2 expression vector containing a His tag (E) HEK-293T transfected with a human STEAP3 expression vector containing a His tag (F) HEK-293T transfected with a human STEAP4 expression vector containing a His tag and (G) HEK-293T transfected with empty vector containing a His tag. The primary antibody was incubated for 30 mins at room temperature.

The immunostaining was performed on a Leica Biosystems BOND® RX instrument. Secondary antibody was a ready to use LeicaDS9800 (Bond™ Polymer Refine Detection) kit.

Counterstained with Hematoxylin.

Slides were incubated with 3% Hydrogen Peroxide for 10 mins at room temperature after secondary antibody incubation to reduce the background.

Heat mediated antigen retrieval was performed with Tris-EDTA buffer (pH 9.0 Epitope Retrieval Solution2) for 20 mins.

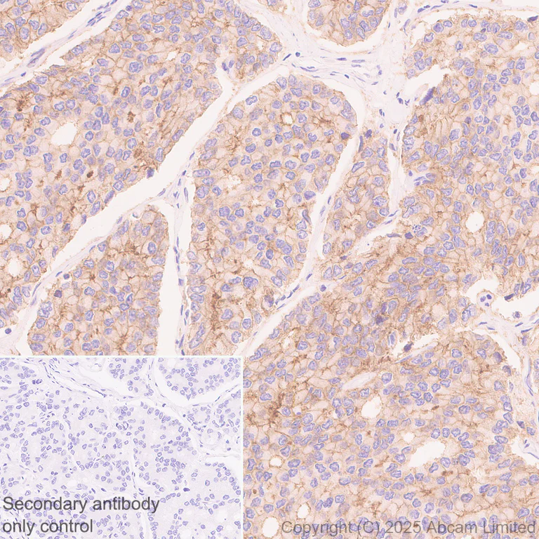
Immunohistochemistry (Formalin/PFA-fixed paraffin-embedded sections) - Anti-STEAP1 antibody [EPR29701-75] - BSA and Azide free (AB325969)
  • IHC-P

Supplier Data

Immunohistochemistry (Formalin/PFA-fixed paraffin-embedded sections) - Anti-STEAP1 antibody [EPR29701-75] - BSA and Azide free (AB325969)

This data was developed using ab324263, the same antibody clone in a different buffer formulation.

Immunohistochemical analysis of paraffin-embedded Human prostate carcinoma tissue labeling STEAP1 with ab324263 at 1/100 (5.27 ug/ml) dilution followed by a ready to use LeicaDS9800 (Bond™ Polymer Refine Detection).

Positive staining on human prostate carcinoma (PMID : 10588738).
The primary antibody was incubated for 30 mins at room temperature.
The immunostaining was performed on a Leica Biosystems BOND® RX instrument

Counterstained with Hematoxylin.

Secondary antibody only control : Secondary antibody is a ready to use LeicaDS9800 (Bond™ Polymer Refine Detection).

Heat mediated antigen retrieval was performed with Tris-EDTA buffer (pH 9.0 Epitope Retrieval Solution2) for 20 mins

Western blot - Anti-STEAP1 antibody [EPR29701-75] - BSA and Azide free (AB325969)
  • WB

Supplier Data

Western blot - Anti-STEAP1 antibody [EPR29701-75] - BSA and Azide free (AB325969)

This data was developed using ab324263, the same antibody clone in a different buffer formulation.

Blocking and diluting buffer and concentration : 5% NFDM/TBST.

Low expression : PC-3 DU 145 (PMID : 37041154).

The expression profile/ molecular weight observed is consistent with what has been described in the literature (PMID : 37041154).

In Western blot Anti-GAPDH antibody [EPR16891] - Loading Control (ab181602) staining at 1/200000 dilution.

All lanes:

Western blot - Anti-STEAP1 antibody [EPR29701-75] (<a href='/en-us/products/primary-antibodies/steap1-antibody-epr29701-75-ab324263'>ab324263</a>) at 1/1000 dilution

Lane 1:

22Rv1 (human prostate carcinoma epithelial cell) whole cell lysate at 20 µg

Lane 2:

LNCaP (human prostate carcinoma epithelial cell) whole cell lysate at 20 µg

Lane 3:

PC-3 (human prostate adenocarcinoma epithelial cell) whole cell lysate at 20 µg

Lane 4:

DU 145 (human prostate carcinoma epithelial cell) whole cell lysate at 20 µg

Secondary

All lanes:

Western blot - Goat Anti-Rabbit IgG H&L (HRP) (<a href='/en-us/products/secondary-antibodies/goat-rabbit-igg-h-l-hrp-ab97051'>ab97051</a>) at 1/20000 dilution

Observed band size: 30 kDa,32 kDa,36 kDa

false

Exposure time: 70s

Western blot - Anti-STEAP1 antibody [EPR29701-75] - BSA and Azide free (AB325969)
  • WB

Supplier Data

Western blot - Anti-STEAP1 antibody [EPR29701-75] - BSA and Azide free (AB325969)

This data was developed using ab324263, the same antibody clone in a different buffer formulation.

Blocking and diluting buffer and concentration : 5% NFDM/TBST.

This antibody does not cross-react with human STEAP1B1 STEAP1B2 STEAP2 STEAP3 STEAP4.

In Western blot Anti-6X His tag® antibody [EPR20547] - ChIP Grade (ab213204) staining at 1/5000 dilution.

All lanes:

Western blot - Anti-STEAP1 antibody [EPR29701-75] (<a href='/en-us/products/primary-antibodies/steap1-antibody-epr29701-75-ab324263'>ab324263</a>) at 1/1000 dilution

Lane 1:

293T cells transfected with an empty vector containing a His-tag, whole cell lysate at 20 µg

Lane 2:

293T cells transfected with a human STEAP1 expression vector containing a His-tag, whole cell lysate at 20 µg

Lane 3:

293T cells transfected with a human STEAP1B1 expression vector containing a His-tag, whole cell lysate at 20 µg

Lane 4:

293T cells transfected with a human STEAP1B2 expression vector containing a His-tag, whole cell lysate at 20 µg

Lane 5:

293T cells transfected with a human STEAP2 expression vector containing a His-tag, whole cell lysate at 20 µg

Lane 6:

293T cells transfected with a human STEAP3 expression vector containing a His-tag, whole cell lysate at 20 µg

Lane 7:

293T cells transfected with a human STEAP4 expression vector containing a His-tag, whole cell lysate at 20 µg

Secondary

All lanes:

Western blot - Goat Anti-Rabbit IgG H&L (HRP) (<a href='/en-us/products/secondary-antibodies/goat-rabbit-igg-h-l-hrp-ab97051'>ab97051</a>) at 1/100000 dilution

Observed band size: 30 kDa,32 kDa,15-50 kDa,15 kDa

false

Exposure time: 6s

Key facts

Host species

Rabbit

Clonality

Monoclonal

Clone number

EPR29701-75

Isotype

IgG

Carrier free

Yes

Reacts with

Human

Applications

IHC-P, WB

applications

Immunogen

The exact immunogen used to generate this antibody is proprietary information.

Reactivity data

{ "title": "Reactivity Data", "filters": { "stats": ["", "Species", "Dilution Info", "Notes"], "tabs": { "all-applications": {"fullname" : "All Applications", "shortname": "All Applications"}, "WB" : {"fullname" : "Western blot", "shortname":"WB"}, "IHCP" : {"fullname" : "Immunohistochemistry (Formalin/PFA-fixed paraffin-embedded sections)", "shortname":"IHC-P"}, "IHCFr" : {"fullname" : "Immunohistochemistry (Frozen sections)", "shortname":"IHC-Fr"} }, "product-promise": { "all": "all", "testedAndGuaranteed": "tested", "guaranteed": "expected", "predicted": "predicted", "notRecommended": "not-recommended" } }, "values": { "Human": { "WB-species-checked": "testedAndGuaranteed", "WB-species-dilution-info": "", "WB-species-notes": "<p></p>", "IHCP-species-checked": "testedAndGuaranteed", "IHCP-species-dilution-info": "", "IHCP-species-notes": "<p></p> Perform heat-mediated antigen retrieval with Tris/EDTA buffer pH 9.0 before commencing with IHC staining protocol.", "IHCFr-species-checked": "notRecommended", "IHCFr-species-dilution-info": "", "IHCFr-species-notes": "" }, "Mouse": { "WB-species-checked": "notRecommended", "WB-species-dilution-info": "", "WB-species-notes": "<p></p>", "IHCP-species-checked": "notRecommended", "IHCP-species-dilution-info": "", "IHCP-species-notes": "<p></p>", "IHCFr-species-checked": "notRecommended", "IHCFr-species-dilution-info": "", "IHCFr-species-notes": "<p></p>" }, "Transfected cell line - Human": { "WB-species-checked": "testedAndGuaranteed", "WB-species-dilution-info": "", "WB-species-notes": "<p></p>", "IHCP-species-checked": "notRecommended", "IHCP-species-dilution-info": "", "IHCP-species-notes": "", "IHCFr-species-checked": "notRecommended", "IHCFr-species-dilution-info": "", "IHCFr-species-notes": "" } } }

Product details

ab325969 is the carrier-free version of ab324263

Patented technology
Our RabMAb® technology is a patented hybridoma-based technology for making rabbit monoclonal antibodies. For details on our patents, please refer to RabMAb® patents.

What are the advantages of a recombinant monoclonal antibody?
This product is a recombinant monoclonal antibody, which offers several advantages including:

  • - High batch-to-batch consistency and reproducibility
  • - Improved sensitivity and specificity
  • - Long-term security of supply
  • - Animal-free batch production

For more information, read more on recombinant antibodies.

Conjugation ready
Our carrier-free antibodies are typically supplied in a PBS-only formulation, purified and free of BSA, sodium azide and glycerol. This conjugation-ready format is designed for use with fluorochromes, metal isotopes, oligonucleotides, and enzymes, which makes them ideal for antibody labelling, functional and cell-based assays, flow-based assays (e.g. mass cytometry) and Multiplex Imaging applications.

Use our conjugation kits for antibody conjugates that are ready-to-use in as little as 20 minutes with 1 minute hands-on-time and 100% antibody recovery: available for fluorescent dyes, HRP, biotin and gold.

Compatibility
This product is compatible with the Maxpar® Antibody Labeling Kit from Fluidigm, without the need for antibody preparation. Maxpar® is a trademark of Fluidigm Canada Inc.

Properties and storage information

Form
Liquid
Purification technique
Affinity purification Protein A
Storage buffer
pH: 7.2 - 7.4 Constituents: PBS
Shipped at conditions
Blue Ice
Appropriate short-term storage conditions
+4°C
Appropriate long-term storage conditions
+4°C
Storage information
Do Not Freeze

Product protocols

For this product, it's our understanding that no specific protocols are required. You can visit:

Target data

Does not function as a metalloreductase due to the absence of binding sites for the electron-donating substrate NADPH. Promotes Fe(3+) reduction when fused to the NADPH-binding domain of STEAP4.
See full target information STEAP1

Product promise

We are committed to supporting your work with high-quality reagents, and we're here for you every step of the way. In the unlikely event that one of our products does not perform as expected, you're protected by our Product Promise.
For full details, please see our Terms & Conditions

Please note: All products are 'FOR RESEARCH USE ONLY. NOT FOR USE IN DIAGNOSTIC OR THERAPEUTIC PROCEDURES'.

For licensing inquiries, please contact partnerships@abcam.com