JavaScript is disabled in your browser. Please enable JavaScript to view this website.
AB324571

Anti-STEAP3 antibody [EPR30543-594] - BSA and Azide free

Be the first to review this product! Submit a review

|

(0 Publication)

Rabbit Recombinant Monoclonal STEAP3 antibody. Carrier free. Suitable for IHC-P, WB and reacts with Transfected cell line - Human, Human samples.

View Alternative Names

TSAP6, STEAP3, Metalloreductase STEAP3, Dudulin-2, Six-transmembrane epithelial antigen of prostate 3, Tumor suppressor-activated pathway protein 6, pHyde, hTSAP6, hpHyde

9 Images
Immunohistochemistry (Formalin/PFA-fixed paraffin-embedded sections) - Anti-STEAP3 antibody [EPR30543-594] - BSA and Azide free (AB324571)
  • IHC-P

Supplier Data

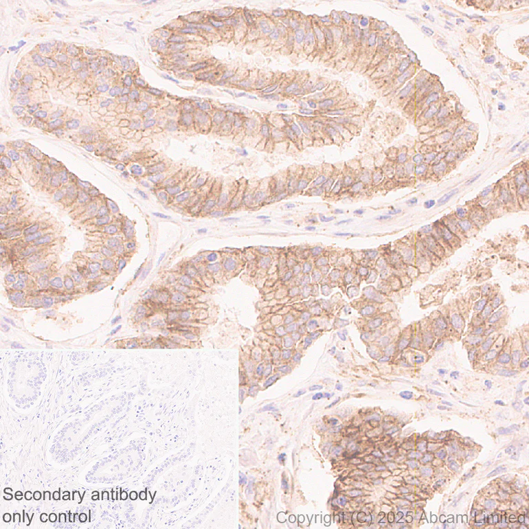
Immunohistochemistry (Formalin/PFA-fixed paraffin-embedded sections) - Anti-STEAP3 antibody [EPR30543-594] - BSA and Azide free (AB324571)

This data was developed using ab324564, the same antibody clone in a different buffer formulation.

Immunohistochemical analysis of paraffin-embedded Human prostatic hyperplasia tissue labeling STEAP3 with ab324564 at 1/500 (1.032 ug/ml) dilution, followed by a ready to use LeicaDS9800 (Bond™ Polymer Refine Detection).

Positive staining on human prostatic hyperplasia. The primary antibody was incubated for 30 mins at room temperature.
The immunostaining was performed on a Leica Biosystems BOND® RX instrument

Counterstained with Hematoxylin.

Secondary antibody only control : Secondary antibody is a ready to use LeicaDS9800 (Bond™ Polymer Refine Detection).

Heat mediated antigen retrieval was performed with Tris-EDTA buffer (pH 9.0, Epitope Retrieval Solution2) for 20 mins

Immunohistochemistry (Formalin/PFA-fixed paraffin-embedded sections) - Anti-STEAP3 antibody [EPR30543-594] - BSA and Azide free (AB324571)
  • IHC-P

Supplier Data

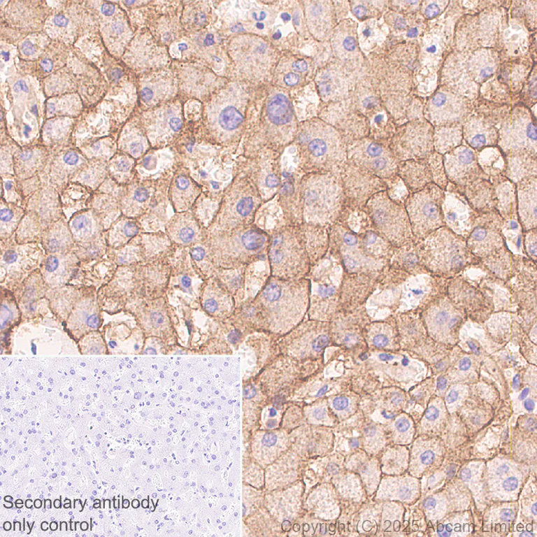
Immunohistochemistry (Formalin/PFA-fixed paraffin-embedded sections) - Anti-STEAP3 antibody [EPR30543-594] - BSA and Azide free (AB324571)

This data was developed using ab324564, the same antibody clone in a different buffer formulation.

Immunohistochemical analysis of paraffin-embedded Human hepatocellular carcinoma and adjacent liver tissue labeling STEAP3 with ab324564 at 1/500 (1.032 ug/ml) dilution, followed by a ready to use LeicaDS9800 (Bond™ Polymer Refine Detection).

Positive staining observed in adjacent human liver tissue, with reduced expression of STEAP3 in hepatocellular carcinoma tissue. The primary antibody was incubated for 30 mins at room temperature.
The immunostaining was performed on a Leica Biosystems BOND® RX instrument

Counterstained with Hematoxylin.

Secondary antibody only control : Secondary antibody is a ready to use LeicaDS9800 (Bond™ Polymer Refine Detection).

Heat mediated antigen retrieval was performed with Tris-EDTA buffer (pH 9.0, Epitope Retrieval Solution2) for 20 mins

Immunohistochemistry (Formalin/PFA-fixed paraffin-embedded sections) - Anti-STEAP3 antibody [EPR30543-594] - BSA and Azide free (AB324571)
  • IHC-P

Supplier Data

Immunohistochemistry (Formalin/PFA-fixed paraffin-embedded sections) - Anti-STEAP3 antibody [EPR30543-594] - BSA and Azide free (AB324571)

This data was developed using ab324564, the same antibody clone in a different buffer formulation.

Immunohistochemical analysis of paraffin-embedded Human liver tissue labeling STEAP3 with ab324564 at 1/500 (1.032 ug/ml) dilution, followed by a ready to use LeicaDS9800 (Bond™ Polymer Refine Detection).

Positive staining on human liver. The primary antibody was incubated for 30 mins at room temperature.
The immunostaining was performed on a Leica Biosystems BOND® RX instrument

Counterstained with Hematoxylin.

Secondary antibody only control : Secondary antibody is a ready to use LeicaDS9800 (Bond™ Polymer Refine Detection).

Heat mediated antigen retrieval was performed with Tris-EDTA buffer (pH 9.0, Epitope Retrieval Solution2) for 20 mins

Immunohistochemistry (Formalin/PFA-fixed paraffin-embedded sections) - Anti-STEAP3 antibody [EPR30543-594] - BSA and Azide free (AB324571)
  • IHC-P

Supplier Data

Immunohistochemistry (Formalin/PFA-fixed paraffin-embedded sections) - Anti-STEAP3 antibody [EPR30543-594] - BSA and Azide free (AB324571)

This data was developed using ab324564, the same antibody clone in a different buffer formulation.

Immunohistochemical analysis of paraffin-embedded (A) HepG2 (human hepatocellular carcinoma epithelial cell) cell pellet (B) Jurkat (Human T cell leukemia T lymphocyte from peripheral blood) cell pellet tissue labeling STEAP3 with ab324564 at 1/200 (2.58 ug/ml) dilution, followed by a ready to use LeicaDS9800 (Bond™ Polymer Refine Detection).

Positive staining on HepG2 cell pellet (image A) and no staining on Jurkat cell pellet (image B). The primary antibody was incubated for 30 mins at room temperature.
The immunostaining was performed on a Leica Biosystems BOND® RX instrument

Counterstained with Hematoxylin.

Secondary antibody only control : Secondary antibody is a ready to use LeicaDS9800 (Bond™ Polymer Refine Detection).

Heat mediated antigen retrieval was performed with Tris-EDTA buffer (pH 9.0, Epitope Retrieval Solution2) for 20 mins

Western blot - Anti-STEAP3 antibody [EPR30543-594] - BSA and Azide free (AB324571)
  • WB

Supplier Data

Western blot - Anti-STEAP3 antibody [EPR30543-594] - BSA and Azide free (AB324571)

This data was developed using ab324564, the same antibody clone in a different buffer formulation.

Blocking and diluting buffer and concentration : 5% NFDM/TBST.

Low expression : stomach, testis, pancreas

The samples are unboiled.

STEAP3 is a glycoprotein of approximately 51 kDa. The non-glycosylated form is detected at 42 kDa.

In Western blot, Anti-GAPDH antibody [EPR16891] - Loading Control (ab181602) staining at 1/200000 dilution.

All lanes:

Western blot - Anti-STEAP3 antibody [EPR30543-594] (<a href='/en-us/products/primary-antibodies/steap3-antibody-epr30543-594-ab324564'>ab324564</a>) at 1/1000 dilution

Lane 1:

Human liver tissue lysate at 50 µg

Lane 2:

Human stomach tissue lysate at 50 µg

Lane 3:

Human testis tissue lysate at 50 µg

Lane 4:

Human pancreas tissue lysate at 50 µg

Secondary

All lanes:

Goat Anti-Rabbit IgG (HRP) with minimal cross-reactivity with human IgG at 1/2000 dilution

false

Exposure time: 8s

Western blot - Anti-STEAP3 antibody [EPR30543-594] - BSA and Azide free (AB324571)
  • WB

Supplier Data

Western blot - Anti-STEAP3 antibody [EPR30543-594] - BSA and Azide free (AB324571)

This data was developed using ab324564, the same antibody clone in a different buffer formulation.

Blocking and diluting buffer and concentration : 5% NFDM/TBST.

Negative control : Jurkat(PMID : 22522456)

STEAP3 is a glycoprotein of approximately 51 kDa and is detected as a 42 kDa band after treatment with the deglycosylation enzyme Peptide : N-glycosidase F (PNGase F).

The samples are unboiled.

In Western blot, Anti-GAPDH antibody [EPR16891] - Loading Control (ab181602) staining at 1/200000 dilution.

All lanes:

Western blot - Anti-STEAP3 antibody [EPR30543-594] (<a href='/en-us/products/primary-antibodies/steap3-antibody-epr30543-594-ab324564'>ab324564</a>) at 1/1000 dilution

Lane 1:

Untreated HepG2 (human hepatocellular carcinoma epithelial cell) whole cell lysate at 50 µg

Lane 2:

HepG2 lysate treated with Protein Deglycosylation Peptide:N-glycosidase F (PNGase F) at 50 µg

Lane 3:

Jurkat (human T cell leukemia T lymphocyte from peripheral blood) whole cell lysate at 50 µg

Secondary

All lanes:

Goat Anti-Rabbit IgG (HRP) with minimal cross-reactivity with human IgG at 1/2000 dilution

false

Exposure time: 92s

Immunohistochemistry (Formalin/PFA-fixed paraffin-embedded sections) - Anti-STEAP3 antibody [EPR30543-594] - BSA and Azide free (AB324571)
  • IHC-P

Supplier Data

Immunohistochemistry (Formalin/PFA-fixed paraffin-embedded sections) - Anti-STEAP3 antibody [EPR30543-594] - BSA and Azide free (AB324571)

This data was developed using ab324564, the same antibody clone in a different buffer formulation.

Immunohistochemical analysis of paraffin-embedded Human cardiac muscle tissue labeling STEAP3 with ab324564 at 1/500 (1.032 ug/ml) dilution, followed by a ready to use LeicaDS9800 (Bond™ Polymer Refine Detection).

Low expression tissue : no staining on human cardiac muscle (PMID : 12606722). The primary antibody was incubated for 30 mins at room temperature.
The immunostaining was performed on a Leica Biosystems BOND® RX instrument

Counterstained with Hematoxylin.

Secondary antibody only control : Secondary antibody is a ready to use LeicaDS9800 (Bond™ Polymer Refine Detection).

Heat mediated antigen retrieval was performed with Tris-EDTA buffer (pH 9.0, Epitope Retrieval Solution2) for 20 mins

Immunohistochemistry (Formalin/PFA-fixed paraffin-embedded sections) - Anti-STEAP3 antibody [EPR30543-594] - BSA and Azide free (AB324571)
  • IHC-P

Supplier Data

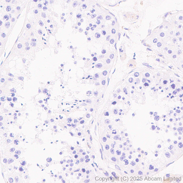
Immunohistochemistry (Formalin/PFA-fixed paraffin-embedded sections) - Anti-STEAP3 antibody [EPR30543-594] - BSA and Azide free (AB324571)

This data was developed using ab324564, the same antibody clone in a different buffer formulation.

Immunohistochemical analysis of paraffin-embedded Human testis tissue labeling STEAP3 with ab324564 at 1/500 (1.032 ug/ml) dilution, followed by a ready to use LeicaDS9800 (Bond™ Polymer Refine Detection).

Low expression tissue : no staining on human testis. The primary antibody was incubated for 30 mins at room temperature.
The immunostaining was performed on a Leica Biosystems BOND® RX instrument

Counterstained with Hematoxylin.

Secondary antibody only control : Secondary antibody is a ready to use LeicaDS9800 (Bond™ Polymer Refine Detection).

Heat mediated antigen retrieval was performed with Tris-EDTA buffer (pH 9.0, Epitope Retrieval Solution2) for 20 mins

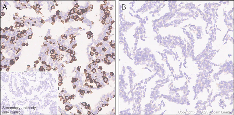
Immunohistochemistry (Formalin/PFA-fixed paraffin-embedded sections) - Anti-STEAP3 antibody [EPR30543-594] - BSA and Azide free (AB324571)
  • IHC-P

Supplier Data

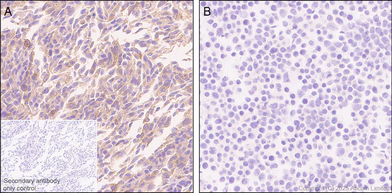
Immunohistochemistry (Formalin/PFA-fixed paraffin-embedded sections) - Anti-STEAP3 antibody [EPR30543-594] - BSA and Azide free (AB324571)

This data was developed using ab324564, the same antibody clone in a different buffer formulation.

Immunohistochemical analysis of paraffin-embedded (A) HEK-293T (human embryonic kidney epithelial cell) transfected with a Human STEAP3 expression vector containing a Myc-His tag. (B) HEK-293T transfected with empty vector containing a Myc-His tag. tissue labeling STEAP3 with ab324564 at 1/2000 (0.258 ug/ml) dilution, followed by a ready to use LeicaDS9800 (Bond™ Polymer Refine Detection).

Positive staining on HEK-293T transfected with a Myc-His-tagged Human STEAP3 construct (image A) and no staining on (B) HEK-293T transfected with empty vector containing a Myc-His tag. The primary antibody was incubated for 30 mins at room temperature.
The immunostaining was performed on a Leica Biosystems BOND® RX instrument

Counterstained with Hematoxylin.

Secondary antibody only control : Secondary antibody is a ready to use LeicaDS9800 (Bond™ Polymer Refine Detection).

Heat mediated antigen retrieval was performed with Tris-EDTA buffer (pH 9.0, Epitope Retrieval Solution2) for 20 mins

Key facts

Host species

Rabbit

Clonality

Monoclonal

Clone number

EPR30543-594

Isotype

IgG

Carrier free

Yes

Reacts with

Human

Applications

WB, IHC-P

applications

Immunogen

The exact immunogen used to generate this antibody is proprietary information.

Reactivity data

{ "title": "Reactivity Data", "filters": { "stats": ["", "Species", "Dilution Info", "Notes"], "tabs": { "all-applications": {"fullname" : "All Applications", "shortname": "All Applications"}, "IHCP" : {"fullname" : "Immunohistochemistry (Formalin/PFA-fixed paraffin-embedded sections)", "shortname":"IHC-P"}, "WB" : {"fullname" : "Western blot", "shortname":"WB"}, "ICCIF" : {"fullname" : "Immunocytochemistry/ Immunofluorescence", "shortname":"ICC/IF"} }, "product-promise": { "all": "all", "testedAndGuaranteed": "tested", "guaranteed": "expected", "predicted": "predicted", "notRecommended": "not-recommended" } }, "values": { "Human": { "IHCP-species-checked": "testedAndGuaranteed", "IHCP-species-dilution-info": "", "IHCP-species-notes": "<p></p> Perform heat-mediated antigen retrieval with Tris/EDTA buffer pH 9.0 before commencing with IHC staining protocol.", "WB-species-checked": "testedAndGuaranteed", "WB-species-dilution-info": "", "WB-species-notes": "<p></p>", "ICCIF-species-checked": "notRecommended", "ICCIF-species-dilution-info": "", "ICCIF-species-notes": "" }, "Mouse": { "IHCP-species-checked": "notRecommended", "IHCP-species-dilution-info": "", "IHCP-species-notes": "<p></p>", "WB-species-checked": "notRecommended", "WB-species-dilution-info": "", "WB-species-notes": "<p></p>", "ICCIF-species-checked": "notRecommended", "ICCIF-species-dilution-info": "", "ICCIF-species-notes": "<p></p>" }, "Transfected cell line - Human": { "IHCP-species-checked": "testedAndGuaranteed", "IHCP-species-dilution-info": "", "IHCP-species-notes": "<p></p> Perform heat-mediated antigen retrieval with Tris/EDTA buffer pH 9.0 before commencing with IHC staining protocol.", "WB-species-checked": "notRecommended", "WB-species-dilution-info": "", "WB-species-notes": "", "ICCIF-species-checked": "notRecommended", "ICCIF-species-dilution-info": "", "ICCIF-species-notes": "" } } }

Product details

ab324571 is the carrier-free version of ab324564

Patented technology
Our RabMAb® technology is a patented hybridoma-based technology for making rabbit monoclonal antibodies. For details on our patents, please refer to RabMAb® patents.

What are the advantages of a recombinant monoclonal antibody?
This product is a recombinant monoclonal antibody, which offers several advantages including:

  • - High batch-to-batch consistency and reproducibility
  • - Improved sensitivity and specificity
  • - Long-term security of supply
  • - Animal-free batch production

For more information, read more on recombinant antibodies.

Conjugation ready
Our carrier-free antibodies are typically supplied in a PBS-only formulation, purified and free of BSA, sodium azide and glycerol. This conjugation-ready format is designed for use with fluorochromes, metal isotopes, oligonucleotides, and enzymes, which makes them ideal for antibody labelling, functional and cell-based assays, flow-based assays (e.g. mass cytometry) and Multiplex Imaging applications.

Use our conjugation kits for antibody conjugates that are ready-to-use in as little as 20 minutes with 1 minute hands-on-time and 100% antibody recovery: available for fluorescent dyes, HRP, biotin and gold.

Compatibility
This product is compatible with the Maxpar® Antibody Labeling Kit from Fluidigm, without the need for antibody preparation. Maxpar® is a trademark of Fluidigm Canada Inc.

Properties and storage information

Form
Liquid
Purification technique
Affinity purification Protein A
Storage buffer
pH: 7.2 - 7.4 Constituents: 100% PBS
Shipped at conditions
Blue Ice
Appropriate short-term storage conditions
+4°C
Appropriate long-term storage conditions
+4°C

Product protocols

For this product, it's our understanding that no specific protocols are required. You can visit:

Target data

Integral membrane protein that functions as a NADPH-dependent ferric-chelate reductase, using NADPH from one side of the membrane to reduce a Fe(3+) chelate that is bound on the other side of the membrane (PubMed : 26205815). Mediates sequential transmembrane electron transfer from NADPH to FAD and onto heme, and finally to the Fe(3+) chelate (By similarity). Can also reduce Cu(2+) to Cu(1+) (By similarity). Mediates efficient transferrin-dependent iron uptake in erythroid cells (By similarity). May play a role downstream of p53/TP53 to interface apoptosis and cell cycle progression (By similarity). Indirectly involved in exosome secretion by facilitating the secretion of proteins such as TCTP (PubMed : 15319436, PubMed : 16651434).
See full target information STEAP3

Product promise

We are committed to supporting your work with high-quality reagents, and we're here for you every step of the way. In the unlikely event that one of our products does not perform as expected, you're protected by our Product Promise.
For full details, please see our Terms & Conditions

Please note: All products are 'FOR RESEARCH USE ONLY. NOT FOR USE IN DIAGNOSTIC OR THERAPEUTIC PROCEDURES'.

For licensing inquiries, please contact partnerships@abcam.com