JavaScript is disabled in your browser. Please enable JavaScript to view this website.
AB324836

Anti-STELLAR antibody [EPR29225-183] - BSA and Azide free

Be the first to review this product! Submit a review

|

(0 Publication)

Rabbit Recombinant Monoclonal STELLAR antibody. Carrier free. Suitable for ICC/IF, IHC-P, WB and reacts with Human samples.

View Alternative Names

STELLAR, DPPA3, Developmental pluripotency-associated protein 3, Stella-related protein

5 Images
Immunohistochemistry (Formalin/PFA-fixed paraffin-embedded sections) - Anti-STELLAR antibody [EPR29225-183] - BSA and Azide free (AB324836)
  • IHC-P

Supplier Data

Immunohistochemistry (Formalin/PFA-fixed paraffin-embedded sections) - Anti-STELLAR antibody [EPR29225-183] - BSA and Azide free (AB324836)

This data was developed using ab322458, the same antibody clone in a different buffer formulation.

Immunohistochemical analysis of paraffin-embedded Human cerebrum tissue labeling STELLAR with ab322458 at 1/1000 (0.48 ug/ml) dilution, followed by a ready to use LeicaDS9800 (Bond™ Polymer Refine Detection).

Negative control : no staining on human cerebrum (PMID : 14990856).
The section was incubated with ab322458 for 30 mins at room temperature.
The immunostaining was performed on a Leica Biosystems BOND® RX instrument

Counterstained with Hematoxylin.

Secondary antibody only control : Secondary antibody is a ready to use LeicaDS9800 (Bond™ Polymer Refine Detection).

Heat mediated antigen retrieval was performed with Tris-EDTA buffer (pH 9.0, Epitope Retrieval Solution2) for 20 mins

Immunocytochemistry/ Immunofluorescence - Anti-STELLAR antibody [EPR29225-183] - BSA and Azide free (AB324836)
  • ICC/IF

Supplier Data

Immunocytochemistry/ Immunofluorescence - Anti-STELLAR antibody [EPR29225-183] - BSA and Azide free (AB324836)

This data was developed using ab322458, the same antibody clone in a different buffer formulation.

Immunofluorescent analysis of 4% Paraformaldehyde-fixed, 0.1% TritonX-100 permeabilized NCCIT (human pluripotent embryonic carcinoma epithelial cell) cells labelling STELLAR with ab322458 at 1/50 (9.6 ug/ml) dilution, followed by ab150081 Goat Anti-Rabbit IgG H&L (Alexa Fluor® 488) preadsorbed antibody at 1/1000 2ug/ml dilution (Green).

Confocal image showing nuclear staining in NCCIT cell line (shown in green). The counterstain was observed in magenta. Nuclear DNA was labelled with DAPI (shown in blue).
Negative control : THP-1.
Image was taken with a confocal microscope (Leica-Microsystems, TCS SP8).

ab195889 Anti-alpha Tubulin mouse monoclonal antibody - Microtubule Marker (Alexa Fluor® 594) was used to counterstain tubulin at 1/200 2.5ug/ml dilution (Magenta).

Secondary antibody only control : Secondary antibody is ab150081 Goat Anti-Rabbit IgG H&L (Alexa Fluor® 488) preadsorbed at 1/1000 2ug/ml dilution.

Immunohistochemistry (Formalin/PFA-fixed paraffin-embedded sections) - Anti-STELLAR antibody [EPR29225-183] - BSA and Azide free (AB324836)
  • IHC-P

Supplier Data

Immunohistochemistry (Formalin/PFA-fixed paraffin-embedded sections) - Anti-STELLAR antibody [EPR29225-183] - BSA and Azide free (AB324836)

This data was developed using ab322458, the same antibody clone in a different buffer formulation.

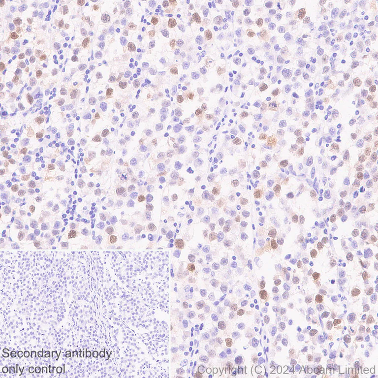
Immunohistochemical analysis of paraffin-embedded Human seminoma tissue labeling STELLAR with ab322458 at 1/1000 (0.48 ug/ml) dilution, followed by a ready to use LeicaDS9800 (Bond™ Polymer Refine Detection).

Positive staining on human seminoma.
The section was incubated with ab322458 for 30 mins at room temperature.
The immunostaining was performed on a Leica Biosystems BOND® RX instrument

Counterstained with Hematoxylin.

Secondary antibody only control : Secondary antibody is a ready to use LeicaDS9800 (Bond™ Polymer Refine Detection).

Heat mediated antigen retrieval was performed with Tris-EDTA buffer (pH 9.0, Epitope Retrieval Solution2) for 20 mins

Immunohistochemistry (Formalin/PFA-fixed paraffin-embedded sections) - Anti-STELLAR antibody [EPR29225-183] - BSA and Azide free (AB324836)
  • IHC-P

Supplier Data

Immunohistochemistry (Formalin/PFA-fixed paraffin-embedded sections) - Anti-STELLAR antibody [EPR29225-183] - BSA and Azide free (AB324836)

This data was developed using ab322458, the same antibody clone in a different buffer formulation.

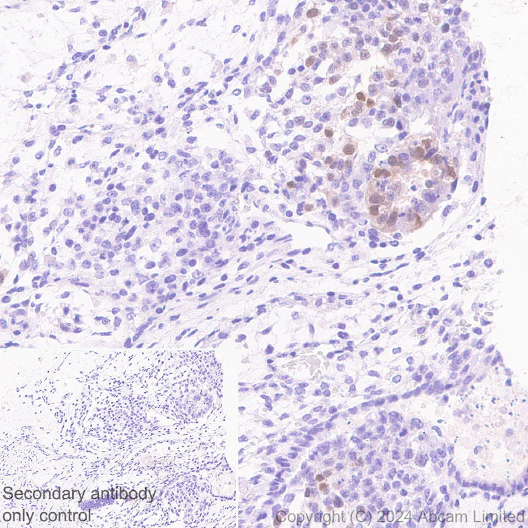
Immunohistochemical analysis of paraffin-embedded Human teratoma tissue labeling STELLAR with ab322458 at 1/1000 (0.48 ug/ml) dilution, followed by a ready to use LeicaDS9800 (Bond™ Polymer Refine Detection).

Positive staining on human teratoma.
The section was incubated with ab322458 for 30 mins at room temperature.
The immunostaining was performed on a Leica Biosystems BOND® RX instrument

Counterstained with Hematoxylin.

Secondary antibody only control : Secondary antibody is a ready to use LeicaDS9800 (Bond™ Polymer Refine Detection).

Heat mediated antigen retrieval was performed with Tris-EDTA buffer (pH 9.0, Epitope Retrieval Solution2) for 20 mins

Western blot - Anti-STELLAR antibody [EPR29225-183] - BSA and Azide free (AB324836)
  • WB

Supplier Data

Western blot - Anti-STELLAR antibody [EPR29225-183] - BSA and Azide free (AB324836)

This data was developed using ab322458, the same antibody clone in a different buffer formulation.

Blocking and diluting buffer and concentration : 5% NFDM/TBST.

Negative control : THP-1, HeLa, A549, HEK-293.

The identity of the bands higher than 25 kDa are unknown.

In Western blot, Anti-GAPDH antibody [EPR16891] - Loading Control (ab181602) staining at 1/200000 dilution.

All lanes:

Western blot - Anti-STELLAR antibody [EPR29225-183] (<a href='/en-us/products/primary-antibodies/stellar-antibody-epr29225-183-ab322458'>ab322458</a>) at 1/1000 dilution

Lane 1:

NCCIT (human pluripotent embryonic carcinoma epithelial cell) whole cell lysate at 20 µg

Lane 2:

THP-1 (human monocytic leukemia monocyte) whole cell lysate at 20 µg

Lane 3:

HeLa (human cervical adenocarcinoma epithelial cell) whole cell lysate at 20 µg

Lane 4:

A549 (human lung carcinoma epithelial cell) whole cell lysate at 20 µg

Lane 5:

HEK-293 (human embryonic kidney epithelial cell) whole cell lysate at 20 µg

Secondary

All lanes:

Western blot - Goat Anti-Rabbit IgG H&L (HRP) (<a href='/en-us/products/secondary-antibodies/goat-rabbit-igg-h-l-hrp-ab97051'>ab97051</a>) at 1/20000 dilution

Observed band size: 18 kDa,36 kDa

false

Exposure time: 15s

Key facts

Host species

Rabbit

Clonality

Monoclonal

Clone number

EPR29225-183

Isotype

IgG

Carrier free

Yes

Reacts with

Human

Applications

ICC/IF, WB, IHC-P

applications

Immunogen

The exact immunogen used to generate this antibody is proprietary information.

Reactivity data

{ "title": "Reactivity Data", "filters": { "stats": ["", "Species", "Dilution Info", "Notes"], "tabs": { "all-applications": {"fullname" : "All Applications", "shortname": "All Applications"}, "ICCIF" : {"fullname" : "Immunocytochemistry/ Immunofluorescence", "shortname":"ICC/IF"}, "IHCP" : {"fullname" : "Immunohistochemistry (Formalin/PFA-fixed paraffin-embedded sections)", "shortname":"IHC-P"}, "WB" : {"fullname" : "Western blot", "shortname":"WB"} }, "product-promise": { "all": "all", "testedAndGuaranteed": "tested", "guaranteed": "expected", "predicted": "predicted", "notRecommended": "not-recommended" } }, "values": { "Human": { "ICCIF-species-checked": "testedAndGuaranteed", "ICCIF-species-dilution-info": "", "ICCIF-species-notes": "<p></p>", "IHCP-species-checked": "testedAndGuaranteed", "IHCP-species-dilution-info": "", "IHCP-species-notes": "<p></p> Perform heat-mediated antigen retrieval with Tris/EDTA buffer pH 9.0 before commencing with IHC staining protocol.", "WB-species-checked": "testedAndGuaranteed", "WB-species-dilution-info": "", "WB-species-notes": "<p></p>" }, "Mouse": { "ICCIF-species-checked": "notRecommended", "ICCIF-species-dilution-info": "", "ICCIF-species-notes": "<p></p>", "IHCP-species-checked": "notRecommended", "IHCP-species-dilution-info": "", "IHCP-species-notes": "", "WB-species-checked": "notRecommended", "WB-species-dilution-info": "", "WB-species-notes": "<p></p>" } } }

Product details

ab324836 is the carrier-free version of ab322458.

Patented technology
Our RabMAb® technology is a patented hybridoma-based technology for making rabbit monoclonal antibodies. For details on our patents, please refer to RabMAb® patents.

What are the advantages of a recombinant monoclonal antibody?
This product is a recombinant monoclonal antibody, which offers several advantages including:

  • - High batch-to-batch consistency and reproducibility
  • - Improved sensitivity and specificity
  • - Long-term security of supply
  • - Animal-free batch production

For more information, read more on recombinant antibodies.

Conjugation ready
Our carrier-free antibodies are typically supplied in a PBS-only formulation, purified and free of BSA, sodium azide and glycerol. This conjugation-ready format is designed for use with fluorochromes, metal isotopes, oligonucleotides, and enzymes, which makes them ideal for antibody labelling, functional and cell-based assays, flow-based assays (e.g. mass cytometry) and Multiplex Imaging applications.

Use our conjugation kits for antibody conjugates that are ready-to-use in as little as 20 minutes with 1 minute hands-on-time and 100% antibody recovery: available for fluorescent dyes, HRP, biotin and gold.

Compatibility
This product is compatible with the Maxpar® Antibody Labeling Kit from Fluidigm, without the need for antibody preparation. Maxpar® is a trademark of Fluidigm Canada Inc.

Properties and storage information

Form
Liquid
Purification technique
Affinity purification Protein A
Storage buffer
pH: 7.2 - 7.4 Constituents: 100% PBS
Shipped at conditions
Blue Ice
Appropriate short-term storage conditions
+4°C
Appropriate long-term storage conditions
+4°C

Product protocols

For this product, it's our understanding that no specific protocols are required. You can visit:

Target data

Primordial germ cell (PGCs)-specific protein involved in epigenetic chromatin reprogramming in the zygote following fertilization (PubMed : 35314832). In zygotes, DNA demethylation occurs selectively in the paternal pronucleus before the first cell division, while the adjacent maternal pronucleus and certain paternally-imprinted loci are protected from this process (By similarity). Participates in protection of DNA methylation in the maternal pronucleus by preventing conversion of 5mC to 5hmC : specifically recognizes and binds histone H3 dimethylated at 'Lys-9' (H3K9me2) on maternal genome, and protects maternal genome from TET3-mediated conversion to 5hmC and subsequent DNA demethylation (By similarity). Does not bind paternal chromatin, which is mainly packed into protamine and does not contain much H3K9me2 mark (By similarity). Also protects imprinted loci that are marked with H3K9me2 in mature sperm from DNA demethylation in early embryogenesis (By similarity). May be important for the totipotent/pluripotent states continuing through preimplantation development (By similarity). Also involved in chromatin condensation in oocytogenesis (By similarity).
See full target information DPPA3

Product promise

We are committed to supporting your work with high-quality reagents, and we're here for you every step of the way. In the unlikely event that one of our products does not perform as expected, you're protected by our Product Promise.
For full details, please see our Terms & Conditions

Please note: All products are 'FOR RESEARCH USE ONLY. NOT FOR USE IN DIAGNOSTIC OR THERAPEUTIC PROCEDURES'.

For licensing inquiries, please contact partnerships@abcam.com