JavaScript is disabled in your browser. Please enable JavaScript to view this website.
AB217317

Anti-Steroidogenic Factor 1/SF-1 antibody [EPR19744]

Be the first to review this product! Submit a review

|

(16 Publications)

Anti-Steroidogenic Factor 1/SF-1 antibody [EPR19744] (ab217317) is a rabbit monoclonal antibody detecting Steroidogenic Factor 1/SF-1 in IHC-P. Suitable for Human.

- Biophysical QC for unrivalled batch-batch consistency

View Alternative Names

AD4BP, FTZF1, SF1, NR5A1, Steroidogenic factor 1, SF-1, STF-1, hSF-1, Adrenal 4-binding protein, Fushi tarazu factor homolog 1, Nuclear receptor subfamily 5 group A member 1, Steroid hormone receptor Ad4BP

6 Images
Immunohistochemistry (Formalin/PFA-fixed paraffin-embedded sections) - Anti-Steroidogenic Factor 1/SF-1 antibody [EPR19744] (AB217317)
  • IHC-P

Supplier Data

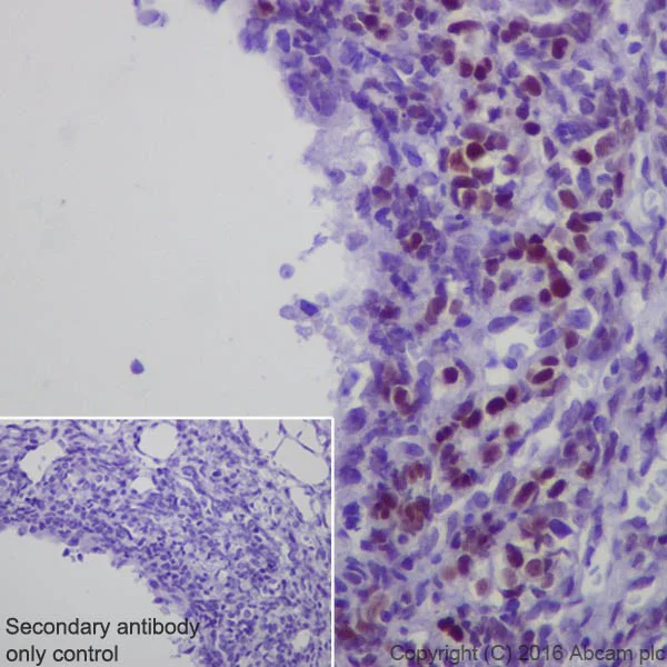
Immunohistochemistry (Formalin/PFA-fixed paraffin-embedded sections) - Anti-Steroidogenic Factor 1/SF-1 antibody [EPR19744] (AB217317)

Immunohistochemical analysis of paraffin-embedded human adrenal cancer tissue labeling Steroidogenic Factor 1/SF-1 with ab217317 at 1/2000 dilution, followed by Goat Anti-Rabbit IgG H&L (HRP) Ready to use. Nuclear staining on human adrenal cancer is observed [PMID : 20660055]. Counter stained with Hematoxylin.

Secondary antibody only control : Used PBS instead of primary antibody, secondary antibody is Goat Anti-Rabbit IgG H&L (HRP) Ready to use.

Perform heat mediated antigen retrieval with Tris/EDTA buffer pH 9.0 before commencing with IHC staining protocol.

Immunohistochemistry (Formalin/PFA-fixed paraffin-embedded sections) - Anti-Steroidogenic Factor 1/SF-1 antibody [EPR19744] (AB217317)
  • IHC-P

Supplier Data

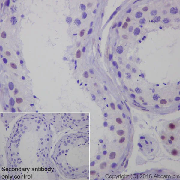
Immunohistochemistry (Formalin/PFA-fixed paraffin-embedded sections) - Anti-Steroidogenic Factor 1/SF-1 antibody [EPR19744] (AB217317)

Immunohistochemical analysis of paraffin-embedded human testis tissue labeling Steroidogenic Factor 1/SF-1 with ab217317 at 1/2000 dilution, followed by Goat Anti-Rabbit IgG H&L (HRP) Ready to use. Nuclear staining on human testis is observed [PMID : 10370224]. Counter stained with Hematoxylin.

Secondary antibody only control : Used PBS instead of primary antibody, secondary antibody is Goat Anti-Rabbit IgG H&L (HRP) Ready to use.

Perform heat mediated antigen retrieval with Tris/EDTA buffer pH 9.0 before commencing with IHC staining protocol.

Immunohistochemistry (Formalin/PFA-fixed paraffin-embedded sections) - Anti-Steroidogenic Factor 1/SF-1 antibody [EPR19744] (AB217317)
  • IHC-P

Supplier Data

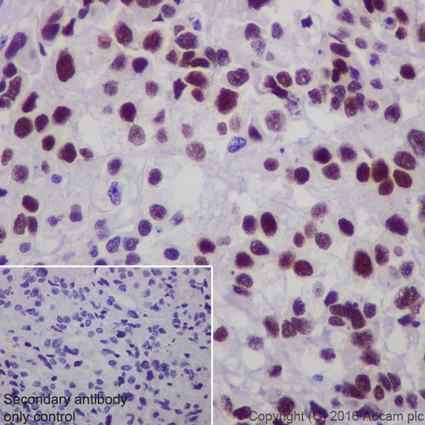
Immunohistochemistry (Formalin/PFA-fixed paraffin-embedded sections) - Anti-Steroidogenic Factor 1/SF-1 antibody [EPR19744] (AB217317)

Immunohistochemical analysis of paraffin-embedded human ovary tissue labeling Steroidogenic Factor 1/SF-1 with ab217317 at 1/2000 dilution, followed by Goat Anti-Rabbit IgG H&L (HRP) Ready to use. Nuclear staining on human ovary is observed [PMID : 20660055] [PMID : 10370224]. Counter stained with Hematoxylin.

Secondary antibody only control : Used PBS instead of primary antibody, secondary antibody is Goat Anti-Rabbit IgG H&L (HRP) Ready to use.

Perform heat mediated antigen retrieval with Tris/EDTA buffer pH 9.0 before commencing with IHC staining protocol.

ChIC/CUT&RUN sequencing - Anti-Steroidogenic Factor 1/SF-1 antibody [EPR19744] (AB217317)
  • ChIC/CUT&RUN-seq

Lab

ChIC/CUT&RUN sequencing - Anti-Steroidogenic Factor 1/SF-1 antibody [EPR19744] (AB217317)

ChIC/CUT&RUN was performed using a pAG-MNase at a final concentration of 700 ng/mL, 2.5 x 105 HepG2 (human hepatocellular carcinoma epithelial cell) cells and 5 µg of ab217317 [EPR19744]. The resulting DNA was sequenced on the Illumina NovaSeq 6000 to a depth of 10 million reads. The negative IgG control ab172730 is also shown.

The University of Geneva owns patents relevant to ChIC (Chromatin Immuno-Cleavage) methods.

ChIC/CUT&RUN sequencing - Anti-Steroidogenic Factor 1/SF-1 antibody [EPR19744] (AB217317)
  • ChIC/CUT&RUN-seq

Lab

ChIC/CUT&RUN sequencing - Anti-Steroidogenic Factor 1/SF-1 antibody [EPR19744] (AB217317)

ChIC/CUT&RUN was performed using a pAG-MNase at a final concentration of 700 ng/mL, 2.5 x 105 HepG2 (human hepatocellular carcinoma epithelial cell) cells and 5 µg of ab217317 [EPR19744]. The resulting DNA was sequenced on the Illumina NovaSeq 6000 to a depth of 10 million reads. The negative IgG control ab172730 is also shown.

The University of Geneva owns patents relevant to ChIC (Chromatin Immuno-Cleavage) methods.

ChIC/CUT&RUN sequencing - Anti-Steroidogenic Factor 1/SF-1 antibody [EPR19744] (AB217317)
  • ChIC/CUT&RUN-seq

Lab

ChIC/CUT&RUN sequencing - Anti-Steroidogenic Factor 1/SF-1 antibody [EPR19744] (AB217317)

ChIC/CUT&RUN was performed using a pAG-MNase at a final concentration of 700 ng/mL, 2.5 x 105 HepG2 (human hepatocellular carcinoma epithelial cell) cells and 5 µg of ab217317 [EPR19744]. The resulting DNA was sequenced on the Illumina NovaSeq 6000 to a depth of 10 million reads. The negative IgG control ab172730 is also shown.

The University of Geneva owns patents relevant to ChIC (Chromatin Immuno-Cleavage) methods.

  • 603 Alexa Fluor® 568

    Alexa Fluor® 568 Anti-Steroidogenic Factor 1 / SF-1 antibody [EPR19744]

  • 565 Alexa Fluor® 555

    Alexa Fluor® 555 Anti-Steroidogenic Factor 1 / SF-1 antibody [EPR19744]

  • 617 Alexa Fluor® 594

    Alexa Fluor® 594 Anti-Steroidogenic Factor 1 / SF-1 antibody [EPR19744]

  • 519 Alexa Fluor® 488

    Alexa Fluor® 488 Anti-Steroidogenic Factor 1 / SF-1 antibody [EPR19744]

  • 665 Alexa Fluor® 647

    Alexa Fluor® 647 Anti-Steroidogenic Factor 1 / SF-1 antibody [EPR19744]

  • Carrier free

    Anti-Steroidogenic Factor 1/SF-1 antibody [EPR19744] - BSA and Azide free

  • 775 Alexa Fluor® 750

    Alexa Fluor® 750 Anti-Steroidogenic Factor 1/SF-1 antibody [EPR19744]

Key facts

Host species

Rabbit

Clonality

Monoclonal

Clone number

EPR19744

Isotype

IgG

Carrier free

No

Reacts with

Human

Applications

ChIC/CUT&RUN-seq, IHC-P

applications

Immunogen

The exact immunogen used to generate this antibody is proprietary information.

Reactivity data

{ "title": "Reactivity Data", "filters": { "stats": ["", "Species", "Dilution Info", "Notes"], "tabs": { "all-applications": {"fullname" : "All Applications", "shortname": "All Applications"}, "IHCP" : {"fullname" : "Immunohistochemistry (Formalin/PFA-fixed paraffin-embedded sections)", "shortname":"IHC-P"}, "ChICCUTRUNseq" : {"fullname" : "ChIC/CUT&RUN sequencing", "shortname":"ChIC/CUT&RUN-seq"} }, "product-promise": { "all": "all", "testedAndGuaranteed": "tested", "guaranteed": "expected", "predicted": "predicted", "notRecommended": "not-recommended" } }, "values": { "Human": { "IHCP-species-checked": "testedAndGuaranteed", "IHCP-species-dilution-info": "1/2000", "IHCP-species-notes": "<p></p> Perform heat-mediated antigen retrieval with Tris/EDTA buffer pH 9.0 before commencing with IHC staining protocol.", "ChICCUTRUNseq-species-checked": "testedAndGuaranteed", "ChICCUTRUNseq-species-dilution-info": "5 µg", "ChICCUTRUNseq-species-notes": "<p></p>" } } }

Product details

Product Specifications
Anti-Steroidogenic Factor 1/SF-1 antibody [EPR19744] (ab217317) is a rabbit recombinant monoclonal antibody and is validated for use in ChIC/CUT&RUN-seq, IHC-P in human samples.
Anti-Steroidogenic Factor 1/SF-1 antibody [EPR19744] (ab217317) specifically detects Steroidogenic Factor 1/SF-1 (UniProt ID: Q13285; Molecular weight: 51kDa) and is sold in 100 µL and 1 mL selling sizes.

Quality and Validation
Abcam's high quality manufacturing and validation processes ensure Anti-Steroidogenic Factor 1/SF-1 antibody [EPR19744] (ab217317) has high sensitivity and specificity alongside high lot-to-lot consistency and reproducibility.

Related Products
Conjugation-ready, carrier free format available for antibody clone EPR19744 - ab240394.
Antibody clone EPR19744 is also available pre-conjugated to a variety of labels for your convenience - Alexa Fluor® 488, Alexa Fluor® 647, Alexa Fluor® 594, Alexa Fluor® 568, Alexa Fluor® 555, Alexa Fluor® 750 (ab311023, ab311149, ab311792, ab313075, ab313270, ab321391).

Patented technology
Our RabMAb® technology is a patented hybridoma-based technology for making rabbit monoclonal antibodies. For details on our patents, please refer to RabMAb® patents.

What are the advantages of a recombinant monoclonal antibody?
This product is a recombinant monoclonal antibody, which offers several advantages including:

  • - High batch-to-batch consistency and reproducibility
  • - Improved sensitivity and specificity
  • - Long-term security of supply
  • - Animal-free batch production

For more information, read more on recombinant antibodies.

Properties and storage information

Form
Liquid
Purification technique
Affinity purification Protein A
Storage buffer
pH: 7.2 - 7.4 Preservative: 0.01% Sodium azide Constituents: PBS, 40% Glycerol (glycerin, glycerine), 0.05% BSA
Shipped at conditions
Blue Ice
Appropriate short-term storage duration
1-2 weeks
Appropriate short-term storage conditions
+4°C
Appropriate long-term storage conditions
-20°C
Aliquoting information
Upon delivery aliquot
Storage information
Avoid freeze / thaw cycle

Product protocols

For this product, it's our understanding that no specific protocols are required. You can visit:

Target data

Transcriptional activator. Essential for sexual differentiation and formation of the primary steroidogenic tissues (PubMed : 27378692). Binds to the Ad4 site found in the promoter region of steroidogenic P450 genes such as CYP11A, CYP11B and CYP21B. Also regulates the AMH/Muellerian inhibiting substance gene as well as the AHCH and STAR genes. 5'-YCAAGGYC-3' and 5'-RRAGGTCA-3' are the consensus sequences for the recognition by NR5A1 (PubMed : 27378692). The SFPQ-NONO-NR5A1 complex binds to the CYP17 promoter and regulates basal and cAMP-dependent transcriptional activity. Binds phosphatidylcholine (By similarity). Binds phospholipids with a phosphatidylinositol (PI) headgroup, in particular PI(3,4)P2 and PI(3,4,5)P3. Activated by the phosphorylation of NR5A1 by HIPK3 leading to increased steroidogenic gene expression upon cAMP signaling pathway stimulation.
See full target information NR5A1

Publications (16)

Recent publications for all applications. Explore the full list and refine your search

Human cell 38:85 PubMed40220034

2025

Ovarian Leydig cells and neural crests.

Applications

Unspecified application

Species

Unspecified reactive species

José-Luis Carrasco-Juan,Olga Tapia,Miriam González-Gómez,Abian Vega-Falcón,Sonia García-Hernández,Alexis Rufino-Gómez,Rafael Méndez-Medina,Hugo Álvarez-Arguelles Cabrera

Acta neuropathologica 148:68 PubMed39580368

2024

Genome-wide methylation profiling differentiates benign from aggressive and metastatic pituitary neuroendocrine tumors.

Applications

Unspecified application

Species

Unspecified reactive species

Jelena Jotanovic,Henning Bünsow Boldt,Mark Burton,Marianne Skovsager Andersen,Daniel Bengtsson,Thomas Olsson Bontell,Bertil Ekman,Britt Edén Engström,Ulla Feldt-Rasmussen,Ansgar Heck,Antonia Jakovcevic,Jens Otto L Jørgensen,Ivana Kraljevic,Jacek Kunicki,John R Lindsay,Marco Losa,Paul Benjamin Loughrey,Dominique Maiter,Maria Maksymowicz,Emilija Manojlovic-Gacic,Jens Pahnke,Stephan Petersenn,Maria Petersson,Vera Popovic,Oskar Ragnarsson,Åse Krogh Rasmussen,Zita Reisz,Wolfgang Saeger,Camilla Schalin-Jäntti,David Scheie,Maria Rosa Terreni,Olli Tynninen,Ben Whitelaw,Pia Burman,Olivera Casar-Borota

Cancers 16: PubMed38927917

2024

Genome-Wide DNA Methylation Profiling as a Prognostic Marker in Pituitary Adenomas-A Pilot Study.

Applications

Unspecified application

Species

Unspecified reactive species

Morten Winkler Møller,Marianne Skovsager Andersen,Bo Halle,Christian Bonde Pedersen,Henning Bünsow Boldt,Qihua Tan,Philipp Sebastian Jurmeister,Grayson A Herrgott,Ana Valeria Castro,Jeanette K Petersen,Frantz Rom Poulsen

Journal of the Endocrine Society 8:bvae040 PubMed38505563

2024

Transcriptome Analysis Reveals Distinct Patterns Between the Invasive and Noninvasive Pituitary Neuroendocrine Tumors.

Applications

Unspecified application

Species

Unspecified reactive species

Jelena Jotanovic,Abdellah Tebani,Neda Hekmati,Åsa Sivertsson,Cecilia Lindskog,Mathias Uhlèn,Olafur Gudjonsson,Erika Tsatsaris,Britt Edén Engström,Johan Wikström,Fredrik Pontén,Olivera Casar-Borota

Acta neuropathologica 147:16 PubMed38228887

2024

Pituitary neuroendocrine tumors with PIT1/SF1 co-expression show distinct clinicopathological and molecular features.

Applications

Unspecified application

Species

Unspecified reactive species

Matthias Dottermusch,Alice Ryba,Franz L Ricklefs,Jörg Flitsch,Simone Schmid,Markus Glatzel,Wolfgang Saeger,Julia E Neumann,Ulrich Schüller

Nature communications 14:6104 PubMed37775549

2023

Photostimulation of brain lymphatics in male newborn and adult rodents for therapy of intraventricular hemorrhage.

Applications

Unspecified application

Species

Unspecified reactive species

Dongyu Li,Shaojun Liu,Tingting Yu,Zhang Liu,Silin Sun,Denis Bragin,Alexander Shirokov,Nikita Navolokin,Olga Bragina,Zhengwu Hu,Jürgen Kurths,Ivan Fedosov,Inna Blokhina,Alexander Dubrovski,Alexander Khorovodov,Andrey Terskov,Maria Tzoy,Oxana Semyachkina-Glushkovskaya,Dan Zhu

Pituitary 26:227-236 PubMed36952069

2023

TGFBR3L is associated with gonadotropin production in non-functioning gonadotroph pituitary neuroendocrine tumours.

Applications

Unspecified application

Species

Unspecified reactive species

Anders Jensen Kolnes,Kristin Astrid Berland Øystese,Evelina Sjöstedt,Nicoleta Cristina Olarescu,Ansgar Heck,Jens Pahnke,Daniel Dahlberg,Jon Berg-Johnsen,Geir Ringstad,Olivera Casar-Borota,Jens Bollerslev,Anders Palmstrøm Jørgensen

Cell reports. Medicine 4:100934 PubMed36754052

2023

Single-cell sequencing identifies differentiation-related markers for molecular classification and recurrence prediction of PitNET.

Applications

Unspecified application

Species

Unspecified reactive species

Qilin Zhang,Boyuan Yao,Xin Long,Zhengyuan Chen,Min He,Yue Wu,Nidan Qiao,Zengyi Ma,Zhao Ye,Yichao Zhang,Shun Yao,Ye Wang,Haixia Cheng,Hong Chen,Hongying Ye,Yongfei Wang,Yimin Li,Jianhua Chen,Zhaoyun Zhang,Fan Guo,Yao Zhao

Cells 11: PubMed35954244

2022

CHST7 Methylation Status Related to the Proliferation and Differentiation of Pituitary Adenomas.

Applications

Unspecified application

Species

Unspecified reactive species

Wei Dong,Wenjian Shi,Yongliang Liu,Jingwu Li,Yu Zhang,Guilan Dong,Xiaoliu Dong,Hua Gao

Frontiers in cell and developmental biology 9:666303 PubMed34631693

2021

Regulates Oviductal Epithelial Secretion Through the WNT Signaling Pathway.

Applications

Unspecified application

Species

Unspecified reactive species

Xue Tan,Lingling Zhang,Tianqi Li,Jianmin Zhan,Kun Qiao,Haili Wu,Shenfei Sun,Meina Huang,Fangxi Zhang,Meixing Zhang,Changwei Li,Runsheng Li,Hongjie Pan
View all publications

Product promise

We are committed to supporting your work with high-quality reagents, and we're here for you every step of the way. In the unlikely event that one of our products does not perform as expected, you're protected by our Product Promise.
For full details, please see our Terms & Conditions

Please note: All products are 'FOR RESEARCH USE ONLY. NOT FOR USE IN DIAGNOSTIC OR THERAPEUTIC PROCEDURES'.

For licensing inquiries, please contact partnerships@abcam.com