JavaScript is disabled in your browser. Please enable JavaScript to view this website.
AB240394

Anti-Steroidogenic Factor 1/SF-1 antibody [EPR19744] - BSA and Azide free

Be the first to review this product! Submit a review

|

(2 Publications)

Rabbit Recombinant Monoclonal Steroidogenic Factor 1/SF-1 antibody. Carrier free. Suitable for IHC-P, ChIC/CUT&RUN-seq and reacts with Human samples. Cited in 2 publications.

View Alternative Names

AD4BP, FTZF1, SF1, NR5A1, Steroidogenic factor 1, SF-1, STF-1, hSF-1, Adrenal 4-binding protein, Fushi tarazu factor homolog 1, Nuclear receptor subfamily 5 group A member 1, Steroid hormone receptor Ad4BP

6 Images
Immunohistochemistry (Formalin/PFA-fixed paraffin-embedded sections) - Anti-Steroidogenic Factor 1/SF-1 antibody [EPR19744] - BSA and Azide free (AB240394)
  • IHC-P

Supplier Data

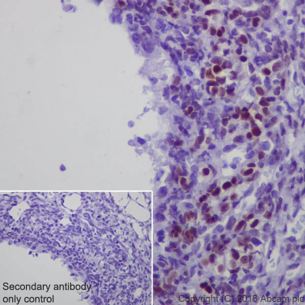
Immunohistochemistry (Formalin/PFA-fixed paraffin-embedded sections) - Anti-Steroidogenic Factor 1/SF-1 antibody [EPR19744] - BSA and Azide free (AB240394)

Immunohistochemical analysis of paraffin-embedded human adrenal cancer tissue labeling Steroidogenic Factor 1/SF-1 with ab217317 at 1/2000 dilution, followed by Goat Anti-Rabbit IgG H&L (HRP) Ready to use. Nuclear staining on human adrenal cancer is observed [PMID : 20660055]. Counter stained with Hematoxylin.

Secondary antibody only control : Used PBS instead of primary antibody, secondary antibody is Goat Anti-Rabbit IgG H&L (HRP) Ready to use.

This data was developed using the same antibody clone in a different buffer formulation containing PBS, BSA, glycerol, and sodium azide (ab217317).

Perform heat mediated antigen retrieval with Tris/EDTA buffer pH 9.0 before commencing with IHC staining protocol.

Immunohistochemistry (Formalin/PFA-fixed paraffin-embedded sections) - Anti-Steroidogenic Factor 1/SF-1 antibody [EPR19744] - BSA and Azide free (AB240394)
  • IHC-P

Supplier Data

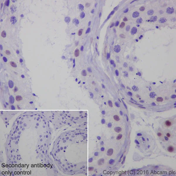
Immunohistochemistry (Formalin/PFA-fixed paraffin-embedded sections) - Anti-Steroidogenic Factor 1/SF-1 antibody [EPR19744] - BSA and Azide free (AB240394)

Immunohistochemical analysis of paraffin-embedded human testis tissue labeling Steroidogenic Factor 1/SF-1 with ab217317 at 1/2000 dilution, followed by Goat Anti-Rabbit IgG H&L (HRP) Ready to use. Nuclear staining on human testis is observed [PMID : 10370224]. Counter stained with Hematoxylin.

Secondary antibody only control : Used PBS instead of primary antibody, secondary antibody is Goat Anti-Rabbit IgG H&L (HRP) Ready to use.

This data was developed using the same antibody clone in a different buffer formulation containing PBS, BSA, glycerol, and sodium azide (ab217317).

Perform heat mediated antigen retrieval with Tris/EDTA buffer pH 9.0 before commencing with IHC staining protocol.

Immunohistochemistry (Formalin/PFA-fixed paraffin-embedded sections) - Anti-Steroidogenic Factor 1/SF-1 antibody [EPR19744] - BSA and Azide free (AB240394)
  • IHC-P

Supplier Data

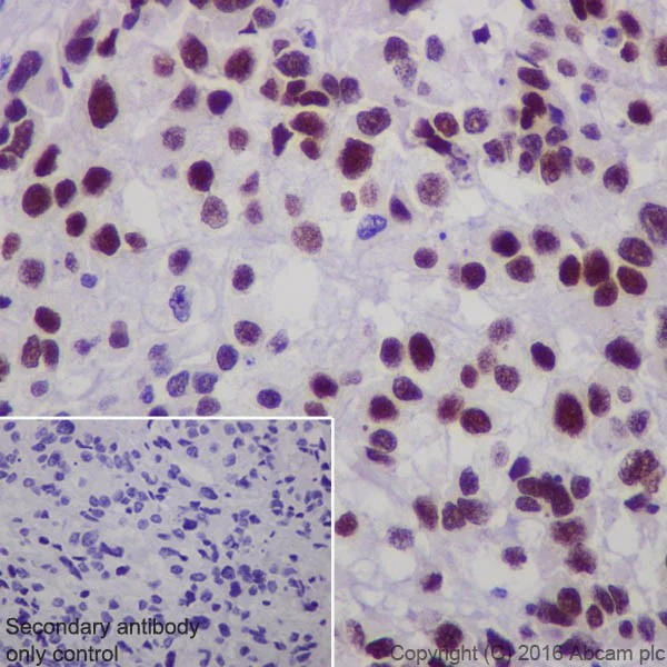
Immunohistochemistry (Formalin/PFA-fixed paraffin-embedded sections) - Anti-Steroidogenic Factor 1/SF-1 antibody [EPR19744] - BSA and Azide free (AB240394)

Immunohistochemical analysis of paraffin-embedded human ovary tissue labeling Steroidogenic Factor 1/SF-1 with ab217317 at 1/2000 dilution, followed by Goat Anti-Rabbit IgG H&L (HRP) Ready to use. Nuclear staining on human ovary is observed [PMID : 20660055] [PMID : 10370224]. Counter stained with Hematoxylin.

Secondary antibody only control : Used PBS instead of primary antibody, secondary antibody is Goat Anti-Rabbit IgG H&L (HRP) Ready to use.

This data was developed using the same antibody clone in a different buffer formulation containing PBS, BSA, glycerol, and sodium azide (ab217317).

Perform heat mediated antigen retrieval with Tris/EDTA buffer pH 9.0 before commencing with IHC staining protocol.

ChIC/CUT&RUN sequencing - Anti-Steroidogenic Factor 1/SF-1 antibody [EPR19744] - BSA and Azide free (AB240394)
  • ChIC/CUT&RUN-seq

Lab

ChIC/CUT&RUN sequencing - Anti-Steroidogenic Factor 1/SF-1 antibody [EPR19744] - BSA and Azide free (AB240394)

This data was developed using the same antibody clone in a different buffer formulation (ab217317).

ChIC/CUT&RUN was performed using a pAG-MNase at a final concentration of 700 ng/mL, 2.5 x 105 HepG2 (human hepatocellular carcinoma epithelial cell) cells and 5 µg of ab217317 [EPR19744]. The resulting DNA was sequenced on the Illumina NovaSeq 6000 to a depth of 10 million reads. The negative IgG control ab172730 is also shown.

The University of Geneva owns patents relevant to ChIC (Chromatin Immuno-Cleavage) methods.

ChIC/CUT&RUN sequencing - Anti-Steroidogenic Factor 1/SF-1 antibody [EPR19744] - BSA and Azide free (AB240394)
  • ChIC/CUT&RUN-seq

Lab

ChIC/CUT&RUN sequencing - Anti-Steroidogenic Factor 1/SF-1 antibody [EPR19744] - BSA and Azide free (AB240394)

This data was developed using the same antibody clone in a different buffer formulation (ab217317).

ChIC/CUT&RUN was performed using a pAG-MNase at a final concentration of 700 ng/mL, 2.5 x 105 HepG2 (human hepatocellular carcinoma epithelial cell) cells and 5 µg of ab217317 [EPR19744]. The resulting DNA was sequenced on the Illumina NovaSeq 6000 to a depth of 10 million reads. The negative IgG control ab172730 is also shown.

The University of Geneva owns patents relevant to ChIC (Chromatin Immuno-Cleavage) methods.

ChIC/CUT&RUN sequencing - Anti-Steroidogenic Factor 1/SF-1 antibody [EPR19744] - BSA and Azide free (AB240394)
  • ChIC/CUT&RUN-seq

Lab

ChIC/CUT&RUN sequencing - Anti-Steroidogenic Factor 1/SF-1 antibody [EPR19744] - BSA and Azide free (AB240394)

This data was developed using the same antibody clone in a different buffer formulation (ab217317).

ChIC/CUT&RUN was performed using a pAG-MNase at a final concentration of 700 ng/mL, 2.5 x 105 HepG2 (human hepatocellular carcinoma epithelial cell) cells and 5 µg of ab217317 [EPR19744]. The resulting DNA was sequenced on the Illumina NovaSeq 6000 to a depth of 10 million reads. The negative IgG control ab172730 is also shown.

The University of Geneva owns patents relevant to ChIC (Chromatin Immuno-Cleavage) methods.

  • 603 Alexa Fluor® 568

    Alexa Fluor® 568 Anti-Steroidogenic Factor 1 / SF-1 antibody [EPR19744]

  • 519 Alexa Fluor® 488

    Alexa Fluor® 488 Anti-Steroidogenic Factor 1 / SF-1 antibody [EPR19744]

  • 665 Alexa Fluor® 647

    Alexa Fluor® 647 Anti-Steroidogenic Factor 1 / SF-1 antibody [EPR19744]

  • Unconjugated

    Anti-Steroidogenic Factor 1/SF-1 antibody [EPR19744]

  • 775 Alexa Fluor® 750

    Alexa Fluor® 750 Anti-Steroidogenic Factor 1/SF-1 antibody [EPR19744]

  • 617 Alexa Fluor® 594

    Alexa Fluor® 594 Anti-Steroidogenic Factor 1 / SF-1 antibody [EPR19744]

  • 565 Alexa Fluor® 555

    Alexa Fluor® 555 Anti-Steroidogenic Factor 1 / SF-1 antibody [EPR19744]

Key facts

Host species

Rabbit

Clonality

Monoclonal

Clone number

EPR19744

Isotype

IgG

Carrier free

Yes

Reacts with

Human

Applications

ChIC/CUT&RUN-seq, IHC-P

applications

Immunogen

The exact immunogen used to generate this antibody is proprietary information.

Reactivity data

{ "title": "Reactivity Data", "filters": { "stats": ["", "Species", "Dilution Info", "Notes"], "tabs": { "all-applications": {"fullname" : "All Applications", "shortname": "All Applications"}, "IHCP" : {"fullname" : "Immunohistochemistry (Formalin/PFA-fixed paraffin-embedded sections)", "shortname":"IHC-P"}, "ChICCUTRUNseq" : {"fullname" : "ChIC/CUT&RUN sequencing", "shortname":"ChIC/CUT&RUN-seq"} }, "product-promise": { "all": "all", "testedAndGuaranteed": "tested", "guaranteed": "expected", "predicted": "predicted", "notRecommended": "not-recommended" } }, "values": { "Human": { "IHCP-species-checked": "testedAndGuaranteed", "IHCP-species-dilution-info": "", "IHCP-species-notes": "<p></p>", "ChICCUTRUNseq-species-checked": "testedAndGuaranteed", "ChICCUTRUNseq-species-dilution-info": "", "ChICCUTRUNseq-species-notes": "<p></p>" } } }

Product details

ab240394 is the carrier-free version of ab217317.

Patented technology
Our RabMAb® technology is a patented hybridoma-based technology for making rabbit monoclonal antibodies. For details on our patents, please refer to RabMAb® patents.

What are the advantages of a recombinant monoclonal antibody?
This product is a recombinant monoclonal antibody, which offers several advantages including:

  • - High batch-to-batch consistency and reproducibility
  • - Improved sensitivity and specificity
  • - Long-term security of supply
  • - Animal-free batch production

For more information, read more on recombinant antibodies.

Conjugation ready
Our carrier-free antibodies are typically supplied in a PBS-only formulation, purified and free of BSA, sodium azide and glycerol. This conjugation-ready format is designed for use with fluorochromes, metal isotopes, oligonucleotides, and enzymes, which makes them ideal for antibody labelling, functional and cell-based assays, flow-based assays (e.g. mass cytometry) and Multiplex Imaging applications.

Use our conjugation kits for antibody conjugates that are ready-to-use in as little as 20 minutes with 1 minute hands-on-time and 100% antibody recovery: available for fluorescent dyes, HRP, biotin and gold.

Compatibility
This product is compatible with the Maxpar® Antibody Labeling Kit from Fluidigm, without the need for antibody preparation. Maxpar® is a trademark of Fluidigm Canada Inc.

Properties and storage information

Form
Liquid
Purification technique
Affinity purification Protein A
Storage buffer
pH: 7.2 - 7.4 Constituents: PBS
Shipped at conditions
Blue Ice
Appropriate short-term storage conditions
+4°C
Appropriate long-term storage conditions
+4°C
Storage information
Do Not Freeze

Product protocols

For this product, it's our understanding that no specific protocols are required. You can visit:

Target data

Transcriptional activator. Essential for sexual differentiation and formation of the primary steroidogenic tissues (PubMed : 27378692). Binds to the Ad4 site found in the promoter region of steroidogenic P450 genes such as CYP11A, CYP11B and CYP21B. Also regulates the AMH/Muellerian inhibiting substance gene as well as the AHCH and STAR genes. 5'-YCAAGGYC-3' and 5'-RRAGGTCA-3' are the consensus sequences for the recognition by NR5A1 (PubMed : 27378692). The SFPQ-NONO-NR5A1 complex binds to the CYP17 promoter and regulates basal and cAMP-dependent transcriptional activity. Binds phosphatidylcholine (By similarity). Binds phospholipids with a phosphatidylinositol (PI) headgroup, in particular PI(3,4)P2 and PI(3,4,5)P3. Activated by the phosphorylation of NR5A1 by HIPK3 leading to increased steroidogenic gene expression upon cAMP signaling pathway stimulation.
See full target information NR5A1

Publications (2)

Recent publications for all applications. Explore the full list and refine your search

Scientific reports 13:15508 PubMed37726363

2023

A 3D adrenocortical carcinoma tumor platform for preclinical modeling of drug response and matrix metalloproteinase activity.

Applications

Unspecified application

Species

Unspecified reactive species

Priya H Dedhia,Hemamylammal Sivakumar,Marco A Rodriguez,Kylie G Nairon,Joshua M Zent,Xuguang Zheng,Katie Jones,Liudmila V Popova,Jennifer L Leight,Aleksander Skardal

Cell reports. Medicine 2:100360 PubMed34467244

2021

Secreted retrovirus-like GAG-domain-containing protein PEG10 is regulated by UBE3A and is involved in Angelman syndrome pathophysiology.

Applications

Unspecified application

Species

Unspecified reactive species

Nikhil J Pandya,Congwei Wang,Veronica Costa,Paul Lopatta,Sonja Meier,F Isabella Zampeta,A Mattijs Punt,Edwin Mientjes,Philip Grossen,Tania Distler,Manuel Tzouros,Yasmina Martí,Balazs Banfai,Christoph Patsch,Soren Rasmussen,Marius Hoener,Marco Berrera,Thomas Kremer,Tom Dunkley,Martin Ebeling,Ben Distel,Ype Elgersma,Ravi Jagasia
View all publications

Product promise

We are committed to supporting your work with high-quality reagents, and we're here for you every step of the way. In the unlikely event that one of our products does not perform as expected, you're protected by our Product Promise.
For full details, please see our Terms & Conditions

Please note: All products are 'FOR RESEARCH USE ONLY. NOT FOR USE IN DIAGNOSTIC OR THERAPEUTIC PROCEDURES'.

For licensing inquiries, please contact partnerships@abcam.com