JavaScript is disabled in your browser. Please enable JavaScript to view this website.
AB242019

Anti-STING antibody [EPR13130-55] - BSA and Azide free

Be the first to review this product! Submit a review

|

(1 Publication)

Rabbit Recombinant Monoclonal STING antibody. Carrier free. Suitable for IP, WB, ICC/IF, Flow Cyt (Intra), IHC-P and reacts with Human samples. Cited in 1 publication.

View Alternative Names

ERIS, MITA, STING, TMEM173, STING1, Stimulator of interferon genes protein, hSTING, Endoplasmic reticulum interferon stimulator, Mediator of IRF3 activation, Transmembrane protein 173, hMITA

10 Images
Immunohistochemistry (Formalin/PFA-fixed paraffin-embedded sections) - Anti-STING antibody [EPR13130-55] - BSA and Azide free (AB242019)
  • IHC-P

Lab

Immunohistochemistry (Formalin/PFA-fixed paraffin-embedded sections) - Anti-STING antibody [EPR13130-55] - BSA and Azide free (AB242019)

Tissue Microarrays stained for "Anti-STING antibody [EPR13130-55]" using "ab239074"in immunohistochemical analysis. This table provides a detailed overview of positive (tick mark) and negative (cross mark) staining per sample type tested. The sections were pre-treated using Heat mediated antigen retrieval using ab93684 (Tris/EDTA buffer, pH 9.0). The sections were incubated with ab239074 at +4°C overnight followed by a ready to use Goat Anti-Rabbit IgG H&L (HRP polymer).

Immunocytochemistry/ Immunofluorescence - Anti-STING antibody [EPR13130-55] - BSA and Azide free (AB242019)
  • ICC/IF

Unknown

Immunocytochemistry/ Immunofluorescence - Anti-STING antibody [EPR13130-55] - BSA and Azide free (AB242019)

Immunofluorescent analysis of 4% paraformaldehyde-fixed, 0.1% Triton X-100 permeabilized THP-1 (human monocytic leukemia cell line) cells labeling TMEM173 with ab239074 at 1/100 dilution followed by Goat Anti-Rabbit IgG H&L (Alexa Fluor® 488) (ab150077) secondary antibody at 1/1000 dilution (green). Confocal image showing cytoplasmic and membranous staining in THP-1 cell line.

The nuclear counter stain is DAPI (blue). Tubulin is detected with Anti-alpha Tubulin antibody [DM1A] - Microtubule Marker (Alexa Fluor® 594) (ab195889) (red) at 1/200 dilution.

Secondary antibody only control : Used PBS instead of primary antibody, secondary antibody is Goat Anti-Rabbit IgG H&L (Alexa Fluor® 488) (ab150077) secondary antibody at 1/1000 dilution.

This data was developed using the same antibody clone in a different buffer formulation containing PBS, BSA, glycerol, and sodium azide (ab239074).

Immunohistochemistry (Formalin/PFA-fixed paraffin-embedded sections) - Anti-STING antibody [EPR13130-55] - BSA and Azide free (AB242019)
  • IHC-P

Unknown

Immunohistochemistry (Formalin/PFA-fixed paraffin-embedded sections) - Anti-STING antibody [EPR13130-55] - BSA and Azide free (AB242019)

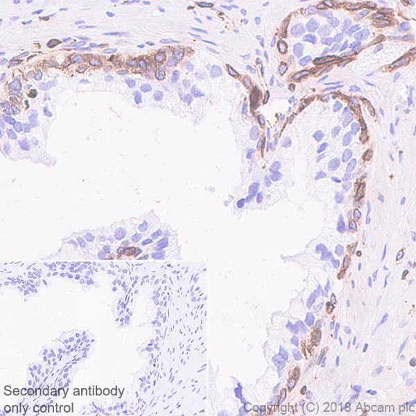
Immunohistochemical analysis of paraffin-embedded human prostate hyperplasia tissue labeling TMEM173 with ab239074 at 1/4000 dilution, followed by Goat Anti-Rabbit IgG H&L (HRP) Ready to use. Positive staining in basal cells of human prostate hyperplasia is observed. Counter stained with hematoxylin.

Secondary antibody only control : Used PBS instead of primary antibody, secondary antibody is Goat Anti-Rabbit IgG H&L (HRP) Ready to use.

This data was developed using the same antibody clone in a different buffer formulation containing PBS, BSA, glycerol, and sodium azide (ab239074).

Perform heat mediated antigen retrieval with Tris/EDTA buffer pH 9.0 before commencing with IHC staining protocol.

Flow Cytometry (Intracellular) - Anti-STING antibody [EPR13130-55] - BSA and Azide free (AB242019)
  • Flow Cyt (Intra)

Unknown

Flow Cytometry (Intracellular) - Anti-STING antibody [EPR13130-55] - BSA and Azide free (AB242019)

Intracellular flow cytometric analysis of 4% paraformaldehyde-fixed, 90% methanol-permeabilized THP-1 (human monocytic leukemia cell line) cell line labeling TMEM173 with ab239074 at 1/500 dilution (red) compared with a Rabbit IgG, monoclonal [EPR25A] - Isotype Control (ab172730) (black) and an unlabeled control (cells without incubation with primary antibody and secondary antibody) (blue). Goat Anti-Rabbit IgG H&L (Alexa Fluor® 488) (ab150077) at 1/2000 dilution was used as the secondary antibody.

This data was developed using the same antibody clone in a different buffer formulation containing PBS, BSA, glycerol, and sodium azide (ab239074).

Immunohistochemistry (Formalin/PFA-fixed paraffin-embedded sections) - Anti-STING antibody [EPR13130-55] - BSA and Azide free (AB242019)
  • IHC-P

Supplier Data

Immunohistochemistry (Formalin/PFA-fixed paraffin-embedded sections) - Anti-STING antibody [EPR13130-55] - BSA and Azide free (AB242019)

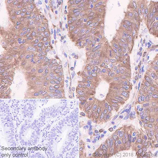
Immunohistochemical analysis of paraffin-embedded human colon cancer tissue labeling TMEM173 with ab239074 at 1/4000 dilution, followed by Goat Anti-Rabbit IgG H&L (HRP) Ready to use. Positive staining in human colon cancer (PMID : 26748708). Counter stained with hematoxylin.

Secondary antibody only control : Used PBS instead of primary antibody, secondary antibody is Goat Anti-Rabbit IgG H&L (HRP) Ready to use.

This data was developed using the same antibody clone in a different buffer formulation containing PBS, BSA, glycerol, and sodium azide (ab239074).

Perform heat mediated antigen retrieval with Tris/EDTA buffer pH 9.0 before commencing with IHC staining protocol.

Immunohistochemistry (Formalin/PFA-fixed paraffin-embedded sections) - Anti-STING antibody [EPR13130-55] - BSA and Azide free (AB242019)
  • IHC-P

Unknown

Immunohistochemistry (Formalin/PFA-fixed paraffin-embedded sections) - Anti-STING antibody [EPR13130-55] - BSA and Azide free (AB242019)

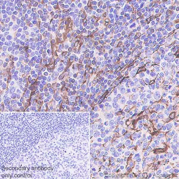
Immunohistochemical analysis of paraffin-embedded human tonsil tissue labeling TMEM173 with ab239074 at 1/4000 dilution, followed by Goat Anti-Rabbit IgG H&L (HRP) Ready to use. Positive staining in human tonsil (PMID : 28874664). Counter stained with hematoxylin.

Secondary antibody only control : Used PBS instead of primary antibody, secondary antibody is Goat Anti-Rabbit IgG H&L (HRP) Ready to use.

This data was developed using the same antibody clone in a different buffer formulation containing PBS, BSA, glycerol, and sodium azide (ab239074).

Perform heat mediated antigen retrieval with Tris/EDTA buffer pH 9.0 before commencing with IHC staining protocol.

Immunoprecipitation - Anti-STING antibody [EPR13130-55] - BSA and Azide free (AB242019)
  • IP

Unknown

Immunoprecipitation - Anti-STING antibody [EPR13130-55] - BSA and Azide free (AB242019)

TMEM173 was immunoprecipitated from 0.35 mg of THP-1 (human monocytic leukemia cell line) whole cell lysate with ab239074 at 1/30 dilution. Western blot was performed from the immunoprecipitate using ab239074 at 1/1000 dilution. VeriBlot for IP Detection Reagent (HRP) (ab131366), was used for detection at 1/1000 dilution.

Lane 1 : THP-1 whole cell lysate 10 μg (Input).

Lane 2 : ab239074 IP in THP-1 whole cell lysate.

Lane 3 : Rabbit monoclonal IgG (ab172730) instead of ab239074 in THP-1 whole cell lysate.

Blocking and dilution buffer and concentration : 5% NFDM/TBST.

Exposure time : 30 seconds.

This data was developed using the same antibody clone in a different buffer formulation containing PBS, BSA, glycerol, and sodium azide (ab239074).

All lanes:

Immunoprecipitation - Anti-STING antibody [EPR13130-55] (<a href='/en-us/products/primary-antibodies/sting-antibody-epr13130-55-ab239074'>ab239074</a>)

Predicted band size: 42 kDa

false

Immunoprecipitation - Anti-STING antibody [EPR13130-55] - BSA and Azide free (AB242019)
  • IP

Lab

Immunoprecipitation - Anti-STING antibody [EPR13130-55] - BSA and Azide free (AB242019)

This data was developed using ab239074, the same antibody clone in a different buffer formulation.

Immunoprecipitation of STING1 in THP-1 cells. Lysates were prepared and immunoprecipitation was performed using 2 µg of ab239074 pre-coupled to Protein A beads. Samples were then washed and processed for western blot.

These data were provided by YCharOS Inc., an open science company with the mission of characterizing commercially available antibody reagents for all human proteins. Abcam and YCharOS are working together to help address the reproducibility crisis by enabling the life science community to better evaluate commercially available antibodies.

All lanes:

Immunoprecipitation - Anti-STING antibody [EPR13130-55] (<a href='/en-us/products/primary-antibodies/sting-antibody-epr13130-55-ab239074'>ab239074</a>) at 2 µg

All lanes:

THP-1 cells

false

Western blot - Anti-STING antibody [EPR13130-55] - BSA and Azide free (AB242019)
  • WB

Lab

Western blot - Anti-STING antibody [EPR13130-55] - BSA and Azide free (AB242019)

This data was developed using ab239074, the same antibody clone in a different buffer formulation.

ab239074 was shown to react with STING1 in wild-type THP-1 cells in Western blot with loss of signal observed in STING1 knockout cell line ab270493. Wild-type THP-1 and STING1 knockout cell lysates were subjected to SDS-PAGE. Membranes were blocked in 5% milk in TBST for 1 hr before incubation with ab239074 overnight at 4 °C at a 1/1000 dilution. Blots were incubated with secondary antibodies at 0.2 µg/mL before imaging.

These data were provided by YCharOS Inc., an open science company with the mission of characterizing commercially available antibody reagents for all human proteins. Abcam and YCharOS are working together to help address the reproducibility crisis by enabling the life science community to better evaluate commercially available antibodies.

All lanes:

Western blot - Anti-STING antibody [EPR13130-55] (<a href='/en-us/products/primary-antibodies/sting-antibody-epr13130-55-ab239074'>ab239074</a>) at 1/1000 dilution

Lane 1:

Wild-type THP-1 lysate at 40 µg

Lane 2:

STING1 knock-out THP-1 lysate at 40 µg

false

Western blot - Anti-STING antibody [EPR13130-55] - BSA and Azide free (AB242019)
  • WB

Lab

Western blot - Anti-STING antibody [EPR13130-55] - BSA and Azide free (AB242019)

This data was developed using the same antibody clone in a different buffer formulation (ab239074).

Lanes 1 - 4 : Merged signal (red and green). Green - ab239074 observed at 37 kDa. Red - loading control ab7291 (Mouse anti-Alpha Tubulin [DM1A]) observed at 55 kDa.

ab239074 was shown to react with TMEM173 in wild-type THP-1 cells in Western blot with loss of signal observed in TMEM173 knockout cell line ab270493 (TMEM173 knockout cell lysae ab270516). Wild-type THP-1 and TMEM173 knockout cell lysates were subjected to SDS-PAGE. Membranes were blocked in fluorescent western blot (TBS-based) blocking solution before incubation with ab239074 and ab7291 (Mouse anti-Alpha Tubulin [DM1A]) overnight at 4 °C at a 1 in 1000 dilution and a 1 in 20000 dilution respectively. Blots were incubated with Goat anti-Rabbit IgG H&L (IRDye® 800CW) preabsorbed (ab216773) and Goat anti-Mouse IgG H&L (IRDye® 680RD) preabsorbed (ab216776) secondary antibodies at 1 in 20000 dilution for 1 h at room temperature before imaging.

All lanes:

Western blot - Anti-STING antibody [EPR13130-55] (<a href='/en-us/products/primary-antibodies/sting-antibody-epr13130-55-ab239074'>ab239074</a>) at 1/1000 dilution

Lane 1:

Wild-type THP-1 cell lysate at 20 µg

Lane 2:

TMEM173 knockout THP-1 cell lysate at 20 µg

Lane 2:

Western blot - Human TMEM173 knockout THP-1 cell line (<a href='/en-us/products/cell-lines/human-tmem173-knockout-thp-1-cell-line-ab270493'>ab270493</a>)

Lane 3:

Human Tonsil tissue lysate at 20 µg

Lane 4:

Human Thymus tissue lysate at 20 µg

Predicted band size: 42 kDa

Observed band size: 37 kDa

false

  • Unconjugated

    Anti-STING antibody [EPR13130-55]

  • Carrier free

    Anti-STING antibody [EPR13130-55] - BSA and Azide free (Capture)

Key facts

Host species

Rabbit

Clonality

Monoclonal

Clone number

EPR13130-55

Isotype

IgG

Carrier free

Yes

Reacts with

Human

Applications

WB, IP, Flow Cyt (Intra), IHC-P, ICC/IF

applications

Immunogen

The exact immunogen used to generate this antibody is proprietary information.

Reactivity data

{ "title": "Reactivity Data", "filters": { "stats": ["", "Species", "Dilution Info", "Notes"], "tabs": { "all-applications": {"fullname" : "All Applications", "shortname": "All Applications"}, "IP" : {"fullname" : "Immunoprecipitation", "shortname":"IP"}, "WB" : {"fullname" : "Western blot", "shortname":"WB"}, "ICCIF" : {"fullname" : "Immunocytochemistry/ Immunofluorescence", "shortname":"ICC/IF"}, "FlowCytIntra" : {"fullname" : "Flow Cytometry (Intracellular)", "shortname":"Flow Cyt (Intra)"}, "IHCP" : {"fullname" : "Immunohistochemistry (Formalin/PFA-fixed paraffin-embedded sections)", "shortname":"IHC-P"} }, "product-promise": { "all": "all", "testedAndGuaranteed": "tested", "guaranteed": "expected", "predicted": "predicted", "notRecommended": "not-recommended" } }, "values": { "Human": { "IP-species-checked": "testedAndGuaranteed", "IP-species-dilution-info": "", "IP-species-notes": "<p></p>", "WB-species-checked": "testedAndGuaranteed", "WB-species-dilution-info": "", "WB-species-notes": "<p></p>", "ICCIF-species-checked": "testedAndGuaranteed", "ICCIF-species-dilution-info": "", "ICCIF-species-notes": "<p></p>", "FlowCytIntra-species-checked": "testedAndGuaranteed", "FlowCytIntra-species-dilution-info": "1/500", "FlowCytIntra-species-notes": "<p></p>", "IHCP-species-checked": "testedAndGuaranteed", "IHCP-species-dilution-info": "", "IHCP-species-notes": "<p></p>" } } }

Product details

ab242019 is the carrier-free version of ab239074.

Patented technology
Our RabMAb® technology is a patented hybridoma-based technology for making rabbit monoclonal antibodies. For details on our patents, please refer to RabMAb® patents.

What are the advantages of a recombinant monoclonal antibody?
This product is a recombinant monoclonal antibody, which offers several advantages including:

  • - High batch-to-batch consistency and reproducibility
  • - Improved sensitivity and specificity
  • - Long-term security of supply
  • - Animal-free batch production

For more information, read more on recombinant antibodies.

Conjugation ready
Our carrier-free antibodies are typically supplied in a PBS-only formulation, purified and free of BSA, sodium azide and glycerol. This conjugation-ready format is designed for use with fluorochromes, metal isotopes, oligonucleotides, and enzymes, which makes them ideal for antibody labelling, functional and cell-based assays, flow-based assays (e.g. mass cytometry) and Multiplex Imaging applications.

Use our conjugation kits for antibody conjugates that are ready-to-use in as little as 20 minutes with 1 minute hands-on-time and 100% antibody recovery: available for fluorescent dyes, HRP, biotin and gold.

Compatibility
This product is compatible with the Maxpar® Antibody Labeling Kit from Fluidigm, without the need for antibody preparation. Maxpar® is a trademark of Fluidigm Canada Inc.

Properties and storage information

Form
Liquid
Purification technique
Affinity purification Protein A
Storage buffer
pH: 7.2 - 7.4 Constituents: PBS
Shipped at conditions
Blue Ice
Appropriate short-term storage conditions
+4°C
Appropriate long-term storage conditions
+4°C
Storage information
Do Not Freeze

Supplementary information

This supplementary information is collated from multiple sources and compiled automatically.

The stimulator of interferon genes (STING) also known as TMEM173 or MPYS is a critical transmembrane protein with a molecular weight of approximately 42 kDa. It is primarily expressed in the endoplasmic reticulum of various cell types including immune cells where it plays a central role in sensing cytosolic DNA. STING binds to cyclic dinucleotides produced by the enzyme cGAS upon recognition of aberrant DNA in the cytosol. This binding initiates activation and translocation of STING to the Golgi apparatus facilitating further signaling events.
Biological function summary

STING serves as a pivotal regulator in the innate immune response to viral and bacterial infections. It operates by forming a signaling complex with kinases and other effector proteins which subsequently leads to the activation of transcription factors such as IRF3 and NF-kB. These transcription factors then induce the expression of type I interferons and other cytokines important for mounting an effective antiviral response. The STING pathway therefore enhances the immune system's ability to detect and respond to pathogens.

Pathways

The activity of STING is integral to the cGAS-STING pathway a significant cytosolic DNA-sensing pathway involved in innate immunity. Upon activation STING interacts with TBK1 a kinase that further phosphorylates IRF3 promoting its nuclear translocation and activation. Beyond this STING also intersects with pathways involving autophagy a cellular process necessary for clearing pathogens and damaged cellular components. Through these pathways STING critically contributes to upholding cellular homeostasis and immune defense.

The dysregulation of STING is linked to autoinflammatory diseases and certain cancers. Abnormal STING activation can lead to chronic inflammation a feature observed in diseases such as STING-associated vasculopathy with onset in infancy (SAVI). STING's role in cancer is also notable where its ability to activate immune cells can be harnessed in immunotherapy yet its chronic activation may promote tumorigenesis. In cancer STING often interacts with proteins like K-Ras influencing tumor growth and response to therapies.

Product protocols

For this product, it's our understanding that no specific protocols are required. You can visit:

Target data

Facilitator of innate immune signaling that acts as a sensor of cytosolic DNA from bacteria and viruses and promotes the production of type I interferon (IFN-alpha and IFN-beta) (PubMed : 18724357, PubMed : 18818105, PubMed : 19433799, PubMed : 19776740, PubMed : 23027953, PubMed : 23747010, PubMed : 23910378, PubMed : 27801882, PubMed : 29973723, PubMed : 30842659, PubMed : 35045565, PubMed : 35388221, PubMed : 36808561, PubMed : 37832545). Innate immune response is triggered in response to non-CpG double-stranded DNA from viruses and bacteria delivered to the cytoplasm (PubMed : 26300263). Acts by binding cyclic dinucleotides : recognizes and binds cyclic di-GMP (c-di-GMP), a second messenger produced by bacteria, cyclic UMP-AMP (2',3'-cUAMP), and cyclic GMP-AMP (cGAMP), a messenger produced by CGAS in response to DNA virus in the cytosol (PubMed : 21947006, PubMed : 23258412, PubMed : 23707065, PubMed : 23722158, PubMed : 23747010, PubMed : 23910378, PubMed : 26229117, PubMed : 30842659, PubMed : 35388221, PubMed : 37379839). Upon binding to c-di-GMP, cUAMP or cGAMP, STING1 oligomerizes, translocates from the endoplasmic reticulum and is phosphorylated by TBK1 on the pLxIS motif, leading to recruitment and subsequent activation of the transcription factor IRF3 to induce expression of type I interferon and exert a potent anti-viral state (PubMed : 22394562, PubMed : 25636800, PubMed : 29973723, PubMed : 30842653, PubMed : 35045565, PubMed : 35388221). Exhibits 2',3' phosphodiester linkage-specific ligand recognition : can bind both 2'-3' linked cGAMP (2'-3'-cGAMP) and 3'-3' linked cGAMP but is preferentially activated by 2'-3' linked cGAMP (PubMed : 23747010, PubMed : 23910378, PubMed : 26300263). The preference for 2'-3'-cGAMP, compared to other linkage isomers is probably due to the ligand itself, whichs adopts an organized free-ligand conformation that resembles the STING1-bound conformation and pays low energy costs in changing into the active conformation (PubMed : 26150511). In addition to promote the production of type I interferons, plays a direct role in autophagy (PubMed : 30568238, PubMed : 30842662). Following cGAMP-binding, STING1 buds from the endoplasmic reticulum into COPII vesicles, which then form the endoplasmic reticulum-Golgi intermediate compartment (ERGIC) (PubMed : 30842662). The ERGIC serves as the membrane source for WIPI2 recruitment and LC3 lipidation, leading to formation of autophagosomes that target cytosolic DNA or DNA viruses for degradation by the lysosome (PubMed : 30842662). Promotes autophagy by acting as a proton channel that directs proton efflux from the Golgi to facilitate MAP1LC3B/LC3B lipidation (PubMed : 37535724). The autophagy- and interferon-inducing activities can be uncoupled and autophagy induction is independent of TBK1 phosphorylation (PubMed : 30568238, PubMed : 30842662). Autophagy is also triggered upon infection by bacteria : following c-di-GMP-binding, which is produced by live Gram-positive bacteria, promotes reticulophagy (By similarity). May be involved in translocon function, the translocon possibly being able to influence the induction of type I interferons (PubMed : 18724357). May be involved in transduction of apoptotic signals via its association with the major histocompatibility complex class II (MHC-II) (By similarity).. (Microbial infection) Antiviral activity is antagonized by oncoproteins, such as papillomavirus (HPV) protein E7 and adenovirus early E1A protein (PubMed : 26405230). Such oncoproteins prevent the ability to sense cytosolic DNA (PubMed : 26405230).
See full target information STING1

Publications (1)

Recent publications for all applications. Explore the full list and refine your search

Oncology letters 21:392 PubMed33777215

2021

MicroRNA-125a-5p targets LIM kinase 1 to inhibit cisplatin resistance of cervical cancer cells.

Applications

Unspecified application

Species

Unspecified reactive species

Yongqian Xu,Yujie Zheng,Yan Duan,Lin Ma,Ping Nan
View all publications

Product promise

We are committed to supporting your work with high-quality reagents, and we're here for you every step of the way. In the unlikely event that one of our products does not perform as expected, you're protected by our Product Promise.
For full details, please see our Terms & Conditions

Please note: All products are 'FOR RESEARCH USE ONLY. NOT FOR USE IN DIAGNOSTIC OR THERAPEUTIC PROCEDURES'.

For licensing inquiries, please contact partnerships@abcam.com