JavaScript is disabled in your browser. Please enable JavaScript to view this website.
AB288157

Anti-STING antibody [EPR25090-107]

  • BOND RX™ Validated
  • KO Validated
  • 20ul selling size
  • RabMAb
  • Recombinant
  • What is this?

Be the first to review this product! Submit a review

|

(22 Publications)

Anti-STING antibody [EPR25090-107] (ab288157) is a rabbit monoclonal antibody detecting STING in Western Blot, Flow Cytometry (Intra), Flow Cytometry, IP, IHC-P, IHC-Fr, ICC/IF. Suitable for Mouse, Rat.

- KO validated for confirmed specificity
- Biophysical QC for unrivalled batch-batch consistency

View Alternative Names

Eris, Mita, Mpys, Sting, Tmem173, Sting1, Stimulator of interferon genes protein, mSTING, Endoplasmic reticulum interferon stimulator, Mediator of IRF3 activation, Transmembrane protein 173, ERIS, MMITA

18 Images
Immunohistochemistry (Formalin/PFA-fixed paraffin-embedded sections) - Anti-STING antibody [EPR25090-107] (AB288157)
  • IHC-P

Lab

Immunohistochemistry (Formalin/PFA-fixed paraffin-embedded sections) - Anti-STING antibody [EPR25090-107] (AB288157)

Immunohistochemical analysis of paraffin-embedded (A) Liver tissue from wild-type C57BL/6JGpt mice (B) Liver tissue from STING knockout mice labeling STING with ab288157 at 1/5000 followed by a ready to use LeicaDS9800 (Bond®, Polymer Refine Detection). Counterstained with Hematoxylin. Antigen retrieval was heat mediated with Tris-EDTA buffer (pH 9.0, Epitope Retrieval Solution2) for 20 mins.Positive staining on (A) Liver tissue from wild-type C57BL/6JGpt mice and no staining on (B) Liver tissue from STING knockout mice. The section was incubated with ab288157 for 30 mins at room temperature. The immunostaining was performed on a Leica Biosystems BOND® RX instrument. The tissue samples were kindly provided by GemPharmatech. C57BL/6JGpt wildtype mice and Sting1-KO homozygous mice (Strain ID : T012747).

Immunohistochemistry (Formalin/PFA-fixed paraffin-embedded sections) - Anti-STING antibody [EPR25090-107] (AB288157)
  • IHC-P

Lab

Immunohistochemistry (Formalin/PFA-fixed paraffin-embedded sections) - Anti-STING antibody [EPR25090-107] (AB288157)

Immunohistochemical analysis of paraffin-embedded Rat liver tissue labeling STING with ab288157 at 1/2000 (0.279 ug/ml) followed by a ready to use LeicaDS9800 (Bond®, Polymer Refine Detection). Positive staining on kupffer cells in rat liver (PMID 30561388). The section was incubated with ab288157 for 30 mins at room temperature. The immunostaining was performed on a Leica Biosystems BOND® RX instrument. Counterstained with Hematoxylin.

Secondary antibody only control : Secondary antibody is a ready to use LeicaDS9800 (Bond®, Polymer Refine Detection).

Heat mediated antigen retrieval with Tris-EDTA buffer (pH 9.0, epitope retrieval solution2) for 20 mins

Immunocytochemistry/ Immunofluorescence - Anti-STING antibody [EPR25090-107] (AB288157)
  • ICC/IF

Lab

Immunocytochemistry/ Immunofluorescence - Anti-STING antibody [EPR25090-107] (AB288157)

Immunofluorescent analysis of 4% Paraformaldehyde-fixed, 0.1% TritonX-100 permeabilized RAW 264.7 cells labelling STING with ab288157 at 1/50 dilution, followed by ab150081 Goat Anti-Rabbit IgG H&L (Alexa Fluor® 488) preadsorbed antibody at 1/1000 dilution (Green). Confocal image showing positive cytoplasmic staining in RAW 264.7 cell line. ab195889 Anti-alpha Tubulin mouse monoclonal antibody - Microtubule Marker (Alexa Fluor® 594) was used to counterstain tubulin at 1/200 dilution (Red). The Nuclear counterstain was DAPI (Blue).

Secondary antibody only control : Secondary antibody is ab150081 Goat Anti-Rabbit IgG H&L (Alexa Fluor® 488) preadsorbed at 1/1000 dilution.

Immunohistochemistry (Formalin/PFA-fixed paraffin-embedded sections) - Anti-STING antibody [EPR25090-107] (AB288157)
  • IHC-P

Lab

Immunohistochemistry (Formalin/PFA-fixed paraffin-embedded sections) - Anti-STING antibody [EPR25090-107] (AB288157)

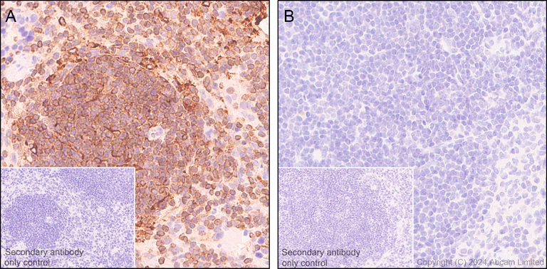
Immunohistochemical analysis of paraffin-embedded Mouse spleen tissue labeling STING with ab288157 at 1/2000 (0.279 ug/ml) followed by a ready to use LeicaDS9800 (Bond®, Polymer Refine Detection). Positive staining on mouse spleen. The section was incubated with ab288157 for 30 mins at room temperature. The immunostaining was performed on a Leica Biosystems BOND® RX instrument. Counterstained with Hematoxylin.

Secondary antibody only control : Secondary antibody is a ready to use LeicaDS9800 (Bond®, Polymer Refine Detection).

Heat mediated antigen retrieval with Tris-EDTA buffer (pH 9.0, epitope retrieval solution2) for 20 mins

Immunohistochemistry (Frozen sections) - Anti-STING antibody [EPR25090-107] (AB288157)
  • IHC-Fr

Lab

Immunohistochemistry (Frozen sections) - Anti-STING antibody [EPR25090-107] (AB288157)

Immunohistochemical analysis of 4% PFA-fixed, 0.2% Triton X-100 permeabilized frozen rat spleen (fresh) tissue labeling STING with ab288157 at 1/500 (1.114 ug/ml) dilution followed by ab150081 Goat Anti-Rabbit IgG H&L (Alexa Fluor® 488) preadsorbed at 1/1000 dilution (Green). Positive staining on rat spleen is observed. The nuclear counterstain was DAPI (Blue).

Secondary antibody control : Secondary antibody is ab150081 Goat Anti-Rabbit IgG H&L (Alexa Fluor® 488) preadsorbed at 1/1000 dilution.

Immunohistochemistry (Formalin/PFA-fixed paraffin-embedded sections) - Anti-STING antibody [EPR25090-107] (AB288157)
  • IHC-P

Lab

Immunohistochemistry (Formalin/PFA-fixed paraffin-embedded sections) - Anti-STING antibody [EPR25090-107] (AB288157)

Immunohistochemical analysis of paraffin-embedded (A) Liver tissue from wild-type C57BL/6JGpt mice (B) Liver tissue from STING knockout mice labeling STING with ab288157 at 1/5000 followed by a ready to use LeicaDS9800 (Bond®, Polymer Refine Detection). Counterstained with Hematoxylin. Antigen retrieval was heat mediated with Tris-EDTA buffer (pH 9.0, Epitope Retrieval Solution2) for 20 mins. Positive staining on (A) Liver tissue from wild-type C57BL/6JGpt mice and no staining on (B) Liver tissue from STING knockout mice. The section was incubated with ab288157 for 30 mins at room temperature. The immunostaining was performed on a Leica Biosystems BOND® RX instrument. The tissue samples were kindly provided by GemPharmatech. C57BL/6JGpt wildtype mice and Sting1-KO homozygous mice (Strain ID : T012747).

Flow Cytometry (Intracellular) - Anti-STING antibody [EPR25090-107] (AB288157)
  • Flow Cyt (Intra)

Lab

Flow Cytometry (Intracellular) - Anti-STING antibody [EPR25090-107] (AB288157)

Flow cytometric analysis of 4% paraformaldehyde-fixed, 90% methanol-permeabilized J774A.1 (Mouse reticulum cell sarcoma monocyte macrophage) cells labelling STING with ab288157 at 1/500 dilution (0.1ug)(Red) compared with a Rabbit monoclonal IgG (ab172730) (Black) isotype control and an unlabelled control (cells without incubation with primary antibody and secondary antibody) (Blue). A Goat Anti-Rabbit IgG (Alexa Fluor® 488, ab150081) at 1/2000 dilution was used as the secondary antibody.

Immunocytochemistry/ Immunofluorescence - Anti-STING antibody [EPR25090-107] (AB288157)
  • ICC/IF

Lab

Immunocytochemistry/ Immunofluorescence - Anti-STING antibody [EPR25090-107] (AB288157)

Immunofluorescent analysis of 4% Paraformaldehyde-fixed, 0.1% TritonX-100 permeabilized J774A.1 cells labelling STING with ab288157 at 1/50 dilution, followed by ab150081 Goat Anti-Rabbit IgG H&L (Alexa Fluor® 488) preadsorbed antibody at 1/1000 dilution (Green). Confocal image showing positive cytoplasmic staining in J774A.1 cell line. ab195889 Anti-alpha Tubulin mouse monoclonal antibody - Microtubule Marker (Alexa Fluor® 594) was used to counterstain tubulin at 1/200 dilution (Red). The Nuclear counterstain was DAPI (Blue).

Secondary antibody only control : Secondary antibody is ab150081 Goat Anti-Rabbit IgG H&L (Alexa Fluor® 488) preadsorbed at 1/1000 dilution.

Immunohistochemistry (Formalin/PFA-fixed paraffin-embedded sections) - Anti-STING antibody [EPR25090-107] (AB288157)
  • IHC-P

Lab

Immunohistochemistry (Formalin/PFA-fixed paraffin-embedded sections) - Anti-STING antibody [EPR25090-107] (AB288157)

Immunohistochemical analysis of paraffin-embedded Mouse breast cancer tissue labeling STING with ab288157 at 1/2000 (0.279 ug/ml) followed by a ready to use LeicaDS9800 (Bond®, Polymer Refine Detection). Positive staining on mouse breast cancer. The section was incubated with ab288157 for 30 mins at room temperature. The immunostaining was performed on a Leica Biosystems BOND® RX instrument. Counterstained with Hematoxylin.

Secondary antibody only control : Secondary antibody is a ready to use LeicaDS9800 (Bond®, Polymer Refine Detection).

Heat mediated antigen retrieval with Tris-EDTA buffer (pH 9.0, epitope retrieval solution2) for 20 mins

Immunohistochemistry (Frozen sections) - Anti-STING antibody [EPR25090-107] (AB288157)
  • IHC-Fr

Lab

Immunohistochemistry (Frozen sections) - Anti-STING antibody [EPR25090-107] (AB288157)

Immunohistochemical analysis of 4% PFA-fixed, 0.2% Triton X-100 permeabilized frozen Mouse spleen (fresh) tissue labeling STING with ab288157 at 1/500 (1.114 ug/ml) dilution followed by ab150081 Goat Anti-Rabbit IgG H&L (Alexa Fluor® 488) preadsorbed at 1/1000 dilution (Green). Positive staining on mouse spleen is observed. The nuclear counterstain was DAPI (Blue).

Secondary antibody control : Secondary antibody is ab150081 Goat Anti-Rabbit IgG H&L (Alexa Fluor® 488) preadsorbed at 1/1000 dilution.

Flow Cytometry (Intracellular) - Anti-STING antibody [EPR25090-107] (AB288157)
  • Flow Cyt (Intra)

Lab

Flow Cytometry (Intracellular) - Anti-STING antibody [EPR25090-107] (AB288157)

Flow cytometric analysis of 4% paraformaldehyde-fixed, 90% methanol-permeabilized RAW 264.7 (Mouse Abelson murine leukemia virus-induced tumor macrophage) cells labelling STING with ab288157 at 1/500 dilution (0.1ug)(Red) compared with a Rabbit monoclonal IgG (ab172730) (Black) isotype control and an unlabelled control (cells without incubation with primary antibody and secondary antibody) (Blue). A Goat Anti-Rabbit IgG (Alexa Fluor® 488, ab150081) at 1/2000 dilution was used as the secondary antibody.

Immunohistochemistry (Formalin/PFA-fixed paraffin-embedded sections) - Anti-STING antibody [EPR25090-107] (AB288157)
  • IHC-P

Lab

Immunohistochemistry (Formalin/PFA-fixed paraffin-embedded sections) - Anti-STING antibody [EPR25090-107] (AB288157)

Immunohistochemical analysis of paraffin-embedded Mouse liver tissue labeling STING with ab288157 at 1/2000 (0.279 ug/ml) followed by a ready to use LeicaDS9800 (Bond®, Polymer Refine Detection). Positive staining on kupffer cells in mouse liver (PMID 30561388). The section was incubated with ab288157 for 30 mins at room temperature. The immunostaining was performed on a Leica Biosystems BOND® RX instrument. Counterstained with Hematoxylin.

Secondary antibody only control : Secondary antibody is a ready to use LeicaDS9800 (Bond®, Polymer Refine Detection).

Heat mediated antigen retrieval with Tris-EDTA buffer (pH 9.0, epitope retrieval solution2) for 20 mins

Immunohistochemistry (Formalin/PFA-fixed paraffin-embedded sections) - Anti-STING antibody [EPR25090-107] (AB288157)
  • IHC-P

Lab

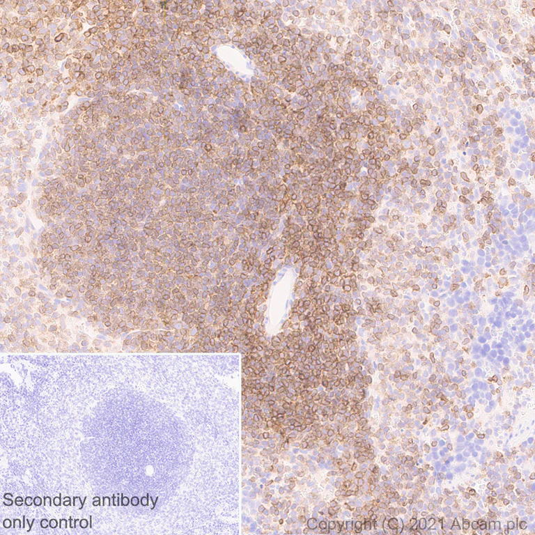
Immunohistochemistry (Formalin/PFA-fixed paraffin-embedded sections) - Anti-STING antibody [EPR25090-107] (AB288157)

Immunohistochemical analysis of paraffin-embedded Rat spleen tissue labeling STING with ab288157 at 1/2000 (0.279 ug/ml) followed by a ready to use LeicaDS9800 (Bond®, Polymer Refine Detection) was used. Positive staining on rat spleen. The section was incubated with ab288157 for 30 mins at room temperature.The immunostaining was performed on a Leica Biosystems BOND® RX instrument Counterstained with Hematoxylin.

Secondary antibody only control : Secondary antibody is a ready to use LeicaDS9800 (Bond®, Polymer Refine Detection) was used.

Heat mediated antigen retrieval with Tris-EDTA buffer (pH 9.0, epitope retrieval solution2) for 20 mins

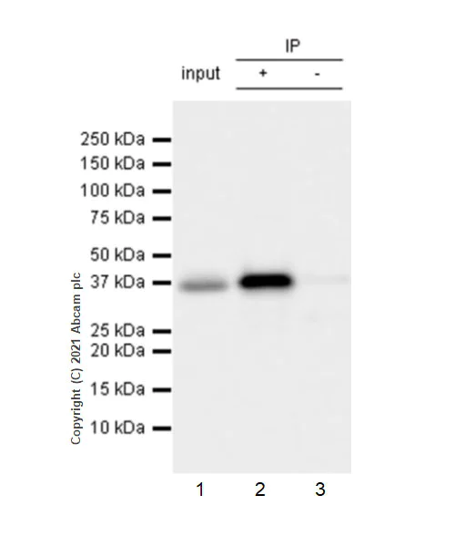
Immunoprecipitation - Anti-STING antibody [EPR25090-107] (AB288157)
  • IP

Lab

Immunoprecipitation - Anti-STING antibody [EPR25090-107] (AB288157)

STING was immunoprecipitated from 0.35 mg RAW264.7 (mouse Abelson murine leukemia virus-induced tumor macrophage) whole cell lysate with ab288157 at 1/30 dilution (2ug in 0.35mg lysates). Western blot was performed on the immunoprecipitate using ab288157 at 1/1000 dilution. VeriBlot for IP secondary antibody(HRP)(ab131366) was used at 1/5000 dilution.

Lane 1 : RAW264.7 (mouse Abelson murine leukemia virus-induced tumor macrophage) whole cell lysate 10 ug

Lane 2 : ab288157 IP in RAW264.7 whole cell lysate

Lane 3 : Rabbit monoclonal IgG (ab172730) instead of ab288157 in RAW264.7 whole cell lysate

Blocking and dilution buffer and concentration : 5% NFDM/TBST.

Exposure time : 7.75 seconds

All lanes:

Immunoprecipitation - Anti-STING antibody [EPR25090-107] (ab288157)

Predicted band size: 42 kDa

Observed band size: 33 kDa,33.35 kDa,35 kDa

false

Western blot - Anti-STING antibody [EPR25090-107] (AB288157)
  • WB

Lab

Western blot - Anti-STING antibody [EPR25090-107] (AB288157)

Blocking and diluting buffer and concentration : 5% NFDM/TBST

Exposure time : 81 seconds

All lanes:

Western blot - Anti-STING antibody [EPR25090-107] (ab288157) at 1/1000 dilution

Lane 1:

Rat spleen tissue lysate at 20 µg

Lane 2:

Rat liver tissue lysate at 40 µg

Secondary

All lanes:

Goat Anti-Rabbit IgG, (H+L), Peroxidase conjugated (<a href='/en-us/products/secondary-antibodies/goat-rabbit-igg-h-l-hrp-ab97051'>ab97051</a>) at 1/100000 dilution

Predicted band size: 42 kDa

Observed band size: 33 kDa,35 kDa

false

Western blot - Anti-STING antibody [EPR25090-107] (AB288157)
  • WB

Lab

Western blot - Anti-STING antibody [EPR25090-107] (AB288157)

Blocking and diluting buffer and concentration : 5% NFDM/TBST

Exposure time : 26 seconds

All lanes:

Western blot - Anti-STING antibody [EPR25090-107] (ab288157) at 1/1000 dilution

Lane 1:

Mouse spleen tissue lysate at 20 µg

Lane 2:

Mouse liver tissue lysate at 40 µg

Secondary

All lanes:

Western blot - Goat Anti-Rabbit IgG H&L (HRP) (<a href='/en-us/products/secondary-antibodies/goat-rabbit-igg-h-l-hrp-ab97051'>ab97051</a>) at 1/100000 dilution

Predicted band size: 42 kDa

Observed band size: 33 kDa,33.35 kDa,35 kDa

false

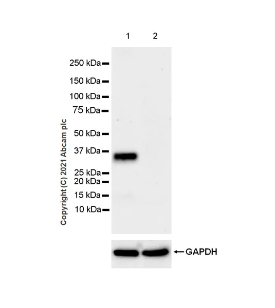
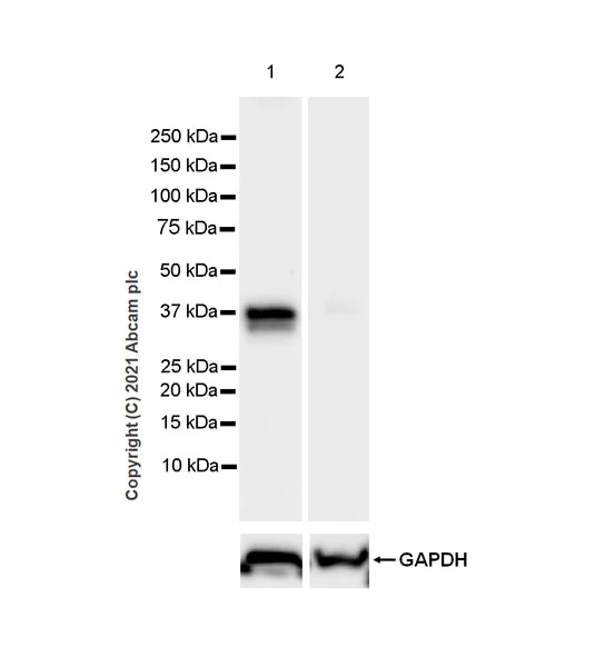
Western blot - Anti-STING antibody [EPR25090-107] (AB288157)
  • WB

Lab

Western blot - Anti-STING antibody [EPR25090-107] (AB288157)

Loading control : Anti-GAPDH antibody [EPR16891] - Loading Control (ab181602) (1/200000) (36KDa) Blocking buffer and concentration : 5% NFDM/TBST The tissue samples were kindly provided by GemPharmatech. C57BL/6JGpt wildtype mice and Sting1-KO homozygous mice (Strain ID : T012747).

Lanes 1 - 6:

Western blot - Anti-STING antibody [EPR25090-107] (ab288157) at 1/1000 dilution

Lanes 1 - 6:

Western blot - Anti-STING antibody [EPR25090-107] - BSA and Azide free (<a href='/en-us/products/primary-antibodies/sting-antibody-epr25090-107-bsa-and-azide-free-ab288164'>ab288164</a>)

Lane 1:

Wild-type mouse spleen tissue lysate (male)

Lanes 2 - 3:

STING knockout spleen tissue lysate (male)

Lane 4:

Wild-type mouse liver tissue lysate (male)

Lanes 5 - 6:

STING knockout liver tissue lysate (male)

false

Exposure time: 15s

Western blot - Anti-STING antibody [EPR25090-107] (AB288157)
  • WB

Lab

Western blot - Anti-STING antibody [EPR25090-107] (AB288157)

Blocking and diluting buffer and concentration : 5% NFDM/TBST

Exposure time : 5.5 seconds

Lysates/proteins at 20 μg per lane.

All lanes:

Western blot - Anti-STING antibody [EPR25090-107] (ab288157) at 1/1000 dilution

Lane 1:

C2C12 (mouse myoblasts myoblast) whole cell lysate at 20 µg

Lane 2:

RAW264.7 (mouse Abelson murine leukemia virus-induced tumor macrophage) whole cell lysate at 20 µg

Lane 3:

J774A.1 (mouse reticum cell sarcoma monocyte macrophage) whole cell lysate at 20 µg

Lane 4:

A20 (mouse reticum sarcoma b lymphocyte) whole cell lysate at 20 µg

Secondary

All lanes:

Goat Anti-Rabbit IgG, (H+L), Peroxidase conjugated (<a href='/en-us/products/secondary-antibodies/goat-rabbit-igg-h-l-hrp-ab97051'>ab97051</a>) at 1/20000 dilution

Predicted band size: 42 kDa

Observed band size: 33.35 kDa

false

  • Carrier free

    Anti-STING antibody [EPR25090-107] - BSA and Azide free

Key facts

Host species

Rabbit

Clonality

Monoclonal

Clone number

EPR25090-107

Isotype

IgG

Carrier free

No

Reacts with

Rat, Mouse

Applications

IHC-Fr, IHC-P, Flow Cyt (Intra), WB, IP, ICC/IF

applications

Immunogen

The exact immunogen used to generate this antibody is proprietary information.

Reactivity data

{ "title": "Reactivity Data", "filters": { "stats": ["", "Species", "Dilution Info", "Notes"], "tabs": { "all-applications": {"fullname" : "All Applications", "shortname": "All Applications"}, "FlowCytIntra" : {"fullname" : "Flow Cytometry (Intracellular)", "shortname":"Flow Cyt (Intra)"}, "IP" : {"fullname" : "Immunoprecipitation", "shortname":"IP"}, "WB" : {"fullname" : "Western blot", "shortname":"WB"}, "IHCP" : {"fullname" : "Immunohistochemistry (Formalin/PFA-fixed paraffin-embedded sections)", "shortname":"IHC-P"}, "IHCFr" : {"fullname" : "Immunohistochemistry (Frozen sections)", "shortname":"IHC-Fr"}, "ICCIF" : {"fullname" : "Immunocytochemistry/ Immunofluorescence", "shortname":"ICC/IF"} }, "product-promise": { "all": "all", "testedAndGuaranteed": "tested", "guaranteed": "expected", "predicted": "predicted", "notRecommended": "not-recommended" } }, "values": { "Human": { "FlowCytIntra-species-checked": "notRecommended", "FlowCytIntra-species-dilution-info": "", "FlowCytIntra-species-notes": "", "IP-species-checked": "notRecommended", "IP-species-dilution-info": "", "IP-species-notes": "", "WB-species-checked": "notRecommended", "WB-species-dilution-info": "1/1000", "WB-species-notes": "<p></p>", "IHCP-species-checked": "notRecommended", "IHCP-species-dilution-info": "1/2000", "IHCP-species-notes": "<p></p> Perform heat-mediated antigen retrieval with Tris/EDTA buffer pH 9.0 before commencing with IHC staining protocol.", "IHCFr-species-checked": "notRecommended", "IHCFr-species-dilution-info": "", "IHCFr-species-notes": "", "ICCIF-species-checked": "notRecommended", "ICCIF-species-dilution-info": "", "ICCIF-species-notes": "" }, "Mouse": { "FlowCytIntra-species-checked": "testedAndGuaranteed", "FlowCytIntra-species-dilution-info": "1/500", "FlowCytIntra-species-notes": "<p></p>", "IP-species-checked": "testedAndGuaranteed", "IP-species-dilution-info": "1/30", "IP-species-notes": "<p></p>", "WB-species-checked": "testedAndGuaranteed", "WB-species-dilution-info": "1/1000", "WB-species-notes": "<p></p>", "IHCP-species-checked": "testedAndGuaranteed", "IHCP-species-dilution-info": "1/2000", "IHCP-species-notes": "<p></p> Perform heat-mediated antigen retrieval with Tris/EDTA buffer pH 9.0 before commencing with IHC staining protocol.", "IHCFr-species-checked": "testedAndGuaranteed", "IHCFr-species-dilution-info": "1/500", "IHCFr-species-notes": "<p></p>", "ICCIF-species-checked": "testedAndGuaranteed", "ICCIF-species-dilution-info": "1/50", "ICCIF-species-notes": "<p></p>" }, "Rat": { "FlowCytIntra-species-checked": "guaranteed", "FlowCytIntra-species-dilution-info": "", "FlowCytIntra-species-notes": "", "IP-species-checked": "guaranteed", "IP-species-dilution-info": "", "IP-species-notes": "", "WB-species-checked": "testedAndGuaranteed", "WB-species-dilution-info": "1/1000", "WB-species-notes": "<p></p>", "IHCP-species-checked": "testedAndGuaranteed", "IHCP-species-dilution-info": "1/2000", "IHCP-species-notes": "<p></p> Perform heat-mediated antigen retrieval with Tris/EDTA buffer pH 9.0 before commencing with IHC staining protocol.", "IHCFr-species-checked": "testedAndGuaranteed", "IHCFr-species-dilution-info": "1/500", "IHCFr-species-notes": "<p></p>", "ICCIF-species-checked": "guaranteed", "ICCIF-species-dilution-info": "", "ICCIF-species-notes": "" } } }

Product details

What is this antibody validated in?
Anti-STING antibody [EPR25090-107] (ab288157) is a rabbit recombinant monoclonal antibody and is validated for use in Western Blot (WB), Flow Cytometry (Intra), Flow Cytometry (Flow Cyt), Immunoprecipitation (IP), Immunohistochemistry (IHC-P), Immunohistochemistry (IHC-Fr), Immunocytochemistry/immunofluorescence (ICC/IF) in Mouse, Rat samples.

What is the molecular weight of STING?
Anti-STING [EPR25090-107] (ab288157) specifically detects a band for STING (UniProt: Q3TBT3) at a molecular weight of 42kDa.

Trial sizes available!
Test your antibody or perform pre-screening before committing to a larger quantity. Sold in 10µl. Discover our selection of trial-size antibodies.

Specificity confirmed
The specificity of Anti-STING antibody [EPR25090-107] (ab288157) has been confirmed by Western blot testing in Sting1 Knockout Mouse spleen, liver samples.

Other related products
We have a range of other formats of antibody clone [EPR25090-107] also available for your convenience: ab288157, Carrier free - ab288164

Patented technology
Our RabMAb® technology is a patented hybridoma-based technology for making rabbit monoclonal antibodies. For details on our patents, please refer to RabMAb® patents.

What are the advantages of a recombinant monoclonal antibody?
This product is a recombinant monoclonal antibody, which offers several advantages including:

  • - High batch-to-batch consistency and reproducibility
  • - Improved sensitivity and specificity
  • - Long-term security of supply
  • - Animal-free batch production

For more information, read more on recombinant antibodies.

Shipping conditions update: ambient shipping

This product will be delivered at ambient temperature instead of chilled – this is by design. Extensive stability testing confirmed that our products are suitable for shipment under ambient conditions and maintain expected quality.

Why the change?

It’s part of our commitment to more sustainable packaging solutions, with ambient deliveries using eco-friendly materials such as recyclable cardboard instead of polystyrene.

What you need to know

  • Ambient shipments come clearly marked on the delivery note.
  • No ice will be included in ambient shipments, but mixed orders (ambient and cold-chain items) will still arrive with ice packs to protect temperature-sensitive products.
  • Warranty coverage remains fully valid, aligned with our validated shipping method.
  • Please store the product as per the datasheet instructions upon receipt.

Find out more - https://www.abcam.com/en-us/support/shipping-storage-support/ambient-shipping

Properties and storage information

Form
Liquid
Purification technique
Affinity purification Protein A
Storage buffer
pH: 7.2 - 7.4 Preservative: 0.01% Sodium azide Constituents: PBS, 40% Glycerol (glycerin, glycerine), 0.05% BSA
Shipped at conditions
Conditional Ambient
Appropriate short-term storage duration
1-2 weeks
Appropriate short-term storage conditions
+4°C
Appropriate long-term storage conditions
-20°C
Aliquoting information
Upon delivery aliquot
Storage information
Avoid freeze / thaw cycle

Supplementary information

This supplementary information is collated from multiple sources and compiled automatically.

The stimulator of interferon genes (STING) also known as TMEM173 or MPYS is a critical transmembrane protein with a molecular weight of approximately 42 kDa. It is primarily expressed in the endoplasmic reticulum of various cell types including immune cells where it plays a central role in sensing cytosolic DNA. STING binds to cyclic dinucleotides produced by the enzyme cGAS upon recognition of aberrant DNA in the cytosol. This binding initiates activation and translocation of STING to the Golgi apparatus facilitating further signaling events.
Biological function summary

STING serves as a pivotal regulator in the innate immune response to viral and bacterial infections. It operates by forming a signaling complex with kinases and other effector proteins which subsequently leads to the activation of transcription factors such as IRF3 and NF-kB. These transcription factors then induce the expression of type I interferons and other cytokines important for mounting an effective antiviral response. The STING pathway therefore enhances the immune system's ability to detect and respond to pathogens.

Pathways

The activity of STING is integral to the cGAS-STING pathway a significant cytosolic DNA-sensing pathway involved in innate immunity. Upon activation STING interacts with TBK1 a kinase that further phosphorylates IRF3 promoting its nuclear translocation and activation. Beyond this STING also intersects with pathways involving autophagy a cellular process necessary for clearing pathogens and damaged cellular components. Through these pathways STING critically contributes to upholding cellular homeostasis and immune defense.

The dysregulation of STING is linked to autoinflammatory diseases and certain cancers. Abnormal STING activation can lead to chronic inflammation a feature observed in diseases such as STING-associated vasculopathy with onset in infancy (SAVI). STING's role in cancer is also notable where its ability to activate immune cells can be harnessed in immunotherapy yet its chronic activation may promote tumorigenesis. In cancer STING often interacts with proteins like K-Ras influencing tumor growth and response to therapies.

Product protocols

For this product, it's our understanding that no specific protocols are required. You can visit:

Target data

Facilitator of innate immune signaling that acts as a sensor of cytosolic DNA from bacteria and viruses and promotes the production of type I interferon (IFN-alpha and IFN-beta) (PubMed : 18818105, PubMed : 19433799, PubMed : 19776740, PubMed : 26229117, PubMed : 26669264, PubMed : 27324217, PubMed : 28529930, PubMed : 29973723, PubMed : 31346090). Innate immune response is triggered in response to non-CpG double-stranded DNA from viruses and bacteria delivered to the cytoplasm (PubMed : 18818105, PubMed : 19433799, PubMed : 19776740, PubMed : 26229117, PubMed : 26669264). Acts by binding cyclic dinucleotides : recognizes and binds cyclic di-GMP (c-di-GMP), a second messenger produced by bacteria, cyclic UMP-AMP (2',3'-cUAMP), and cyclic GMP-AMP (cGAMP), a messenger produced by CGAS in response to DNA virus in the cytosol (PubMed : 21947006, PubMed : 23258412, PubMed : 23519410, PubMed : 23722158, PubMed : 23910378). Upon binding to c-di-GMP, cUAMP or cGAMP, STING1 oligomerizes, translocates from the endoplasmic reticulum and is phosphorylated by TBK1 on the pLxIS motif, leading to recruitment and subsequent activation of the transcription factor IRF3 to induce expression of type I interferon and exert a potent anti-viral state (PubMed : 25636800, PubMed : 27324217, PubMed : 29973723). Exhibits 2',3' phosphodiester linkage-specific ligand recognition : can bind both 2'-3' linked cGAMP (2'-3'-cGAMP) and 3'-3' linked cGAMP but is preferentially activated by 2'-3' linked cGAMP (PubMed : 26300263). The preference for 2'-3'-cGAMP, compared to other linkage isomers is probably due to the ligand itself, whichs adopts an organized free-ligand conformation that resembles the STING1-bound conformation and pays low energy costs in changing into the active conformation (By similarity). In addition to promote the production of type I interferons, plays a direct role in autophagy (PubMed : 30568238). Following cGAMP-binding, STING1 buds from the endoplasmic reticulum into COPII vesicles, which then form the endoplasmic reticulum-Golgi intermediate compartment (ERGIC) (By similarity). The ERGIC serves as the membrane source for WIPI2 recruitment and LC3 lipidation, leading to formation of autophagosomes that target cytosolic DNA or DNA viruses for degradation by the lysosome (By similarity). Promotes autophagy by acting as a proton channel that directs proton efflux from the Golgi to facilitate MAP1LC3B/LC3B lipidation (By similarity). The autophagy- and interferon-inducing activities can be uncoupled and autophagy induction is independent of TBK1 phosphorylation (By similarity). Autophagy is also triggered upon infection by bacteria : following c-di-GMP-binding, which is produced by live Gram-positive bacteria, promotes reticulophagy (PubMed : 29056340). May be involved in translocon function, the translocon possibly being able to influence the induction of type I interferons (By similarity). May be involved in transduction of apoptotic signals via its association with the major histocompatibility complex class II (MHC-II) (PubMed : 18559423).
See full target information Sting1

Publications (22)

Recent publications for all applications. Explore the full list and refine your search

Bioactive materials 53:58-71 PubMed40688017

2025

Delivering LINE1 antisense oligonucleotides via endothelial targeting extracellular vesicles to ameliorate myocardial infarction-induced cardiac senescence.

Applications

Unspecified application

Species

Unspecified reactive species

Enze Fu,Kai Pan,Benjamin Hinnant,Shang Chen,Zhibo Han,Zhikun Guo,Zhong-Chao Han,Qiong Li,Zongjin Li

Bioactive materials 52:182-199 PubMed40538765

2025

Near-infrared light-induced photothermal and immunotherapy system for lung cancer bone metastasis treatment with simultaneous bone repair.

Applications

Unspecified application

Species

Unspecified reactive species

Guoqing Zhong,Yali Miao,Jielong Zhou,Yijie He,Wenjie Yang,Chongquan Huang,Yunhui Zhang,Jin Xiao,Bingqing Bai,Jiaqi Zhou,Renshan Li,Tiantian Wei,Yu Zhang,Shi Cheng

Cell biology and toxicology 41:82 PubMed40335763

2025

ELF4 improves sepsis-induced myocardial injury by regulating STING signaling-mediated T cells differentiation.

Applications

Unspecified application

Species

Unspecified reactive species

Yawen Zheng,Xiongjun Peng,Yusha Zhang,Ruilin Liu,Junke Long

Cell biology and toxicology 41:78 PubMed40304798

2025

Lactate-induced macrophage HMGB1 lactylation promotes neutrophil extracellular trap formation in sepsis-associated acute kidney injury.

Applications

Unspecified application

Species

Unspecified reactive species

Siwei Wei,Zijuan Dai,Lei Wu,Zhen Xiang,Xiaoxiao Yang,Liubing Jiang,Zhen Du

Communications biology 8:607 PubMed40229503

2025

Primary cilia prevent activation of the cGAS-STING pathway during mouse decidualization.

Applications

Unspecified application

Species

Unspecified reactive species

Bo Li,Yu-Ying He,Wen-Xu Yao,Dan-Dan Jin,Hui-Na Luo,Meng-Yuan Li,Ying Wu,Zeng-Ming Yang

Molecular medicine reports 31: PubMed40211713

2025

Myeloid SHP2 attenuates myocardial ischemia‑reperfusion injury via regulation of BRD4/SYK/STING/NOX4/NLRP3 signaling.

Applications

Unspecified application

Species

Unspecified reactive species

Yazhong Liu,Hongshan Yin,Tao Wang,Tao Chen,Chengda Guo,Fue Zhang,Zhian Jiang

CNS neuroscience & therapeutics 30:e70166 PubMed39699038

2024

STING Driving Synaptic Phagocytosis of Hippocampal Microglia/Macrophages Contributes to Cognitive Impairment in Sepsis-Associated Encephalopathy in Mice.

Applications

Unspecified application

Species

Unspecified reactive species

Xin Lv,Min Jia,Xiao Feng,Jia-Xiong Jian,Jian-Jun Yang,Da-Qing Ma,Mu-Huo Ji,Yu-Gang Diao,Jin-Chun Shen

Neuroscience bulletin 41:359-373 PubMed39676140

2024

Inhibition of the cGAS‑STING Pathway Reduces Cisplatin-Induced Inner Ear Hair Cell Damage.

Applications

Unspecified application

Species

Unspecified reactive species

Ying Sun,Shengyu Zou,Xiaoxiang Xu,Shan Xu,Haiying Sun,Mingliang Tang,Weijia Kong,Xiong Chen,Zuhong He

Nature communications 15:10395 PubMed39613774

2024

A hypoxia-activated and microenvironment-remodeling nanoplatform for multifunctional imaging and potentiated immunotherapy of cancer.

Applications

Unspecified application

Species

Unspecified reactive species

Jianwen Song,He Wang,Xue Meng,Wen Li,Ji Qi

Advanced science (Weinheim, Baden-Wurttemberg, Germany) 11:e2406421 PubMed39422023

2024

The Intestinal Transporter SLC30A1 Plays a Critical Role in Regulating Systemic Zinc Homeostasis.

Applications

Unspecified application

Species

Unspecified reactive species

Shumin Sun,Enjun Xie,Shan Xu,Suyu Ji,Shufen Wang,Jie Shen,Rong Wang,Xinyi Shen,Yunxing Su,Zijun Song,Xiaotian Wu,Jiahui Zhou,Zhaoxian Cai,Xiaopeng Li,Yan Zhang,Junxia Min,Fudi Wang
View all publications

Product promise

We are committed to supporting your work with high-quality reagents, and we're here for you every step of the way. In the unlikely event that one of our products does not perform as expected, you're protected by our Product Promise.
For full details, please see our Terms & Conditions

Please note: All products are 'FOR RESEARCH USE ONLY. NOT FOR USE IN DIAGNOSTIC OR THERAPEUTIC PROCEDURES'.

For licensing inquiries, please contact partnerships@abcam.com