JavaScript is disabled in your browser. Please enable JavaScript to view this website.
AB324230

Anti-STING (phospho S366) antibody [EPR29040-93] - BSA and Azide free

Be the first to review this product! Submit a review

|

(0 Publication)

Rabbit Recombinant Monoclonal STING phospho S366 antibody. Carrier free. Suitable for WB, Dot and reacts with Synthetic peptide - Human, Human, Mouse samples.

View Alternative Names

ERIS, MITA, STING, TMEM173, Stimulator of interferon genes protein, hSTING, Endoplasmic reticulum interferon stimulator, Mediator of IRF3 activation, Transmembrane protein 173, hMITA

5 Images
Western blot - Anti-STING (phospho S366) antibody [EPR29040-93] - BSA and Azide free (AB324230)
  • WB

Supplier Data

Western blot - Anti-STING (phospho S366) antibody [EPR29040-93] - BSA and Azide free (AB324230)

Blocking and diluting buffer and concentration : 1% BSA/TBST.

Performed under reducing conditions.

In Western blot, ab324229 was shown to bind specifically to STING (phospho S366). Target of interest was observed at 40kDa in wild-type THP-1 cell lysates (lane 2) with no signal observed at this size in STING knockout cell line (lane 3-4) (lane 3, knockout cell line ab270493 / knockout cell lysate ab270516).

In Western blot, Anti-Vinculin antibody [EPR8185] (ab129002) staining at 1/10000 dilution.

In Western blot, Anti-STING antibody [EPR13130-55] (ab239074) staining at 1/1000 dilution.

All lanes:

Western blot - Anti-STING (phospho S366) antibody [EPR29040-93] (<a href='/en-us/products/primary-antibodies/sting-phospho-s366-antibody-epr29040-93-ab324229'>ab324229</a>) at 1/1000 dilution

Lane 1:

Untreated Wild-type THP-1 (human monocytic leukemia monocyte) whole cell lysate (untreated membrane) at 20 µg

Lane 2:

Wild-type THP-1 treated first with 80nM TPA for 24h, then change fresh medium, transfect 10ug/ml poly(dA:dT) and treated with 10 uM MG-132 for 6 hours, 100 uM Calyculin A was then added for additional 30 minutes, whole cell lysate (untreated membrane) at 20 µg

Lane 3:

Untreated STING knockout THP-1 whole cell lysate (untreated membrane) at 20 µg

Lane 4:

STING knockout THP-1 treated first with 80nM TPA for 24h, then change fresh medium, transfect 10ug/ml poly(dA:dT) and treated with 10 uM MG-132 for 6 hours, 100 uM Calyculin A was then added for additional 30 minutes, whole cell lysate (untreated membrane) at 20 µg

Lane 5:

Untreated Wild-type THP-1 (human monocytic leukemia monocyte) whole cell lysate (alkaline phosphatase treated membrane) at 20 µg

Lane 6:

Wild-type THP-1 treated first with 80nM TPA for 24h, then change fresh medium, transfect 10ug/ml poly(dA:dT) and treated with 10 uM MG-132 for 6 hours, 100 uM Calyculin A was then added for additional 30 minutes, whole cell lysate (alkaline phosphatase treated membrane) at 20 µg

Lane 7:

Untreated STING knockout THP-1 whole cell lysate (alkaline phosphatase treated membrane) at 20 µg

Lane 8:

STING knockout THP-1 treated first with 80nM TPA for 24h, then change fresh medium, transfect 10ug/ml poly(dA:dT) and treated with 10 uM MG-132 for 6 hours, 100 uM Calyculin A was then added for additional 30 minutes, whole cell lysate (alkaline phosphatase treated membrane) at 20 µg

Secondary

All lanes:

Western blot - Goat Anti-Rabbit IgG H&L (HRP) (<a href='/en-us/products/secondary-antibodies/goat-rabbit-igg-h-l-hrp-ab97051'>ab97051</a>) at 1/20000 dilution

Observed band size: 40 kDa,124 kDa

false

Exposure time: 59s

Western blot - Anti-STING (phospho S366) antibody [EPR29040-93] - BSA and Azide free (AB324230)
  • WB

Supplier Data

Western blot - Anti-STING (phospho S366) antibody [EPR29040-93] - BSA and Azide free (AB324230)

This data was developed using ab324229, the same antibody clone in a different buffer formulation.

Blocking and diluting buffer and concentration : 1% BSA/TBST.

In Western blot, Anti-Vinculin antibody [EPR8185] (ab129002) staining at 1/10000 dilution.

In Western blot, Anti-STING antibody [EPR13130-55] (ab239074) staining at 1/1000 dilution.

All lanes:

Western blot - Anti-STING (phospho S366) antibody [EPR29040-93] (<a href='/en-us/products/primary-antibodies/sting-phospho-s366-antibody-epr29040-93-ab324229'>ab324229</a>) at 1/1000 dilution

Lane 1:

Untreated THP-1 (human monocytic leukemia monocyte) whole cell lysate at 20 µg

Lane 2:

THP-1 treated first with 80nM TPA for 24 hours, then change fresh medium, transfect 10ug/ml poly(dA:dT) for 6 hours, whole cell lysate at 20 µg

Lane 3:

THP-1 treated first with 80nM TPA for 24 hours, then change fresh medium, transfect 10ug/ml poly(dA:dT) and treated with 10 uM MG-132 for 6 hours, whole cell lysate at 20 µg

Lane 4:

THP-1 treated first with 80nM TPA for 24 hours, then change fresh medium, transfect 10ug/ml poly(dA:dT) for 6 hours, 100 uM Calyculin A was then added for additional 30 minutes, whole cell lysate at 20 µg

Lane 5:

THP-1 treated first with 80nM TPA for 24 hours, then change fresh medium, transfect 10ug/ml poly(dA:dT) and treated with 10 uM MG-132 for 6 hours, 100 uM Calyculin A was then added for additional 30 minutes, whole cell lysate at 20 µg

Secondary

All lanes:

Western blot - Goat Anti-Rabbit IgG H&L (HRP) (<a href='/en-us/products/secondary-antibodies/goat-rabbit-igg-h-l-hrp-ab97051'>ab97051</a>) at 1/20000 dilution

Observed band size: 40 kDa,124 kDa

false

Exposure time: 59s

Western blot - Anti-STING (phospho S366) antibody [EPR29040-93] - BSA and Azide free (AB324230)
  • WB

Supplier Data

Western blot - Anti-STING (phospho S366) antibody [EPR29040-93] - BSA and Azide free (AB324230)

This data was developed using ab324229, the same antibody clone in a different buffer formulation.

Blocking and diluting buffer and concentration : 1% BSA/TBST.

In Western blot, Anti-Vinculin antibody [EPR8185] (ab129002) staining at 1/10000 dilution.

All lanes:

Western blot - Anti-STING (phospho S366) antibody [EPR29040-93] (<a href='/en-us/products/primary-antibodies/sting-phospho-s366-antibody-epr29040-93-ab324229'>ab324229</a>) at 1/1000 dilution

Lane 1:

Untreated RAW 264.7 (mouse Abelson murine leukemia virus-induced tumor macrophage) whole cell lysate at 20 µg

Lane 2:

RAW 264.7 treated first with 80nM TPA for 24 hours, then change fresh medium, transfect 10ug/ml poly(dA:dT) and treated with 10 uM MG-132 for 6 hours, 100 uM Calyculin A was then added for additional 30 minutes, whole cell lysate at 20 µg

Secondary

All lanes:

Western blot - Goat Anti-Rabbit IgG H&L (HRP) (<a href='/en-us/products/secondary-antibodies/goat-rabbit-igg-h-l-hrp-ab97051'>ab97051</a>) at 1/20000 dilution

Observed band size: 40 kDa,124 kDa

false

Exposure time: 180s

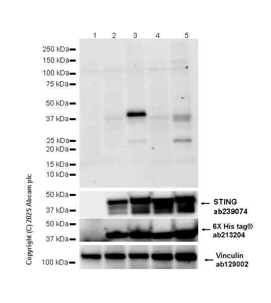
Western blot - Anti-STING (phospho S366) antibody [EPR29040-93] - BSA and Azide free (AB324230)
  • WB

Supplier Data

Western blot - Anti-STING (phospho S366) antibody [EPR29040-93] - BSA and Azide free (AB324230)

This data was developed using ab324229, the same antibody clone in a different buffer formulation.

Blocking and diluting buffer and concentration : 1% BSA/TBST.

Anti-Vinculin antibody [EPR8185] (ab129002) (1/10000) (124KDa); Anti-6X His tag® antibody [EPR20547] - ChIP Grade (ab213204) (1/5000);

In Western blot, Anti-STING antibody [EPR13130-55] (ab239074) staining at 1/1000 dilution.

All lanes:

Western blot - Anti-STING (phospho S366) antibody [EPR29040-93] (<a href='/en-us/products/primary-antibodies/sting-phospho-s366-antibody-epr29040-93-ab324229'>ab324229</a>) at 1/1000 dilution

Lane 1:

293T (human embryonic kidney epithelial cell) cells transfected with an empty vector containing a myc-His-tag®, whole cell lysate at 20 µg

Lane 2:

293T cells transfected with a human wild-type STING expression vector containing a myc-His-tag®, whole cell lysate at 20 µg

Lane 3:

293T cells transfected with a human wild-type STING expression vector containing a myc-His-tag® treated first with 80nM TPA for 24h, then change fresh medium, transfect 10ug/ml poly(dA:dT) and treated with 10 uM MG-132 for 6 hours, 100 uM Calyculin A was then added for additional 30 minutes, whole cell lysate at 20 µg

Lane 4:

293T cells transfected with a human STING (S366A mutation) expression vector containing a myc-His-tag®, whole cell lysate at 20 µg

Lane 5:

293T cells transfected with a human STING (S366A mutation) expression vector containing a myc-His-tag® treated first with 80nM TPA for 24h, then change fresh medium, transfect 10ug/ml poly(dA:dT) and treated with 10 uM MG-132 for 6 hours, 100 uM Calyculin A was then added for additional 30 minutes, whole cell lysate at 20 µg

Secondary

All lanes:

Western blot - Goat Anti-Rabbit IgG H&L (HRP) (<a href='/en-us/products/secondary-antibodies/goat-rabbit-igg-h-l-hrp-ab97051'>ab97051</a>) at 1/20000 dilution

Observed band size: 40 kDa,124 kDa

false

Exposure time: 59s

Dot Blot - Anti-STING (phospho S366) antibody [EPR29040-93] - BSA and Azide free (AB324230)
  • Dot

Supplier Data

Dot Blot - Anti-STING (phospho S366) antibody [EPR29040-93] - BSA and Azide free (AB324230)

This data was developed using ab324229, the same antibody clone in a different buffer formulation.

Dot blot analysis of STING (phospho S366) using ab324229 at 1 : 1000 (0.493 ug/ml) followed by a Goat Anti-Rabbit IgG, (H+L), Peroxidase conjugated (ab97051) at 1 : 100,000 dilution.

Lane1 : STING phospho S366 peptide a
Lane2 : STING phospho S366 peptide b
Lane3 : STING non-phospho peptide

Exposure time : 180 seconds.

Blocking and diluting buffer and concentration : 5% NFDM/TBST.

All lanes:

Dot Blot - Anti-STING (phospho S366) antibody [EPR29040-93] (<a href='/en-us/products/primary-antibodies/sting-phospho-s366-antibody-epr29040-93-ab324229'>ab324229</a>) at 1/1000 dilution

Lane 1:

STING phospho S366 peptide a

Lane 2:

STING phospho S366 peptide b

Lane 3:

STING non-phospho peptide

Secondary

All lanes:

Dot Blot - Goat Anti-Rabbit IgG H&L (HRP) (<a href='/en-us/products/secondary-antibodies/goat-rabbit-igg-h-l-hrp-ab97051'>ab97051</a>) at 1/100000 dilution

false

Exposure time: 180s

  • Unconjugated

    Anti-STING (phospho S366) antibody [EPR29040-93]

  • Carrier free

    Anti-STING (phospho S366) antibody [EPR29040-93] - BSA and Azide free (Capture)

Key facts

Host species

Rabbit

Clonality

Monoclonal

Clone number

EPR29040-93

Isotype

IgG

Carrier free

Yes

Reacts with

Human, Mouse

Applications

Dot, WB

applications

Immunogen

The exact immunogen used to generate this antibody is proprietary information.

Reactivity data

{ "title": "Reactivity Data", "filters": { "stats": ["", "Species", "Dilution Info", "Notes"], "tabs": { "all-applications": {"fullname" : "All Applications", "shortname": "All Applications"}, "WB" : {"fullname" : "Western blot", "shortname":"WB"}, "Dot" : {"fullname" : "Dot Blot", "shortname":"Dot"}, "ICCIF" : {"fullname" : "Immunocytochemistry/ Immunofluorescence", "shortname":"ICC/IF"}, "IHCP" : {"fullname" : "Immunohistochemistry (Formalin/PFA-fixed paraffin-embedded sections)", "shortname":"IHC-P"} }, "product-promise": { "all": "all", "testedAndGuaranteed": "tested", "guaranteed": "expected", "predicted": "predicted", "notRecommended": "not-recommended" } }, "values": { "Human": { "WB-species-checked": "testedAndGuaranteed", "WB-species-dilution-info": "", "WB-species-notes": "<p></p>", "Dot-species-checked": "guaranteed", "Dot-species-dilution-info": "", "Dot-species-notes": "", "ICCIF-species-checked": "notRecommended", "ICCIF-species-dilution-info": "", "ICCIF-species-notes": "<p></p>", "IHCP-species-checked": "notRecommended", "IHCP-species-dilution-info": "", "IHCP-species-notes": "" }, "Mouse": { "WB-species-checked": "testedAndGuaranteed", "WB-species-dilution-info": "", "WB-species-notes": "<p></p>", "Dot-species-checked": "guaranteed", "Dot-species-dilution-info": "", "Dot-species-notes": "", "ICCIF-species-checked": "notRecommended", "ICCIF-species-dilution-info": "", "ICCIF-species-notes": "<p></p>", "IHCP-species-checked": "notRecommended", "IHCP-species-dilution-info": "", "IHCP-species-notes": "<p></p>" }, "Synthetic peptide - Human": { "WB-species-checked": "testedAndGuaranteed", "WB-species-dilution-info": "", "WB-species-notes": "<p></p>", "Dot-species-checked": "testedAndGuaranteed", "Dot-species-dilution-info": "", "Dot-species-notes": "<p></p>", "ICCIF-species-checked": "notRecommended", "ICCIF-species-dilution-info": "", "ICCIF-species-notes": "", "IHCP-species-checked": "notRecommended", "IHCP-species-dilution-info": "", "IHCP-species-notes": "" } } }

Product details

ab324230 is the carrier free version of ab324229.

Patented technology
Our RabMAb® technology is a patented hybridoma-based technology for making rabbit monoclonal antibodies. For details on our patents, please refer to RabMAb® patents.

What are the advantages of a recombinant monoclonal antibody?
This product is a recombinant monoclonal antibody, which offers several advantages including:

  • - High batch-to-batch consistency and reproducibility
  • - Improved sensitivity and specificity
  • - Long-term security of supply
  • - Animal-free batch production

For more information, read more on recombinant antibodies.

Conjugation ready
Our carrier-free antibodies are typically supplied in a PBS-only formulation, purified and free of BSA, sodium azide and glycerol. This conjugation-ready format is designed for use with fluorochromes, metal isotopes, oligonucleotides, and enzymes, which makes them ideal for antibody labelling, functional and cell-based assays, flow-based assays (e.g. mass cytometry) and Multiplex Imaging applications.

Use our conjugation kits for antibody conjugates that are ready-to-use in as little as 20 minutes with 1 minute hands-on-time and 100% antibody recovery: available for fluorescent dyes, HRP, biotin and gold.

Compatibility
This product is compatible with the Maxpar® Antibody Labeling Kit from Fluidigm, without the need for antibody preparation. Maxpar® is a trademark of Fluidigm Canada Inc.

Properties and storage information

Form
Liquid
Purification technique
Affinity purification Protein A
Storage buffer
pH: 7.2 - 7.4 Constituents: PBS
Shipped at conditions
Blue Ice
Appropriate short-term storage conditions
+4°C
Appropriate long-term storage conditions
+4°C

Product protocols

For this product, it's our understanding that no specific protocols are required. You can visit:

Target data

Facilitator of innate immune signaling that acts as a sensor of cytosolic DNA from bacteria and viruses and promotes the production of type I interferon (IFN-alpha and IFN-beta) (PubMed : 18724357, PubMed : 18818105, PubMed : 19433799, PubMed : 19776740, PubMed : 23027953, PubMed : 23747010, PubMed : 23910378, PubMed : 27801882, PubMed : 29973723, PubMed : 30842659, PubMed : 35045565, PubMed : 35388221, PubMed : 36808561, PubMed : 37832545, PubMed : 25704810, PubMed : 39255680). Innate immune response is triggered in response to non-CpG double-stranded DNA from viruses and bacteria delivered to the cytoplasm (PubMed : 26300263). Acts by binding cyclic dinucleotides : recognizes and binds cyclic di-GMP (c-di-GMP), a second messenger produced by bacteria, cyclic UMP-AMP (2',3'-cUAMP), and cyclic GMP-AMP (cGAMP), a messenger produced by CGAS in response to DNA virus in the cytosol (PubMed : 21947006, PubMed : 23258412, PubMed : 23707065, PubMed : 23722158, PubMed : 23747010, PubMed : 23910378, PubMed : 26229117, PubMed : 30842659, PubMed : 35388221, PubMed : 37379839). Upon binding to c-di-GMP, cUAMP or cGAMP, STING1 oligomerizes, translocates from the endoplasmic reticulum and is phosphorylated by TBK1 on the pLxIS motif, leading to recruitment and subsequent activation of the transcription factor IRF3 to induce expression of type I interferon and exert a potent anti-viral state (PubMed : 22394562, PubMed : 25636800, PubMed : 29973723, PubMed : 30842653, PubMed : 35045565, PubMed : 35388221). Exhibits 2',3' phosphodiester linkage-specific ligand recognition : can bind both 2'-3' linked cGAMP (2'-3'-cGAMP) and 3'-3' linked cGAMP but is preferentially activated by 2'-3' linked cGAMP (PubMed : 23747010, PubMed : 23910378, PubMed : 26300263). The preference for 2'-3'-cGAMP, compared to other linkage isomers is probably due to the ligand itself, whichs adopts an organized free-ligand conformation that resembles the STING1-bound conformation and pays low energy costs in changing into the active conformation (PubMed : 26150511). In addition to promote the production of type I interferons, plays a direct role in autophagy (PubMed : 30568238, PubMed : 30842662). Following cGAMP-binding, STING1 buds from the endoplasmic reticulum into COPII vesicles, which then form the endoplasmic reticulum-Golgi intermediate compartment (ERGIC) (PubMed : 30842662). The ERGIC serves as the membrane source for WIPI2 recruitment and LC3 lipidation, leading to formation of autophagosomes that target cytosolic DNA or DNA viruses for degradation by the lysosome (PubMed : 30842662). Promotes autophagy by acting as a proton channel that directs proton efflux from the Golgi to facilitate MAP1LC3B/LC3B lipidation (PubMed : 37535724). The autophagy- and interferon-inducing activities can be uncoupled and autophagy induction is independent of TBK1 phosphorylation (PubMed : 30568238, PubMed : 30842662). Autophagy is also triggered upon infection by bacteria : following c-di-GMP-binding, which is produced by live Gram-positive bacteria, promotes reticulophagy (By similarity). May be involved in translocon function, the translocon possibly being able to influence the induction of type I interferons (PubMed : 18724357). May be involved in transduction of apoptotic signals via its association with the major histocompatibility complex class II (MHC-II) (By similarity). Involved in intercellular immune signaling. Cross-activated by 2',3'-cGAMP previously generated in virus-infected cells, triggers type I interferon signaling in macrophages and uninfected neighboring cells to propagate and amplify the antiviral immune response.. (Microbial infection) Antiviral activity is antagonized by oncoproteins, such as papillomavirus (HPV) protein E7 and adenovirus early E1A protein (PubMed : 26405230). Such oncoproteins prevent the ability to sense cytosolic DNA (PubMed : 26405230).
See full target information STING1 phospho S366

Product promise

We are committed to supporting your work with high-quality reagents, and we're here for you every step of the way. In the unlikely event that one of our products does not perform as expected, you're protected by our Product Promise.
For full details, please see our Terms & Conditions

Please note: All products are 'FOR RESEARCH USE ONLY. NOT FOR USE IN DIAGNOSTIC OR THERAPEUTIC PROCEDURES'.

For licensing inquiries, please contact partnerships@abcam.com