JavaScript is disabled in your browser. Please enable JavaScript to view this website.
AB318182

Anti-STING (phospho Y199) antibody [EPR22728-11] - BSA and Azide free

Be the first to review this product! Submit a review

|

(1 Publication)

Rabbit Recombinant Monoclonal STING phospho Y199 antibody. Carrier free. Suitable for WB, Dot and reacts with Transfected cell lysate - Human, Synthetic peptide samples. Cited in 1 publication.

View Alternative Names

ERIS, MITA, STING, TMEM173, Stimulator of interferon genes protein, hSTING, Endoplasmic reticulum interferon stimulator, Mediator of IRF3 activation, Transmembrane protein 173, hMITA

2 Images
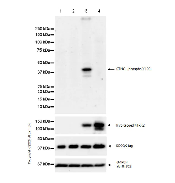
Western blot - Anti-STING (phospho Y199) antibody [EPR22728-11] - BSA and Azide free (AB318182)
  • WB

Supplier Data

Western blot - Anti-STING (phospho Y199) antibody [EPR22728-11] - BSA and Azide free (AB318182)

This data was developed using ab318181, the same antibody clone in a different buffer formulation.

In Western blot, Anti-GAPDH antibody [EPR16891] - Loading Control (ab181602) staining at 1/200000 dilution.

In Western blot, Anti-Myc-tag antibody staining at 1/10000 dilution.

In Western blot, Anti-DDDDK-tag staining at 1/5000 dilution.

All lanes:

Western blot - Anti-STING (phospho Y199) antibody [EPR22728-11] (<a href='/en-us/products/primary-antibodies/sting-phospho-y199-antibody-epr22728-11-ab318181'>ab318181</a>) at 1/1000 dilution

Lane 1:

293T (human embryonic kidney epithelial cell) cells transfected with a human wild-type STING1 expression vector containing a DDDDK-tag, whole cell lysate at 20 µg with NFDM/TBST

Lane 2:

293T cells transfected with a human STING1 (mutation Y199F) expression vector containing a DDDDK-tag, whole cell lysate at 20 µg with NFDM/TBST

Lane 3:

293T cells co-transfected with a human wild-type STING1 expression vector containing a DDDDK-tag and a human NTRK2 expression vector containing a Myc-tag, whole cell lysate at 20 µg with NFDM/TBST

Lane 4:

293T cells co-transfected with a human STING1 (mutation Y199F) expression vector containing a DDDDK-tag and a human NTRK2 expression vector containing a Myc-tag, whole cell lysate at 20 µg with NFDM/TBST

Secondary

All lanes:

Western blot - Goat Anti-Rabbit IgG H&L (HRP) (<a href='/en-us/products/secondary-antibodies/goat-rabbit-igg-h-l-hrp-ab97051'>ab97051</a>) at 1/50000 dilution

Observed band size: 42 kDa,36 kDa,120 kDa

false

Exposure time: 92s

Dot Blot - Anti-STING (phospho Y199) antibody [EPR22728-11] - BSA and Azide free (AB318182)
  • Dot

Supplier Data

Dot Blot - Anti-STING (phospho Y199) antibody [EPR22728-11] - BSA and Azide free (AB318182)

This data was developed using ab318181, the same antibody clone in a different buffer formulation.

Dot blot analysis of STING (phospho Y199) using ab318181 at 1 : 1000 (0.586 ug/ml) followed by a Goat Anti-Rabbit IgG, (H+L), Peroxidase conjugated (ab97051) at 1 : 100,000 dilution.

Lane 1 : STING (phospho Y199) peptide a
Lane 2 : STING (phospho Y199) peptide b
Lane 3 : STING non-phospho peptide

Exposure time : 180 seconds.

Blocking and diluting buffer and concentration : 5% NFDM/TBST.

All lanes:

Dot Blot - Anti-STING (phospho Y199) antibody [EPR22728-11] (<a href='/en-us/products/primary-antibodies/sting-phospho-y199-antibody-epr22728-11-ab318181'>ab318181</a>) at 1/1000 dilution

Lane 1:

STING (phospho Y199) peptide a

Lane 2:

STING (phospho Y199) peptide b

Lane 3:

STING non-phospho peptide

Secondary

All lanes:

Dot Blot - Goat Anti-Rabbit IgG H&L (HRP) (<a href='/en-us/products/secondary-antibodies/goat-rabbit-igg-h-l-hrp-ab97051'>ab97051</a>) at 1/100000 dilution

false

Exposure time: 180s

  • Unconjugated

    Anti-STING (phospho Y199) antibody [EPR22728-11]

Key facts

Host species

Rabbit

Clonality

Monoclonal

Clone number

EPR22728-11

Isotype

IgG

Carrier free

Yes

Reacts with

Human

Applications

WB, Dot

applications

Immunogen

The exact immunogen used to generate this antibody is proprietary information.

Reactivity data

{ "title": "Reactivity Data", "filters": { "stats": ["", "Species", "Dilution Info", "Notes"], "tabs": { "all-applications": {"fullname" : "All Applications", "shortname": "All Applications"}, "WB" : {"fullname" : "Western blot", "shortname":"WB"}, "Dot" : {"fullname" : "Dot Blot", "shortname":"Dot"}, "ICCIF" : {"fullname" : "Immunocytochemistry/ Immunofluorescence", "shortname":"ICC/IF"}, "IHCP" : {"fullname" : "Immunohistochemistry (Formalin/PFA-fixed paraffin-embedded sections)", "shortname":"IHC-P"}, "IP" : {"fullname" : "Immunoprecipitation", "shortname":"IP"} }, "product-promise": { "all": "all", "testedAndGuaranteed": "tested", "guaranteed": "expected", "predicted": "predicted", "notRecommended": "not-recommended" } }, "values": { "Human": { "WB-species-checked": "predicted", "WB-species-dilution-info": "", "WB-species-notes": "", "Dot-species-checked": "predicted", "Dot-species-dilution-info": "", "Dot-species-notes": "", "ICCIF-species-checked": "notRecommended", "ICCIF-species-dilution-info": "", "ICCIF-species-notes": "", "IHCP-species-checked": "notRecommended", "IHCP-species-dilution-info": "", "IHCP-species-notes": "<p></p>", "IP-species-checked": "notRecommended", "IP-species-dilution-info": "", "IP-species-notes": "<p></p>" }, "Mouse": { "WB-species-checked": "notRecommended", "WB-species-dilution-info": "", "WB-species-notes": "", "Dot-species-checked": "notRecommended", "Dot-species-dilution-info": "", "Dot-species-notes": "", "ICCIF-species-checked": "notRecommended", "ICCIF-species-dilution-info": "", "ICCIF-species-notes": "<p></p>", "IHCP-species-checked": "notRecommended", "IHCP-species-dilution-info": "", "IHCP-species-notes": "<p></p>", "IP-species-checked": "notRecommended", "IP-species-dilution-info": "", "IP-species-notes": "" }, "Rat": { "WB-species-checked": "notRecommended", "WB-species-dilution-info": "", "WB-species-notes": "", "Dot-species-checked": "notRecommended", "Dot-species-dilution-info": "", "Dot-species-notes": "", "ICCIF-species-checked": "notRecommended", "ICCIF-species-dilution-info": "", "ICCIF-species-notes": "", "IHCP-species-checked": "notRecommended", "IHCP-species-dilution-info": "", "IHCP-species-notes": "<p></p>", "IP-species-checked": "notRecommended", "IP-species-dilution-info": "", "IP-species-notes": "" }, "Synthetic peptide": { "WB-species-checked": "notRecommended", "WB-species-dilution-info": "", "WB-species-notes": "", "Dot-species-checked": "testedAndGuaranteed", "Dot-species-dilution-info": "", "Dot-species-notes": "<p></p>", "ICCIF-species-checked": "notRecommended", "ICCIF-species-dilution-info": "", "ICCIF-species-notes": "", "IHCP-species-checked": "notRecommended", "IHCP-species-dilution-info": "", "IHCP-species-notes": "", "IP-species-checked": "notRecommended", "IP-species-dilution-info": "", "IP-species-notes": "" }, "Transfected cell lysate - Human": { "WB-species-checked": "testedAndGuaranteed", "WB-species-dilution-info": "", "WB-species-notes": "<p></p>", "Dot-species-checked": "notRecommended", "Dot-species-dilution-info": "", "Dot-species-notes": "", "ICCIF-species-checked": "notRecommended", "ICCIF-species-dilution-info": "", "ICCIF-species-notes": "", "IHCP-species-checked": "notRecommended", "IHCP-species-dilution-info": "", "IHCP-species-notes": "", "IP-species-checked": "notRecommended", "IP-species-dilution-info": "", "IP-species-notes": "" } } }

Product details

ab318182 is the carrier-free version of ab318181.

Patented technology
Our RabMAb® technology is a patented hybridoma-based technology for making rabbit monoclonal antibodies. For details on our patents, please refer to RabMAb® patents.

What are the advantages of a recombinant monoclonal antibody?
This product is a recombinant monoclonal antibody, which offers several advantages including:

  • - High batch-to-batch consistency and reproducibility
  • - Improved sensitivity and specificity
  • - Long-term security of supply
  • - Animal-free batch production

For more information, read more on recombinant antibodies.

Conjugation ready
Our carrier-free antibodies are typically supplied in a PBS-only formulation, purified and free of BSA, sodium azide and glycerol. This conjugation-ready format is designed for use with fluorochromes, metal isotopes, oligonucleotides, and enzymes, which makes them ideal for antibody labelling, functional and cell-based assays, flow-based assays (e.g. mass cytometry) and Multiplex Imaging applications.

Use our conjugation kits for antibody conjugates that are ready-to-use in as little as 20 minutes with 1 minute hands-on-time and 100% antibody recovery: available for fluorescent dyes, HRP, biotin and gold.

Compatibility
This product is compatible with the Maxpar® Antibody Labeling Kit from Fluidigm, without the need for antibody preparation. Maxpar® is a trademark of Fluidigm Canada Inc.

Properties and storage information

Form
Liquid
Purification technique
Affinity purification Protein A
Storage buffer
pH: 7.2 - 7.4 Constituents: PBS
Shipped at conditions
Blue Ice
Appropriate short-term storage conditions
+4°C
Appropriate long-term storage conditions
+4°C

Supplementary information

This supplementary information is collated from multiple sources and compiled automatically.

The stimulator of interferon genes (STING) also known as TMEM173 or MPYS is a critical transmembrane protein with a molecular weight of approximately 42 kDa. It is primarily expressed in the endoplasmic reticulum of various cell types including immune cells where it plays a central role in sensing cytosolic DNA. STING binds to cyclic dinucleotides produced by the enzyme cGAS upon recognition of aberrant DNA in the cytosol. This binding initiates activation and translocation of STING to the Golgi apparatus facilitating further signaling events.
Biological function summary

STING serves as a pivotal regulator in the innate immune response to viral and bacterial infections. It operates by forming a signaling complex with kinases and other effector proteins which subsequently leads to the activation of transcription factors such as IRF3 and NF-kB. These transcription factors then induce the expression of type I interferons and other cytokines important for mounting an effective antiviral response. The STING pathway therefore enhances the immune system's ability to detect and respond to pathogens.

Pathways

The activity of STING is integral to the cGAS-STING pathway a significant cytosolic DNA-sensing pathway involved in innate immunity. Upon activation STING interacts with TBK1 a kinase that further phosphorylates IRF3 promoting its nuclear translocation and activation. Beyond this STING also intersects with pathways involving autophagy a cellular process necessary for clearing pathogens and damaged cellular components. Through these pathways STING critically contributes to upholding cellular homeostasis and immune defense.

The dysregulation of STING is linked to autoinflammatory diseases and certain cancers. Abnormal STING activation can lead to chronic inflammation a feature observed in diseases such as STING-associated vasculopathy with onset in infancy (SAVI). STING's role in cancer is also notable where its ability to activate immune cells can be harnessed in immunotherapy yet its chronic activation may promote tumorigenesis. In cancer STING often interacts with proteins like K-Ras influencing tumor growth and response to therapies.

Product protocols

For this product, it's our understanding that no specific protocols are required. You can visit:

Target data

Facilitator of innate immune signaling that acts as a sensor of cytosolic DNA from bacteria and viruses and promotes the production of type I interferon (IFN-alpha and IFN-beta) (PubMed : 18724357, PubMed : 18818105, PubMed : 19433799, PubMed : 19776740, PubMed : 23027953, PubMed : 23747010, PubMed : 23910378, PubMed : 27801882, PubMed : 29973723, PubMed : 30842659, PubMed : 35045565, PubMed : 35388221, PubMed : 36808561, PubMed : 37832545). Innate immune response is triggered in response to non-CpG double-stranded DNA from viruses and bacteria delivered to the cytoplasm (PubMed : 26300263). Acts by binding cyclic dinucleotides : recognizes and binds cyclic di-GMP (c-di-GMP), a second messenger produced by bacteria, cyclic UMP-AMP (2',3'-cUAMP), and cyclic GMP-AMP (cGAMP), a messenger produced by CGAS in response to DNA virus in the cytosol (PubMed : 21947006, PubMed : 23258412, PubMed : 23707065, PubMed : 23722158, PubMed : 23747010, PubMed : 23910378, PubMed : 26229117, PubMed : 30842659, PubMed : 35388221, PubMed : 37379839). Upon binding to c-di-GMP, cUAMP or cGAMP, STING1 oligomerizes, translocates from the endoplasmic reticulum and is phosphorylated by TBK1 on the pLxIS motif, leading to recruitment and subsequent activation of the transcription factor IRF3 to induce expression of type I interferon and exert a potent anti-viral state (PubMed : 22394562, PubMed : 25636800, PubMed : 29973723, PubMed : 30842653, PubMed : 35045565, PubMed : 35388221). Exhibits 2',3' phosphodiester linkage-specific ligand recognition : can bind both 2'-3' linked cGAMP (2'-3'-cGAMP) and 3'-3' linked cGAMP but is preferentially activated by 2'-3' linked cGAMP (PubMed : 23747010, PubMed : 23910378, PubMed : 26300263). The preference for 2'-3'-cGAMP, compared to other linkage isomers is probably due to the ligand itself, whichs adopts an organized free-ligand conformation that resembles the STING1-bound conformation and pays low energy costs in changing into the active conformation (PubMed : 26150511). In addition to promote the production of type I interferons, plays a direct role in autophagy (PubMed : 30568238, PubMed : 30842662). Following cGAMP-binding, STING1 buds from the endoplasmic reticulum into COPII vesicles, which then form the endoplasmic reticulum-Golgi intermediate compartment (ERGIC) (PubMed : 30842662). The ERGIC serves as the membrane source for WIPI2 recruitment and LC3 lipidation, leading to formation of autophagosomes that target cytosolic DNA or DNA viruses for degradation by the lysosome (PubMed : 30842662). Promotes autophagy by acting as a proton channel that directs proton efflux from the Golgi to facilitate MAP1LC3B/LC3B lipidation (PubMed : 37535724). The autophagy- and interferon-inducing activities can be uncoupled and autophagy induction is independent of TBK1 phosphorylation (PubMed : 30568238, PubMed : 30842662). Autophagy is also triggered upon infection by bacteria : following c-di-GMP-binding, which is produced by live Gram-positive bacteria, promotes reticulophagy (By similarity). May be involved in translocon function, the translocon possibly being able to influence the induction of type I interferons (PubMed : 18724357). May be involved in transduction of apoptotic signals via its association with the major histocompatibility complex class II (MHC-II) (By similarity).. (Microbial infection) Antiviral activity is antagonized by oncoproteins, such as papillomavirus (HPV) protein E7 and adenovirus early E1A protein (PubMed : 26405230). Such oncoproteins prevent the ability to sense cytosolic DNA (PubMed : 26405230).
See full target information Stimulator of interferon genes protein phospho Y199

Publications (1)

Recent publications for all applications. Explore the full list and refine your search

Molecular medicine reports 32: PubMed40280106

2025

Treatment with human placental extracts inhibits allergic rhinitis by modulating AMPK/SHP1/SHP2/STING signaling.

Applications

Unspecified application

Species

Unspecified reactive species

Beibei Wo,Shuang Liu,Zihui Liang,Xiaoming Li
View all publications

Product promise

We are committed to supporting your work with high-quality reagents, and we're here for you every step of the way. In the unlikely event that one of our products does not perform as expected, you're protected by our Product Promise.
For full details, please see our Terms & Conditions

Please note: All products are 'FOR RESEARCH USE ONLY. NOT FOR USE IN DIAGNOSTIC OR THERAPEUTIC PROCEDURES'.

For licensing inquiries, please contact partnerships@abcam.com