JavaScript is disabled in your browser. Please enable JavaScript to view this website.
AB126724

Anti-STIP1/STI1 antibody [EPR6605]

5

(6 Reviews)

|

(12 Publications)

Rabbit Recombinant Monoclonal STIP1/STI1 antibody. Suitable for IHC-P, WB, Flow Cyt (Intra) and reacts with Human, Rat, Mouse samples. Cited in 12 publications.

View Alternative Names

Stress-induced-phosphoprotein 1, STI1, Hsc70/Hsp90-organizing protein, Renal carcinoma antigen NY-REN-11, Transformation-sensitive protein IEF SSP 3521, Hop, STIP1

10 Images
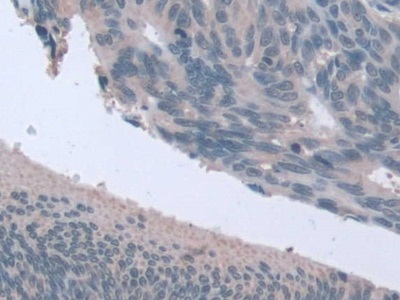
Immunohistochemistry (Formalin/PFA-fixed paraffin-embedded sections) - Anti-STIP1/STI1 antibody [EPR6605] (AB126724)
  • IHC-P

Unknown

Immunohistochemistry (Formalin/PFA-fixed paraffin-embedded sections) - Anti-STIP1/STI1 antibody [EPR6605] (AB126724)

Unpurified ab126724, at a dilution of 1/250, staining STIP1/STI1 in paraffin-embedded human ovarian carcinoma tissue by Immunohistochemistry.

Heat mediated antigen retrieval was performed before commencing with IHC staining protocol.

Immunohistochemistry (Formalin/PFA-fixed paraffin-embedded sections) - Anti-STIP1/STI1 antibody [EPR6605] (AB126724)
  • IHC-P

Unknown

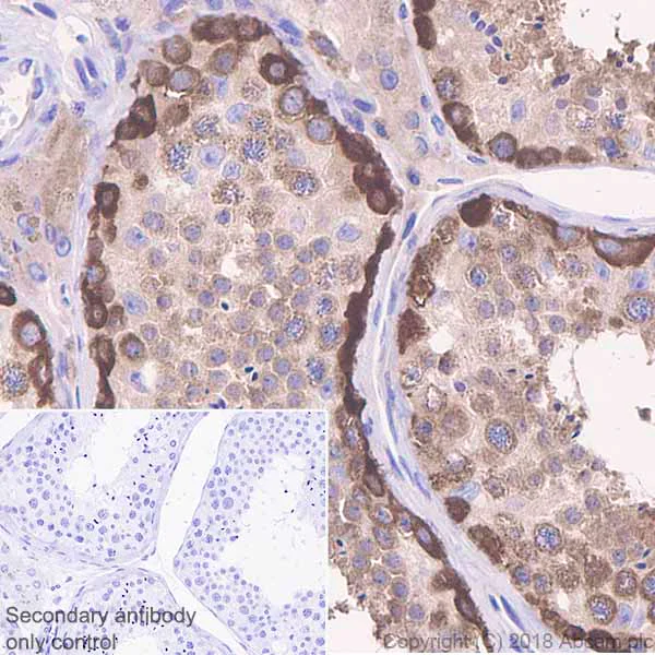
Immunohistochemistry (Formalin/PFA-fixed paraffin-embedded sections) - Anti-STIP1/STI1 antibody [EPR6605] (AB126724)

Immunohistochemistry (Formalin/PFA-fixed paraffin-embedded sections) analysis of Human testis tissue sections labeling STIP1/STI1 with Purified ab126724 at 1 : 1000 dilution (0.18 μg/ml). Heat mediated antigen retrieval was performed using ab93684 (Tris/EDTA buffer, pH 9.0). ImmunoHistoProbe one step HRP Polymer (ready to use)was used as the secondary antibody. Negative control : PBS instead of the primary antibody. Hematoxylin was used as a counterstain.

Immunohistochemistry (Formalin/PFA-fixed paraffin-embedded sections) - Anti-STIP1/STI1 antibody [EPR6605] (AB126724)
  • IHC-P

Unknown

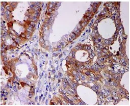
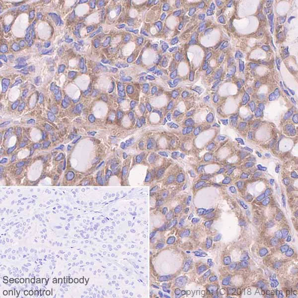
Immunohistochemistry (Formalin/PFA-fixed paraffin-embedded sections) - Anti-STIP1/STI1 antibody [EPR6605] (AB126724)

Immunohistochemistry (Formalin/PFA-fixed paraffin-embedded sections) analysis of Human thyroid cancer tissue sections labeling STIP1/STI1 with Purified ab126724 at 1 : 1000 dilution (0.18 μg/ml). Heat mediated antigen retrieval was performed using ab93684 (Tris/EDTA buffer, pH 9.0). ImmunoHistoProbe one step HRP Polymer (ready to use)was used as the secondary antibody. Negative control : PBS instead of the primary antibody. Hematoxylin was used as a counterstain.

Flow Cytometry (Intracellular) - Anti-STIP1/STI1 antibody [EPR6605] (AB126724)
  • Flow Cyt (Intra)

Unknown

Flow Cytometry (Intracellular) - Anti-STIP1/STI1 antibody [EPR6605] (AB126724)

Intracellular Flow Cytometry analysis of HeLa (human cervix adenocarcinoma) cells labeling STIP1/STI1 (red) with purifiedab126724 at a 1/200 dilution. Cells were fixed with 4% paraformaldehyde and permeabilized with 90% methanol. A goat anti-rabbit IgG (Alexa Fluorr® 488) (ab150077) was used as the secondary antibody at a 1/2000 dilution. Black - Rabbit monoclonal IgG (ab172730). Blue (unlabeled control) - Cells without incubation with primary and secondary antibodies.

Western blot - Anti-STIP1/STI1 antibody [EPR6605] (AB126724)
  • WB

Lab

Western blot - Anti-STIP1/STI1 antibody [EPR6605] (AB126724)

Lanes 1 - 4 : Merged signal (red and green). Green - ab126724 observed at 63 kDa. Red - loading control ab8245 (Mouse anti-GAPDH antibody [6C5]) observed at 37kDa.

ab126724 was shown to react with STIP1/STI1 in wild-type HAP1 cells in western blot with loss of signal observed in STIP1 knockout sample. Wild-type and STIP1 knockout HAP1 cell lysates were subjected to SDS-PAGE. Membranes were blocked in 3% milk in TBS-T (0.1% Tween®) before incubation with ab126724 and ab8245 (Mouse anti-GAPDH antibody [6C5]) overnight at 4°C at a 1 in 10000 Dilution and a 1 in 20000 dilution respectively. Blots were incubated with Goat anti-Rabbit IgG H&L (IRDye® 800CW) preabsorbed (ab216773) and Goat anti-Mouse IgG H&L (IRDye® 680RD) preabsorbed (ab216776) secondary antibodies at 1 in 20000 dilution for 1 hour at room temperature before imaging.

All lanes:

Western blot - Anti-STIP1/STI1 antibody [EPR6605] (ab126724) at 1/10000 dilution

Lane 1:

Wild-type HAP1 cell lysate at 20 µg

Lane 2:

STIP1 knockout HAP1 cell lysate at 20 µg

Lane 3:

A431 cell lysate at 20 µg

Lane 4:

HEK-293 cell lysate at 20 µg

Predicted band size: 63 kDa

Observed band size: 63 kDa

false

Western blot - Anti-STIP1/STI1 antibody [EPR6605] (AB126724)
  • WB

AbReview42228****

Western blot - Anti-STIP1/STI1 antibody [EPR6605] (AB126724)

All lanes:

Western blot - Anti-STIP1/STI1 antibody [EPR6605] (ab126724) at 1/1000 dilution

All lanes:

Mouse brain whole tissue lysate at 150 µg

Secondary

All lanes:

HRP-conjugated goat anti-rabbit IgG polyclonal at 1/10000 dilution

Predicted band size: 63 kDa

Observed band size: 63 kDa

true

Exposure time: 5min

This image is courtesy of an anonymous Abreview

Western blot - Anti-STIP1/STI1 antibody [EPR6605] (AB126724)
  • WB

Lab

Western blot - Anti-STIP1/STI1 antibody [EPR6605] (AB126724)

All lanes:

Western blot - Anti-STIP1/STI1 antibody [EPR6605] (ab126724) at 1/20000 dilution

All lanes:

Human brain lysates at 15 µg

Secondary

All lanes:

Goat Anti-Rabbit IgG (HRP) with minimal cross-reactivity with human IgG at 1/2000 dilution

Predicted band size: 63 kDa

Observed band size: 63 kDa

false

Western blot - Anti-STIP1/STI1 antibody [EPR6605] (AB126724)
  • WB

Lab

Western blot - Anti-STIP1/STI1 antibody [EPR6605] (AB126724)

All lanes:

Western blot - Anti-STIP1/STI1 antibody [EPR6605] (ab126724) at 1/20000 dilution

Lane 1:

Mouse brain lysates at 15 µg

Lane 2:

Rat brain lysates at 15 µg

Secondary

All lanes:

Western blot - Goat Anti-Rabbit IgG H&L (HRP) (<a href='/en-us/products/secondary-antibodies/goat-rabbit-igg-h-l-hrp-ab97051'>ab97051</a>) at 1/20000 dilution

Predicted band size: 63 kDa

Observed band size: 63 kDa

false

Western blot - Anti-STIP1/STI1 antibody [EPR6605] (AB126724)
  • WB

Unknown

Western blot - Anti-STIP1/STI1 antibody [EPR6605] (AB126724)

All lanes:

Western blot - Anti-STIP1/STI1 antibody [EPR6605] (ab126724) at 1/10000 dilution

Lane 1:

Jurkat cell lysate at 10 µg

Lane 2:

HeLa cell lysate at 10 µg

Lane 3:

BxPC3 cell lysate at 10 µg

Lane 4:

HepG2 cell lysate at 10 µg

Lane 5:

SK OV 3 cell lysate at 10 µg

Secondary

All lanes:

HRP labelled goat anti-rabbit at 1/2000 dilution

Predicted band size: 63 kDa

false

Western blot - Anti-STIP1/STI1 antibody [EPR6605] (AB126724)
  • WB

CiteAb

Western blot - Anti-STIP1/STI1 antibody [EPR6605] (AB126724)

STIP1/STI1 western blot using anti-STIP1/STI1 antibody [EPR6605] ab126724. Publication image and figure legend from Cui, J., Reed, J., et al., 2019, Front Cell Neurosci, PubMed 31680862.

ab126724 was used in this publication in western blot. This may not be the same as the application(s) guaranteed by Abcam. For a full list of applications guaranteed by Abcam for ab126724 please see the product overview.

Western blot analysis of proteins identified in proteomic analysis. (A) The levels of hemoglobin α, MAP1A, neuroglobin, hemoglobin β, NBEA, STIP1, MAP6, NEFL, BASP1, FASN, and Plectin were detected in the brain lysates from WT, WT/OVX, APP, and APP/OVX mice, with β-actin as a loading control. (B) The levels of hemoglobin α, MAP1A, neuroglobin, hemoglobin β, NBEA, STIP1, MAP6, NEFL, BASP1, FASN, and Plectin were detected in the brain lysates from APP/OVX, APP/OVX early treatment group and APP/OVX late treatment group, with β-actin as a loading control. (C) The levels of hemoglobin α and MAP1A were detected in the brain lysates from WT, WT/OVX, WT/OVX early treatment group and WT/OVX late treatment group, with β-actin as a loading control. *Indicates p < 0.05 compared to APP/OVX or between the designated two groups. **Means p < 0.01 compared to APP/OVX or designated group as indicated.

false

  • Carrier free

    Anti-STIP1/STI1 antibody [EPR6605] - BSA and Azide free

  • 578 PE

    PE Anti-STIP1 antibody [EPR6605]

  • HRP

    HRP Anti-STIP1 antibody [EPR6605]

  • 519 Alexa Fluor® 488

    Alexa Fluor® 488 Anti-STIP1 antibody [EPR6605]

  • 665 Alexa Fluor® 647

    Alexa Fluor® 647 Anti-STIP1 antibody [EPR6605]

  • 617 Alexa Fluor® 594

    Alexa Fluor® 594 Anti-STIP1 antibody [EPR6605]

  • 603 Alexa Fluor® 568

    Alexa Fluor® 568 Anti-STIP1/STI1 antibody [EPR6605]

  • 565 Alexa Fluor® 555

    Alexa Fluor® 555 Anti-STIP1 antibody [EPR6605]

  • 660 APC

    APC Anti-STIP1 antibody [EPR6605]

  • 775 Alexa Fluor® 750

    Alexa Fluor® 750 Anti-STIP1/STI1 antibody [EPR6605]

Key facts

Host species

Rabbit

Clonality

Monoclonal

Clone number

EPR6605

Isotype

IgG

Carrier free

No

Reacts with

Mouse, Rat, Human

Applications

Flow Cyt (Intra), WB, IHC-P

applications

Immunogen

The exact immunogen used to generate this antibody is proprietary information.

Reactivity data

{ "title": "Reactivity Data", "filters": { "stats": ["", "Species", "Dilution Info", "Notes"], "tabs": { "all-applications": {"fullname" : "All Applications", "shortname": "All Applications"}, "IHCP" : {"fullname" : "Immunohistochemistry (Formalin/PFA-fixed paraffin-embedded sections)", "shortname":"IHC-P"}, "WB" : {"fullname" : "Western blot", "shortname":"WB"}, "FlowCytIntra" : {"fullname" : "Flow Cytometry (Intracellular)", "shortname":"Flow Cyt (Intra)"} }, "product-promise": { "all": "all", "testedAndGuaranteed": "tested", "guaranteed": "expected", "predicted": "predicted", "notRecommended": "not-recommended" } }, "values": { "Human": { "IHCP-species-checked": "testedAndGuaranteed", "IHCP-species-dilution-info": "1/1000", "IHCP-species-notes": "<p><strong>For unpurified use at 1/250- 1/500.</strong></p>", "WB-species-checked": "testedAndGuaranteed", "WB-species-dilution-info": "1/10000 - 1/50000", "WB-species-notes": "<p></p>", "FlowCytIntra-species-checked": "testedAndGuaranteed", "FlowCytIntra-species-dilution-info": "1/20", "FlowCytIntra-species-notes": "<p>For unpurified use at1/20</p>" }, "Mouse": { "IHCP-species-checked": "notRecommended", "IHCP-species-dilution-info": "", "IHCP-species-notes": "<p></p>", "WB-species-checked": "testedAndGuaranteed", "WB-species-dilution-info": "1/10000 - 1/50000", "WB-species-notes": "<p></p>", "FlowCytIntra-species-checked": "guaranteed", "FlowCytIntra-species-dilution-info": "", "FlowCytIntra-species-notes": "" }, "Rat": { "IHCP-species-checked": "notRecommended", "IHCP-species-dilution-info": "", "IHCP-species-notes": "<p></p>", "WB-species-checked": "testedAndGuaranteed", "WB-species-dilution-info": "1/10000 - 1/50000", "WB-species-notes": "<p></p>", "FlowCytIntra-species-checked": "guaranteed", "FlowCytIntra-species-dilution-info": "", "FlowCytIntra-species-notes": "" } } }

Product details

Patented technology
Our RabMAb® technology is a patented hybridoma-based technology for making rabbit monoclonal antibodies. For details on our patents, please refer to RabMAb® patents.

What are the advantages of a recombinant monoclonal antibody?
This product is a recombinant monoclonal antibody, which offers several advantages including:

  • - High batch-to-batch consistency and reproducibility
  • - Improved sensitivity and specificity
  • - Long-term security of supply
  • - Animal-free batch production

For more information, read more on recombinant antibodies.

Properties and storage information

Form
Liquid
Purification technique
Affinity purification Protein A
Storage buffer
pH: 7.2 - 7.4 Preservative: 0.01% Sodium azide Constituents: PBS, 40% Glycerol (glycerin, glycerine), 0.05% BSA
Shipped at conditions
Blue Ice
Appropriate short-term storage duration
1-2 weeks
Appropriate short-term storage conditions
+4°C
Appropriate long-term storage conditions
-20°C
Aliquoting information
Upon delivery aliquot
Storage information
Stable for 12 months at -20°C

Supplementary information

This supplementary information is collated from multiple sources and compiled automatically.

STIP1 also known as STI1 is a stress-induced phosphoprotein that assists in the folding and stabilization of other proteins. The protein has a mass of approximately 63 kDa. It acts as a co-chaperone and interacts with key chaperones like HSP70 and HSP90 facilitating the transfer of client proteins between them. STIP1 is expressed in various tissues with significant presence in the nervous system and reproductive organs. It contributes to the protein homeostasis by modulating chaperone activity and protecting cells during stress conditions like high temperatures or oxidative stress.
Biological function summary

The stress-induced phosphoprotein STIP1 functions within cytoplasm and is pivotal for cellular integrity. It forms a complex with HSP70 and HSP90 that regulates the folding and activation of a range of client proteins including steroid hormone receptors and kinases. This modulation influences protein activity stability and degradation. STIP1 impacts signal transduction pathways cellular growth and stress responses by influencing how effectively client proteins perform their biological roles within cells.

Pathways

The protein STIP1 plays a significant part in the steroid hormone signaling pathway and the protein folding network. It helps facilitate the proper folding and function of steroid hormone receptors through its interaction with major chaperone proteins HSP70 and HSP90. Both these pathways are important for cell survival and proper cell regulation. By helping with the maturation and activation of client proteins STIP1 ensures that cellular responses to various internal and external signals proceed efficiently.

The involvement of STIP1 emerges most clearly in neurodegenerative conditions like Alzheimer's disease and cancer. In Alzheimer's disease STIP1 interacts with prion proteins which influence amyloid-beta aggregation and may impact disease progression. In cancer the protein assists in stabilizing client proteins essential for tumor progression such as steroid hormone receptors and protein kinases. Disruption in STIP1 function can lead to impaired cellular stress responses and may contribute to disease pathogenesis.

Product protocols

For this product, it's our understanding that no specific protocols are required. You can visit:

Target data

Acts as a co-chaperone for HSP90AA1 (PubMed : 27353360). Mediates the association of the molecular chaperones HSPA8/HSC70 and HSP90 (By similarity).
See full target information STIP1

Publications (12)

Recent publications for all applications. Explore the full list and refine your search

ACS infectious diseases 10:3853-3867 PubMed39475219

2024

Modulators of the Hop-HSP90 Protein-Protein Interaction Disrupt KSHV Lytic Replication.

Applications

Unspecified application

Species

Unspecified reactive species

Michael O Okpara,Michaelone C Vaaltyn,Jessica L Watson,Mahama Alhassan,Fernando Albericio,Beatriz G de la Torre,David J Clarke,Clinton G L Veale,Adrienne L Edkins

The Journal of biological chemistry 300:107621 PubMed39098523

2024

Proximity labeling reveals dynamic changes in the SQSTM1 protein network.

Applications

Unspecified application

Species

Unspecified reactive species

Alejandro N Rondón-Ortiz,Lushuang Zhang,Peter E A Ash,Avik Basu,Sambhavi Puri,Sophie J F van der Spek,Zihan Wang,Luke Dorrian,Andrew Emili,Benjamin Wolozin

Molecular psychiatry 28:2136-2147 PubMed36973347

2023

Altered behavior, brain structure, and neurometabolites in a rat model of autism-specific maternal autoantibody exposure.

Applications

Unspecified application

Species

Unspecified reactive species

Matthew R Bruce,Amalie C M Couch,Simone Grant,Janna McLellan,Katherine Ku,Christina Chang,Angelica Bachman,Matthew Matson,Robert F Berman,Richard J Maddock,Douglas Rowland,Eugene Kim,Matthew D Ponzini,Danielle Harvey,Sandra L Taylor,Anthony C Vernon,Melissa D Bauman,Judy Van de Water

Life science alliance 5: PubMed36114006

2022

ALS-linked loss of Cyclin-F function affects HSP90.

Applications

Unspecified application

Species

Unspecified reactive species

Alexander Siebert,Vanessa Gattringer,Jochen H Weishaupt,Christian Behrends

Experimental and therapeutic medicine 23:374 PubMed35495589

2022

Comparative proteomics identify HSP90A, STIP1 and TAGLN-2 in serum extracellular vesicles as potential circulating biomarkers for human adenomyosis.

Applications

Unspecified application

Species

Unspecified reactive species

Dayong Chen,Ling Zhou,Hai Qiao,Yiting Wang,Yao Xiao,Liaoqiong Fang,Bing Yang,Zhibiao Wang

Molecular cell 81:1337-1354.e8 PubMed33545068

2021

Systematically defining selective autophagy receptor-specific cargo using autophagosome content profiling.

Applications

Unspecified application

Species

Unspecified reactive species

Susanne Zellner,Martina Schifferer,Christian Behrends

International journal of molecular sciences 21: PubMed32365744

2020

STIP1/HOP Regulates the Actin Cytoskeleton through Interactions with Actin and Changes in Actin-Binding Proteins Cofilin and Profilin.

Applications

Unspecified application

Species

Unspecified reactive species

Samantha Joy Beckley,Morgan Campbell Hunter,Sarah Naulikha Kituyi,Ianthe Wingate,Abantika Chakraborty,Kelly Schwarz,Matodzi Portia Makhubu,Robert Pierre Rousseau,Duncan Kyle Ruck,Jo-Anne de la Mare,Gregory Lloyd Blatch,Adrienne Lesley Edkins

Cancer management and research 11:10061-10072 PubMed31819639

2019

STIP1 Regulates Proliferation and Migration of Lung Adenocarcinoma Through JAK2/STAT3 Signaling Pathway.

Applications

Unspecified application

Species

Unspecified reactive species

Xiangjun Guo,Zhongyi Yan,Gongming Zhang,Xiang Wang,Yun Pan,Mao Huang

Frontiers in cellular neuroscience 13:437 PubMed31680862

2019

Proteomic Identification of Pathways Responsible for the Estradiol Therapeutic Window in AD Animal Models.

Applications

Unspecified application

Species

Unspecified reactive species

Jie Cui,Jon Reed,Gogce Crynen,Ghania Ait-Ghezala,Fiona Crawford,Yong Shen,Rena Li

Nature medicine 23:69-78 PubMed27941792

2016

Loss of the histone methyltransferase EZH2 induces resistance to multiple drugs in acute myeloid leukemia.

Applications

Unspecified application

Species

Unspecified reactive species

Stefanie Göllner,Thomas Oellerich,Shuchi Agrawal-Singh,Tino Schenk,Hans-Ulrich Klein,Christian Rohde,Caroline Pabst,Tim Sauer,Mads Lerdrup,Sigal Tavor,Friedrich Stölzel,Sylvia Herold,Gerhard Ehninger,Gabriele Köhler,Kuan-Ting Pan,Henning Urlaub,Hubert Serve,Martin Dugas,Karsten Spiekermann,Binje Vick,Irmela Jeremias,Wolfgang E Berdel,Klaus Hansen,Arthur Zelent,Claudia Wickenhauser,Lutz P Müller,Christian Thiede,Carsten Müller-Tidow
View all publications

Product promise

We are committed to supporting your work with high-quality reagents, and we're here for you every step of the way. In the unlikely event that one of our products does not perform as expected, you're protected by our Product Promise.
For full details, please see our Terms & Conditions

Please note: All products are 'FOR RESEARCH USE ONLY. NOT FOR USE IN DIAGNOSTIC OR THERAPEUTIC PROCEDURES'.

For licensing inquiries, please contact partnerships@abcam.com