JavaScript is disabled in your browser. Please enable JavaScript to view this website.
AB228608

Anti-STK16 antibody

Be the first to review this product! Submit a review

|

(2 Publications)

Rabbit Polyclonal STK16 antibody. Suitable for WB, IHC-P and reacts with Human samples. Cited in 2 publications. Immunogen corresponding to Recombinant Fragment Protein within Human STK16.

View Alternative Names

MPSK1, PKL12, TSF1, STK16, Serine/threonine-protein kinase 16, Myristoylated and palmitoylated serine/threonine-protein kinase, Protein kinase PKL12, TGF-beta-stimulated factor 1, Tyrosine-protein kinase STK16, hPSK, MPSK, TSF-1

2 Images
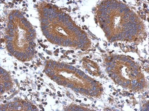
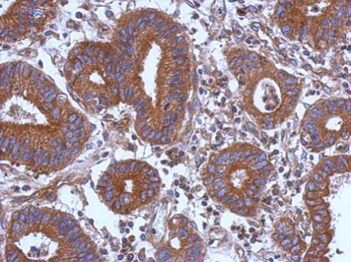
Immunohistochemistry (Formalin/PFA-fixed paraffin-embedded sections) - Anti-STK16 antibody (AB228608)
  • IHC-P

Supplier Data

Immunohistochemistry (Formalin/PFA-fixed paraffin-embedded sections) - Anti-STK16 antibody (AB228608)

Paraffin-embedded human colon carcinoma tissue stained for STK16 with ab228608 at 1/500 dilution in immunohistochemical analysis.

Western blot - Anti-STK16 antibody (AB228608)
  • WB

Supplier Data

Western blot - Anti-STK16 antibody (AB228608)

12% SDS-PAGE

All lanes:

Western blot - Anti-STK16 antibody (ab228608) at 1/1000 dilution

All lanes:

Raji (human Burkitt's lymphoma cell line) whole cell lysate at 30 µg

Predicted band size: 35 kDa

true

Key facts

Host species

Rabbit

Clonality

Polyclonal

Isotype

IgG

Carrier free

No

Reacts with

Human

Applications

WB, IHC-P

applications

Immunogen

Recombinant Fragment Protein within Human STK16. The exact immunogen used to generate this antibody is proprietary information.

O75716

Reactivity data

{ "title": "Reactivity Data", "filters": { "stats": ["", "Species", "Dilution Info", "Notes"], "tabs": { "all-applications": {"fullname" : "All Applications", "shortname": "All Applications"}, "WB" : {"fullname" : "Western blot", "shortname":"WB"}, "IHCP" : {"fullname" : "Immunohistochemistry (Formalin/PFA-fixed paraffin-embedded sections)", "shortname":"IHC-P"} }, "product-promise": { "all": "all", "testedAndGuaranteed": "tested", "guaranteed": "expected", "predicted": "predicted", "notRecommended": "not-recommended" } }, "values": { "Human": { "WB-species-checked": "testedAndGuaranteed", "WB-species-dilution-info": "1/500 - 1/3000", "WB-species-notes": "<p></p>", "IHCP-species-checked": "testedAndGuaranteed", "IHCP-species-dilution-info": "1/100 - 1/1000", "IHCP-species-notes": "<p></p>" }, "Mouse": { "WB-species-checked": "predicted", "WB-species-dilution-info": "", "WB-species-notes": "", "IHCP-species-checked": "predicted", "IHCP-species-dilution-info": "", "IHCP-species-notes": "" }, "Rat": { "WB-species-checked": "predicted", "WB-species-dilution-info": "", "WB-species-notes": "", "IHCP-species-checked": "predicted", "IHCP-species-dilution-info": "", "IHCP-species-notes": "" }, "Cow": { "WB-species-checked": "predicted", "WB-species-dilution-info": "", "WB-species-notes": "", "IHCP-species-checked": "predicted", "IHCP-species-dilution-info": "", "IHCP-species-notes": "" }, "Rhesus monkey": { "WB-species-checked": "predicted", "WB-species-dilution-info": "", "WB-species-notes": "", "IHCP-species-checked": "predicted", "IHCP-species-dilution-info": "", "IHCP-species-notes": "" } } }

Properties and storage information

Form
Liquid
Purification technique
Affinity purification Immunogen
Storage buffer
pH: 7 Preservative: 0.01% Thimerosal (merthiolate) Constituents: 20% Glycerol (glycerin, glycerine), 1.21% Tris, 0.75% Glycine
Shipped at conditions
Blue Ice
Appropriate short-term storage duration
1-2 weeks
Appropriate short-term storage conditions
+4°C
Appropriate long-term storage conditions
-20°C
Aliquoting information
Upon delivery aliquot
Storage information
Avoid freeze / thaw cycle

Supplementary information

This supplementary information is collated from multiple sources and compiled automatically.

STK16 also known as Serine/threonine-protein kinase 16 or KRCT is a protein kinase that has a mass of approximately 33 kDa. It phosphorylates proteins on serine and threonine residues playing a role in several cellular processes. STK16 is expressed in many body tissues with higher levels detected in the brain liver and spleen. Its widespread expression suggests it has a function in different cellular contexts.
Biological function summary

STK16 influences various processes at the cellular level. It participates in vesicular trafficking and Golgi function ensuring proper sorting and delivery of proteins within cells. Although not typically seen as part of large complexes it interacts with several other proteins to exert its biological roles. The protein’s activity affects cell cycle progression and can influence cellular growth and motility.

Pathways

STK16 integrates into key regulatory networks such as the Golgi-associated vesicle budding pathway and cell signaling pathways. These pathways are important for maintaining cellular organization and communication. STK16’s interactions with proteins like COPII in vesicle trafficking and possibly components of the MAPK signaling cascade highlight its connectivity within cellular pathways and its regulatory potential.

STK16 has been associated with conditions related to cell cycle dysregulation and tumor growth. Dysfunctions in STK16 expression or activity might contribute to the progression of cancers such as breast cancer by impacting cell proliferation and survival. Other kinases like Akt may interact with STK16 or similar pathways influencing disease pathways and offering potential therapeutic intervention points.

Product protocols

For this product, it's our understanding that no specific protocols are required. You can visit:

Target data

Membrane-associated protein kinase that phosphorylates on serine and threonine residues. In vitro substrates include DRG1, ENO1 and EIF4EBP1. Also autophosphorylates. May be involved in secretory vesicle trafficking or intracellular signaling. May have a role in regulating stromal-epithelial interactions that occur during ductal morphogenesis in the mammary gland. May be involved in TGF-beta signaling. Able to autophosphorylate on Tyr residue; it is however unclear whether it has tyrosine-protein kinase toward other proteins.
See full target information STK16

Publications (2)

Recent publications for all applications. Explore the full list and refine your search

Nature metabolism 5:2148-2168 PubMed38066114

2023

Phenotypic profiling of solute carriers characterizes serine transport in cancer.

Applications

Unspecified application

Species

Unspecified reactive species

Vasileios Papalazarou,Alice C Newman,Alejandro Huerta-Uribe,Nathalie M Legrave,Mattia Falcone,Tong Zhang,Lynn McGarry,Dimitris Athineos,Emma Shanks,Karen Blyth,Karen H Vousden,Oliver D K Maddocks

Cancer science 113:986-1001 PubMed35092121

2022

Exosomes from M1-polarized macrophages promote apoptosis in lung adenocarcinoma via the miR-181a-5p/ETS1/STK16 axis.

Applications

Unspecified application

Species

Unspecified reactive species

Xuan Wang,Renhong Huang,Zhouyi Lu,Zheng Wang,Xiaofeng Chen,Dayu Huang
View all publications

Product promise

We are committed to supporting your work with high-quality reagents, and we're here for you every step of the way. In the unlikely event that one of our products does not perform as expected, you're protected by our Product Promise.
For full details, please see our Terms & Conditions

Please note: All products are 'FOR RESEARCH USE ONLY. NOT FOR USE IN DIAGNOSTIC OR THERAPEUTIC PROCEDURES'.

For licensing inquiries, please contact partnerships@abcam.com