JavaScript is disabled in your browser. Please enable JavaScript to view this website.
AB157188

Anti-STK25 antibody [EPR10306]

2

(1 Review)

|

(6 Publications)

Rabbit Recombinant Monoclonal STK25 antibody. Suitable for IHC-P, WB, ICC/IF and reacts with Human samples. Cited in 6 publications.

View Alternative Names

SOK1, YSK1, STK25, Serine/threonine-protein kinase 25, Ste20-like kinase, Sterile 20/oxidant stress-response kinase 1, SOK-1, Ste20/oxidant stress response kinase 1

4 Images
Immunocytochemistry/ Immunofluorescence - Anti-STK25 antibody [EPR10306] (AB157188)
  • ICC/IF

Unknown

Immunocytochemistry/ Immunofluorescence - Anti-STK25 antibody [EPR10306] (AB157188)

Immunofluorescent analysis of HepG2 cells labeling STK25 with ab157188 at 1/100 dilution.

Immunohistochemistry (Formalin/PFA-fixed paraffin-embedded sections) - Anti-STK25 antibody [EPR10306] (AB157188)
  • IHC-P

Unknown

Immunohistochemistry (Formalin/PFA-fixed paraffin-embedded sections) - Anti-STK25 antibody [EPR10306] (AB157188)

Immunohistochemical analysis of paraffin-embedded Human heart tissue labeling STK25 with ab157188 at 1/50 dilution.

Perform heat mediated antigen retrieval with citrate buffer pH 6 before commencing with IHC staining protocol.

Western blot - Anti-STK25 antibody [EPR10306] (AB157188)
  • WB

Lab

Western blot - Anti-STK25 antibody [EPR10306] (AB157188)

Western blot : Anti-STK25 antibody [EPR10306] ab157188 staining at 1/1000 dilution, shown in green; Mouse anti GAPDH ab8245 loading control staining at 1/20000 dilution, shown in magenta. A band was observed at 53 kDa in Wild-type A549 cell lysates with no signal observed at this size in STK25 knockout A549 cell line. To generate this image, samples were run on an SDS-PAGE gel then transferred onto a nitrocellulose membrane. Membranes were blocked in 3pc Milk in TBS-0.1 % Tween® 20 (TBS-T) before incubation with primary antibodies overnight at 4 °C. Blots were washed four times in TBS-T, incubated with secondary antibodies for 1 h at room temperature, washed again four times then imaged. Secondary antibodies used were Goat anti-Rabbit 800CW and Goat anti-Mouse 680RD at 1/20,000 dilution.

All lanes:

Western blot - Anti-STK25 antibody [EPR10306] (ab157188) at 1/1000 dilution

Lane 1:

Wild-type A549 at 20 µg

Lane 2:

STK25 knockout A549 at 20 µg

Lane 3:

HepG2 at 20 µg

Lane 4:

HeLa at 20 µg

Lane 5:

Daudi at 20 µg

Secondary

All lanes:

Goat anti-Rabbit 800CW & Goat anti-Mouse 680RD at 1/20000 dilution

Predicted band size: 48 kDa

Observed band size: 53 kDa,37 kDa

false

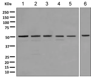
Western blot - Anti-STK25 antibody [EPR10306] (AB157188)
  • WB

Unknown

Western blot - Anti-STK25 antibody [EPR10306] (AB157188)

All lanes:

Western blot - Anti-STK25 antibody [EPR10306] (ab157188) at 1/1000 dilution

Lane 1:

HeLa cell lysate at 10 µg

Lane 2:

HepG2 cell lysate at 10 µg

Lane 3:

A431 cell lysate at 10 µg

Lane 4:

Human fetal brain tissue lysate at 10 µg

Lane 5:

Human testis tissue lysate at 10 µg

Lane 6:

K562 cell lysate at 10 µg

Secondary

All lanes:

HRP labelled goat anti-rabbit at 1/2000 dilution

Predicted band size: 48 kDa

false

Key facts

Host species

Rabbit

Clonality

Monoclonal

Clone number

EPR10306

Isotype

IgG

Carrier free

No

Reacts with

Human

Applications

ICC/IF, IHC-P, WB

applications

Immunogen

The exact immunogen used to generate this antibody is proprietary information.

Reactivity data

{ "title": "Reactivity Data", "filters": { "stats": ["", "Species", "Dilution Info", "Notes"], "tabs": { "all-applications": {"fullname" : "All Applications", "shortname": "All Applications"}, "IHCP" : {"fullname" : "Immunohistochemistry (Formalin/PFA-fixed paraffin-embedded sections)", "shortname":"IHC-P"}, "IP" : {"fullname" : "Immunoprecipitation", "shortname":"IP"}, "FlowCyt" : {"fullname" : "Flow Cytometry", "shortname":"Flow Cyt"}, "WB" : {"fullname" : "Western blot", "shortname":"WB"}, "ICCIF" : {"fullname" : "Immunocytochemistry/ Immunofluorescence", "shortname":"ICC/IF"} }, "product-promise": { "all": "all", "testedAndGuaranteed": "tested", "guaranteed": "expected", "predicted": "predicted", "notRecommended": "not-recommended" } }, "values": { "Human": { "IHCP-species-checked": "testedAndGuaranteed", "IHCP-species-dilution-info": "1/50 - 1/100", "IHCP-species-notes": "<p></p>", "IP-species-checked": "notRecommended", "IP-species-dilution-info": "", "IP-species-notes": "<p></p>", "FlowCyt-species-checked": "notRecommended", "FlowCyt-species-dilution-info": "", "FlowCyt-species-notes": "<p></p>", "WB-species-checked": "testedAndGuaranteed", "WB-species-dilution-info": "1/1000 - 1/10000", "WB-species-notes": "<p></p>", "ICCIF-species-checked": "testedAndGuaranteed", "ICCIF-species-dilution-info": "1/100 - 1/250", "ICCIF-species-notes": "<p></p>" } } }

Product details

Species reactivity
Mouse, Rat: We have preliminary internal testing data to indicate this antibody may not react with these species.
Please contact us for more information.

Patented technology
Our RabMAb® technology is a patented hybridoma-based technology for making rabbit monoclonal antibodies. For details on our patents, please refer to RabMAb® patents.

What are the advantages of a recombinant monoclonal antibody?
This product is a recombinant monoclonal antibody, which offers several advantages including:

  • - High batch-to-batch consistency and reproducibility
  • - Improved sensitivity and specificity
  • - Long-term security of supply
  • - Animal-free batch production

For more information, read more on recombinant antibodies.

Properties and storage information

Form
Liquid
Purity
Tissue culture supernatant
Storage buffer
pH: 7.2 - 7.4 Preservative: 0.01% Sodium azide Constituents: PBS, 50% Tissue culture supernatant, 40% Glycerol (glycerin, glycerine), 0.05% BSA
Shipped at conditions
Blue Ice
Appropriate short-term storage conditions
+4°C
Appropriate long-term storage conditions
-20°C

Supplementary information

This supplementary information is collated from multiple sources and compiled automatically.

STK25 also known as Serine/Threonine Kinase 25 or YSK1 is an enzyme with a molecular weight of approximately 59 kDa. It functions as a serine/threonine kinase and plays a role in the regulation of various cellular processes. STK25 is present in many tissues but its expression levels are high in the brain liver and testis. This kinase is involved in several signaling pathways that modulate cell dynamics and organization influencing cellular architecture and function.
Biological function summary

STK25 participates in signaling pathways that govern structural cellular dynamics. It acts independently or as part of a larger protein complex to control cell polarity and morphological changes. STK25 can influence actin cytoskeleton reorganization which affects cell shape and movement. It holds importance for processes related to cell adhesion and cell-matrix interactions important for maintaining proper cell structures and responses to environmental stimuli.

Pathways

STK25 integrates into key signaling cascades. It plays a role in the Hippo signaling pathway which regulates organ size and suppresses tumor growth. STK25 interacts with other proteins such as MST1/2 to influence this pathway's activity. Additionally it associates with the MAPK signaling pathway modulating cellular responses like proliferation and stress resistance. Through these interactions STK25 connects to broader networks influencing cellular behavior and responses.

STK25 has links to neurodegenerative disorders and diabetes. Studies have shown its contribution to the development of Alzheimer's disease where it may interact with tau protein leading to tau hyperphosphorylation and aggregation. Moreover STK25 relates to metabolic syndromes particularly insulin resistance by associating with pathways affecting glucose homeostasis. These relationships suggest STK25's involvement in both neurological and metabolic health.

Product protocols

For this product, it's our understanding that no specific protocols are required. You can visit:

Target data

Oxidant stress-activated serine/threonine kinase that may play a role in the response to environmental stress. Targets to the Golgi apparatus where it appears to regulate protein transport events, cell adhesion, and polarity complexes important for cell migration. Part of the striatin-interacting phosphatase and kinase (STRIPAK) complexes. STRIPAK complexes have critical roles in protein (de)phosphorylation and are regulators of multiple signaling pathways including Hippo, MAPK, nuclear receptor and cytoskeleton remodeling. Different types of STRIPAK complexes are involved in a variety of biological processes such as cell growth, differentiation, apoptosis, metabolism and immune regulation (PubMed : 18782753).
See full target information STK25

Publications (6)

Recent publications for all applications. Explore the full list and refine your search

Life science alliance 8: PubMed40639948

2025

TLR-induced STK25 activation promotes IRF5-mediated inflammation.

Applications

Unspecified application

Species

Unspecified reactive species

Matthew R Rice,Bharati Matta,Loretta Wang,Qi Luo,Jeremy De Guzman,Dinesh Srinivasan,Katelyn R Ludwig,Surya Indukuri,Leianna Brune,Seng-Lai Tan,Betsy J Barnes

Nature communications 16:1406 PubMed39915446

2025

ROS-induced cytosolic release of mitochondrial PGAM5 promotes colorectal cancer progression by interacting with MST3.

Applications

Unspecified application

Species

Unspecified reactive species

Shiyang Wang,Xi Wu,Wenxin Bi,Jiuzhi Xu,Liyuan Hou,Guilin Li,Yuwei Pan,Hanfu Zhang,Mengzhen Li,Sujuan Du,Mingxin Zhang,Di Liu,Shuiling Jin,Xiaojing Shi,Yuhua Tian,Jianwei Shuai,Maksim V Plikus,Moshi Song,Zhaocai Zhou,Lu Yu,Cong Lv,Zhengquan Yu

Cell reports 40:111203 PubMed35977512

2022

STK25 inhibits PKA signaling by phosphorylating PRKAR1A.

Applications

Unspecified application

Species

Unspecified reactive species

Xiaokan Zhang,Bryan Z Wang,Michael Kim,Trevor R Nash,Bohao Liu,Jenny Rao,Roberta Lock,Manuel Tamargo,Rajesh Kumar Soni,John Belov,Eric Li,Gordana Vunjak-Novakovic,Barry Fine

Frontiers in oncology 12:759864 PubMed35756606

2022

Exosomal miR-4800-3p Aggravates the Progression of Hepatocellular Carcinoma Regulating the Hippo Signaling Pathway by Targeting STK25.

Applications

Unspecified application

Species

Unspecified reactive species

Haoming Lin,Jicai Peng,Taifeng Zhu,Meihong Xiong,Rui Zhang,Liming Lei

eLife 9: PubMed32292165

2020

STK25 suppresses Hippo signaling by regulating SAV1-STRIPAK antagonism.

Applications

Unspecified application

Species

Unspecified reactive species

Sung Jun Bae,Lisheng Ni,Xuelian Luo

Nature communications 10:1547 PubMed30948712

2019

Identification of the kinase STK25 as an upstream activator of LATS signaling.

Applications

Unspecified application

Species

Unspecified reactive species

Sanghee Lim,Nicole Hermance,Tenny Mudianto,Hatim M Mustaly,Ian Paolo Morelos Mauricio,Marc A Vittoria,Ryan J Quinton,Brian W Howell,Hauke Cornils,Amity L Manning,Neil J Ganem
View all publications

Product promise

We are committed to supporting your work with high-quality reagents, and we're here for you every step of the way. In the unlikely event that one of our products does not perform as expected, you're protected by our Product Promise.
For full details, please see our Terms & Conditions

Please note: All products are 'FOR RESEARCH USE ONLY. NOT FOR USE IN DIAGNOSTIC OR THERAPEUTIC PROCEDURES'.

For licensing inquiries, please contact partnerships@abcam.com