JavaScript is disabled in your browser. Please enable JavaScript to view this website.
AB70546

Anti-STK3/MST-2 antibody

Be the first to review this product! Submit a review

|

(4 Publications)

Rabbit Polyclonal STK3/MST-2 antibody. Suitable for IP, WB, IHC-P and reacts with Human, Mouse samples. Cited in 4 publications. Immunogen corresponding to Synthetic Peptide within Human STK3.

View Alternative Names

KRS1, MST2, STK3, Serine/threonine-protein kinase 3, Mammalian STE20-like protein kinase 2, STE20-like kinase MST2, Serine/threonine-protein kinase Krs-1, MST-2

3 Images
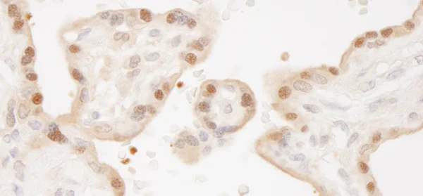
Immunohistochemistry (Formalin/PFA-fixed paraffin-embedded sections) - Anti-STK3/MST-2 antibody (AB70546)
  • IHC-P

Unknown

Immunohistochemistry (Formalin/PFA-fixed paraffin-embedded sections) - Anti-STK3/MST-2 antibody (AB70546)

Immunohistochemistry (Formalin/PFA-fixed paraffin-embedded sections) analysis of human placenta tissue labelling STK3/MST-2 with ab70546 at 1/1000 (1μg/ml). Detection : DAB.

Immunoprecipitation - Anti-STK3/MST-2 antibody (AB70546)
  • IP

Unknown

Immunoprecipitation - Anti-STK3/MST-2 antibody (AB70546)

1mg whole cell lysate from HeLa cells was immunoprecipitated with ab70546 at 3ug/mg of lysate (lane 1) or a control rabbit Ig )lane 2). For the subsequent blot, 25% of the immnuoprecipitate (lanes 1 and 2) or the input (lane 3) were probed with ab70546 at 1mg/ml.

All lanes:

Immunoprecipitation - Anti-STK3/MST-2 antibody (ab70546)

Predicted band size: 56 kDa

false

Western blot - Anti-STK3/MST-2 antibody (AB70546)
  • WB

Unknown

Western blot - Anti-STK3/MST-2 antibody (AB70546)

All lanes:

Western blot - Anti-STK3/MST-2 antibody (ab70546) at 1/10000 dilution

Lane 1:

Whole cell lysate from HeLa cells at 50 µg

Lane 2:

Whole cell lysate from HeLa cells at 15 µg

Lane 3:

Whole cell lysate from HeLa cells at 5 µg

Lane 4:

Whole cell lysate from Ramos cells at 50 µg

Lane 5:

Whole cell lysate from NIH3T3 cells at 50 µg

Predicted band size: 56 kDa

Observed band size: 56 kDa

true

Exposure time: 3s

Key facts

Host species

Rabbit

Clonality

Polyclonal

Isotype

IgG

Carrier free

No

Reacts with

Mouse, Human

Applications

IP, IHC-P, WB

applications

Immunogen

Synthetic Peptide within Human STK3. The exact immunogen used to generate this antibody is proprietary information.

Q13188

Reactivity data

{ "title": "Reactivity Data", "filters": { "stats": ["", "Species", "Dilution Info", "Notes"], "tabs": { "all-applications": {"fullname" : "All Applications", "shortname": "All Applications"}, "IP" : {"fullname" : "Immunoprecipitation", "shortname":"IP"}, "WB" : {"fullname" : "Western blot", "shortname":"WB"}, "IHCP" : {"fullname" : "Immunohistochemistry (Formalin/PFA-fixed paraffin-embedded sections)", "shortname":"IHC-P"} }, "product-promise": { "all": "all", "testedAndGuaranteed": "tested", "guaranteed": "expected", "predicted": "predicted", "notRecommended": "not-recommended" } }, "values": { "Human": { "IP-species-checked": "testedAndGuaranteed", "IP-species-dilution-info": "2-5 µg/mg of lysate", "IP-species-notes": "<p></p>", "WB-species-checked": "testedAndGuaranteed", "WB-species-dilution-info": "1/5000 - 1/15000", "WB-species-notes": "<p></p>", "IHCP-species-checked": "testedAndGuaranteed", "IHCP-species-dilution-info": "1/500 - 1/2000", "IHCP-species-notes": "<p></p> Perform heat-mediated antigen retrieval with Tris/EDTA buffer pH 9.0 before commencing with IHC staining protocol." }, "Mouse": { "IP-species-checked": "guaranteed", "IP-species-dilution-info": "", "IP-species-notes": "", "WB-species-checked": "testedAndGuaranteed", "WB-species-dilution-info": "1/5000 - 1/15000", "WB-species-notes": "<p></p>", "IHCP-species-checked": "guaranteed", "IHCP-species-dilution-info": "", "IHCP-species-notes": "" }, "Rat": { "IP-species-checked": "predicted", "IP-species-dilution-info": "", "IP-species-notes": "", "WB-species-checked": "predicted", "WB-species-dilution-info": "", "WB-species-notes": "", "IHCP-species-checked": "predicted", "IHCP-species-dilution-info": "", "IHCP-species-notes": "" }, "Chimpanzee": { "IP-species-checked": "predicted", "IP-species-dilution-info": "", "IP-species-notes": "", "WB-species-checked": "predicted", "WB-species-dilution-info": "", "WB-species-notes": "", "IHCP-species-checked": "predicted", "IHCP-species-dilution-info": "", "IHCP-species-notes": "" }, "Cow": { "IP-species-checked": "predicted", "IP-species-dilution-info": "", "IP-species-notes": "", "WB-species-checked": "predicted", "WB-species-dilution-info": "", "WB-species-notes": "", "IHCP-species-checked": "predicted", "IHCP-species-dilution-info": "", "IHCP-species-notes": "" }, "Gorilla": { "IP-species-checked": "predicted", "IP-species-dilution-info": "", "IP-species-notes": "", "WB-species-checked": "predicted", "WB-species-dilution-info": "", "WB-species-notes": "", "IHCP-species-checked": "predicted", "IHCP-species-dilution-info": "", "IHCP-species-notes": "" }, "Guinea pig": { "IP-species-checked": "predicted", "IP-species-dilution-info": "", "IP-species-notes": "", "WB-species-checked": "predicted", "WB-species-dilution-info": "", "WB-species-notes": "", "IHCP-species-checked": "predicted", "IHCP-species-dilution-info": "", "IHCP-species-notes": "" }, "Horse": { "IP-species-checked": "predicted", "IP-species-dilution-info": "", "IP-species-notes": "", "WB-species-checked": "predicted", "WB-species-dilution-info": "", "WB-species-notes": "", "IHCP-species-checked": "predicted", "IHCP-species-dilution-info": "", "IHCP-species-notes": "" }, "Orangutan": { "IP-species-checked": "predicted", "IP-species-dilution-info": "", "IP-species-notes": "", "WB-species-checked": "predicted", "WB-species-dilution-info": "", "WB-species-notes": "", "IHCP-species-checked": "predicted", "IHCP-species-dilution-info": "", "IHCP-species-notes": "" }, "Rabbit": { "IP-species-checked": "predicted", "IP-species-dilution-info": "", "IP-species-notes": "", "WB-species-checked": "predicted", "WB-species-dilution-info": "", "WB-species-notes": "", "IHCP-species-checked": "predicted", "IHCP-species-dilution-info": "", "IHCP-species-notes": "" }, "Rhesus monkey": { "IP-species-checked": "predicted", "IP-species-dilution-info": "", "IP-species-notes": "", "WB-species-checked": "predicted", "WB-species-dilution-info": "", "WB-species-notes": "", "IHCP-species-checked": "predicted", "IHCP-species-dilution-info": "", "IHCP-species-notes": "" }, "Tilapia": { "IP-species-checked": "predicted", "IP-species-dilution-info": "", "IP-species-notes": "", "WB-species-checked": "predicted", "WB-species-dilution-info": "", "WB-species-notes": "", "IHCP-species-checked": "predicted", "IHCP-species-dilution-info": "", "IHCP-species-notes": "" }, "Turkey": { "IP-species-checked": "predicted", "IP-species-dilution-info": "", "IP-species-notes": "", "WB-species-checked": "predicted", "WB-species-dilution-info": "", "WB-species-notes": "", "IHCP-species-checked": "predicted", "IHCP-species-dilution-info": "", "IHCP-species-notes": "" }, "Xenopus laevis": { "IP-species-checked": "predicted", "IP-species-dilution-info": "", "IP-species-notes": "", "WB-species-checked": "predicted", "WB-species-dilution-info": "", "WB-species-notes": "", "IHCP-species-checked": "predicted", "IHCP-species-dilution-info": "", "IHCP-species-notes": "" }, "Xenopus tropicalis": { "IP-species-checked": "predicted", "IP-species-dilution-info": "", "IP-species-notes": "", "WB-species-checked": "predicted", "WB-species-dilution-info": "", "WB-species-notes": "", "IHCP-species-checked": "predicted", "IHCP-species-dilution-info": "", "IHCP-species-notes": "" }, "Zebrafish": { "IP-species-checked": "predicted", "IP-species-dilution-info": "", "IP-species-notes": "", "WB-species-checked": "predicted", "WB-species-dilution-info": "", "WB-species-notes": "", "IHCP-species-checked": "predicted", "IHCP-species-dilution-info": "", "IHCP-species-notes": "" } } }

Properties and storage information

Form
Liquid
Purification technique
Affinity purification Immunogen
Storage buffer
pH: 7 - 8 Preservative: 0.09% Sodium azide Constituents: PBS, 1.815% Tris, 1.764% Sodium citrate
Shipped at conditions
Blue Ice
Appropriate short-term storage conditions
+4°C
Appropriate long-term storage conditions
-20°C
Aliquoting information
Upon delivery aliquot
Storage information
Avoid freeze / thaw cycle

Supplementary information

This supplementary information is collated from multiple sources and compiled automatically.

STK3 also known as MST-2 is a serine/threonine protein kinase with a molecular mass of around 60 kDa. It plays an integral role in cell signaling by phosphorylating and activating downstream targets. MST-2 localizes mainly in the cytoplasm and is expressed broadly across various tissues with notable activity in liver kidney and heart tissues. This kinase contributes to the regulation of cell shape and apoptosis reinforcing its importance in cellular homeostasis.
Biological function summary

STK3/MST-2 is a core component of the Hippo signaling pathway which controls organ size by regulating cell proliferation and apoptosis. MST-2 often interacts with other proteins and participates in functional complexes notably with MOB1 and LATS1/2. These interactions are essential for transmitting growth inhibitory signals. Through its kinase activity MST-2 phosphorylates and activates these molecules initiating a cascade that ultimately influences gene expression impacting cell cycle and cell death processes.

Pathways

MST-2 plays a pivotal role not only in the Hippo pathway but also in the MAPK signaling network. In the Hippo pathway MST-2 phosphorylates components like LATS1/2 subsequently affecting the translocation and activity of YAP/TAZ transcription factors which control cell proliferation and survival. In the MAPK pathway MST-2 can interact with other kinases such as ASK1 to influence stress response signaling. These interactions demonstrate how MST-2 integrates signals between pathways to mediate critical decisions in cell life and death.

MST-2 has implications in cancer and cardiac diseases. Dysregulation of the Hippo pathway involving MST-2 is frequently observed in various cancers where impaired MST-2 function contributes to unchecked cell growth and tumor progression. Moreover MST-2 connects with other proteins like YAP often overactive in cancers emphasizing its role in controlling cell division. In cardiac context alterations in MST-2 activity relate to cardiac hypertrophy as proper functioning of the kinase is necessary to maintain cardiac tissue architecture and response to stress.

Product protocols

For this product, it's our understanding that no specific protocols are required. You can visit:

Target data

Stress-activated, pro-apoptotic kinase which, following caspase-cleavage, enters the nucleus and induces chromatin condensation followed by internucleosomal DNA fragmentation (PubMed : 11278283, PubMed : 8566796, PubMed : 8816758). Key component of the Hippo signaling pathway which plays a pivotal role in organ size control and tumor suppression by restricting proliferation and promoting apoptosis. The core of this pathway is composed of a kinase cascade wherein STK3/MST2 and STK4/MST1, in complex with its regulatory protein SAV1, phosphorylates and activates LATS1/2 in complex with its regulatory protein MOB1, which in turn phosphorylates and inactivates YAP1 oncoprotein and WWTR1/TAZ (PubMed : 15688006, PubMed : 16930133, PubMed : 23972470, PubMed : 28087714, PubMed : 29063833, PubMed : 30622739). Phosphorylation of YAP1 by LATS2 inhibits its translocation into the nucleus to regulate cellular genes important for cell proliferation, cell death, and cell migration (PubMed : 15688006, PubMed : 16930133, PubMed : 23972470, PubMed : 28087714). STK3/MST2 and STK4/MST1 are required to repress proliferation of mature hepatocytes, to prevent activation of facultative adult liver stem cells (oval cells), and to inhibit tumor formation. Phosphorylates NKX2-1 (By similarity). Phosphorylates NEK2 and plays a role in centrosome disjunction by regulating the localization of NEK2 to centrosome, and its ability to phosphorylate CROCC and CEP250 (PubMed : 21076410, PubMed : 21723128). In conjunction with SAV1, activates the transcriptional activity of ESR1 through the modulation of its phosphorylation (PubMed : 21104395). Positively regulates RAF1 activation via suppression of the inhibitory phosphorylation of RAF1 on 'Ser-259' (PubMed : 20212043). Phosphorylates MOBKL1A and RASSF2 (PubMed : 19525978). Phosphorylates MOBKL1B on 'Thr-74'. Acts cooperatively with MOBKL1B to activate STK38 (PubMed : 18328708, PubMed : 18362890).
See full target information STK3

Publications (4)

Recent publications for all applications. Explore the full list and refine your search

Experimental and therapeutic medicine 22:1473 PubMed34737813

2021

Tea polyphenols alleviate hydrogen peroxide-induced oxidative stress damage through the Mst/Nrf2 axis and the Keap1/Nrf2/HO-1 pathway in murine RAW264.7 cells.

Applications

Unspecified application

Species

Unspecified reactive species

Qian Li,Zhaoyan Qiu,Yan Wang,Chunyan Guo,Xu Cai,Yandong Zhang,Li Liu,Hongkun Xue,Jintian Tang

Genes 11: PubMed33255998

2020

Profiling Novel Alternative Splicing within Multiple Tissues Provides Useful Insights into Porcine Genome Annotation.

Applications

Unspecified application

Species

Unspecified reactive species

Wen Feng,Pengju Zhao,Xianrui Zheng,Zhengzheng Hu,Jianfeng Liu

Frontiers in oncology 10:556084 PubMed33117688

2020

LINC01315 Impairs microRNA-211-Dependent DLG3 Downregulation to Inhibit the Development of Oral Squamous Cell Carcinoma.

Applications

Unspecified application

Species

Unspecified reactive species

Fu-Bo Chen,Peng Wu,Rong Zhou,Qi-Xiang Yang,Xu Zhang,Rao-Rao Wang,Sheng-Cai Qi,Xi Yang

Development (Cambridge, England) 147: PubMed32439761

2020

Core Hippo pathway components act as a brake on Yap and Taz in the development and maintenance of the biliary network.

Applications

Unspecified application

Species

Unspecified reactive species

Zachary J Brandt,Ashley E Echert,Jonathan R Bostrom,Paula N North,Brian A Link
View all publications

Product promise

We are committed to supporting your work with high-quality reagents, and we're here for you every step of the way. In the unlikely event that one of our products does not perform as expected, you're protected by our Product Promise.
For full details, please see our Terms & Conditions

Please note: All products are 'FOR RESEARCH USE ONLY. NOT FOR USE IN DIAGNOSTIC OR THERAPEUTIC PROCEDURES'.

For licensing inquiries, please contact partnerships@abcam.com