JavaScript is disabled in your browser. Please enable JavaScript to view this website.
AB79199

Anti-STK3/MST-2 (phospho T180) + MSP/MST1 (phospho T183) antibody

3

(1 Review)

|

(17 Publications)

Rabbit Polyclonal STK3/MST-2 phospho T180 antibody. Suitable for WB, IHC-P and reacts with Human samples. Cited in 17 publications. Immunogen corresponding to Synthetic Peptide within Human MST1 phospho T183.

View Alternative Names

KRS1, MST2, STK3, Serine/threonine-protein kinase 3, Mammalian STE20-like protein kinase 2, STE20-like kinase MST2, Serine/threonine-protein kinase Krs-1, MST-2

2 Images
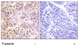
Immunohistochemistry (Formalin/PFA-fixed paraffin-embedded sections) - Anti-STK3/MST-2 (phospho T180) + MSP/MST1 (phospho T183) antibody (AB79199)
  • IHC-P

Unknown

Immunohistochemistry (Formalin/PFA-fixed paraffin-embedded sections) - Anti-STK3/MST-2 (phospho T180) + MSP/MST1 (phospho T183) antibody (AB79199)

ab79199, at 1/50 dilution, staining STK3 (phospho T180) + MSP/MST1 (phospho T183) in human liver carcinoma by Immunohistochemistry using paraffin-embedded tissue, in the absence or presence of the immunising phosphopeptide.

Western blot - Anti-STK3/MST-2 (phospho T180) + MSP/MST1 (phospho T183) antibody (AB79199)
  • WB

Unknown

Western blot - Anti-STK3/MST-2 (phospho T180) + MSP/MST1 (phospho T183) antibody (AB79199)

All lanes:

Western blot - Anti-STK3/MST-2 (phospho T180) + MSP/MST1 (phospho T183) antibody (ab79199)

Lane 1:

Extracts from 293 cells, treated with H<sub>2</sub>O<sub>2</sub> (100uM, 15mins)

Lane 2:

Extracts from 293 cells, treated with H<sub>2</sub>O<sub>2</sub> (100uM, 15mins) with immunising phosphopeptide

Observed band size: 56 kDa

false

Key facts

Host species

Rabbit

Clonality

Polyclonal

Isotype

IgG

Carrier free

No

Reacts with

Human

Applications

IHC-P, WB

applications

Immunogen

Synthetic Peptide within Human MST1 phospho T183. The exact immunogen used to generate this antibody is proprietary information.

P26927

Specificity

ab79199 detects endogenous levels of STK3/MST1 only when phosphorylated at threonine 183 (MST1) and/or threonine T180 (STK3).

Reactivity data

{ "title": "Reactivity Data", "filters": { "stats": ["", "Species", "Dilution Info", "Notes"], "tabs": { "all-applications": {"fullname" : "All Applications", "shortname": "All Applications"}, "WB" : {"fullname" : "Western blot", "shortname":"WB"}, "IHCP" : {"fullname" : "Immunohistochemistry (Formalin/PFA-fixed paraffin-embedded sections)", "shortname":"IHC-P"} }, "product-promise": { "all": "all", "testedAndGuaranteed": "tested", "guaranteed": "expected", "predicted": "predicted", "notRecommended": "not-recommended" } }, "values": { "Human": { "WB-species-checked": "testedAndGuaranteed", "WB-species-dilution-info": "1/500 - 1/1000", "WB-species-notes": "<p></p>", "IHCP-species-checked": "testedAndGuaranteed", "IHCP-species-dilution-info": "1/50 - 1/100", "IHCP-species-notes": "<p></p>" }, "Mouse": { "WB-species-checked": "predicted", "WB-species-dilution-info": "", "WB-species-notes": "", "IHCP-species-checked": "predicted", "IHCP-species-dilution-info": "", "IHCP-species-notes": "" } } }

Properties and storage information

Form
Liquid
Purification technique
Affinity purification Immunogen
Purification notes
ab79199 was affinity-purified from rabbit antiserum by affinity-chromatography using epitope-specific phosphopeptide. The antibody against non-phosphopeptide was removed by chromatography using non-phosphopeptide corresponding to the phosphorylation site.
Storage buffer
pH: 7.4 Preservative: 0.02% Sodium azide Constituents: PBS, 50% Glycerol (glycerin, glycerine), 0.87% Sodium chloride
Shipped at conditions
Blue Ice
Appropriate short-term storage conditions
+4°C
Appropriate long-term storage conditions
-20°C
Storage information
Stable for 12 months at -20°C

Supplementary information

This supplementary information is collated from multiple sources and compiled automatically.

STK3 also known as MST-2 and MSP also referred to as MST1 are serine/threonine kinases belonging to the Ste20 family. MST1 has a molecular weight of approximately 56 kDa while MST2 has a molecular weight of about 58 kDa. These proteins are expressed in various tissues with notable presence in the liver heart and brain. They function mechanistically through phosphorylation of downstream effectors and serve as core components of the Hippo signaling pathway which regulates cell proliferation apoptosis and organ size.
Biological function summary

These kinases play essential roles in regulating cell growth and apoptosis. They often exist as a part of larger complexes that include other signaling components and proteins. STK3 and MSP interact with a network of proteins including tumor suppressors like LATS1/2 to mediate their biological activities. These interactions allow for proper cellular response to environmental signals and maintain cellular homeostasis.

Pathways

STK3 and MSP hold significant importance in the Hippo signaling pathway and the oxidative stress response pathway. In the Hippo pathway they phosphorylate and activate downstream effectors such as YAP and TAZ which ultimately regulate gene expression related to cell proliferation and apoptosis. In the oxidative stress response these kinases interact with FOXO proteins to modulate the cellular response to oxidative damage linking them to cellular aging and longevity processes.

Aberrations in STK3 and MSP functions link to cancer and neurodegenerative diseases. In cancer dysfunction in the Hippo pathway can result in uncontrolled cell growth with proteins like YAP and TAZ playing pivotal roles in tumorigenesis. In neurodegenerative diseases changes in MSP function or expression can contribute to altered neuronal survival and apoptosis which implicates proteins like FOXO in regulating neuronal responses and stress resistance.

Product protocols

For this product, it's our understanding that no specific protocols are required. You can visit:

Target data

Stress-activated, pro-apoptotic kinase which, following caspase-cleavage, enters the nucleus and induces chromatin condensation followed by internucleosomal DNA fragmentation (PubMed : 11278283, PubMed : 8566796, PubMed : 8816758). Key component of the Hippo signaling pathway which plays a pivotal role in organ size control and tumor suppression by restricting proliferation and promoting apoptosis. The core of this pathway is composed of a kinase cascade wherein STK3/MST2 and STK4/MST1, in complex with its regulatory protein SAV1, phosphorylates and activates LATS1/2 in complex with its regulatory protein MOB1, which in turn phosphorylates and inactivates YAP1 oncoprotein and WWTR1/TAZ (PubMed : 15688006, PubMed : 16930133, PubMed : 23972470, PubMed : 28087714, PubMed : 29063833, PubMed : 30622739). Phosphorylation of YAP1 by LATS2 inhibits its translocation into the nucleus to regulate cellular genes important for cell proliferation, cell death, and cell migration (PubMed : 15688006, PubMed : 16930133, PubMed : 23972470, PubMed : 28087714). STK3/MST2 and STK4/MST1 are required to repress proliferation of mature hepatocytes, to prevent activation of facultative adult liver stem cells (oval cells), and to inhibit tumor formation. Phosphorylates NKX2-1 (By similarity). Phosphorylates NEK2 and plays a role in centrosome disjunction by regulating the localization of NEK2 to centrosome, and its ability to phosphorylate CROCC and CEP250 (PubMed : 21076410, PubMed : 21723128). In conjunction with SAV1, activates the transcriptional activity of ESR1 through the modulation of its phosphorylation (PubMed : 21104395). Positively regulates RAF1 activation via suppression of the inhibitory phosphorylation of RAF1 on 'Ser-259' (PubMed : 20212043). Phosphorylates MOBKL1A and RASSF2 (PubMed : 19525978). Phosphorylates MOBKL1B on 'Thr-74'. Acts cooperatively with MOBKL1B to activate STK38 (PubMed : 18328708, PubMed : 18362890).
See full target information STK3 phospho T180

Publications (17)

Recent publications for all applications. Explore the full list and refine your search

Journal for immunotherapy of cancer 13: PubMed40789740

2025

Overcoming immunotherapy resistance in bladder cancer with a novel antibody-drug conjugate RC48.

Applications

Unspecified application

Species

Unspecified reactive species

Jiatong Xiao,Jinhui Liu,Chunyu Zhang,Zhi Liu,Zhenyu Nie,Zhenglin Yi,Xin Gao,Haisu Liang,Jinliang Huang,Zhiyong Cai,Luzhe Yan,Bingquan Wu,Zefu Liu,Jinbo Chen,Xiongbing Zu,Jiao Hu

Redox biology 71:103104 PubMed38430683

2024

Inhibition of MST1 ameliorates neuronal apoptosis via GSK3β/β-TrCP/NRF2 pathway in spinal cord injury accompanied by diabetes.

Applications

Unspecified application

Species

Unspecified reactive species

Weijun Huang,Depeng Wu,Chaoyang Cai,Hui Yao,Zhenming Tian,Yang Yang,Mao Pang,Limin Rong,Bin Liu

Research (Washington, D.C.) 7:0300 PubMed38314086

2024

A Nutrient-Deficient Microenvironment Facilitates Ferroptosis Resistance via the FAM60A-PPAR Axis in Pancreatic Ductal Adenocarcinoma.

Applications

Unspecified application

Species

Unspecified reactive species

Hong Pan,Yue Sun,Li-Heng Qian,Ying-Na Liao,Yan-Zhi Gai,Yan-Miao Huo,Zuo-Qing Li,Hui-Zhen Nie

Open life sciences 16:1130-1140 PubMed34746414

2021

Glucocorticoids induce osteonecrosis of the femoral head through the Hippo signaling pathway.

Applications

Unspecified application

Species

Unspecified reactive species

Yugang Li,Zechuan Xu,Shan Chang

Cell reports 36:109490 PubMed34348155

2021

Inhibition of PHLPP1/2 phosphatases rescues pancreatic β-cells in diabetes.

Applications

Unspecified application

Species

Unspecified reactive species

Blaz Lupse,Karthika Annamalai,Hazem Ibrahim,Supreet Kaur,Shirin Geravandi,Bhavishya Sarma,Anasua Pal,Sushil Awal,Arundhati Joshi,Sahar Rafizadeh,Murali Krishna Madduri,Mona Khazaei,Huan Liu,Ting Yuan,Wei He,Kanaka Durga Devi Gorrepati,Zahra Azizi,Qi Qi,Keqiang Ye,Jose Oberholzer,Kathrin Maedler,Amin Ardestani

Molecular medicine reports 24: PubMed33955510

2021

Parthenolide plays a protective role in the liver of mice with metabolic dysfunction‑associated fatty liver disease through the activation of the HIPPO pathway.

Applications

Unspecified application

Species

Unspecified reactive species

Weihong Wang,Yukai He,Qiuli Liu

Oncology letters 22:516 PubMed33986876

2021

Regulatory effect of microRNA-223-3p on breast cancer cell processes via the Hippo/Yap signaling pathway.

Applications

Unspecified application

Species

Unspecified reactive species

Tonghua Du,Dan Wang,Xiaoyu Wan,Jingwei Xu,Qi Xiao,Bin Liu

Proceedings of the National Academy of Sciences of 117:24503-24513 PubMed32929029

2020

Netrin1 deficiency activates MST1 via UNC5B receptor, promoting dopaminergic apoptosis in Parkinson's disease.

Applications

Unspecified application

Species

Unspecified reactive species

Eun Hee Ahn,Seong Su Kang,Qi Qi,Xia Liu,Keqiang Ye

Annals of the New York Academy of Sciences 1484:74-89 PubMed32827446

2020

Leukemia inhibitory factor promotes gastric cancer cell proliferation, migration, and invasion via the LIFR-Hippo-YAP pathway.

Applications

Unspecified application

Species

Unspecified reactive species

Shi-Bo Bian,Yun Yang,Wen-Quan Liang,Ke-Cheng Zhang,Lin Chen,Zhong-Tao Zhang

Cancer cell 38:115-128.e9 PubMed32589942

2020

Selective Inhibition of STRN3-Containing PP2A Phosphatase Restores Hippo Tumor-Suppressor Activity in Gastric Cancer.

Applications

Unspecified application

Species

Unspecified reactive species

Yang Tang,Gemin Fang,Fenghua Guo,Hui Zhang,Xiaoxu Chen,Liwei An,Min Chen,Li Zhou,Wenjia Wang,Tiantian Ye,Lei Zhou,Pingping Nie,Haijun Yu,Moubin Lin,Yun Zhao,Xinhua Lin,Zengqiang Yuan,Shi Jiao,Zhaocai Zhou
View all publications

Product promise

We are committed to supporting your work with high-quality reagents, and we're here for you every step of the way. In the unlikely event that one of our products does not perform as expected, you're protected by our Product Promise.
For full details, please see our Terms & Conditions

Please note: All products are 'FOR RESEARCH USE ONLY. NOT FOR USE IN DIAGNOSTIC OR THERAPEUTIC PROCEDURES'.

For licensing inquiries, please contact partnerships@abcam.com