JavaScript is disabled in your browser. Please enable JavaScript to view this website.
AB206296

Anti-STK33 antibody [EPR15343]

Be the first to review this product! Submit a review

|

(6 Publications)

Rabbit Recombinant Monoclonal STK33 antibody. Suitable for WB, ICC/IF, IHC-P and reacts with Human samples. Cited in 6 publications.

View Alternative Names

Serine/threonine-protein kinase 33, STK33

6 Images
Immunocytochemistry/ Immunofluorescence - Anti-STK33 antibody [EPR15343] (AB206296)
  • ICC/IF

Supplier Data

Immunocytochemistry/ Immunofluorescence - Anti-STK33 antibody [EPR15343] (AB206296)

Immunofluorescent analysis of 4% paraformaldehyde-fixed 0.1% Triton X-100 permeabilized Jurkat (Human T cell leukemia cells from peripheral blood) cells labeling STK33 with ab206296 at 1/1000 dilution followed by Goat Anti-Rabbit IgG H&L (Alexa Fluor® 488) (ab150077) secondary antibody at 1/1000 dilution (green).

Cytoplasmic and nuclear staining on Jurkat cell line is observed.

The nuclear counterstain is DAPI (blue).

Tubulin is detected with anti-alpha Tubulin mouse MAb (ab7291) at 1/1000 dilution followed by Goat Anti-Mouse IgG H&L (Alexa Fluor® 594) (ab150120) secondary antibody at 1/1000 dilution (red).
The negative controls are as follows : -
-ve control 1 - ab206296 at 1/1000 dilution followed by Goat Anti-Mouse IgG H&L (Alexa Fluor® 594) (ab150120) secondary antibody at 1/1000 dilution.
-ve control 2. - anti-alpha Tubulin mouse MAb (ab7291) at 1/1000 dilution followed by Goat Anti-Rabbit IgG H&L (Alexa Fluor® 488) (ab150077) secondary antibody at 1/1000 dilution.

Immunohistochemistry (Formalin/PFA-fixed paraffin-embedded sections) - Anti-STK33 antibody [EPR15343] (AB206296)
  • IHC-P

Supplier Data

Immunohistochemistry (Formalin/PFA-fixed paraffin-embedded sections) - Anti-STK33 antibody [EPR15343] (AB206296)

Immunohistochemical analysis of paraffin-embedded human testis tissue labeling STK33 with ab206296 at 1/250 dilution followed by Goat Anti-Rabbit IgG H&L (HRP) (ab97051) at 1/500 dilution.

Nuclear and cytoplasmic staining on human testis tissue is observed.

Counter stained with Hematoxylin.
Negative control : Used PBS instead of primary ab secondary ab is Goat Anti-Rabbit IgG H&L (HRP) (ab97051).

Perform heat mediated antigen retrieval with Tris/EDTA buffer pH 9.0 before commencing with IHC staining protocol.

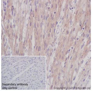
Immunohistochemistry (Formalin/PFA-fixed paraffin-embedded sections) - Anti-STK33 antibody [EPR15343] (AB206296)
  • IHC-P

Supplier Data

Immunohistochemistry (Formalin/PFA-fixed paraffin-embedded sections) - Anti-STK33 antibody [EPR15343] (AB206296)

Immunohistochemical analysis of paraffin-embedded human fetal cardiac tissue labeling STK33 with ab206296 at 1/250 dilution followed by Goat Anti-Rabbit IgG H&L (HRP) (ab97051) at 1/500 dilution.

Nuclear and cytoplasmic staining on human fetal cardiac muscle tissue is observed.

Counter stained with Hematoxylin.
Negative control : Used PBS instead of primary ab secondary ab is Goat Anti-Rabbit IgG H&L (HRP) (ab97051).

Perform heat mediated antigen retrieval with Tris/EDTA buffer pH 9.0 before commencing with IHC staining protocol.

Western blot - Anti-STK33 antibody [EPR15343] (AB206296)
  • WB

Supplier Data

Western blot - Anti-STK33 antibody [EPR15343] (AB206296)

Blocking/dilution buffer : 5% NFDM/TBST.

Exposure time : Lane 1 : 10 seconds;
Lane 2 : 3 minutes

All lanes:

Western blot - Anti-STK33 antibody [EPR15343] (ab206296) at 1/1000 dilution

Lane 1:

Human fetal kidney tissue lysate at 10 µg

Lane 2:

Human fetal spleen tissue lysate at 10 µg

Secondary

All lanes:

Anti-Rabbit IgG (HRP), specific to the non-reduced form of IgG at 1/100000 dilution

Predicted band size: 58 kDa

Observed band size: 58 kDa

false

Western blot - Anti-STK33 antibody [EPR15343] (AB206296)
  • WB

Supplier Data

Western blot - Anti-STK33 antibody [EPR15343] (AB206296)

Blocking/dilution buffer : 5% NFDM/TBST.

Can recognize two isoforms. The predicted MW are 58KDa and 50KDa, respectively

All lanes:

Western blot - Anti-STK33 antibody [EPR15343] (ab206296) at 1/1000 dilution

All lanes:

Human testis tissue lysate at 10 µg

Secondary

All lanes:

Anti-Rabbit IgG (HRP), specific to the non-reduced form of IgG at 1/100000 dilution

Predicted band size: 58 kDa

Observed band size: 50 kDa,58 kDa

false

Exposure time: 1min

Western blot - Anti-STK33 antibody [EPR15343] (AB206296)
  • WB

Supplier Data

Western blot - Anti-STK33 antibody [EPR15343] (AB206296)

Blocking/dilution buffer : 5% NFDM/TBST.

Can recognize two isoforms. The predicted MW are 58KDa and 50KDa, respectively

All lanes:

Western blot - Anti-STK33 antibody [EPR15343] (ab206296) at 1/1000 dilution

Lane 1:

Jurkat (Human T cell leukemia cell line from peripheral blood) whole cell lysate at 20 µg

Lane 2:

HEK293 (Human epithelial cell line from embryonic kidney) whole cell lysate at 20 µg

Secondary

All lanes:

Western blot - Goat Anti-Rabbit IgG H&L (HRP) (<a href='/en-us/products/secondary-antibodies/goat-rabbit-igg-h-l-hrp-ab97051'>ab97051</a>) at 1/100000 dilution

Predicted band size: 58 kDa

Observed band size: 58 kDa

false

Exposure time: 3min

  • Carrier free

    Anti-STK33 antibody [EPR15343] - BSA and Azide free

Key facts

Host species

Rabbit

Clonality

Monoclonal

Clone number

EPR15343

Isotype

IgG

Carrier free

No

Reacts with

Human

Applications

IHC-P, WB, ICC/IF

applications

Immunogen

The exact immunogen used to generate this antibody is proprietary information.

Reactivity data

{ "title": "Reactivity Data", "filters": { "stats": ["", "Species", "Dilution Info", "Notes"], "tabs": { "all-applications": {"fullname" : "All Applications", "shortname": "All Applications"}, "WB" : {"fullname" : "Western blot", "shortname":"WB"}, "ICCIF" : {"fullname" : "Immunocytochemistry/ Immunofluorescence", "shortname":"ICC/IF"}, "IHCP" : {"fullname" : "Immunohistochemistry (Formalin/PFA-fixed paraffin-embedded sections)", "shortname":"IHC-P"} }, "product-promise": { "all": "all", "testedAndGuaranteed": "tested", "guaranteed": "expected", "predicted": "predicted", "notRecommended": "not-recommended" } }, "values": { "Human": { "WB-species-checked": "testedAndGuaranteed", "WB-species-dilution-info": "1/1000", "WB-species-notes": "<p></p>", "ICCIF-species-checked": "testedAndGuaranteed", "ICCIF-species-dilution-info": "1/1000", "ICCIF-species-notes": "<p></p>", "IHCP-species-checked": "testedAndGuaranteed", "IHCP-species-dilution-info": "1/250", "IHCP-species-notes": "<p></p>" } } }

Product details

Patented technology
Our RabMAb® technology is a patented hybridoma-based technology for making rabbit monoclonal antibodies. For details on our patents, please refer to RabMAb® patents.

What are the advantages of a recombinant monoclonal antibody?
This product is a recombinant monoclonal antibody, which offers several advantages including:

  • - High batch-to-batch consistency and reproducibility
  • - Improved sensitivity and specificity
  • - Long-term security of supply
  • - Animal-free batch production

For more information, read more on recombinant antibodies.

Properties and storage information

Form
Liquid
Purification technique
Affinity purification Protein A
Storage buffer
pH: 7.2 - 7.4 Preservative: 0.01% Sodium azide Constituents: PBS, 40% Glycerol (glycerin, glycerine), 0.05% BSA
Shipped at conditions
Blue Ice
Appropriate short-term storage duration
1-2 weeks
Appropriate short-term storage conditions
+4°C
Appropriate long-term storage conditions
-20°C
Aliquoting information
Upon delivery aliquot
Storage information
Avoid freeze / thaw cycle

Supplementary information

This supplementary information is collated from multiple sources and compiled automatically.

STK33 also known as serine/threonine kinase 33 is a nucleic protein kinase with a mass of approximately 59 kDa. The STK33 protein functions by phosphorylating serine and threonine amino acid residues which helps to regulate various cellular processes. It is broadly expressed in different tissues such as the brain lung and liver indicating its widespread importance in cellular functions.
Biological function summary

STK33 plays a role in cell proliferation and survival. While not part of any well-defined complex STK33 affects pathways associated with tumorigenic processes. It supports cellular growth by promoting cell cycle progression and inhibiting apoptosis which can lead to increased cell proliferation. These functions highlight its potential involvement in oncogenic events where dysregulation of cell growth is a common feature.

Pathways

STK33 is involved in the PI3K/AKT signaling pathway an important pathway for cell survival and metabolism. In this context STK33 interacts with proteins such as AKT and mTOR which are key components of the pathway. Additionally STK33 has connections with the MAPK/ERK pathway linking it with proteins like MEK and ERK well-known for their roles in cell proliferation and differentiation.

STK33 frequently associates with various types of cancer including lung and pancreatic cancer. Its role in promoting cell cycle progression and inhibiting apoptosis associates it with tumor survival and growth. In cancer STK33 activity connects with oncogenic proteins like KRAS influencing cancer cell metabolism and proliferation. Understanding STK33's involvement in these pathways and diseases may offer new avenues for targeted therapeutic interventions.

Product protocols

For this product, it's our understanding that no specific protocols are required. You can visit:

Target data

Serine/threonine protein kinase required for spermatid differentiation and male fertility (PubMed : 37146716, PubMed : 38781365). Promotes sperm flagella assembly during spermatogenesis by mediating phosphorylation of fibrous sheath proteins AKAP3 and AKAP4 (By similarity). Also phosphorylates VIME, thereby regulating the dynamic behavior of the intermediate filament cytoskeleton (By similarity).
See full target information Serine/threonine-protein kinase 33

Publications (6)

Recent publications for all applications. Explore the full list and refine your search

Cell death discovery 10:101 PubMed38413579

2024

LncRNA MACC1-AS1 induces gemcitabine resistance in pancreatic cancer cells through suppressing ferroptosis.

Applications

Unspecified application

Species

Unspecified reactive species

Jiyun Zhu,Zehao Yu,Xuguang Wang,Jinghui Zhang,Yi Chen,Kaibo Chen,Bin Zhang,Jianhong Sun,Jianshuai Jiang,Siming Zheng

Cell chemical biology 30:1261-1276.e7 PubMed37591251

2023

Identification of KLHDC2 as an efficient proximity-induced degrader of K-RAS, STK33, β-catenin, and FoxP3.

Applications

Unspecified application

Species

Unspecified reactive species

Sascha Röth,Nur Mehpare Kocaturk,Preethi S Sathyamurthi,Bill Carton,Matthew Watt,Thomas J Macartney,Kwok-Ho Chan,Albert Isidro-Llobet,Agnieszka Konopacka,Markus A Queisser,Gopal P Sapkota

Chembiochem : a European journal of chemical biology 24:e202300141 PubMed37088717

2023

Development and Characterization of Selective FAK Inhibitors and PROTACs with In Vivo Activity.

Applications

Unspecified application

Species

Unspecified reactive species

Eriko Koide,Mikaela L Mohardt,Zainab M Doctor,Annan Yang,Mingfeng Hao,Katherine A Donovan,Christina C Kuismi,Alissa J Nelson,Kathryn Abell,Mike Aguiar,Jianwei Che,Matthew P Stokes,Tinghu Zhang,Andrew J Aguirre,Eric S Fischer,Nathanael S Gray,Baishan Jiang,Behnam Nabet

Clinical cancer research : an official journal of 24:2440-2451 PubMed29367428

2018

Krüppel-like Factor 4 Suppresses Serine/Threonine Kinase 33 Activation and Metastasis of Gastric Cancer through Reversing Epithelial-Mesenchymal Transition.

Applications

Unspecified application

Species

Unspecified reactive species

Fanyang Kong,Tao Sun,Xiangyu Kong,Dacheng Xie,Zhaoshen Li,Keping Xie

Cancer research 77:6851-6862 PubMed29038348

2017

STK33 Promotes Growth and Progression of Pancreatic Cancer as a Critical Downstream Mediator of HIF1α.

Applications

Unspecified application

Species

Unspecified reactive species

Fanyang Kong,Xiangyu Kong,Yiqi Du,Ying Chen,Xuan Deng,Jianwei Zhu,Jiawei Du,Lei Li,Zhiliang Jia,Dacheng Xie,Zhaoshen Li,Keping Xie

Oncology letters 14:4800-4804 PubMed29085482

2017

Correlation between STK33 and the pathology and prognosis of lung cancer.

Applications

Unspecified application

Species

Unspecified reactive species

Yi Lu,Jie Tang,Wenmei Zhang,Ce Shen,Ling Xu,Danrong Yang
View all publications

Product promise

We are committed to supporting your work with high-quality reagents, and we're here for you every step of the way. In the unlikely event that one of our products does not perform as expected, you're protected by our Product Promise.
For full details, please see our Terms & Conditions

Please note: All products are 'FOR RESEARCH USE ONLY. NOT FOR USE IN DIAGNOSTIC OR THERAPEUTIC PROCEDURES'.

For licensing inquiries, please contact partnerships@abcam.com