JavaScript is disabled in your browser. Please enable JavaScript to view this website.
AB49405

Anti-Stra8 antibody

4

(2 Reviews)

|

(45 Publications)

Rabbit Polyclonal STRA8 antibody. Suitable for WB, IHC-P and reacts with Mouse samples. Cited in 45 publications.

View Alternative Names

Stimulated by retinoic acid gene 8 protein, Stra8

2 Images
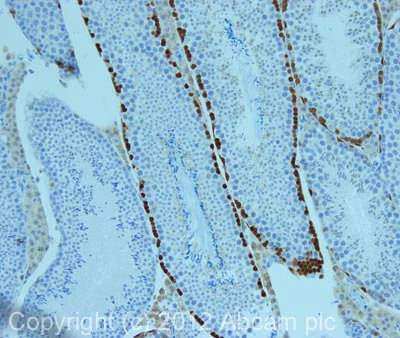
Immunohistochemistry (Formalin/PFA-fixed paraffin-embedded sections) - Anti-Stra8 antibody (AB49405)
  • IHC-P

Unknown

Immunohistochemistry (Formalin/PFA-fixed paraffin-embedded sections) - Anti-Stra8 antibody (AB49405)

IHC image of Stra8 staining in mouse testis formalin fixed paraffin embedded tissue section, performed on a Leica BondTM system using the standard protocol B. The section was pre-treated using heat mediated antigen retrieval with sodium citrate buffer (pH6, epitope retrieval solution 1) for 20 mins. The section was then incubated with ab49405, 0.1µg/ml, for 15 mins at room temperature. A goat anti-rabbit biotinylated secondary antibody was used to detect the primary, and visualized using an HRP conjugated ABC system. DAB was used as the chromogen. The section was then counterstained with haematoxylin and mounted with DPX.

For other IHC staining systems (automated and non-automated) customers should optimize variable parameters such as antigen retrieval conditions, primary antibody concentration and antibody incubation times.

Western blot - Anti-Stra8 antibody (AB49405)
  • WB

Unknown

Western blot - Anti-Stra8 antibody (AB49405)

ab49405 recognizes tagged overexpressed Stra8 protein which has an expected molecular weight of 60 kDa.

All lanes:

Western blot - Anti-Stra8 antibody (ab49405) at 1 µg/mL

Lane 1:

CHO overexpressing Mouse Stra8 lysate at 1 µL

Lane 2:

CHO Negative Control Lysate at 1 µL

Secondary

All lanes:

Western blot - Goat Anti-Rabbit IgG H&L (HRP) (<a href='/en-us/products/secondary-antibodies/goat-rabbit-igg-h-l-hrp-ab97051'>ab97051</a>) at 1/10000 dilution

Predicted band size: 37 kDa

Observed band size: 60 kDa

true

Exposure time: 1min

Key facts

Host species

Rabbit

Clonality

Polyclonal

Isotype

IgG

Carrier free

No

Reacts with

Mouse

Applications

IHC-P, WB

applications

Immunogen

The exact immunogen used to generate this antibody is proprietary information.

Reactivity data

{ "title": "Reactivity Data", "filters": { "stats": ["", "Species", "Dilution Info", "Notes"], "tabs": { "all-applications": {"fullname" : "All Applications", "shortname": "All Applications"}, "WB" : {"fullname" : "Western blot", "shortname":"WB"}, "IHCP" : {"fullname" : "Immunohistochemistry (Formalin/PFA-fixed paraffin-embedded sections)", "shortname":"IHC-P"} }, "product-promise": { "all": "all", "testedAndGuaranteed": "tested", "guaranteed": "expected", "predicted": "predicted", "notRecommended": "not-recommended" } }, "values": { "Mouse": { "WB-species-checked": "testedAndGuaranteed", "WB-species-dilution-info": "1 µg/mL", "WB-species-notes": "<p></p>", "IHCP-species-checked": "testedAndGuaranteed", "IHCP-species-dilution-info": "0.1 µg/mL", "IHCP-species-notes": "<p>Recommended use at a low concentration otherwise high background staining may be observed</p>" } } }

Properties and storage information

Form
Liquid
Purification technique
Affinity purification Immunogen
Storage buffer
pH: 7.4 Preservative: 0.02% Sodium azide Constituents: PBS, 1% BSA
Shipped at conditions
Blue Ice
Appropriate short-term storage duration
1-2 weeks
Appropriate short-term storage conditions
+4°C
Appropriate long-term storage conditions
-20°C
Aliquoting information
Upon delivery aliquot
Storage information
Avoid freeze / thaw cycle

Product protocols

For this product, it's our understanding that no specific protocols are required. You can visit:

Target data

Meiosis-inducer required for the transition into meiosis for both female and male germ cells (PubMed : 16461896, PubMed : 17115059, PubMed : 18799751, PubMed : 18799790, PubMed : 19805549, PubMed : 32032549, PubMed : 32054698). In female germ cells, acts downstream of ZGLP1 as a key effector of the meiotic program : required for premeiotic DNA replication and subsequent events in meiotic prophase (PubMed : 16461896, PubMed : 17115059, PubMed : 18799751, PubMed : 18799790, PubMed : 32054698). During spermatogenesis, next to its role in meiotic initiation, promotes (but is not required for) spermatogonial differentiation (PubMed : 25902548). In complex with MEIOSIN, directly activates the transcription of a subset of critical meiotic genes playing a central role in cell-cycle switching from mitosis to meiosis (PubMed : 19805549, PubMed : 32032549).
See full target information Stra8

Publications (45)

Recent publications for all applications. Explore the full list and refine your search

Nature communications 16:2605 PubMed40097464

2025

The nuclear exosome co-factor MTR4 shapes the transcriptome for meiotic initiation.

Applications

Unspecified application

Species

Unspecified reactive species

Li Zhang,Jianshu Wang,Zhidong Tang,Zhen Lin,Ruibao Su,Naijing Hu,Yao Tang,Gaoxiang Ge,Jing Fan,Ming-Han Tong,Yuanchao Xue,Yu Zhou,Hong Cheng

Development (Cambridge, England) 151: PubMed38884383

2024

Destabilization of mRNAs enhances competence to initiate meiosis in mouse spermatogenic cells.

Applications

Unspecified application

Species

Unspecified reactive species

Natalie G Pfaltzgraff,Bingrun Liu,Dirk G de Rooij,David C Page,Maria M Mikedis

Communications biology 7:16 PubMed38177279

2024

Multiple ageing effects on testicular/epididymal germ cells lead to decreased male fertility in mice.

Applications

Unspecified application

Species

Unspecified reactive species

Tsutomu Endo,Kiyonori Kobayashi,Takafumi Matsumura,Chihiro Emori,Manabu Ozawa,Shimpei Kawamoto,Daisuke Okuzaki,Keisuke Shimada,Haruhiko Miyata,Kentaro Shimada,Mayo Kodani,Yu Ishikawa-Yamauchi,Daisuke Motooka,Eiji Hara,Masahito Ikawa

iScience 26:108424 PubMed38077147

2023

The hypoxia-inducible factor EPAS1 is required for spermatogonial stem cell function in regenerative conditions.

Applications

Unspecified application

Species

Unspecified reactive species

Ilana R Bernstein,Brett Nixon,Jess M Lyons,Katerina B Damyanova,Camila S De Oliveira,Nishani S Mabotuwana,Simone J Stanger,Gerard E Kaiko,Tan Hui Ying,Jon M Oatley,Nicole M Skillen,Alyssa J Lochrin,Jera L Peters,Tessa Lord

BMC biology 21:281 PubMed38053127

2023

FGF-independent MEK1/2 signalling in the developing foetal testis is essential for male germline differentiation in mice.

Applications

Unspecified application

Species

Unspecified reactive species

Rheannon O Blücher,Rachel S Lim,Ellen G Jarred,Matthew E Ritchie,Patrick S Western

Biology of reproduction 109:533-551 PubMed37552049

2023

SPRY4-dependent ERK negative feedback demarcates functional adult stem cells in the male mouse germline†.

Applications

Unspecified application

Species

Unspecified reactive species

Yanyun Luo,Makiko Yamada,Thierry N'Tumba-Byn,Hana Asif,Meng Gao,Yang Hu,Pauline Marangoni,Ying Liu,Todd Evans,Shahin Rafii,Ophir D Klein,Henning U Voss,Anna-Katerina Hadjantonakis,Olivier Elemento,Laura A Martin,Marco Seandel

Cell death & disease 14:134 PubMed36797258

2023

Single cell epigenomic and transcriptomic analysis uncovers potential transcription factors regulating mitotic/meiotic switch.

Applications

Unspecified application

Species

Unspecified reactive species

Fa-Li Zhang,Yan-Qin Feng,Jing-Ya Wang,Ke-Xin Zhu,Lu Wang,Jia-Mao Yan,Xiu-Xiu Li,Jun-Jie Wang,Wei Ge,Massimo De Felici,Wei Shen

Nature communications 13:7953 PubMed36572685

2022

Diverse monogenic subforms of human spermatogenic failure.

Applications

Unspecified application

Species

Unspecified reactive species

Liina Nagirnaja,Alexandra M Lopes,Wu-Lin Charng,Brian Miller,Rytis Stakaitis,Ieva Golubickaite,Alexandra Stendahl,Tianpengcheng Luan,Corinna Friedrich,Eisa Mahyari,Eloise Fadial,Laura Kasak,Katinka Vigh-Conrad,Manon S Oud,Miguel J Xavier,Samuel R Cheers,Emma R James,Jingtao Guo,Timothy G Jenkins,Antoni Riera-Escamilla,Alberto Barros,Filipa Carvalho,Susana Fernandes,João Gonçalves,Christina A Gurnett,Niels Jørgensen,Davor Jezek,Emily S Jungheim,Sabine Kliesch,Robert I McLachlan,Kenan R Omurtag,Adrian Pilatz,Jay I Sandlow,James Smith,Michael L Eisenberg,James M Hotaling,Keith A Jarvi,Margus Punab,Ewa Rajpert-De Meyts,Douglas T Carrell,Csilla Krausz,Maris Laan,Moira K O'Bryan,Peter N Schlegel,Frank Tüttelmann,Joris A Veltman,Kristian Almstrup,Kenneth I Aston,Donald F Conrad

Life science alliance 6: PubMed36414375

2022

Loss of circSRY reduces γH2AX level in germ cells and impairs mouse spermatogenesis.

Applications

Unspecified application

Species

Unspecified reactive species

Yanze Song,Min Chen,Yingfan Zhang,Jiayi Li,Bowen Liu,Na Li,Min Chen,Miaomiao Qiao,Nan Wang,Yuanwei Cao,Shan Lu,Jian Chen,Wen Sun,Fei Gao,Haoyi Wang

FASEB journal : official publication of the Federation of American Societies for Experimental Biology 36:e22522 PubMed36052752

2022

The function of Foxo1 in spermatogonia development is independent of PI3K/PTEN signaling.

Applications

Unspecified application

Species

Unspecified reactive species

Zhiming Shen,Min Chen,Yang Gao,Fangfang Dong,Changhuo Cen,Haowei Wu,Nan Wang,Xiuhong Cui,Chunsheng Han,Fei Gao
View all publications

Product promise

We are committed to supporting your work with high-quality reagents, and we're here for you every step of the way. In the unlikely event that one of our products does not perform as expected, you're protected by our Product Promise.
For full details, please see our Terms & Conditions

Please note: All products are 'FOR RESEARCH USE ONLY. NOT FOR USE IN DIAGNOSTIC OR THERAPEUTIC PROCEDURES'.

For licensing inquiries, please contact partnerships@abcam.com