JavaScript is disabled in your browser. Please enable JavaScript to view this website.
AB49602

Anti-Stra8 antibody

4

(10 Reviews)

|

(83 Publications)

Anti-Stra8 antibody (ab49602) is a rabbit polyclonal antibody detecting Stra8 in Western Blot, IHC-P. Suitable for Mouse.

- Over 80 publications
- Trusted since 2007

View Alternative Names

Stimulated by retinoic acid gene 8 protein, Stra8

3 Images
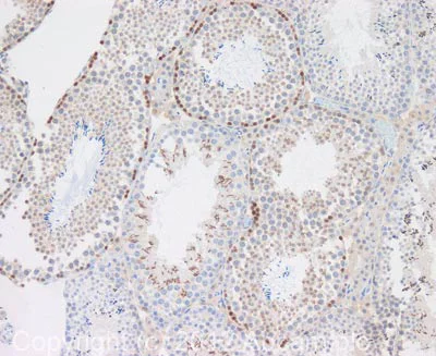
Immunohistochemistry (Formalin/PFA-fixed paraffin-embedded sections) - Anti-Stra8 antibody (AB49602)
  • IHC-P

Unknown

Immunohistochemistry (Formalin/PFA-fixed paraffin-embedded sections) - Anti-Stra8 antibody (AB49602)

IHC image of Stra8 staining in mouse testis formalin fixed paraffin embedded tissue section, performed on a Leica BondTM system using the standard protocol B. The section was pre-treated using heat mediated antigen retrieval with sodium citrate buffer (pH6, epitope retrieval solution 1) for 20 mins. The section was then incubated with ab49602, 0.1µg/ml, for 15 mins at room temperature. A goat anti-rabbit biotinylated secondary antibody was used to detect the primary, and visualized using an HRP conjugated ABC system. DAB was used as the chromogen. The section was then counterstained with haematoxylin and mounted with DPX.

For other IHC staining systems (automated and non-automated) customers should optimize variable parameters such as antigen retrieval conditions, primary antibody concentration and antibody incubation times.

Western blot - Anti-Stra8 antibody (AB49602)
  • WB

AbReview32350****

Western blot - Anti-Stra8 antibody (AB49602)

All lanes:

Western blot - Anti-Stra8 antibody (ab49602) at 1/500 dilution

Lane 1:

WT D3 mouse ES cells cultured with LIF. at 200000 Cells

Lane 2:

WT D3 mouse ES cells cultured without LIF for 24 hours. at 200000 Cells

Lane 3:

WT D3 mouse ES cells cultured without LIF and with 1uM Retinoic acid for 24 hours. at 200000 Cells

Secondary

All lanes:

Non-Abcam antibody was used: goat anti-rabbit HRP at 1/2000 dilution

Predicted band size: 37 kDa

Observed band size: 48 kDa

true

Exposure time: 1min

This image is courtesy of an anonymous abreview.

Western blot - Anti-Stra8 antibody (AB49602)
  • WB

Project

Western blot - Anti-Stra8 antibody (AB49602)

ab49602 was tested on a dual-tagged Stra8 (Mouse) overexpression lysate predicted to run at 60 kDa.

All lanes:

Western blot - Anti-Stra8 antibody (ab49602) at 1 µg/mL

Lane 1:

CHO Overexpressing Stra8 (Mouse) Whole Cell Lysate at 1 µL

Lane 2:

CHO Negative Control Whole Cell Lysate at 1 µL

Secondary

All lanes:

Western blot - Goat Anti-Rabbit IgG H&L (HRP) preadsorbed (<a href='/en-us/products/secondary-antibodies/goat-rabbit-igg-h-l-hrp-preadsorbed-ab97080'>ab97080</a>) at 1/5000 dilution

Predicted band size: 37 kDa

Observed band size: 60 kDa

true

Exposure time: 1min

Key facts

Host species

Rabbit

Clonality

Polyclonal

Isotype

IgG

Carrier free

No

Reacts with

Mouse

Applications

WB, IHC-P

applications

Immunogen

The exact immunogen used to generate this antibody is proprietary information.

Specificity

From Jan 2024, QC testing of replenishment batches of this polyclonal changed. All tested and expected application and reactive species combinations are still covered by our Abcam product promise. However, we no longer test all applications. For more information on a specific batch, please contact our Scientific Support who will be happy to help.

Reactivity data

{ "title": "Reactivity Data", "filters": { "stats": ["", "Species", "Dilution Info", "Notes"], "tabs": { "all-applications": {"fullname" : "All Applications", "shortname": "All Applications"}, "WB" : {"fullname" : "Western blot", "shortname":"WB"}, "IHCP" : {"fullname" : "Immunohistochemistry (Formalin/PFA-fixed paraffin-embedded sections)", "shortname":"IHC-P"} }, "product-promise": { "all": "all", "testedAndGuaranteed": "tested", "guaranteed": "expected", "predicted": "predicted", "notRecommended": "not-recommended" } }, "values": { "Mouse": { "WB-species-checked": "guaranteed", "WB-species-dilution-info": "1 µg/mL", "WB-species-notes": "<p>ab49602 was tested on a dual-tagged Stra8 (Mouse) overexpression lysate predicted to run at 60 kDa.</p>", "IHCP-species-checked": "testedAndGuaranteed", "IHCP-species-dilution-info": "0.1 µg/mL", "IHCP-species-notes": "<p>Recommended use at a low concentration otherwise high background staining may be observed</p>" }, "Rat": { "WB-species-checked": "predicted", "WB-species-dilution-info": "", "WB-species-notes": "", "IHCP-species-checked": "predicted", "IHCP-species-dilution-info": "", "IHCP-species-notes": "" }, "Hamster": { "WB-species-checked": "predicted", "WB-species-dilution-info": "", "WB-species-notes": "", "IHCP-species-checked": "predicted", "IHCP-species-dilution-info": "", "IHCP-species-notes": "" } } }

Product details

Properties and storage information

Form
Liquid
Purification technique
Affinity purification Immunogen
Storage buffer
pH: 7.4 Preservative: 0.02% Sodium azide Constituents: 98.98% PBS, 1% BSA
Shipped at conditions
Blue Ice
Appropriate short-term storage duration
1-2 weeks
Appropriate short-term storage conditions
+4°C
Appropriate long-term storage conditions
-20°C
Aliquoting information
Upon delivery aliquot
Storage information
Avoid freeze / thaw cycle

Product protocols

For this product, it's our understanding that no specific protocols are required. You can visit:

Target data

Meiosis-inducer required for the transition into meiosis for both female and male germ cells (PubMed : 16461896, PubMed : 17115059, PubMed : 18799751, PubMed : 18799790, PubMed : 19805549, PubMed : 32032549, PubMed : 32054698). In female germ cells, acts downstream of ZGLP1 as a key effector of the meiotic program : required for premeiotic DNA replication and subsequent events in meiotic prophase (PubMed : 16461896, PubMed : 17115059, PubMed : 18799751, PubMed : 18799790, PubMed : 32054698). During spermatogenesis, next to its role in meiotic initiation, promotes (but is not required for) spermatogonial differentiation (PubMed : 25902548). In complex with MEIOSIN, directly activates the transcription of a subset of critical meiotic genes playing a central role in cell-cycle switching from mitosis to meiosis (PubMed : 19805549, PubMed : 32032549).
See full target information Stra8

Publications (83)

Recent publications for all applications. Explore the full list and refine your search

Molecules (Basel, Switzerland) 28: PubMed37446938

2023

Protopine Alleviates Dextran Sodium Sulfate-Induced Ulcerative Colitis by Improving Intestinal Barrier Function and Regulating Intestinal Microbiota.

Applications

Unspecified application

Species

Unspecified reactive species

Meishan Yue,Jialu Huang,Xiaolan Ma,Peng Huang,Yisong Liu,Jianguo Zeng

Cells 12: PubMed37371097

2023

Ectopically Expressed Meiosis-Specific Cancer Testis Antigen HORMAD1 Promotes Genomic Instability in Squamous Cell Carcinomas.

Applications

Unspecified application

Species

Unspecified reactive species

Jennifer Gantchev,Julia Messina-Pacheco,Amelia Martínez Villarreal,Brandon Ramchatesingh,Philippe Lefrançois,Pingxing Xie,Laetitia Amar,Hong Hao Xu,Keerthenan Raveendra,Daniel Sikorski,Daniel Josue Guerra Ordaz,Raman Preet Kaur Gill,Marine Lambert,Ivan V Litvinov

The Journal of biological chemistry 299:104783 PubMed37146971

2023

Fat mass and obesity-associated factor (FTO)-mediated N6-methyladenosine regulates spermatogenesis in an age-dependent manner.

Applications

Unspecified application

Species

Unspecified reactive species

Yifei Wu,Jincheng Li,Chenmeijie Li,Shuai Lu,Xiaoyu Wei,Yang Li,Wenjuan Xia,Chunfeng Qian,Zihang Wang,Mingxi Liu,Yayun Gu,Boxian Huang,Yueqiu Tan,Zhibin Hu

Development (Cambridge, England) 150: PubMed36861441

2023

Sertoli cells are the source of stem cell factor for spermatogenesis.

Applications

Unspecified application

Species

Unspecified reactive species

Yi Jacky Peng,Xinyu Thomas Tang,Hui Sophie Shu,Wenjie Dong,Hongfang Shao,Bo O Zhou

Cell death & disease 14:134 PubMed36797258

2023

Single cell epigenomic and transcriptomic analysis uncovers potential transcription factors regulating mitotic/meiotic switch.

Applications

Unspecified application

Species

Unspecified reactive species

Fa-Li Zhang,Yan-Qin Feng,Jing-Ya Wang,Ke-Xin Zhu,Lu Wang,Jia-Mao Yan,Xiu-Xiu Li,Jun-Jie Wang,Wei Ge,Massimo De Felici,Wei Shen

Development (Cambridge, England) 149: PubMed36250451

2022

Modeling mammalian spermatogonial differentiation and meiotic initiation in vitro.

Applications

Unspecified application

Species

Unspecified reactive species

Oleksandr Kirsanov,Taylor Johnson,Taylor Malachowski,Bryan A Niedenberger,Emma A Gilbert,Debajit Bhowmick,P Hande Ozdinler,Douglas A Gray,Kelsey Fisher-Wellman,Brian P Hermann,Christopher B Geyer

PLoS genetics 18:e1010416 PubMed36129965

2022

The germ cell-specific RNA binding protein RBM46 is essential for spermatogonial differentiation in mice.

Applications

Unspecified application

Species

Unspecified reactive species

Natoya J Peart,Taylor A Johnson,Sungkyoung Lee,Matthew J Sears,Fang Yang,Mathieu Quesnel-Vallières,Huijuan Feng,Yocelyn Recinos,Yoseph Barash,Chaolin Zhang,Brian P Hermann,P Jeremy Wang,Christopher B Geyer,Russ P Carstens

Journal of veterinary science 23:e35 PubMed35363442

2022

Dimethyloxaloylglycine promotes spermatogenesis activity of spermatogonial stem cells in Bama minipigs.

Applications

Unspecified application

Species

Unspecified reactive species

Yaqi Cao,ZiFu Dai,Huizhen Lao,Huimin Zhao

Cell reports 37:109885 PubMed34706238

2021

Cdc42 activity in Sertoli cells is essential for maintenance of spermatogenesis.

Applications

Unspecified application

Species

Unspecified reactive species

Anna Heinrich,Bidur Bhandary,Sarah J Potter,Nancy Ratner,Tony DeFalco

Frontiers in endocrinology 12:584125 PubMed34707565

2021

Changes in Expressions of Spermatogenic Marker Genes and Spermatogenic Cell Population Caused by Stress.

Applications

Unspecified application

Species

Unspecified reactive species

Pengxiang Tian,Zhiming Zhao,Yanli Fan,Na Cui,Baojun Shi,Guimin Hao
View all publications

Product promise

We are committed to supporting your work with high-quality reagents, and we're here for you every step of the way. In the unlikely event that one of our products does not perform as expected, you're protected by our Product Promise.
For full details, please see our Terms & Conditions

Associated Products

Select an associated product type
Alternative Product
Primary Antibodies

AB217380

Anti-Stra8 antibody

primary-antibodies

stra8-antibody-ab217380

0

(0 reviews)

Alternative Product
Primary Antibodies

AB49405

Anti-Stra8 antibody

primary-antibodies

stra8-antibody-ab49405

4

(2 reviews)

Please note: All products are 'FOR RESEARCH USE ONLY. NOT FOR USE IN DIAGNOSTIC OR THERAPEUTIC PROCEDURES'.

For licensing inquiries, please contact partnerships@abcam.com