JavaScript is disabled in your browser. Please enable JavaScript to view this website.
AB307676

Anti-Strep-tag II antibody [EPR28119-43]

  • BOND RX™ Validated
  • Recombinant
  • Lab Essentials
  • 20ul selling size
  • RabMAb
  • What is this?

Be the first to review this product! Submit a review

|

(1 Publication)

Anti-Strep-tag II antibody [EPR28119-43] (ab307676) is a rabbit monoclonal antibody detecting Strep-tag II in Western Blot, Flow Cytometry (Intra), Flow Cytometry, IP, IHC-P, ICC/IF, ELISA.

- Biophysical QC for unrivalled batch-batch consistency

View Alternative Names

Strep-Tag II, Strep-Tag II antibody, Strep-Tag IIantiboy, anti-Strep-Tag II

9 Images
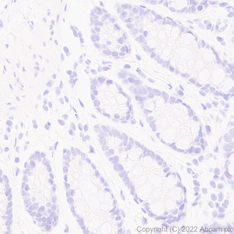
Immunohistochemistry (Formalin/PFA-fixed paraffin-embedded sections) - Anti-Strep-tag II antibody [EPR28119-43] (AB307676)
  • IHC-P

Supplier Data

Immunohistochemistry (Formalin/PFA-fixed paraffin-embedded sections) - Anti-Strep-tag II antibody [EPR28119-43] (AB307676)

Immunohistochemical analysis of paraffin-embedded Human colon tissue labeling Strep-tag II with ab307676 at 1/5000 (0.103 ug/ml) followed by a LeicaDS9800 (Bond™ Polymer Refine Detection) at Ready to use dilution. Negative control : No staining on human colon. The section was incubated with ab307676 for 30 mins at room temperature. The immunostaining was performed on a Leica Biosystems BOND® RX instrument. Counterstained with Hematoxylin. Secondary antibody only control : Secondary antibody is LeicaDS9800 (Bond™ Polymer Refine Detection) at Ready to use dilution. Heat mediated antigen retrieval was performed with Tris-EDTA buffer (pH 9.0, Epitope Retrieval Solution2) for 20 mins

Immunohistochemistry (Formalin/PFA-fixed paraffin-embedded sections) - Anti-Strep-tag II antibody [EPR28119-43] (AB307676)
  • IHC-P

Supplier Data

Immunohistochemistry (Formalin/PFA-fixed paraffin-embedded sections) - Anti-Strep-tag II antibody [EPR28119-43] (AB307676)

Immunohistochemical analysis of paraffin-embedded (A) HEK-293T (human tissue labeling Strep-tag II with ab307676 at 1/5000 (0.103 ug/ml) followed by a LeicaDS9800 (Bond™ Polymer Refine Detection) at Ready to use dilution. Positive staining on (A) HEK-293T cells transfected with a gfp-strep II (WSHPQFEK) expression vector containing a myc-tag. No staining on (B) HEK-293T cells transfected with empty vector containing a myc-tag. The section was incubated with ab307676 for 30 mins at room temperature. The immunostaining was performed on a Leica Biosystems BOND® RX instrument Counterstained with Hematoxylin. Secondary antibody only control : Secondary antibody is LeicaDS9800 (Bond™ Polymer Refine Detection) at Ready to use dilution. Heat mediated antigen retrieval was performed with Tris-EDTA buffer (pH 9.0, Epitope Retrieval Solution2) for 20 mins

Immunocytochemistry/ Immunofluorescence - Anti-Strep-tag II antibody [EPR28119-43] (AB307676)
  • ICC/IF

Supplier Data

Immunocytochemistry/ Immunofluorescence - Anti-Strep-tag II antibody [EPR28119-43] (AB307676)

Immunofluorescent analysis of 4% Paraformaldehyde-fixed, 0.1% TritonX-100 permeabilized HEK-293T (human embryonic kidney epithelial cell) cells labelling Strep-tag II with ab307676 at 1/100 (5.14 ug/ml) dilution, followed by ab150088 Goat Anti-Rabbit IgG H&L (Alexa Fluor® 594) preabsorbed (ab150088) antibody at 1/1000 2 ug/ml dilution (Green). Confocal image showing positive staining in HEK-293T cells transfected with a Strep-tag II expression vector containing a myc-tag. The image was taken with a confocal microscope (Leica-Microsystems, TCS SP8). is observed. Myc-Tag Mouse mAb (Alexa Fluor® 647) was used to counterstain tubulin at 1/100 0.38ug/ml dilution (Red). The Nuclear counterstain was DAPI (Blue). Secondary antibody only control : Secondary antibody is ab150088 Goat Anti-Rabbit IgG H&L (Alexa Fluor® 594) preabsorbed (ab150088) at 1/1000 2 ug/ml dilution.

Flow Cytometry (Intracellular) - Anti-Strep-tag II antibody [EPR28119-43] (AB307676)
  • Flow Cyt (Intra)

Supplier Data

Flow Cytometry (Intracellular) - Anti-Strep-tag II antibody [EPR28119-43] (AB307676)

Flow cytometric analysis of 4% paraformaldehyde fixed 90% methanol permeabilized HEK-293T (human embryonic kidney) cells transfected with a Strep-tag II expression vector containing a GFP tag cells labelling Strep-tag II with ab307676 at 1/5000 dilution (0.01ug)/ Right (Red) compared with a Rabbit monoclonal IgG (ab172730) / Left isotype control and an unlabeled control (cells without incubation with primary antibody and secondary antibody) (Blue). A Goat anti-Rabbit IgG (Alexa Fluor® 647, ab150083) at 1/2000 dilution was used as the secondary antibody.

Immunoprecipitation - Anti-Strep-tag II antibody [EPR28119-43] (AB307676)
  • IP

Supplier Data

Immunoprecipitation - Anti-Strep-tag II antibody [EPR28119-43] (AB307676)

Strep-tag II was immunoprecipitated from 0.35 mg 293T (human embryonic kidney epithelial cell) cells transfected with a Strep-tag II expression vector containing a GFP tag whole cell lysate 10 ug with ab307676 at 1/30 dilution (2ug in 0.35mg lysates). Western blot was performed on the immunoprecipitate using ab307676 at 1/1000 dilution. VeriBlot for IP secondary antibody (HRP) (ab131366) was used at 1/5000 dilution.

Lane 1 : 293T (human embryonic kidney epithelial cell) cells transfected with a Strep-tag II expression vector containing a GFP tag whole cell lysate 10 ug
Lane 2 : ab307676 IP in 293T cells transfected with a Strep-tag II expression vector containing a GFP tag whole cell lysate
Lane 3 : Rabbit monoclonal IgG (ab172730) instead of ab307676 in 293Tcells transfected with a Strep-tag II expression vector containing a GFP tag whole cell lysate

Blocking and dilution buffer and concentration : 5% NFDM/TBST.

Exposure time : 3 seconds

All lanes:

Immunoprecipitation - Anti-Strep-tag II antibody [EPR28119-43] (ab307676) at 1/1000 dilution

Secondary

All lanes:

Immunoprecipitation at 1/5000 dilution

Observed band size: 30 kDa

false

Exposure time: 3s

Immunohistochemistry (Formalin/PFA-fixed paraffin-embedded sections) - Anti-Strep-tag II antibody [EPR28119-43] (AB307676)
  • IHC-P

Supplier Data

Immunohistochemistry (Formalin/PFA-fixed paraffin-embedded sections) - Anti-Strep-tag II antibody [EPR28119-43] (AB307676)

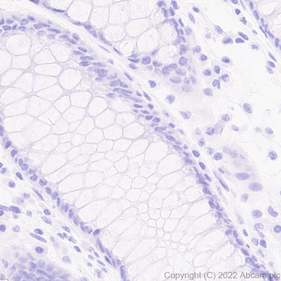
Immunohistochemical analysis of paraffin-embedded Rat colon tissue labeling Strep-tag II with ab307676 at 1/5000 (0.103 ug/ml) followed by a LeicaDS9800 (Bond™ Polymer Refine Detection) at Ready to use dilution. Negative control : No staining on rat colon. The section was incubated with ab307676 for 30 mins at room temperature .The immunostaining was performed on a Leica Biosystems BOND® RX instrument. Counterstained with Hematoxylin. Secondary antibody only control : Secondary antibody is LeicaDS9800 (Bond™ Polymer Refine Detection) at Ready to use dilution. Heat mediated antigen retrieval was performed with Tris-EDTA buffer (pH 9.0, Epitope Retrieval Solution2) for 20 mins

Immunohistochemistry (Formalin/PFA-fixed paraffin-embedded sections) - Anti-Strep-tag II antibody [EPR28119-43] (AB307676)
  • IHC-P

Supplier Data

Immunohistochemistry (Formalin/PFA-fixed paraffin-embedded sections) - Anti-Strep-tag II antibody [EPR28119-43] (AB307676)

Immunohistochemical analysis of paraffin-embedded Mouse colon tissue labeling Strep-tag II with ab307676 at 1/5000 (0.103 ug/ml) followed by a LeicaDS9800 (Bond™ Polymer Refine Detection) at Ready to use dilution. Negative control : No staining on mouse colon. The section was incubated with ab307676 for 30 mins at room temperature. The immunostaining was performed on a Leica Biosystems BOND® RX instrument Counterstained with Hematoxylin. Secondary antibody only control : Secondary antibody is LeicaDS9800 (Bond™ Polymer Refine Detection) at Ready to use dilution. Heat mediated antigen retrieval was performed with Tris-EDTA buffer (pH 9.0, Epitope Retrieval Solution2) for 20 mins

Western blot - Anti-Strep-tag II antibody [EPR28119-43] (AB307676)
  • WB

Supplier Data

Western blot - Anti-Strep-tag II antibody [EPR28119-43] (AB307676)

Buffer and diluting concentration : 5% NFDM/TBST In Western blot, anti-GAPDH antibody (ab181602) loading control staining at 1/200000 dilution. Primary dilution of 1/1000 and a secondary dilution, Goat Anti-Rabbit IgG, (H+L), Peroxidase conjugated (ab97051), of 1/100,000 Exposure time : 3 seconds

All lanes:

Western blot - Anti-Strep-tag II antibody [EPR28119-43] (ab307676) at 1/1000 dilution

Lane 1:

293T cells transfected with a human Strep-tag II expression vector containing a GFP tag whole cell lysate at 20 µg

Lane 2:

293T cells transfected with an empty vector containing a GFP tag whole cell lysate at 20 µg

Secondary

All lanes:

Western blot at 1/100000 dilution

Observed band size: 30 kDa

false

Exposure time: 3s

Western blot - Anti-Strep-tag II antibody [EPR28119-43] (AB307676)
  • WB

Supplier Data

Western blot - Anti-Strep-tag II antibody [EPR28119-43] (AB307676)

Buffer and diluting concentration : 5% NFDM/TBST Primary dilution of 1/1000 and a secondary dilution, Goat Anti-Rabbit IgG, (H+L), Peroxidase conjugated (ab97051), of 1/100,000 Exposure time : 1 second

Lane 1:

Western blot - Anti-Strep-tag II antibody [EPR28119-43] (ab307676) at 1/1000 dilution

Lane 1:

Western blot - Anti-Strep-tag II antibody [EPR28119-43] - BSA and Azide free (<a href='/en-us/products/primary-antibodies/strep-tag-ii-antibody-epr28119-43-bsa-and-azide-free-ab307677'>ab307677</a>)

All lanes:

Strep-tagged standard marker (mixture of Strep-tagged recombinant proteins,10-250 kDa)

Secondary

All lanes:

Western blot at 1/100000 dilution

Observed band size: 10 kDa,15 kDa,20 kDa,25 kDa,37 kDa,50 kDa,75 kDa,100 kDa,150 kDa,250 kDa

false

Exposure time: 1s

  • Carrier free

    Anti-Strep-tag II antibody [EPR28119-43] - BSA and Azide free

  • HRP

    HRP Anti-Strep-tag II antibody [EPR28119-43]

Key facts

Host species

Rabbit

Clonality

Monoclonal

Clone number

EPR28119-43

Isotype

IgG

Carrier free

No

Applications

WB, ELISA, IHC-P, Flow Cyt (Intra), ICC/IF, IP

applications

Immunogen

The exact immunogen used to generate this antibody is proprietary information.

Reactivity data

{ "title": "Reactivity Data", "filters": { "stats": ["", "Species", "Dilution Info", "Notes"], "tabs": { "all-applications": {"fullname" : "All Applications", "shortname": "All Applications"}, "WB" : {"fullname" : "Western blot", "shortname":"WB"}, "IHCP" : {"fullname" : "Immunohistochemistry (Formalin/PFA-fixed paraffin-embedded sections)", "shortname":"IHC-P"}, "ICCIF" : {"fullname" : "Immunocytochemistry/ Immunofluorescence", "shortname":"ICC/IF"}, "FlowCytIntra" : {"fullname" : "Flow Cytometry (Intracellular)", "shortname":"Flow Cyt (Intra)"}, "IP" : {"fullname" : "Immunoprecipitation", "shortname":"IP"}, "ELISA" : {"fullname" : "ELISA", "shortname":"ELISA"} }, "product-promise": { "all": "all", "testedAndGuaranteed": "tested", "guaranteed": "expected", "predicted": "predicted", "notRecommended": "not-recommended" } }, "values": { "Tag": { "WB-species-checked": "testedAndGuaranteed", "WB-species-dilution-info": "1/1000", "WB-species-notes": "<p></p>", "IHCP-species-checked": "testedAndGuaranteed", "IHCP-species-dilution-info": "1/5000", "IHCP-species-notes": "<p></p> Perform heat-mediated antigen retrieval with Tris/EDTA buffer pH 9.0 before commencing with IHC staining protocol.", "ICCIF-species-checked": "testedAndGuaranteed", "ICCIF-species-dilution-info": "1/100", "ICCIF-species-notes": "<p></p>", "FlowCytIntra-species-checked": "testedAndGuaranteed", "FlowCytIntra-species-dilution-info": "1/5000", "FlowCytIntra-species-notes": "<p></p>", "IP-species-checked": "testedAndGuaranteed", "IP-species-dilution-info": "1/30", "IP-species-notes": "<p></p>", "ELISA-species-checked": "guaranteed", "ELISA-species-dilution-info": "0.125 µg/mL", "ELISA-species-notes": "<p></p>" } } }

Product details

What is this antibody validated in?
Anti-Strep-tag II antibody [EPR28119-43] (ab307676) is a rabbit recombinant monoclonal antibody and is validated for use in Western Blot (WB), Flow Cytometry (Intra), Flow Cytometry (Flow Cyt), Immunoprecipitation (IP), Immunohistochemistry (IHC-P), Immunocytochemistry/immunofluorescence (ICC/IF), ELISA. Tagged protein detection
Strep-tag II antibodies are used to visualize proteins labelled with this tag in a variety of applications.

Trial sizes available!
Test your antibody or perform pre-screening before committing to a larger quantity. Sold in 10µl. Discover our selection of trial-size antibodies.

Other related products
We have a range of other formats of antibody clone [EPR28119-43] also available for your convenience: ab307676, Carrier free - ab307677

Patented technology
Our RabMAb® technology is a patented hybridoma-based technology for making rabbit monoclonal antibodies. For details on our patents, please refer to RabMAb® patents.

What are the advantages of a recombinant monoclonal antibody?
This product is a recombinant monoclonal antibody, which offers several advantages including:

  • - High batch-to-batch consistency and reproducibility
  • - Improved sensitivity and specificity
  • - Long-term security of supply
  • - Animal-free batch production

For more information, read more on recombinant antibodies.

Properties and storage information

Form
Liquid
Purification technique
Affinity purification Protein A
Storage buffer
pH: 7.2 - 7.4 Preservative: 0.01% Sodium azide Constituents: PBS, 40% Glycerol (glycerin, glycerine), 0.05% BSA
Shipped at conditions
Blue Ice
Appropriate short-term storage duration
1-2 weeks
Appropriate short-term storage conditions
+4°C
Appropriate long-term storage conditions
-20°C
Aliquoting information
Upon delivery aliquot
Storage information
Avoid freeze / thaw cycle

Product protocols

For this product, it's our understanding that no specific protocols are required. You can visit:

Publications (1)

Recent publications for all applications. Explore the full list and refine your search

Virology journal 22:275 PubMed40790492

2025

Immunogenicity of differentially glycosylated Marburg virus glycoproteins expressed in mammalian and insect cells.

Applications

Unspecified application

Species

Unspecified reactive species

Jie Li,Shaoyan Wang,Yue Cui,Liyuan Song,Zhenwei Song,Ping Huang,Xiangyang Chi,Ting Fang,Yunzhu Dong,Ruihua Li,Pengfei Fan,Yaoxing Wang,Lei Bi,Jianmin Li,Guanying Zhang,Changming Yu
View all publications

Product promise

We are committed to supporting your work with high-quality reagents, and we're here for you every step of the way. In the unlikely event that one of our products does not perform as expected, you're protected by our Product Promise.
For full details, please see our Terms & Conditions

Please note: All products are 'FOR RESEARCH USE ONLY. NOT FOR USE IN DIAGNOSTIC OR THERAPEUTIC PROCEDURES'.

For licensing inquiries, please contact partnerships@abcam.com