JavaScript is disabled in your browser. Please enable JavaScript to view this website.
AB319103

Anti-Streptavidin antibody [EPR28602-42]

  • BOND RX™ Validated
  • 20ul selling size
  • Recombinant
  • RabMAb
  • What is this?

Be the first to review this product! Submit a review

|

(0 Publication)

Rabbit Recombinant Monoclonal Streptavidin antibody. Suitable for WB, IHC-P, ICC/IF, Flow Cyt, Flow Cyt (Intra), I-ELISA and reacts with Transfected cell lysate - Streptomyces avidinii, Recombinant full length protein - Streptomyces avidinii, Transfected cell line - Streptomyces avidinii samples.

View Alternative Names

Streptavidin

9 Images
Flow Cytometry (Intracellular) - Anti-Streptavidin antibody [EPR28602-42] (AB319103)
  • Flow Cyt (Intra)

Supplier Data

Flow Cytometry (Intracellular) - Anti-Streptavidin antibody [EPR28602-42] (AB319103)

Flow cytometric analysis of 4% paraformaldehyde fixed 90% methanol permeabilized Isotype (Left) / 293T (human embryonic kidney epithelial cell) transfected with a Streptavidin expression vector containing a myc-His-tag® (Middle) / 293T transfected with an empty expression vector containing a myc-His-tag® (Right) cells labelling Streptavidin with ab319103 at 1/5000 dilution (0.1ug) / Middle and right compared with a Rabbit monoclonal IgG (ab172730) / Left isotype control and an unlabelled control (cells without incubation with primary antibody and secondary antibody).

Goat Anti-Rabbit IgG (Alexa Fluor® 488, ab150081) at 1/5000 dilution was used as the secondary antibody.

Cells were co-stained with anti myc tag conjugated to Alexa Fluor®647.

Flow Cytometry - Anti-Streptavidin antibody [EPR28602-42] (AB319103)
  • Flow Cyt

Supplier Data

Flow Cytometry - Anti-Streptavidin antibody [EPR28602-42] (AB319103)

Flow cytometric analysis of Human PBMC (human peripheral blood mononuclear cell) cells labelling Streptavidin with ab319103 at 1/500 dilution (0.1ug) / Right compared with a Rabbit monoclonal IgG (ab172730) / Left isotype control and an unlabelled control (cells without incubation with primary antibody and secondary antibody).

Goat Anti-Rabbit IgG (Alexa Fluor® 488, ab150081) at 1/5000 dilution was used as the secondary antibody.

Gated on viable cells.
Cells were co-stained with biotin-anti human CD4 and streptavidin conjugated to PE.

Immunohistochemistry (Formalin/PFA-fixed paraffin-embedded sections) - Anti-Streptavidin antibody [EPR28602-42] (AB319103)
  • IHC-P

Supplier Data

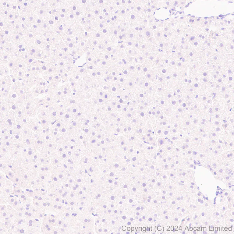
Immunohistochemistry (Formalin/PFA-fixed paraffin-embedded sections) - Anti-Streptavidin antibody [EPR28602-42] (AB319103)

Immunohistochemical analysis of paraffin-embedded Human liver tissue labeling Streptavidin with ab319103 at 1/100 (5.04 ug/ml) dilution, followed by a ready to use LeicaDS9800 (Bond™ Polymer Refine Detection).

Negative control : no staining on human liver.
The section was incubated with ab319103 for 30 mins at room temperature.
The immunostaining was performed on a Leica Biosystems Bond™ RX instrument

Counterstained with Hematoxylin.

Secondary antibody only control : Secondary antibody is a ready to use LeicaDS9800 (Bond™ Polymer Refine Detection).

Heat mediated antigen retrieval was performed with Tris-EDTA buffer (pH 9.0, Epitope Retrieval Solution2) for 20 mins

Immunohistochemistry (Formalin/PFA-fixed paraffin-embedded sections) - Anti-Streptavidin antibody [EPR28602-42] (AB319103)
  • IHC-P

Supplier Data

Immunohistochemistry (Formalin/PFA-fixed paraffin-embedded sections) - Anti-Streptavidin antibody [EPR28602-42] (AB319103)

Immunohistochemical analysis of paraffin-embedded (A) HEK-293T (human embryonic kidney epithelial cell) transfected with a Streptavidin expression vector containing a his tag. (B) HEK-293T transfected with empty vector containing a his tag tissue labeling Streptavidin with ab319103 at 1/100 (5.04 ug/ml) dilution, followed by a ready to use LeicaDS9800 (Bond™ Polymer Refine Detection).

Positive staining on (A) HEK-293T transfected with a Streptavidin expression vector containing a his tag. No staining on (B) HEK-293T transfected with empty vector containing a his tag.
The section was incubated with ab319103 for 30 mins at room temperature.
The immunostaining was performed on a Leica Biosystems Bond™ RX instrument

Counterstained with Hematoxylin.

Secondary antibody only control : Secondary antibody is a ready to use LeicaDS9800 (Bond™ Polymer Refine Detection).

Heat mediated antigen retrieval was performed with Tris-EDTA buffer (pH 9.0, Epitope Retrieval Solution2) for 20 mins

Immunocytochemistry/ Immunofluorescence - Anti-Streptavidin antibody [EPR28602-42] (AB319103)
  • ICC/IF

Supplier Data

Immunocytochemistry/ Immunofluorescence - Anti-Streptavidin antibody [EPR28602-42] (AB319103)

Immunofluorescent analysis of 4% Paraformaldehyde-fixed, 0.1% TritonX-100 permeabilized 293T (human embryonic kidney epithelial cell) cells labelling Streptavidin with ab319103 at 1/4000 (0.126 ug/ml) dilution, followed by ab150081 Goat Anti-Rabbit IgG H&L (Alexa Fluor® 488) preadsorbed antibody at 1/1000 dilution (Green).

Confocal image showing positive staining in 293T cells transfected with a Streptavidin expression vector containing a myc-His-tag®(shown in green). The counterstain was observed in magenta. Nuclear DNA was labeled with DAPI (shown in blue).
Image was taken with a confocal microscope (Leica-Microsystems, TCS SP8).

Myc-Tag Mouse mAb (Alexa Fluor® 647) was used to counterstain tubulin at 1/100 dilution (Magenta). The Nuclear counterstain was DAPI (Blue).

Secondary antibody only control : Secondary antibody is ab150081 Goat Anti-Rabbit IgG H&L (Alexa Fluor® 488) preadsorbed at 1/1000 dilution.

Secondary antibody only control : Secondary antibody is ab150081 Goat Anti-Rabbit IgG H&L (Alexa Fluor® 488) preadsorbed at 1/1000 dilution.

Immunohistochemistry (Formalin/PFA-fixed paraffin-embedded sections) - Anti-Streptavidin antibody [EPR28602-42] (AB319103)
  • IHC-P

Supplier Data

Immunohistochemistry (Formalin/PFA-fixed paraffin-embedded sections) - Anti-Streptavidin antibody [EPR28602-42] (AB319103)

Immunohistochemical analysis of paraffin-embedded Rat liver tissue labeling Streptavidin with ab319103 at 1/100 (5.04 ug/ml) dilution, followed by a ready to use LeicaDS9800 (Bond™ Polymer Refine Detection).

Negative control : no staining on rat liver.
The section was incubated with ab319103 for 30 mins at room temperature.
The immunostaining was performed on a Leica Biosystems Bond™ RX instrument

Counterstained with Hematoxylin.

Secondary antibody only control : Secondary antibody is a ready to use LeicaDS9800 (Bond™ Polymer Refine Detection).

Heat mediated antigen retrieval was performed with Tris-EDTA buffer (pH 9.0, Epitope Retrieval Solution2) for 20 mins

Immunohistochemistry (Formalin/PFA-fixed paraffin-embedded sections) - Anti-Streptavidin antibody [EPR28602-42] (AB319103)
  • IHC-P

Supplier Data

Immunohistochemistry (Formalin/PFA-fixed paraffin-embedded sections) - Anti-Streptavidin antibody [EPR28602-42] (AB319103)

Immunohistochemical analysis of paraffin-embedded Mouse liver tissue labeling Streptavidin with ab319103 at 1/100 (5.04 ug/ml) dilution, followed by a ready to use LeicaDS9800 (Bond™ Polymer Refine Detection).

Negative control : no staining on mouse liver.
The section was incubated with ab319103 for 30 mins at room temperature.
The immunostaining was performed on a Leica Biosystems Bond™ RX instrument

Counterstained with Hematoxylin.

Secondary antibody only control : Secondary antibody is a ready to use LeicaDS9800 (Bond™ Polymer Refine Detection).

Heat mediated antigen retrieval was performed with Tris-EDTA buffer (pH 9.0, Epitope Retrieval Solution2) for 20 mins

Indirect ELISA - Anti-Streptavidin antibody [EPR28602-42] (AB319103)
  • I-ELISA

Supplier Data

Indirect ELISA - Anti-Streptavidin antibody [EPR28602-42] (AB319103)

Indirect ELISA analysis of ab319103 at 1000-0 ng/ml. The Secondary antibody used was Alkaline Phosphatase-conjugated AffiniPure Goat Anti-Rabbit IgG (H+L) at 1 : 2500 dilution.

Antigen : Streptavidin.

Antigen concentration : 1000 ng/ml

Western blot - Anti-Streptavidin antibody [EPR28602-42] (AB319103)
  • WB

Supplier Data

Western blot - Anti-Streptavidin antibody [EPR28602-42] (AB319103)

Blocking and diluting buffer and concentration : 5% NFDM/TBST.

In Western blot, Anti-GAPDH antibody [EPR16891] - Loading Control (ab181602) staining at 1/200000 dilution.

In Western blot, Anti-6X His tag® antibody [EPR20547] - ChIP Grade (ab213204) staining at 1/5000 dilution.

All lanes:

Western blot - Anti-Streptavidin antibody [EPR28602-42] (ab319103) at 1/1000 dilution

Lane 1:

293T (human embryonic kidney epithelial cell) transfected with an empty expression vector containing a myc-His-tag®, whole cell lysate at 20 µg

Lane 2:

293T transfected with a Streptavidin expression vector containing a myc-His-tag®, whole cell lysate at 20 µg

Secondary

All lanes:

Western blot - Goat Anti-Rabbit IgG H&L (HRP) (<a href='/en-us/products/secondary-antibodies/goat-rabbit-igg-h-l-hrp-ab97051'>ab97051</a>) at 1/20000 dilution

Observed band size: 21 kDa,36 kDa

false

Exposure time: 180s

  • Carrier free

    Anti-Streptavidin antibody [EPR28602-42] - BSA and Azide free

Key facts

Host species

Rabbit

Clonality

Monoclonal

Clone number

EPR28602-42

Isotype

IgG

Carrier free

No

Applications

IHC-P, I-ELISA, ICC/IF, Flow Cyt, WB, Flow Cyt (Intra)

applications

Immunogen

The exact immunogen used to generate this antibody is proprietary information.

Reactivity data

{ "title": "Reactivity Data", "filters": { "stats": ["", "Species", "Dilution Info", "Notes"], "tabs": { "all-applications": {"fullname" : "All Applications", "shortname": "All Applications"}, "WB" : {"fullname" : "Western blot", "shortname":"WB"}, "IHCP" : {"fullname" : "Immunohistochemistry (Formalin/PFA-fixed paraffin-embedded sections)", "shortname":"IHC-P"}, "ICCIF" : {"fullname" : "Immunocytochemistry/ Immunofluorescence", "shortname":"ICC/IF"}, "FlowCyt" : {"fullname" : "Flow Cytometry", "shortname":"Flow Cyt"}, "FlowCytIntra" : {"fullname" : "Flow Cytometry (Intracellular)", "shortname":"Flow Cyt (Intra)"}, "IELISA" : {"fullname" : "Indirect ELISA", "shortname":"I-ELISA"} }, "product-promise": { "all": "all", "testedAndGuaranteed": "tested", "guaranteed": "expected", "predicted": "predicted", "notRecommended": "not-recommended" } }, "values": { "Recombinant full length protein - Streptomyces avidinii": { "WB-species-checked": "guaranteed", "WB-species-dilution-info": "", "WB-species-notes": "<p></p>", "IHCP-species-checked": "notRecommended", "IHCP-species-dilution-info": "", "IHCP-species-notes": "", "ICCIF-species-checked": "notRecommended", "ICCIF-species-dilution-info": "", "ICCIF-species-notes": "", "FlowCyt-species-checked": "notRecommended", "FlowCyt-species-dilution-info": "", "FlowCyt-species-notes": "", "FlowCytIntra-species-checked": "notRecommended", "FlowCytIntra-species-dilution-info": "", "FlowCytIntra-species-notes": "", "IELISA-species-checked": "testedAndGuaranteed", "IELISA-species-dilution-info": "1000 ng/mL", "IELISA-species-notes": "<p></p>" }, "Transfected cell line - Streptomyces avidinii": { "WB-species-checked": "notRecommended", "WB-species-dilution-info": "", "WB-species-notes": "", "IHCP-species-checked": "testedAndGuaranteed", "IHCP-species-dilution-info": "1/100", "IHCP-species-notes": "<p></p>", "ICCIF-species-checked": "testedAndGuaranteed", "ICCIF-species-dilution-info": "1/4000", "ICCIF-species-notes": "<p></p>", "FlowCyt-species-checked": "testedAndGuaranteed", "FlowCyt-species-dilution-info": "1/500", "FlowCyt-species-notes": "<p></p>", "FlowCytIntra-species-checked": "testedAndGuaranteed", "FlowCytIntra-species-dilution-info": "1/5000", "FlowCytIntra-species-notes": "<p></p>", "IELISA-species-checked": "notRecommended", "IELISA-species-dilution-info": "", "IELISA-species-notes": "" }, "Transfected cell lysate - Streptomyces avidinii": { "WB-species-checked": "testedAndGuaranteed", "WB-species-dilution-info": "1/1000", "WB-species-notes": "<p></p>", "IHCP-species-checked": "notRecommended", "IHCP-species-dilution-info": "", "IHCP-species-notes": "", "ICCIF-species-checked": "notRecommended", "ICCIF-species-dilution-info": "", "ICCIF-species-notes": "", "FlowCyt-species-checked": "notRecommended", "FlowCyt-species-dilution-info": "", "FlowCyt-species-notes": "", "FlowCytIntra-species-checked": "notRecommended", "FlowCytIntra-species-dilution-info": "", "FlowCytIntra-species-notes": "", "IELISA-species-checked": "notRecommended", "IELISA-species-dilution-info": "", "IELISA-species-notes": "" } } }

Product details

Patented technology
Our RabMAb® technology is a patented hybridoma-based technology for making rabbit monoclonal antibodies. For details on our patents, please refer to RabMAb® patents.

What are the advantages of a recombinant monoclonal antibody?
This product is a recombinant monoclonal antibody, which offers several advantages including:

  • - High batch-to-batch consistency and reproducibility
  • - Improved sensitivity and specificity
  • - Long-term security of supply
  • - Animal-free batch production

For more information, read more on recombinant antibodies.

Properties and storage information

Form
Liquid
Purification technique
Affinity purification Protein A
Storage buffer
pH: 7.2 - 7.4 Preservative: 0.01% Sodium azide Constituents: PBS, 40% Glycerol (glycerin, glycerine), 0.05% BSA
Shipped at conditions
Blue Ice
Appropriate short-term storage duration
1-2 weeks
Appropriate short-term storage conditions
+4°C
Appropriate long-term storage conditions
-20°C
Aliquoting information
Upon delivery aliquot
Storage information
Avoid freeze / thaw cycle

Product protocols

For this product, it's our understanding that no specific protocols are required. You can visit:

Target data

The biological function of streptavidin is not known. Forms a strong non-covalent specific complex with biotin (one molecule of biotin per subunit of streptavidin).
See full target information Streptavidin

Product promise

We are committed to supporting your work with high-quality reagents, and we're here for you every step of the way. In the unlikely event that one of our products does not perform as expected, you're protected by our Product Promise.
For full details, please see our Terms & Conditions

Please note: All products are 'FOR RESEARCH USE ONLY. NOT FOR USE IN DIAGNOSTIC OR THERAPEUTIC PROCEDURES'.

For licensing inquiries, please contact partnerships@abcam.com