JavaScript is disabled in your browser. Please enable JavaScript to view this website.
AB319104

Anti-Streptavidin antibody [EPR28602-42] - BSA and Azide free

Be the first to review this product! Submit a review

|

(0 Publication)

Rabbit Recombinant Monoclonal Streptavidin antibody. Carrier free. Suitable for WB, ICC/IF, IHC-P, Flow Cyt, Flow Cyt (Intra), I-ELISA and reacts with Transfected cell lysate - Streptomyces avidinii, Recombinant full length protein - Streptomyces avidinii, Transfected cell line - Streptomyces avidinii samples.

View Alternative Names

Streptavidin

9 Images
Flow Cytometry (Intracellular) - Anti-Streptavidin antibody [EPR28602-42] - BSA and Azide free (AB319104)
  • Flow Cyt (Intra)

Supplier Data

Flow Cytometry (Intracellular) - Anti-Streptavidin antibody [EPR28602-42] - BSA and Azide free (AB319104)

This data was developed using ab319103, the same antibody clone in a different buffer formulation.

Flow cytometric analysis of 4% paraformaldehyde fixed 90% methanol permeabilized Isotype (Left) / 293T (human embryonic kidney epithelial cell) transfected with a Streptavidin expression vector containing a myc-His-tag® (Middle) / 293T transfected with an empty expression vector containing a myc-His-tag® (Right) cells labelling Streptavidin with ab319103 at 1/5000 dilution (0.1ug) / Middle and right compared with a Rabbit monoclonal IgG (ab172730) / Left isotype control and an unlabelled control (cells without incubation with primary antibody and secondary antibody).

Goat Anti-Rabbit IgG (Alexa Fluor® 488, ab150081) at 1/5000 dilution was used as the secondary antibody.

Cells were co-stained with anti myc tag conjugated to Alexa Fluor®647.

Flow Cytometry - Anti-Streptavidin antibody [EPR28602-42] - BSA and Azide free (AB319104)
  • Flow Cyt

Supplier Data

Flow Cytometry - Anti-Streptavidin antibody [EPR28602-42] - BSA and Azide free (AB319104)

This data was developed using ab319103, the same antibody clone in a different buffer formulation.

Flow cytometric analysis of Human PBMC (human peripheral blood mononuclear cell) cells labelling Streptavidin with ab319103 at 1/500 dilution (0.1ug) / Right compared with a Rabbit monoclonal IgG (ab172730) / Left isotype control and an unlabelled control (cells without incubation with primary antibody and secondary antibody).

Goat Anti-Rabbit IgG (Alexa Fluor® 488, ab150081) at 1/5000 dilution was used as the secondary antibody.

Gated on viable cells.
Cells were co-stained with biotin-anti human CD4 and streptavidin conjugated to PE.

Immunohistochemistry (Formalin/PFA-fixed paraffin-embedded sections) - Anti-Streptavidin antibody [EPR28602-42] - BSA and Azide free (AB319104)
  • IHC-P

Supplier Data

Immunohistochemistry (Formalin/PFA-fixed paraffin-embedded sections) - Anti-Streptavidin antibody [EPR28602-42] - BSA and Azide free (AB319104)

This data was developed using ab319103, the same antibody clone in a different buffer formulation.

Immunohistochemical analysis of paraffin-embedded Human liver tissue labeling Streptavidin with ab319103 at 1/100 (5.04 ug/ml) dilution, followed by a ready to use LeicaDS9800 (Bond™ Polymer Refine Detection).

Negative control : no staining on human liver.
The section was incubated with ab319103 for 30 mins at room temperature.
The immunostaining was performed on a Leica Biosystems Bond™ RX instrument

Counterstained with Hematoxylin.

Secondary antibody only control : Secondary antibody is a ready to use LeicaDS9800 (Bond™ Polymer Refine Detection).

Heat mediated antigen retrieval was performed with Tris-EDTA buffer (pH 9.0, Epitope Retrieval Solution2) for 20 mins

Immunohistochemistry (Formalin/PFA-fixed paraffin-embedded sections) - Anti-Streptavidin antibody [EPR28602-42] - BSA and Azide free (AB319104)
  • IHC-P

Supplier Data

Immunohistochemistry (Formalin/PFA-fixed paraffin-embedded sections) - Anti-Streptavidin antibody [EPR28602-42] - BSA and Azide free (AB319104)

This data was developed using ab319103, the same antibody clone in a different buffer formulation.

Immunohistochemical analysis of paraffin-embedded (A) HEK-293T (human embryonic kidney epithelial cell) transfected with a Streptavidin expression vector containing a his tag. (B) HEK-293T transfected with empty vector containing a his tag tissue labeling Streptavidin with ab319103 at 1/100 (5.04 ug/ml) dilution, followed by a ready to use LeicaDS9800 (Bond™ Polymer Refine Detection).

Positive staining on (A) HEK-293T transfected with a Streptavidin expression vector containing a his tag. No staining on (B) HEK-293T transfected with empty vector containing a his tag.
The section was incubated with ab319103 for 30 mins at room temperature.
The immunostaining was performed on a Leica Biosystems Bond™ RX instrument

Counterstained with Hematoxylin.

Secondary antibody only control : Secondary antibody is a ready to use LeicaDS9800 (Bond™ Polymer Refine Detection).

Heat mediated antigen retrieval was performed with Tris-EDTA buffer (pH 9.0, Epitope Retrieval Solution2) for 20 mins

Immunocytochemistry/ Immunofluorescence - Anti-Streptavidin antibody [EPR28602-42] - BSA and Azide free (AB319104)
  • ICC/IF

Supplier Data

Immunocytochemistry/ Immunofluorescence - Anti-Streptavidin antibody [EPR28602-42] - BSA and Azide free (AB319104)
Immunohistochemistry (Formalin/PFA-fixed paraffin-embedded sections) - Anti-Streptavidin antibody [EPR28602-42] - BSA and Azide free (AB319104)
  • IHC-P

Supplier Data

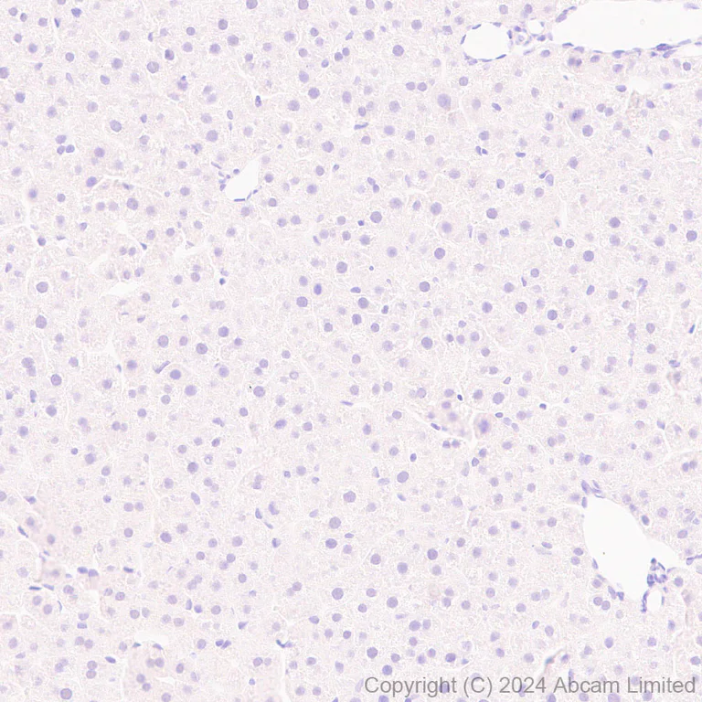
Immunohistochemistry (Formalin/PFA-fixed paraffin-embedded sections) - Anti-Streptavidin antibody [EPR28602-42] - BSA and Azide free (AB319104)

This data was developed using ab319103, the same antibody clone in a different buffer formulation.

Immunohistochemical analysis of paraffin-embedded Rat liver tissue labeling Streptavidin with ab319103 at 1/100 (5.04 ug/ml) dilution, followed by a ready to use LeicaDS9800 (Bond™ Polymer Refine Detection).

Negative control : no staining on rat liver.
The section was incubated with ab319103 for 30 mins at room temperature.
The immunostaining was performed on a Leica Biosystems Bond™ RX instrument

Counterstained with Hematoxylin.

Secondary antibody only control : Secondary antibody is a ready to use LeicaDS9800 (Bond™ Polymer Refine Detection).

Heat mediated antigen retrieval was performed with Tris-EDTA buffer (pH 9.0, Epitope Retrieval Solution2) for 20 mins

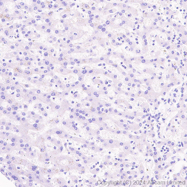
Immunohistochemistry (Formalin/PFA-fixed paraffin-embedded sections) - Anti-Streptavidin antibody [EPR28602-42] - BSA and Azide free (AB319104)
  • IHC-P

Supplier Data

Immunohistochemistry (Formalin/PFA-fixed paraffin-embedded sections) - Anti-Streptavidin antibody [EPR28602-42] - BSA and Azide free (AB319104)

This data was developed using ab319103, the same antibody clone in a different buffer formulation.

Immunohistochemical analysis of paraffin-embedded Mouse liver tissue labeling Streptavidin with ab319103 at 1/100 (5.04 ug/ml) dilution, followed by a ready to use LeicaDS9800 (Bond™ Polymer Refine Detection).

Negative control : no staining on mouse liver.
The section was incubated with ab319103 for 30 mins at room temperature.
The immunostaining was performed on a Leica Biosystems Bond™ RX instrument

Counterstained with Hematoxylin.

Secondary antibody only control : Secondary antibody is a ready to use LeicaDS9800 (Bond™ Polymer Refine Detection).

Heat mediated antigen retrieval was performed with Tris-EDTA buffer (pH 9.0, Epitope Retrieval Solution2) for 20 mins

Indirect ELISA - Anti-Streptavidin antibody [EPR28602-42] - BSA and Azide free (AB319104)
  • I-ELISA

Supplier Data

Indirect ELISA - Anti-Streptavidin antibody [EPR28602-42] - BSA and Azide free (AB319104)

This data was developed using ab319103, the same antibody clone in a different buffer formulation.

Indirect ELISA analysis of ab319103 at 1000-0 ng/ml. The Secondary antibody used was Alkaline Phosphatase-conjugated AffiniPure Goat Anti-Rabbit IgG (H+L) at 1 : 2500 dilution.

Antigen : Streptavidin.

Antigen concentration : 1000 ng/ml

Western blot - Anti-Streptavidin antibody [EPR28602-42] - BSA and Azide free (AB319104)
  • WB

Supplier Data

Western blot - Anti-Streptavidin antibody [EPR28602-42] - BSA and Azide free (AB319104)

This data was developed using ab319103, the same antibody clone in a different buffer formulation.

Blocking and diluting buffer and concentration : 5% NFDM/TBST.

In Western blot, Anti-GAPDH antibody [EPR16891] - Loading Control (ab181602) staining at 1/200000 dilution.

In Western blot, Anti-6X His tag® antibody [EPR20547] - ChIP Grade (ab213204) staining at 1/5000 dilution.

All lanes:

Western blot - Anti-Streptavidin antibody [EPR28602-42] (<a href='/en-us/products/primary-antibodies/streptavidin-antibody-epr28602-42-ab319103'>ab319103</a>) at 1/1000 dilution

Lane 1:

293T (human embryonic kidney epithelial cell) transfected with an empty expression vector containing a myc-His-tag®, whole cell lysate at 20 µg

Lane 2:

293T transfected with a Streptavidin expression vector containing a myc-His-tag®, whole cell lysate at 20 µg

Secondary

All lanes:

Western blot - Goat Anti-Rabbit IgG H&L (HRP) (<a href='/en-us/products/secondary-antibodies/goat-rabbit-igg-h-l-hrp-ab97051'>ab97051</a>) at 1/20000 dilution

Observed band size: 21 kDa,36 kDa

false

Exposure time: 180s

Key facts

Host species

Rabbit

Clonality

Monoclonal

Clone number

EPR28602-42

Isotype

IgG

Carrier free

Yes

Applications

IHC-P, ICC/IF, Flow Cyt (Intra), WB, I-ELISA, Flow Cyt

applications

Immunogen

The exact immunogen used to generate this antibody is proprietary information.

Reactivity data

{ "title": "Reactivity Data", "filters": { "stats": ["", "Species", "Dilution Info", "Notes"], "tabs": { "all-applications": {"fullname" : "All Applications", "shortname": "All Applications"}, "WB" : {"fullname" : "Western blot", "shortname":"WB"}, "ICCIF" : {"fullname" : "Immunocytochemistry/ Immunofluorescence", "shortname":"ICC/IF"}, "IHCP" : {"fullname" : "Immunohistochemistry (Formalin/PFA-fixed paraffin-embedded sections)", "shortname":"IHC-P"}, "FlowCyt" : {"fullname" : "Flow Cytometry", "shortname":"Flow Cyt"}, "FlowCytIntra" : {"fullname" : "Flow Cytometry (Intracellular)", "shortname":"Flow Cyt (Intra)"}, "IELISA" : {"fullname" : "Indirect ELISA", "shortname":"I-ELISA"} }, "product-promise": { "all": "all", "testedAndGuaranteed": "tested", "guaranteed": "expected", "predicted": "predicted", "notRecommended": "not-recommended" } }, "values": { "Recombinant full length protein - Streptomyces avidinii": { "WB-species-checked": "guaranteed", "WB-species-dilution-info": "", "WB-species-notes": "<p></p>", "ICCIF-species-checked": "notRecommended", "ICCIF-species-dilution-info": "", "ICCIF-species-notes": "", "IHCP-species-checked": "notRecommended", "IHCP-species-dilution-info": "", "IHCP-species-notes": "", "FlowCyt-species-checked": "notRecommended", "FlowCyt-species-dilution-info": "", "FlowCyt-species-notes": "", "FlowCytIntra-species-checked": "notRecommended", "FlowCytIntra-species-dilution-info": "", "FlowCytIntra-species-notes": "", "IELISA-species-checked": "testedAndGuaranteed", "IELISA-species-dilution-info": "", "IELISA-species-notes": "<p></p>" }, "Transfected cell line - Streptomyces avidinii": { "WB-species-checked": "notRecommended", "WB-species-dilution-info": "", "WB-species-notes": "", "ICCIF-species-checked": "testedAndGuaranteed", "ICCIF-species-dilution-info": "", "ICCIF-species-notes": "<p></p>", "IHCP-species-checked": "testedAndGuaranteed", "IHCP-species-dilution-info": "", "IHCP-species-notes": "<p></p>", "FlowCyt-species-checked": "testedAndGuaranteed", "FlowCyt-species-dilution-info": "", "FlowCyt-species-notes": "<p></p>", "FlowCytIntra-species-checked": "testedAndGuaranteed", "FlowCytIntra-species-dilution-info": "", "FlowCytIntra-species-notes": "<p></p>", "IELISA-species-checked": "notRecommended", "IELISA-species-dilution-info": "", "IELISA-species-notes": "" }, "Transfected cell lysate - Streptomyces avidinii": { "WB-species-checked": "testedAndGuaranteed", "WB-species-dilution-info": "", "WB-species-notes": "<p></p>", "ICCIF-species-checked": "notRecommended", "ICCIF-species-dilution-info": "", "ICCIF-species-notes": "", "IHCP-species-checked": "notRecommended", "IHCP-species-dilution-info": "", "IHCP-species-notes": "", "FlowCyt-species-checked": "notRecommended", "FlowCyt-species-dilution-info": "", "FlowCyt-species-notes": "", "FlowCytIntra-species-checked": "notRecommended", "FlowCytIntra-species-dilution-info": "", "FlowCytIntra-species-notes": "", "IELISA-species-checked": "notRecommended", "IELISA-species-dilution-info": "", "IELISA-species-notes": "" } } }

Product details

ab319104 is the carrier-free version of ab319103.

Patented technology
Our RabMAb® technology is a patented hybridoma-based technology for making rabbit monoclonal antibodies. For details on our patents, please refer to RabMAb® patents.

What are the advantages of a recombinant monoclonal antibody?
This product is a recombinant monoclonal antibody, which offers several advantages including:

  • - High batch-to-batch consistency and reproducibility
  • - Improved sensitivity and specificity
  • - Long-term security of supply
  • - Animal-free batch production

For more information, read more on recombinant antibodies.

Conjugation ready
Our carrier-free antibodies are typically supplied in a PBS-only formulation, purified and free of BSA, sodium azide and glycerol. This conjugation-ready format is designed for use with fluorochromes, metal isotopes, oligonucleotides, and enzymes, which makes them ideal for antibody labelling, functional and cell-based assays, flow-based assays (e.g. mass cytometry) and Multiplex Imaging applications.

Use our conjugation kits for antibody conjugates that are ready-to-use in as little as 20 minutes with 1 minute hands-on-time and 100% antibody recovery: available for fluorescent dyes, HRP, biotin and gold.

Compatibility
This product is compatible with the Maxpar® Antibody Labeling Kit from Fluidigm, without the need for antibody preparation. Maxpar® is a trademark of Fluidigm Canada Inc.

Properties and storage information

Form
Liquid
Purification technique
Affinity purification Protein A
Storage buffer
pH: 7.2 - 7.4 Constituents: PBS
Shipped at conditions
Blue Ice
Appropriate short-term storage conditions
+4°C
Appropriate long-term storage conditions
+4°C

Product protocols

For this product, it's our understanding that no specific protocols are required. You can visit:

Target data

The biological function of streptavidin is not known. Forms a strong non-covalent specific complex with biotin (one molecule of biotin per subunit of streptavidin).
See full target information Streptavidin

Product promise

We are committed to supporting your work with high-quality reagents, and we're here for you every step of the way. In the unlikely event that one of our products does not perform as expected, you're protected by our Product Promise.
For full details, please see our Terms & Conditions

Please note: All products are 'FOR RESEARCH USE ONLY. NOT FOR USE IN DIAGNOSTIC OR THERAPEUTIC PROCEDURES'.

For licensing inquiries, please contact partnerships@abcam.com