JavaScript is disabled in your browser. Please enable JavaScript to view this website.
AB53584

Anti-Streptococcus Group B antibody

5

(2 Reviews)

|

(16 Publications)

Rabbit Polyclonal Streptococcus Group B antibody. Suitable for ELISA, IHC-P, ICC/IF and reacts with Streptococcus Group B samples. Cited in 16 publications. Immunogen corresponding to Cell preparation containing Streptococcus Group B protein.

View Alternative Names

Beta strep, Group b streptococci, Group b streptococcus, Strep b

2 Images
Immunocytochemistry/ Immunofluorescence - Anti-Streptococcus Group B antibody (AB53584)
  • ICC/IF

AbReview20595****

Immunocytochemistry/ Immunofluorescence - Anti-Streptococcus Group B antibody (AB53584)

ab53584 staining Streptococcus agalactiae by Immunocytochemistry/ Immunofluorescence.

Streptococcus agalactiae was infected into fetal rat lung explants for 24 hours. Tissue was fixed and probed "whole-mount". The cells were formaldehyde fixed, permeabilised in 0.1% Triton/1X PBS for 15 minutes and then blocked using 5% Donkey serum for 1 hour at 25°C. Samples were then incubated with primary antibody at 1/200 for one hour at 25°C. The secondary antibody used was a Donkey anti-rabbit IgG conjugated to FITC used at a 1/400 dilution. Tissue was counterstained with Hoechst 33342 (blue). Image collected using a Leica Microsystems confocal microscope.

Image courtesy of Dr David Kling by Abreview.

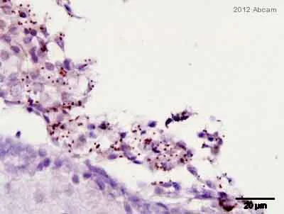
Immunohistochemistry (Formalin/PFA-fixed paraffin-embedded sections) - Anti-Streptococcus Group B antibody (AB53584)
  • IHC-P

AbReview27666****

Immunohistochemistry (Formalin/PFA-fixed paraffin-embedded sections) - Anti-Streptococcus Group B antibody (AB53584)

ab53584 staining Streptococcus Group B in brain tissue from Oreochromis niloticus by Immunohistochemistry (Formalin/PFA-fixed paraffin-embedded sections).

Tissue was fixed in 10% buffered formalin and a heat mediated antigen retrieval step was performed using citrate. Samples were then blocked with 25% serum for 30 minutes at room temperature and then incubated with ab53584 at a 1/200 dilution for 18 hours at 4°C. The secondary used was an undiluted HRP conjugated goat polyclonal.

Image courtesy of Christian Delannoy by Abreview.

Key facts

Host species

Rabbit

Clonality

Polyclonal

Isotype

IgG

Carrier free

No

Reacts with

Streptococcus Group B

Applications

ELISA, IHC-P, ICC/IF

applications

Immunogen

The exact immunogen used to generate this antibody is proprietary information.

Specificity

Reacts with type specific carbohydrate of group B Streptococcus.

Reactivity data

{ "title": "Reactivity Data", "filters": { "stats": ["", "Species", "Dilution Info", "Notes"], "tabs": { "all-applications": {"fullname" : "All Applications", "shortname": "All Applications"}, "ELISA" : {"fullname" : "ELISA", "shortname":"ELISA"}, "IHCP" : {"fullname" : "Immunohistochemistry (Formalin/PFA-fixed paraffin-embedded sections)", "shortname":"IHC-P"}, "ICCIF" : {"fullname" : "Immunocytochemistry/ Immunofluorescence", "shortname":"ICC/IF"} }, "product-promise": { "all": "all", "testedAndGuaranteed": "tested", "guaranteed": "expected", "predicted": "predicted", "notRecommended": "not-recommended" } }, "values": { "Streptococcus Group B": { "ELISA-species-checked": "guaranteed", "ELISA-species-dilution-info": "", "ELISA-species-notes": "<p></p>", "IHCP-species-checked": "testedAndGuaranteed", "IHCP-species-dilution-info": "", "IHCP-species-notes": "<p></p>", "ICCIF-species-checked": "testedAndGuaranteed", "ICCIF-species-dilution-info": "", "ICCIF-species-notes": "<p></p>" } } }

Properties and storage information

Form
Liquid
Purification technique
Affinity purification Immunogen
Purification notes
ab53584 was affinity purified.
Storage buffer
pH: 7.2 Preservative: 0.1% Sodium azide Constituents: PBS
Shipped at conditions
Blue Ice
Appropriate short-term storage conditions
+4°C
Appropriate long-term storage conditions
-20°C
Aliquoting information
Upon delivery aliquot
Storage information
Avoid freeze / thaw cycle

Product protocols

For this product, it's our understanding that no specific protocols are required. You can visit:

Publications (16)

Recent publications for all applications. Explore the full list and refine your search

Angiogenesis 28:38 PubMed40560287

2025

Mechanistic insights into endometriosis: roles of Streptococcus agalactiae and L-carnitine in lesion development and angiogenesis.

Applications

Unspecified application

Species

Unspecified reactive species

Yuan Zhuang,Ting Lyu,Yang Chen,Wei Li,Lei Tang,Shi-Ping Xian,Peng-Fei Yang,Lijie Wang,Qian-Qian Zhang,Chaoming Mei,Yu-Jing Lin,Zhixiang Yan,Zhanyu Li,Jian-Zhong He,Fa-Min Zeng

Frontiers in cellular and infection microbiology 13:1299644 PubMed38239507

2024

Spatial profiling of the placental chorioamniotic membranes reveals upregulation of immune checkpoint proteins during Group B infection in a nonhuman primate model.

Applications

Unspecified application

Species

Unspecified reactive species

Gygeria Manuel,Michelle Coleman,Austyn S Orvis,Jeff Munson,Amanda Li,Raj P Kapur,Miranda Li,Edmunda Li,Blair Armistead,Lakshmi Rajagopal,Kristina M Adams Waldorf

Vaccines 11: PubMed38140215

2023

The Group A Streptococcal Vaccine Candidate VAX-A1 Protects against Group B Infection via Cross-Reactive IgG Targeting Virulence Factor C5a Peptidase.

Applications

Unspecified application

Species

Unspecified reactive species

Sinead McCabe,Elisabet Bjånes,Astrid Hendriks,Zhen Wang,Nina M van Sorge,Lucy Pill-Pepe,Leslie Bautista,Ellen Chu,Jeroen D C Codée,Jeff Fairman,Neeraj Kapoor,Satoshi Uchiyama,Victor Nizet

Microbiology spectrum :e0234923 PubMed37732775

2023

Capsule production promotes Group B intestinal colonization.

Applications

Unspecified application

Species

Unspecified reactive species

Michelle J Vaz,Sophia Dongas,Adam J Ratner

Molecular systems biology 19:e11021 PubMed36744393

2023

Host inflammatory dynamics reveal placental immune modulation by Group B Streptococcus during pregnancy.

Applications

Unspecified application

Species

Unspecified reactive species

Felicia Kuperwaser,Gal Avital,Michelle J Vaz,Kristen N Noble,Allison N Dammann,Tara M Randis,David M Aronoff,Adam J Ratner,Itai Yanai

The Journal of clinical investigation 132: PubMed36006736

2022

Mast cell-derived factor XIIIA contributes to sexual dimorphic defense against group B streptococcal infections.

Applications

Unspecified application

Species

Unspecified reactive species

Adrian M Piliponsky,Kavita Sharma,Phoenicia Quach,Alyssa Brokaw,Shayla Nguyen,Austyn Orvis,Siddhartha S Saha,Nyssa Becker Samanas,Ravin Seepersaud,Yu Ping Tang,Emily Mackey,Gauri Bhise,Claire Gendrin,Anna Furuta,Albert J Seo,Eric Guga,Irina Miralda,Michelle Coleman,Erin L Sweeney,Charlotte A Bäuml,Diana Imhof,Jessica M Snyder,Adam J Moeser,Lakshmi Rajagopal

Biomedicines 10: PubMed35453635

2022

Clinicopathological Features of Gastric Cancer with Autoimmune Gastritis.

Applications

Unspecified application

Species

Unspecified reactive species

Junya Arai,Ryota Niikura,Yoku Hayakawa,Nobumi Suzuki,Yoshihiro Hirata,Tetsuo Ushiku,Mitsuhiro Fujishiro

Frontiers in cellular and infection microbiology 12:793416 PubMed35281448

2022

Infects Glial Cells and Invades the Central Nervous System the Olfactory and Trigeminal Nerves.

Applications

Unspecified application

Species

Unspecified reactive species

Anu Chacko,Ali Delbaz,Indra N Choudhury,Tanja Eindorf,Megha Shah,Christopher Godfrey,Matthew J Sullivan,James A St John,Glen C Ulett,Jenny A K Ekberg

Journal of orthopaedic research : official publication of the Orthopaedic Research Society 39:376-388 PubMed33377538

2021

Emerging electron microscopy and 3D methodologies to interrogate Staphylococcus aureus osteomyelitis in murine models.

Applications

Unspecified application

Species

Unspecified reactive species

Karen L de Mesy Bentley,Chad A Galloway,Gowrishankar Muthukrishnan,Scott R Echternacht,Elysia A Masters,Stephan Zeiter,Edward M Schwarz,Jonathan I Leckenby

mBio 12: PubMed33402537

2021

Hyaluronidase Impairs Neutrophil Function and Promotes Group B Invasion and Preterm Labor in Nonhuman Primates.

Applications

Unspecified application

Species

Unspecified reactive species

Michelle Coleman,Blair Armistead,Austyn Orvis,Phoenicia Quach,Alyssa Brokaw,Claire Gendrin,Kavita Sharma,Jason Ogle,Sean Merillat,Matthew Dacanay,Tsung-Yen Wu,Jeff Munson,Audrey Baldessari,Jay Vornhagen,Anna Furuta,Shayla Nguyen,Kristina M Adams Waldorf,Lakshmi Rajagopal
View all publications

Product promise

We are committed to supporting your work with high-quality reagents, and we're here for you every step of the way. In the unlikely event that one of our products does not perform as expected, you're protected by our Product Promise.
For full details, please see our Terms & Conditions

Please note: All products are 'FOR RESEARCH USE ONLY. NOT FOR USE IN DIAGNOSTIC OR THERAPEUTIC PROCEDURES'.

For licensing inquiries, please contact partnerships@abcam.com