JavaScript is disabled in your browser. Please enable JavaScript to view this website.
AB316007

Anti-Streptococcus mutans Cell surface antigen I/II antibody [EPR28235-11] - BSA and Azide free

Be the first to review this product! Submit a review

|

(0 Publication)

Rabbit Recombinant Monoclonal SPAP antibody. Carrier free. Suitable for WB, IHC-P, ICC/IF, Flow Cyt (Intra), IP, I-ELISA and reacts with Transfected cell lysate - Streptococcus mutans, Transfected cell line - Streptococcus mutans, Recombinant fragment - Streptococcus mutans samples.

View Alternative Names

SMU_610, Peri, Plin, Plin1, Cell surface antigen I/II

9 Images
Immunohistochemistry (Formalin/PFA-fixed paraffin-embedded sections) - Anti-Streptococcus mutans Cell surface antigen I/II antibody [EPR28235-11] - BSA and Azide free (AB316007)
  • IHC-P

Supplier Data

Immunohistochemistry (Formalin/PFA-fixed paraffin-embedded sections) - Anti-Streptococcus mutans Cell surface antigen I/II antibody [EPR28235-11] - BSA and Azide free (AB316007)

This data was developed using ab316006, the same antibody clone in a different buffer formulation.

Immunohistochemical analysis of paraffin-embedded Human cerebrum tissue labeling Streptococcus mutans Cell surface antigen I/II with ab316006 at 1/500 (1.012 ug/ml) dilution, followed by a ready to use LeicaDS9800 (Bond™ Polymer Refine Detection).

Negative control : no staining on human cerebrum. The section was incubated with ab316006 for 30 mins at room temperature.
The immunostaining was performed on a Leica Biosystems BOND® RX instrument.

Counterstained with Hematoxylin.

Secondary antibody only control : Secondary antibody is a ready to use LeicaDS9800 (Bond™ Polymer Refine Detection).

Heat mediated antigen retrieval was performed with Tris-EDTA buffer (pH 9.0, Epitope Retrieval Solution2) for 20 mins.

Immunohistochemistry (Formalin/PFA-fixed paraffin-embedded sections) - Anti-Streptococcus mutans Cell surface antigen I/II antibody [EPR28235-11] - BSA and Azide free (AB316007)
  • IHC-P

Supplier Data

Immunohistochemistry (Formalin/PFA-fixed paraffin-embedded sections) - Anti-Streptococcus mutans Cell surface antigen I/II antibody [EPR28235-11] - BSA and Azide free (AB316007)

This data was developed using ab316006, the same antibody clone in a different buffer formulation.

Immunohistochemical analysis of paraffin-embedded Mouse cerebrum tissue labeling Streptococcus mutans Cell surface antigen I/II with ab316006 at 1/500 (1.012 ug/ml) dilution, followed by a ready to use LeicaDS9800 (Bond™ Polymer Refine Detection).

Negative control : no staining on mouse cerebrum.The section was incubated with ab316006 for 30 mins at room temperature.
The immunostaining was performed on a Leica Biosystems BOND® RX instrument.

Counterstained with Hematoxylin.

Secondary antibody only control : Secondary antibody is a ready to use LeicaDS9800 (Bond™ Polymer Refine Detection).

Heat mediated antigen retrieval was performed with Tris-EDTA buffer (pH 9.0, Epitope Retrieval Solution2) for 20 mins.

Immunohistochemistry (Formalin/PFA-fixed paraffin-embedded sections) - Anti-Streptococcus mutans Cell surface antigen I/II antibody [EPR28235-11] - BSA and Azide free (AB316007)
  • IHC-P

Supplier Data

Immunohistochemistry (Formalin/PFA-fixed paraffin-embedded sections) - Anti-Streptococcus mutans Cell surface antigen I/II antibody [EPR28235-11] - BSA and Azide free (AB316007)

This data was developed using ab316006, the same antibody clone in a different buffer formulation.

Immunohistochemical analysis of paraffin-embedded Rat cerebrum tissue labeling Streptococcus mutans Cell surface antigen I/II with ab316006 at 1/500 (1.012 ug/ml) dilution, followed by a ready to use LeicaDS9800 (Bond™ Polymer Refine Detection).

Negative control : no staining on rat cerebrum. The section was incubated with ab316006 for 30 mins at room temperature.
The immunostaining was performed on a Leica Biosystems BOND® RX instrument.

Counterstained with Hematoxylin.

Secondary antibody only control : Secondary antibody is a ready to use LeicaDS9800 (Bond™ Polymer Refine Detection).

Heat mediated antigen retrieval was performed with Tris-EDTA buffer (pH 9.0, Epitope Retrieval Solution2) for 20 mins.

Flow Cytometry (Intracellular) - Anti-Streptococcus mutans Cell surface antigen I/II antibody [EPR28235-11] - BSA and Azide free (AB316007)
  • Flow Cyt (Intra)

Supplier Data

Flow Cytometry (Intracellular) - Anti-Streptococcus mutans Cell surface antigen I/II antibody [EPR28235-11] - BSA and Azide free (AB316007)

This data was developed using ab316006, the same antibody clone in a different buffer formulation.

Flow cytometric analysis of 2% paraformaldehyde fixed 0.1% Tween-20 permeabilized Isotype (Left) / 293T transfected with a Streptococcus mutans Cell surface antigen I/II expression vector containing a myc-His-tag® (Middle) / 293T transfected with an empty expression vector (Right) cells labelling Streptococcus mutans Cell surface antigen I/II with ab316006 at 1/5000 dilution (0.01 ug)/Middle and Right compared with a Rabbit monoclonal IgG (ab172730) / Left isotype control.

Goat Anti-Rabbit IgG (Alexa Fluor® 488, ab150081) at 1/5000 dilution was used as the secondary antibody.

Cells were surface stained with primary antibody. Fixed with 2% PFA for 10 min followed by intracellularly staining with anti-Myc tag conjugated to Alexa Fluor® 647.

Immunohistochemistry (Formalin/PFA-fixed paraffin-embedded sections) - Anti-Streptococcus mutans Cell surface antigen I/II antibody [EPR28235-11] - BSA and Azide free (AB316007)
  • IHC-P

Supplier Data

Immunohistochemistry (Formalin/PFA-fixed paraffin-embedded sections) - Anti-Streptococcus mutans Cell surface antigen I/II antibody [EPR28235-11] - BSA and Azide free (AB316007)

This data was developed using ab316006, the same antibody clone in a different buffer formulation.

Immunohistochemical analysis of paraffin-embedded (A) HEK-293T (human embryonic kidney epithelial cell) transfected with a Streptococcus mutans Cell surface antigen I/II expression vector containing a myc-His-tag®. (B) HEK-293T transfected with empty vector containing a myc-His-tag®. Tissue labeling Streptococcus mutans Cell surface antigen I/II with ab316006 at 1/500 (1.012 ug/ml) dilution, followed by a ready to use LeicaDS9800 (Bond™ Polymer Refine Detection).

Positive staining on HEK-293T transfected with a Myc-His-tagged Streptococcus mutans Cell surface antigen I/II construct (image A). No staining on HEK-293T transfected with empty plasmid (image B). The section was incubated with ab316006 for 30 mins at room temperature.
The immunostaining was performed on a Leica Biosystems BOND® RX instrument.

Counterstained with Hematoxylin.

Secondary antibody only control : Secondary antibody is a ready to use LeicaDS9800 (Bond™ Polymer Refine Detection).

Heat mediated antigen retrieval was performed with Tris-EDTA buffer (pH 9.0, Epitope Retrieval Solution2) for 20 mins.

Immunocytochemistry/ Immunofluorescence - Anti-Streptococcus mutans Cell surface antigen I/II antibody [EPR28235-11] - BSA and Azide free (AB316007)
  • ICC/IF

Supplier Data

Immunocytochemistry/ Immunofluorescence - Anti-Streptococcus mutans Cell surface antigen I/II antibody [EPR28235-11] - BSA and Azide free (AB316007)

This data was developed using ab316006, the same antibody clone in a different buffer formulation.

Immunofluorescent analysis of 4% Paraformaldehyde-fixed, 0.1% TritonX-100 permeabilized 293T (Human embryonic kidney epithelial cell) transfected with a Streptococcus mutans Cell surface antigen I/II expression vector containing a myc-His-tag® cells labelling Streptococcus mutans Cell surface antigen I/II with ab316006 at 1/250 (2.024 ug/ml) dilution, followed by ab150081 Goat Anti-Rabbit IgG H&L (Alexa Fluor® 488) preadsorbed antibody at 1/1000 (2 ug/mL) dilution (Green).

Confocal image showing positive staining in 293T transfected with a Streptococcus mutans Cell surface antigen I/II expression vector containing a myc-His-tag®.
Image was taken with a confocal microscope (Leica-Microsystems, TCS SP8).

Myc-Tag Mouse mAb (Alexa Fluor® 647) was used to counterstain at 1/100 (0.38ug/ml) dilution (Red). The Nuclear counterstain was DAPI (Blue).

Secondary antibody only control : Secondary antibody is ab150081 Goat Anti-Rabbit IgG H&L (Alexa Fluor® 488) preadsorbed at 1/1000 (2 ug/mL) dilution.

Indirect ELISA - Anti-Streptococcus mutans Cell surface antigen I/II antibody [EPR28235-11] - BSA and Azide free (AB316007)
  • I-ELISA

Supplier Data

Indirect ELISA - Anti-Streptococcus mutans Cell surface antigen I/II antibody [EPR28235-11] - BSA and Azide free (AB316007)

This data was developed using ab316006, the same antibody clone in a different buffer formulation.

Indirect ELISA analysis of ab316006 at 1000-0 ng/ml. The Secondary antibody used was Alkaline Phosphatase-conjugated AffiniPure Goat Anti-Rabbit IgG (H+L) at 1 : 2500 dilution.

Antigen : Streptococcus mutans Cell surface antigen I/II.

Antigen concentration : 1000 ng/ml

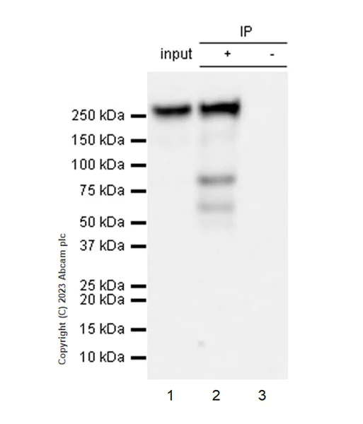
Immunoprecipitation - Anti-Streptococcus mutans Cell surface antigen I/II antibody [EPR28235-11] - BSA and Azide free (AB316007)
  • IP

Supplier Data

Immunoprecipitation - Anti-Streptococcus mutans Cell surface antigen I/II antibody [EPR28235-11] - BSA and Azide free (AB316007)

This data was developed using ab316006, the same antibody clone in a different buffer formulation.

Streptococcus mutans Cell surface antigen I/II was immunoprecipitated from 0.35 mg 293T (human embryonic kidney epithelial cell) cells transfected with a Streptococcus mutans Cell surface antigen I/II expression vector containing a myc-His-tag®, whole cell lysate with ab316006 at 1/30 dilution (2ug in 0.35mg lysates). Western blot was performed on the immunoprecipitate using ab316006 at 1/1000 dilution. VeriBlot for IP secondary antibody(HRP)(ab131366) was used at 1/5000 dilution.

Lane 1 : 293T (human embryonic kidney epithelial cell) cells transfected with a Streptococcus mutans Cell surface antigen I/II expression vector containing a myc-His-tag®, whole cell lysate
Lane 2 : ab316006 IP in 293T (human embryonic kidney epithelial cell) cells transfected with a Streptococcus mutans Cell surface antigen I/II expression vector containing a myc-His-tag®, whole cell lysate
Lane 3 : Rabbit monoclonal IgG (ab172730) instead of ab316006 in 293T cells transfected with a Streptococcus mutans Cell surface antigen I/II expression vector containing a myc-His-tag®, whole cell lysate

All lanes:

Immunoprecipitation - Anti-Streptococcus mutans Cell surface antigen I/II antibody [EPR28235-11] (<a href='/en-us/products/primary-antibodies/streptococcus-mutans-cell-surface-antigen-i-ii-antibody-epr28235-11-ab316006'>ab316006</a>) at 1/30 dilution

All lanes:

293T (human embryonic kidney epithelial cell) cells transfected with a Streptococcus mutans Cell surface antigen I/II expression vector containing a myc-His-tag®, whole cell lysate

Secondary

All lanes:

Immunoprecipitation - VeriBlot for IP Detection Reagent (HRP) (<a href='/en-us/products/reagents/veriblot-for-ip-detection-reagent-hrp-ab131366'>ab131366</a>) at 1/5000 dilution

false

Exposure time: 6s

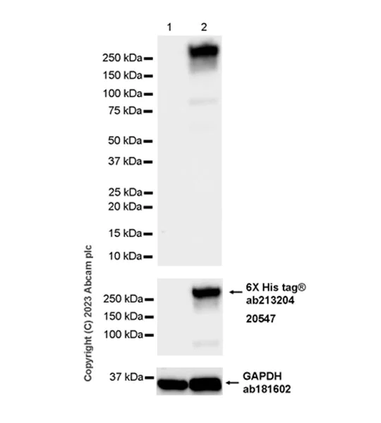
Western blot - Anti-Streptococcus mutans Cell surface antigen I/II antibody [EPR28235-11] - BSA and Azide free (AB316007)
  • WB

Supplier Data

Western blot - Anti-Streptococcus mutans Cell surface antigen I/II antibody [EPR28235-11] - BSA and Azide free (AB316007)

This data was developed using ab316006, the same antibody clone in a different buffer formulation.

In Western blot, Anti-GAPDH antibody [EPR16891] - Loading Control (ab181602) staining at 1/200000 dilution.

In Western blot, Anti-6X His tag® antibody [EPR20547] - ChIP Grade (ab213204) staining at 1/5000 dilution.

All lanes:

Western blot - Anti-Streptococcus mutans Cell surface antigen I/II antibody [EPR28235-11] (<a href='/en-us/products/primary-antibodies/streptococcus-mutans-cell-surface-antigen-i-ii-antibody-epr28235-11-ab316006'>ab316006</a>) at 1/1000 dilution

Lane 1:

293T (human embryonic kidney epithelial cell) cells transfected with an empty vector containing a myc-His-tag®, whole cell lysate at 4 µg

Lane 2:

293T (human embryonic kidney epithelial cell) cells transfected with a Streptococcus mutans Cell surface antigen I/II expression vector containing a myc-His-tag®, whole cell lysate at 4 µg

Secondary

All lanes:

Western blot - Goat Anti-Rabbit IgG H&L (HRP) (<a href='/en-us/products/secondary-antibodies/goat-rabbit-igg-h-l-hrp-ab97051'>ab97051</a>) at 1/100000 dilution

Observed band size: 260 kDa,36 kDa

false

Exposure time: 3s

  • Unconjugated

    Anti-Streptococcus mutans Cell surface antigen I/II antibody [EPR28235-11]

Key facts

Host species

Rabbit

Clonality

Monoclonal

Clone number

EPR28235-11

Isotype

IgG

Carrier free

Yes

Reacts with

Streptococcus

Applications

ICC/IF, Flow Cyt (Intra), I-ELISA, WB, IHC-P, IP

applications

Immunogen

The exact immunogen used to generate this antibody is proprietary information.

Specificity

This antibody detects transfected levels of Streptococcus mutans Cell surface antigen I/II.

Reactivity data

{ "title": "Reactivity Data", "filters": { "stats": ["", "Species", "Dilution Info", "Notes"], "tabs": { "all-applications": {"fullname" : "All Applications", "shortname": "All Applications"}, "WB" : {"fullname" : "Western blot", "shortname":"WB"}, "IHCP" : {"fullname" : "Immunohistochemistry (Formalin/PFA-fixed paraffin-embedded sections)", "shortname":"IHC-P"}, "ICCIF" : {"fullname" : "Immunocytochemistry/ Immunofluorescence", "shortname":"ICC/IF"}, "FlowCytIntra" : {"fullname" : "Flow Cytometry (Intracellular)", "shortname":"Flow Cyt (Intra)"}, "IP" : {"fullname" : "Immunoprecipitation", "shortname":"IP"}, "IELISA" : {"fullname" : "Indirect ELISA", "shortname":"I-ELISA"} }, "product-promise": { "all": "all", "testedAndGuaranteed": "tested", "guaranteed": "expected", "predicted": "predicted", "notRecommended": "not-recommended" } }, "values": { "Recombinant fragment - Streptococcus mutans": { "WB-species-checked": "notRecommended", "WB-species-dilution-info": "", "WB-species-notes": "", "IHCP-species-checked": "notRecommended", "IHCP-species-dilution-info": "", "IHCP-species-notes": "", "ICCIF-species-checked": "notRecommended", "ICCIF-species-dilution-info": "", "ICCIF-species-notes": "", "FlowCytIntra-species-checked": "notRecommended", "FlowCytIntra-species-dilution-info": "", "FlowCytIntra-species-notes": "", "IP-species-checked": "notRecommended", "IP-species-dilution-info": "", "IP-species-notes": "", "IELISA-species-checked": "testedAndGuaranteed", "IELISA-species-dilution-info": "", "IELISA-species-notes": "<p></p>" }, "Streptococcus": { "WB-species-checked": "predicted", "WB-species-dilution-info": "", "WB-species-notes": "", "IHCP-species-checked": "predicted", "IHCP-species-dilution-info": "", "IHCP-species-notes": "", "ICCIF-species-checked": "predicted", "ICCIF-species-dilution-info": "", "ICCIF-species-notes": "", "FlowCytIntra-species-checked": "predicted", "FlowCytIntra-species-dilution-info": "", "FlowCytIntra-species-notes": "", "IP-species-checked": "predicted", "IP-species-dilution-info": "", "IP-species-notes": "", "IELISA-species-checked": "predicted", "IELISA-species-dilution-info": "", "IELISA-species-notes": "" }, "Transfected cell line - Streptococcus mutans": { "WB-species-checked": "notRecommended", "WB-species-dilution-info": "", "WB-species-notes": "", "IHCP-species-checked": "testedAndGuaranteed", "IHCP-species-dilution-info": "", "IHCP-species-notes": "<p></p> Perform heat-mediated antigen retrieval with Tris/EDTA buffer pH 9.0 before commencing with IHC staining protocol.", "ICCIF-species-checked": "testedAndGuaranteed", "ICCIF-species-dilution-info": "", "ICCIF-species-notes": "<p></p>", "FlowCytIntra-species-checked": "testedAndGuaranteed", "FlowCytIntra-species-dilution-info": "", "FlowCytIntra-species-notes": "<p></p>", "IP-species-checked": "notRecommended", "IP-species-dilution-info": "", "IP-species-notes": "", "IELISA-species-checked": "notRecommended", "IELISA-species-dilution-info": "", "IELISA-species-notes": "" }, "Transfected cell lysate - Streptococcus mutans": { "WB-species-checked": "testedAndGuaranteed", "WB-species-dilution-info": "", "WB-species-notes": "<p></p>", "IHCP-species-checked": "notRecommended", "IHCP-species-dilution-info": "", "IHCP-species-notes": "", "ICCIF-species-checked": "notRecommended", "ICCIF-species-dilution-info": "", "ICCIF-species-notes": "", "FlowCytIntra-species-checked": "notRecommended", "FlowCytIntra-species-dilution-info": "", "FlowCytIntra-species-notes": "", "IP-species-checked": "testedAndGuaranteed", "IP-species-dilution-info": "", "IP-species-notes": "<p></p>", "IELISA-species-checked": "notRecommended", "IELISA-species-dilution-info": "", "IELISA-species-notes": "" } } }

Product details

ab316007 is the carrier-free version of ab316006.

Patented technology
Our RabMAb® technology is a patented hybridoma-based technology for making rabbit monoclonal antibodies. For details on our patents, please refer to RabMAb® patents.

What are the advantages of a recombinant monoclonal antibody?
This product is a recombinant monoclonal antibody, which offers several advantages including:

  • - High batch-to-batch consistency and reproducibility
  • - Improved sensitivity and specificity
  • - Long-term security of supply
  • - Animal-free batch production

For more information, read more on recombinant antibodies.

Conjugation ready
Our carrier-free antibodies are typically supplied in a PBS-only formulation, purified and free of BSA, sodium azide and glycerol. This conjugation-ready format is designed for use with fluorochromes, metal isotopes, oligonucleotides, and enzymes, which makes them ideal for antibody labelling, functional and cell-based assays, flow-based assays (e.g. mass cytometry) and Multiplex Imaging applications.

Use our conjugation kits for antibody conjugates that are ready-to-use in as little as 20 minutes with 1 minute hands-on-time and 100% antibody recovery: available for fluorescent dyes, HRP, biotin and gold.

Compatibility
This product is compatible with the Maxpar® Antibody Labeling Kit from Fluidigm, without the need for antibody preparation. Maxpar® is a trademark of Fluidigm Canada Inc.

Properties and storage information

Form
Liquid
Purification technique
Affinity purification Protein A
Storage buffer
pH: 7.2 - 7.4 Constituents: PBS
Shipped at conditions
Blue Ice
Appropriate short-term storage conditions
+4°C
Appropriate long-term storage conditions
+4°C

Product protocols

For this product, it's our understanding that no specific protocols are required. You can visit:

Target data

Surface protein antigen implicated in dental caries.
See full target information spaP

Product promise

We are committed to supporting your work with high-quality reagents, and we're here for you every step of the way. In the unlikely event that one of our products does not perform as expected, you're protected by our Product Promise.
For full details, please see our Terms & Conditions

Please note: All products are 'FOR RESEARCH USE ONLY. NOT FOR USE IN DIAGNOSTIC OR THERAPEUTIC PROCEDURES'.

For licensing inquiries, please contact partnerships@abcam.com