JavaScript is disabled in your browser. Please enable JavaScript to view this website.
AB134064

Anti-STUB1/CHIP antibody [EPR4447]

4

(9 Reviews)

|

(39 Publications)

Anti-STUB1/CHIP antibody [EPR4447] (ab134064) is a rabbit monoclonal antibody detecting STUB1/CHIP in Western Blot, Flow Cytometry (Intra), Flow Cytometry, IP, IHC-P, ICC/IF. Suitable for Human, Mouse, Rat.

- Biophysical QC for unrivalled batch-batch consistency
- Over 20 publications

View Alternative Names

CHIP, PP1131, STUB1, E3 ubiquitin-protein ligase CHIP, Antigen NY-CO-7, CLL-associated antigen KW-8, Carboxy terminus of Hsp70-interacting protein, RING-type E3 ubiquitin transferase CHIP, STIP1 homology and U box-containing protein 1

9 Images
Immunocytochemistry/ Immunofluorescence - Anti-STUB1/CHIP antibody [EPR4447] (AB134064)
  • ICC/IF

Unknown

Immunocytochemistry/ Immunofluorescence - Anti-STUB1/CHIP antibody [EPR4447] (AB134064)

Immunofluorescence staining of SH-SY5Y cells with purified ab134064 at a working dilution of 1/250, counter-stained with DAPI. The secondary antibody was Alexa Fluor® 488 goat anti-rabbit (ab150077), used at a dilution of 1/1000. ab7291, a mouse anti-tubulin antibody (1/1000), was used to stain tubulin along with ab150120 (Alexa Fluor® 594 goat anti-mouse, 1/1000), shown in the top right hand panel. The cells were fixed in 100% methanol and permeabilized using 0.1% Triton X 100. The negative controls are shown in bottom middle and right hand panels - for negative control 1, purified ab134064 was used at a dilution of 1/500 followed by an Alexa Fluor® 594 goat anti-mouse antibody (ab150120) at a dilution of 1/500. For negative control 2, ab7291 (mouse anti-tubulin) was used at a dilution of 1/500 followed by an Alexa Fluor® 488 goat anti-rabbit antibody (ab150077) at a dilution of 1/400.

Flow Cytometry (Intracellular) - Anti-STUB1/CHIP antibody [EPR4447] (AB134064)
  • Flow Cyt (Intra)

Lab

Flow Cytometry (Intracellular) - Anti-STUB1/CHIP antibody [EPR4447] (AB134064)

Intracellular Flow Cytometry analysis of SH-SY5Y (Human epithelial cell line from embryonic kidney) cells labeling STUB1/CHIP with purified ab134064 at 1/120 dilution (10ug/ml) (red). Cells were fixed with 4% paraformaldehyde and permeabilised with 90% methanol. A Goat anti rabbit IgG (Alexa Fluor® 488) (1/2000 dilution) was used as the secondary antibody. Rabbit monoclonal IgG (Black) was used as the isotype control, cells without incubation with primary antibody and secondary antibody (Blue) were used as the unlabeled control.

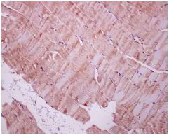
Immunohistochemistry (Formalin/PFA-fixed paraffin-embedded sections) - Anti-STUB1/CHIP antibody [EPR4447] (AB134064)
  • IHC-P

Unknown

Immunohistochemistry (Formalin/PFA-fixed paraffin-embedded sections) - Anti-STUB1/CHIP antibody [EPR4447] (AB134064)

Immunohistochemical analysis of paraffin-embedded Human skeletal muscle tissue labelling STUB1/CHIP with unpurified ab134064 at 1/100 dilution.

Immunoprecipitation - Anti-STUB1/CHIP antibody [EPR4447] (AB134064)
  • IP

Unknown

Immunoprecipitation - Anti-STUB1/CHIP antibody [EPR4447] (AB134064)

ab134064 (purified) at 1/120 immunoprecipitating STUB1/CHIP in 10 μg HeLa (Lanes 1 and 2, observed at 35 kDa). Lane 3 - PBS. For western blotting, a HRP-conjugated anti-rabbit IgG, specific to the non-reduced form of IgG was used as the secondary antibody (1/1500). Blocking buffer and concentration : 5% NFDM/TBST Dilution buffer and concentration : 5% NFDM/TBST

All lanes:

Immunoprecipitation - Anti-STUB1/CHIP antibody [EPR4447] (ab134064)

Predicted band size: 35 kDa

false

Western blot - Anti-STUB1/CHIP antibody [EPR4447] (AB134064)
  • WB

Lab

Western blot - Anti-STUB1/CHIP antibody [EPR4447] (AB134064)

Blocking buffer : 5% NFDM/TBST

Dilution buffer : 5% NFDM/TBST

All lanes:

Western blot - Anti-STUB1/CHIP antibody [EPR4447] (ab134064) at 1/20000 dilution

Lane 1:

HeLa (Human epithelial cell line from cervix adenocarcinoma) cell lysate at 20 µg

Lane 2:

MCF7 (Human breast adenocarcinoma cell line) cell lysate at 20 µg

Lane 3:

HEK293 (Human epithelial cell line from embryonic kidney) cell lysate at 20 µg

Secondary

All lanes:

HRP goat anti-rabbit IgG (H+L) at 1/1000 dilution

Predicted band size: 35 kDa

Observed band size: 35 kDa

false

Western blot - Anti-STUB1/CHIP antibody [EPR4447] (AB134064)
  • WB

Unknown

Western blot - Anti-STUB1/CHIP antibody [EPR4447] (AB134064)

ECV-304 (derived from T24, discontinued by ATCC)

All lanes:

Western blot - Anti-STUB1/CHIP antibody [EPR4447] (ab134064) at 1/10000 dilution

Lane 1:

HeLa (Human epithelial cell line from cervix adenocarcinoma) cell lysate at 10 µg

Lane 2:

MCF-7 (Human breast adenocarcinoma cell line) cell lysate at 10 µg

Lane 3:

293T cell lysate at 10 µg

Lane 4:

ECV-304 (Human urinary bladder cancer cell line) cell lysate at 10 µg

Secondary

All lanes:

HRP labelled goat anti-rabbit at 1/2000 dilution

Predicted band size: 35 kDa

false

Western blot - Anti-STUB1/CHIP antibody [EPR4447] (AB134064)
  • WB

AbReview43343****

Western blot - Anti-STUB1/CHIP antibody [EPR4447] (AB134064)

All lanes:

Western blot - Anti-STUB1/CHIP antibody [EPR4447] (ab134064) at 1/1000 dilution

Lane 1:

Wild type primary Mouse neurons whole cell lysate at 20 µg

Lane 2:

STUB1 knockout primary Mouse neurons whole cell lysate at 20 µg

Lane 3:

Wild type MEF (Mouse embryonic fibroblast cell line) whole cell lysate at 20 µg

Lane 4:

STUB1 knockout MEF (Mouse embryonic fibroblast cell line) whole cell lysate at 20 µg

Secondary

All lanes:

HRP-conjugated goat anti-rabbit IgG polyclonal at 1/20000 dilution

Predicted band size: 35 kDa

true

Exposure time: 25s

This image is courtesy of an anonymous Abreview

Western blot - Anti-STUB1/CHIP antibody [EPR4447] (AB134064)
  • WB

Lab

Western blot - Anti-STUB1/CHIP antibody [EPR4447] (AB134064)

Blocking buffer : 5% NFDM/TBST

Dilution buffer : 5% NFDM/TBST

All lanes:

Western blot - Anti-STUB1/CHIP antibody [EPR4447] (ab134064) at 1/50000 dilution

All lanes:

Rat brain at 10 µg

Secondary

All lanes:

HRP goat anti-rabbit IgG (H+L) at 1/50000 dilution

Predicted band size: 35 kDa

Observed band size: 35 kDa

false

Western blot - Anti-STUB1/CHIP antibody [EPR4447] (AB134064)
  • WB

Lab

Western blot - Anti-STUB1/CHIP antibody [EPR4447] (AB134064)

Blocking buffer : 5% NFDM/TBST

Dilution buffer : 5% NFDM/TBST

All lanes:

Western blot - Anti-STUB1/CHIP antibody [EPR4447] (ab134064) at 1/10000 dilution

All lanes:

Mouse brain at 10 µg

Secondary

All lanes:

HRP goat anti-rabbit IgG (H+L) at 1/50000 dilution

Predicted band size: 35 kDa

Observed band size: 35 kDa

false

  • Carrier free

    Anti-STUB1/CHIP antibody [EPR4447] - BSA and Azide free

  • 578 PE

    PE Anti-STUB1 / CHIP antibody [EPR4447]

  • HRP

    HRP Anti-STUB1 / CHIP antibody [EPR4447]

  • Alkaline Phosphatase

    Alkaline Phosphatase Anti-STUB1 / CHIP antibody [EPR4447]

  • 617 Alexa Fluor® 594

    Alexa Fluor® 594 Anti-STUB1 / CHIP antibody [EPR4447]

  • 519 Alexa Fluor® 488

    Alexa Fluor® 488 Anti-STUB1 / CHIP antibody [EPR4447]

  • 665 Alexa Fluor® 647

    Alexa Fluor® 647 Anti-STUB1 / CHIP antibody [EPR4447]

  • 603 Alexa Fluor® 568

    Alexa Fluor® 568 Anti-STUB1 / CHIP antibody [EPR4447]

  • 565 Alexa Fluor® 555

    Alexa Fluor® 555 Anti-STUB1 / CHIP antibody [EPR4447]

  • 660 APC

    APC Anti-STUB1 / CHIP antibody [EPR4447]

  • 775 Alexa Fluor® 750

    Alexa Fluor® 750 Anti-STUB1/CHIP antibody [EPR4447]

Key facts

Host species

Rabbit

Clonality

Monoclonal

Clone number

EPR4447

Isotype

IgG

Carrier free

No

Reacts with

Mouse, Rat, Human

Applications

ICC/IF, IP, Flow Cyt (Intra), WB, IHC-P

applications

Immunogen

The exact immunogen used to generate this antibody is proprietary information.

Reactivity data

{ "title": "Reactivity Data", "filters": { "stats": ["", "Species", "Dilution Info", "Notes"], "tabs": { "all-applications": {"fullname" : "All Applications", "shortname": "All Applications"}, "IP" : {"fullname" : "Immunoprecipitation", "shortname":"IP"}, "WB" : {"fullname" : "Western blot", "shortname":"WB"}, "IHCP" : {"fullname" : "Immunohistochemistry (Formalin/PFA-fixed paraffin-embedded sections)", "shortname":"IHC-P"}, "ICCIF" : {"fullname" : "Immunocytochemistry/ Immunofluorescence", "shortname":"ICC/IF"}, "FlowCytIntra" : {"fullname" : "Flow Cytometry (Intracellular)", "shortname":"Flow Cyt (Intra)"} }, "product-promise": { "all": "all", "testedAndGuaranteed": "tested", "guaranteed": "expected", "predicted": "predicted", "notRecommended": "not-recommended" } }, "values": { "Human": { "IP-species-checked": "testedAndGuaranteed", "IP-species-dilution-info": "1/120", "IP-species-notes": "<p><strong>For unpurified, use 1/10 - 1/100.</strong></p>", "WB-species-checked": "testedAndGuaranteed", "WB-species-dilution-info": "1/10000 - 1/50000", "WB-species-notes": "<p></p>", "IHCP-species-checked": "testedAndGuaranteed", "IHCP-species-dilution-info": "1/100", "IHCP-species-notes": "<p></p>", "ICCIF-species-checked": "testedAndGuaranteed", "ICCIF-species-dilution-info": "1/250 - 1/500", "ICCIF-species-notes": "<p></p>", "FlowCytIntra-species-checked": "testedAndGuaranteed", "FlowCytIntra-species-dilution-info": "", "FlowCytIntra-species-notes": "<p></p>" }, "Mouse": { "IP-species-checked": "guaranteed", "IP-species-dilution-info": "", "IP-species-notes": "", "WB-species-checked": "testedAndGuaranteed", "WB-species-dilution-info": "1/10000 - 1/50000", "WB-species-notes": "<p></p>", "IHCP-species-checked": "guaranteed", "IHCP-species-dilution-info": "", "IHCP-species-notes": "", "ICCIF-species-checked": "guaranteed", "ICCIF-species-dilution-info": "", "ICCIF-species-notes": "", "FlowCytIntra-species-checked": "guaranteed", "FlowCytIntra-species-dilution-info": "", "FlowCytIntra-species-notes": "" }, "Rat": { "IP-species-checked": "guaranteed", "IP-species-dilution-info": "", "IP-species-notes": "", "WB-species-checked": "testedAndGuaranteed", "WB-species-dilution-info": "1/10000 - 1/50000", "WB-species-notes": "<p></p>", "IHCP-species-checked": "guaranteed", "IHCP-species-dilution-info": "", "IHCP-species-notes": "", "ICCIF-species-checked": "guaranteed", "ICCIF-species-dilution-info": "", "ICCIF-species-notes": "", "FlowCytIntra-species-checked": "guaranteed", "FlowCytIntra-species-dilution-info": "", "FlowCytIntra-species-notes": "" } } }

Product details

What is this antibody validated in?
Anti-STUB1/CHIP antibody [EPR4447] (ab134064) is a rabbit recombinant monoclonal antibody and is validated for use in Western Blot (WB), Flow Cytometry (Intra), Flow Cytometry (Flow Cyt), Immunoprecipitation (IP), Immunohistochemistry (IHC-P), Immunocytochemistry/immunofluorescence (ICC/IF) in Human, Mouse, Rat samples.

What is the molecular weight of STUB1/CHIP?
Anti-STUB1/CHIP [EPR4447] (ab134064) specifically detects a band for STUB1/CHIP (UniProt: Q9UNE7) at a molecular weight of 35kDa.

Trusted by the scientific community
Anti-STUB1/CHIP [EPR4447] (ab134064) was first used in a scientific publication in 2012 and has been cited over 20 times in peer-reviewed journals.

Reviewed by scientists
Anti-STUB1/CHIP [EPR4447] (ab134064) has over 5 independent reviews from customers.

Trial sizes available!
Test your antibody or perform pre-screening before committing to a larger quantity. Sold in 10µl. Discover our selection of trial-size antibodies.

Other related products
We have a range of other formats of antibody clone [EPR4447] also available for your convenience: ab134064, Carrier free - ab238966, PE - ab303131, APC - ab303132, HRP - ab303133, Alkaline Phosphatase - ab308734, Alexa Fluor® 488 - ab309692, Alexa Fluor® 647 - ab310058, Alexa Fluor® 594 - ab310450, Alexa Fluor® 555 - ab311978, Alexa Fluor® 568 - ab312452, Alexa Fluor® 750 - ab321071

Patented technology
Our RabMAb® technology is a patented hybridoma-based technology for making rabbit monoclonal antibodies. For details on our patents, please refer to RabMAb® patents.

What are the advantages of a recombinant monoclonal antibody?
This product is a recombinant monoclonal antibody, which offers several advantages including:

  • - High batch-to-batch consistency and reproducibility
  • - Improved sensitivity and specificity
  • - Long-term security of supply
  • - Animal-free batch production

For more information, read more on recombinant antibodies.

Properties and storage information

Form
Liquid
Purification technique
Affinity purification Protein A
Storage buffer
pH: 7.2 - 7.4 Preservative: 0.01% Sodium azide Constituents: PBS, 40% Glycerol (glycerin, glycerine), 0.05% BSA
Shipped at conditions
Blue Ice
Appropriate short-term storage duration
1-2 weeks
Appropriate short-term storage conditions
+4°C
Appropriate long-term storage conditions
-20°C
Aliquoting information
Upon delivery aliquot
Storage information
Stable for 12 months at -20°C

Supplementary information

This supplementary information is collated from multiple sources and compiled automatically.

STUB1 also known as CHIP (C-Terminal of Hsc70 Interacting Protein) is a protein with a molecular mass of approximately 35 kDa. It has ubiquitin ligase activity and functions as a co-chaperone. STUB1 interacts with chaperone proteins such as Hsp70 and Hsp90 modulating their activity. You can observe STUB1 expression in various tissues with higher levels found in the brain heart and skeletal muscle.
Biological function summary

STUB1 plays an important role in protein quality control by targeting misfolded or damaged proteins for degradation. It forms a complex with chaperone proteins Hsp70 and Hsp90 facilitating the ubiquitination process. This helps maintain cellular proteostasis. STUB1 has a critical role in preventing protein aggregation which is important in stress responses and normal cellular function.

Pathways

STUB1 has significant involvement in the protein degradation pathway and the heat shock response pathway. It works closely with proteasome-associated proteins to ensure proteostasis. In these pathways STUB1 interacts with other proteins such as Hsc70 and Hsp70 which assist in protein folding and stability under stress conditions.

STUB1 has links to neurodegenerative diseases and cancer. A dysfunction in STUB1 can lead to protein aggregation a hallmark of neurodegenerative conditions like Alzheimer's disease. In certain cancers altered STUB1 expression might affect cell survival pathways with related proteins including Hsp70 and Hsp90. Therapeutic strategies that modulate STUB1 and its interactions may provide avenues for disease intervention.

Product protocols

For this product, it's our understanding that no specific protocols are required. You can visit:

Target data

E3 ubiquitin-protein ligase which targets misfolded chaperone substrates towards proteasomal degradation (PubMed : 10330192, PubMed : 11146632, PubMed : 11557750, PubMed : 23990462, PubMed : 26265139). Plays a role in the maintenance of mitochondrial morphology and promotes mitophagic removal of dysfunctional mitochondria; thereby acts as a protector against apoptosis in response to cellular stress (By similarity). Negatively regulates vascular smooth muscle contraction, via degradation of the transcriptional activator MYOCD and subsequent loss of transcription of genes involved in vascular smooth muscle contraction (By similarity). Promotes survival and proliferation of cardiac smooth muscle cells via ubiquitination and degradation of FOXO1, resulting in subsequent repression of FOXO1-mediated transcription of pro-apoptotic genes (PubMed : 19483080). Ubiquitinates ICER-type isoforms of CREM and targets them for proteasomal degradation, thereby acts as a positive effector of MAPK/ERK-mediated inhibition of apoptosis in cardiomyocytes (PubMed : 20724525). Inhibits lipopolysaccharide-induced apoptosis and hypertrophy in cardiomyocytes, via ubiquitination and subsequent proteasomal degradation of NFATC3 (PubMed : 30980393). Collaborates with ATXN3 in the degradation of misfolded chaperone substrates : ATXN3 restricting the length of ubiquitin chain attached to STUB1/CHIP substrates and preventing further chain extension (PubMed : 10330192, PubMed : 11146632, PubMed : 11557750, PubMed : 23990462). Ubiquitinates NOS1 in concert with Hsp70 and Hsp40 (PubMed : 15466472). Modulates the activity of several chaperone complexes, including Hsp70, Hsc70 and Hsp90 (PubMed : 10330192, PubMed : 11146632, PubMed : 15466472). Ubiquitinates CHRNA3 targeting it for endoplasmic reticulum-associated degradation in cortical neurons, as part of the STUB1-VCP-UBXN2A complex (PubMed : 26265139). Ubiquitinates and promotes ESR1 proteasomal degradation in response to age-related circulating estradiol (17-beta-estradiol/E2) decline, thereby promotes neuronal apoptosis in response to ischemic reperfusion injury (By similarity). Mediates transfer of non-canonical short ubiquitin chains to HSPA8 that have no effect on HSPA8 degradation (PubMed : 11557750, PubMed : 23990462). Mediates polyubiquitination of DNA polymerase beta (POLB) at 'Lys-41', 'Lys-61' and 'Lys-81', thereby playing a role in base-excision repair : catalyzes polyubiquitination by amplifying the HUWE1/ARF-BP1-dependent monoubiquitination and leading to POLB-degradation by the proteasome (PubMed : 19713937). Mediates polyubiquitination of CYP3A4 (PubMed : 19103148). Ubiquitinates EPHA2 and may regulate the receptor stability and activity through proteasomal degradation (PubMed : 19567782). Acts as a co-chaperone for HSPA1A and HSPA1B chaperone proteins and promotes ubiquitin-mediated protein degradation (PubMed : 27708256). Negatively regulates the suppressive function of regulatory T-cells (Treg) during inflammation by mediating the ubiquitination and degradation of FOXP3 in a HSPA1A/B-dependent manner (PubMed : 23973223). Catalyzes monoubiquitination of SIRT6, preventing its degradation by the proteasome (PubMed : 24043303). Likely mediates polyubiquitination and down-regulates plasma membrane expression of PD-L1/CD274, an immune inhibitory ligand critical for immune tolerance to self and antitumor immunity (PubMed : 28813410). Negatively regulates TGF-beta signaling by modulating the basal level of SMAD3 via ubiquitin-mediated degradation (PubMed : 24613385). Plays a role in the degradation of TP53 (PubMed : 26634371). Mediates ubiquitination of RIPK3 leading to its subsequent proteasome-dependent degradation (PubMed : 29883609). May regulate myosin assembly in striated muscles together with UBE4B and VCP/p97 by targeting myosin chaperone UNC45B for proteasomal degradation (PubMed : 17369820). Ubiquitinates PPARG in macrophages playing a role in M2 macrophages polarization and angiogenesis (By similarity).
See full target information STUB1

Publications (39)

Recent publications for all applications. Explore the full list and refine your search

Antioxidants (Basel, Switzerland) 14: PubMed41009044

2025

Sheng Mai San Mitigates Heat Stress-Induced Myocardial Injury by Coordinated Regulation of the Keap1-Nrf2-HO-1 and Stub1-HSF1 Signaling Pathways.

Applications

Unspecified application

Species

Unspecified reactive species

Jiaqi Dong,Qian Ma,Rong Yang,Xiaosong Zhang,Yongli Hua,Peng Ji,Wanling Yao,Ziwen Yuan,Yanming Wei

Journal for immunotherapy of cancer 13: PubMed40954077

2025

LncRNA-CTD suppresses metastasis and immune evasion by modulating snail1 and MHC-I expression in colorectal cancer.

Applications

Unspecified application

Species

Unspecified reactive species

Ning Xu,Huisi Qiu,Yuezhang Sun,Hong Jin,Siyu Yan,Fangmei Zhang,Ying Song,Guopei Zheng,Dongjiang Liao,Xiaoli Wei,Liyun Luo

Cancer immunology, immunotherapy : CII 74:300 PubMed40931215

2025

Circ_0074158 and QKI6: A regulatory axis for PD-L1 ubiquitination and immune evasion in NSCLC.

Applications

Unspecified application

Species

Unspecified reactive species

Haihua Zhang,Xueying Liu,Jie Lei,Feng Tian,Xiaochen Liu,Feng Lv,Shuhong Kang,Ke Lan,Jian Wang,Xiaolong Yan,Yunfeng Ni

Cell death & disease 16:409 PubMed40399264

2025

Asb10 accelerates pathological cardiac remodeling by stabilizing HSP70.

Applications

Unspecified application

Species

Unspecified reactive species

Ke Lin,Wenjie Wei,Songzan Chen,Yingchao Gong,Xingchen Wang,Meihui Wang,Ran Li,Yanbo Zhao,Shengjie Xu,Chongying Jin,Chenyang Jiang,Guosheng Fu,Qinfeng Li

The Journal of biological chemistry 301:110242 PubMed40381695

2025

Machine learning-based multimodal radiomics and transcriptomics models for predicting radiotherapy sensitivity and prognosis in esophageal cancer.

Applications

Unspecified application

Species

Unspecified reactive species

Chengyu Ye,Hao Zhang,Zhou Chi,Zhina Xu,Yujie Cai,Yajing Xu,Xiangmin Tong

The EMBO journal 44:1249-1273 PubMed39806097

2025

E3 ubiquitin ligase CHIP facilitates cAMP and cGMP signalling cross-talk by polyubiquitinating PDE9A.

Applications

Unspecified application

Species

Unspecified reactive species

Xiaoyan Hao,Zhengwei Hu,Mengjie Li,Shuo Zhang,Mibo Tang,Chenwei Hao,Shasha Qi,Yuanyuan Liang,Michael F Almeida,Kaitlan Smith,Chunyan Zuo,Yanmei Feng,Mengnan Guo,Dongrui Ma,Shuangjie Li,Zhiyun Wang,Yuemeng Sun,Zhifen Deng,Chengyuan Mao,Zongping Xia,Yong Jiang,Yanxia Gao,Yuming Xu,Jonathan C Schisler,Changhe Shi

Communications biology 7:1439 PubMed39501077

2024

STUB1 suppresses paclitaxel resistance in ovarian cancer through mediating HOXB3 ubiquitination to inhibit PARK7 expression.

Applications

Unspecified application

Species

Unspecified reactive species

Laigang Zhao,HanLin Yang,Yuanmei Wang,Shuang Yang,Qisi Jiang,Jun Tan,Xing Zhao,Dan Zi

Communications biology 7:1403 PubMed39462094

2024

CHIP drives proteasomal degradation of NUR77 to alleviate oxidative stress and intrinsic apoptosis in cisplatin-induced nephropathy.

Applications

Unspecified application

Species

Unspecified reactive species

Hao Zhang,Zebin Deng,Yilong Wang,Xiaoping Zheng,Lizhi Zhou,Shu Yan,Yinhuai Wang,Yingbo Dai,Yashpal S Kanwar,Fangzhi Chen,Fei Deng

iScience 27:109870 PubMed38799573

2024

IGF2BP3 modified GLI2 transcriptionally regulates SYVN1 and facilitates sepsis liver injury through autophagy.

Applications

Unspecified application

Species

Unspecified reactive species

Chuanzheng Sun,Min Gao,Haotian Hu,Jing Qi,Yishu Tang,Xiaoxue Cao,Runbang Zhang,Huaizheng Liu

Heliyon 10:e28600 PubMed38601585

2024

GABA/baclofen stabilizes PD-L1 and enhances immunotherapy of breast cancer.

Applications

Unspecified application

Species

Unspecified reactive species

Xue Sun,Mingen Lin,Ziyin Tian,Yan Ma,Lei Lv
View all publications

Product promise

We are committed to supporting your work with high-quality reagents, and we're here for you every step of the way. In the unlikely event that one of our products does not perform as expected, you're protected by our Product Promise.
For full details, please see our Terms & Conditions

Please note: All products are 'FOR RESEARCH USE ONLY. NOT FOR USE IN DIAGNOSTIC OR THERAPEUTIC PROCEDURES'.

For licensing inquiries, please contact partnerships@abcam.com