JavaScript is disabled in your browser. Please enable JavaScript to view this website.
AB238966

Anti-STUB1/CHIP antibody [EPR4447] - BSA and Azide free

Be the first to review this product! Submit a review

|

(1 Publication)

Rabbit Recombinant Monoclonal STUB1/CHIP antibody. Carrier free. Suitable for IP, WB, IHC-P, ICC/IF, Flow Cyt (Intra) and reacts with Human, Mouse, Rat samples. Cited in 1 publication.

View Alternative Names

CHIP, PP1131, STUB1, E3 ubiquitin-protein ligase CHIP, Antigen NY-CO-7, CLL-associated antigen KW-8, Carboxy terminus of Hsp70-interacting protein, RING-type E3 ubiquitin transferase CHIP, STIP1 homology and U box-containing protein 1

4 Images
Flow Cytometry (Intracellular) - Anti-STUB1/CHIP antibody [EPR4447] - BSA and Azide free (AB238966)
  • Flow Cyt (Intra)

Lab

Flow Cytometry (Intracellular) - Anti-STUB1/CHIP antibody [EPR4447] - BSA and Azide free (AB238966)

Intracellular Flow Cytometry analysis of SH-SY5Y (human neuroblastoma) cells labeling STUB1/CHIP with purified ab134064 at 1/120 dilution (10ug/ml) (red). Cells were fixed with 4% paraformaldehyde and permeabilised with 90% methanol. A Goat anti rabbit IgG (Alexa Fluor® 488) (1/2000 dilution) was used as the secondary antibody. Rabbit monoclonal IgG (Black) was used as the isotype control, cells without incubation with primary antibody and secondary antibody (Blue) were used as the unlabeled control.

This data was developed using the same antibody clone in a different buffer formulation containing PBS, BSA, glycerol, and sodium azide (ab134064).

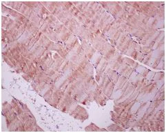
Immunohistochemistry (Formalin/PFA-fixed paraffin-embedded sections) - Anti-STUB1/CHIP antibody [EPR4447] - BSA and Azide free (AB238966)
  • IHC-P

Unknown

Immunohistochemistry (Formalin/PFA-fixed paraffin-embedded sections) - Anti-STUB1/CHIP antibody [EPR4447] - BSA and Azide free (AB238966)

Immunohistochemical analysis of paraffin-embedded human skeletal muscle tissue labelling STUB1/CHIP with unpurified ab134064 at 1/100 dilution.

This data was developed using the same antibody clone in a different buffer formulation containing PBS, BSA, glycerol and sodium azide (ab134064).

Immunocytochemistry/ Immunofluorescence - Anti-STUB1/CHIP antibody [EPR4447] - BSA and Azide free (AB238966)
  • ICC/IF

Unknown

Immunocytochemistry/ Immunofluorescence - Anti-STUB1/CHIP antibody [EPR4447] - BSA and Azide free (AB238966)

Immunofluorescence staining of SH-SY5Y cells with purified ab134064 at a working dilution of 1/250, counter-stained with DAPI. The secondary antibody was Alexa Fluor® 488 goat anti-rabbit (ab150077), used at a dilution of 1/1000. ab7291, a mouse anti-tubulin antibody (1/1000), was used to stain tubulin along with ab150120 (Alexa Fluor® 594 goat anti-mouse, 1/1000), shown in the top right hand panel. The cells were fixed in 100% methanol and permeabilized using 0.1% Triton X 100. The negative controls are shown in bottom middle and right hand panels - for negative control 1, purified ab134064 was used at a dilution of 1/500 followed by an Alexa Fluor® 594 goat anti-mouse antibody (ab150120) at a dilution of 1/500. For negative control 2, ab7291 (mouse anti-tubulin) was used at a dilution of 1/500 followed by an Alexa Fluor® 488 goat anti-rabbit antibody (ab150077) at a dilution of 1/400.

This data was developed using the same antibody clone in a different buffer formulation containing PBS, BSA, glycerol, and sodium azide (ab134064).

Immunoprecipitation - Anti-STUB1/CHIP antibody [EPR4447] - BSA and Azide free (AB238966)
  • IP

Unknown

Immunoprecipitation - Anti-STUB1/CHIP antibody [EPR4447] - BSA and Azide free (AB238966)

ab134064 (purified) at 1/120 immunoprecipitating STUB1/CHIP in 10 μg HeLa (Lanes 1 and 2, observed at 35 kDa). Lane 3 - PBS. For western blotting, a HRP-conjugated anti-rabbit IgG, specific to the non-reduced form of IgG was used as the secondary antibody (1/1500). Blocking buffer and concentration : 5% NFDM/TBST Dilution buffer and concentration : 5% NFDM/TBST

This data was developed using the same antibody clone in a different buffer formulation containing PBS, BSA, glycerol, and sodium azide (ab134064).

All lanes:

Immunoprecipitation - Anti-STUB1/CHIP antibody [EPR4447] (<a href='/en-us/products/primary-antibodies/stub1-chip-antibody-epr4447-ab134064'>ab134064</a>)

Predicted band size: 35 kDa

false

  • Unconjugated

    Anti-STUB1/CHIP antibody [EPR4447]

  • 775 Alexa Fluor® 750

    Alexa Fluor® 750 Anti-STUB1/CHIP antibody [EPR4447]

  • 578 PE

    PE Anti-STUB1 / CHIP antibody [EPR4447]

  • 660 APC

    APC Anti-STUB1 / CHIP antibody [EPR4447]

  • HRP

    HRP Anti-STUB1 / CHIP antibody [EPR4447]

  • Alkaline Phosphatase

    Alkaline Phosphatase Anti-STUB1 / CHIP antibody [EPR4447]

  • 519 Alexa Fluor® 488

    Alexa Fluor® 488 Anti-STUB1 / CHIP antibody [EPR4447]

  • 665 Alexa Fluor® 647

    Alexa Fluor® 647 Anti-STUB1 / CHIP antibody [EPR4447]

  • 617 Alexa Fluor® 594

    Alexa Fluor® 594 Anti-STUB1 / CHIP antibody [EPR4447]

  • 565 Alexa Fluor® 555

    Alexa Fluor® 555 Anti-STUB1 / CHIP antibody [EPR4447]

  • 603 Alexa Fluor® 568

    Alexa Fluor® 568 Anti-STUB1 / CHIP antibody [EPR4447]

Key facts

Host species

Rabbit

Clonality

Monoclonal

Clone number

EPR4447

Isotype

IgG

Carrier free

Yes

Reacts with

Mouse, Rat, Human

Applications

Flow Cyt (Intra), ICC/IF, IP, WB, IHC-P

applications

Immunogen

The exact immunogen used to generate this antibody is proprietary information.

Reactivity data

{ "title": "Reactivity Data", "filters": { "stats": ["", "Species", "Dilution Info", "Notes"], "tabs": { "all-applications": {"fullname" : "All Applications", "shortname": "All Applications"}, "IP" : {"fullname" : "Immunoprecipitation", "shortname":"IP"}, "WB" : {"fullname" : "Western blot", "shortname":"WB"}, "IHCP" : {"fullname" : "Immunohistochemistry (Formalin/PFA-fixed paraffin-embedded sections)", "shortname":"IHC-P"}, "ICCIF" : {"fullname" : "Immunocytochemistry/ Immunofluorescence", "shortname":"ICC/IF"}, "FlowCytIntra" : {"fullname" : "Flow Cytometry (Intracellular)", "shortname":"Flow Cyt (Intra)"} }, "product-promise": { "all": "all", "testedAndGuaranteed": "tested", "guaranteed": "expected", "predicted": "predicted", "notRecommended": "not-recommended" } }, "values": { "Human": { "IP-species-checked": "testedAndGuaranteed", "IP-species-dilution-info": "", "IP-species-notes": "<p></p>", "WB-species-checked": "guaranteed", "WB-species-dilution-info": "", "WB-species-notes": "<p></p>", "IHCP-species-checked": "testedAndGuaranteed", "IHCP-species-dilution-info": "1/100", "IHCP-species-notes": "<p></p>", "ICCIF-species-checked": "testedAndGuaranteed", "ICCIF-species-dilution-info": "", "ICCIF-species-notes": "<p></p>", "FlowCytIntra-species-checked": "testedAndGuaranteed", "FlowCytIntra-species-dilution-info": "", "FlowCytIntra-species-notes": "<p></p>" }, "Mouse": { "IP-species-checked": "predicted", "IP-species-dilution-info": "", "IP-species-notes": "", "WB-species-checked": "guaranteed", "WB-species-dilution-info": "", "WB-species-notes": "<p></p>", "IHCP-species-checked": "predicted", "IHCP-species-dilution-info": "", "IHCP-species-notes": "", "ICCIF-species-checked": "predicted", "ICCIF-species-dilution-info": "", "ICCIF-species-notes": "", "FlowCytIntra-species-checked": "predicted", "FlowCytIntra-species-dilution-info": "", "FlowCytIntra-species-notes": "" }, "Rat": { "IP-species-checked": "predicted", "IP-species-dilution-info": "", "IP-species-notes": "", "WB-species-checked": "guaranteed", "WB-species-dilution-info": "", "WB-species-notes": "<p></p>", "IHCP-species-checked": "predicted", "IHCP-species-dilution-info": "", "IHCP-species-notes": "", "ICCIF-species-checked": "predicted", "ICCIF-species-dilution-info": "", "ICCIF-species-notes": "", "FlowCytIntra-species-checked": "predicted", "FlowCytIntra-species-dilution-info": "", "FlowCytIntra-species-notes": "" } } }

Product details

ab238966 is the carrier-free version of ab134064.

Patented technology
Our RabMAb® technology is a patented hybridoma-based technology for making rabbit monoclonal antibodies. For details on our patents, please refer to RabMAb® patents.

What are the advantages of a recombinant monoclonal antibody?
This product is a recombinant monoclonal antibody, which offers several advantages including:

  • - High batch-to-batch consistency and reproducibility
  • - Improved sensitivity and specificity
  • - Long-term security of supply
  • - Animal-free batch production

For more information, read more on recombinant antibodies.

Conjugation ready
Our carrier-free antibodies are typically supplied in a PBS-only formulation, purified and free of BSA, sodium azide and glycerol. This conjugation-ready format is designed for use with fluorochromes, metal isotopes, oligonucleotides, and enzymes, which makes them ideal for antibody labelling, functional and cell-based assays, flow-based assays (e.g. mass cytometry) and Multiplex Imaging applications.

Use our conjugation kits for antibody conjugates that are ready-to-use in as little as 20 minutes with 1 minute hands-on-time and 100% antibody recovery: available for fluorescent dyes, HRP, biotin and gold.

Compatibility
This product is compatible with the Maxpar® Antibody Labeling Kit from Fluidigm, without the need for antibody preparation. Maxpar® is a trademark of Fluidigm Canada Inc.

Properties and storage information

Form
Liquid
Purification technique
Affinity purification Protein A
Storage buffer
pH: 7.2 - 7.4 Constituents: PBS
Shipped at conditions
Blue Ice
Appropriate short-term storage conditions
+4°C
Appropriate long-term storage conditions
+4°C
Storage information
Do Not Freeze

Supplementary information

This supplementary information is collated from multiple sources and compiled automatically.

STUB1 also known as CHIP (C-Terminal of Hsc70 Interacting Protein) is a protein with a molecular mass of approximately 35 kDa. It has ubiquitin ligase activity and functions as a co-chaperone. STUB1 interacts with chaperone proteins such as Hsp70 and Hsp90 modulating their activity. You can observe STUB1 expression in various tissues with higher levels found in the brain heart and skeletal muscle.
Biological function summary

STUB1 plays an important role in protein quality control by targeting misfolded or damaged proteins for degradation. It forms a complex with chaperone proteins Hsp70 and Hsp90 facilitating the ubiquitination process. This helps maintain cellular proteostasis. STUB1 has a critical role in preventing protein aggregation which is important in stress responses and normal cellular function.

Pathways

STUB1 has significant involvement in the protein degradation pathway and the heat shock response pathway. It works closely with proteasome-associated proteins to ensure proteostasis. In these pathways STUB1 interacts with other proteins such as Hsc70 and Hsp70 which assist in protein folding and stability under stress conditions.

STUB1 has links to neurodegenerative diseases and cancer. A dysfunction in STUB1 can lead to protein aggregation a hallmark of neurodegenerative conditions like Alzheimer's disease. In certain cancers altered STUB1 expression might affect cell survival pathways with related proteins including Hsp70 and Hsp90. Therapeutic strategies that modulate STUB1 and its interactions may provide avenues for disease intervention.

Product protocols

For this product, it's our understanding that no specific protocols are required. You can visit:

Target data

E3 ubiquitin-protein ligase which targets misfolded chaperone substrates towards proteasomal degradation (PubMed : 10330192, PubMed : 11146632, PubMed : 11557750, PubMed : 23990462, PubMed : 26265139). Plays a role in the maintenance of mitochondrial morphology and promotes mitophagic removal of dysfunctional mitochondria; thereby acts as a protector against apoptosis in response to cellular stress (By similarity). Negatively regulates vascular smooth muscle contraction, via degradation of the transcriptional activator MYOCD and subsequent loss of transcription of genes involved in vascular smooth muscle contraction (By similarity). Promotes survival and proliferation of cardiac smooth muscle cells via ubiquitination and degradation of FOXO1, resulting in subsequent repression of FOXO1-mediated transcription of pro-apoptotic genes (PubMed : 19483080). Ubiquitinates ICER-type isoforms of CREM and targets them for proteasomal degradation, thereby acts as a positive effector of MAPK/ERK-mediated inhibition of apoptosis in cardiomyocytes (PubMed : 20724525). Inhibits lipopolysaccharide-induced apoptosis and hypertrophy in cardiomyocytes, via ubiquitination and subsequent proteasomal degradation of NFATC3 (PubMed : 30980393). Collaborates with ATXN3 in the degradation of misfolded chaperone substrates : ATXN3 restricting the length of ubiquitin chain attached to STUB1/CHIP substrates and preventing further chain extension (PubMed : 10330192, PubMed : 11146632, PubMed : 11557750, PubMed : 23990462). Ubiquitinates NOS1 in concert with Hsp70 and Hsp40 (PubMed : 15466472). Modulates the activity of several chaperone complexes, including Hsp70, Hsc70 and Hsp90 (PubMed : 10330192, PubMed : 11146632, PubMed : 15466472). Ubiquitinates CHRNA3 targeting it for endoplasmic reticulum-associated degradation in cortical neurons, as part of the STUB1-VCP-UBXN2A complex (PubMed : 26265139). Ubiquitinates and promotes ESR1 proteasomal degradation in response to age-related circulating estradiol (17-beta-estradiol/E2) decline, thereby promotes neuronal apoptosis in response to ischemic reperfusion injury (By similarity). Mediates transfer of non-canonical short ubiquitin chains to HSPA8 that have no effect on HSPA8 degradation (PubMed : 11557750, PubMed : 23990462). Mediates polyubiquitination of DNA polymerase beta (POLB) at 'Lys-41', 'Lys-61' and 'Lys-81', thereby playing a role in base-excision repair : catalyzes polyubiquitination by amplifying the HUWE1/ARF-BP1-dependent monoubiquitination and leading to POLB-degradation by the proteasome (PubMed : 19713937). Mediates polyubiquitination of CYP3A4 (PubMed : 19103148). Ubiquitinates EPHA2 and may regulate the receptor stability and activity through proteasomal degradation (PubMed : 19567782). Acts as a co-chaperone for HSPA1A and HSPA1B chaperone proteins and promotes ubiquitin-mediated protein degradation (PubMed : 27708256). Negatively regulates the suppressive function of regulatory T-cells (Treg) during inflammation by mediating the ubiquitination and degradation of FOXP3 in a HSPA1A/B-dependent manner (PubMed : 23973223). Catalyzes monoubiquitination of SIRT6, preventing its degradation by the proteasome (PubMed : 24043303). Likely mediates polyubiquitination and down-regulates plasma membrane expression of PD-L1/CD274, an immune inhibitory ligand critical for immune tolerance to self and antitumor immunity (PubMed : 28813410). Negatively regulates TGF-beta signaling by modulating the basal level of SMAD3 via ubiquitin-mediated degradation (PubMed : 24613385). Plays a role in the degradation of TP53 (PubMed : 26634371). Mediates ubiquitination of RIPK3 leading to its subsequent proteasome-dependent degradation (PubMed : 29883609). May regulate myosin assembly in striated muscles together with UBE4B and VCP/p97 by targeting myosin chaperone UNC45B for proteasomal degradation (PubMed : 17369820). Ubiquitinates PPARG in macrophages playing a role in M2 macrophages polarization and angiogenesis (By similarity).
See full target information STUB1

Publications (1)

Recent publications for all applications. Explore the full list and refine your search

Cell death discovery 7:33 PubMed33597510

2021

Heparanase induces necroptosis of microvascular endothelial cells to promote the metastasis of hepatocellular carcinoma.

Applications

Unspecified application

Species

Unspecified reactive species

Xiaopeng Chen,Bin Cheng,Dafei Dai,Yuhai Wu,Zhiwen Feng,Chaogang Tong,Xiangming Wang,Jun Zhao
View all publications

Product promise

We are committed to supporting your work with high-quality reagents, and we're here for you every step of the way. In the unlikely event that one of our products does not perform as expected, you're protected by our Product Promise.
For full details, please see our Terms & Conditions

Please note: All products are 'FOR RESEARCH USE ONLY. NOT FOR USE IN DIAGNOSTIC OR THERAPEUTIC PROCEDURES'.

For licensing inquiries, please contact partnerships@abcam.com