JavaScript is disabled in your browser. Please enable JavaScript to view this website.
AB109103

Anti-STUB1/CHIP antibody [EPR4448]

3

(2 Reviews)

|

(6 Publications)

Rabbit Recombinant Monoclonal STUB1/CHIP antibody. Suitable for WB, ICC/IF and reacts with Human samples. Cited in 6 publications.

View Alternative Names

CHIP, PP1131, STUB1, E3 ubiquitin-protein ligase CHIP, Antigen NY-CO-7, CLL-associated antigen KW-8, Carboxy terminus of Hsp70-interacting protein, RING-type E3 ubiquitin transferase CHIP, STIP1 homology and U box-containing protein 1

2 Images
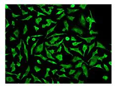
Immunocytochemistry/ Immunofluorescence - Anti-STUB1/CHIP antibody [EPR4448] (AB109103)
  • ICC/IF

Unknown

Immunocytochemistry/ Immunofluorescence - Anti-STUB1/CHIP antibody [EPR4448] (AB109103)

Immunofluorescent staining of STUB1/CHIP in HeLa cells using ab109103 at 1/100 dilution.

Western blot - Anti-STUB1/CHIP antibody [EPR4448] (AB109103)
  • WB

Unknown

Western blot - Anti-STUB1/CHIP antibody [EPR4448] (AB109103)

All lanes:

Western blot - Anti-STUB1/CHIP antibody [EPR4448] (ab109103) at 1/1000 dilution

Lane 1:

HeLa cell lysate at 10 µg

Lane 2:

MCF7 cell lysate at 10 µg

Lane 3:

ECV304 cell lysate at 10 µg

Lane 4:

293T cell lysate at 10 µg

Predicted band size: 35 kDa

false

Key facts

Host species

Rabbit

Clonality

Monoclonal

Clone number

EPR4448

Isotype

IgG

Carrier free

No

Reacts with

Human

Applications

WB, ICC/IF

applications

Immunogen

The exact immunogen used to generate this antibody is proprietary information.

Reactivity data

{ "title": "Reactivity Data", "filters": { "stats": ["", "Species", "Dilution Info", "Notes"], "tabs": { "all-applications": {"fullname" : "All Applications", "shortname": "All Applications"}, "FlowCyt" : {"fullname" : "Flow Cytometry", "shortname":"Flow Cyt"}, "WB" : {"fullname" : "Western blot", "shortname":"WB"}, "IHCP" : {"fullname" : "Immunohistochemistry (Formalin/PFA-fixed paraffin-embedded sections)", "shortname":"IHC-P"}, "ICCIF" : {"fullname" : "Immunocytochemistry/ Immunofluorescence", "shortname":"ICC/IF"} }, "product-promise": { "all": "all", "testedAndGuaranteed": "tested", "guaranteed": "expected", "predicted": "predicted", "notRecommended": "not-recommended" } }, "values": { "Human": { "FlowCyt-species-checked": "notRecommended", "FlowCyt-species-dilution-info": "", "FlowCyt-species-notes": "<p></p>", "WB-species-checked": "testedAndGuaranteed", "WB-species-dilution-info": "1/1000 - 1/10000", "WB-species-notes": "<p></p>", "IHCP-species-checked": "notRecommended", "IHCP-species-dilution-info": "", "IHCP-species-notes": "<p></p>", "ICCIF-species-checked": "testedAndGuaranteed", "ICCIF-species-dilution-info": "1/100 - 1/250", "ICCIF-species-notes": "<p></p>" }, "Mouse": { "FlowCyt-species-checked": "notRecommended", "FlowCyt-species-dilution-info": "", "FlowCyt-species-notes": "", "WB-species-checked": "predicted", "WB-species-dilution-info": "", "WB-species-notes": "", "IHCP-species-checked": "notRecommended", "IHCP-species-dilution-info": "", "IHCP-species-notes": "", "ICCIF-species-checked": "predicted", "ICCIF-species-dilution-info": "", "ICCIF-species-notes": "" }, "Rat": { "FlowCyt-species-checked": "notRecommended", "FlowCyt-species-dilution-info": "", "FlowCyt-species-notes": "", "WB-species-checked": "predicted", "WB-species-dilution-info": "", "WB-species-notes": "", "IHCP-species-checked": "notRecommended", "IHCP-species-dilution-info": "", "IHCP-species-notes": "", "ICCIF-species-checked": "predicted", "ICCIF-species-dilution-info": "", "ICCIF-species-notes": "" } } }

Product details

Patented technology
Our RabMAb® technology is a patented hybridoma-based technology for making rabbit monoclonal antibodies. For details on our patents, please refer to RabMAb® patents.

What are the advantages of a recombinant monoclonal antibody?
This product is a recombinant monoclonal antibody, which offers several advantages including:

  • - High batch-to-batch consistency and reproducibility
  • - Improved sensitivity and specificity
  • - Long-term security of supply
  • - Animal-free batch production

For more information, read more on recombinant antibodies.

Properties and storage information

Form
Liquid
Purification technique
Affinity purification Protein A
Storage buffer
pH: 7.2 - 7.4 Preservative: 0.01% Sodium azide Constituents: PBS, 50% Tissue culture supernatant, 40% Glycerol (glycerin, glycerine), 0.05% BSA
Shipped at conditions
Blue Ice
Appropriate short-term storage conditions
+4°C
Appropriate long-term storage conditions
-20°C
Storage information
Stable for 12 months at -20°C

Supplementary information

This supplementary information is collated from multiple sources and compiled automatically.

STUB1 also known as CHIP (C-Terminal of Hsc70 Interacting Protein) is a protein with a molecular mass of approximately 35 kDa. It has ubiquitin ligase activity and functions as a co-chaperone. STUB1 interacts with chaperone proteins such as Hsp70 and Hsp90 modulating their activity. You can observe STUB1 expression in various tissues with higher levels found in the brain heart and skeletal muscle.
Biological function summary

STUB1 plays an important role in protein quality control by targeting misfolded or damaged proteins for degradation. It forms a complex with chaperone proteins Hsp70 and Hsp90 facilitating the ubiquitination process. This helps maintain cellular proteostasis. STUB1 has a critical role in preventing protein aggregation which is important in stress responses and normal cellular function.

Pathways

STUB1 has significant involvement in the protein degradation pathway and the heat shock response pathway. It works closely with proteasome-associated proteins to ensure proteostasis. In these pathways STUB1 interacts with other proteins such as Hsc70 and Hsp70 which assist in protein folding and stability under stress conditions.

STUB1 has links to neurodegenerative diseases and cancer. A dysfunction in STUB1 can lead to protein aggregation a hallmark of neurodegenerative conditions like Alzheimer's disease. In certain cancers altered STUB1 expression might affect cell survival pathways with related proteins including Hsp70 and Hsp90. Therapeutic strategies that modulate STUB1 and its interactions may provide avenues for disease intervention.

Product protocols

For this product, it's our understanding that no specific protocols are required. You can visit:

Target data

E3 ubiquitin-protein ligase which targets misfolded chaperone substrates towards proteasomal degradation (PubMed : 10330192, PubMed : 11146632, PubMed : 11557750, PubMed : 23990462, PubMed : 26265139). Plays a role in the maintenance of mitochondrial morphology and promotes mitophagic removal of dysfunctional mitochondria; thereby acts as a protector against apoptosis in response to cellular stress (By similarity). Negatively regulates vascular smooth muscle contraction, via degradation of the transcriptional activator MYOCD and subsequent loss of transcription of genes involved in vascular smooth muscle contraction (By similarity). Promotes survival and proliferation of cardiac smooth muscle cells via ubiquitination and degradation of FOXO1, resulting in subsequent repression of FOXO1-mediated transcription of pro-apoptotic genes (PubMed : 19483080). Ubiquitinates ICER-type isoforms of CREM and targets them for proteasomal degradation, thereby acts as a positive effector of MAPK/ERK-mediated inhibition of apoptosis in cardiomyocytes (PubMed : 20724525). Inhibits lipopolysaccharide-induced apoptosis and hypertrophy in cardiomyocytes, via ubiquitination and subsequent proteasomal degradation of NFATC3 (PubMed : 30980393). Collaborates with ATXN3 in the degradation of misfolded chaperone substrates : ATXN3 restricting the length of ubiquitin chain attached to STUB1/CHIP substrates and preventing further chain extension (PubMed : 10330192, PubMed : 11146632, PubMed : 11557750, PubMed : 23990462). Ubiquitinates NOS1 in concert with Hsp70 and Hsp40 (PubMed : 15466472). Modulates the activity of several chaperone complexes, including Hsp70, Hsc70 and Hsp90 (PubMed : 10330192, PubMed : 11146632, PubMed : 15466472). Ubiquitinates CHRNA3 targeting it for endoplasmic reticulum-associated degradation in cortical neurons, as part of the STUB1-VCP-UBXN2A complex (PubMed : 26265139). Ubiquitinates and promotes ESR1 proteasomal degradation in response to age-related circulating estradiol (17-beta-estradiol/E2) decline, thereby promotes neuronal apoptosis in response to ischemic reperfusion injury (By similarity). Mediates transfer of non-canonical short ubiquitin chains to HSPA8 that have no effect on HSPA8 degradation (PubMed : 11557750, PubMed : 23990462). Mediates polyubiquitination of DNA polymerase beta (POLB) at 'Lys-41', 'Lys-61' and 'Lys-81', thereby playing a role in base-excision repair : catalyzes polyubiquitination by amplifying the HUWE1/ARF-BP1-dependent monoubiquitination and leading to POLB-degradation by the proteasome (PubMed : 19713937). Mediates polyubiquitination of CYP3A4 (PubMed : 19103148). Ubiquitinates EPHA2 and may regulate the receptor stability and activity through proteasomal degradation (PubMed : 19567782). Acts as a co-chaperone for HSPA1A and HSPA1B chaperone proteins and promotes ubiquitin-mediated protein degradation (PubMed : 27708256). Negatively regulates the suppressive function of regulatory T-cells (Treg) during inflammation by mediating the ubiquitination and degradation of FOXP3 in a HSPA1A/B-dependent manner (PubMed : 23973223). Catalyzes monoubiquitination of SIRT6, preventing its degradation by the proteasome (PubMed : 24043303). Likely mediates polyubiquitination and down-regulates plasma membrane expression of PD-L1/CD274, an immune inhibitory ligand critical for immune tolerance to self and antitumor immunity (PubMed : 28813410). Negatively regulates TGF-beta signaling by modulating the basal level of SMAD3 via ubiquitin-mediated degradation (PubMed : 24613385). Plays a role in the degradation of TP53 (PubMed : 26634371). Mediates ubiquitination of RIPK3 leading to its subsequent proteasome-dependent degradation (PubMed : 29883609). May regulate myosin assembly in striated muscles together with UBE4B and VCP/p97 by targeting myosin chaperone UNC45B for proteasomal degradation (PubMed : 17369820). Ubiquitinates PPARG in macrophages playing a role in M2 macrophages polarization and angiogenesis (By similarity).
See full target information STUB1

Publications (6)

Recent publications for all applications. Explore the full list and refine your search

Nature communications 15:7972 PubMed39266525

2024

Phosphorylation of tau at a single residue inhibits binding to the E3 ubiquitin ligase, CHIP.

Applications

Unspecified application

Species

Unspecified reactive species

Cory M Nadel,Saugat Pokhrel,Kristin Wucherer,Abby Oehler,Aye C Thwin,Koli Basu,Matthew D Callahan,Daniel R Southworth,Daniel A Mordes,Charles S Craik,Jason E Gestwicki

Heliyon 10:e35303 PubMed39170313

2024

ITPKA phosphorylates PYCR1 and promotes the progression of glioma.

Applications

Unspecified application

Species

Unspecified reactive species

Xiangying Luo,Tao Chen,Junyi Deng,Ziyuan Liu,Changlong Bi,Song Lan

The Journal of biological chemistry 298:101697 PubMed35148989

2022

Two distinct classes of cochaperones compete for the EEVD motif in heat shock protein 70 to tune its chaperone activities.

Applications

Unspecified application

Species

Unspecified reactive species

Oleta T Johnson,Cory M Nadel,Emma C Carroll,Taylor Arhar,Jason E Gestwicki

Drug metabolism and disposition: the biological fate of chemicals 44:137-50 PubMed26534988

2015

Threonine-408 Regulates the Stability of Human Pregnane X Receptor through Its Phosphorylation and the CHIP/Chaperone-Autophagy Pathway.

Applications

Unspecified application

Species

Unspecified reactive species

Junko Sugatani,Yuji Noguchi,Yoshiki Hattori,Masahiko Yamaguchi,Yasuhiro Yamazaki,Akira Ikari

The Journal of biological chemistry 289:28987-9000 PubMed25202009

2014

A cytosolic relay of heat shock proteins HSP70-1A and HSP90β monitors the folding trajectory of the serotonin transporter.

Applications

Unspecified application

Species

Unspecified reactive species

Ali El-Kasaby,Florian Koban,Harald H Sitte,Michael Freissmuth,Sonja Sucic

The Journal of biological chemistry 288:28831-44 PubMed23965991

2013

Recruitment of a cytoplasmic chaperone relay by the A2A adenosine receptor.

Applications

Unspecified application

Species

Unspecified reactive species

Christian Bergmayr,Patrick Thurner,Simon Keuerleber,Oliver Kudlacek,Christian Nanoff,Michael Freissmuth,Christian W Gruber
View all publications

Product promise

We are committed to supporting your work with high-quality reagents, and we're here for you every step of the way. In the unlikely event that one of our products does not perform as expected, you're protected by our Product Promise.
For full details, please see our Terms & Conditions

Please note: All products are 'FOR RESEARCH USE ONLY. NOT FOR USE IN DIAGNOSTIC OR THERAPEUTIC PROCEDURES'.

For licensing inquiries, please contact partnerships@abcam.com