JavaScript is disabled in your browser. Please enable JavaScript to view this website.
AB248419

Anti-Substance P antibody [EPR3959] - BSA and Azide free

Be the first to review this product! Submit a review

|

(1 Publication)

Rabbit Recombinant Monoclonal Protachykinin-1 antibody. Carrier free. Suitable for IHC-P and reacts with Human samples. Cited in 1 publication.

View Alternative Names

NKA, NKNA, TAC2, TAC1, Protachykinin-1, PPT

2 Images
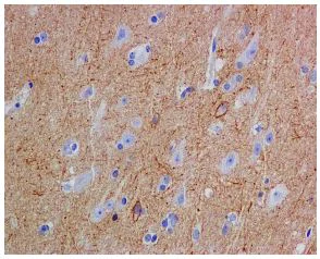
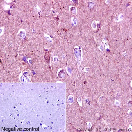
Immunohistochemistry (Formalin/PFA-fixed paraffin-embedded sections) - Anti-Substance P antibody [EPR3959] - BSA and Azide free (AB248419)
  • IHC-P

Lab

Immunohistochemistry (Formalin/PFA-fixed paraffin-embedded sections) - Anti-Substance P antibody [EPR3959] - BSA and Azide free (AB248419)

This data was developed using ab133240, the same antibody clone in a different buffer formulation.

Immunohistochemical staining of paraffin embedded human cerebral cortex with purified ab133240 at a working dilution of 1 in 250. The secondary antibody used is a HRP goat anti-rabbit (ab97051). The sample is counter-stained with hematoxylin. Antigen retrieval was perfomed using Tris-EDTA buffer, pH 9.0. PBS was used instead of the primary antibody as the negative control, and is shown in the inset.

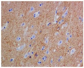
Immunohistochemistry (Formalin/PFA-fixed paraffin-embedded sections) - Anti-Substance P antibody [EPR3959] - BSA and Azide free (AB248419)
  • IHC-P

Unknown

Immunohistochemistry (Formalin/PFA-fixed paraffin-embedded sections) - Anti-Substance P antibody [EPR3959] - BSA and Azide free (AB248419)

This data was developed using ab133240, the same antibody clone in a different buffer formulation.

Immunohistochemical analysis of Substance P in paraffin embedded human brain tissue, using unpurified ab133240 at a 1/50 dilution.

Perform heat mediated antigen retrieval with citrate buffer pH 6 before commencing with IHC staining protocol.

Key facts

Host species

Rabbit

Clonality

Monoclonal

Clone number

EPR3959

Isotype

IgG

Carrier free

Yes

Reacts with

Human

Applications

IHC-P

applications

Immunogen

The exact immunogen used to generate this antibody is proprietary information.

Reactivity data

{ "title": "Reactivity Data", "filters": { "stats": ["", "Species", "Dilution Info", "Notes"], "tabs": { "all-applications": {"fullname" : "All Applications", "shortname": "All Applications"}, "IHCP" : {"fullname" : "Immunohistochemistry (Formalin/PFA-fixed paraffin-embedded sections)", "shortname":"IHC-P"}, "ICCIF" : {"fullname" : "Immunocytochemistry/ Immunofluorescence", "shortname":"ICC/IF"} }, "product-promise": { "all": "all", "testedAndGuaranteed": "tested", "guaranteed": "expected", "predicted": "predicted", "notRecommended": "not-recommended" } }, "values": { "Human": { "IHCP-species-checked": "testedAndGuaranteed", "IHCP-species-dilution-info": "", "IHCP-species-notes": "<p></p>", "ICCIF-species-checked": "notRecommended", "ICCIF-species-dilution-info": "", "ICCIF-species-notes": "<p></p>" } } }

Product details

ab248419 is the carrier-free version of ab133240.

Patented technology
Our RabMAb® technology is a patented hybridoma-based technology for making rabbit monoclonal antibodies. For details on our patents, please refer to RabMAb® patents.

What are the advantages of a recombinant monoclonal antibody?
This product is a recombinant monoclonal antibody, which offers several advantages including:

  • - High batch-to-batch consistency and reproducibility
  • - Improved sensitivity and specificity
  • - Long-term security of supply
  • - Animal-free batch production

For more information, read more on recombinant antibodies.

Conjugation ready
Our carrier-free antibodies are typically supplied in a PBS-only formulation, purified and free of BSA, sodium azide and glycerol. This conjugation-ready format is designed for use with fluorochromes, metal isotopes, oligonucleotides, and enzymes, which makes them ideal for antibody labelling, functional and cell-based assays, flow-based assays (e.g. mass cytometry) and Multiplex Imaging applications.

Use our conjugation kits for antibody conjugates that are ready-to-use in as little as 20 minutes with 1 minute hands-on-time and 100% antibody recovery: available for fluorescent dyes, HRP, biotin and gold.

Compatibility
This product is compatible with the Maxpar® Antibody Labeling Kit from Fluidigm, without the need for antibody preparation. Maxpar® is a trademark of Fluidigm Canada Inc.

Properties and storage information

Form
Liquid
Purification technique
Affinity purification Protein A
Storage buffer
pH: 7.2 - 7.4 Constituents: PBS
Shipped at conditions
Blue Ice
Appropriate short-term storage conditions
+4°C
Appropriate long-term storage conditions
+4°C
Storage information
Do Not Freeze

Supplementary information

This supplementary information is collated from multiple sources and compiled automatically.

Substance P also known as neurokinin 1 (NK1) receptor agonist is a neuropeptide with molecular mass approximately 1.3 kDa. Substance P exists mainly in the central nervous system and peripheral nervous system. This peptide performs mechanical roles by interacting with its receptor the NK1 receptor which is widespread in neurons and various tissues. It is important for processing pain signals and mood regulation. Substance P belongs to the family of tachykinins which are characterized by the common C-terminal sequence.
Biological function summary

This peptide acts as a neurotransmitter and neuromodulator in the body. Its functions are significant in the transmission of pain information into the central nervous system where it acts independently rather than being part of a larger protein complex. Additionally Substance P contributes to the regulation of inflammatory processes which impacts immune response. This peptide is not only important for pain perception but also participates in regulating emotional responses and stress.

Pathways

Substance P has a major role in the neurokinin signaling pathway. Within this pathway it interacts with other proteins such as calcitonin gene-related peptide (CGRP) enhancing its function in pain transmission and modulation. Additionally Substance P is part of the MAPK/ERK pathway where it influences cell proliferation and survival although its primary actions focus on signaling through the NK1 receptor.

Substance P is connected to conditions such as chronic pain and depression. By interacting with proteins like the NK1 receptor it is implicated in the sensation and perception of pain leading to an increased understanding of chronic pain mechanisms. Substance P also relates to inflammatory diseases with its involvement in pathways that influence inflammation and could serve as targets for therapeutic intervention in disorders like arthritis. Anti-substance therapeutics aim to modulate its effects to treat these conditions.

Product protocols

For this product, it's our understanding that no specific protocols are required. You can visit:

Target data

Tachykinins are active peptides which excite neurons, evoke behavioral responses, are potent vasodilators and secretagogues, and contract (directly or indirectly) many smooth muscles.
See full target information TAC1

Publications (1)

Recent publications for all applications. Explore the full list and refine your search

Oncology letters 24:457 PubMed36380881

2022

Suppressive effect of YY1-mediated RGS22 regulation on the proliferation, migration and invasion of pancreatic ductal adenocarcinoma.

Applications

Unspecified application

Species

Unspecified reactive species

Shou-Ji Cao,Wan-Li Ge,Ling-Dong Meng,Qun Chen,Yi Miao,Kui-Rong Jiang,Jing-Jing Zhang
View all publications

Product promise

We are committed to supporting your work with high-quality reagents, and we're here for you every step of the way. In the unlikely event that one of our products does not perform as expected, you're protected by our Product Promise.
For full details, please see our Terms & Conditions

Please note: All products are 'FOR RESEARCH USE ONLY. NOT FOR USE IN DIAGNOSTIC OR THERAPEUTIC PROCEDURES'.

For licensing inquiries, please contact partnerships@abcam.com