JavaScript is disabled in your browser. Please enable JavaScript to view this website.
AB14184

Anti-Substance P antibody [SP-DE4-21]

4

(15 Reviews)

|

(65 Publications)

Anti-Substance P antibody [SP-DE4-21] (ab14184) is a mouse monoclonal antibody detecting Substance P in IHC-P, ICC/IF, ELISA. Suitable for Guinea pig, Human, Mouse, Rat.

- Over 40 publications
- Trusted since 2004

View Alternative Names

NKA, NKNA, TAC2, TAC1, Protachykinin-1, PPT

4 Images
Immunohistochemistry (Formalin/PFA-fixed paraffin-embedded sections) - Anti-Substance P antibody [SP-DE4-21] (AB14184)
  • IHC-P

AbReview45827****

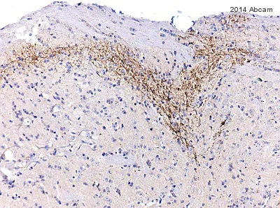
Immunohistochemistry (Formalin/PFA-fixed paraffin-embedded sections) - Anti-Substance P antibody [SP-DE4-21] (AB14184)

ab14184 staining Substance P in mouse spinal cord tissue sections by Immunohistochemistry (IHC-P - paraformaldehyde-fixed, paraffin-embedded sections). Tissue was fixed with formaldehyde and blocked with 1% BSA for 10 minutes at 21°C; antigen retrieval was by heat mediation in citric acid. Samples were incubated with primary antibody (1/500 in TBS/BSA/azide) for 2 hours at 21°C. A biotin-conjugated goat anti-mouse IgG polyclonal (1/200) was used as the secondary antibody.

This image is courtesy of an Abreview submitted by Carl Hobbs

Immunohistochemistry (Formalin/PFA-fixed paraffin-embedded sections) - Anti-Substance P antibody [SP-DE4-21] (AB14184)
  • IHC-P

AbReview28462****

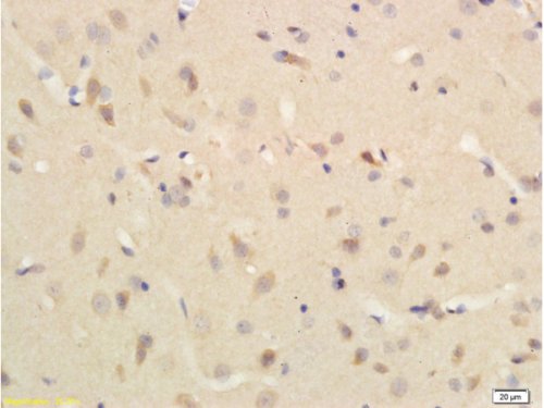
Immunohistochemistry (Formalin/PFA-fixed paraffin-embedded sections) - Anti-Substance P antibody [SP-DE4-21] (AB14184)

ab14184 staining Substance P in human pancreas tissue by Immunohistochemistry (Formalin/PFA-fixed paraffin-embedded sections).

Tissue was fixed in formaldehyde and an enzymatic antigen retrieval step was performed. Samples were then incubated with ab14184 at a 1/100 dilution for 1 hour. The secondary used was an undiluted HRP conjugated goat anti-mouse polyclonal.

Image courtesy of an anonymous Abreview.

Immunocytochemistry/ Immunofluorescence - Anti-Substance P antibody [SP-DE4-21] (AB14184)
  • ICC/IF

Unknown

Immunocytochemistry/ Immunofluorescence - Anti-Substance P antibody [SP-DE4-21] (AB14184)

ICC/IF image of ab14184 stained PC12 cells. The cells were 100% methanol fixed (5 min) and then incubated in 1%BSA / 10% normal goat serum / 0.3M glycine in 0.1% PBS-Tween for 1h to permeabilise the cells and block non-specific protein-protein interactions. The cells were then incubated with the antibody (ab14184, 1ug/ml) overnight at +4°C. The secondary antibody (green)ÿwas Alexa Fluor© 488 goat anti-mouse IgG (H+L) used at a 1/1000 dilution for 1h. Alexa Fluor© 594 WGA was used to label plasma membranes (red) at a 1/200 dilution for 1h. DAPI was used to stain the cell nuclei (blue) at a concentration of 1.43uM.

Immunohistochemistry (Formalin/PFA-fixed paraffin-embedded sections) - Anti-Substance P antibody [SP-DE4-21] (AB14184)
  • IHC-P

Unknown

Immunohistochemistry (Formalin/PFA-fixed paraffin-embedded sections) - Anti-Substance P antibody [SP-DE4-21] (AB14184)

Substance P staining at 1 : 1000 of the substancia gelatinosa (dorsal horn) of the guinea pig spinal cord using an HRP-conjugated secondary antibody and DAB.

Key facts

Host species

Mouse

Clonality

Monoclonal

Clone number

SP-DE4-21

Isotype

IgG1

Carrier free

No

Reacts with

Rat, Guinea pig, Human, Mouse

Applications

ICC/IF, ELISA, IHC-P

applications

Immunogen

Synthetic Peptide within Human TAC1 aa 50-100. The exact immunogen used to generate this antibody is proprietary information.

P20366

Specificity

The antibody reacts specifically with human Substance P. No crossreactivity with related tachykinins (human Neurokinin A, Neurokinin B, and Kassinin).

Reactivity data

{ "title": "Reactivity Data", "filters": { "stats": ["", "Species", "Dilution Info", "Notes"], "tabs": { "all-applications": {"fullname" : "All Applications", "shortname": "All Applications"}, "ELISA" : {"fullname" : "ELISA", "shortname":"ELISA"}, "IHCP" : {"fullname" : "Immunohistochemistry (Formalin/PFA-fixed paraffin-embedded sections)", "shortname":"IHC-P"}, "ICCIF" : {"fullname" : "Immunocytochemistry/ Immunofluorescence", "shortname":"ICC/IF"} }, "product-promise": { "all": "all", "testedAndGuaranteed": "tested", "guaranteed": "expected", "predicted": "predicted", "notRecommended": "not-recommended" } }, "values": { "Human": { "ELISA-species-checked": "guaranteed", "ELISA-species-dilution-info": "", "ELISA-species-notes": "<p></p>", "IHCP-species-checked": "predicted", "IHCP-species-dilution-info": "", "IHCP-species-notes": "", "ICCIF-species-checked": "predicted", "ICCIF-species-dilution-info": "", "ICCIF-species-notes": "" }, "Mouse": { "ELISA-species-checked": "guaranteed", "ELISA-species-dilution-info": "", "ELISA-species-notes": "<p></p>", "IHCP-species-checked": "testedAndGuaranteed", "IHCP-species-dilution-info": "1/1000 - 1/2000", "IHCP-species-notes": "<p></p>", "ICCIF-species-checked": "guaranteed", "ICCIF-species-dilution-info": "", "ICCIF-species-notes": "" }, "Rat": { "ELISA-species-checked": "guaranteed", "ELISA-species-dilution-info": "", "ELISA-species-notes": "<p></p>", "IHCP-species-checked": "guaranteed", "IHCP-species-dilution-info": "", "IHCP-species-notes": "", "ICCIF-species-checked": "testedAndGuaranteed", "ICCIF-species-dilution-info": "", "ICCIF-species-notes": "<p></p>" }, "Chicken": { "ELISA-species-checked": "predicted", "ELISA-species-dilution-info": "", "ELISA-species-notes": "", "IHCP-species-checked": "predicted", "IHCP-species-dilution-info": "", "IHCP-species-notes": "", "ICCIF-species-checked": "predicted", "ICCIF-species-dilution-info": "", "ICCIF-species-notes": "" }, "Common marmoset": { "ELISA-species-checked": "predicted", "ELISA-species-dilution-info": "", "ELISA-species-notes": "", "IHCP-species-checked": "predicted", "IHCP-species-dilution-info": "", "IHCP-species-notes": "", "ICCIF-species-checked": "predicted", "ICCIF-species-dilution-info": "", "ICCIF-species-notes": "" }, "Cow": { "ELISA-species-checked": "predicted", "ELISA-species-dilution-info": "", "ELISA-species-notes": "", "IHCP-species-checked": "predicted", "IHCP-species-dilution-info": "", "IHCP-species-notes": "", "ICCIF-species-checked": "predicted", "ICCIF-species-dilution-info": "", "ICCIF-species-notes": "" }, "Guinea pig": { "ELISA-species-checked": "guaranteed", "ELISA-species-dilution-info": "", "ELISA-species-notes": "<p></p>", "IHCP-species-checked": "predicted", "IHCP-species-dilution-info": "", "IHCP-species-notes": "", "ICCIF-species-checked": "predicted", "ICCIF-species-dilution-info": "", "ICCIF-species-notes": "" }, "Hamster": { "ELISA-species-checked": "predicted", "ELISA-species-dilution-info": "", "ELISA-species-notes": "", "IHCP-species-checked": "predicted", "IHCP-species-dilution-info": "", "IHCP-species-notes": "", "ICCIF-species-checked": "predicted", "ICCIF-species-dilution-info": "", "ICCIF-species-notes": "" }, "Horse": { "ELISA-species-checked": "predicted", "ELISA-species-dilution-info": "", "ELISA-species-notes": "", "IHCP-species-checked": "predicted", "IHCP-species-dilution-info": "", "IHCP-species-notes": "", "ICCIF-species-checked": "predicted", "ICCIF-species-dilution-info": "", "ICCIF-species-notes": "" }, "Shark": { "ELISA-species-checked": "predicted", "ELISA-species-dilution-info": "", "ELISA-species-notes": "", "IHCP-species-checked": "predicted", "IHCP-species-dilution-info": "", "IHCP-species-notes": "", "ICCIF-species-checked": "predicted", "ICCIF-species-dilution-info": "", "ICCIF-species-notes": "" } } }

Product details

What is this antibody validated in?
Anti-Substance P antibody [SP-DE4-21] (ab14184) is a mouse monoclonal antibody and is validated for use in Immunohistochemistry (IHC-P), Immunocytochemistry/immunofluorescence (ICC/IF), ELISA in Guinea pig, Human, Mouse, Rat samples.

Trusted by the scientific community
Anti-Substance P [SP-DE4-21] (ab14184) was first used in a scientific publication in 2004 and has been cited over 40 times in peer-reviewed journals.

Reviewed by scientists
Anti-Substance P [SP-DE4-21] (ab14184) has over 10 independent reviews from customers.

Properties and storage information

Form
Liquid
Purification technique
Affinity purification Protein G
Storage buffer
pH: 7.4 Constituents: PBS
Shipped at conditions
Blue Ice
Appropriate short-term storage conditions
+4°C
Appropriate long-term storage conditions
-20°C
Aliquoting information
Upon delivery aliquot
Storage information
Avoid freeze / thaw cycle

Supplementary information

This supplementary information is collated from multiple sources and compiled automatically.

Substance P also known as neurokinin 1 (NK1) receptor agonist is a neuropeptide with molecular mass approximately 1.3 kDa. Substance P exists mainly in the central nervous system and peripheral nervous system. This peptide performs mechanical roles by interacting with its receptor the NK1 receptor which is widespread in neurons and various tissues. It is important for processing pain signals and mood regulation. Substance P belongs to the family of tachykinins which are characterized by the common C-terminal sequence.
Biological function summary

This peptide acts as a neurotransmitter and neuromodulator in the body. Its functions are significant in the transmission of pain information into the central nervous system where it acts independently rather than being part of a larger protein complex. Additionally Substance P contributes to the regulation of inflammatory processes which impacts immune response. This peptide is not only important for pain perception but also participates in regulating emotional responses and stress.

Pathways

Substance P has a major role in the neurokinin signaling pathway. Within this pathway it interacts with other proteins such as calcitonin gene-related peptide (CGRP) enhancing its function in pain transmission and modulation. Additionally Substance P is part of the MAPK/ERK pathway where it influences cell proliferation and survival although its primary actions focus on signaling through the NK1 receptor.

Substance P is connected to conditions such as chronic pain and depression. By interacting with proteins like the NK1 receptor it is implicated in the sensation and perception of pain leading to an increased understanding of chronic pain mechanisms. Substance P also relates to inflammatory diseases with its involvement in pathways that influence inflammation and could serve as targets for therapeutic intervention in disorders like arthritis. Anti-substance therapeutics aim to modulate its effects to treat these conditions.

Product protocols

For this product, it's our understanding that no specific protocols are required. You can visit:

Target data

Tachykinins are active peptides which excite neurons, evoke behavioral responses, are potent vasodilators and secretagogues, and contract (directly or indirectly) many smooth muscles.
See full target information TAC1

Publications (65)

Recent publications for all applications. Explore the full list and refine your search

Journal of veterinary research 69:249-255 PubMed40552032

2025

Chemical coding of piglets small intestine neurons after prenatal exposure to β-hydroxy-β-methylbutyrate.

Applications

Unspecified application

Species

Unspecified reactive species

Aleksandra Dajnowska,Katarzyna Kras,Ewa Tomaszewska,Piotr Dobrowolski,Renata Klebaniuk,Siemowit Muszyński,Marcin Bartłomiej Arciszewski

Nature metabolism 7:1223-1245 PubMed40229448

2025

Protein-responsive gut hormone tachykinin directs food choice and impacts lifespan.

Applications

Unspecified application

Species

Unspecified reactive species

Nadja Ahrentløv,Olga Kubrak,Mette Lassen,Alina Malita,Takashi Koyama,Amalie S Frederiksen,Casper M Sigvardsen,Alphy John,Pernille E H Madsen,Kenneth V Halberg,Stanislav Nagy,Cordelia Imig,Erik A Richter,Michael J Texada,Kim Rewitz

Advanced science (Weinheim, Baden-Wurttemberg, Germany) 12:e2404835 PubMed39985258

2025

A Silk Fibroin Nanoparticle Hydrogel Loaded With NK1R Antagonist Has Synergistic Anti-Inflammatory and Reparative Effects on Dry Eye Disease.

Applications

Unspecified application

Species

Unspecified reactive species

Bo Gong,Yi Liu,Huan Li,Xueming Ju,Dongfeng Li,Yuhao Zou,Xiaoxin Guo,Kai Dong,Jialing Xiao,Weijia Wu,Renjie Chai,Ruifan Zhang,Man Yu

Journal of veterinary research 68:633-642 PubMed39776677

2025

The effect of prenatal fumonisin B exposure on bone innervation in newborn Wistar rats.

Applications

Unspecified application

Species

Unspecified reactive species

Ewa Tomaszewska,Piotr Dobrowolski,Aleksandra Dajnowska,Liwia Arbatowska,Iwona Puzio,Halyna Rudyk,Oksana Brezvyn,Ihor Kotsyumbas,Janine Donaldson,Jadwiga Śliwa,Marcin B Arciszewski,Siemowit Muszyński

Neuroendocrinology 115:269-282 PubMed39662068

2024

Immunohistochemical Identification of Sensory Neuropeptides Calcitonin Gene-Related Peptide, Substance P, and Pituitary Adenylate Cyclase-Activating Polypeptide in Efferent Vestibular Nucleus Neurons.

Applications

Unspecified application

Species

Unspecified reactive species

David Lorincz,Hannah Rose Drury,Rebecca Lim,Alan Martin Brichta

Journal of microbiology and biotechnology 34:1769-1777 PubMed39187454

2024

The Gut Microbial Lipid Metabolite 14(15)-EpETE Inhibits Substance P Release by Targeting GCG/PKA Signaling to Relieve Cisplatin-Induced Nausea and Vomiting in Rats.

Applications

Unspecified application

Species

Unspecified reactive species

Man Lu,Liwei Xie,Sijie Yin,Jing Zhou,Lingmei Yi,Ling Ye

Bioengineering (Basel, Switzerland) 11: PubMed38790364

2024

Effect of Exposure to Particulate Matter on the Ocular Surface in an Experimental Allergic Eye Disease Mouse Model.

Applications

Unspecified application

Species

Unspecified reactive species

Basanta Bhujel,Seheon Oh,Woojune Hur,Seorin Lee,Ho Seok Chung,Hun Lee,Jin Hyoung Park,Jae Yong Kim

International journal of molecular sciences 25: PubMed38612517

2024

Differences in Neuropathology between Nitroglycerin-Induced Mouse Models of Episodic and Chronic Migraine.

Applications

Unspecified application

Species

Unspecified reactive species

Songyi Park,Harry Jung,Sang-Won Han,Sang-Hwa Lee,Jong-Hee Sohn

International journal of molecular sciences 25: PubMed38339040

2024

Annulus Fibrosus Injury Induces Acute Neuroinflammation and Chronic Glial Response in Dorsal Root Ganglion and Spinal Cord-An In Vivo Rat Discogenic Pain Model.

Applications

Unspecified application

Species

Unspecified reactive species

Alon Lai,Denise Iliff,Kashaf Zaheer,Jennifer Gansau,Damien M Laudier,Venetia Zachariou,James C Iatridis

Acta pharmacologica Sinica 45:945-958 PubMed38326624

2024

Glutamatergic neurons in ventral pallidum modulate heroin addiction via epithalamic innervation in rats.

Applications

Unspecified application

Species

Unspecified reactive species

Ruo-Song Chen,Jing Liu,Yu-Jun Wang,Kuan Ning,Jing-Gen Liu,Zhi-Qiang Liu
View all publications

Product promise

We are committed to supporting your work with high-quality reagents, and we're here for you every step of the way. In the unlikely event that one of our products does not perform as expected, you're protected by our Product Promise.
For full details, please see our Terms & Conditions

Please note: All products are 'FOR RESEARCH USE ONLY. NOT FOR USE IN DIAGNOSTIC OR THERAPEUTIC PROCEDURES'.

For licensing inquiries, please contact partnerships@abcam.com