JavaScript is disabled in your browser. Please enable JavaScript to view this website.
AB202582

Anti-SUCLA2 antibody [EPR14924]

Be the first to review this product! Submit a review

|

(4 Publications)

Rabbit Recombinant Monoclonal SUCLA2 antibody. Suitable for WB, ICC/IF, Flow Cyt (Intra), IHC-P and reacts with Mouse, Rat, Human samples. Cited in 4 publications.

View Alternative Names

ATP-specific succinyl-CoA synthetase subunit beta, Succinyl-CoA synthetase beta-A chain, A-SCS, SCS-betaA, SUCLA2

8 Images
Flow Cytometry (Intracellular) - Anti-SUCLA2 antibody [EPR14924] (AB202582)
  • Flow Cyt (Intra)

Supplier Data

Flow Cytometry (Intracellular) - Anti-SUCLA2 antibody [EPR14924] (AB202582)

Intracellular flow cytometric analysis of 4% paraformaldehyde-fixed HeLa (Human epithelial cells from cervix adenocarcinoma) cells labeling SUCLA2 with ab202582 at 1/200 dilution (red) compared with a rabbit monoclonal IgG isotype control (ab172730; black) and an unlabelled control (cells without incubation with primary antibody and secondary antibody; blue). Goat anti rabbit IgG (FITC) at 1/500 dilution was used as the secondary antibody.

Immunocytochemistry/ Immunofluorescence - Anti-SUCLA2 antibody [EPR14924] (AB202582)
  • ICC/IF

Supplier Data

Immunocytochemistry/ Immunofluorescence - Anti-SUCLA2 antibody [EPR14924] (AB202582)

Immunofluorescent analysis of 100% methanol-fixed 0.1% Triton X-100 permeabilized HeLa (Human epithelial cells from cervix adenocarcinoma) cells labeling SUCLA2 with ab202582 at 1/1800 dilution followed by Goat Anti-Rabbit IgG (Alexa Fluor® 488) (ab150077) secondary antibody at 1/500 dilution (green). The nuclear counter stain is DAPI (blue). Tubulin is detected with ab7291 (Anti-Tubulin mouse MAb) at 1/1000 dilution and ab150120 (AlexaFluor®594 Goat Anti-Mouse secondary) at 1/500 dilution (red).

The negative controls are as follows :
-ve control 1 : ab202582 at 1/1800 dilution followed by ab150120 (AlexaFluor®594 Goat Anti-Mouse secondary) at 1/500 dilution.
-ve control 2 : ab7291 (Anti-Tubulin mouse MAb) at 1/1000 dilution followed by ab150077 (Alexa Fluor®488 Goat Anti-Rabbit IgG H&L) at 1/500 dilution.

Immunohistochemistry (Formalin/PFA-fixed paraffin-embedded sections) - Anti-SUCLA2 antibody [EPR14924] (AB202582)
  • IHC-P

Supplier Data

Immunohistochemistry (Formalin/PFA-fixed paraffin-embedded sections) - Anti-SUCLA2 antibody [EPR14924] (AB202582)

Immunohistochemical analysis of paraffin-embedded Human cervix carcinoma tissue labeling SUCLA2 with ab202582 at 1/1800 dilution followed by Goat Anti-Rabbit IgG H&L (HRP) (ab97051) at 1/500 dilution. Cytoplasmic staining on Human cervix carcinoma tissue is observed. Counter stained with Hematoxylin.

Secondary antibody only control : Used PBS instead of primary antibody secondary antibody is Goat Anti-Rabbit IgG H&L (HRP) (ab97051) at 1/500 dilution.

Perform heat mediated antigen retrieval with Tris/EDTA buffer pH 9.0 before commencing with IHC staining protocol.

Immunocytochemistry/ Immunofluorescence - Anti-SUCLA2 antibody [EPR14924] (AB202582)
  • ICC/IF

Supplier Data

Immunocytochemistry/ Immunofluorescence - Anti-SUCLA2 antibody [EPR14924] (AB202582)

Immunofluorescent analysis of 100% methanol-fixed 0.1% Triton X-100 permeabilized HeLa (Human epithelial cells from cervix adenocarcinoma) cells labeling SUCLA2 with ab202582 at 1/1800 dilution followed by Goat Anti-Rabbit IgG (Alexa Fluor® 488) (ab150077) secondary antibody at 1/500 dilution (green). Confocal image showing cytoplasm staining on HeLa cell line. The nuclear counter stain is DAPI (blue). COX IV is detected with ab33985 (anti-COX IV mouse mAb) at 1/1000 dilution and ab150120 (AlexaFluor®594 Goat Anti-Mouse secondary) at 1/500 dilution (red).

The negative controls are as follows :
-ve control 1 : ab202582 at 1/1800 dilution followed by ab150120 (AlexaFluor®594 Goat Anti-Mouse secondary) at 1/500 dilution.
-ve control 2 : ab33985 (Anti-COX IV mouse MAb) at 1/1000 dilution followed by ab150077 (Alexa Fluor®488 Goat Anti-Rabbit IgG H&L) at 1/500 dilution.

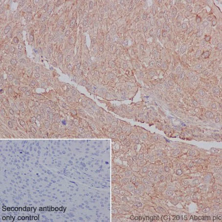
Immunohistochemistry (Formalin/PFA-fixed paraffin-embedded sections) - Anti-SUCLA2 antibody [EPR14924] (AB202582)
  • IHC-P

Supplier Data

Immunohistochemistry (Formalin/PFA-fixed paraffin-embedded sections) - Anti-SUCLA2 antibody [EPR14924] (AB202582)

Immunohistochemical analysis of paraffin-embedded rat pancreas tissue labeling SUCLA2 with ab202582 at 1/1800 dilution followed by Goat Anti-Rabbit IgG H&L (HRP) (ab97051) at 1/500 dilution. Cytoplasmic staining on rat pancreas tissue is observed. Counter stained with Hematoxylin.

Secondary antibody only control : Used PBS instead of primary antibody secondary antibody is Goat Anti-Rabbit IgG H&L (HRP) (ab97051) at 1/500 dilution.

Perform heat mediated antigen retrieval with Tris/EDTA buffer pH 9.0 before commencing with IHC staining protocol.

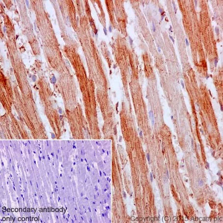
Immunohistochemistry (Formalin/PFA-fixed paraffin-embedded sections) - Anti-SUCLA2 antibody [EPR14924] (AB202582)
  • IHC-P

Supplier Data

Immunohistochemistry (Formalin/PFA-fixed paraffin-embedded sections) - Anti-SUCLA2 antibody [EPR14924] (AB202582)

Immunohistochemical analysis of paraffin-embedded Mouse cardiac muscle tissue labeling SUCLA2 with ab202582 at 1/1800 dilution followed by Goat Anti-Rabbit IgG H&L (HRP) (ab97051) at 1/500 dilution. Cytoplasmic staining on mouse cardiac muscle tissue is observed. Counter stained with Hematoxylin.

Secondary antibody only control : Used PBS instead of primary antibody secondary antibody is Goat Anti-Rabbit IgG H&L (HRP) (ab97051) at 1/500 dilution.

Perform heat mediated antigen retrieval with Tris/EDTA buffer pH 9.0 before commencing with IHC staining protocol.

Western blot - Anti-SUCLA2 antibody [EPR14924] (AB202582)
  • WB

Supplier Data

Western blot - Anti-SUCLA2 antibody [EPR14924] (AB202582)

Blocking/Dilution buffer : 5% NFDM/TBST.

All lanes:

Western blot - Anti-SUCLA2 antibody [EPR14924] (ab202582) at 1/1000 dilution

Lane 1:

293 (Human epithelial cells from embryonic kidney) whole cell lysate at 10 µg

Lane 2:

HeLa (Human epithelial cells from cervix adenocarcinoma) whole cell lysate at 10 µg

Lane 3:

HepG2 (Human liver hepatocellular carcinoma) whole cell lysate at 10 µg

Secondary

All lanes:

Goat Anti-Rabbit IgG, (H+L), Peroxidase conjugated at 1/1000 dilution

Predicted band size: 50 kDa

Observed band size: 43 kDa

false

Exposure time: 1min

Western blot - Anti-SUCLA2 antibody [EPR14924] (AB202582)
  • WB

Supplier Data

Western blot - Anti-SUCLA2 antibody [EPR14924] (AB202582)

Blocking/Dilution buffer : 5% NFDM/TBST.

All lanes:

Western blot - Anti-SUCLA2 antibody [EPR14924] (ab202582) at 1/1000 dilution

Lane 1:

Mouse brain lysate at 10 µg

Lane 2:

Mouse heart lysate at 10 µg

Lane 3:

Mouse kidney lysate at 10 µg

Lane 4:

Mouse spleen lysate at 10 µg

Lane 5:

Rat brain lysate at 10 µg

Lane 6:

Rat heart lysate at 10 µg

Lane 7:

Rat kidney lysate at 10 µg

Lane 8:

Rat spleen lysate at 10 µg

Lane 9:

C6 (Rat glial tumor cells) whole cell lysate at 10 µg

Lane 10:

RAW 264.7 (Mouse macrophage cells transformed with Abelson murine leukemia virus) whole cell lysate at 10 µg

Lane 11:

PC-12 (Rat adrenal gland pheochromocytoma) whole cell lysate at 10 µg

Lane 12:

NIH/3T3 (Mouse embyro fibroblast cells) whole cell lysate at 10 µg

Secondary

All lanes:

Goat Anti-Rabbit IgG, (H+L), Peroxidase conjugated at 1/1000 dilution

Predicted band size: 50 kDa

Observed band size: 43 kDa

false

Exposure time: 15s

Key facts

Host species

Rabbit

Clonality

Monoclonal

Clone number

EPR14924

Isotype

IgG

Carrier free

No

Reacts with

Mouse, Rat, Human

Applications

IHC-P, WB, Flow Cyt (Intra), ICC/IF

applications

Immunogen

The exact immunogen used to generate this antibody is proprietary information.

Reactivity data

{ "title": "Reactivity Data", "filters": { "stats": ["", "Species", "Dilution Info", "Notes"], "tabs": { "all-applications": {"fullname" : "All Applications", "shortname": "All Applications"}, "WB" : {"fullname" : "Western blot", "shortname":"WB"}, "ICCIF" : {"fullname" : "Immunocytochemistry/ Immunofluorescence", "shortname":"ICC/IF"}, "FlowCytIntra" : {"fullname" : "Flow Cytometry (Intracellular)", "shortname":"Flow Cyt (Intra)"}, "IHCP" : {"fullname" : "Immunohistochemistry (Formalin/PFA-fixed paraffin-embedded sections)", "shortname":"IHC-P"} }, "product-promise": { "all": "all", "testedAndGuaranteed": "tested", "guaranteed": "expected", "predicted": "predicted", "notRecommended": "not-recommended" } }, "values": { "Human": { "WB-species-checked": "testedAndGuaranteed", "WB-species-dilution-info": "1/1000", "WB-species-notes": "<p></p>", "ICCIF-species-checked": "testedAndGuaranteed", "ICCIF-species-dilution-info": "1/1800", "ICCIF-species-notes": "<p></p>", "FlowCytIntra-species-checked": "testedAndGuaranteed", "FlowCytIntra-species-dilution-info": "1/200", "FlowCytIntra-species-notes": "<p></p>", "IHCP-species-checked": "testedAndGuaranteed", "IHCP-species-dilution-info": "1/1800", "IHCP-species-notes": "<p></p>" }, "Mouse": { "WB-species-checked": "testedAndGuaranteed", "WB-species-dilution-info": "1/1000", "WB-species-notes": "<p></p>", "ICCIF-species-checked": "guaranteed", "ICCIF-species-dilution-info": "", "ICCIF-species-notes": "", "FlowCytIntra-species-checked": "guaranteed", "FlowCytIntra-species-dilution-info": "", "FlowCytIntra-species-notes": "", "IHCP-species-checked": "testedAndGuaranteed", "IHCP-species-dilution-info": "1/1800", "IHCP-species-notes": "<p></p>" }, "Rat": { "WB-species-checked": "testedAndGuaranteed", "WB-species-dilution-info": "1/1000", "WB-species-notes": "<p></p>", "ICCIF-species-checked": "guaranteed", "ICCIF-species-dilution-info": "", "ICCIF-species-notes": "", "FlowCytIntra-species-checked": "guaranteed", "FlowCytIntra-species-dilution-info": "", "FlowCytIntra-species-notes": "", "IHCP-species-checked": "testedAndGuaranteed", "IHCP-species-dilution-info": "1/1800", "IHCP-species-notes": "<p></p>" } } }

Product details

Patented technology
Our RabMAb® technology is a patented hybridoma-based technology for making rabbit monoclonal antibodies. For details on our patents, please refer to RabMAb® patents.

What are the advantages of a recombinant monoclonal antibody?
This product is a recombinant monoclonal antibody, which offers several advantages including:

  • - High batch-to-batch consistency and reproducibility
  • - Improved sensitivity and specificity
  • - Long-term security of supply
  • - Animal-free batch production

For more information, read more on recombinant antibodies.

Properties and storage information

Form
Liquid
Purification technique
Affinity purification Protein A
Storage buffer
pH: 7.2 - 7.4 Preservative: 0.01% Sodium azide Constituents: PBS, 40% Glycerol (glycerin, glycerine), 0.05% BSA
Shipped at conditions
Blue Ice
Appropriate short-term storage duration
1-2 weeks
Appropriate short-term storage conditions
+4°C
Appropriate long-term storage conditions
-20°C
Aliquoting information
Upon delivery aliquot
Storage information
Avoid freeze / thaw cycle

Supplementary information

This supplementary information is collated from multiple sources and compiled automatically.

SUCLA2 also known as succinate-CoA ligase (ADP-forming) subunit beta is an enzyme with a molecular mass of approximately 48 kDa. It plays an important role in the mitochondrial matrix where it participates in the citric acid cycle. The enzyme is found in various tissues with higher expression in muscle and brain tissues. SUCLA2 functions as part of the succinyl-CoA synthetase complex which catalyzes the reversible conversion of succinyl-CoA to succinate with the concurrent substrate-level phosphorylation of GDP to GTP or ADP to ATP depending on tissue type.
Biological function summary

The SUCLA2 subunit is essential for energy metabolism. It forms a component of the succinyl-CoA synthetase complex working with the alpha subunit SUCLG1. This complex supports the provision of energy by converting GDP to GTP in processes needing high energy levels critical for maintaining cellular homeostasis. Therefore it especially supports tissues with high energy demands. The action of SUCLA2 links energy production with the metabolic pathways involved in cellular respiration.

Pathways

SUCLA2 plays a critical role in the citric acid cycle also known as the Krebs cycle. Part of this cycle SUCLA2 contributes to cellular respiration and energy production. The SUCLA2 protein closely interacts with SUCLG1 to form the functional succinyl-CoA synthetase enzyme. Additionally it shows connections to the electron transport chain where the products of its catalysis are used in ATP generation. Defects in these pathways can have widespread effects on cellular energy states and mitochondrial function.

SUCLA2 mutations are linked to mitochondrial DNA depletion syndromes particularly myopathy and encephalopathy. These conditions lead to severe energy metabolism impairments due to faulty mitochondrial function. SUCLA2 has also been associated with Leigh syndrome a neurodegenerative disorder marked by compromised cellular respiration. Such disorders point towards deficient ATP synthesis highlighting the interconnected role of SUCLA2 with other mitochondrial proteins involved in cellular energy metabolism.

Product protocols

For this product, it's our understanding that no specific protocols are required. You can visit:

Target data

ATP-specific succinyl-CoA synthetase functions in the citric acid cycle (TCA), coupling the hydrolysis of succinyl-CoA to the synthesis of ATP and thus represents the only step of substrate-level phosphorylation in the TCA (PubMed : 15877282). The beta subunit provides nucleotide specificity of the enzyme and binds the substrate succinate, while the binding sites for coenzyme A and phosphate are found in the alpha subunit (By similarity).
See full target information Succinate--CoA ligase [ADP-forming] subunit beta, mitochondrial

Publications (4)

Recent publications for all applications. Explore the full list and refine your search

The Plant journal : for cell and molecular biology 122:e70257 PubMed40499557

2025

Virus-induced systemic and heritable gene editing in pepper (Capsicum annuum L.).

Applications

Unspecified application

Species

Unspecified reactive species

Bomi Kang,Sohee Lee,Da-Hyeon Ko,Jelli Venkatesh,Jin-Kyung Kwon,Hyeran Kim,Byoung-Cheorl Kang

Proceedings of the National Academy of Sciences of the United States of America 119:e2203628119 PubMed36201541

2022

Succinyl-CoA-based energy metabolism dysfunction in chronic heart failure.

Applications

Unspecified application

Species

Unspecified reactive species

Shingo Takada,Satoshi Maekawa,Takaaki Furihata,Naoya Kakutani,Daiki Setoyama,Koji Ueda,Hideo Nambu,Hikaru Hagiwara,Haruka Handa,Yoshizuki Fumoto,Soichiro Hata,Tomoka Masunaga,Arata Fukushima,Takashi Yokota,Dongchon Kang,Shintaro Kinugawa,Hisataka Sabe

Frontiers in cardiovascular medicine 9:803510 PubMed35282369

2022

Exercise-Generated β-Aminoisobutyric Acid (BAIBA) Reduces Cardiomyocyte Metabolic Stress and Apoptosis Caused by Mitochondrial Dysfunction Through the miR-208b/AMPK Pathway.

Applications

Unspecified application

Species

Unspecified reactive species

Yanan Yu,Wewei Chen,Ming Yu,Jinsha Liu,Huan Sun,Ping Yang

Chinese medicine 15:21 PubMed32158496

2020

Qishen granules exerts cardioprotective effects on rats with heart failure via regulating fatty acid and glucose metabolism.

Applications

Unspecified application

Species

Unspecified reactive species

Kuo Gao,Jian Zhang,Pengrong Gao,Qiyan Wang,Ying Liu,Junjie Liu,Yili Zhang,Yan Li,Hong Chang,Ping Ren,Jinmin Liu,Yong Wang,Wei Wang
View all publications

Product promise

We are committed to supporting your work with high-quality reagents, and we're here for you every step of the way. In the unlikely event that one of our products does not perform as expected, you're protected by our Product Promise.
For full details, please see our Terms & Conditions

Please note: All products are 'FOR RESEARCH USE ONLY. NOT FOR USE IN DIAGNOSTIC OR THERAPEUTIC PROCEDURES'.

For licensing inquiries, please contact partnerships@abcam.com