JavaScript is disabled in your browser. Please enable JavaScript to view this website.
AB183513

Anti-SUCLA2 antibody [EPR14925]

Be the first to review this product! Submit a review

|

(2 Publications)

Rabbit Recombinant Monoclonal SUCLA2 antibody. Suitable for IP, WB, ICC/IF, Flow Cyt (Intra), IHC-P and reacts with Human samples. Cited in 2 publications.

View Alternative Names

ATP-specific succinyl-CoA synthetase subunit beta, Succinyl-CoA synthetase beta-A chain, A-SCS, SCS-betaA, SUCLA2

5 Images
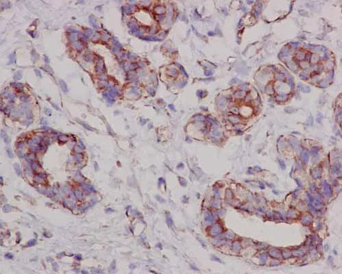
Immunohistochemistry (Formalin/PFA-fixed paraffin-embedded sections) - Anti-SUCLA2 antibody [EPR14925] (AB183513)
  • IHC-P

Supplier Data

Immunohistochemistry (Formalin/PFA-fixed paraffin-embedded sections) - Anti-SUCLA2 antibody [EPR14925] (AB183513)

Immunohistochemical analysis of paraffin-embedded Human breast tissue labeling SUCLA2 using ab183513 at a 1/250 dilution using a HRP Polymer for Rabbit IgG secondary antibody and counterstained with Hematoxylin.

Perform heat mediated antigen retrieval with EDTA buffer pH 9 before commencing with IHC staining protocol.

Flow Cytometry (Intracellular) - Anti-SUCLA2 antibody [EPR14925] (AB183513)
  • Flow Cyt (Intra)

Supplier Data

Flow Cytometry (Intracellular) - Anti-SUCLA2 antibody [EPR14925] (AB183513)

Intracellular Flow Cytometry analysis of 2% paraformaldehyde fixed293 cells labeling SUCLA2 using ab183513 at a 1/100 dilution (green) or Rabbit monoclonal IgG (red), using a Goat anti rabbit IgG (FITC) secondary antibody at a 1/150 dilution.

Immunocytochemistry/ Immunofluorescence - Anti-SUCLA2 antibody [EPR14925] (AB183513)
  • ICC/IF

Supplier Data

Immunocytochemistry/ Immunofluorescence - Anti-SUCLA2 antibody [EPR14925] (AB183513)

Immunofluorescent staining of 4% paraformaldehyde fixed 293 cells labeling SUCLA2 using ab183513 at a 1/250 dilution and a Goat anti rabbit IgG (Alexa Fluor® 555) secondary antibody at a 1/200 dilution and counterstained with Dapi.

Immunoprecipitation - Anti-SUCLA2 antibody [EPR14925] (AB183513)
  • IP

Supplier Data

Immunoprecipitation - Anti-SUCLA2 antibody [EPR14925] (AB183513)

Western blot analysis of HepG2 cell lysate immunoprecipitated using ab183513 at 1/50 dilution. Anti-Rabbit IgG (HRP), specific to the non-reduced form of IgG secondary antibody used at 1/1500 dilution.

All lanes:

Immunoprecipitation - Anti-SUCLA2 antibody [EPR14925] (ab183513)

Predicted band size: 50 kDa

false

Western blot - Anti-SUCLA2 antibody [EPR14925] (AB183513)
  • WB

Supplier Data

Western blot - Anti-SUCLA2 antibody [EPR14925] (AB183513)

All lanes:

Western blot - Anti-SUCLA2 antibody [EPR14925] (ab183513) at 1/50000 dilution

Lane 1:

Human fetal liver tissue lysate at 20 µg

Lane 2:

293 cell lysate at 20 µg

Lane 3:

HepG2 cell lysate at 20 µg

Lane 4:

Molt-4 cell lysate at 20 µg

Secondary

All lanes:

Goat Anti-Rabbit IgG, (H+L), Peroxidase conjugated at 1/1000 dilution

Predicted band size: 50 kDa

false

  • Carrier free

    Anti-SUCLA2 antibody [EPR14925] - BSA and Azide free

Key facts

Host species

Rabbit

Clonality

Monoclonal

Clone number

EPR14925

Isotype

IgG

Carrier free

No

Reacts with

Human

Applications

WB, Flow Cyt (Intra), ICC/IF, IHC-P, IP

applications

Immunogen

The exact immunogen used to generate this antibody is proprietary information.

Reactivity data

{ "title": "Reactivity Data", "filters": { "stats": ["", "Species", "Dilution Info", "Notes"], "tabs": { "all-applications": {"fullname" : "All Applications", "shortname": "All Applications"}, "IP" : {"fullname" : "Immunoprecipitation", "shortname":"IP"}, "WB" : {"fullname" : "Western blot", "shortname":"WB"}, "ICCIF" : {"fullname" : "Immunocytochemistry/ Immunofluorescence", "shortname":"ICC/IF"}, "FlowCytIntra" : {"fullname" : "Flow Cytometry (Intracellular)", "shortname":"Flow Cyt (Intra)"}, "IHCP" : {"fullname" : "Immunohistochemistry (Formalin/PFA-fixed paraffin-embedded sections)", "shortname":"IHC-P"} }, "product-promise": { "all": "all", "testedAndGuaranteed": "tested", "guaranteed": "expected", "predicted": "predicted", "notRecommended": "not-recommended" } }, "values": { "Human": { "IP-species-checked": "testedAndGuaranteed", "IP-species-dilution-info": "1/40 - 1/60", "IP-species-notes": "<p></p>", "WB-species-checked": "testedAndGuaranteed", "WB-species-dilution-info": "1/10000 - 1/50000", "WB-species-notes": "<p></p>", "ICCIF-species-checked": "testedAndGuaranteed", "ICCIF-species-dilution-info": "1/100 - 1/250", "ICCIF-species-notes": "<p></p>", "FlowCytIntra-species-checked": "testedAndGuaranteed", "FlowCytIntra-species-dilution-info": "1/100", "FlowCytIntra-species-notes": "<p><a href='/en-us/products/primary-antibodies/rabbit-igg-monoclonal-epr25a-isotype-control-ab172730'>ab172730</a> - Rabbit monoclonal IgG, is suitable for use as an isotype control with this antibody.</p>", "IHCP-species-checked": "testedAndGuaranteed", "IHCP-species-dilution-info": "1/100 - 1/250", "IHCP-species-notes": "<p></p>" }, "Mouse": { "IP-species-checked": "predicted", "IP-species-dilution-info": "", "IP-species-notes": "", "WB-species-checked": "predicted", "WB-species-dilution-info": "", "WB-species-notes": "", "ICCIF-species-checked": "predicted", "ICCIF-species-dilution-info": "", "ICCIF-species-notes": "", "FlowCytIntra-species-checked": "predicted", "FlowCytIntra-species-dilution-info": "", "FlowCytIntra-species-notes": "", "IHCP-species-checked": "predicted", "IHCP-species-dilution-info": "", "IHCP-species-notes": "" }, "Rat": { "IP-species-checked": "predicted", "IP-species-dilution-info": "", "IP-species-notes": "", "WB-species-checked": "predicted", "WB-species-dilution-info": "", "WB-species-notes": "", "ICCIF-species-checked": "predicted", "ICCIF-species-dilution-info": "", "ICCIF-species-notes": "", "FlowCytIntra-species-checked": "predicted", "FlowCytIntra-species-dilution-info": "", "FlowCytIntra-species-notes": "", "IHCP-species-checked": "predicted", "IHCP-species-dilution-info": "", "IHCP-species-notes": "" } } }

Product details

Patented technology
Our RabMAb® technology is a patented hybridoma-based technology for making rabbit monoclonal antibodies. For details on our patents, please refer to RabMAb® patents.

What are the advantages of a recombinant monoclonal antibody?
This product is a recombinant monoclonal antibody, which offers several advantages including:

  • - High batch-to-batch consistency and reproducibility
  • - Improved sensitivity and specificity
  • - Long-term security of supply
  • - Animal-free batch production

For more information, read more on recombinant antibodies.

Properties and storage information

Form
Liquid
Purification technique
Affinity purification Protein A
Storage buffer
pH: 7.2 Preservative: 0.01% Sodium azide Constituents: PBS, 40% Glycerol (glycerin, glycerine), 0.05% BSA
Shipped at conditions
Blue Ice
Appropriate short-term storage duration
1-2 weeks
Appropriate short-term storage conditions
+4°C
Appropriate long-term storage conditions
-20°C
Aliquoting information
Upon delivery aliquot
Storage information
Avoid freeze / thaw cycle

Supplementary information

This supplementary information is collated from multiple sources and compiled automatically.

SUCLA2 also known as succinate-CoA ligase (ADP-forming) subunit beta is an enzyme with a molecular mass of approximately 48 kDa. It plays an important role in the mitochondrial matrix where it participates in the citric acid cycle. The enzyme is found in various tissues with higher expression in muscle and brain tissues. SUCLA2 functions as part of the succinyl-CoA synthetase complex which catalyzes the reversible conversion of succinyl-CoA to succinate with the concurrent substrate-level phosphorylation of GDP to GTP or ADP to ATP depending on tissue type.
Biological function summary

The SUCLA2 subunit is essential for energy metabolism. It forms a component of the succinyl-CoA synthetase complex working with the alpha subunit SUCLG1. This complex supports the provision of energy by converting GDP to GTP in processes needing high energy levels critical for maintaining cellular homeostasis. Therefore it especially supports tissues with high energy demands. The action of SUCLA2 links energy production with the metabolic pathways involved in cellular respiration.

Pathways

SUCLA2 plays a critical role in the citric acid cycle also known as the Krebs cycle. Part of this cycle SUCLA2 contributes to cellular respiration and energy production. The SUCLA2 protein closely interacts with SUCLG1 to form the functional succinyl-CoA synthetase enzyme. Additionally it shows connections to the electron transport chain where the products of its catalysis are used in ATP generation. Defects in these pathways can have widespread effects on cellular energy states and mitochondrial function.

SUCLA2 mutations are linked to mitochondrial DNA depletion syndromes particularly myopathy and encephalopathy. These conditions lead to severe energy metabolism impairments due to faulty mitochondrial function. SUCLA2 has also been associated with Leigh syndrome a neurodegenerative disorder marked by compromised cellular respiration. Such disorders point towards deficient ATP synthesis highlighting the interconnected role of SUCLA2 with other mitochondrial proteins involved in cellular energy metabolism.

Product protocols

For this product, it's our understanding that no specific protocols are required. You can visit:

Target data

ATP-specific succinyl-CoA synthetase functions in the citric acid cycle (TCA), coupling the hydrolysis of succinyl-CoA to the synthesis of ATP and thus represents the only step of substrate-level phosphorylation in the TCA (PubMed : 15877282). The beta subunit provides nucleotide specificity of the enzyme and binds the substrate succinate, while the binding sites for coenzyme A and phosphate are found in the alpha subunit (By similarity).
See full target information Succinate--CoA ligase [ADP-forming] subunit beta, mitochondrial

Publications (2)

Recent publications for all applications. Explore the full list and refine your search

Environmental toxicology 39:915-926 PubMed37966033

2023

The role of PKP1 in tumor progression in melanoma: Analysis of a cell adhesion-related model.

Applications

Unspecified application

Species

Unspecified reactive species

Chao Yue,Wenqin Lian,Zhongru Fan,Haochen Li,Mengying Duan,Lingshan Qin,Xianbin Cao,Jianzhong Peng

Translational psychiatry 10:49 PubMed32066705

2020

Dl-3-n-butylphthalide attenuates mouse behavioral deficits to chronic social defeat stress by regulating energy metabolism via AKT/CREB signaling pathway.

Applications

Unspecified application

Species

Unspecified reactive species

Wei Wang,Ting Wang,Shunjie Bai,Zhi Chen,Xunzhong Qi,Peng Xie
View all publications

Product promise

We are committed to supporting your work with high-quality reagents, and we're here for you every step of the way. In the unlikely event that one of our products does not perform as expected, you're protected by our Product Promise.
For full details, please see our Terms & Conditions

Please note: All products are 'FOR RESEARCH USE ONLY. NOT FOR USE IN DIAGNOSTIC OR THERAPEUTIC PROCEDURES'.

For licensing inquiries, please contact partnerships@abcam.com