JavaScript is disabled in your browser. Please enable JavaScript to view this website.
AB187996

Anti-SUCLG2 antibody

Be the first to review this product! Submit a review

|

(3 Publications)

Rabbit Polyclonal SUCLG2 antibody. Suitable for IHC-P, ICC, WB and reacts with Human samples. Cited in 3 publications. Immunogen corresponding to Recombinant Fragment Protein within Human SUCLG2 aa 350 to C-terminus.

View Alternative Names

GTP-specific succinyl-CoA synthetase subunit beta, Succinyl-CoA synthetase beta-G chain, G-SCS, GTPSCS, SCS-betaG, SUCLG2

6 Images
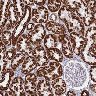
Immunohistochemistry (Formalin/PFA-fixed paraffin-embedded sections) - Anti-SUCLG2 antibody (AB187996)
  • IHC-P

Supplier Data

Immunohistochemistry (Formalin/PFA-fixed paraffin-embedded sections) - Anti-SUCLG2 antibody (AB187996)

Immunohistochemical analysis of paraffin-embedded Human kidney tissue labeling SUCLG2 with ab187996 at 1/5000 dilution.

Immunohistochemistry (Formalin/PFA-fixed paraffin-embedded sections) - Anti-SUCLG2 antibody (AB187996)
  • IHC-P

Supplier Data

Immunohistochemistry (Formalin/PFA-fixed paraffin-embedded sections) - Anti-SUCLG2 antibody (AB187996)

Immunohistochemistry (Formalin/PFA-fixed paraffin-embedded sections) analysis of human testis tissue labelling SUCLG2 with ab187996 at 1/5000 dilution. Heat mediated antigen retrieval performed with citrate buffer pH 6 before commencing with IHC staining protocol.

Western blot - Anti-SUCLG2 antibody (AB187996)
  • WB

Supplier Data

Western blot - Anti-SUCLG2 antibody (AB187996)

All lanes:

Western blot - Anti-SUCLG2 antibody (ab187996) at 0.4 µg/mL

Lane 1:

U-87 MG (human glioblastoma-astrocytoma epithelial cell line) cell lysate

Lane 2:

SCLC-21H (human small cell lung carcinoma cell line) cell lysate

Predicted band size: 47 kDa

false

Immunocytochemistry - Anti-SUCLG2 antibody (AB187996)
  • ICC

Supplier Data

Immunocytochemistry - Anti-SUCLG2 antibody (AB187996)

Immunofluorescent analysis of PFA/Triton X-100-treated HepG2 cells labeling SUCLG2 with ab187996 at 4 μg/ml.

Immunohistochemistry (Formalin/PFA-fixed paraffin-embedded sections) - Anti-SUCLG2 antibody (AB187996)
  • IHC-P

Supplier Data

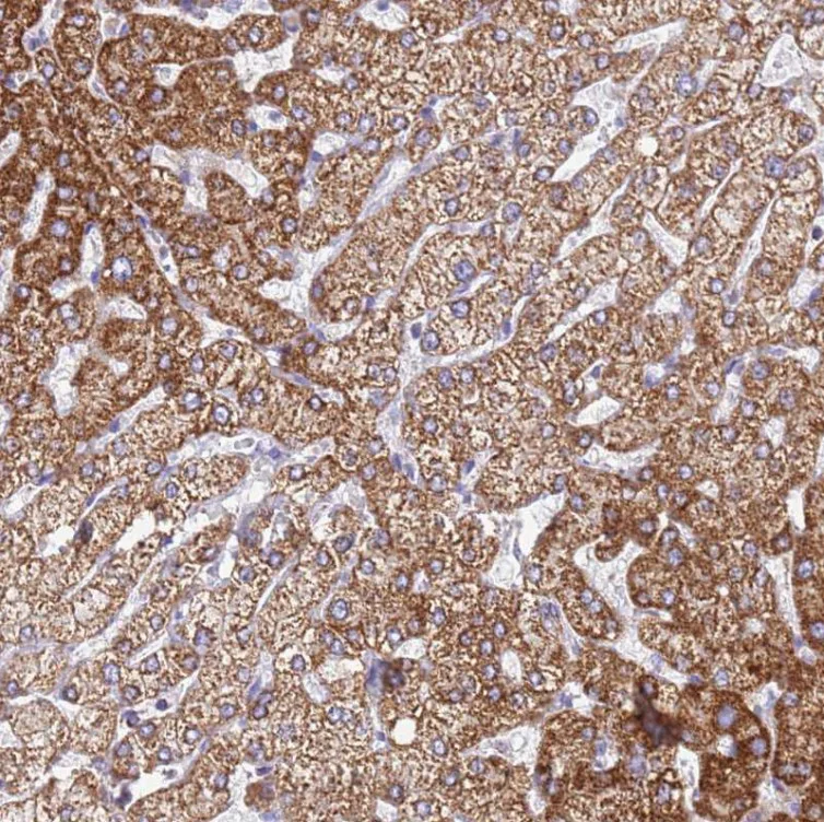
Immunohistochemistry (Formalin/PFA-fixed paraffin-embedded sections) - Anti-SUCLG2 antibody (AB187996)

Immunohistochemistry (Formalin/PFA-fixed paraffin-embedded sections) analysis of human liver tissue labelling SUCLG2 with ab187996 at 1/5000 dilution. Heat mediated antigen retrieval performed with citrate buffer pH 6 before commencing with IHC staining protocol.

Immunohistochemistry (Formalin/PFA-fixed paraffin-embedded sections) - Anti-SUCLG2 antibody (AB187996)
  • IHC-P

Supplier Data

Immunohistochemistry (Formalin/PFA-fixed paraffin-embedded sections) - Anti-SUCLG2 antibody (AB187996)

Immunohistochemistry (Formalin/PFA-fixed paraffin-embedded sections) analysis of human pancreas tissue labelling SUCLG2 with ab187996 at 1/5000 dilution. Heat mediated antigen retrieval performed with citrate buffer pH 6 before commencing with IHC staining protocol.

Key facts

Host species

Rabbit

Clonality

Polyclonal

Isotype

IgG

Carrier free

No

Reacts with

Human

Applications

IHC-P, WB, ICC

applications

Immunogen

Recombinant Fragment Protein within Human SUCLG2 aa 350 to C-terminus. The exact immunogen used to generate this antibody is proprietary information.

Q96I99

Reactivity data

{ "title": "Reactivity Data", "filters": { "stats": ["", "Species", "Dilution Info", "Notes"], "tabs": { "all-applications": {"fullname" : "All Applications", "shortname": "All Applications"}, "IHCP" : {"fullname" : "Immunohistochemistry (Formalin/PFA-fixed paraffin-embedded sections)", "shortname":"IHC-P"}, "ICC" : {"fullname" : "Immunocytochemistry", "shortname":"ICC"}, "WB" : {"fullname" : "Western blot", "shortname":"WB"} }, "product-promise": { "all": "all", "testedAndGuaranteed": "tested", "guaranteed": "expected", "predicted": "predicted", "notRecommended": "not-recommended" } }, "values": { "Human": { "IHCP-species-checked": "testedAndGuaranteed", "IHCP-species-dilution-info": "1/5000 - 1/10000", "IHCP-species-notes": "<p></p> Perform heat-mediated antigen retrieval with citrate buffer pH 6 before commencing with IHC staining protocol.", "ICC-species-checked": "testedAndGuaranteed", "ICC-species-dilution-info": "0.25-2 µg/mL", "ICC-species-notes": "<p></p>", "WB-species-checked": "testedAndGuaranteed", "WB-species-dilution-info": "0.04-0.4 µg/mL", "WB-species-notes": "<p></p>" }, "Mouse": { "IHCP-species-checked": "predicted", "IHCP-species-dilution-info": "", "IHCP-species-notes": "", "ICC-species-checked": "predicted", "ICC-species-dilution-info": "", "ICC-species-notes": "", "WB-species-checked": "predicted", "WB-species-dilution-info": "", "WB-species-notes": "" }, "Pig": { "IHCP-species-checked": "predicted", "IHCP-species-dilution-info": "", "IHCP-species-notes": "", "ICC-species-checked": "predicted", "ICC-species-dilution-info": "", "ICC-species-notes": "", "WB-species-checked": "predicted", "WB-species-dilution-info": "", "WB-species-notes": "" } } }

Properties and storage information

Form
Liquid
Purification technique
Affinity purification Immunogen
Storage buffer
pH: 7.2 Preservative: 0.02% Sodium azide Constituents: PBS, 40% Glycerol (glycerin, glycerine)
Shipped at conditions
Blue Ice
Appropriate short-term storage duration
1-2 weeks
Appropriate short-term storage conditions
+4°C
Appropriate long-term storage conditions
-20°C
Aliquoting information
Upon delivery aliquot
Storage information
Avoid freeze / thaw cycle

Supplementary information

This supplementary information is collated from multiple sources and compiled automatically.

The SUCLG2 protein also known as succinyl-CoA synthetase GDP-forming beta subunit is an essential component of cellular energy metabolism. It has an approximate molecular mass of 50 kDa. SUCLG2 is primarily expressed in various tissues including liver kidney and heart. It forms part of the succinyl-CoA synthetase enzyme complex which plays a role in the conversion of succinyl-CoA to succinate in the mitochondrial matrix.
Biological function summary

SUCLG2 contributes to the production of GTP through substrate-level phosphorylation an important step in the tricarboxylic acid (TCA) cycle. As part of the succinyl-CoA synthetase complex it aids in the intricate process of energy conversion within mitochondria. The enzymatic activity of SUCLG2 ensures the proper balance of GTP within cells influencing various metabolic processes essential for cellular function and maintenance.

Pathways

SUCLG2 operates within the TCA cycle and is a pivotal link in cellular respiration. In this pathway it ensures the conversion of carbon and energy flow important for energy production. SUCLG2's role here is closely related to the protein SUCLG1 with which it forms the functional succinyl-CoA synthetase complex. Additionally SUCLG2 participates in metabolic pathways related to the biosynthesis of amino acids further extending its influence on cellular metabolism.

SUCLG2 mutations have been implicated in mitochondrial diseases particularly those affecting energy metabolism. For instance patients with such mutations might experience metabolic myopathy syndromes. SUCLG2 also displays connections with SUCLG1 in these disorders given their role in the same enzymatic complex. Recognition of these associations helps in understanding the molecular basis of certain metabolic syndromes and potential avenues for therapeutic intervention.

Product protocols

For this product, it's our understanding that no specific protocols are required. You can visit:

Target data

GTP-specific succinyl-CoA synthetase functions in the citric acid cycle (TCA), coupling the hydrolysis of succinyl-CoA to the synthesis of GTP and thus represents the only step of substrate-level phosphorylation in the TCA. The beta subunit provides nucleotide specificity of the enzyme and binds the substrate succinate, while the binding sites for coenzyme A and phosphate are found in the alpha subunit.
See full target information SUCLG2

Publications (3)

Recent publications for all applications. Explore the full list and refine your search

International journal of molecular medicine 46:1562-1570 PubMed32945370

2020

miR‑28‑5p inhibits the migration of breast cancer by regulating WSB2.

Applications

Unspecified application

Species

Unspecified reactive species

Liang Ma,Yunfeng Zhang,Fen Hu

Molecular genetics and metabolism 128:444-451 PubMed31648943

2019

Tricarboxylic acid cycle enzyme activities in a mouse model of methylmalonic aciduria.

Applications

Unspecified application

Species

Unspecified reactive species

Parith Wongkittichote,Gary Cunningham,Marshall L Summar,Elena Pumbo,Patrick Forny,Matthias R Baumgartner,Kimberly A Chapman

Molecular medicine reports 20:3793-3801 PubMed31485626

2019

Overexpression of PTEN may increase the effect of pemetrexed on A549 cells via inhibition of the PI3K/AKT/mTOR pathway and carbohydrate metabolism.

Applications

Unspecified application

Species

Unspecified reactive species

Bo Li,Junkai Zhang,Ya Su,Yiling Hou,Zhenguo Wang,Lin Zhao,Shengkai Sun,Hao Fu
View all publications

Product promise

We are committed to supporting your work with high-quality reagents, and we're here for you every step of the way. In the unlikely event that one of our products does not perform as expected, you're protected by our Product Promise.
For full details, please see our Terms & Conditions

Please note: All products are 'FOR RESEARCH USE ONLY. NOT FOR USE IN DIAGNOSTIC OR THERAPEUTIC PROCEDURES'.

For licensing inquiries, please contact partnerships@abcam.com