JavaScript is disabled in your browser. Please enable JavaScript to view this website.
AB28083

Anti-SUFU antibody

5

(2 Reviews)

|

(7 Publications)

Rabbit Polyclonal SUFU antibody. Suitable for WB, ICC/IF and reacts with Mouse, Human samples. Cited in 7 publications.

View Alternative Names

UNQ650/PRO1280, SUFU, Suppressor of fused homolog, SUFUH

6 Images
Western blot - Anti-SUFU antibody (AB28083)
  • WB

Collaborator

Western blot - Anti-SUFU antibody (AB28083)

ab28083 was shown to react with sufU in wild-type HEK293T cells in Western blot with loss of signal observed in sufU knockout cell line ab267282 (sufU knockout cell lysate ab257718). Wild-type HEK293T and sufU knockout cell lysates were subjected to SDS-PAGE. Membranes were blocked in 5% milk in TBST for 1 hr before incubation with ab28083 overnight at 4 °C at a 1/1000 dilution. Blots were incubated with goat anti-rabbit HRP secondary antibodies at 0.2μg/mL before imaging.

These data were provided by YCharOS Inc., an open science company with the mission of characterizing commercially available antibody reagents for all human proteins. Abcam and YCharOS are working together to help address the reproducibility crisis by enabling the life science community to better evaluate commercially available antibodies.

All lanes:

Western blot - Anti-SUFU antibody (ab28083) at 1/1000 dilution

Lane 1:

Wild-type HEK293T cell lysate at 20 µg

Lane 2:

sufU knockout HEK293T cell lysate at 20 µg

Secondary

All lanes:

goat anti-rabbit HRP at 0.2 µg/mL

Predicted band size: 53 kDa

false

Western blot - Anti-SUFU antibody (AB28083)
  • WB

Lab

Western blot - Anti-SUFU antibody (AB28083)

Lane 1 : Wild-type HAP1 cell lysate (20 μg)
Lane 2 : SUFU knockout HAP1 cell lysate (20 μg)
Lane 3 : LnCaP cell lysate (20 μg)
Lane 4 : A431 cell lysate (20 μg)
Lanes 1 to 4 : Merged signal (red and green). Green - ab28083 observed at 58 kDa. Red - loading control, ab8245, observed at 37 kDa.

ab28083 was shown to recognize SUFU when SUFU knockout samples were used, along with additional cross-reactive bands. Wild-type and SUFU knockout samples were subjected to SDS-PAGE. ab28083 and ab8245 (loading control to GAPDH) were both diluted at 1 μg/ml and 1/10 000 respectively and incubated overnight at 4°C. Blots were developed with Goat anti-Rabbit IgG H&L (IRDye® 800CW) preadsorbed (ab216773)
and Goat anti-Mouse IgG H&L (IRDye® 680RD) preadsorbed (ab216776) secondary antibodies at 1/10000 dilution for 1 h at room temperature before imaging.

All lanes:

Western blot - Anti-SUFU antibody (ab28083)

Predicted band size: 53 kDa

false

Western blot - Anti-SUFU antibody (AB28083)
  • WB

Unknown

Western blot - Anti-SUFU antibody (AB28083)

All lanes:

Western blot - Anti-SUFU antibody (ab28083) at 1 µg/mL

Lane 1:

HeLa (Human epithelial carcinoma cell line) Whole Cell Lysate at 20 µg

Lane 2:

Western blot - Jurkat whole cell lysate (<a href='/en-us/products/cell-lysates/jurkat-whole-cell-lysate-ab7899'>ab7899</a>) at 20 µg

Lane 3:

Western blot - A-431 whole cell lysate (<a href='/en-us/products/cell-lysates/a-431-whole-cell-lysate-ab7909'>ab7909</a>) at 20 µg

Secondary

All lanes:

Goat polyclonal to Rabbit IgG (Alexa Fluor® 680) at 1/10000 dilution

Predicted band size: 53 kDa

Observed band size: 37 kDa,54 kDa

false

Western blot - Anti-SUFU antibody (AB28083)
  • WB

Project1830****

Western blot - Anti-SUFU antibody (AB28083)

All lanes:

Western blot - Anti-SUFU antibody (ab28083) at 1 µg/mL

All lanes:

Testis (Mouse) Tissue Lysate - normal tissue at 10 µg

Secondary

All lanes:

IRDye 680 Conjugated Goat Anti-Rabbit IgG (H+L) at 1/10000 dilution

Predicted band size: 53 kDa

Observed band size: 54 kDa

false

Immunocytochemistry/ Immunofluorescence - Anti-SUFU antibody (AB28083)
  • ICC/IF

Unknown

Immunocytochemistry/ Immunofluorescence - Anti-SUFU antibody (AB28083)

ICC/IF image of ab28083 stained human HeLa cells. The cells were PFA fixed (10 min), permabilised in TBS-T (20 min) and incubated with the antibody (ab28083, 5µg/ml) for 1h at room temperature. 1%BSA / 10% normal goat serum / 0.3M glycine was used to quench autofluorescence and block non-specific protein-protein interactions. The secondary antibody (green) was Alexa Fluor® 488 goat anti-rabbit IgG (H+L) used at a 1/1000 dilution for 1h. Alexa Fluor® 594 WGA was used to label plasma membranes (red). DAPI was used to stain the cell nuclei (blue).

Western blot - Anti-SUFU antibody (AB28083)
  • WB

Lab

Western blot - Anti-SUFU antibody (AB28083)

Lanes 1-3 : Merged signal (red and green). Green - ab28083 observed at 58 kDa. Red - loading control ab8245 observed at 36 kDa.

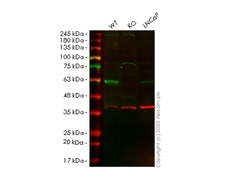
ab28083 Anti-SUFU antibody was shown to specifically react with SUFU in wild-type HEK293T cells. Loss of signal was observed when knockout cell line ab267282 (knockout cell lysate ab257718) was used. Wild-type and SUFU knockout samples were subjected to SDS-PAGE. ab28083 and Anti-GAPDH antibody [6C5] - Loading Control (ab8245) were incubated at room temperature for 2.5 hours at 1 in 1000 dilution and 1 in 20000 dilution respectively. Blots were developed with Goat anti-Rabbit IgG H&L (IRDye® 800CW) preadsorbed (ab216773) and Goat anti-Mouse IgG H&L (IRDye® 680RD) preadsorbed (ab216776) secondary antibodies at 1 in 20000 dilution for 1 hour at room temperature before imaging.

All lanes:

Western blot - Anti-SUFU antibody (ab28083) at 1/1000 dilution

Lane 1:

Wild-type HEK293T cell lysate at 20 µg

Lane 2:

SUFU knockout HEK293T cell lysate at 20 µg

Lane 2:

Western blot - Human SUFU knockout HEK-293T cell line (<a href='/en-us/products/cell-lines/human-sufu-knockout-hek-293t-cell-line-ab267282'>ab267282</a>)

Lane 3:

LNCaP cell lysate at 20 µg

Secondary

All lanes:

Western blot - Goat anti-Rabbit IgG H&L (IRDye® 800CW) preadsorbed (<a href='/en-us/products/secondary-antibodies/goat-rabbit-igg-h-l-irdye-800cw-preadsorbed-ab216773'>ab216773</a>) at 1/10000 dilution

Predicted band size: 53 kDa

Observed band size: 58 kDa

false

Key facts

Host species

Rabbit

Clonality

Polyclonal

Isotype

IgG

Carrier free

No

Reacts with

Mouse, Human

Applications

WB, ICC/IF

applications

Immunogen

The exact immunogen used to generate this antibody is proprietary information.

Reactivity data

{ "title": "Reactivity Data", "filters": { "stats": ["", "Species", "Dilution Info", "Notes"], "tabs": { "all-applications": {"fullname" : "All Applications", "shortname": "All Applications"}, "WB" : {"fullname" : "Western blot", "shortname":"WB"}, "ICCIF" : {"fullname" : "Immunocytochemistry/ Immunofluorescence", "shortname":"ICC/IF"} }, "product-promise": { "all": "all", "testedAndGuaranteed": "tested", "guaranteed": "expected", "predicted": "predicted", "notRecommended": "not-recommended" } }, "values": { "Human": { "WB-species-checked": "testedAndGuaranteed", "WB-species-dilution-info": "1-5 µg/mL", "WB-species-notes": "<p></p>", "ICCIF-species-checked": "testedAndGuaranteed", "ICCIF-species-dilution-info": "5 µg/mL", "ICCIF-species-notes": "<p></p>" }, "Mouse": { "WB-species-checked": "testedAndGuaranteed", "WB-species-dilution-info": "1-5 µg/mL", "WB-species-notes": "<p></p>", "ICCIF-species-checked": "guaranteed", "ICCIF-species-dilution-info": "", "ICCIF-species-notes": "" }, "Rat": { "WB-species-checked": "predicted", "WB-species-dilution-info": "", "WB-species-notes": "", "ICCIF-species-checked": "predicted", "ICCIF-species-dilution-info": "", "ICCIF-species-notes": "" }, "Dog": { "WB-species-checked": "predicted", "WB-species-dilution-info": "", "WB-species-notes": "", "ICCIF-species-checked": "predicted", "ICCIF-species-dilution-info": "", "ICCIF-species-notes": "" } } }

Have you thought about this alternative?

AB259975

Anti-SUFU antibody [EPR23821-101]

5
1 Reviews
View product

We’re constantly upgrading our range to offer the highest quality products. We have selected this alternative product for your review because it gives improved performance, is easier and more convenient to use, or is available faster.

Properties and storage information

Form
Liquid
Purification technique
Affinity purification Immunogen
Storage buffer
pH: 7.4 Preservative: 0.02% Sodium azide Constituents: 98.98% PBS, 1% BSA
Shipped at conditions
Blue Ice
Appropriate short-term storage duration
1-2 weeks
Appropriate short-term storage conditions
+4°C
Appropriate long-term storage conditions
-20°C
Aliquoting information
Upon delivery aliquot
Storage information
Avoid freeze / thaw cycle

Supplementary information

This supplementary information is collated from multiple sources and compiled automatically.

SUFU also known as Suppressor of Fused is a regulatory protein with a mass of approximately 54 kDa. This protein serves as a significant component within the Hedgehog signaling pathway. SUFU is widely expressed in various tissues including brain heart and skeletal muscle. It acts as a negative regulator binding to and inhibiting the activity of other key proteins in the signaling cascade.
Biological function summary

SUFU modulates the activity of the transcription factors Gli1 Gli2 and Gli3 keeping them in the cytoplasm in their inactive form. It can form part of large protein complexes playing an important role in ensuring that signal transduction is tightly regulated. SUFU's function helps control the expression of target genes that are important for development and cellular differentiation. This regulation is essential during embryonic development and tissue maintenance in adults.

Pathways

SUFU has an important role in the Hedgehog signaling pathway and interacts with components like Smoothened (SMO) and Patched (PTCH). This pathway controls processes like cell growth and differentiation. By regulating the activity of Gli proteins SUFU influences how signals are transmitted within the pathway. SUFU can also interact with other proteins such as KIF7 further defining its place within the pathway's network.

SUFU can contribute to the development of basal cell carcinoma and medulloblastoma when its function is disrupted. In cases where mutations affect SUFU regulation the Hedgehog pathway becomes aberrantly activated. This can lead to uncontrolled cell proliferation. SUFU's relationship with Gli proteins is significant in these conditions because of its role in modulating their activity directly impacting the onset and progression of these cancers.

Product protocols

For this product, it's our understanding that no specific protocols are required. You can visit:

Target data

Negative regulator in the hedgehog/smoothened signaling pathway (PubMed : 10559945, PubMed : 10564661, PubMed : 10806483, PubMed : 12068298, PubMed : 12975309, PubMed : 15367681, PubMed : 22365972, PubMed : 24217340, PubMed : 24311597, PubMed : 27234298, PubMed : 28965847). Down-regulates GLI1-mediated transactivation of target genes (PubMed : 15367681, PubMed : 24217340, PubMed : 24311597). Down-regulates GLI2-mediated transactivation of target genes (PubMed : 24217340, PubMed : 24311597). Part of a corepressor complex that acts on DNA-bound GLI1. May also act by linking GLI1 to BTRC and thereby targeting GLI1 to degradation by the proteasome (PubMed : 10559945, PubMed : 10564661, PubMed : 10806483, PubMed : 24217340). Sequesters GLI1, GLI2 and GLI3 in the cytoplasm, this effect is overcome by binding of STK36 to both SUFU and a GLI protein (PubMed : 10559945, PubMed : 10564661, PubMed : 10806483, PubMed : 24217340). Negative regulator of beta-catenin signaling (By similarity). Regulates the formation of either the repressor form (GLI3R) or the activator form (GLI3A) of the full-length form of GLI3 (GLI3FL) (PubMed : 24311597, PubMed : 28965847). GLI3FL is complexed with SUFU in the cytoplasm and is maintained in a neutral state (PubMed : 24311597, PubMed : 28965847). Without the Hh signal, the SUFU-GLI3 complex is recruited to cilia, leading to the efficient processing of GLI3FL into GLI3R (PubMed : 24311597, PubMed : 28965847). When Hh signaling is initiated, SUFU dissociates from GLI3FL and the latter translocates to the nucleus, where it is phosphorylated, destabilized, and converted to a transcriptional activator (GLI3A) (PubMed : 24311597, PubMed : 28965847). Required for normal embryonic development (By similarity). Required for the proper formation of hair follicles and the control of epidermal differentiation (By similarity).
See full target information SUFU

Publications (7)

Recent publications for all applications. Explore the full list and refine your search

Journal of cell science 135: PubMed35535520

2022

The developmental stage of the medulloblastoma cell-of-origin restricts Sonic hedgehog pathway usage and drug sensitivity.

Applications

Unspecified application

Species

Unspecified reactive species

Marlinde J Smit,Tosca E I Martini,Inna Armandari,Irena Bočkaj,Walderik W Zomerman,Eduardo S de Camargo Magalhães,Zillah Siragna,Tiny G J Meeuwsen,Frank J G Scherpen,Mirthe H Schoots,Martha Ritsema,Wilfred F A den Dunnen,Eelco W Hoving,Judith T M L Paridaen,Gerald de Haan,Victor Guryev,Sophia W M Bruggeman

Development (Cambridge, England) 147: PubMed31932349

2020

Suppressor of fused controls cerebellum granule cell proliferation by suppressing Fgf8 and spatially regulating Gli proteins.

Applications

Unspecified application

Species

Unspecified reactive species

Tayyaba Jiwani,Jinny J Kim,Norman D Rosenblum

Bioscience reports 39: PubMed31127025

2019

LIFR-AS1 modulates Sufu to inhibit cell proliferation and migration by miR-197-3p in breast cancer.

Applications

Unspecified application

Species

Unspecified reactive species

Fangfang Xu,Hui Li,Chengjiu Hu

Cell 176:198-212.e15 PubMed30503211

2018

LAP2 Proteins Chaperone GLI1 Movement between the Lamina and Chromatin to Regulate Transcription.

Applications

Unspecified application

Species

Unspecified reactive species

Amar N Mirza,Siegen A McKellar,Nicole M Urman,Alexander S Brown,Tyler Hollmig,Sumaira Z Aasi,Anthony E Oro

Oncology reports 40:3323-3334 PubMed30542715

2018

Inhibition of miR‑194 suppresses the Wnt/β‑catenin signalling pathway in gastric cancer.

Applications

Unspecified application

Species

Unspecified reactive species

Yin Peng,Xiaojing Zhang,Huijuan Lin,Shiqi Deng,Yong Huang,Ying Qin,Xianling Feng,Ruibin Yan,Yanqiu Zhao,Yulan Cheng,Yanjie Wei,Jian Wang,Wangchun Chen,Xinmin Fan,Hassan Ashktorab,Duane Smoot,Stephen J Meltzer,Song Li,Zhong Zhang,Zhe Jin

International journal of oncology 50:373-380 PubMed28035348

2016

Nek2A/SuFu feedback loop regulates Gli-mediated Hedgehog signaling pathway.

Applications

Unspecified application

Species

Unspecified reactive species

Fen Zhou,Dengliang Huang,Yong Li,Guanghui Hu,Hai Rao,Quqin Lu,Shiwen Luo,Yao Wang

PloS one 10:e0119455 PubMed25760946

2015

T396I mutation of mouse Sufu reduces the stability and activity of Gli3 repressor.

Applications

Unspecified application

Species

Unspecified reactive species

Shigeru Makino,Olena Zhulyn,Rong Mo,Vijitha Puviindran,Xiaoyun Zhang,Takuya Murata,Ryutaro Fukumura,Yuichi Ishitsuka,Hayato Kotaki,Daisuke Matsumaru,Shunsuke Ishii,Chi-Chung Hui,Yoichi Gondo
View all publications

Product promise

We are committed to supporting your work with high-quality reagents, and we're here for you every step of the way. In the unlikely event that one of our products does not perform as expected, you're protected by our Product Promise.
For full details, please see our Terms & Conditions

Associated Products

Select an associated product type
Alternative Product
Primary Antibodies

AB245428

Anti-SUFU antibody

primary-antibodies

sufu-antibody-ab245428

0

(0 reviews)

Please note: All products are 'FOR RESEARCH USE ONLY. NOT FOR USE IN DIAGNOSTIC OR THERAPEUTIC PROCEDURES'.

For licensing inquiries, please contact partnerships@abcam.com