JavaScript is disabled in your browser. Please enable JavaScript to view this website.
AB307705

Anti-SUFU antibody [EPR26229-17] - BSA and Azide free

Be the first to review this product! Submit a review

|

(0 Publication)

Knockout Tested Rabbit Recombinant Monoclonal SUFU antibody. Carrier free. Suitable for WB, IP and reacts with Human, Mouse, Rat samples.

View Alternative Names

UNQ650/PRO1280, SUFU, Suppressor of fused homolog, SUFUH

5 Images
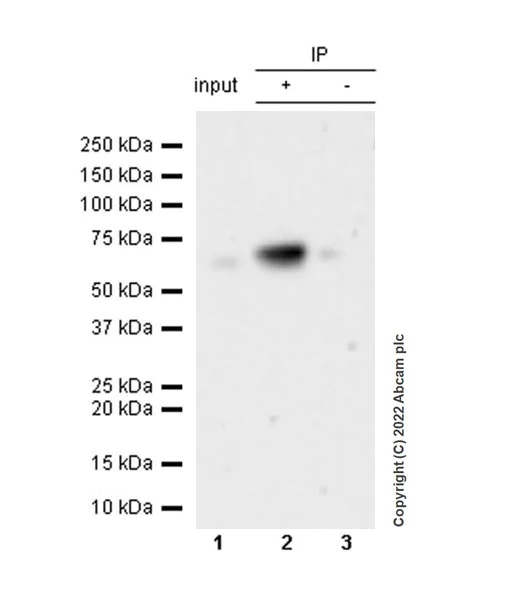
Immunoprecipitation - Anti-SUFU antibody [EPR26229-17] - BSA and Azide free (AB307705)
  • IP

Supplier Data

Immunoprecipitation - Anti-SUFU antibody [EPR26229-17] - BSA and Azide free (AB307705)

This data was developed using ab307704, the same antibody clone in a different buffer formulation.

SUFU was immunoprecipitated from 0.35 mg 293T (human embryonic kidney epithelial cell) whole cell lysate 10 ug with ab307704 at 1/30 dilution (2ug in 0.35mg lysates). Western blot was performed on the immunoprecipitate using ab307704 at 1/1000 dilution. VeriBlot for IP secondary antibody (HRP) (ab131366) was used at 1/5000 dilution.

Lane 1 : 293T (human embryonic kidney epithelial cell) whole cell lysate 10 ug
Lane 2 : ab307704 IP in 293T whole cell lysate
Lane 3 : Rabbit monoclonal IgG (ab172730) instead of ab307704 in 293T whole cell lysate

Blocking and dilution buffer and concentration : 5% NFDM/TBST.

Exposure time : 41 seconds

All lanes:

Immunoprecipitation - Anti-SUFU antibody [EPR26229-17] (<a href='/en-us/products/primary-antibodies/sufu-antibody-epr26229-17-ab307704'>ab307704</a>) at 1/1000 dilution

All lanes:

293T cells

Secondary

All lanes:

Immunoprecipitation - VeriBlot for IP Detection Reagent (HRP) (<a href='/en-us/products/reagents/veriblot-for-ip-detection-reagent-hrp-ab131366'>ab131366</a>) at 1/5000 dilution

Observed band size: 54 kDa

false

Exposure time: 41s

Immunoprecipitation - Anti-SUFU antibody [EPR26229-17] - BSA and Azide free (AB307705)
  • IP

Supplier Data

Immunoprecipitation - Anti-SUFU antibody [EPR26229-17] - BSA and Azide free (AB307705)

This data was developed using ab307704, the same antibody clone in a different buffer formulation.

SUFU was immunoprecipitated from 0.35 mg Mouse testis tissue lysate 10 ug with ab307704 at 1/30 dilution (2ug in 0.35mg lysates). Western blot was performed on the immunoprecipitate using ab307704 at 1/1000 dilution. VeriBlot for IP secondary antibody (HRP) (ab131366) was used at 1/5000 dilution.

Lane 1 : Mouse testis tissue lysate 10 ug
Lane 2 : ab307704 IP in Mouse testis tissue lysate
Lane 3 : Rabbit monoclonal IgG (ab172730) instead of ab307704 in mouse testis tissue lysate

Blocking and dilution buffer and concentration : 5% NFDM/TBST.

Exposure time : 67 seconds

All lanes:

Immunoprecipitation - Anti-SUFU antibody [EPR26229-17] (<a href='/en-us/products/primary-antibodies/sufu-antibody-epr26229-17-ab307704'>ab307704</a>) at 1/1000 dilution

All lanes:

Mouse testis cells

Secondary

All lanes:

Immunoprecipitation at 1/5000 dilution

Observed band size: 54 kDa

false

Exposure time: 67s

Western blot - Anti-SUFU antibody [EPR26229-17] - BSA and Azide free (AB307705)
  • WB

Supplier Data

Western blot - Anti-SUFU antibody [EPR26229-17] - BSA and Azide free (AB307705)

This data was developed using ab307704, the same antibody clone in a different buffer formulation.

Blocking and dilution concentration : 5% NFDM/TBST.

In Western blot, ab307704 was shown to bind specifically to SUFU. A band was observed at 54 kDa in wild-type 293T cell lysates whereas no signal observed at this size in SUFU knockout cell line ab267282 (knockout cell lysate ab257718). Anti-GAPDH antibody (ab181602) loading control staining at 1/200000 dilution.

This blot was developed using a high sensitivity ECL substrate. The high-sensitivity ECL substrate used allows for the detection of proteins in the mid-femtogram range.

All lanes:

Western blot - Anti-SUFU antibody [EPR26229-17] (<a href='/en-us/products/primary-antibodies/sufu-antibody-epr26229-17-ab307704'>ab307704</a>) at 1/1000 dilution

Lane 1:

Wild-type 293T (human embryonic kidney epithelial cell) whole cell lysate at 20 µg

Lane 2:

SUFU knockout 293T whole cell lysate at 20 µg

Lane 3:

HeLa (human cervix adenocarcinoma epithelial cell) whole cell lysate at 20 µg

Lane 4:

NIH/3T3 (mouse embryonic fibroblast) whole cell lysate at 20 µg

Lane 5:

PC-12 (rat adrenal gland pheochromocytoma) whole cell lysate at 20 µg

Secondary

All lanes:

Western blot at 1/200000 dilution

Observed band size: 54 kDa

true

Exposure time: 180s

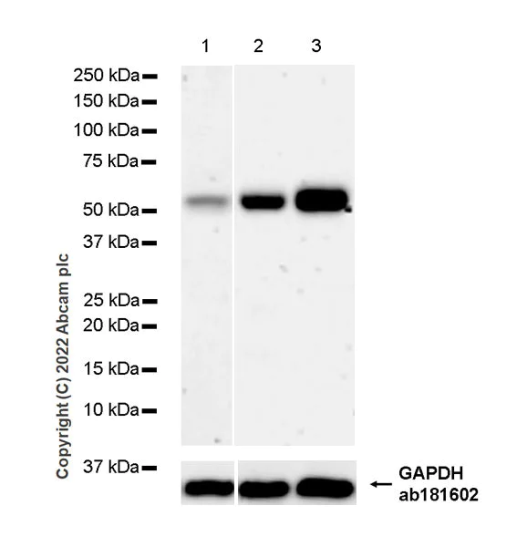
Western blot - Anti-SUFU antibody [EPR26229-17] - BSA and Azide free (AB307705)
  • WB

Supplier Data

Western blot - Anti-SUFU antibody [EPR26229-17] - BSA and Azide free (AB307705)

This data was developed using ab307704, the same antibody clone in a different buffer formulation. Blocking and diluting buffer and concentration : 5% NFDM/TBST The Lane 1 was developed using a high sensitivity ECL substrate. In Western blot, anti-GAPDH antibody (ab181602) loading control staining at 1/200000 dilution. Exposure : 180 seconds

All lanes:

Western blot - Anti-SUFU antibody [EPR26229-17] (<a href='/en-us/products/primary-antibodies/sufu-antibody-epr26229-17-ab307704'>ab307704</a>) at 1/1000 dilution

Lane 1:

Human testis tissue lysate at 20 µg

Lane 2:

Mouse testis tissue lysate at 20 µg

Lane 3:

Rat testis tissue lysate at 20 µg

Secondary

All lanes:

Western blot at 1/200000 dilution

Observed band size: 54 kDa

true

Exposure time: 180s

Western blot - Anti-SUFU antibody [EPR26229-17] - BSA and Azide free (AB307705)
  • WB

Lab

Western blot - Anti-SUFU antibody [EPR26229-17] - BSA and Azide free (AB307705)

This data was developed using ab307704, the same antibody clone in a different buffer formulation.

Blocking and diluting buffer and concentration : 5% NFDM/TBST.

We recommend using fresh lysate to improve band intensity. Protein in lysate should be transferred to membrane immediately to minimize protein degradation.

ab259975 shows higher sensitivity than this product.

Lanes 1 - 2:

Western blot - Anti-SUFU antibody [EPR26229-17] (<a href='/en-us/products/primary-antibodies/sufu-antibody-epr26229-17-ab307704'>ab307704</a>) at 1/1000 dilution

Lanes 3 - 4:

Western blot - Anti-SUFU antibody [EPR23821-101] (<a href='/en-us/products/primary-antibodies/sufu-antibody-epr23821-101-ab259975'>ab259975</a>) at 1/1000 dilution

Lanes 1 and 3:

Frozen 293T (human embryonic kidney epithelial cell) whole cell lysate at 20 µg

Lanes 2 and 4:

Fresh (human embryonic kidney epithelial cell) whole cell lysate at 20 µg

Secondary

All lanes:

Western blot - Goat Anti-Rabbit IgG H&L (HRP) (<a href='/en-us/products/secondary-antibodies/goat-rabbit-igg-h-l-hrp-ab97051'>ab97051</a>) at 1/20000 dilution

Observed band size: 54 kDa

false

Exposure time: 180s

Key facts

Host species

Rabbit

Clonality

Monoclonal

Clone number

EPR26229-17

Isotype

IgG

Carrier free

Yes

Reacts with

Human, Mouse, Rat

Applications

WB, IP

applications

Immunogen

The exact immunogen used to generate this antibody is proprietary information.

Reactivity data

{ "title": "Reactivity Data", "filters": { "stats": ["", "Species", "Dilution Info", "Notes"], "tabs": { "all-applications": {"fullname" : "All Applications", "shortname": "All Applications"}, "WB" : {"fullname" : "Western blot", "shortname":"WB"}, "IP" : {"fullname" : "Immunoprecipitation", "shortname":"IP"}, "IHCP" : {"fullname" : "Immunohistochemistry (Formalin/PFA-fixed paraffin-embedded sections)", "shortname":"IHC-P"}, "ICCIF" : {"fullname" : "Immunocytochemistry/ Immunofluorescence", "shortname":"ICC/IF"}, "FlowCytIntra" : {"fullname" : "Flow Cytometry (Intracellular)", "shortname":"Flow Cyt (Intra)"}, "IHCFr" : {"fullname" : "Immunohistochemistry (Frozen sections)", "shortname":"IHC-Fr"} }, "product-promise": { "all": "all", "testedAndGuaranteed": "tested", "guaranteed": "expected", "predicted": "predicted", "notRecommended": "not-recommended" } }, "values": { "Human": { "WB-species-checked": "testedAndGuaranteed", "WB-species-dilution-info": "", "WB-species-notes": "<p>We recommend using fresh lysate to improve band intensity. Protein should be transfered to membrane immediately to minimize protein degradation.</p>", "IP-species-checked": "testedAndGuaranteed", "IP-species-dilution-info": "", "IP-species-notes": "<p></p>", "IHCP-species-checked": "notRecommended", "IHCP-species-dilution-info": "", "IHCP-species-notes": "<p></p>", "ICCIF-species-checked": "notRecommended", "ICCIF-species-dilution-info": "", "ICCIF-species-notes": "<p></p>", "FlowCytIntra-species-checked": "notRecommended", "FlowCytIntra-species-dilution-info": "", "FlowCytIntra-species-notes": "<p></p>", "IHCFr-species-checked": "notRecommended", "IHCFr-species-dilution-info": "", "IHCFr-species-notes": "" }, "Mouse": { "WB-species-checked": "testedAndGuaranteed", "WB-species-dilution-info": "", "WB-species-notes": "<p></p>", "IP-species-checked": "testedAndGuaranteed", "IP-species-dilution-info": "", "IP-species-notes": "<p></p>", "IHCP-species-checked": "notRecommended", "IHCP-species-dilution-info": "", "IHCP-species-notes": "<p></p>", "ICCIF-species-checked": "notRecommended", "ICCIF-species-dilution-info": "", "ICCIF-species-notes": "", "FlowCytIntra-species-checked": "notRecommended", "FlowCytIntra-species-dilution-info": "", "FlowCytIntra-species-notes": "", "IHCFr-species-checked": "notRecommended", "IHCFr-species-dilution-info": "", "IHCFr-species-notes": "<p></p>" }, "Rat": { "WB-species-checked": "testedAndGuaranteed", "WB-species-dilution-info": "", "WB-species-notes": "<p></p>", "IP-species-checked": "guaranteed", "IP-species-dilution-info": "", "IP-species-notes": "", "IHCP-species-checked": "notRecommended", "IHCP-species-dilution-info": "", "IHCP-species-notes": "<p></p>", "ICCIF-species-checked": "notRecommended", "ICCIF-species-dilution-info": "", "ICCIF-species-notes": "", "FlowCytIntra-species-checked": "notRecommended", "FlowCytIntra-species-dilution-info": "", "FlowCytIntra-species-notes": "", "IHCFr-species-checked": "notRecommended", "IHCFr-species-dilution-info": "", "IHCFr-species-notes": "<p></p>" } } }

Product details

Patented technology
Our RabMAb® technology is a patented hybridoma-based technology for making rabbit monoclonal antibodies. For details on our patents, please refer to RabMAb® patents.

What are the advantages of a recombinant monoclonal antibody?
This product is a recombinant monoclonal antibody, which offers several advantages including:

  • - High batch-to-batch consistency and reproducibility
  • - Improved sensitivity and specificity
  • - Long-term security of supply
  • - Animal-free batch production

For more information, read more on recombinant antibodies.

Conjugation ready
Our carrier-free antibodies are typically supplied in a PBS-only formulation, purified and free of BSA, sodium azide and glycerol. This conjugation-ready format is designed for use with fluorochromes, metal isotopes, oligonucleotides, and enzymes, which makes them ideal for antibody labelling, functional and cell-based assays, flow-based assays (e.g. mass cytometry) and Multiplex Imaging applications.

Use our conjugation kits for antibody conjugates that are ready-to-use in as little as 20 minutes with 1 minute hands-on-time and 100% antibody recovery: available for fluorescent dyes, HRP, biotin and gold.

Compatibility
This product is compatible with the Maxpar® Antibody Labeling Kit from Fluidigm, without the need for antibody preparation. Maxpar® is a trademark of Fluidigm Canada Inc.

Properties and storage information

Form
Liquid
Purification technique
Affinity purification Protein A
Storage buffer
pH: 7.2 - 7.4 Constituents: PBS
Shipped at conditions
Blue Ice
Appropriate short-term storage conditions
+4°C
Appropriate long-term storage conditions
+4°C

Supplementary information

This supplementary information is collated from multiple sources and compiled automatically.

SUFU also known as Suppressor of Fused is a regulatory protein with a mass of approximately 54 kDa. This protein serves as a significant component within the Hedgehog signaling pathway. SUFU is widely expressed in various tissues including brain heart and skeletal muscle. It acts as a negative regulator binding to and inhibiting the activity of other key proteins in the signaling cascade.
Biological function summary

SUFU modulates the activity of the transcription factors Gli1 Gli2 and Gli3 keeping them in the cytoplasm in their inactive form. It can form part of large protein complexes playing an important role in ensuring that signal transduction is tightly regulated. SUFU's function helps control the expression of target genes that are important for development and cellular differentiation. This regulation is essential during embryonic development and tissue maintenance in adults.

Pathways

SUFU has an important role in the Hedgehog signaling pathway and interacts with components like Smoothened (SMO) and Patched (PTCH). This pathway controls processes like cell growth and differentiation. By regulating the activity of Gli proteins SUFU influences how signals are transmitted within the pathway. SUFU can also interact with other proteins such as KIF7 further defining its place within the pathway's network.

SUFU can contribute to the development of basal cell carcinoma and medulloblastoma when its function is disrupted. In cases where mutations affect SUFU regulation the Hedgehog pathway becomes aberrantly activated. This can lead to uncontrolled cell proliferation. SUFU's relationship with Gli proteins is significant in these conditions because of its role in modulating their activity directly impacting the onset and progression of these cancers.

Product protocols

For this product, it's our understanding that no specific protocols are required. You can visit:

Target data

Negative regulator in the hedgehog/smoothened signaling pathway (PubMed : 10559945, PubMed : 10564661, PubMed : 10806483, PubMed : 12068298, PubMed : 12975309, PubMed : 15367681, PubMed : 22365972, PubMed : 24217340, PubMed : 24311597, PubMed : 27234298, PubMed : 28965847). Down-regulates GLI1-mediated transactivation of target genes (PubMed : 15367681, PubMed : 24217340, PubMed : 24311597). Down-regulates GLI2-mediated transactivation of target genes (PubMed : 24217340, PubMed : 24311597). Part of a corepressor complex that acts on DNA-bound GLI1. May also act by linking GLI1 to BTRC and thereby targeting GLI1 to degradation by the proteasome (PubMed : 10559945, PubMed : 10564661, PubMed : 10806483, PubMed : 24217340). Sequesters GLI1, GLI2 and GLI3 in the cytoplasm, this effect is overcome by binding of STK36 to both SUFU and a GLI protein (PubMed : 10559945, PubMed : 10564661, PubMed : 10806483, PubMed : 24217340). Negative regulator of beta-catenin signaling (By similarity). Regulates the formation of either the repressor form (GLI3R) or the activator form (GLI3A) of the full-length form of GLI3 (GLI3FL) (PubMed : 24311597, PubMed : 28965847). GLI3FL is complexed with SUFU in the cytoplasm and is maintained in a neutral state (PubMed : 24311597, PubMed : 28965847). Without the Hh signal, the SUFU-GLI3 complex is recruited to cilia, leading to the efficient processing of GLI3FL into GLI3R (PubMed : 24311597, PubMed : 28965847). When Hh signaling is initiated, SUFU dissociates from GLI3FL and the latter translocates to the nucleus, where it is phosphorylated, destabilized, and converted to a transcriptional activator (GLI3A) (PubMed : 24311597, PubMed : 28965847). Required for normal embryonic development (By similarity). Required for the proper formation of hair follicles and the control of epidermal differentiation (By similarity).
See full target information SUFU

Product promise

We are committed to supporting your work with high-quality reagents, and we're here for you every step of the way. In the unlikely event that one of our products does not perform as expected, you're protected by our Product Promise.
For full details, please see our Terms & Conditions

Please note: All products are 'FOR RESEARCH USE ONLY. NOT FOR USE IN DIAGNOSTIC OR THERAPEUTIC PROCEDURES'.

For licensing inquiries, please contact partnerships@abcam.com