JavaScript is disabled in your browser. Please enable JavaScript to view this website.
AB325424

Anti-SUFU antibody [EPR30547-60]

  • RabMAb
  • Recombinant
  • 20ul selling size
  • KO Validated
  • What is this?

Be the first to review this product! Submit a review

|

(0 Publication)

Rabbit Recombinant Monoclonal SUFU antibody. Suitable for ICC/IF, IHC-P, WB and reacts with Human, Mouse samples.

View Alternative Names

UNQ650/PRO1280, SUFU, Suppressor of fused homolog, SUFUH, Suppressor of fused homolog

10 Images
Immunocytochemistry/ Immunofluorescence - Anti-SUFU antibody [EPR30547-60] (AB325424)
  • ICC/IF

Lab

Immunocytochemistry/ Immunofluorescence - Anti-SUFU antibody [EPR30547-60] (AB325424)

Immunofluorescent analysis of 100% methanol-fixed, 0.1% TritonX-100 permeabilized Wildtype HAP 1 (human chronic myelogenous leukemia near-haploid cell) and SUFU KO HAP1(SUFU knockout HAP1) cells labelling SUFU with ab325424 at 1/200 (2.445 ug/ml) dilution, followed by ab150081 Goat Anti-Rabbit IgG H&L (Alexa Fluor® 488) preadsorbed antibody at 1/1000 dilution (Green).

Confocal image showing mainly cytoplasmic staining in wildtype HAP1 cells (shown in green), showing no staining in SUFU knockout HAP1 cells. The counterstain was observed in magenta. Nuclear DNA was labelled with DAPI (shown in blue). Image was taken with a confocal microscope (Leica-Microsystems, TCS SP8).

ab7291 Anti-alpha Tubulin mouse monoclonal antibody was used to counterstain tubulin at 1/1000 dilution, followed by ab150120 Goat Anti-Mouse IgG H&L (Alexa Fluor® 594) at 1/1000 dilution (Magenta).

Immunocytochemistry/ Immunofluorescence - Anti-SUFU antibody [EPR30547-60] (AB325424)
  • ICC/IF

Lab

Immunocytochemistry/ Immunofluorescence - Anti-SUFU antibody [EPR30547-60] (AB325424)

Immunofluorescent analysis of 100% methanol-fixed, 0.1% TritonX-100 permeabilized Wildtype HEK-293T (human embryonic kidney epithelial cell), ab255449 and SUFU KO HEK-293T (SUFU knockout HEK-293T), ab267282 cells labelling SUFU with ab325424 at 1/200 (2.445 ug/ml) dilution, followed by ab150081 Goat Anti-Rabbit IgG H&L (Alexa Fluor® 488) preadsorbed antibody at 1/1000 dilution (Green).

Confocal image showing mainly cytoplasmic staining in wildtype HEK-293T cells (shown in green), showing no staining in SUFU knockout HEK-293T cells. The counterstain was observed in magenta. Nuclear DNA was labelled with DAPI (shown in blue). Image was taken with a confocal microscope (Leica-Microsystems, TCS SP8).

ab7291 Anti-alpha Tubulin mouse monoclonal antibody was used to counterstain tubulin at 1/1000 dilution, followed by ab150120 Goat Anti-Mouse IgG H&L (Alexa Fluor® 594) at 1/1000 dilution (Magenta).

Immunohistochemistry (Formalin/PFA-fixed paraffin-embedded sections) - Anti-SUFU antibody [EPR30547-60] (AB325424)
  • IHC-P

Lab

Immunohistochemistry (Formalin/PFA-fixed paraffin-embedded sections) - Anti-SUFU antibody [EPR30547-60] (AB325424)

Immunohistochemical analysis of paraffin-embedded Human cervical cancer tissue labeling SUFU with ab325424 at 1/500 (0.978 ug/ml) dilution, followed by a ready to use LeicaDS9800 (Bond™ Polymer Refine Detection).

Positive staining in human cervical cancer.

The primary antibody was incubated for 30 mins at room temperature.

The immunostaining was performed on a Leica Biosystems BOND® RX instrument.

Counterstained with Hematoxylin.

Secondary antibody only control : Secondary antibody is a ready to use LeicaDS9800 (Bond™ Polymer Refine Detection).

Heat mediated antigen retrieval was performed with Tris-EDTA buffer (pH 9.0, Epitope Retrieval Solution2) for 20 mins

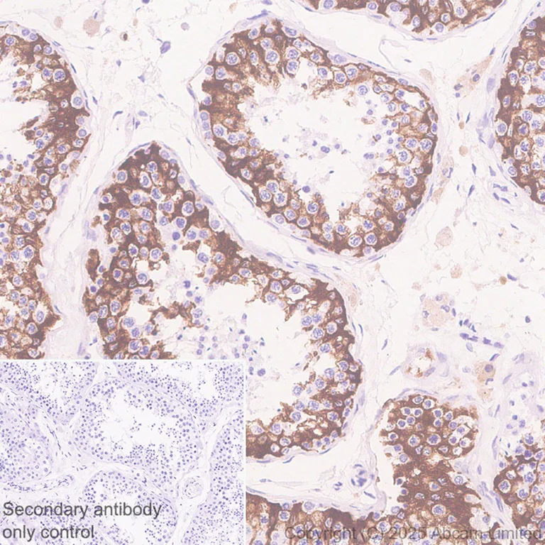
Immunohistochemistry (Formalin/PFA-fixed paraffin-embedded sections) - Anti-SUFU antibody [EPR30547-60] (AB325424)
  • IHC-P

Lab

Immunohistochemistry (Formalin/PFA-fixed paraffin-embedded sections) - Anti-SUFU antibody [EPR30547-60] (AB325424)

Immunohistochemical analysis of paraffin-embedded Human testis tissue labeling SUFU with ab325424 at 1/500 (0.978 ug/ml) dilution, followed by a ready to use LeicaDS9800 (Bond™ Polymer Refine Detection).

Positive staining in human testis (PMID : 10564661).

The primary antibody was incubated for 30 mins at room temperature.

The immunostaining was performed on a Leica Biosystems BOND® RX instrument.

Counterstained with Hematoxylin.

Secondary antibody only control : Secondary antibody is a ready to use LeicaDS9800 (Bond™ Polymer Refine Detection).

Heat mediated antigen retrieval was performed with Tris-EDTA buffer (pH 9.0, Epitope Retrieval Solution2) for 20 mins

Immunohistochemistry (Formalin/PFA-fixed paraffin-embedded sections) - Anti-SUFU antibody [EPR30547-60] (AB325424)
  • IHC-P

Lab

Immunohistochemistry (Formalin/PFA-fixed paraffin-embedded sections) - Anti-SUFU antibody [EPR30547-60] (AB325424)

Immunohistochemical analysis of paraffin-embedded Human liver tissue labeling SUFU with ab325424 at 1/500 (0.978 ug/ml) dilution, followed by a ready to use LeicaDS9800 (Bond™ Polymer Refine Detection).

Low expression : Weak staining in human liver.

The primary antibody was incubated for 30 mins at room temperature.

The immunostaining was performed on a Leica Biosystems BOND® RX instrument.

Counterstained with Hematoxylin.

Secondary antibody only control : Secondary antibody is a ready to use LeicaDS9800 (Bond™ Polymer Refine Detection).

Heat mediated antigen retrieval was performed with Tris-EDTA buffer (pH 9.0, Epitope Retrieval Solution2) for 20 mins

Immunohistochemistry (Formalin/PFA-fixed paraffin-embedded sections) - Anti-SUFU antibody [EPR30547-60] (AB325424)
  • IHC-P

Lab

Immunohistochemistry (Formalin/PFA-fixed paraffin-embedded sections) - Anti-SUFU antibody [EPR30547-60] (AB325424)

Immunohistochemical analysis of paraffin-embedded Panel A : Wildtype HAP 1 (human chronic myelogenous leukemia near-haploid cell) and Panel B : SUFU KO HAP1 (SUFU knockout human chronic myelogenous leukemia near-haploid cell) tissue labeling SUFU with ab325424 at 1/500 (0.978 ug/ml) dilution, followed by a ready to use LeicaDS9800 (Bond™ Polymer Refine Detection).

Positive staining in wild-type HAP1 (Panel A), no staining in SUFU KO HAP1 (Panel B).

The primary antibody was incubated for 30 mins at room temperature.

The immunostaining was performed on a Leica Biosystems BOND® RX instrument.

Counterstained with Hematoxylin.

Secondary antibody only control : Secondary antibody is a ready to use LeicaDS9800 (Bond™ Polymer Refine Detection).

Heat mediated antigen retrieval was performed with Tris-EDTA buffer (pH 9.0, Epitope Retrieval Solution2) for 20 mins

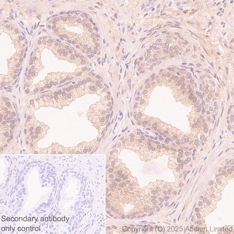
Immunohistochemistry (Formalin/PFA-fixed paraffin-embedded sections) - Anti-SUFU antibody [EPR30547-60] (AB325424)
  • IHC-P

Lab

Immunohistochemistry (Formalin/PFA-fixed paraffin-embedded sections) - Anti-SUFU antibody [EPR30547-60] (AB325424)

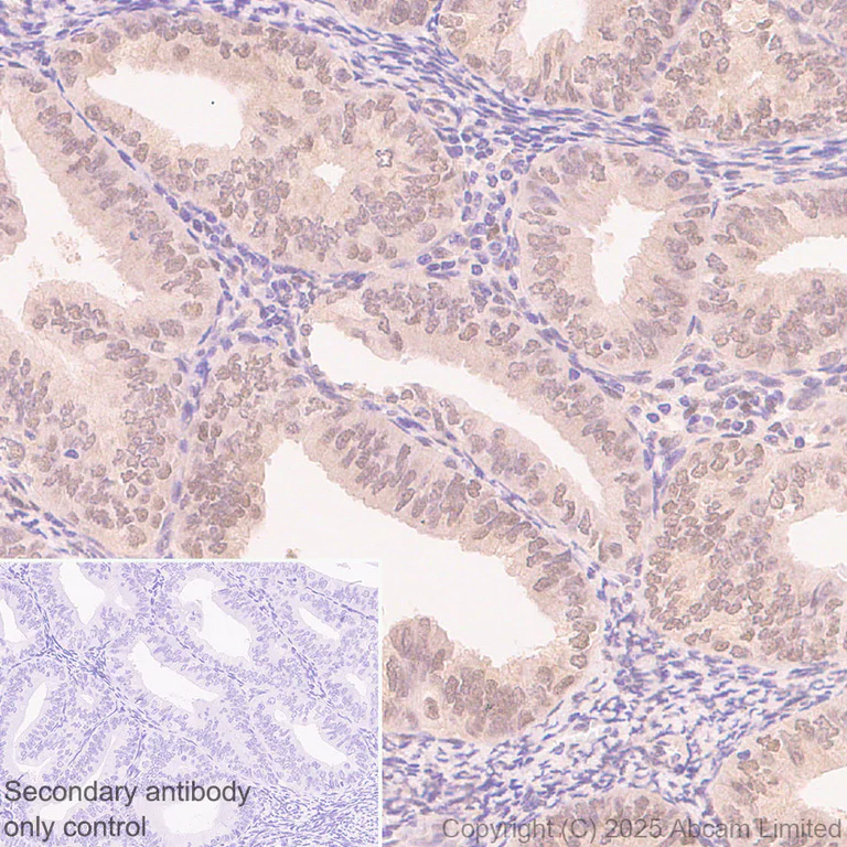
Immunohistochemical analysis of paraffin-embedded Human prostatic hyperplasia tissue labeling SUFU with ab325424 at 1/500 (0.978 ug/ml) dilution, followed by a ready to use LeicaDS9800 (Bond™ Polymer Refine Detection).

Positive staining in human prostatic hyperplasia (PMID : 15482598).

The primary antibody was incubated for 30 mins at room temperature.

The immunostaining was performed on a Leica Biosystems BOND® RX instrument.

Counterstained with Hematoxylin.

Secondary antibody only control : Secondary antibody is a ready to use LeicaDS9800 (Bond™ Polymer Refine Detection).

Heat mediated antigen retrieval was performed with Tris-EDTA buffer (pH 9.0, Epitope Retrieval Solution2) for 20 mins

Immunocytochemistry/ Immunofluorescence - Anti-SUFU antibody [EPR30547-60] (AB325424)
  • ICC/IF

Lab

Immunocytochemistry/ Immunofluorescence - Anti-SUFU antibody [EPR30547-60] (AB325424)

Immunofluorescent analysis of 100% methanol-fixed, 0.1% TritonX-100 permeabilized NIH/3T3 (mouse embryonic fibroblast) cells labelling SUFU with ab325424 at 1/200 (2.445 ug/ml) dilution, followed by ab150081 Goat Anti-Rabbit IgG H&L (Alexa Fluor® 488) preadsorbed antibody at 1/1000 dilution (Green).

Confocal image showing mainly cytoplasmic staining in NIH/3T3 cell line (shown in green). The counterstain was observed in magenta. Nuclear DNA was labelled with DAPI (shown in blue). Image was taken with a confocal microscope (Leica-Microsystems, TCS SP8).

ab7291 Anti-alpha Tubulin mouse monoclonal antibody was used to counterstain tubulin at 1/1000 dilution, followed by ab150120 Goat Anti-Mouse IgG H&L (Alexa Fluor® 594) at 1/1000 dilution (Magenta).

-ve control 1 : ab325424 at a 1/200 dilution followed by ab150120 at a 1/1000 dilution.

-ve control 2 : ab7291 at a 1/1000 dilution followed by ab150081 at a 1/1000 dilution.

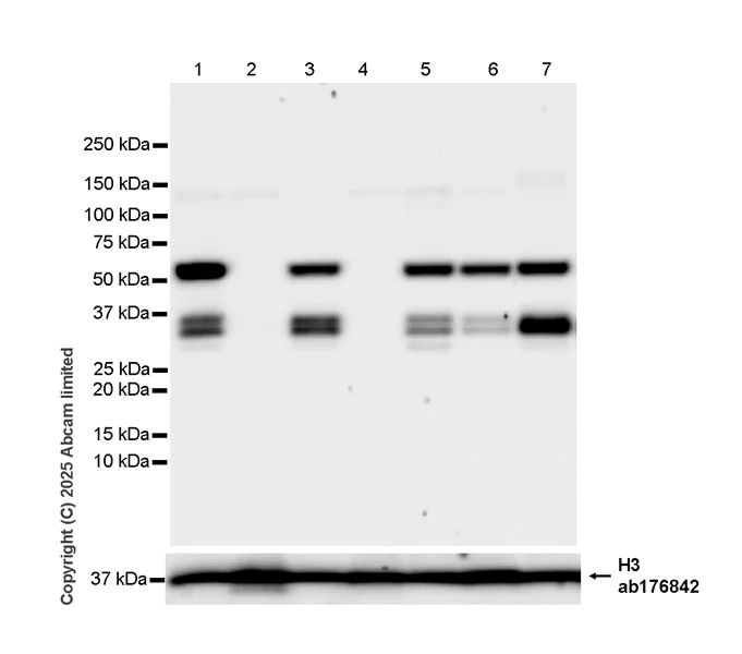
Western blot - Anti-SUFU antibody [EPR30547-60] (AB325424)
  • WB

Lab

Western blot - Anti-SUFU antibody [EPR30547-60] (AB325424)

Blocking and diluting buffer and concentration : 5% NFDM/TBST.

Performed under reducing conditions.

In Western blot, ab325424 was shown to bind specifically to SUFU. Target of interest was observed at 30, 35, 53 kDa in wild-type HAP1cell lysates (lane 1) and in wild-type HEK cell lysates (lane 3) with no signal observed at this size in SUFU knockout HAP1cell line (lane 2) and SUFU knockout HEK293T cell line (lane 4, knockout cell line ab267282 / knockout cell lysate ab257718).

The low MW band are due to degradation.

In Western blot, Anti-Histone H3 antibody [EPR16987] - Nuclear Marker and ChIP Grade (ab176842) 1 : 100000 (15Kda).

All lanes:

Western blot - Anti-SUFU antibody [EPR30547-60] (ab325424) at 1/1000 dilution

Lane 1:

Parental HAP1 (human chronic myelogenous leukemia near-haploid cell) whole cell lysate at 20 µg

Lane 2:

SUFU knockout HAP1 whole cell lysate at 20 µg

Lane 3:

Parental HEK293T (human embryonic kidney epithelial cell) whole cell lysate at 20 µg

Lane 4:

SUFU knockout HEK293T whole cell lysate at 20 µg

Lane 5:

HEL (human erythroleukemia erythroblast) whole cell lysate at 20 µg

Lane 6:

293T whole cell lysate at 20 µg

Lane 7:

NIH/3T3 (mouse embryonic fibroblast) whole cell lysate at 20 µg

Secondary

All lanes:

Western blot - Goat Anti-Rabbit IgG H&L (HRP) (<a href='/en-us/products/secondary-antibodies/goat-rabbit-igg-h-l-hrp-ab97051'>ab97051</a>) at 1/100000 dilution

Observed band size: 30 kDa,35 kDa,53 kDa,37 kDa

false

Exposure time: 15s

Western blot - Anti-SUFU antibody [EPR30547-60] (AB325424)
  • WB

Lab

Western blot - Anti-SUFU antibody [EPR30547-60] (AB325424)

Blocking and diluting buffer and concentration : 5% NFDM/TBST.

Low expression : brain(PMID : 10564661)

The low MW band are due to degradation.

In Western blot, Anti-GAPDH antibody [EPR16891] - Loading Control (ab181602) (1 : 200000) (36KDa).

Exposure time : Lane 1 : 10 seconds, lanes 2-3 : 3 seconds

All lanes:

Western blot - Anti-SUFU antibody [EPR30547-60] (ab325424) at 1/1000 dilution

Lane 1:

Human testis tissue lysate at 20 µg

Lane 2:

Mouse testis tissue lysate at 20 µg

Lane 3:

Mouse brain tissue lysate at 20 µg

Secondary

All lanes:

Goat Anti-Rabbit IgG (HRP) with minimal cross-reactivity with human IgG at 1/2000 dilution

Observed band size: 30 kDa,35 kDa,53 kDa,36 kDa

false

Key facts

Host species

Rabbit

Clonality

Monoclonal

Clone number

EPR30547-60

Isotype

IgG

Carrier free

No

Reacts with

Mouse, Human

Applications

ICC/IF, WB, IHC-P

applications

Immunogen

The exact immunogen used to generate this antibody is proprietary information.

Specificity

Not suitable for mouse IHC-P.

Reactivity data

{ "title": "Reactivity Data", "filters": { "stats": ["", "Species", "Dilution Info", "Notes"], "tabs": { "all-applications": {"fullname" : "All Applications", "shortname": "All Applications"}, "ICCIF" : {"fullname" : "Immunocytochemistry/ Immunofluorescence", "shortname":"ICC/IF"}, "IHCP" : {"fullname" : "Immunohistochemistry (Formalin/PFA-fixed paraffin-embedded sections)", "shortname":"IHC-P"}, "WB" : {"fullname" : "Western blot", "shortname":"WB"}, "IHCFr" : {"fullname" : "Immunohistochemistry (Frozen sections)", "shortname":"IHC-Fr"} }, "product-promise": { "all": "all", "testedAndGuaranteed": "tested", "guaranteed": "expected", "predicted": "predicted", "notRecommended": "not-recommended" } }, "values": { "Human": { "ICCIF-species-checked": "testedAndGuaranteed", "ICCIF-species-dilution-info": "1/200", "ICCIF-species-notes": "<p></p>", "IHCP-species-checked": "testedAndGuaranteed", "IHCP-species-dilution-info": "1/500", "IHCP-species-notes": "<p></p> Perform heat-mediated antigen retrieval with Tris/EDTA buffer pH 9.0 before commencing with IHC staining protocol.", "WB-species-checked": "testedAndGuaranteed", "WB-species-dilution-info": "1/1000", "WB-species-notes": "<p></p>", "IHCFr-species-checked": "notRecommended", "IHCFr-species-dilution-info": "", "IHCFr-species-notes": "" }, "Mouse": { "ICCIF-species-checked": "testedAndGuaranteed", "ICCIF-species-dilution-info": "1/200", "ICCIF-species-notes": "<p></p>", "IHCP-species-checked": "notRecommended", "IHCP-species-dilution-info": "", "IHCP-species-notes": "<p></p>", "WB-species-checked": "testedAndGuaranteed", "WB-species-dilution-info": "1/1000", "WB-species-notes": "<p></p>", "IHCFr-species-checked": "notRecommended", "IHCFr-species-dilution-info": "", "IHCFr-species-notes": "<p></p>" } } }

Product details

Patented technology
Our RabMAb® technology is a patented hybridoma-based technology for making rabbit monoclonal antibodies. For details on our patents, please refer to RabMAb® patents.

What are the advantages of a recombinant monoclonal antibody?
This product is a recombinant monoclonal antibody, which offers several advantages including:

  • - High batch-to-batch consistency and reproducibility
  • - Improved sensitivity and specificity
  • - Long-term security of supply
  • - Animal-free batch production

For more information, read more on recombinant antibodies.

Properties and storage information

Form
Liquid
Purification technique
Affinity purification Protein A
Storage buffer
pH: 7.2 - 7.4 Preservative: 0.01% Sodium azide Constituents: PBS, 40% Glycerol (glycerin, glycerine), 0.05% BSA
Shipped at conditions
Blue Ice
Appropriate short-term storage duration
1-2 weeks
Appropriate short-term storage conditions
+4°C
Appropriate long-term storage conditions
-20°C
Aliquoting information
Upon delivery aliquot
Storage information
Avoid freeze / thaw cycle

Product protocols

For this product, it's our understanding that no specific protocols are required. You can visit:

Target data

Negative regulator in the hedgehog/smoothened signaling pathway (PubMed : 10559945, PubMed : 10564661, PubMed : 10806483, PubMed : 12068298, PubMed : 12975309, PubMed : 15367681, PubMed : 22365972, PubMed : 24217340, PubMed : 24311597, PubMed : 27234298, PubMed : 28965847). Down-regulates GLI1-mediated transactivation of target genes (PubMed : 15367681, PubMed : 24217340, PubMed : 24311597). Down-regulates GLI2-mediated transactivation of target genes (PubMed : 24217340, PubMed : 24311597). Part of a corepressor complex that acts on DNA-bound GLI1. May also act by linking GLI1 to BTRC and thereby targeting GLI1 to degradation by the proteasome (PubMed : 10559945, PubMed : 10564661, PubMed : 10806483, PubMed : 24217340). Sequesters GLI1, GLI2 and GLI3 in the cytoplasm, this effect is overcome by binding of STK36 to both SUFU and a GLI protein (PubMed : 10559945, PubMed : 10564661, PubMed : 10806483, PubMed : 24217340). Negative regulator of beta-catenin signaling (By similarity). Regulates the formation of either the repressor form (GLI3R) or the activator form (GLI3A) of the full-length form of GLI3 (GLI3FL) (PubMed : 24311597, PubMed : 28965847). GLI3FL is complexed with SUFU in the cytoplasm and is maintained in a neutral state (PubMed : 24311597, PubMed : 28965847). Without the Hh signal, the SUFU-GLI3 complex is recruited to cilia, leading to the efficient processing of GLI3FL into GLI3R (PubMed : 24311597, PubMed : 28965847). When Hh signaling is initiated, SUFU dissociates from GLI3FL and the latter translocates to the nucleus, where it is phosphorylated, destabilized, and converted to a transcriptional activator (GLI3A) (PubMed : 24311597, PubMed : 28965847). Required for normal embryonic development (By similarity). Required for the proper formation of hair follicles and the control of epidermal differentiation (By similarity).
See full target information SUFU

Product promise

We are committed to supporting your work with high-quality reagents, and we're here for you every step of the way. In the unlikely event that one of our products does not perform as expected, you're protected by our Product Promise.
For full details, please see our Terms & Conditions

Please note: All products are 'FOR RESEARCH USE ONLY. NOT FOR USE IN DIAGNOSTIC OR THERAPEUTIC PROCEDURES'.

For licensing inquiries, please contact partnerships@abcam.com