JavaScript is disabled in your browser. Please enable JavaScript to view this website.
AB240333

Anti-SULT2A1/ST2 antibody [EPR16096] - BSA and Azide free

  • BOND RX™ Validated
  • RabMAb
  • Advanced Validation
  • Recombinant
  • What is this?

Be the first to review this product! Submit a review

|

(1 Publication)

Rabbit Recombinant Monoclonal SULT2A1/ST2 antibody. Carrier free. Suitable for mIHC, WB, ICC/IF, Flow Cyt (Intra), IHC-P and reacts with Human, Mouse, Rat samples. Cited in 1 publication.

View Alternative Names

HST, STD, SULT2A1, Sulfotransferase 2A1, ST2A1, Bile salt sulfotransferase, Dehydroepiandrosterone sulfotransferase, Hydroxysteroid Sulfotransferase, ST2, SULT2A3, DHEA-ST, DHEA-ST8

5 Images
Immunohistochemistry (Formalin/PFA-fixed paraffin-embedded sections) - Anti-SULT2A1/ST2 antibody [EPR16096] - BSA and Azide free (AB240333)
  • IHC-P

Supplier Data

Immunohistochemistry (Formalin/PFA-fixed paraffin-embedded sections) - Anti-SULT2A1/ST2 antibody [EPR16096] - BSA and Azide free (AB240333)

Immunohistochemical analysis of paraffin-embedded Human adrenal tissue labeling SULT2A1/ST2 with ab194113 at 1/4000 dilution, followed by prediluted HRP Polymer for Rabbit/Mouse IgG. Counter stained with Hematoxylin.

This data was developed using the same antibody clone in a different buffer formulation containing PBS, BSA, glycerol, and sodium azide (ab194113).

Perform heat mediated antigen retrieval with Tris/EDTA buffer pH 9.0 before commencing with IHC staining protocol.

Flow Cytometry (Intracellular) - Anti-SULT2A1/ST2 antibody [EPR16096] - BSA and Azide free (AB240333)
  • Flow Cyt (Intra)

Supplier Data

Flow Cytometry (Intracellular) - Anti-SULT2A1/ST2 antibody [EPR16096] - BSA and Azide free (AB240333)

Intracellular flow cytometric analysis of 2% paraformaldehyde-fixed HepG2 cells labeling SULT2A1/ST2 with ab194113 at 1/120 dilution (red) compared with a rabbit monoclonal IgG isotype control (black) and an unlabelled control (cells without incubation with primary antibody and secondary antibody; blue). Goat anti rabbit IgG (FITC) at 1/150 dilution was used as the secondary antibody.

This data was developed using the same antibody clone in a different buffer formulation containing PBS, BSA, glycerol, and sodium azide (ab194113).

Immunocytochemistry/ Immunofluorescence - Anti-SULT2A1/ST2 antibody [EPR16096] - BSA and Azide free (AB240333)
  • ICC/IF

Supplier Data

Immunocytochemistry/ Immunofluorescence - Anti-SULT2A1/ST2 antibody [EPR16096] - BSA and Azide free (AB240333)

Immunofluorescent analysis of 4% paraformaldehyde-fixed, 0.1% Triton X-100 permeabilized HepG2 cells labeling SULT2A1/ST2 with ab194113 at 1/50 dilution followed by Goat anti-rabbit IgG (Alexa Fluor® 488) (ab150077) secondary antibody at 1/400 dilution. The nuclear counter stain is DAPI (blue).

This data was developed using the same antibody clone in a different buffer formulation containing PBS, BSA, glycerol, and sodium azide (ab194113).

Multiplex immunohistochemistry - Anti-SULT2A1/ST2 antibody [EPR16096] - BSA and Azide free (AB240333)
  • mIHC

Supplier Data

Multiplex immunohistochemistry - Anti-SULT2A1/ST2 antibody [EPR16096] - BSA and Azide free (AB240333)

Fluorescence multiplex immunohistochemical analysis of human adrenal gland (formalin-fixed paraffin-embedded section). Panel A shows merged staining of anti-PCSK2 stained on adrenal medulla (ab274418; red; Opal™690) at 1 : 2000 (0.263 μg/ml) [Panel B], anti-C11B2/CYP11B2 stained on zona glomerulosa (ab249476; cyan; Opal™520) at 1 : 500 (4.478 μg/ml) [Panel C], and anti-SULT2A1 stained on zona reticularis (ab240333; yellow; Opal™570) at 1 : 500 (4.504 μg/ml) [Panel D] on human adrenal gland. DAPI was used as a nuclear counter stain. Followed by Opal Polymer HRP Ms + Rb secondary antibody. The immunostaining was performed on a Leica Biosystems BOND® RX instrument with an Opal™ 4-color kit. Image acquisition was performed with Leica SP8 confocal microscope. The section was incubated in three rounds of staining : in the order of ab274418, ab249476, and ab240333 for 30 mins at room temperature. Each round was followed by a separate fluorescent tyramide signal amplification system. Heat mediated antigen retrieval with Tris-EDTA buffer (pH 9.0, epitope retrieval solution2) for 20 mins was used.

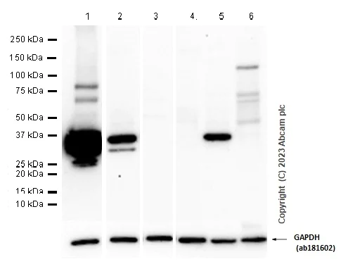
Western blot - Anti-SULT2A1/ST2 antibody [EPR16096] - BSA and Azide free (AB240333)
  • WB

Supplier Data

Western blot - Anti-SULT2A1/ST2 antibody [EPR16096] - BSA and Azide free (AB240333)

Blocking and diluting buffer and concentration : 5% NFDM/TBST Mouse SULT2A1 has gender difference and is only expressed in female (PMID : 28455387, PMID : 31201272, PMID : 16807285). This data was developed using the same antibody clone in a different buffer formulation containing PBS, BSA, glycerol, and sodium azide (ab194113).

All lanes:

Western blot - Anti-SULT2A1/ST2 antibody [EPR16096] (<a href='/en-us/products/primary-antibodies/sult2a1-st2-antibody-epr16096-ab194113'>ab194113</a>) at 1/1000 dilution

Lane 1:

Human liver tissue lysate at 20 µg

Lane 2:

Rat liver tissue lysate at 20 µg

Lane 2:

Rat spleen tissue lysate at 20 µg

Lane 4:

Mouse liver tissue lysate at 20 µg

Lane 5:

Mouse kidney tissue lysate at 20 µg

Lane 6:

Mouse spleen tissue lysate at 20 µg

Predicted band size: 34 kDa

Observed band size: 35 kDa

false

Exposure time: 60s

  • 775 Alexa Fluor® 750

    Alexa Fluor® 750 Anti-SULT2A1/ST2 antibody [EPR16096]

  • Unconjugated

    Anti-SULT2A1/ST2 antibody [EPR16096]

  • 578 PE

    PE Anti-SULT2A1 antibody [EPR16096]

  • 660 APC

    APC Anti-SULT2A1 antibody [EPR16096]

  • HRP

    HRP Anti-SULT2A1 antibody [EPR16096]

  • 519 Alexa Fluor® 488

    Alexa Fluor® 488 Anti-SULT2A1 antibody [EPR16096]

  • 665 Alexa Fluor® 647

    Alexa Fluor® 647 Anti-SULT2A1 antibody [EPR16096]

  • 617 Alexa Fluor® 594

    Alexa Fluor® 594 Anti-SULT2A1 antibody [EPR16096]

  • 565 Alexa Fluor® 555

    Alexa Fluor® 555 Anti-SULT2A1 antibody [EPR16096]

  • 603 Alexa Fluor® 568

    Alexa Fluor® 568 Anti-SULT2A1/ST2 antibody [EPR16096]

Key facts

Host species

Rabbit

Clonality

Monoclonal

Clone number

EPR16096

Isotype

IgG

Carrier free

Yes

Reacts with

Mouse, Rat, Human

Applications

mIHC, WB, Flow Cyt (Intra), IHC-P, ICC/IF

applications

Immunogen

The exact immunogen used to generate this antibody is proprietary information.

Reactivity data

{ "title": "Reactivity Data", "filters": { "stats": ["", "Species", "Dilution Info", "Notes"], "tabs": { "all-applications": {"fullname" : "All Applications", "shortname": "All Applications"}, "mIHC" : {"fullname" : "Multiplex immunohistochemistry", "shortname":"mIHC"}, "WB" : {"fullname" : "Western blot", "shortname":"WB"}, "ICCIF" : {"fullname" : "Immunocytochemistry/ Immunofluorescence", "shortname":"ICC/IF"}, "FlowCytIntra" : {"fullname" : "Flow Cytometry (Intracellular)", "shortname":"Flow Cyt (Intra)"}, "IHCP" : {"fullname" : "Immunohistochemistry (Formalin/PFA-fixed paraffin-embedded sections)", "shortname":"IHC-P"} }, "product-promise": { "all": "all", "testedAndGuaranteed": "tested", "guaranteed": "expected", "predicted": "predicted", "notRecommended": "not-recommended" } }, "values": { "Human": { "mIHC-species-checked": "testedAndGuaranteed", "mIHC-species-dilution-info": "1/500", "mIHC-species-notes": "<p></p>", "WB-species-checked": "guaranteed", "WB-species-dilution-info": "", "WB-species-notes": "<p></p>", "ICCIF-species-checked": "testedAndGuaranteed", "ICCIF-species-dilution-info": "", "ICCIF-species-notes": "<p></p>", "FlowCytIntra-species-checked": "testedAndGuaranteed", "FlowCytIntra-species-dilution-info": "", "FlowCytIntra-species-notes": "<p><a href='/en-us/products/primary-antibodies/rabbit-igg-monoclonal-epr25a-isotype-control-low-endotoxin-azide-free-ab199376'>ab199376</a> - Rabbit monoclonal IgG, is suitable for use as an isotype control with this antibody.</p>", "IHCP-species-checked": "testedAndGuaranteed", "IHCP-species-dilution-info": "", "IHCP-species-notes": "<p></p>" }, "Mouse": { "mIHC-species-checked": "predicted", "mIHC-species-dilution-info": "", "mIHC-species-notes": "", "WB-species-checked": "guaranteed", "WB-species-dilution-info": "", "WB-species-notes": "<p></p>", "ICCIF-species-checked": "predicted", "ICCIF-species-dilution-info": "", "ICCIF-species-notes": "", "FlowCytIntra-species-checked": "predicted", "FlowCytIntra-species-dilution-info": "", "FlowCytIntra-species-notes": "", "IHCP-species-checked": "predicted", "IHCP-species-dilution-info": "", "IHCP-species-notes": "" }, "Rat": { "mIHC-species-checked": "predicted", "mIHC-species-dilution-info": "", "mIHC-species-notes": "", "WB-species-checked": "guaranteed", "WB-species-dilution-info": "", "WB-species-notes": "<p></p>", "ICCIF-species-checked": "predicted", "ICCIF-species-dilution-info": "", "ICCIF-species-notes": "", "FlowCytIntra-species-checked": "predicted", "FlowCytIntra-species-dilution-info": "", "FlowCytIntra-species-notes": "", "IHCP-species-checked": "predicted", "IHCP-species-dilution-info": "", "IHCP-species-notes": "" } } }

Product details

ab240333 is the carrier-free version of ab194113.

Patented technology
Our RabMAb® technology is a patented hybridoma-based technology for making rabbit monoclonal antibodies. For details on our patents, please refer to RabMAb® patents.

What are the advantages of a recombinant monoclonal antibody?
This product is a recombinant monoclonal antibody, which offers several advantages including:

  • - High batch-to-batch consistency and reproducibility
  • - Improved sensitivity and specificity
  • - Long-term security of supply
  • - Animal-free batch production

For more information, read more on recombinant antibodies.

Conjugation ready
Our carrier-free antibodies are typically supplied in a PBS-only formulation, purified and free of BSA, sodium azide and glycerol. This conjugation-ready format is designed for use with fluorochromes, metal isotopes, oligonucleotides, and enzymes, which makes them ideal for antibody labelling, functional and cell-based assays, flow-based assays (e.g. mass cytometry) and Multiplex Imaging applications.

Use our conjugation kits for antibody conjugates that are ready-to-use in as little as 20 minutes with 1 minute hands-on-time and 100% antibody recovery: available for fluorescent dyes, HRP, biotin and gold.

Compatibility
This product is compatible with the Maxpar® Antibody Labeling Kit from Fluidigm, without the need for antibody preparation. Maxpar® is a trademark of Fluidigm Canada Inc.

Properties and storage information

Form
Liquid
Purification technique
Affinity purification Protein A
Storage buffer
pH: 7.2 - 7.4 Constituents: PBS
Shipped at conditions
Blue Ice
Appropriate short-term storage conditions
+4°C
Appropriate long-term storage conditions
+4°C
Storage information
Do Not Freeze

Supplementary information

This supplementary information is collated from multiple sources and compiled automatically.

SULT2A1 also known as ST2 is an enzyme belonging to the sulfotransferase family. It mechanically transfers sulfate groups to hydroxy steroids which include substances like dehydroepiandrosterone (DHEA) as well as other sterols. SULT2A1 exhibits an approximate molecular mass of 34 kDa. Expression occurs mainly in the liver and adrenal glands where it plays important role in steroid metabolism. It is also found in the intestine and skin although at lower levels. This enzyme's function in these tissues suggests its involvement in the local regulation of hormone action and metabolism.
Biological function summary

The role of SULT2A1 extends to the regulation of hormones by sulfurylation which makes compounds more soluble and ready for excretion. This process effectively deactivates certain steroid hormones thereby modulating their activity within the body. SULT2A1 does not typically form part of a larger complex but works independently in modifying steroid substrates. The enzyme's activity allows for regulation of hormone availability and subsequently holds substantial influence over multiple physiological processes.

Pathways

SULT2A1 is active in the steroid metabolism and catabolic pathways. It functions alongside other enzymes like CYP3A4 a cytochrome P450 enzyme to transform and clear hormone derivatives from the body. This cooperation is important for maintaining hormonal balance by converting active hormones into less active forms or preparing them for elimination. SULT2A1 contributes specifically to the homeostasis of androgen and estrogen metabolism through the sulfate conjugation pathway regulating the sensitivity of tissues to these hormones.

Alterations in SULT2A1 activity have connections with adrenal diseases and certain forms of cancer. Overactive or deficient SULT2A1 enzyme function can disrupt hormone levels affecting conditions like congenital adrenal hyperplasia. This condition involves hormone imbalances due to enzyme irregularities upstream where SULT2A1's role in sulfate conjugation remains integral. It is also associated with breast cancer where enzyme interactions with estrogen derivatives might modulate proliferative signals; related proteins include estrogen receptor pathways that influence tumor growth. Understanding SULT2A1's function in these contexts aids in grasping the broader impact of hormone regulation and metabolism in disease development.

Product protocols

For this product, it's our understanding that no specific protocols are required. You can visit:

Target data

Sulfotransferase that utilizes 3'-phospho-5'-adenylyl sulfate (PAPS) as sulfonate donor to catalyze the sulfonation of steroids and bile acids in the liver and adrenal glands. Mediates the sulfation of a wide range of steroids and sterols, including pregnenolone, androsterone, DHEA, bile acids, cholesterol and as well many xenobiotics that contain alcohol and phenol functional groups (PubMed : 14573603, PubMed : 18042734, PubMed : 19589875, PubMed : 21187059, PubMed : 2268288, PubMed : 29671343, PubMed : 7678732, PubMed : 7854148). Sulfonation increases the water solubility of most compounds, and therefore their renal excretion, but it can also result in bioactivation to form active metabolites. Plays an important role in maintening steroid and lipid homeostasis (PubMed : 14573603, PubMed : 19589875, PubMed : 21187059). Plays a key role in bile acid metabolism (PubMed : 2268288). In addition, catalyzes the metabolic activation of potent carcinogenic polycyclic arylmethanols (By similarity).
See full target information SULT2A1

Publications (1)

Recent publications for all applications. Explore the full list and refine your search

iScience 26:105723 PubMed36590169

2023

Assessment of stromal SCD-induced drug resistance of PDAC using 3D-printed zPDX model chips.

Applications

Unspecified application

Species

Unspecified reactive species

Chuntao Wu,Beiyuan Hu,Lei Wang,Xia Wu,Haitao Gu,Hanguang Dong,Jiuliang Yan,Zihao Qi,Qi Zhang,Huan Chen,Bo Yu,Sheng Hu,Yu Qian,Shuang Dong,Qiang Li,Xu Wang,Jiang Long
View all publications

Product promise

We are committed to supporting your work with high-quality reagents, and we're here for you every step of the way. In the unlikely event that one of our products does not perform as expected, you're protected by our Product Promise.
For full details, please see our Terms & Conditions

Please note: All products are 'FOR RESEARCH USE ONLY. NOT FOR USE IN DIAGNOSTIC OR THERAPEUTIC PROCEDURES'.

For licensing inquiries, please contact partnerships@abcam.com