JavaScript is disabled in your browser. Please enable JavaScript to view this website.
AB248491

Anti-Sumo 1 antibody [EP298] - BSA and Azide free

Be the first to review this product! Submit a review

|

(1 Publication)

Rabbit Recombinant Monoclonal Sumo 1 antibody. Carrier free. Suitable for IHC-P, WB and reacts with Human, Mouse, Rat, Recombinant full length protein - Human samples. Cited in 1 publication.

View Alternative Names

SMT3C, SMT3H3, UBL1, OK/SW-cl.43, SUMO1, Small ubiquitin-related modifier 1, SUMO-1, GAP-modifying protein 1, SMT3 homolog 3, Sentrin, Ubiquitin-homology domain protein PIC1, Ubiquitin-like protein SMT3C, Ubiquitin-like protein UBL1, GMP1, Smt3C

10 Images
Immunohistochemistry (Formalin/PFA-fixed paraffin-embedded sections) - Anti-Sumo 1 antibody [EP298] - BSA and Azide free (AB248491)
  • IHC-P

Unknown

Immunohistochemistry (Formalin/PFA-fixed paraffin-embedded sections) - Anti-Sumo 1 antibody [EP298] - BSA and Azide free (AB248491)

This data was developed using ab133352, the same antibody clone in a different buffer formulation.

Immunohistochemical analysis of paraffin embedded normal Human tonsil tissue labelling Sumo 1 with un-purified ab133352 at dilution of 1/100-1/250.

Perform heat mediated antigen retrieval with citrate buffer pH 6 before commencing with IHC staining protocol.

Immunohistochemistry (Formalin/PFA-fixed paraffin-embedded sections) - Anti-Sumo 1 antibody [EP298] - BSA and Azide free (AB248491)
  • IHC-P

Unknown

Immunohistochemistry (Formalin/PFA-fixed paraffin-embedded sections) - Anti-Sumo 1 antibody [EP298] - BSA and Azide free (AB248491)

This data was developed using ab133352, the same antibody clone in a different buffer formulation.

Immunohistochemical analysis of paraffin embedded Human Breast carcinoma tissue labelling Sumo 1 with un-purified ab133352 at dilution of 1/100-1/250.

Perform heat mediated antigen retrieval with citrate buffer pH 6 before commencing with IHC staining protocol.

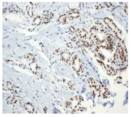
Immunohistochemistry (Formalin/PFA-fixed paraffin-embedded sections) - Anti-Sumo 1 antibody [EP298] - BSA and Azide free (AB248491)
  • IHC-P

Unknown

Immunohistochemistry (Formalin/PFA-fixed paraffin-embedded sections) - Anti-Sumo 1 antibody [EP298] - BSA and Azide free (AB248491)

This data was developed using ab133352, the same antibody clone in a different buffer formulation.

Immunohistochemical analysis of paraffin-embedded Human papillary cell thyroid gland carcinoma tissue labelling Sumo 1 with un-purified ab133352 at 1/100 dilution.

Perform heat mediated antigen retrieval with citrate buffer pH 6 before commencing with IHC staining protocol.

Immunohistochemistry (Formalin/PFA-fixed paraffin-embedded sections) - Anti-Sumo 1 antibody [EP298] - BSA and Azide free (AB248491)
  • IHC-P

Unknown

Immunohistochemistry (Formalin/PFA-fixed paraffin-embedded sections) - Anti-Sumo 1 antibody [EP298] - BSA and Azide free (AB248491)

This data was developed using ab133352, the same antibody clone in a different buffer formulation.

Immunohistochemical analysis of paraffin embedded Human Glioma tissue labelling Sumo 1 with un-purified ab133352 at dilution of 1/100-1/250.

Perform heat mediated antigen retrieval with citrate buffer pH 6 before commencing with IHC staining protocol.

Immunohistochemistry (Formalin/PFA-fixed paraffin-embedded sections) - Anti-Sumo 1 antibody [EP298] - BSA and Azide free (AB248491)
  • IHC-P

Unknown

Immunohistochemistry (Formalin/PFA-fixed paraffin-embedded sections) - Anti-Sumo 1 antibody [EP298] - BSA and Azide free (AB248491)

This data was developed using ab133352, the same antibody clone in a different buffer formulation.

Immunohistochemical analysis of paraffin embedded Human Urinary bladder transitional carcinoma tissue labelling Sumo 1 with un-purified ab133352 at dilution of 1/100-1/250.

Perform heat mediated antigen retrieval with citrate buffer pH 6 before commencing with IHC staining protocol.

Immunohistochemistry (Formalin/PFA-fixed paraffin-embedded sections) - Anti-Sumo 1 antibody [EP298] - BSA and Azide free (AB248491)
  • IHC-P

Unknown

Immunohistochemistry (Formalin/PFA-fixed paraffin-embedded sections) - Anti-Sumo 1 antibody [EP298] - BSA and Azide free (AB248491)

This data was developed using ab133352, the same antibody clone in a different buffer formulation.

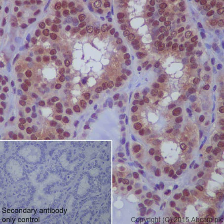
Immunohistochemical staining of paraffin-embedded human thyroid carcinoma sections labelling Sumo 1 with purified ab133352 at dilution of 1 : 100. The secondary antibody used was ab97051; a goat anti-rabbit IgG H&L (HRP) at dilution of 1/500. The sample was counter-stained with hematoxylin. Antigen retrieval was performed using EDTA Buffer; pH 9.0. PBS was used instead of the primary antibody as the negative control and is shown in the inset.

Western blot - Anti-Sumo 1 antibody [EP298] - BSA and Azide free (AB248491)
  • WB

Lab

Western blot - Anti-Sumo 1 antibody [EP298] - BSA and Azide free (AB248491)

This data was developed using ab133352, the same antibody clone in a different buffer formulation.

Lane 1 : Wild-type HAP1 cell lysate (20 μg)

Lane 2 : Sumo 1 knockout HAP1 cell lysate (20 μg)

Lane 3 : HeLa cell lysate (20 μg)

Lane 4 : MCF-7 cell lysate (20 μg)

Lanes 1 - 4 : Merged signal (red and green). Green - ab133352 observed at 16 kDa. Red - loading control, ab8245, observed at 37 kDa.

ab133352 was shown to recognize Sumo 1 when Sumo 1 knockout samples were used, along with additional cross-reactive bands. Wild-type and Sumo 1 knockout samples were subjected to SDS-PAGE. ab133352 and ab8245 (loading control to GAPDH) were diluted 1/000 and 1/10000 respectively and incubated overnight at 4°C. Blots were developed with Goat anti-Rabbit IgG H&L (IRDye® 800CW) preadsorbed (ab216773) and Goat anti-Mouse IgG H&L (IRDye® 680RD) preadsorbed (ab216776) secondary antibodies at 1/10000 dilution for 1 hour at room temperature before imaging.

All lanes:

Western blot - Anti-Sumo 1 antibody [EP298] (<a href='/en-us/products/primary-antibodies/sumo-1-antibody-ep298-ab133352'>ab133352</a>)

Predicted band size: 11 kDa

Observed band size: 37 kDa

false

Western blot - Anti-Sumo 1 antibody [EP298] - BSA and Azide free (AB248491)
  • WB

Unknown

Western blot - Anti-Sumo 1 antibody [EP298] - BSA and Azide free (AB248491)

This data was developed using ab133352, the same antibody clone in a different buffer formulation.

All lanes:

Western blot - Anti-Sumo 1 antibody [EP298] (<a href='/en-us/products/primary-antibodies/sumo-1-antibody-ep298-ab133352'>ab133352</a>) at 1/1000 dilution

Lane 1:

HeLa cell lysate at 10 µg

Lane 2:

HL60 cell lysate at 10 µg

Lane 3:

A431 cell lysate at 10 µg

Lane 4:

NIH3T3 cell lysate at 10 µg

Secondary

All lanes:

HRP labelled goat anti-rabbit at 1/2000 dilution

Predicted band size: 11 kDa

false

Western blot - Anti-Sumo 1 antibody [EP298] - BSA and Azide free (AB248491)
  • WB

Unknown

Western blot - Anti-Sumo 1 antibody [EP298] - BSA and Azide free (AB248491)

This data was developed using ab133352, the same antibody clone in a different buffer formulation.

Blocking and dilution buffer : 5% NFDM/TBST.

All lanes:

Western blot - Anti-Sumo 1 antibody [EP298] (<a href='/en-us/products/primary-antibodies/sumo-1-antibody-ep298-ab133352'>ab133352</a>) at 1/10000 dilution

Lane 1:

HeLa (human cervix adenocarcinoma) whole cell lysate at 20 µg

Lane 2:

MCF-7 (human breast carcinoma) whole cell lysate at 20 µg

Lane 3:

A549 (human lung carcinoma) whole cell lysate at 20 µg

Lane 4:

NIH/3T3 (mouse embryo) whole cell lysate at 20 µg

Lane 5:

C6 (rat glioma) whole cell lysate at 20 µg

Secondary

All lanes:

Western blot - Goat Anti-Rabbit IgG H&L (HRP) (<a href='/en-us/products/secondary-antibodies/goat-rabbit-igg-h-l-hrp-ab97051'>ab97051</a>) at 1/10000 dilution

Predicted band size: 11 kDa

Observed band size: 18-90 kDa

false

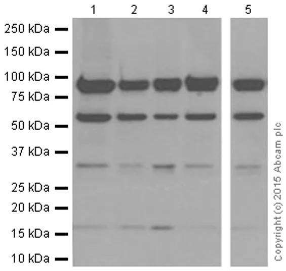
Western blot - Anti-Sumo 1 antibody [EP298] - BSA and Azide free (AB248491)
  • WB

Lab

Western blot - Anti-Sumo 1 antibody [EP298] - BSA and Azide free (AB248491)

Blocking buffer : 5% NFDM/TBST

This data was developed using ab133352, the same antibody clone in a different buffer formulation.

All lanes:

Western blot - Anti-Sumo 1 antibody [EP298] (<a href='/en-us/products/primary-antibodies/sumo-1-antibody-ep298-ab133352'>ab133352</a>) at 1/1000 dilution

Lane 1:

Western blot - Recombinant Human Sumo 1 protein (<a href='/en-us/products/proteins-peptides/recombinant-human-sumo-1-protein-ab140417'>ab140417</a>) at 0.01 µg

Lane 2:

Western blot - Recombinant Human Sumo 2 protein (<a href='/en-us/products/proteins-peptides/recombinant-human-sumo-2-protein-ab140420'>ab140420</a>) at 0.01 µg

Lane 3:

Recombinant Human Sumo 3 protein (ab140414) at 0.01 µg

Lane 4:

Western blot - Recombinant Human Sumo 4 protein (<a href='/en-us/products/proteins-peptides/recombinant-human-sumo-4-protein-ab157025'>ab157025</a>) at 0.1 µg

Secondary

All lanes:

Western blot - Goat Anti-Rabbit IgG H&L (HRP) (<a href='/en-us/products/secondary-antibodies/goat-rabbit-igg-h-l-hrp-ab97051'>ab97051</a>) at 1/20000 dilution

Predicted band size: 11 kDa

Observed band size: 16 kDa

true

Exposure time: 10s

Key facts

Host species

Rabbit

Clonality

Monoclonal

Clone number

EP298

Isotype

IgG

Carrier free

Yes

Reacts with

Mouse, Rat, Human

Applications

WB, IHC-P

applications

Immunogen

The exact immunogen used to generate this antibody is proprietary information.

Reactivity data

{ "title": "Reactivity Data", "filters": { "stats": ["", "Species", "Dilution Info", "Notes"], "tabs": { "all-applications": {"fullname" : "All Applications", "shortname": "All Applications"}, "IHCP" : {"fullname" : "Immunohistochemistry (Formalin/PFA-fixed paraffin-embedded sections)", "shortname":"IHC-P"}, "FlowCyt" : {"fullname" : "Flow Cytometry", "shortname":"Flow Cyt"}, "WB" : {"fullname" : "Western blot", "shortname":"WB"} }, "product-promise": { "all": "all", "testedAndGuaranteed": "tested", "guaranteed": "expected", "predicted": "predicted", "notRecommended": "not-recommended" } }, "values": { "Human": { "IHCP-species-checked": "testedAndGuaranteed", "IHCP-species-dilution-info": "", "IHCP-species-notes": "<p></p>", "FlowCyt-species-checked": "notRecommended", "FlowCyt-species-dilution-info": "", "FlowCyt-species-notes": "<p></p>", "WB-species-checked": "testedAndGuaranteed", "WB-species-dilution-info": "", "WB-species-notes": "<p></p>" }, "Mouse": { "IHCP-species-checked": "guaranteed", "IHCP-species-dilution-info": "", "IHCP-species-notes": "", "FlowCyt-species-checked": "notRecommended", "FlowCyt-species-dilution-info": "", "FlowCyt-species-notes": "<p></p>", "WB-species-checked": "testedAndGuaranteed", "WB-species-dilution-info": "", "WB-species-notes": "<p></p>" }, "Rat": { "IHCP-species-checked": "guaranteed", "IHCP-species-dilution-info": "", "IHCP-species-notes": "", "FlowCyt-species-checked": "notRecommended", "FlowCyt-species-dilution-info": "", "FlowCyt-species-notes": "<p></p>", "WB-species-checked": "testedAndGuaranteed", "WB-species-dilution-info": "", "WB-species-notes": "<p></p>" }, "Recombinant full length protein - Human": { "IHCP-species-checked": "notRecommended", "IHCP-species-dilution-info": "", "IHCP-species-notes": "", "FlowCyt-species-checked": "notRecommended", "FlowCyt-species-dilution-info": "", "FlowCyt-species-notes": "", "WB-species-checked": "testedAndGuaranteed", "WB-species-dilution-info": "", "WB-species-notes": "<p></p>" } } }

Product details

ab248491 is the carrier-free version of ab133352.

Patented technology
Our RabMAb® technology is a patented hybridoma-based technology for making rabbit monoclonal antibodies. For details on our patents, please refer to RabMAb® patents.

What are the advantages of a recombinant monoclonal antibody?
This product is a recombinant monoclonal antibody, which offers several advantages including:

  • - High batch-to-batch consistency and reproducibility
  • - Improved sensitivity and specificity
  • - Long-term security of supply
  • - Animal-free batch production

For more information, read more on recombinant antibodies.

Conjugation ready
Our carrier-free antibodies are typically supplied in a PBS-only formulation, purified and free of BSA, sodium azide and glycerol. This conjugation-ready format is designed for use with fluorochromes, metal isotopes, oligonucleotides, and enzymes, which makes them ideal for antibody labelling, functional and cell-based assays, flow-based assays (e.g. mass cytometry) and Multiplex Imaging applications.

Use our conjugation kits for antibody conjugates that are ready-to-use in as little as 20 minutes with 1 minute hands-on-time and 100% antibody recovery: available for fluorescent dyes, HRP, biotin and gold.

Compatibility
This product is compatible with the Maxpar® Antibody Labeling Kit from Fluidigm, without the need for antibody preparation. Maxpar® is a trademark of Fluidigm Canada Inc.

Properties and storage information

Form
Liquid
Purification technique
Affinity purification Protein A
Storage buffer
pH: 7.2 - 7.4 Constituents: PBS
Shipped at conditions
Blue Ice
Appropriate short-term storage conditions
+4°C
Appropriate long-term storage conditions
+4°C
Storage information
Do Not Freeze

Supplementary information

This supplementary information is collated from multiple sources and compiled automatically.

SUMO 1 also known as small ubiquitin-like modifier 1 is part of the protein family involved in post-translational modification. The protein mechanically adds a SUMO group to target proteins through sumoylation a process similar to ubiquitination. SUMO 1 typically has a molecular mass of around 11 kDa. It expresses in various tissues and cells including the nucleus and cytoplasm of eukaryotic cells. In addition it is important in processes like nuclear transport transcriptional regulation and protein stabilization.
Biological function summary

SUMO 1 contributes significantly to maintaining cellular homeostasis. It is an integral part of a SUMOylation complex that modifies other proteins to alter their function localization or interactions. Through its modification actions SUMO 1 affects processes such as DNA repair and the cell cycle. By interacting with components of the nuclear pore complex and transcription factors SUMO 1 modulates essential biological activities at multiple levels within the cell.

Pathways

This protein plays a significant role in the PI3K/Akt pathway and Wnt signaling. SUMO 1 associates with proteins like RanGAP1 and various transcription factors highlighting the complexity of its regulatory actions. These associations are important for the regulation of cell survival proliferation and differentiation. SUMOylation by SUMO 1 has been linked to an interference with phosphorylation showing its potential influence on cell signaling pathways.

The dysregulation of SUMO 1 is seen in cancer and neurodegenerative diseases. For instance altered SUMOylation patterns contribute to the progression of certain cancers. Furthermore SUMO 1 interacts with proteins like p53 and these interactions can affect tumor suppression and cell cycle regulation. In neurodegenerative disorders disturbed SUMOylation is associated with protein aggregation and neuronal damage implicating SUMO 1 in diseases like Alzheimer's.

Product protocols

For this product, it's our understanding that no specific protocols are required. You can visit:

Target data

Ubiquitin-like protein that can be covalently attached to proteins as a monomer or a lysine-linked polymer. Covalent attachment via an isopeptide bond to its substrates requires prior activation by the E1 complex SAE1-SAE2 and linkage to the E2 enzyme UBE2I, and can be promoted by E3 ligases such as PIAS1-4, RANBP2 or CBX4. This post-translational modification on lysine residues of proteins plays a crucial role in a number of cellular processes such as nuclear transport, DNA replication and repair, mitosis and signal transduction. Involved for instance in targeting RANGAP1 to the nuclear pore complex protein RANBP2. Covalently attached to the voltage-gated potassium channel KCNB1; this modulates the gating characteristics of KCNB1 (PubMed : 19223394). Polymeric SUMO1 chains are also susceptible to polyubiquitination which functions as a signal for proteasomal degradation of modified proteins. May also regulate a network of genes involved in palate development. Covalently attached to ZFHX3 (PubMed : 24651376).
See full target information SUMO1

Publications (1)

Recent publications for all applications. Explore the full list and refine your search

Oncology letters 24:457 PubMed36380881

2022

Suppressive effect of YY1-mediated RGS22 regulation on the proliferation, migration and invasion of pancreatic ductal adenocarcinoma.

Applications

Unspecified application

Species

Unspecified reactive species

Shou-Ji Cao,Wan-Li Ge,Ling-Dong Meng,Qun Chen,Yi Miao,Kui-Rong Jiang,Jing-Jing Zhang
View all publications

Product promise

We are committed to supporting your work with high-quality reagents, and we're here for you every step of the way. In the unlikely event that one of our products does not perform as expected, you're protected by our Product Promise.
For full details, please see our Terms & Conditions

Please note: All products are 'FOR RESEARCH USE ONLY. NOT FOR USE IN DIAGNOSTIC OR THERAPEUTIC PROCEDURES'.

For licensing inquiries, please contact partnerships@abcam.com