JavaScript is disabled in your browser. Please enable JavaScript to view this website.
AB252805

Anti-Sumo 2 + Sumo 3 antibody [8A2] - BSA and Azide free

Be the first to review this product! Submit a review

|

(0 Publication)

Mouse Recombinant Monoclonal Sumo 2 antibody. Carrier free. Suitable for IHC-P, ICC, WB and reacts with Mouse, Rat, Human samples.

View Alternative Names

SMT3B, SMT3H2, SUMO2, Small ubiquitin-related modifier 2, SUMO-2, HSMT3, SMT3 homolog 2, SUMO-3, Sentrin-2, Ubiquitin-like protein SMT3B, Smt3B, SMT3A, SMT3H1, SUMO3, Small ubiquitin-related modifier 3, SUMO-3, SMT3 homolog 1, SUMO-2, Ubiquitin-like protein SMT3A, Smt3A

8 Images
Immunocytochemistry - Anti-Sumo 2 + Sumo 3 antibody [8A2] - BSA and Azide free (AB252805)
  • ICC

Supplier Data

Immunocytochemistry - Anti-Sumo 2 + Sumo 3 antibody [8A2] - BSA and Azide free (AB252805)

This image was produced using ab81371, the same antibody clone in a different buffer.

Immunocytochemistry/immunofluorescence analysis of SW480 cell line labelling Sumo 2 + Sumo 3 with ab81371 at 1/50 dilution. Cells were fixed with 4% paraformaldehyde and permeabilized with 0.1% Triton X-100. Primary antibody, ab81371 at 1 : 50 was incubated overnight at 4° C, followed by AlexaFluor® 488-conjugated Goat anti- Mouse secondary antibody (ab150113) at 1/1000 dilution at RT for 45 min. ab179513 Anti-beta Tubulin, used as a counterstain at 1/200 dilution, was co-incubated with ab81371 overnight at 4° C, followed by Alexa Fluor® 594 Goat Anti-Rabbit secondary (ab150080) at 1/1000 dilution at RT for 45 min. Nucleus were visualized using DAPI.

Immunocytochemistry - Anti-Sumo 2 + Sumo 3 antibody [8A2] - BSA and Azide free (AB252805)
  • ICC

Supplier Data

Immunocytochemistry - Anti-Sumo 2 + Sumo 3 antibody [8A2] - BSA and Azide free (AB252805)

This image was produced using ab81371, the same antibody clone in a different buffer.

Immunocytochemistry/immunofluorescence analysis of HeLa cells labelling Sumo 2 + Sumo 3 with ab81371 at 1/50 dilution. Cells were fixed with 4% paraformaldehyde and permeabilized with 0.1% Triton X-100. Primary antibody, ab81371 at 1 : 50 was incubated overnight at 4° C, followed by AlexaFluor® 488-conjugated Goat anti- Mouse secondary antibody (ab150113) at 1/1000 dilution at RT for 45 min. ab179513 Anti-beta Tubulin, used as a counterstain at 1/200 dilution, was co-incubated with ab81371 overnight at 4° C, followed by Alexa Fluor® 594 Goat Anti-Rabbit secondary (ab150080) at 1/1000 dilution at RT for 45 min. Nucleus were visualized using DAPI.

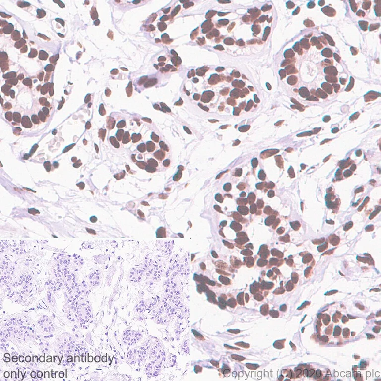
Immunohistochemistry (Formalin/PFA-fixed paraffin-embedded sections) - Anti-Sumo 2 + Sumo 3 antibody [8A2] - BSA and Azide free (AB252805)
  • IHC-P

Supplier Data

Immunohistochemistry (Formalin/PFA-fixed paraffin-embedded sections) - Anti-Sumo 2 + Sumo 3 antibody [8A2] - BSA and Azide free (AB252805)

This image was produced using ab81371, the same antibody clone in a different buffer.

Immunohistochemical analysis of paraffin-embedded human breast tissue labeling Sumo 2 + Sumo 3 with ab81371 at 1/1000 dilution followed by a ready to use Goat Anti-Mouse IgG H&L (HRP polymer) (ab214879). The section was incubated with ab81371 for overnight at 4℃.
Secondary antibody only control : Ready to use Goat Anti-Mouse IgG H&L (HRP polymer) (ab214879).
Heat mediated antigen retrieval with citrate buffer (pH 6.0, epitope retrieval solution1).

Immunohistochemistry (Formalin/PFA-fixed paraffin-embedded sections) - Anti-Sumo 2 + Sumo 3 antibody [8A2] - BSA and Azide free (AB252805)
  • IHC-P

Supplier Data

Immunohistochemistry (Formalin/PFA-fixed paraffin-embedded sections) - Anti-Sumo 2 + Sumo 3 antibody [8A2] - BSA and Azide free (AB252805)

This image was produced using ab81371, the same antibody clone in a different buffer.

Immunohistochemical analysis of paraffin-embedded rat kidney tissue labeling Sumo 2 + Sumo 3 with ab81371 at 1/1000 dilution followed by a ready to use Goat Anti-Mouse IgG H&L (HRP polymer) (ab214879). The section was incubated with ab81371 for overnight at 4℃.
Secondary antibody only control : Ready to use Goat Anti-Mouse IgG H&L (HRP polymer) (ab214879).
Heat mediated antigen retrieval with citrate buffer (pH 6.0, epitope retrieval solution1).

Immunocytochemistry - Anti-Sumo 2 + Sumo 3 antibody [8A2] - BSA and Azide free (AB252805)
  • ICC

Supplier Data

Immunocytochemistry - Anti-Sumo 2 + Sumo 3 antibody [8A2] - BSA and Azide free (AB252805)

This image was produced using ab81371, the same antibody clone in a different buffer.

Immunocytochemistry/immunofluorescence analysis of NIH/3T3 cells labelling Sumo 2 + Sumo 3 with ab81371 at 1/50 dilution. Cells were fixed with 4% paraformaldehyde and permeabilized with 0.1% Triton X-100. Primary antibody, ab81371 at 1 : 50 was incubated overnight at 4° C, followed by AlexaFluor® 488-conjugated Goat anti- Mouse secondary antibody (ab150113) at 1/1000 dilution at RT for 45 min. ab179513 Anti-beta Tubulin, used as a counterstain at 1/200 dilution, was co-incubated with ab81371 overnight at 4° C, followed by Alexa Fluor® 594 Goat Anti-Rabbit secondary (ab150080) at 1/1000 dilution at RT for 45 min. Nucleus were visualized using DAPI.

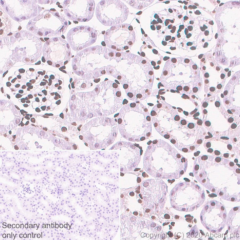
Immunohistochemistry (Formalin/PFA-fixed paraffin-embedded sections) - Anti-Sumo 2 + Sumo 3 antibody [8A2] - BSA and Azide free (AB252805)
  • IHC-P

Supplier Data

Immunohistochemistry (Formalin/PFA-fixed paraffin-embedded sections) - Anti-Sumo 2 + Sumo 3 antibody [8A2] - BSA and Azide free (AB252805)

This image was produced using ab81371, the same antibody clone in a different buffer.

Immunohistochemical analysis of paraffin-embedded mouse kidney tissue labeling Sumo 2 + Sumo 3 with ab81371 at 1/1000 dilution followed by a ready to use Goat Anti-Mouse IgG H&L (HRP polymer) (ab214879). The section was incubated with ab81371 for overnight at 4℃.
Secondary antibody only control : Ready to use Goat Anti-Mouse IgG H&L (HRP polymer) (ab214879).
Heat mediated antigen retrieval with citrate buffer (pH 6.0, epitope retrieval solution1).

Western blot - Anti-Sumo 2 + Sumo 3 antibody [8A2] - BSA and Azide free (AB252805)
  • WB

Supplier Data

Western blot - Anti-Sumo 2 + Sumo 3 antibody [8A2] - BSA and Azide free (AB252805)

This image was produced using ab81371, the same antibody clone in a different buffer.

Blocking/Dilution buffer : 5% NFDM/TBST.

All lanes:

Western blot - Anti-Sumo 2 + Sumo 3 antibody [8A2] - BSA and Azide free (ab252805) at 1/1000 dilution

Lane 1:

Human brain tissue lysate at 10 µg

Lane 2:

Human kidney tissue lysate at 10 µg

Lane 3:

Human spleen tissue lysate at 10 µg

Lane 4:

Mouse brain tissue lysate at 10 µg

Lane 5:

Rat spleen tissue lysate at 10 µg

Secondary

All lanes:

Peroxidase-Conjugated Goat anti-Mouse IgG (H+L) at 1/10000 dilution

Predicted band size: 12 kDa

false

Western blot - Anti-Sumo 2 + Sumo 3 antibody [8A2] - BSA and Azide free (AB252805)
  • WB

Supplier Data

Western blot - Anti-Sumo 2 + Sumo 3 antibody [8A2] - BSA and Azide free (AB252805)

This image was produced using ab81371, the same antibody clone in a different buffer.

Blocking/Dilution buffer : 5% NFDM/TBST.

All lanes:

Western blot - Anti-Sumo 2 + Sumo 3 antibody [8A2] - BSA and Azide free (ab252805) at 1/1000 dilution

Lane 1:

HeLa (human cervix adenocarcinoma epithelial cell), whole cell lysate B276 at 10 µg

Lane 2:

SH-SY5Y (human neuroblastoma epithelial cell), whole cell lysate at 10 µg

Lane 3:

K562 (human chronic myelogenous leukemia lymphoblast), whole cell lysate at 10 µg

Lane 4:

SW480 (human colorectal adenocarcinoma epithelial cell), whole cell lysate at 10 µg

Lane 5:

Jurkat (human T cell leukemia T lymphocyte), whole cell lysate at 10 µg

Lane 6:

HEK-293T (human embryonic kidney epithelial cell), whole cell lysate at 10 µg

Lane 7:

PC-12 (rat adrenal gland pheochromocytoma), whole cell lysate at 10 µg

Lane 8:

NIH/3T3 (mouse embryonic fibroblast), whole cell lysate at 10 µg

Secondary

All lanes:

Peroxidase-Conjugated Goat anti-Mouse IgG (H+L)

Predicted band size: 12 kDa

false

Key facts

Host species

Mouse

Clonality

Monoclonal

Clone number

8A2

Isotype

IgG2b

Carrier free

Yes

Reacts with

Mouse, Rat, Human

Applications

WB, IHC-P, ICC

applications

Immunogen

The exact immunogen used to generate this antibody is proprietary information.

Specificity

This antibody recognizes Sumo 2 and 3 but does not recognize Sumo 1.

Reactivity data

{ "title": "Reactivity Data", "filters": { "stats": ["", "Species", "Dilution Info", "Notes"], "tabs": { "all-applications": {"fullname" : "All Applications", "shortname": "All Applications"}, "IHCP" : {"fullname" : "Immunohistochemistry (Formalin/PFA-fixed paraffin-embedded sections)", "shortname":"IHC-P"}, "ICC" : {"fullname" : "Immunocytochemistry", "shortname":"ICC"}, "WB" : {"fullname" : "Western blot", "shortname":"WB"} }, "product-promise": { "all": "all", "testedAndGuaranteed": "tested", "guaranteed": "expected", "predicted": "predicted", "notRecommended": "not-recommended" } }, "values": { "Human": { "IHCP-species-checked": "testedAndGuaranteed", "IHCP-species-dilution-info": "", "IHCP-species-notes": "<p></p>", "ICC-species-checked": "testedAndGuaranteed", "ICC-species-dilution-info": "", "ICC-species-notes": "<p></p>", "WB-species-checked": "testedAndGuaranteed", "WB-species-dilution-info": "", "WB-species-notes": "<p></p>" }, "Mouse": { "IHCP-species-checked": "testedAndGuaranteed", "IHCP-species-dilution-info": "", "IHCP-species-notes": "<p></p>", "ICC-species-checked": "testedAndGuaranteed", "ICC-species-dilution-info": "", "ICC-species-notes": "<p></p>", "WB-species-checked": "testedAndGuaranteed", "WB-species-dilution-info": "", "WB-species-notes": "<p></p>" }, "Rat": { "IHCP-species-checked": "testedAndGuaranteed", "IHCP-species-dilution-info": "", "IHCP-species-notes": "<p></p>", "ICC-species-checked": "guaranteed", "ICC-species-dilution-info": "", "ICC-species-notes": "", "WB-species-checked": "testedAndGuaranteed", "WB-species-dilution-info": "", "WB-species-notes": "<p></p>" } } }

Product details

ab252805 is the carrier-free version of ab81371.

What are the advantages of a recombinant monoclonal antibody?
This product is a recombinant monoclonal antibody, which offers several advantages including:

  • - High batch-to-batch consistency and reproducibility
  • - Improved sensitivity and specificity
  • - Long-term security of supply
  • - Animal-free batch production

For more information, read more on recombinant antibodies.

Want a custom formulation?
This antibody clone is manufactured by Abcam. If you require a custom buffer formulation or conjugation for your experiments, please contact orders@abcam.com

Conjugation ready
Our carrier-free antibodies are typically supplied in a PBS-only formulation, purified and free of BSA, sodium azide and glycerol. This conjugation-ready format is designed for use with fluorochromes, metal isotopes, oligonucleotides, and enzymes, which makes them ideal for antibody labelling, functional and cell-based assays, flow-based assays (e.g. mass cytometry) and Multiplex Imaging applications.

Use our conjugation kits for antibody conjugates that are ready-to-use in as little as 20 minutes with 1 minute hands-on-time and 100% antibody recovery: available for fluorescent dyes, HRP, biotin and gold.

Compatibility
This product is compatible with the Maxpar® Antibody Labeling Kit from Fluidigm, without the need for antibody preparation. Maxpar® is a trademark of Fluidigm Canada Inc.

Properties and storage information

Form
Liquid
Purification technique
Affinity purification Protein A
Storage buffer
Constituents: PBS
Shipped at conditions
Blue Ice
Appropriate short-term storage conditions
+4°C
Appropriate long-term storage conditions
+4°C
Storage information
Do Not Freeze

Supplementary information

This supplementary information is collated from multiple sources and compiled automatically.

Sumo 2 and Sumo 3 are small ubiquitin-like modifier proteins involved in post-translational modification often referred to as SUMOylation. Alternately known as SUMO-2 and SUMO-3 these proteins weigh approximately 11 kDa each and are widely expressed across various tissues including the heart and brain. During stress conditions cells significantly increase the conjugation of these proteins to other cellular proteins thereby altering their functions subcellular localization or interactions.
Biological function summary

Sumo 2 and Sumo 3 play essential roles in numerous cellular processes by modifying several target proteins in the nucleus and cytoplasm. They are part of a complex regulatory system that modulates processes like nuclear transport chromosome segregation and DNA repair. Sumo 2/3 often work in tandem with other members of the SUMO family including SUMO-1 to ensure proper cellular homeostasis.

Pathways

Sumo 2 and Sumo 3 are intimately involved in fundamental cellular signaling pathways such as the p53 pathway and NF-κB pathway. These proteins modulate the activity of key proteins within these pathways including the tumor suppressor p53 and the transcription factor NF-κB which regulate cell survival proliferation and apoptosis. Sumo 2/3-related modifications can alter the stability and function of these proteins thereby influencing cellular response to stimuli.

Alterations in Sumo 2 and Sumo 3 functionality have been associated with neurodegenerative diseases and various cancers. In neurodegenerative disorders like Huntington's disease abnormal SUMOylation of specific proteins affects neuronal survival and function. Similarly in cancer dysregulation of SUMOylation pathways can affect the expression and activity of the oncogenic protein c-Myc contributing to tumor progression. These associations underline the significant role of Sumo 2/3 in pathophysiology.

Product protocols

For this product, it's our understanding that no specific protocols are required. You can visit:

Target data

Ubiquitin-like protein that can be covalently attached to proteins as a monomer or as a lysine-linked polymer. Covalent attachment via an isopeptide bond to its substrates requires prior activation by the E1 complex SAE1-SAE2 and linkage to the E2 enzyme UBE2I, and can be promoted by an E3 ligase such as PIAS1-4, RANBP2, CBX4 or ZNF451 (PubMed : 26524494). This post-translational modification on lysine residues of proteins plays a crucial role in a number of cellular processes such as nuclear transport, DNA replication and repair, mitosis and signal transduction. Polymeric SUMO2 chains are also susceptible to polyubiquitination which functions as a signal for proteasomal degradation of modified proteins (PubMed : 18408734, PubMed : 18538659, PubMed : 21965678, PubMed : 9556629). Plays a role in the regulation of sumoylation status of SETX (PubMed : 24105744).
See full target information SUMO2

Additional targets

SUMO3

Product promise

We are committed to supporting your work with high-quality reagents, and we're here for you every step of the way. In the unlikely event that one of our products does not perform as expected, you're protected by our Product Promise.
For full details, please see our Terms & Conditions

Please note: All products are 'FOR RESEARCH USE ONLY. NOT FOR USE IN DIAGNOSTIC OR THERAPEUTIC PROCEDURES'.

For licensing inquiries, please contact partnerships@abcam.com