JavaScript is disabled in your browser. Please enable JavaScript to view this website.
AB3742

Anti-Sumo 2 + Sumo 3 antibody

5

(19 Reviews)

|

(124 Publications)

Anti-Sumo 2 + Sumo 3 antibody (ab3742) is a rabbit polyclonal antibody detecting Sumo 2 + Sumo 3 in Western Blot, IHC-P, ICC/IF. Suitable for Human.

- Over 100 publications
- Trusted since 2003

View Alternative Names

SMT3B, SMT3H2, SUMO2, Small ubiquitin-related modifier 2, SUMO-2, HSMT3, SMT3 homolog 2, SUMO-3, Sentrin-2, Ubiquitin-like protein SMT3B, Smt3B

7 Images
Western blot - Anti-Sumo 2 + Sumo 3 antibody (AB3742)
  • WB

Unknown

Western blot - Anti-Sumo 2 + Sumo 3 antibody (AB3742)

Lanes 1 & 3 : Sumo 2+3 antibody (ab3742) at 1/500 dilution
Lanes 2 & 4 : Sumo 2+3 antibody (ab3742) at 1/1000 dilution
Lanes 1-4 : HeLa nuclear extract at 20 ug

Lane 1 : as above
Lane 2 : as above
Lane 3 : Sumo 2+3 peptide (ab13760) at 1 ug/ml
Lane 4 : Sumo 2+3 peptide (ab13760) at 1 ug/ml

SecondaryGoat polyclonal to Rabbit IgG H&L (HRP) (ab6721) at 1/2000 dilution developed using the ECL technique

Performed under reducing conditions.

Exposure time : 1 minute

Predicted band sizes : 11.6 & 10.

Lanes 1 and 3:

Western blot - Anti-Sumo 2 + Sumo 3 antibody (ab3742) at 1/500 dilution

Lanes 2 and 4:

Western blot - Anti-Sumo 2 + Sumo 3 antibody (ab3742) at 1/1000 dilution

Lanes 1 - 2:

HeLa nuclear extract at 20 µg

Lanes 3 - 4:

HeLa nuclear extract at 20 µg with Human Sumo 2 + Sumo 3 peptide (<a href='/en-us/products/unavailable/human-sumo-2-sumo-3-peptide-ab13760'>ab13760</a>)

Secondary

All lanes:

Western blot - Goat Anti-Rabbit IgG H&L (HRP) (<a href='/en-us/products/secondary-antibodies/goat-rabbit-igg-h-l-hrp-ab6721'>ab6721</a>) at 1/2000 dilution

Predicted band size: 12 kDa

Observed band size: 15 kDa,18 kDa

true

Exposure time: 1min

Immunocytochemistry/ Immunofluorescence - Anti-Sumo 2 + Sumo 3 antibody (AB3742)
  • ICC/IF

Collaborator

Immunocytochemistry/ Immunofluorescence - Anti-Sumo 2 + Sumo 3 antibody (AB3742)

Immunofluorescent imaging of human cells (U2OS) with ab3742 confirms the specificity of this antibody. Antibody signal is localised exclusively to the nucleus, with diffuse background staining of the nucleoplasm. Intense foci of staining are also evident, corresponding to SUMO-2/3 accumulation in nuclear subdomains such as the PML body. This image is in exact agreement with several published reports (see for example Saitoh H et al.).

IF was performed with a standard paraformaldehyde technique (fixed in PBS buffered PFH 4% for 5 minutes, permeabilised with 0.5% triton-PBS for 5 minutes, blocked with 5% milk / 0.2% tween for one hour. Primary antibody used at 1/100 in 5% milk / 0.2% TWEEN for one hour, secondary antibody for 30 minutes. All blocking and incubation steps carried out at 37 degrees. Nuclei are stained with Hoechst stain.

This image is courtesy of Luke Hughes-Davies and Rhiannon Jade, Gurdon Institute, Cambridge, UK

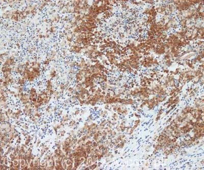
Immunohistochemistry (Formalin/PFA-fixed paraffin-embedded sections) - Anti-Sumo 2 + Sumo 3 antibody (AB3742)
  • IHC-P

Unknown

Immunohistochemistry (Formalin/PFA-fixed paraffin-embedded sections) - Anti-Sumo 2 + Sumo 3 antibody (AB3742)

IHC image of Sumo 2+3 staining in human colon adenocarcinoma formalin fixed paraffin embedded tissue section, performed on a Leica BondTM system using the standard protocol F. The section was pre-treated using heat mediated antigen retrieval with sodium citrate buffer (pH6, epitope retrieval solution 1) for 20 mins. The section was then incubated with ab3742, 1µg/ml, for 15 mins at room temperature and detected using an HRP conjugated compact polymer system. DAB was used as the chromogen. The section was then counterstained with haematoxylin and mounted with DPX.

For other IHC staining systems (automated and non-automated) customers should optimize variable parameters such as antigen retrieval conditions, primary antibody concentration and antibody incubation times.

Immunocytochemistry/ Immunofluorescence - Anti-Sumo 2 + Sumo 3 antibody (AB3742)
  • ICC/IF

PubMed

Immunocytochemistry/ Immunofluorescence - Anti-Sumo 2 + Sumo 3 antibody (AB3742)

Left-hand images show uninfected cells and the co-localization of SUMO-2/3 with PML (red) in control (upper rows of each block of 4 images) and PML depleted (low rows of each block of 4 images) HepaRG cells. Right-hand images show typical examples of recruitment of the indicated proteins to sites associated with HSV-1 genomes (ICP4; red) in cells at the edges of ICP0 null mutant (ΔICP0) plaques in control and PML depleted HepaRG cells. Scale bars indicate 5 μm.

Cells on glass coverslips were fixed with 1.5% formaldehyde in PBS containing 2% sucrose then treated with 0.5% Nonidet P40 substitute in PBS/10% sucrose. SUMO-2/3 was detected with ab3742. An Alexa-conjugated anti-rabbit IgG was used as the secondary antibody.

Image from Cuchet-Lourenço D et al., PLoS Pathog. 2011;7(7):e1002123. Fig 9(B).; doi: 10.1371/journal.ppat.1002123. Reproduced under the Creative Commons license http://creativecommons.org/licenses/by/4.0/

Immunohistochemistry (Formalin/PFA-fixed paraffin-embedded sections) - Anti-Sumo 2 + Sumo 3 antibody (AB3742)
  • IHC-P

Unknown

Immunohistochemistry (Formalin/PFA-fixed paraffin-embedded sections) - Anti-Sumo 2 + Sumo 3 antibody (AB3742)

Image courtesy of Human Protein Atlas

ab3742 staining Sumo 2 + 3 in Human skin. The paraffin embedded human skin tissue was incubated with ab3742 (1/800 dilution) for 30 mins at room temperature. Antigen retrieval was performed by heat induction in citrate buffer pH 6. ab3742 was tested in a tissue microarray (TMA) containing a wide range of normal and cancer tissues as well as a cell microarray consisting of a range of commonly used, well characterised human cell lines.

Further results for this antibody can be found at www.proteinatlas.org

Image courtesy of Human Protein Atlas

Immunocytochemistry/ Immunofluorescence - Anti-Sumo 2 + Sumo 3 antibody (AB3742)
  • ICC/IF

AbReview35226****

Immunocytochemistry/ Immunofluorescence - Anti-Sumo 2 + Sumo 3 antibody (AB3742)

ab3742 staining Sumo 2+3 in Xenopus laevis oocyte cell by ICC/IF (Immunocytochemistry/immunofluorescence). Cells were fixed with formaldehyde, permeabilized with NP-40 0.1% in PBS and blocked with 3% BSA for 60 minutes at 23°C. Samples were incubated with primary antibody (1/250 in PBS + 3% BSA) for 1 hour at 23°C. An undiluted Alexa Fluor®488-conjugated Goat anti-rabbit polyclonal was used as the secondary antibody.

This image is courtesy of an Abreview submitted by Andrew Lane

Immunocytochemistry/ Immunofluorescence - Anti-Sumo 2 + Sumo 3 antibody (AB3742)
  • ICC/IF

Lab

Immunocytochemistry/ Immunofluorescence - Anti-Sumo 2 + Sumo 3 antibody (AB3742)

ab3742 staining Sumo 2 + Sumo 3 in HepG2 cells. The cells were fixed with 4% paraformaldehyde (10 min), permeabilized with 0.1% PBS-Triton X-100 for 5 minutes and then blocked with 1% BSA/10% normal goat serum/0.3M glycine in 0.1%PBS-Tween for 1h. The cells were then incubated overnight at 4°C with ab3742 at 1µg/ml and ab7291, Mouse monoclonal [DM1A] to alpha Tubulin - Loading Control. Cells were then incubated with ab150081, Goat polyclonal Secondary Antibody to Rabbit IgG - H&L (Alexa Fluor® 488), pre-adsorbed at 1/1000 dilution (shown in green) and ab150120, Goat polyclonal Secondary Antibody to Mouse IgG - H&L (Alexa Fluor® 594), pre-adsorbed at 1/1000 dilution (shown in pseudocolour red). Nuclear DNA was labelled with DAPI (shown in blue). Image was acquired with a high-content analyser (Operetta CLS, Perkin Elmer) and a maximum intensity projection of confocal sections is shown.

Key facts

Host species

Rabbit

Clonality

Polyclonal

Isotype

IgG

Carrier free

No

Reacts with

Human

Applications

WB, IHC-P, ICC/IF

applications

Immunogen

The exact immunogen used to generate this antibody is proprietary information.

Specificity

Reactivity in Rat is no longer guaranteed due to difficulty reproducing in-house experimental evidence, but will remain predicted, due to the immunogen showing 100% xr with Rat. From Jan 2024, QC testing of replenishment batches of this polyclonal changed. All tested and expected application and reactive species combinations are still covered by our Abcam product promise. However, we no longer test all applications. For more information on a specific batch, please contact our Scientific Support who will be happy to help.

Reactivity data

{ "title": "Reactivity Data", "filters": { "stats": ["", "Species", "Dilution Info", "Notes"], "tabs": { "all-applications": {"fullname" : "All Applications", "shortname": "All Applications"}, "IHCP" : {"fullname" : "Immunohistochemistry (Formalin/PFA-fixed paraffin-embedded sections)", "shortname":"IHC-P"}, "WB" : {"fullname" : "Western blot", "shortname":"WB"}, "ICCIF" : {"fullname" : "Immunocytochemistry/ Immunofluorescence", "shortname":"ICC/IF"} }, "product-promise": { "all": "all", "testedAndGuaranteed": "tested", "guaranteed": "expected", "predicted": "predicted", "notRecommended": "not-recommended" } }, "values": { "Human": { "IHCP-species-checked": "testedAndGuaranteed", "IHCP-species-dilution-info": "1/800", "IHCP-species-notes": "<p></p>", "WB-species-checked": "testedAndGuaranteed", "WB-species-dilution-info": "1/1000", "WB-species-notes": "<p></p>", "ICCIF-species-checked": "testedAndGuaranteed", "ICCIF-species-dilution-info": "1/100", "ICCIF-species-notes": "<p></p>" }, "Mouse": { "IHCP-species-checked": "predicted", "IHCP-species-dilution-info": "", "IHCP-species-notes": "", "WB-species-checked": "predicted", "WB-species-dilution-info": "", "WB-species-notes": "", "ICCIF-species-checked": "predicted", "ICCIF-species-dilution-info": "", "ICCIF-species-notes": "" }, "Rat": { "IHCP-species-checked": "predicted", "IHCP-species-dilution-info": "", "IHCP-species-notes": "", "WB-species-checked": "predicted", "WB-species-dilution-info": "", "WB-species-notes": "", "ICCIF-species-checked": "predicted", "ICCIF-species-dilution-info": "", "ICCIF-species-notes": "" }, "Chinese hamster": { "IHCP-species-checked": "predicted", "IHCP-species-dilution-info": "", "IHCP-species-notes": "", "WB-species-checked": "predicted", "WB-species-dilution-info": "", "WB-species-notes": "", "ICCIF-species-checked": "predicted", "ICCIF-species-dilution-info": "", "ICCIF-species-notes": "" }, "Cow": { "IHCP-species-checked": "predicted", "IHCP-species-dilution-info": "", "IHCP-species-notes": "", "WB-species-checked": "predicted", "WB-species-dilution-info": "", "WB-species-notes": "", "ICCIF-species-checked": "predicted", "ICCIF-species-dilution-info": "", "ICCIF-species-notes": "" }, "Pig": { "IHCP-species-checked": "predicted", "IHCP-species-dilution-info": "", "IHCP-species-notes": "", "WB-species-checked": "predicted", "WB-species-dilution-info": "", "WB-species-notes": "", "ICCIF-species-checked": "predicted", "ICCIF-species-dilution-info": "", "ICCIF-species-notes": "" }, "Xenopus laevis": { "IHCP-species-checked": "predicted", "IHCP-species-dilution-info": "", "IHCP-species-notes": "", "WB-species-checked": "predicted", "WB-species-dilution-info": "", "WB-species-notes": "", "ICCIF-species-checked": "predicted", "ICCIF-species-dilution-info": "", "ICCIF-species-notes": "" }, "Zebrafish": { "IHCP-species-checked": "predicted", "IHCP-species-dilution-info": "", "IHCP-species-notes": "", "WB-species-checked": "predicted", "WB-species-dilution-info": "", "WB-species-notes": "", "ICCIF-species-checked": "predicted", "ICCIF-species-dilution-info": "", "ICCIF-species-notes": "" } } }

Product details

What is this antibody validated in?
Anti-Sumo 2 + Sumo 3 antibody (ab3742) is a rabbit polyclonal antibody and is validated for use in Western Blot (WB), Immunohistochemistry (IHC-P), Immunocytochemistry/immunofluorescence (ICC/IF) in Human samples.

What is the molecular weight of Sumo 2 + Sumo 3?
Anti-Sumo 2 + Sumo 3 (ab3742) specifically detects a band for Sumo 2 + Sumo 3 (UniProt: P55854) at a molecular weight of 11.6 , 10.8kDa.

Trusted by the scientific community
Anti-Sumo 2 + Sumo 3 (ab3742) was first used in a scientific publication in 2003 and has been cited over 100 times in peer-reviewed journals.

Reviewed by scientists
Anti-Sumo 2 + Sumo 3 (ab3742) has over 15 independent reviews from customers.

Properties and storage information

Form
Liquid
Purification technique
Affinity purification Immunogen
Storage buffer
pH: 7.4 Preservative: 0.02% Sodium azide Constituents: PBS, 1% BSA
Shipped at conditions
Blue Ice
Appropriate short-term storage duration
1-2 weeks
Appropriate short-term storage conditions
+4°C
Appropriate long-term storage conditions
-20°C
Aliquoting information
Upon delivery aliquot
Storage information
Avoid freeze / thaw cycle

Supplementary information

This supplementary information is collated from multiple sources and compiled automatically.

Sumo 2 and Sumo 3 are small ubiquitin-like modifier proteins involved in post-translational modification often referred to as SUMOylation. Alternately known as SUMO-2 and SUMO-3 these proteins weigh approximately 11 kDa each and are widely expressed across various tissues including the heart and brain. During stress conditions cells significantly increase the conjugation of these proteins to other cellular proteins thereby altering their functions subcellular localization or interactions.
Biological function summary

Sumo 2 and Sumo 3 play essential roles in numerous cellular processes by modifying several target proteins in the nucleus and cytoplasm. They are part of a complex regulatory system that modulates processes like nuclear transport chromosome segregation and DNA repair. Sumo 2/3 often work in tandem with other members of the SUMO family including SUMO-1 to ensure proper cellular homeostasis.

Pathways

Sumo 2 and Sumo 3 are intimately involved in fundamental cellular signaling pathways such as the p53 pathway and NF-κB pathway. These proteins modulate the activity of key proteins within these pathways including the tumor suppressor p53 and the transcription factor NF-κB which regulate cell survival proliferation and apoptosis. Sumo 2/3-related modifications can alter the stability and function of these proteins thereby influencing cellular response to stimuli.

Alterations in Sumo 2 and Sumo 3 functionality have been associated with neurodegenerative diseases and various cancers. In neurodegenerative disorders like Huntington's disease abnormal SUMOylation of specific proteins affects neuronal survival and function. Similarly in cancer dysregulation of SUMOylation pathways can affect the expression and activity of the oncogenic protein c-Myc contributing to tumor progression. These associations underline the significant role of Sumo 2/3 in pathophysiology.

Product protocols

For this product, it's our understanding that no specific protocols are required. You can visit:

Target data

Ubiquitin-like protein that can be covalently attached to proteins as a monomer or as a lysine-linked polymer. Covalent attachment via an isopeptide bond to its substrates requires prior activation by the E1 complex SAE1-SAE2 and linkage to the E2 enzyme UBE2I, and can be promoted by an E3 ligase such as PIAS1-4, RANBP2, CBX4 or ZNF451 (PubMed : 26524494). This post-translational modification on lysine residues of proteins plays a crucial role in a number of cellular processes such as nuclear transport, DNA replication and repair, mitosis and signal transduction. Polymeric SUMO2 chains are also susceptible to polyubiquitination which functions as a signal for proteasomal degradation of modified proteins (PubMed : 18408734, PubMed : 18538659, PubMed : 21965678, PubMed : 9556629). Plays a role in the regulation of sumoylation status of SETX (PubMed : 24105744).
See full target information SUMO2

Additional targets

SUMO3

Publications (124)

Recent publications for all applications. Explore the full list and refine your search

PLoS pathogens 21:e1013487 PubMed40920817

2025

TRIM28 is a target for paramyxovirus V proteins.

Applications

Unspecified application

Species

Unspecified reactive species

Gauthier Lieber,Florence Kwaschik,Marie Lork,Nora Schmidt,Benjamin G Hale

Nature communications 16:7248 PubMed40769964

2025

IRX3 controls a SUMOylation-dependent differentiation switch in adipocyte precursor cells.

Applications

Unspecified application

Species

Unspecified reactive species

Jan-Inge Bjune,Samantha Laber,Laurence Lawrence-Archer,Patrizia M C Nothnagel,Shuntaro Yamada,Xu Zhao,Pouda Panahandeh Strømland,Niyaz Al-Sharabi,Kamal Mustafa,Pål R Njølstad,Melina Claussnitzer,Roger D Cox,Pierre Chymkowitch,Gunnar Mellgren,Simon N Dankel

Nucleic acids research 53: PubMed40744492

2025

SUMO operates from a unique long tandem repeat to keep innate immunity in check.

Applications

Unspecified application

Species

Unspecified reactive species

Amandine Goffeney,Ivo A Hendriks,Victoria Morel,Yann Loe-Mie,François Charon,Michael L Nielsen,Jack-Christophe Cossec,Daan Noordermeer,Jacob-Sebastian Seeler,Anne Dejean

Autophagy 21:996-1018 PubMed39842454

2025

The Epstein-Barr virus deubiquitinase BPLF1 regulates stress-induced ribosome UFMylation and reticulophagy.

Applications

Unspecified application

Species

Unspecified reactive species

Jiangnan Liu,Noemi Nagy,Carlos Ayala-Torres,Solenne Bleuse,Francisco Aguilar-Alonso,Ola Larsson,Maria G Masucci

Nature communications 15:7359 PubMed39198387

2024

Inhibition of TOPORS ubiquitin ligase augments the efficacy of DNA hypomethylating agents through DNMT1 stabilization.

Applications

Unspecified application

Species

Unspecified reactive species

Satoshi Kaito,Kazumasa Aoyama,Motohiko Oshima,Akiho Tsuchiya,Makiko Miyota,Masayuki Yamashita,Shuhei Koide,Yaeko Nakajima-Takagi,Hiroko Kozuka-Hata,Masaaki Oyama,Takao Yogo,Tomohiro Yabushita,Ryoji Ito,Masaya Ueno,Atsushi Hirao,Kaoru Tohyama,Chao Li,Kimihito Cojin Kawabata,Kiyoshi Yamaguchi,Yoichi Furukawa,Hidetaka Kosako,Akihide Yoshimi,Susumu Goyama,Yasuhito Nannya,Seishi Ogawa,Karl Agger,Kristian Helin,Satoshi Yamazaki,Haruhiko Koseki,Noriko Doki,Yuka Harada,Hironori Harada,Atsuya Nishiyama,Makoto Nakanishi,Atsushi Iwama

Cell & bioscience 14:91 PubMed38997783

2024

SUMOylation of nuclear receptor Nor1/NR4A3 coordinates microtubule cytoskeletal dynamics and stability in neuronal cells.

Applications

Unspecified application

Species

Unspecified reactive species

Jonathan Gagnon,Véronique Caron,André Tremblay

Nature structural & molecular biology 31:1355-1367 PubMed38649616

2024

Concerted SUMO-targeted ubiquitin ligase activities of TOPORS and RNF4 are essential for stress management and cell proliferation.

Applications

Unspecified application

Species

Unspecified reactive species

Julio C Y Liu,Leena Ackermann,Saskia Hoffmann,Zita Gál,Ivo A Hendriks,Charu Jain,Louise Morlot,Michael H Tatham,Gian-Luca McLelland,Ronald T Hay,Michael Lund Nielsen,Thijn Brummelkamp,Peter Haahr,Niels Mailand

Genes & development 38:233-252 PubMed38503515

2024

NFATC2IP is a mediator of SUMO-dependent genome integrity.

Applications

Unspecified application

Species

Unspecified reactive species

Tiffany Cho,Lisa Hoeg,Dheva Setiaputra,Daniel Durocher

Nature 627:680-687 PubMed38448587

2024

Oxidative cyclization reagents reveal tryptophan cation-π interactions.

Applications

Unspecified application

Species

Unspecified reactive species

Xiao Xie,Patrick J Moon,Steven W M Crossley,Amanda J Bischoff,Dan He,Gen Li,Nam Dao,Angel Gonzalez-Valero,Audrey G Reeves,Jeffrey M McKenna,Susanna K Elledge,James A Wells,F Dean Toste,Christopher J Chang

Cellular & molecular biology letters 29:15 PubMed38229033

2024

SUMOylation modulates eIF5A activities in both yeast and pancreatic ductal adenocarcinoma cells.

Applications

Unspecified application

Species

Unspecified reactive species

Rocío Seoane,Tomás Lama-Díaz,Antonia María Romero,Ahmed El Motiam,Arantxa Martínez-Férriz,Santiago Vidal,Yanis H Bouzaher,María Blanquer,Rocío M Tolosa,Juan Castillo Mewa,Manuel S Rodríguez,Adolfo García-Sastre,Dimitris Xirodimas,James D Sutherland,Rosa Barrio,Paula Alepuz,Miguel G Blanco,Rosa Farràs,Carmen Rivas
View all publications

Product promise

We are committed to supporting your work with high-quality reagents, and we're here for you every step of the way. In the unlikely event that one of our products does not perform as expected, you're protected by our Product Promise.
For full details, please see our Terms & Conditions

Please note: All products are 'FOR RESEARCH USE ONLY. NOT FOR USE IN DIAGNOSTIC OR THERAPEUTIC PROCEDURES'.

For licensing inquiries, please contact partnerships@abcam.com