JavaScript is disabled in your browser. Please enable JavaScript to view this website.
AB126606

Anti-Sumo 2 + Sumo 3 + Sumo 4 antibody [EPR7163]

Be the first to review this product! Submit a review

|

(6 Publications)

Rabbit Recombinant Monoclonal Sumo 2 antibody. Suitable for WB, ICC/IF, Flow Cyt (Intra) and reacts with Human samples. Cited in 6 publications.

View Alternative Names

SMT3B, SMT3H2, SUMO2, Small ubiquitin-related modifier 2, SUMO-2, HSMT3, SMT3 homolog 2, SUMO-3, Sentrin-2, Ubiquitin-like protein SMT3B, Smt3B, SMT3A, SMT3H1, SUMO3, Small ubiquitin-related modifier 3, SUMO-3, SMT3 homolog 1, SUMO-2, Ubiquitin-like protein SMT3A, Smt3A, SMT3H4, SUMO4, Small ubiquitin-related modifier 4, SUMO-4, Small ubiquitin-like protein 4

5 Images
Immunocytochemistry/ Immunofluorescence - Anti-Sumo 2 + Sumo 3 + Sumo 4 antibody [EPR7163] (AB126606)
  • ICC/IF

Unknown

Immunocytochemistry/ Immunofluorescence - Anti-Sumo 2 + Sumo 3 + Sumo 4 antibody [EPR7163] (AB126606)

ab126606 at 1/250 dilution staining Sumo 2 + Sumo 3 + Sumo 4 in HepG2 (Human liver hepatocellular carcinoma cell line) cells by immunofluorescence.

Flow Cytometry (Intracellular) - Anti-Sumo 2 + Sumo 3 + Sumo 4 antibody [EPR7163] (AB126606)
  • Flow Cyt (Intra)

Unknown

Flow Cytometry (Intracellular) - Anti-Sumo 2 + Sumo 3 + Sumo 4 antibody [EPR7163] (AB126606)

Overlay histogram showing HEK293 cells stained with ab126606 (red line). The cells were fixed with 80% methanol (5 min) and then permeabilized with 0.1% PBS-Tween for 20 min. The cells were then incubated in 1x PBS / 10% normal goat serum / 0.3M glycine to block non-specific protein-protein interactions followed by the antibody (ab126606, 1/1000 dilution) for 30 min at 22°C. The secondary antibody used was Alexa Fluor® 488 goat anti-rabbit IgG (H&L) (ab150077) at 1/2000 dilution for 30 min at 22°C. Isotype control antibody (black line) was rabbit IgG (monoclonal) (0.1μg/1x106 cells) used under the same conditions. Unlabelled sample (blue line) was also used as a control. Acquisition of >5,000 events were collected using a 20mW Argon ion laser (488nm) and 525/30 bandpass filter.

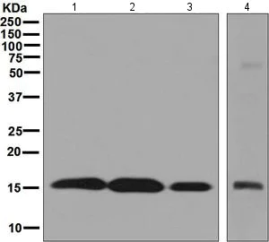
Western blot - Anti-Sumo 2 + Sumo 3 + Sumo 4 antibody [EPR7163] (AB126606)
  • WB

Unknown

Western blot - Anti-Sumo 2 + Sumo 3 + Sumo 4 antibody [EPR7163] (AB126606)

All lanes:

Western blot - Anti-Sumo 2 + Sumo 3 + Sumo 4 antibody [EPR7163] (ab126606) at 1/10000 dilution

Lane 1:

HepG2 cell lysate at 10 µg

Lane 2:

293T cell lysate at 10 µg

Lane 3:

Jurkat cell lysate at 10 µg

Lane 4:

Human spleen tissue lysate at 10 µg

Secondary

All lanes:

Goat anti-Rabbit HRP at 1/2000 dilution

Predicted band size: 11 kDa

false

Western blot - Anti-Sumo 2 + Sumo 3 + Sumo 4 antibody [EPR7163] (AB126606)
  • WB

Lab

Western blot - Anti-Sumo 2 + Sumo 3 + Sumo 4 antibody [EPR7163] (AB126606)

Blocking buffer : 5% NFDM/TBST

All lanes:

Western blot - Anti-Sumo 2 + Sumo 3 + Sumo 4 antibody [EPR7163] (ab126606) at 1/5000 dilution

Lane 1:

Western blot - Recombinant Human Sumo 1 protein (<a href='/en-us/products/proteins-peptides/recombinant-human-sumo-1-protein-ab140417'>ab140417</a>) at 0.01 µg

Lane 2:

Western blot - Recombinant Human Sumo 2 protein (<a href='/en-us/products/proteins-peptides/recombinant-human-sumo-2-protein-ab140420'>ab140420</a>) at 0.01 µg

Lane 3:

Recombinant Human Sumo 3 protein (<a href='/en-us/products/unavailable/recombinant-human-sumo-3-protein-ab140414'>ab140414</a>) at 0.01 µg

Lane 4:

Western blot - Recombinant Human Sumo 4 protein (<a href='/en-us/products/proteins-peptides/recombinant-human-sumo-4-protein-ab157025'>ab157025</a>) at 0.1 µg

Secondary

All lanes:

Western blot - Goat Anti-Rabbit IgG H&L (HRP) (<a href='/en-us/products/secondary-antibodies/goat-rabbit-igg-h-l-hrp-ab97051'>ab97051</a>) at 1/20000 dilution

Predicted band size: 11 kDa

Observed band size: 16 kDa

true

Exposure time: 3s

OI-RD Scanning - Anti-Sumo 2 + Sumo 3 + Sumo 4 antibody [EPR7163] (AB126606)
  • OI-RD Scanning

Unknown

OI-RD Scanning - Anti-Sumo 2 + Sumo 3 + Sumo 4 antibody [EPR7163] (AB126606)

We have systematically measured KD (the equilibrium dissociation constant between the antibody and its antigen), of more than 840 recombinant antibodies to assess not only their individual KD values but also to see the average affinity of antibody. Based on the comparison with published literature values for mouse monoclonal antibodies, Recombinant antibodies appear to be on average 1-2 order of magnitude higher affinity.

  • Carrier free

    Anti-Sumo 2 + Sumo 3 + Sumo 4 antibody [EPR7163] - BSA and Azide free

Key facts

Host species

Rabbit

Clonality

Monoclonal

Clone number

EPR7163

Isotype

IgG

Carrier free

No

Reacts with

Human

Applications

Flow Cyt (Intra), ICC/IF, WB

applications

Immunogen

The exact immunogen used to generate this antibody is proprietary information.

Reactivity data

{ "title": "Reactivity Data", "filters": { "stats": ["", "Species", "Dilution Info", "Notes"], "tabs": { "all-applications": {"fullname" : "All Applications", "shortname": "All Applications"}, "WB" : {"fullname" : "Western blot", "shortname":"WB"}, "ICCIF" : {"fullname" : "Immunocytochemistry/ Immunofluorescence", "shortname":"ICC/IF"}, "FlowCytIntra" : {"fullname" : "Flow Cytometry (Intracellular)", "shortname":"Flow Cyt (Intra)"}, "IHCP" : {"fullname" : "Immunohistochemistry (Formalin/PFA-fixed paraffin-embedded sections)", "shortname":"IHC-P"} }, "product-promise": { "all": "all", "testedAndGuaranteed": "tested", "guaranteed": "expected", "predicted": "predicted", "notRecommended": "not-recommended" } }, "values": { "Human": { "WB-species-checked": "testedAndGuaranteed", "WB-species-dilution-info": "1/10000 - 1/50000", "WB-species-notes": "<p></p>", "ICCIF-species-checked": "testedAndGuaranteed", "ICCIF-species-dilution-info": "1/250 - 1/500", "ICCIF-species-notes": "<p></p>", "FlowCytIntra-species-checked": "testedAndGuaranteed", "FlowCytIntra-species-dilution-info": "1/100 - 1/1000", "FlowCytIntra-species-notes": "<p><a href='/en-us/products/primary-antibodies/rabbit-igg-monoclonal-epr25a-isotype-control-ab172730'>ab172730</a> - Rabbit monoclonal IgG, is suitable for use as an isotype control with this antibody.</p>", "IHCP-species-checked": "notRecommended", "IHCP-species-dilution-info": "", "IHCP-species-notes": "<p></p>" } } }

Product details

Patented technology
Our RabMAb® technology is a patented hybridoma-based technology for making rabbit monoclonal antibodies. For details on our patents, please refer to RabMAb® patents.

What are the advantages of a recombinant monoclonal antibody?
This product is a recombinant monoclonal antibody, which offers several advantages including:

  • - High batch-to-batch consistency and reproducibility
  • - Improved sensitivity and specificity
  • - Long-term security of supply
  • - Animal-free batch production

For more information, read more on recombinant antibodies.

Properties and storage information

Form
Liquid
Purity
Tissue culture supernatant
Storage buffer
pH: 7.2 - 7.4 Preservative: 0.01% Sodium azide Constituents: PBS, 50% Tissue culture supernatant, 40% Glycerol (glycerin, glycerine), 0.05% BSA
Shipped at conditions
Blue Ice
Appropriate short-term storage conditions
+4°C
Appropriate long-term storage conditions
-20°C
Storage information
Stable for 12 months at -20°C

Supplementary information

This supplementary information is collated from multiple sources and compiled automatically.

SUMO (Small Ubiquitin-like Modifier) proteins specifically SUMO-2 SUMO-3 and SUMO-4 are small proteins involved in modifying other proteins post-translationally. SUMO-2 and SUMO-3 are nearly identical while SUMO-4 shows some distinct differences. These proteins with an average mass of around 11 kDa covalently attach to lysine residues on target proteins a process known as SUMOylation. Expression of these proteins is widespread throughout eukaryotic cells with high expression levels in the brain heart and liver. SUMO-2 and SUMO-3 often function interchangeably forming poly-SUMO chains unlike SUMO-1.
Biological function summary

Through the attachment to target proteins these SUMO proteins influence various cellular processes like nuclear-cytosolic transport transcriptional regulation and DNA repair. SUMO-2 and SUMO-3 often act as part of a complex with other SUMO proteins enhancing their functional diversity. SUMOylation can alter protein-protein interactions and stabilize protein structure impacting gene expression and cellular response to stress. SUMO-4 due to a unique proline residue shows distinct regulatory functions particularly in stress responses and immune reactions.

Pathways

Protein SUMOylation plays an important role in major signaling pathways such as the NF-kB and p53 pathways. SUMO-2 and SUMO-3 modification can regulate the activity of p53 an important transcription factor in cell cycle control and apoptosis. Their association with the NF-kB pathway influences inflammatory responses. Importantly these modifications can affect proteins like IκBα and MDM2 which are directly involved in regulating NF-kB and p53 activities showing their involvement in maintaining cellular homeostasis and stress responses.

Dysregulation of SUMOylation involving SUMO-2 SUMO-3 and potentially SUMO-4 is linked to cancer and neurodegenerative diseases. In cancer altered SUMO conjugation can influence cell proliferation and apoptosis affecting tumor suppressors like p53. In neurodegenerative disorders such as Alzheimer's disease impaired SUMOylation processes might contribute to the abnormal aggregation of proteins like tau. These associations highlight the significance of SUMO proteins in maintaining cellular health and their potential as therapeutic targets in these diseases.

Product protocols

For this product, it's our understanding that no specific protocols are required. You can visit:

Target data

Ubiquitin-like protein that can be covalently attached to proteins as a monomer or as a lysine-linked polymer. Covalent attachment via an isopeptide bond to its substrates requires prior activation by the E1 complex SAE1-SAE2 and linkage to the E2 enzyme UBE2I, and can be promoted by an E3 ligase such as PIAS1-4, RANBP2, CBX4 or ZNF451 (PubMed : 26524494). This post-translational modification on lysine residues of proteins plays a crucial role in a number of cellular processes such as nuclear transport, DNA replication and repair, mitosis and signal transduction. Polymeric SUMO2 chains are also susceptible to polyubiquitination which functions as a signal for proteasomal degradation of modified proteins (PubMed : 18408734, PubMed : 18538659, PubMed : 21965678, PubMed : 9556629). Plays a role in the regulation of sumoylation status of SETX (PubMed : 24105744).
See full target information SUMO2

Additional targets

SUMO3,SUMO4

Publications (6)

Recent publications for all applications. Explore the full list and refine your search

Cells 12: PubMed36980166

2023

Understanding the Combined Effects of High Glucose Induced Hyper-Osmotic Stress and Oxygen Tension in the Progression of Tumourigenesis: From Mechanism to Anti-Cancer Therapeutics.

Applications

Unspecified application

Species

Unspecified reactive species

Gayathri K G,Puja Laxmanrao Shinde,Sebastian John,Sivakumar K C,Rashmi Mishra

Molecular medicine reports 27: PubMed36601740

2023

Role of SUMOylation of STAT1 in tubular epithelial‑mesenchymal transition induced by high glucose.

Applications

Unspecified application

Species

Unspecified reactive species

Cunyang Gu,Feng Gao,Shiqi Zhang,Lihua Kang,Wei Zhang,Xiaojuan Feng,Jinxi Liu,Yuexin Tian,Qun Wei,Yunxia Du,Yujia Xing,Qingjuan Liu,Shuxia Liu

Journal of neurology 269:4863-4871 PubMed35503374

2022

A SUMO4 initiator codon variant in amyotrophic lateral sclerosis reduces SUMO4 expression and alters stress granule dynamics.

Applications

Unspecified application

Species

Unspecified reactive species

Alma Osmanovic,Alisa Förster,Maylin Widjaja,Bernd Auber,Anibh M Das,Anne Christians,Frank Brand,Susanne Petri,Ruthild G Weber

Oncology letters 20:225 PubMed32968447

2020

SUMO4 small interfering RNA attenuates invasion and migration via the JAK2/STAT3 pathway in non-small cell lung cancer cells.

Applications

Unspecified application

Species

Unspecified reactive species

Jin-Xiao Liang,Wei Gao,Xiao-Wei Zeng,Guo-Ping Cheng,Lei Cai,Kai-Yi Tao,Xun Yang

eLife 8: PubMed30652970

2019

TRIM28 promotes HIV-1 latency by SUMOylating CDK9 and inhibiting P-TEFb.

Applications

Unspecified application

Species

Unspecified reactive species

Xiancai Ma,Tao Yang,Yuewen Luo,Liyang Wu,Yawen Jiang,Zheng Song,Ting Pan,Bingfeng Liu,Guangyan Liu,Jun Liu,Fei Yu,Zhangping He,Wanying Zhang,Jinyu Yang,Liting Liang,Yuanjun Guan,Xu Zhang,Linghua Li,Weiping Cai,Xiaoping Tang,Song Gao,Kai Deng,Hui Zhang

Molecular medicine reports 17:1283-1288 PubMed29115559

2017

Attenuated SUMOylation of sirtuin 1 in premature neonates with bronchopulmonary dysplasia.

Applications

Unspecified application

Species

Unspecified reactive species

Fengmei Tan,Wenbin Dong,Xiaoping Lei,Xingling Liu,Qingping Li,Lan Kang,Shuai Zhao,Chan Zhang
View all publications

Product promise

We are committed to supporting your work with high-quality reagents, and we're here for you every step of the way. In the unlikely event that one of our products does not perform as expected, you're protected by our Product Promise.
For full details, please see our Terms & Conditions

Please note: All products are 'FOR RESEARCH USE ONLY. NOT FOR USE IN DIAGNOSTIC OR THERAPEUTIC PROCEDURES'.

For licensing inquiries, please contact partnerships@abcam.com