JavaScript is disabled in your browser. Please enable JavaScript to view this website.
AB203570

Anti-Sumo 3 antibody [1H9L17]

Be the first to review this product! Submit a review

|

(4 Publications)

Rabbit Recombinant Monoclonal SUMO3 antibody. Suitable for Flow Cyt, WB, ICC/IF, IHC-P and reacts with Human, Mouse samples. Cited in 4 publications. Immunogen corresponding to Synthetic Peptide within Human SUMO3 aa 50 to C-terminus.

View Alternative Names

SMT3A, SMT3H1, SUMO3, Small ubiquitin-related modifier 3, SUMO-3, SMT3 homolog 1, SUMO-2, Ubiquitin-like protein SMT3A, Smt3A

5 Images
Flow Cytometry - Anti-Sumo 3 antibody [1H9L17] (AB203570)
  • Flow Cyt

Supplier Data

Flow Cytometry - Anti-Sumo 3 antibody [1H9L17] (AB203570)

Flow cytometric analysis of fixed and permealized Jurkat cells labeling Sumo 3 using ab203570 at 0.5 μg/test (Black) followed by secondary detection with Alexa Fluor® 488 Goat anti-Rabbit. Cells incubated without primary antibody (grey) for control. Preincubation with immunizing peptide decreased the staining (red).

Immunohistochemistry (Formalin/PFA-fixed paraffin-embedded sections) - Anti-Sumo 3 antibody [1H9L17] (AB203570)
  • IHC-P

Supplier Data

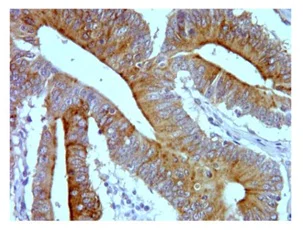
Immunohistochemistry (Formalin/PFA-fixed paraffin-embedded sections) - Anti-Sumo 3 antibody [1H9L17] (AB203570)

Immunohistochemical analysis of formalin fixed, paraffin embedded Human colon carcinoma tissue labeling Sumo 3 using ab203570 at 5 μg/mL, followed by DAB detection.

Immunocytochemistry/ Immunofluorescence - Anti-Sumo 3 antibody [1H9L17] (AB203570)
  • ICC/IF

Supplier Data

Immunocytochemistry/ Immunofluorescence - Anti-Sumo 3 antibody [1H9L17] (AB203570)

Immunofluorescence analysis of 70% confluent log phase MCF7 cell labelled for SMT3/ SUMO3 using ab207570 at 1μg/mL. The cells were fixed with 4% paraformaldehyde for 15 minutes, permeabilized with 0.25% Triton X-100 for 10 minutes, and blocked with 5% BSA for 1 hour at room temperature. The cells were labeled with ab203570 in 1% BSA and incubated for 3 hours at room temperature and then labeled with secondary antibody for 45 minutes at room temperature (Panel A : green). Nuclei (Panel B : blue) were stained with SlowFade® Gold Antifade Mountant with DAPI. F-actin (Panel C : red) was stained with Alexa Fluor® 555 Rhodamine Phalloidin(1/300). Panel D is a merged image showing Nuclear localization. Panel E is a no primary antibody control. The images were captured at 60X magnification.

Western blot - Anti-Sumo 3 antibody [1H9L17] (AB203570)
  • WB

Supplier Data

Western blot - Anti-Sumo 3 antibody [1H9L17] (AB203570)

Western blot analysis of SUMO-3 expression in Mouse Esophagus, Mouse Skin, Mouse Skeletal muscle, and human cell lines Jurkat and HepG2. Used Novex® NuPAGE®4-12 % Bis-Tris gel, XCell SureLock™ Electrophoresis System, Novex® Sharp Pre-Stained Protein Standard, and iBlot® Dry Blotting System. Proteins were transferred to a nitrocellulose membrane and blocked with 5 % skim milk for 1 hour at room temperature.

SUMO-3 was detected at ~ 20 kDa using ab203570 in 5 % skim milk at 4°C overnight on a rocking platform. Chemiluminescent detection was performed using Pierce™ ECL Western blotting Substrate.

All lanes:

Western blot - Anti-Sumo 3 antibody [1H9L17] (ab203570) at 0.1 µg/mL

Lane 1:

Mouse Esophagus at 20 µg

Lane 2:

Mouse skin at 20 µg

Lane 3:

Mouse Skeletal muscle at 20 µg

Lane 4:

Jurkat at 20 µg

Lane 5:

Hep G2 at 20 µg

Secondary

All lanes:

Goat anti-Rabbit IgG - HRP Secondary Antibody at 0.02 µg/mL

Predicted band size: 11 kDa

false

Immunocytochemistry/ Immunofluorescence - Anti-Sumo 3 antibody [1H9L17] (AB203570)
  • ICC/IF

Supplier Data

Immunocytochemistry/ Immunofluorescence - Anti-Sumo 3 antibody [1H9L17] (AB203570)

Immunofluorescent analysis of U2OS cells labeling Sumo 3 using ab203570 at 5 μg/mL (left image). Right image : sample with immunogenic phosphopeptide. Alexa Fluor® 488 Goat anti-Rabbit at 1/1000 dilution was used as secondary antibody.

Key facts

Host species

Rabbit

Clonality

Monoclonal

Clone number

1H9L17

Isotype

IgG

Carrier free

No

Reacts with

Mouse, Human

Applications

ICC/IF, IHC-P, WB, Flow Cyt

applications

Immunogen

Synthetic Peptide within Human SUMO3 aa 50 to C-terminus. The exact immunogen used to generate this antibody is proprietary information.

P55854

Reactivity data

{ "title": "Reactivity Data", "filters": { "stats": ["", "Species", "Dilution Info", "Notes"], "tabs": { "all-applications": {"fullname" : "All Applications", "shortname": "All Applications"}, "FlowCyt" : {"fullname" : "Flow Cytometry", "shortname":"Flow Cyt"}, "WB" : {"fullname" : "Western blot", "shortname":"WB"}, "ICCIF" : {"fullname" : "Immunocytochemistry/ Immunofluorescence", "shortname":"ICC/IF"}, "IHCP" : {"fullname" : "Immunohistochemistry (Formalin/PFA-fixed paraffin-embedded sections)", "shortname":"IHC-P"} }, "product-promise": { "all": "all", "testedAndGuaranteed": "tested", "guaranteed": "expected", "predicted": "predicted", "notRecommended": "not-recommended" } }, "values": { "Human": { "FlowCyt-species-checked": "testedAndGuaranteed", "FlowCyt-species-dilution-info": "", "FlowCyt-species-notes": "<p>Use at 0.5-1 μg/test</p>", "WB-species-checked": "testedAndGuaranteed", "WB-species-dilution-info": "2-3 µg/mL", "WB-species-notes": "<p></p>", "ICCIF-species-checked": "testedAndGuaranteed", "ICCIF-species-dilution-info": "4-6 µg/mL", "ICCIF-species-notes": "<p></p>", "IHCP-species-checked": "testedAndGuaranteed", "IHCP-species-dilution-info": "4-6 µg/mL", "IHCP-species-notes": "<p></p> Perform heat-mediated antigen retrieval with Tris/EDTA buffer pH 9.0 before commencing with IHC staining protocol." }, "Mouse": { "FlowCyt-species-checked": "guaranteed", "FlowCyt-species-dilution-info": "", "FlowCyt-species-notes": "", "WB-species-checked": "testedAndGuaranteed", "WB-species-dilution-info": "2-3 µg/mL", "WB-species-notes": "<p></p>", "ICCIF-species-checked": "guaranteed", "ICCIF-species-dilution-info": "", "ICCIF-species-notes": "", "IHCP-species-checked": "guaranteed", "IHCP-species-dilution-info": "", "IHCP-species-notes": "" } } }

Properties and storage information

Form
Liquid
Purification technique
Affinity purification Protein A
Storage buffer
Preservative: 0.09% Sodium azide Constituents: 99% PBS
Shipped at conditions
Blue Ice
Appropriate short-term storage duration
1-2 weeks
Appropriate short-term storage conditions
+4°C
Appropriate long-term storage conditions
-20°C
Aliquoting information
Upon delivery aliquot
Storage information
Avoid freeze / thaw cycle

Supplementary information

This supplementary information is collated from multiple sources and compiled automatically.

Sumo 3 also referred to as Small Ubiquitin-like Modifier 3 is a protein with a mass of approximately 11 kDa. It belongs to the SUMO family which modifies other proteins by attaching to them through a process called SUMOylation. Sumo 3 gets expressed widely in many tissues including the brain heart and skeletal muscles. It plays an important role in cellular processes such as nuclear-cytosolic transport transcriptional regulation and DNA repair.
Biological function summary

Sumo 3 functions in post-translational modification of proteins and often forms part of protein complexes. This modification can alter the protein's localization stability and activity. Sumo 3 activity influences cell cycle progression mitosis and stress response. SUMOylation including Sumo 3 adjusts protein interactions and functions impacting cellular homeostasis and modulation of transcription factors.

Pathways

Sumo 3 participates in the DNA repair and cellular stress response pathways. Through these pathways Sumo 3 closely interacts with proteins such as P53 an important protein in cell cycle regulation and apoptosis. Sumo 3 aids in facilitating DNA damage repair and protecting cells from apoptosis under stress helping maintain genomic integrity.

Sumo 3 involvement has a relation to cancer and neurodegenerative disease. Alterations in SUMOylation patterns involving Sumo 3 can lead to cancer development due to ineffective DNA repair and apoptosis. Furthermore in neurodegenerative disease Sumo 3 modulates protein aggregation processes increasing or reducing accumulation of neurotoxic proteins. Sumo 3 often interacts with proteins like huntingtin in Huntington's disease influencing disease progression through modulation of protein aggregation.

Product protocols

For this product, it's our understanding that no specific protocols are required. You can visit:

Target data

Ubiquitin-like protein which can be covalently attached to target lysines either as a monomer or as a lysine-linked polymer. Does not seem to be involved in protein degradation and may function as an antagonist of ubiquitin in the degradation process. Plays a role in a number of cellular processes such as nuclear transport, DNA replication and repair, mitosis and signal transduction. Covalent attachment to its substrates requires prior activation by the E1 complex SAE1-SAE2 and linkage to the E2 enzyme UBE2I, and can be promoted by an E3 ligase such as PIAS1-4, RANBP2 or CBX4 (PubMed : 11451954, PubMed : 18538659, PubMed : 21965678). Plays a role in the regulation of sumoylation status of SETX (PubMed : 24105744).
See full target information SUMO3

Publications (4)

Recent publications for all applications. Explore the full list and refine your search

Nature communications 13:4562 PubMed35931706

2022

Afadin couples RAS GTPases to the polarity rheostat Scribble.

Applications

Unspecified application

Species

Unspecified reactive species

Marilyn Goudreault,Valérie Gagné,Chang Hwa Jo,Swati Singh,Ryan C Killoran,Anne-Claude Gingras,Matthew J Smith

Cell death & disease 13:413 PubMed35484132

2022

Hypoxia-induced NFATc3 deSUMOylation enhances pancreatic carcinoma progression.

Applications

Unspecified application

Species

Unspecified reactive species

Yingying Tong,Zheng Zhang,Yurong Cheng,Jing Yang,Cong Fan,Xuyang Zhang,Jiandong Yang,Li Wang,Dong Guo,Dong Yan

Gland surgery 10:1067-1084 PubMed33842251

2021

An immunohistochemical panel of three small ubiquitin-like modifier genes predicts outcomes of patients with triple-negative breast cancer.

Applications

Unspecified application

Species

Unspecified reactive species

Yuxiang Lin,Qingshui Wang,Yingying Lin,Meichen Jiang,Han Xiao,Jie Zhang,Rongrong Guo,Shaohong Kang,Yao Lin,Chuangui Song

The Journal of clinical investigation 131: PubMed33661764

2021

SUMOylation promotes extracellular vesicle-mediated transmission of lncRNA ELNAT1 and lymph node metastasis in bladder cancer.

Applications

Unspecified application

Species

Unspecified reactive species

Changhao Chen,Hanhao Zheng,Yuming Luo,Yao Kong,Mingjie An,Yuting Li,Wang He,Bowen Gao,Yue Zhao,Hao Huang,Jian Huang,Tianxin Lin
View all publications

Product promise

We are committed to supporting your work with high-quality reagents, and we're here for you every step of the way. In the unlikely event that one of our products does not perform as expected, you're protected by our Product Promise.
For full details, please see our Terms & Conditions

Please note: All products are 'FOR RESEARCH USE ONLY. NOT FOR USE IN DIAGNOSTIC OR THERAPEUTIC PROCEDURES'.

For licensing inquiries, please contact partnerships@abcam.com