JavaScript is disabled in your browser. Please enable JavaScript to view this website.
AB323868

Anti-SUN1 antibody [EPR29563-76]

  • BOND RX™ Validated
  • RabMAb
  • Recombinant
  • 20ul selling size
  • What is this?

Be the first to review this product! Submit a review

|

(0 Publication)

Rabbit Recombinant Monoclonal SUN1 antibody. Suitable for WB, IHC-Fr, ICC/IF, IHC-P and reacts with Transfected cell lysate - Mouse, Mouse, Rat samples.

View Alternative Names

Unc84a, Sun1, SUN domain-containing protein 1, Protein unc-84 homolog A, Sad1/unc-84 protein-like 1

14 Images
Immunohistochemistry (Frozen sections) - Anti-SUN1 antibody [EPR29563-76] (AB323868)
  • IHC-Fr

Supplier Data

Immunohistochemistry (Frozen sections) - Anti-SUN1 antibody [EPR29563-76] (AB323868)

Immunohistochemical analysis of 4% PFA-fixed, 0.2% Triton X-100 permeabilized frozen Rat cerebrum (fresh frozen) tissue labeling SUN1 with ab323868 at 1/50 (10.2 ug/ml) dilution followed by ab150081 Goat Anti-Rabbit IgG H&L (Alexa Fluor® 488) preadsorbed at 1/1000 2 ug/mL dilution (Green).

Panel A : merged staining of anti-SUN1 (ab323868, green), anti-NeuN (ab190565, magenta) on rat cerebrum.
Panel B : anti-SUN1 stained on rat cerebrum.
Panel C : anti-NeuN stained in neurons of rat cerebrum.
The section was incubated in two rounds of staining : in the order of ab323868 and ab190565, for 1 hr at room temperature. The nuclear counterstain was DAPI (Blue). The section was then mounted using Fluoromount®.The immunostaining was performed on a Leica Biosystems BOND® RX instrument. Image was taken with a confocal microscope (Leica-Microsystems, TCS SP8).

Secondary antibody control : Secondary antibody is ab150081 Goat Anti-Rabbit IgG H&L (Alexa Fluor® 488) preadsorbedat 1/1000 2 ug/mL dilution.

Immunohistochemistry (Frozen sections) - Anti-SUN1 antibody [EPR29563-76] (AB323868)
  • IHC-Fr

Supplier Data

Immunohistochemistry (Frozen sections) - Anti-SUN1 antibody [EPR29563-76] (AB323868)

Immunohistochemical analysis of 4% PFA-fixed, 0.2% Triton X-100 permeabilized frozen Mouse cerebrum (fresh frozen) tissue labeling SUN1 with ab323868 at 1/50 (10.2 ug/ml) dilution followed by ab150081 Goat Anti-Rabbit IgG H&L (Alexa Fluor® 488) preadsorbed at 1/1000 2 ug/mL dilution (Green).

Panel A : merged staining of anti-SUN1 (ab323868, green), anti-NeuN (ab190565, magenta) on mouse cerebrum.
Panel B : anti-SUN1 stained on mouse cerebrum.
Panel C : anti-NeuN stained in neurons of mouse cerebrum.
The section was incubated in two rounds of staining : in the order of ab323868 and ab190565, for 1 hr at room temperature. The nuclear counterstain was DAPI (Blue). The section was then mounted using Fluoromount®.The immunostaining was performed on a Leica Biosystems BOND® RX instrument. Image was taken with a confocal microscope (Leica-Microsystems, TCS SP8).

Secondary antibody control : Secondary antibody is ab150081 Goat Anti-Rabbit IgG H&L (Alexa Fluor® 488) preadsorbedat 1/1000 2 ug/mL dilution.

Immunohistochemistry (Formalin/PFA-fixed paraffin-embedded sections) - Anti-SUN1 antibody [EPR29563-76] (AB323868)
  • IHC-P

Supplier Data

Immunohistochemistry (Formalin/PFA-fixed paraffin-embedded sections) - Anti-SUN1 antibody [EPR29563-76] (AB323868)

Immunohistochemical analysis of paraffin-embedded Mouse cerebrum tissue labeling SUN1 with ab323868 at 1/1000 (0.51 ug/ml) dilution, followed by a ready to use LeicaDS9800 (Bond™ Polymer Refine Detection).

Nuclear envelope staining on mouse cerebrum.
The primary antibody was incubated for 30 mins at room temperature.
The immunostaining was performed on a Leica Biosystems BOND® RX instrument

Counterstained with Hematoxylin.

Secondary antibody only control : Secondary antibody is a ready to use LeicaDS9800 (Bond™ Polymer Refine Detection).

Heat mediated antigen retrieval was performed with Tris-EDTA buffer (pH 9.0, Epitope Retrieval Solution2) for 20 mins

Immunohistochemistry (Frozen sections) - Anti-SUN1 antibody [EPR29563-76] (AB323868)
  • IHC-Fr

Supplier Data

Immunohistochemistry (Frozen sections) - Anti-SUN1 antibody [EPR29563-76] (AB323868)

Immunohistochemical analysis of 4% PFA-fixed, 0.2% Triton X-100 permeabilized frozen Mouse spleen (fresh frozen) tissue labeling SUN1 with ab323868 at 1/50 (10.2 ug/ml) dilution followed by ab150081 Goat Anti-Rabbit IgG H&L (Alexa Fluor® 488) preadsorbed at 1/1000 2 ug/mL dilution (Green).

Confocal image showing positive staining on mouse spleen. The nuclear counterstain was DAPI (Blue). The section was incubated with ab323868 for 60 mins at room temperature. The section was then mounted using Fluoromount®.The immunostaining was performed on a Leica Biosystems BOND® RX instrument. Image was taken with a confocal microscope (Leica-Microsystems, TCS SP8).

Secondary antibody control : Secondary antibody is ab150081 Goat Anti-Rabbit IgG H&L (Alexa Fluor® 488) preadsorbedat 1/1000 2 ug/mL dilution.

Immunohistochemistry (Formalin/PFA-fixed paraffin-embedded sections) - Anti-SUN1 antibody [EPR29563-76] (AB323868)
  • IHC-P

Supplier Data

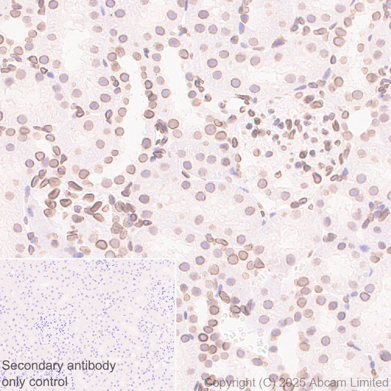
Immunohistochemistry (Formalin/PFA-fixed paraffin-embedded sections) - Anti-SUN1 antibody [EPR29563-76] (AB323868)

Immunohistochemical analysis of paraffin-embedded Rat kidney tissue labeling SUN1 with ab323868 at 1/1000 (0.51 ug/ml) dilution, followed by a ready to use LeicaDS9800 (Bond™ Polymer Refine Detection).

Nuclear envelope staining on rat kidney.
The primary antibody was incubated for 30 mins at room temperature.
The immunostaining was performed on a Leica Biosystems BOND® RX instrument

Counterstained with Hematoxylin.

Secondary antibody only control : Secondary antibody is a ready to use LeicaDS9800 (Bond™ Polymer Refine Detection).

Heat mediated antigen retrieval was performed with Tris-EDTA buffer (pH 9.0, Epitope Retrieval Solution2) for 20 mins

Immunohistochemistry (Formalin/PFA-fixed paraffin-embedded sections) - Anti-SUN1 antibody [EPR29563-76] (AB323868)
  • IHC-P

Supplier Data

Immunohistochemistry (Formalin/PFA-fixed paraffin-embedded sections) - Anti-SUN1 antibody [EPR29563-76] (AB323868)

Immunohistochemical analysis of paraffin-embedded Rat spleen tissue labeling SUN1 with ab323868 at 1/1000 (0.51 ug/ml) dilution, followed by a ready to use LeicaDS9800 (Bond™ Polymer Refine Detection).

Nuclear envelope staining on rat spleen.
The primary antibody was incubated for 30 mins at room temperature.
The immunostaining was performed on a Leica Biosystems BOND® RX instrument

Counterstained with Hematoxylin.

Secondary antibody only control : Secondary antibody is a ready to use LeicaDS9800 (Bond™ Polymer Refine Detection).

Heat mediated antigen retrieval was performed with Tris-EDTA buffer (pH 9.0, Epitope Retrieval Solution2) for 20 mins

Immunocytochemistry/ Immunofluorescence - Anti-SUN1 antibody [EPR29563-76] (AB323868)
  • ICC/IF

Supplier Data

Immunocytochemistry/ Immunofluorescence - Anti-SUN1 antibody [EPR29563-76] (AB323868)

Immunofluorescent analysis of 4% Paraformaldehyde-fixed, 0.1% TritonX-100 permeabilized C6 (rat glial tumor glial cell) cells labelling SUN1 with ab323868 at 1/100 (5.1 ug/ml) dilution, followed by ab150081 Goat Anti-Rabbit IgG H&L (Alexa Fluor® 488) preadsorbed antibody at 1/1000 2ug/ml dilution (Green).

Confocal image showing nuclear envelope staining in C6 cell line (shown in green). The counterstain was observed in magenta. Nuclear DNA was labelled with DAPI (shown in blue). Image was taken with a confocal microscope (Leica-Microsystems, TCS SP8).

ab195889 Anti-alpha Tubulin mouse monoclonal antibody - Microtubule Marker (Alexa Fluor® 594) was used to counterstain tubulin at 1/200 2.5ug/ml dilution (Magenta). The Nuclear counterstain was DAPI (Blue).

Secondary antibody only control : Secondary antibody is ab150081 Goat Anti-Rabbit IgG H&L (Alexa Fluor® 488) preadsorbed at 1/1000 2ug/ml dilution.

Immunohistochemistry (Frozen sections) - Anti-SUN1 antibody [EPR29563-76] (AB323868)
  • IHC-Fr

Supplier Data

Immunohistochemistry (Frozen sections) - Anti-SUN1 antibody [EPR29563-76] (AB323868)

Immunohistochemical analysis of 4% PFA-fixed, 0.2% Triton X-100 permeabilized frozen Rat spleen (fresh frozen) tissue labeling SUN1 with ab323868 at 1/50 (10.2 ug/ml) dilution followed by ab150081 Goat Anti-Rabbit IgG H&L (Alexa Fluor® 488) preadsorbed at 1/1000 2 ug/mL dilution (Green).

Confocal image showing positive staining on rat spleen. The nuclear counterstain was DAPI (Blue). The section was incubated with ab323868 for 60 mins at room temperature. The section was then mounted using Fluoromount®.The immunostaining was performed on a Leica Biosystems BOND® RX instrument. Image was taken with a confocal microscope (Leica-Microsystems, TCS SP8).

Secondary antibody control : Secondary antibody is ab150081 Goat Anti-Rabbit IgG H&L (Alexa Fluor® 488) preadsorbedat 1/1000 2 ug/mL dilution.

Immunohistochemistry (Formalin/PFA-fixed paraffin-embedded sections) - Anti-SUN1 antibody [EPR29563-76] (AB323868)
  • IHC-P

Supplier Data

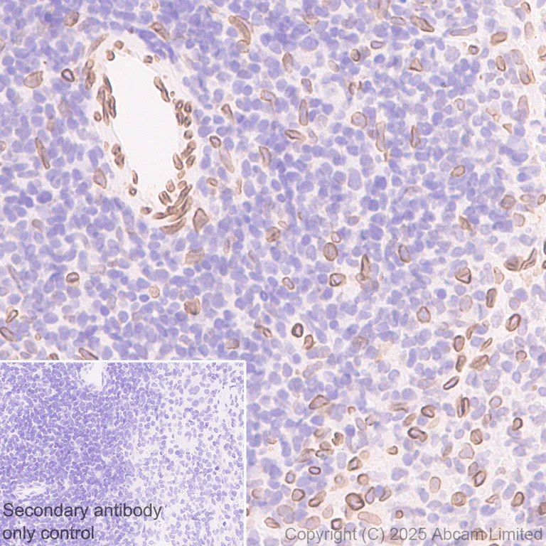
Immunohistochemistry (Formalin/PFA-fixed paraffin-embedded sections) - Anti-SUN1 antibody [EPR29563-76] (AB323868)

Immunohistochemical analysis of paraffin-embedded Mouse spleen tissue labeling SUN1 with ab323868 at 1/1000 (0.51 ug/ml) dilution, followed by a ready to use LeicaDS9800 (Bond™ Polymer Refine Detection).

Nuclear envelope staining on mouse spleen.
The primary antibody was incubated for 30 mins at room temperature.
The immunostaining was performed on a Leica Biosystems BOND® RX instrument

Counterstained with Hematoxylin.

Secondary antibody only control : Secondary antibody is a ready to use LeicaDS9800 (Bond™ Polymer Refine Detection).

Heat mediated antigen retrieval was performed with Tris-EDTA buffer (pH 9.0, Epitope Retrieval Solution2) for 20 mins

Immunocytochemistry/ Immunofluorescence - Anti-SUN1 antibody [EPR29563-76] (AB323868)
  • ICC/IF

Supplier Data

Immunocytochemistry/ Immunofluorescence - Anti-SUN1 antibody [EPR29563-76] (AB323868)

Immunofluorescent analysis of 4% Paraformaldehyde-fixed, 0.1% TritonX-100 permeabilized Neuro-2a (mouse neuroblastoma neuroblast) cells labelling SUN1 with ab323868 at 1/100 (5.1 ug/ml) dilution, followed by ab150081 Goat Anti-Rabbit IgG H&L (Alexa Fluor® 488) preadsorbed antibody at 1/1000 2ug/ml dilution (Green).

Confocal image showing nuclear envelope staining in Neuro-2a cell line (shown in green). The counterstain was observed in magenta. Nuclear DNA was labelled with DAPI (shown in blue). Image was taken with a confocal microscope (Leica-Microsystems, TCS SP8).

ab195889 Anti-alpha Tubulin mouse monoclonal antibody - Microtubule Marker (Alexa Fluor® 594) was used to counterstain tubulin at 1/200 2.5ug/ml dilution (Magenta). The Nuclear counterstain was DAPI (Blue).

Secondary antibody only control : Secondary antibody is ab150081 Goat Anti-Rabbit IgG H&L (Alexa Fluor® 488) preadsorbed at 1/1000 2ug/ml dilution.

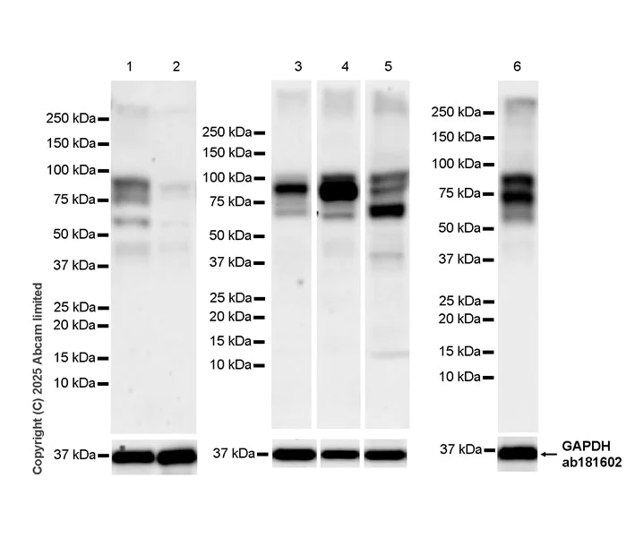
Western blot - Anti-SUN1 antibody [EPR29563-76] (AB323868)
  • WB

Supplier Data

Western blot - Anti-SUN1 antibody [EPR29563-76] (AB323868)

Blocking and diluting buffer and concentration : 5% NFDM/TBST.

Low expression : skin(PMID : 20711465)

The bands beneath the target band are likely to be degradation products.

The band above 250kda is likely to be SUN1 oligomers (PMID : 29813079).

In Western blot, Anti-GAPDH antibody [EPR16891] - Loading Control (ab181602) staining at 1/200000 dilution.

Exposure time : Lane1-2 : 48 seconds, lane3-5 : 59 seconds, lane6 : 37 seconds

All lanes:

Western blot - Anti-SUN1 antibody [EPR29563-76] (ab323868) at 1/1000 dilution

Lane 1:

Rat embryo tissue lysate at 20 µg

Lane 2:

Rat skin tissue lysate at 20 µg

Lane 3:

Rat brain tissue lysate at 20 µg

Lane 4:

Rat testis tissue lysate at 20 µg

Lane 5:

Rat spleen tissue lysate at 20 µg

Lane 6:

C6 (rat glial tumor glial cell) whole cell lysate at 20 µg

Secondary

All lanes:

Western blot - Goat Anti-Rabbit IgG H&L (HRP) (<a href='/en-us/products/secondary-antibodies/goat-rabbit-igg-h-l-hrp-ab97051'>ab97051</a>) at 1/20000 dilution

Observed band size: 84-101 kDa,36 kDa

false

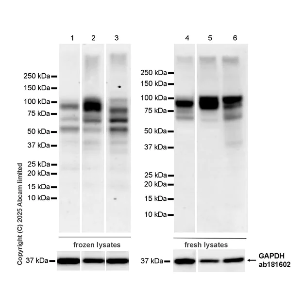
Western blot - Anti-SUN1 antibody [EPR29563-76] (AB323868)
  • WB

Supplier Data

Western blot - Anti-SUN1 antibody [EPR29563-76] (AB323868)

Blocking and diluting buffer and concentration : 5% NFDM/TBST.

The bands beneath the target band are likely to be degradation products.

The band above 250kda is likely to be SUN1 oligomers (PMID : 29813079).

In lane 1-3, the lysate was stored at -80℃ prior to Western blotting. The bands beneath the target band (84 kDa) are likely to be degradation products. In lane 4-6, to minimize protein degradation, tissues were lysed immediately after harvest and used for Western blotting as soon as possible.

In Western blot, Anti-GAPDH antibody [EPR16891] - Loading Control (ab181602) staining at 1/200000 dilution.

All lanes:

Western blot - Anti-SUN1 antibody [EPR29563-76] (ab323868) at 1/1000 dilution

Lane 1:

Mouse brain frozen tissue lysate at 20 µg

Lane 2:

Mouse testis frozen tissue lysate at 20 µg

Lane 3:

Mouse spleen frozen tissue lysate at 20 µg

Lane 4:

Mouse brain fresh tissue lysate at 20 µg

Lane 5:

Mouse testis fresh tissue lysate at 20 µg

Lane 6:

Mouse spleen fresh tissue lysate at 20 µg

Secondary

All lanes:

Western blot - Goat Anti-Rabbit IgG H&L (HRP) (<a href='/en-us/products/secondary-antibodies/goat-rabbit-igg-h-l-hrp-ab97051'>ab97051</a>) at 1/20000 dilution

Observed band size: 84-101 kDa,36 kDa

false

Exposure time: 59s

Western blot - Anti-SUN1 antibody [EPR29563-76] (AB323868)
  • WB

Supplier Data

Western blot - Anti-SUN1 antibody [EPR29563-76] (AB323868)

Blocking and diluting buffer and concentration : 5% NFDM/TBST.

The band above 250kda is likely to be SUN1 oligomers (PMID : 29813079).

In Western blot, Anti-GAPDH antibody [EPR16891] - Loading Control (ab181602) staining at 1/200000 dilution.

All lanes:

Western blot - Anti-SUN1 antibody [EPR29563-76] (ab323868) at 1/1000 dilution

Lane 1:

Neuro-2a (mouse neuroblastoma neuroblast) transfected with scrambled siRNA control whole cell lysate at 20 µg

Lane 2:

Neuro-2a transfected with siRNA specifically targeting SUN1 whole cell lysate at 20 µg

Secondary

All lanes:

Western blot - Goat Anti-Rabbit IgG H&L (HRP) (<a href='/en-us/products/secondary-antibodies/goat-rabbit-igg-h-l-hrp-ab97051'>ab97051</a>) at 1/20000 dilution

Observed band size: 84-101 kDa,36 kDa

false

Exposure time: 37s

Western blot - Anti-SUN1 antibody [EPR29563-76] (AB323868)
  • WB

Supplier Data

Western blot - Anti-SUN1 antibody [EPR29563-76] (AB323868)

Blocking and diluting buffer and concentration : 5% NFDM/TBST.

This antibody does not cross-react with mouse SUN2 or SUN3.

The expression profile/ molecular weight observed is consistent with what has been described in the literature(PMID : 20711465). This antibody can recognize the different isoforms of SUN1.

The band above 250kda is likely to be SUN1 oligomers (PMID : 29813079).

In Western blot, Anti-GAPDH antibody [EPR16891] - Loading Control (ab181602) staining at 1/200000 dilution.

In Western blot, Anti-6X His tag® antibody [EPR20547] - ChIP Grade (ab213204) - Loading Control (ab181602) staining at 1/5000 dilution.

All lanes:

Western blot - Anti-SUN1 antibody [EPR29563-76] (ab323868) at 1/1000 dilution

Lane 1:

293T cells transfected with an empty vector containing a His-tag, whole cell lysate at 20 µg

Lane 2:

293T cells transfected with a mouse SUN1 expression vector containing a His-tag, whole cell lysate at 20 µg

Lane 3:

293T cells transfected with a mouse SUN2 expression vector containing a His-tag, whole cell lysate at 20 µg

Lane 4:

293T cells transfected with a mouse SUN3 expression vector containing a His-tag, whole cell lysate at 20 µg

Secondary

All lanes:

Western blot - Goat Anti-Rabbit IgG H&L (HRP) (<a href='/en-us/products/secondary-antibodies/goat-rabbit-igg-h-l-hrp-ab97051'>ab97051</a>) at 1/100000 dilution

Observed band size: 101 kDa,36 kDa

false

Exposure time: 8s

Key facts

Host species

Rabbit

Clonality

Monoclonal

Clone number

EPR29563-76

Isotype

IgG

Carrier free

No

Reacts with

Mouse, Rat

Applications

IHC-P, ICC/IF, WB, IHC-Fr

applications

Immunogen

The exact immunogen used to generate this antibody is proprietary information.

Reactivity data

{ "title": "Reactivity Data", "filters": { "stats": ["", "Species", "Dilution Info", "Notes"], "tabs": { "all-applications": {"fullname" : "All Applications", "shortname": "All Applications"}, "WB" : {"fullname" : "Western blot", "shortname":"WB"}, "IHCFr" : {"fullname" : "Immunohistochemistry (Frozen sections)", "shortname":"IHC-Fr"}, "ICCIF" : {"fullname" : "Immunocytochemistry/ Immunofluorescence", "shortname":"ICC/IF"}, "IHCP" : {"fullname" : "Immunohistochemistry (Formalin/PFA-fixed paraffin-embedded sections)", "shortname":"IHC-P"} }, "product-promise": { "all": "all", "testedAndGuaranteed": "tested", "guaranteed": "expected", "predicted": "predicted", "notRecommended": "not-recommended" } }, "values": { "Mouse": { "WB-species-checked": "testedAndGuaranteed", "WB-species-dilution-info": "1/1000", "WB-species-notes": "<p></p>", "IHCFr-species-checked": "testedAndGuaranteed", "IHCFr-species-dilution-info": "1/50", "IHCFr-species-notes": "<p></p>", "ICCIF-species-checked": "testedAndGuaranteed", "ICCIF-species-dilution-info": "1/100", "ICCIF-species-notes": "<p></p>", "IHCP-species-checked": "testedAndGuaranteed", "IHCP-species-dilution-info": "1/1000", "IHCP-species-notes": "<p></p> Perform heat-mediated antigen retrieval with Tris/EDTA buffer pH 9.0 before commencing with IHC staining protocol." }, "Rat": { "WB-species-checked": "testedAndGuaranteed", "WB-species-dilution-info": "1/1000", "WB-species-notes": "<p></p>", "IHCFr-species-checked": "testedAndGuaranteed", "IHCFr-species-dilution-info": "1/50", "IHCFr-species-notes": "<p></p>", "ICCIF-species-checked": "testedAndGuaranteed", "ICCIF-species-dilution-info": "1/100", "ICCIF-species-notes": "<p></p>", "IHCP-species-checked": "testedAndGuaranteed", "IHCP-species-dilution-info": "1/1000", "IHCP-species-notes": "<p></p> Perform heat-mediated antigen retrieval with Tris/EDTA buffer pH 9.0 before commencing with IHC staining protocol." }, "Transfected cell lysate - Mouse": { "WB-species-checked": "testedAndGuaranteed", "WB-species-dilution-info": "1/1000", "WB-species-notes": "<p></p>", "IHCFr-species-checked": "notRecommended", "IHCFr-species-dilution-info": "", "IHCFr-species-notes": "", "ICCIF-species-checked": "notRecommended", "ICCIF-species-dilution-info": "", "ICCIF-species-notes": "", "IHCP-species-checked": "notRecommended", "IHCP-species-dilution-info": "", "IHCP-species-notes": "" } } }

Product details

What are the advantages of a recombinant monoclonal antibody?
This product is a recombinant monoclonal antibody, which offers several advantages including:

  • - High batch-to-batch consistency and reproducibility
  • - Improved sensitivity and specificity
  • - Long-term security of supply
  • - Animal-free batch production

For more information, read more on recombinant antibodies.

Patented technology
Our RabMAb® technology is a patented hybridoma-based technology for making rabbit monoclonal antibodies. For details on our patents, please refer to RabMAb® patents.

Properties and storage information

Form
Liquid
Purification technique
Affinity purification Protein A
Storage buffer
pH: 7.2 - 7.4 Preservative: 0.01% Sodium azide Constituents: PBS, 40% Glycerol (glycerin, glycerine), 0.05% BSA
Shipped at conditions
Blue Ice
Appropriate short-term storage duration
1-2 weeks
Appropriate short-term storage conditions
+4°C
Appropriate long-term storage conditions
-20°C
Aliquoting information
Upon delivery aliquot
Storage information
Avoid freeze / thaw cycle

Product protocols

For this product, it's our understanding that no specific protocols are required. You can visit:

Target data

As a component of the LINC (LInker of Nucleoskeleton and Cytoskeleton) complex involved in the connection between the nuclear lamina and the cytoskeleton (PubMed : 16380439, PubMed : 20711465, PubMed : 24062341, PubMed : 25892231, PubMed : 26842404). The nucleocytoplasmic interactions established by the LINC complex play an important role in the transmission of mechanical forces across the nuclear envelope and in nuclear movement and positioning (PubMed : 19874786). Required for interkinetic nuclear migration (INM) and essential for nucleokinesis and centrosome-nucleus coupling during radial neuronal migration in the cerebral cortex and during glial migration (PubMed : 19874786). Involved in telomere attachment to nuclear envelope in the prophase of meiosis implicating a SUN1/2 : KASH5 LINC complex in which SUN1 and SUN2 seem to act at least partial redundantly (PubMed : 17543860, PubMed : 19211677, PubMed : 19509342, PubMed : 24062341, PubMed : 25892231, PubMed : 26842404). Required for gametogenesis and involved in selective gene expression of coding and non-coding RNAs needed for gametogenesis (PubMed : 17543860). Helps to define the distribution of nuclear pore complexes (NPCs) (PubMed : 17724119). Required for efficient localization of SYNE4 in the nuclear envelope (PubMed : 23348741). May be involved in nuclear remodeling during sperm head formation in spermatogenesis (PubMed : 20711465). May play a role in DNA repair by suppressing non-homologous end joining repair to facilitate the repair of DNA cross-links (By similarity).. Isoform 5 may be involved in nuclear remodeling during sperm head formation in spermatogenesis. A probable SUN1 isoform 5 : SYNE3 LINC complex may tether spermatid nuclei to anterior cytoskeletal structures such as actin filaments present at membraneous junctions of spermatids and Sertoli cells.
See full target information Sun1

Product promise

We are committed to supporting your work with high-quality reagents, and we're here for you every step of the way. In the unlikely event that one of our products does not perform as expected, you're protected by our Product Promise.
For full details, please see our Terms & Conditions

Please note: All products are 'FOR RESEARCH USE ONLY. NOT FOR USE IN DIAGNOSTIC OR THERAPEUTIC PROCEDURES'.

For licensing inquiries, please contact partnerships@abcam.com