JavaScript is disabled in your browser. Please enable JavaScript to view this website.
AB51254

Anti-Superoxide Dismutase 1 antibody [EP1727Y]

  • RabMAb
  • Recombinant
  • KO Validated
  • 20ul selling size
  • What is this?

5

(4 Reviews)

|

(72 Publications)

Anti-Superoxide Dismutase 1 antibody [EP1727Y] (ab51254) is a rabbit monoclonal antibody detecting Superoxide Dismutase 1 in Western Blot, Flow Cytometry (Intra), IHC-P, ICC/IF. Suitable for Human, Mouse, Rat.

- KO validated for confirmed specificity
- Biophysical QC for unrivalled batch-batch consistency
- Over 40 publications
- Trusted since 2007

View Alternative Names

Superoxide dismutase [Cu-Zn], Hydrogen sulfide oxidase, Superoxide dismutase 1, hSod1, SOD1

10 Images
Immunocytochemistry/ Immunofluorescence - Anti-Superoxide Dismutase 1 antibody [EP1727Y] (AB51254)
  • ICC/IF

Unknown

Immunocytochemistry/ Immunofluorescence - Anti-Superoxide Dismutase 1 antibody [EP1727Y] (AB51254)

Immunofluorescent staining of HeLa cells using ab51254 (1 : 100).

Flow Cytometry (Intracellular) - Anti-Superoxide Dismutase 1 antibody [EP1727Y] (AB51254)
  • Flow Cyt (Intra)

Lab

Flow Cytometry (Intracellular) - Anti-Superoxide Dismutase 1 antibody [EP1727Y] (AB51254)

Intracellular Flow Cytometry analysis of HeLa (Human cervix adenocarcinoma epithelial cell) cells labeling Superoxide Dismutase 1 with ab51254 at 1/20 dilution (1μg) (Red). Goat anti rabbit IgG (Alexa Fluor® 488, ab150077) at 1/2000 dilution was used as the secondary antibody. Cells were fixed with4% paraformaldehyde. Rabbit monoclonal IgG (ab172730) was used as isotype control (Black). Unlabelled control : Cells without incubation with primary antibody and secondary antibody (Blue).

Immunohistochemistry (Formalin/PFA-fixed paraffin-embedded sections) - Anti-Superoxide Dismutase 1 antibody [EP1727Y] (AB51254)
  • IHC-P

Unknown

Immunohistochemistry (Formalin/PFA-fixed paraffin-embedded sections) - Anti-Superoxide Dismutase 1 antibody [EP1727Y] (AB51254)

ab51254 (1 : 100) staining human Superoxide Dismutase 1 in human breast carcinoma tissue by immunohistochemistry using paraffin embedded tissue.

Perform heat mediated antigen retrieval with citrate buffer pH 6 before commencing with IHC staining protocol.

Immunocytochemistry/ Immunofluorescence - Anti-Superoxide Dismutase 1 antibody [EP1727Y] (AB51254)
  • ICC/IF

Lab

Immunocytochemistry/ Immunofluorescence - Anti-Superoxide Dismutase 1 antibody [EP1727Y] (AB51254)

Immunofluorescent analysis of 4% Paraformaldehyde-fixed, 0.1% TritonX-100 permeabilized PC-12 cells labelling Superoxide Dismutase 1 with ab51254 at 1/100 dilution, followed by ab150077 Goat Anti-Rabbit IgG H&L (Alexa Fluor® 488) antibody at 1/1000 2 ug/ml dilution (Green). Confocal image showing cytoplasmic staining in PC-12 cell line ab195889 Anti-alpha Tubulin mouse monoclonal antibody - Microtubule Marker (Alexa Fluor® 594) was used to counterstain tubulin at 1/200 2.5 dilution (Red). The Nuclear counterstain was DAPI (Blue).

Secondary antibody only control : Secondary antibody is ab150077 Goat Anti-Rabbit IgG H&L (Alexa Fluor® 488) at 1000 2 ug/ml dilution.

Immunohistochemistry (Formalin/PFA-fixed paraffin-embedded sections) - Anti-Superoxide Dismutase 1 antibody [EP1727Y] (AB51254)
  • IHC-P

Unknown

Immunohistochemistry (Formalin/PFA-fixed paraffin-embedded sections) - Anti-Superoxide Dismutase 1 antibody [EP1727Y] (AB51254)

Immunohistochemistry (Formalin/PFA-fixed paraffin-embedded sections) analysis of mouse cerebrum tissue sections labeling Superoxide Dismutase 1 with purified ab51254 at 1/1000 dilution (0.15 µg/ml).
Heat mediated antigen retrieval was performed with Tris-EDTA buffer (pH 9.0, epitope retrieval solution2) for 20 mins. Rabbit specific IHC polymer detection kit HRP/DAB (ab209101) was used as the secondary antibody. Negative control : secondary antibody only control. Hematoxylin was used as a counterstain.

Immunohistochemistry (Formalin/PFA-fixed paraffin-embedded sections) - Anti-Superoxide Dismutase 1 antibody [EP1727Y] (AB51254)
  • IHC-P

Unknown

Immunohistochemistry (Formalin/PFA-fixed paraffin-embedded sections) - Anti-Superoxide Dismutase 1 antibody [EP1727Y] (AB51254)

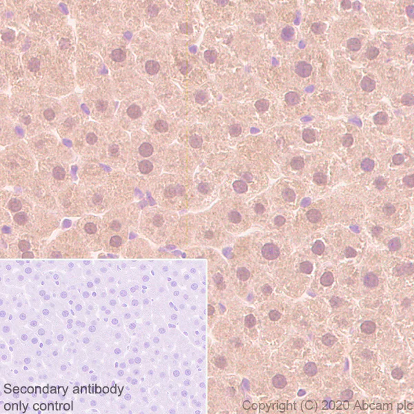
Immunohistochemistry (Formalin/PFA-fixed paraffin-embedded sections) analysis of rat liver tissue sections labeling Superoxide Dismutase 1 with purified ab51254 at 1/1000 dilution (0.15 µg/ml).
Heat mediated antigen retrieval was performed with Tris-EDTA buffer (pH 9.0, epitope retrieval solution2) for 20 mins. Rabbit specific IHC polymer detection kit HRP/DAB (ab209101) was used as the secondary antibody. Negative control : secondary antibody only control. Hematoxylin was used as a counterstain.

Immunocytochemistry/ Immunofluorescence - Anti-Superoxide Dismutase 1 antibody [EP1727Y] (AB51254)
  • ICC/IF

Lab

Immunocytochemistry/ Immunofluorescence - Anti-Superoxide Dismutase 1 antibody [EP1727Y] (AB51254)

Immunofluorescent analysis of 4% Paraformaldehyde-fixed, 0.1% TritonX-100 permeabilized NIH/3T3 cells labelling Superoxide Dismutase 1 with ab51254 at 1/100 dilution, followed by ab150077 Goat Anti-Rabbit IgG H&L (Alexa Fluor® 488) antibody at 1/1000 2 ug/ml dilution (Green). Confocal image showing cytoplasmic and weak nuclear staining in NIH/3T3 cell line ab195889 Anti-alpha Tubulin mouse monoclonal antibody - Microtubule Marker (Alexa Fluor® 594) was used to counterstain tubulin at 1/200 2.5 dilution (Red). The Nuclear counterstain was DAPI (Blue).

Secondary antibody only control : Secondary antibody is ab150077 Goat Anti-Rabbit IgG H&L (Alexa Fluor® 488) at 1000 2 ug/ml dilution.

Western blot - Anti-Superoxide Dismutase 1 antibody [EP1727Y] (AB51254)
  • WB

Unknown

Western blot - Anti-Superoxide Dismutase 1 antibody [EP1727Y] (AB51254)

All lanes:

Western blot - Anti-Superoxide Dismutase 1 antibody [EP1727Y] (ab51254) at 1/50000 dilution

All lanes:

Jurkat cell lysate at 10 µg

Secondary

All lanes:

Goat anti-rabbit HRP labeled at 1/2000 dilution

Predicted band size: 15 kDa

Observed band size: 18 kDa

false

Western blot - Anti-Superoxide Dismutase 1 antibody [EP1727Y] (AB51254)
  • WB

Collaborator

Western blot - Anti-Superoxide Dismutase 1 antibody [EP1727Y] (AB51254)

ab51254 was shown to react with SOD1 in wild-type HeLa cells in Western blot with loss of signal observed in a SOD1 knockout cell line. Wild-type HeLa and SOD1 knockout cell lysates were subjected to SDS-PAGE. Membranes were blocked in 5% milk in TBST for 1 hr before incubation with ab51254 overnight at 4 °C at a 1/15000 dilution. Blots were incubated with goat anti-rabbit HRP secondary antibodies at 0.2 μg/ml before imaging. These data were provided by YCharOS Inc., an open science company with the mission of characterizing commercially available antibody reagents for all human proteins. Abcam and YCharOS are working together to help address the reproducibility crisis by enabling the life science community to better evaluate commercially available antibodies.

All lanes:

Western blot - Anti-Superoxide Dismutase 1 antibody [EP1727Y] (ab51254)

Predicted band size: 15 kDa

false

Western blot - Anti-Superoxide Dismutase 1 antibody [EP1727Y] (AB51254)
  • WB

Unknown

Western blot - Anti-Superoxide Dismutase 1 antibody [EP1727Y] (AB51254)

Blocking/diluting Buffer and concentration : 5% NFDM /TBST

All lanes:

Western blot - Anti-Superoxide Dismutase 1 antibody [EP1727Y] (ab51254) at 0.015 µg/mL

Lane 1:

Mouse brain tissue lysate at 20 µg

Lane 2:

Rat brain tissue lysate at 20 µg

Secondary

All lanes:

Western blot - Goat Anti-Rabbit IgG H&L (HRP) (<a href='/en-us/products/secondary-antibodies/goat-rabbit-igg-h-l-hrp-ab97051'>ab97051</a>) at 0.05 µg/mL

Predicted band size: 15 kDa

Observed band size: 18 kDa

false

  • Carrier free

    Anti-Superoxide Dismutase 1 antibody [EP1727Y] - BSA and Azide free

  • HRP

    HRP Anti-Superoxide Dismutase 1 antibody [EP1727Y]

  • 519 Alexa Fluor® 488

    Alexa Fluor® 488 Anti-Superoxide Dismutase 1 antibody [EP1727Y]

  • 617 Alexa Fluor® 594

    Alexa Fluor® 594 Anti-Superoxide Dismutase 1 antibody [EP1727Y]

  • 578 PE

    PE Anti-Superoxide Dismutase 1 antibody [EP1727Y]

  • 660 APC

    APC Anti-Superoxide Dismutase 1 antibody [EP1727Y]

  • 565 Alexa Fluor® 555

    Alexa Fluor® 555 Anti-Superoxide Dismutase 1 antibody [EP1727Y]

  • 665 Alexa Fluor® 647

    Alexa Fluor® 647 Anti-Superoxide Dismutase 1 antibody [EP1727Y]

Key facts

Host species

Rabbit

Clonality

Monoclonal

Clone number

EP1727Y

Isotype

IgG

Carrier free

No

Reacts with

Mouse, Rat, Human

Applications

WB, ICC/IF, IHC-P, Flow Cyt (Intra)

applications

Immunogen

The exact immunogen used to generate this antibody is proprietary information.

Reactivity data

{ "title": "Reactivity Data", "filters": { "stats": ["", "Species", "Dilution Info", "Notes"], "tabs": { "all-applications": {"fullname" : "All Applications", "shortname": "All Applications"}, "IP" : {"fullname" : "Immunoprecipitation", "shortname":"IP"}, "WB" : {"fullname" : "Western blot", "shortname":"WB"}, "ICCIF" : {"fullname" : "Immunocytochemistry/ Immunofluorescence", "shortname":"ICC/IF"}, "FlowCytIntra" : {"fullname" : "Flow Cytometry (Intracellular)", "shortname":"Flow Cyt (Intra)"}, "IHCP" : {"fullname" : "Immunohistochemistry (Formalin/PFA-fixed paraffin-embedded sections)", "shortname":"IHC-P"} }, "product-promise": { "all": "all", "testedAndGuaranteed": "tested", "guaranteed": "expected", "predicted": "predicted", "notRecommended": "not-recommended" } }, "values": { "Human": { "IP-species-checked": "notRecommended", "IP-species-dilution-info": "", "IP-species-notes": "<p></p>", "WB-species-checked": "testedAndGuaranteed", "WB-species-dilution-info": "1/50000", "WB-species-notes": "<p></p>", "ICCIF-species-checked": "testedAndGuaranteed", "ICCIF-species-dilution-info": "1/100 - 1/250", "ICCIF-species-notes": "<p></p>", "FlowCytIntra-species-checked": "testedAndGuaranteed", "FlowCytIntra-species-dilution-info": "1/100", "FlowCytIntra-species-notes": "<p><a href='/en-us/products/primary-antibodies/rabbit-igg-monoclonal-epr25a-isotype-control-ab172730'>ab172730</a> - Rabbit monoclonal IgG, is suitable for use as an isotype control with this antibody.</p>", "IHCP-species-checked": "testedAndGuaranteed", "IHCP-species-dilution-info": "1/1000", "IHCP-species-notes": "<p></p> Perform heat-mediated antigen retrieval with Tris/EDTA buffer pH 9.0 before commencing with IHC staining protocol." }, "Mouse": { "IP-species-checked": "notRecommended", "IP-species-dilution-info": "", "IP-species-notes": "<p></p>", "WB-species-checked": "testedAndGuaranteed", "WB-species-dilution-info": "1/50000", "WB-species-notes": "<p></p>", "ICCIF-species-checked": "testedAndGuaranteed", "ICCIF-species-dilution-info": "1/100 - 1/250", "ICCIF-species-notes": "<p></p>", "FlowCytIntra-species-checked": "guaranteed", "FlowCytIntra-species-dilution-info": "", "FlowCytIntra-species-notes": "", "IHCP-species-checked": "testedAndGuaranteed", "IHCP-species-dilution-info": "1/1000", "IHCP-species-notes": "<p></p> Perform heat-mediated antigen retrieval with Tris/EDTA buffer pH 9.0 before commencing with IHC staining protocol." }, "Rat": { "IP-species-checked": "notRecommended", "IP-species-dilution-info": "", "IP-species-notes": "<p></p>", "WB-species-checked": "testedAndGuaranteed", "WB-species-dilution-info": "1/50000", "WB-species-notes": "<p></p>", "ICCIF-species-checked": "testedAndGuaranteed", "ICCIF-species-dilution-info": "1/100 - 1/250", "ICCIF-species-notes": "<p></p>", "FlowCytIntra-species-checked": "guaranteed", "FlowCytIntra-species-dilution-info": "", "FlowCytIntra-species-notes": "", "IHCP-species-checked": "testedAndGuaranteed", "IHCP-species-dilution-info": "1/1000", "IHCP-species-notes": "<p></p> Perform heat-mediated antigen retrieval with Tris/EDTA buffer pH 9.0 before commencing with IHC staining protocol." } } }

Product details

What is this antibody validated in?
Anti-Superoxide Dismutase 1 antibody [EP1727Y] (ab51254) is a rabbit recombinant monoclonal antibody and is validated for use in Western Blot (WB), Flow Cytometry (Intra), Flow Cytometry (Flow Cyt), Immunohistochemistry (IHC-P), Immunocytochemistry/immunofluorescence (ICC/IF) in Human, Mouse, Rat samples.

What is the molecular weight of Superoxide Dismutase 1?
Anti-Superoxide Dismutase 1 [EP1727Y] (ab51254) specifically detects a band for Superoxide Dismutase 1 (UniProt: P00441) at a molecular weight of 16kDa.

Trusted by the scientific community
Anti-Superoxide Dismutase 1 [EP1727Y] (ab51254) was first used in a scientific publication in 2007 and has been cited over 40 times in peer-reviewed journals.

Trial sizes available!
Test your antibody or perform pre-screening before committing to a larger quantity. Sold in 10µl. Discover our selection of trial-size antibodies.

Specificity confirmed
The specificity of Anti-Superoxide Dismutase 1 antibody [EP1727Y] (ab51254) has been confirmed by Western blot testing in SOD1 Knockout HeLa cells.

Other related products
We have a range of other formats of antibody clone [EP1727Y] also available for your convenience: ab51254, HRP - ab199453, Alexa Fluor® 488 - ab199733, Carrier free - ab238954, Carrier free - ab302497, Biotin - ab302528, APC - ab310865, PE - ab310929, Alexa Fluor® 594 - ab311701, Alexa Fluor® 555 - ab314510, Alexa Fluor® 647 - ab314511

Patented technology
Our RabMAb® technology is a patented hybridoma-based technology for making rabbit monoclonal antibodies. For details on our patents, please refer to RabMAb® patents.

What are the advantages of a recombinant monoclonal antibody?
This product is a recombinant monoclonal antibody, which offers several advantages including:

  • - High batch-to-batch consistency and reproducibility
  • - Improved sensitivity and specificity
  • - Long-term security of supply
  • - Animal-free batch production

For more information, read more on recombinant antibodies.

Properties and storage information

Form
Liquid
Purification technique
Affinity purification Protein A
Storage buffer
pH: 7.2 - 7.4 Preservative: 0.05% Sodium azide Constituents: 50% Tissue culture supernatant, 40% Glycerol (glycerin, glycerine), 9.85% Tris glycine, 0.1% BSA
Shipped at conditions
Blue Ice
Appropriate short-term storage conditions
+4°C
Appropriate long-term storage conditions
-20°C
Aliquoting information
Upon delivery aliquot
Storage information
Avoid freeze / thaw cycle

Supplementary information

This supplementary information is collated from multiple sources and compiled automatically.

Superoxide Dismutase 1 (SOD1) also known as Cu/Zn SOD or simply dismutase is an enzyme important for the detoxification of superoxide radicals. SOD1 catalyzes the conversion of two superoxide molecules into oxygen and hydrogen peroxide maintaining cellular redox balance. This enzyme typically exhibits a mass of approximately 32 kDa. SOD1 is expressed in the cytoplasm of cells throughout the body including tissues like liver kidney and brain.
Biological function summary

The enzyme functions as a homodimer with each subunit containing a copper and zinc ion. These metal ions are essential for the catalytic activity of SOD1 as the copper ion participates in electron transfer while the zinc ion provides structural stability. The enzyme protects cells from oxidative stress by neutralizing excess reactive oxygen species ensuring cellular health and functioning.

Pathways

SOD1 plays an important role in the cellular antioxidant defense system and is a part of the reactive oxygen species (ROS) metabolic pathway. It works in conjunction with catalase and glutathione peroxidase to limit oxidative damage within cells. The close interaction between these enzymes highlights the interdependence within the antioxidant defense network emphasizing their role in maintaining cellular homeostasis.

Mutations in the SOD1 gene are linked to familial Amyotrophic Lateral Sclerosis (ALS) a neurodegenerative condition. In ALS aberrant SOD1 proteins may lead to increased oxidative stress and motor neuron damage. Research also connects SOD1 to the pathogenesis of Alzheimer's disease where oxidative stress is a contributing factor. These associations underline SOD1's significance in neurodegenerative diseases highlighting potential therapeutic targets for interventions focused on oxidative stress management.

Product protocols

For this product, it's our understanding that no specific protocols are required. You can visit:

Target data

Destroys radicals which are normally produced within the cells and which are toxic to biological systems (PubMed : 24140062). Catalyzes the oxidation of hydrogen sulfide (H2S) to sulfate, playing an important role in detoxifying H2S and limiting the accumulation of reactive sulfur species (RSS) such as persulfides and polysulfides (PubMed : 36630448).
See full target information SOD1

Publications (72)

Recent publications for all applications. Explore the full list and refine your search

Redox biology 86:103814 PubMed40789258

2025

Inhibition of eIF5A hypusination enhances antioxidant defense to prevent kidney Ischemia/Reperfusion injury.

Applications

Unspecified application

Species

Unspecified reactive species

Marc Cougnon,Sébastien Giraud,Maria Materozzi,Elisa Allart,Isabelle Rubera,Claire Mackowiak,Gisèle Jarretou,Nadège Boildieu,Virginie Ameteau,Estelle Lemarié,Hajar Ouahmi,Nicolas Melis,Mallorie Poet,Christophe Duranton,Luc Pellerin,Laurent Counillon,Marina Shkreli,Michel Tauc,Thierry Hauet,Didier F Pisani

Antioxidants (Basel, Switzerland) 14: PubMed40722980

2025

A High-Fat Diet Induces Oxidative Stress in OPA1 Mouse Cortices: A Critical Double Challenge.

Applications

Unspecified application

Species

Unspecified reactive species

Camille Champigny,Marlène Botella,Djamaa Atamena,Sébastien Bullich,Corentin Coustham,Bruno Guiard,Pascale Belenguer,Noélie Davezac

PloS one 20:e0326676 PubMed40569910

2025

Effects of Conocarpus lancifolius and crocin on superoxide dismutase and protein kinase B genes and protein expressions in diabetic rats.

Applications

Unspecified application

Species

Unspecified reactive species

Mohamed Lotfy,Abdallah Khalaf,Faisal AlBarghouthy,Abdulla Alhashmi,Hesham Adam,Abdulla Almesmari,Biduth Kundu,Taoufik Ksiksi

Nature communications 16:2845 PubMed40122897

2025

Astrocyte-secreted cues promote neural maturation and augment activity in human forebrain organoids.

Applications

Unspecified application

Species

Unspecified reactive species

Honghui Zheng,Yilin Feng,Jiyuan Tang,Feifei Yu,Zitian Wang,Jiani Xu,Cheng Hai,Mingyue Jiang,Yifan Cheng,Zhicheng Shao,Ning Ma,Peter E Lobie,Shaohua Ma

Antioxidants (Basel, Switzerland) 13: PubMed39594503

2024

SOD1 Is an Integral Yet Insufficient Oxidizer of Hydrogen Sulfide in Trisomy 21 B Lymphocytes and Can Be Augmented by a Pleiotropic Carbon Nanozyme.

Applications

Unspecified application

Species

Unspecified reactive species

Karthik Mouli,Anton V Liopo,Larry J Suva,Kenneth R Olson,Emily A McHugh,James M Tour,Paul J Derry,Thomas A Kent

International journal of molecular medicine 54: PubMed39422051

2024

Copper supplementation alleviates hypoxia‑induced ferroptosis and oxidative stress in neuronal cells.

Applications

Unspecified application

Species

Unspecified reactive species

Jianyu Wang,Yuankang Zou,Ruili Guan,Shuangshuang Tan,Lihong Su,Zaihua Zhao,Zipeng Cao,Kunyan Jiang,Tao Wang,Gang Zheng

Heliyon 10:e37424 PubMed39309955

2024

Pretreatment with aqueous Lam. leaf extract prevents cadmium-induced hepatotoxicity by improving cellular antioxidant machinery and reducing cadmium accumulation.

Applications

Unspecified application

Species

Unspecified reactive species

Visarut Buranasudja,Kittipong Sanookpan,Sornkanok Vimolmangkang,Asma Binalee,Kamil Mika,Sucheewin Krobthong,Kittikhun Kerdsomboon,Supeecha Kumkate,Toemthip Poolpak,Siraprapa Kidhakarn,Kwang Mo Yang,Tossapol Limcharoensuk,Choowong Auesukaree

Scientific reports 14:21180 PubMed39261543

2024

Minocycline alleviates lipopolysaccharide-induced cardiotoxicity by suppressing the NLRP3/Caspase-1 signaling pathway.

Applications

Unspecified application

Species

Unspecified reactive species

Huijuan Li,Xiaozhong Li,Guohai Xu,Fenfang Zhan

Archives of toxicology 98:3859-3874 PubMed39192017

2024

Effects of novel flame retardants tris(1,3-dichloro-2-propyl) phosphate (TDCIPP) and triphenyl phosphate (TPhP) on function and homeostasis in human and rat pancreatic beta-cell lines.

Applications

Unspecified application

Species

Unspecified reactive species

Nela Pavlíková,Jan Šrámek,Vlasta Němcová,Lola Bajard

Basic research in cardiology 119:751-772 PubMed39046464

2024

Empagliflozin prevents heart failure through inhibition of the NHE1-NO pathway, independent of SGLT2.

Applications

Unspecified application

Species

Unspecified reactive species

Sha Chen,Qian Wang,Diane Bakker,Xin Hu,Liping Zhang,Ingeborg van der Made,Anna M Tebbens,Csenger Kovácsházi,Zoltán Giricz,Gábor B Brenner,Peter Ferdinandy,Gert Schaart,Anne Gemmink,Matthijs K C Hesselink,Mathilde R Rivaud,Michael P Pieper,Markus W Hollmann,Nina C Weber,Jean-Luc Balligand,Esther E Creemers,Ruben Coronel,Coert J Zuurbier
View all publications

Product promise

We are committed to supporting your work with high-quality reagents, and we're here for you every step of the way. In the unlikely event that one of our products does not perform as expected, you're protected by our Product Promise.
For full details, please see our Terms & Conditions

Please note: All products are 'FOR RESEARCH USE ONLY. NOT FOR USE IN DIAGNOSTIC OR THERAPEUTIC PROCEDURES'.

For licensing inquiries, please contact partnerships@abcam.com