JavaScript is disabled in your browser. Please enable JavaScript to view this website.
AB238954

Anti-Superoxide Dismutase 1 antibody [EP1727Y] - BSA and Azide free

Be the first to review this product! Submit a review

|

(1 Publication)

Rabbit Recombinant Monoclonal Superoxide Dismutase 1 antibody. Carrier free. Suitable for WB, ICC/IF, Flow Cyt (Intra), IHC-P and reacts with Mouse, Human, Rat samples. Cited in 1 publication.

View Alternative Names

Superoxide dismutase [Cu-Zn], Superoxide dismutase 1, hSod1, SOD1

7 Images
Flow Cytometry (Intracellular) - Anti-Superoxide Dismutase 1 antibody [EP1727Y] - BSA and Azide free (AB238954)
  • Flow Cyt (Intra)

Lab

Flow Cytometry (Intracellular) - Anti-Superoxide Dismutase 1 antibody [EP1727Y] - BSA and Azide free (AB238954)

Intracellular Flow Cytometry analysis of HeLa (Human cervix adenocarcinoma epithelial cell) cells labeling Superoxide Dismutase 1 with ab51254 at 1/20 dilution (1μg) (Red). Goat anti rabbit IgG (Alexa Fluor®488, ab150077) at 1/2000 dilution was used as the secondary antibody. Cells were fixed with4% paraformaldehyde. Rabbit monoclonal IgG (ab172730) was used as isotype control (Black). Unlabelled control : Cells without incubation with primary antibody and secondary antibody (Blue).

This data was developed using the same antibody clone in a different buffer formulation containing PBS, BSA, glycerol, and sodium azide (ab51254).

Immunocytochemistry/ Immunofluorescence - Anti-Superoxide Dismutase 1 antibody [EP1727Y] - BSA and Azide free (AB238954)
  • ICC/IF

Supplier Data

Immunocytochemistry/ Immunofluorescence - Anti-Superoxide Dismutase 1 antibody [EP1727Y] - BSA and Azide free (AB238954)

Immunofluorescent staining of HeLa (human epithelial cell line from cervix adenocarcinoma) cells using ab51254 (1 : 100).

This data was developed using the same antibody clone in a different buffer formulation containing PBS, BSA, glycerol, and sodium azide (ab51254).

Immunohistochemistry (Formalin/PFA-fixed paraffin-embedded sections) - Anti-Superoxide Dismutase 1 antibody [EP1727Y] - BSA and Azide free (AB238954)
  • IHC-P

Unknown

Immunohistochemistry (Formalin/PFA-fixed paraffin-embedded sections) - Anti-Superoxide Dismutase 1 antibody [EP1727Y] - BSA and Azide free (AB238954)

ab51254 (1 : 100) staining human Superoxide Dismutase 1 in human breast carcinoma tissue by immunohistochemistry using paraffin embedded tissue.

This data was developed using the same antibody clone in a different buffer formulation containing PBS, BSA, glycerol, and sodium azide (ab51254).

Perform heat mediated antigen retrieval with citrate buffer pH 6 before commencing with IHC staining protocol.

Immunocytochemistry/ Immunofluorescence - Anti-Superoxide Dismutase 1 antibody [EP1727Y] - BSA and Azide free (AB238954)
  • ICC/IF

Lab

Immunocytochemistry/ Immunofluorescence - Anti-Superoxide Dismutase 1 antibody [EP1727Y] - BSA and Azide free (AB238954)

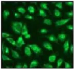
This data was developed using ab51254, the same antibody clone in a different buffer formulation.

Immunofluorescent analysis of 4% Paraformaldehyde-fixed, 0.1% TritonX-100 permeabilized PC-12 cells labelling Superoxide Dismutase 1 with ab51254 at 1/100 dilution, followed by ab150077 Goat Anti-Rabbit IgG H&L (Alexa Fluor® 488) antibody at 1/1000 2 ug/ml dilution (Green). Confocal image showing cytoplasmic staining in PC-12 cell line ab195889 Anti-alpha Tubulin mouse monoclonal antibody - Microtubule Marker (Alexa Fluor® 594) was used to counterstain tubulin at 1/200 2.5 dilution (Red). The Nuclear counterstain was DAPI (Blue).

Secondary antibody only control : Secondary antibody is ab150077 Goat Anti-Rabbit IgG H&L (Alexa Fluor® 488) at 1000 2 ug/ml dilution.

Immunohistochemistry (Formalin/PFA-fixed paraffin-embedded sections) - Anti-Superoxide Dismutase 1 antibody [EP1727Y] - BSA and Azide free (AB238954)
  • IHC-P

Unknown

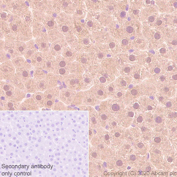
Immunohistochemistry (Formalin/PFA-fixed paraffin-embedded sections) - Anti-Superoxide Dismutase 1 antibody [EP1727Y] - BSA and Azide free (AB238954)

Immunohistochemistry (Formalin/PFA-fixed paraffin-embedded sections) analysis of rat liver tissue sections labeling Superoxide Dismutase 1 with purified ab51254 at 1/1000 dilution (0.15 µg/ml).
Heat mediated antigen retrieval was performed with Tris-EDTA buffer (pH 9.0, epitope retrieval solution2) for 20 mins. Rabbit specific IHC polymer detection kit HRP/DAB (ab209101) was used as the secondary antibody. Negative control : secondary antibody only control. Hematoxylin was used as a counterstain.
This data was developed using the same antibody clone in a different buffer formulation containing PBS, BSA, glycerol, and sodium azide (ab51254)

Immunocytochemistry/ Immunofluorescence - Anti-Superoxide Dismutase 1 antibody [EP1727Y] - BSA and Azide free (AB238954)
  • ICC/IF

Lab

Immunocytochemistry/ Immunofluorescence - Anti-Superoxide Dismutase 1 antibody [EP1727Y] - BSA and Azide free (AB238954)

This data was developed using ab51254, the same antibody clone in a different buffer formulation.

Immunofluorescent analysis of 4% Paraformaldehyde-fixed, 0.1% TritonX-100 permeabilized NIH/3T3 cells labelling Superoxide Dismutase 1 with ab51254 at 1/100 dilution, followed by ab150077 Goat Anti-Rabbit IgG H&L (Alexa Fluor® 488) antibody at 1/1000 2 ug/ml dilution (Green). Confocal image showing cytoplasmic and weak nuclear staining in NIH/3T3 cell line ab195889 Anti-alpha Tubulin mouse monoclonal antibody - Microtubule Marker (Alexa Fluor® 594) was used to counterstain tubulin at 1/200 2.5 dilution (Red). The Nuclear counterstain was DAPI (Blue).

Secondary antibody only control : Secondary antibody is ab150077 Goat Anti-Rabbit IgG H&L (Alexa Fluor® 488) at 1000 2 ug/ml dilution.

Immunohistochemistry (Formalin/PFA-fixed paraffin-embedded sections) - Anti-Superoxide Dismutase 1 antibody [EP1727Y] - BSA and Azide free (AB238954)
  • IHC-P

Unknown

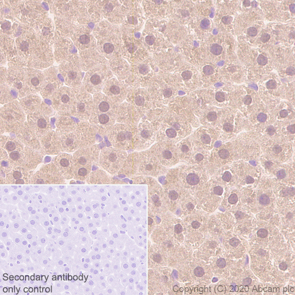
Immunohistochemistry (Formalin/PFA-fixed paraffin-embedded sections) - Anti-Superoxide Dismutase 1 antibody [EP1727Y] - BSA and Azide free (AB238954)

Immunohistochemistry (Formalin/PFA-fixed paraffin-embedded sections) analysis of mouse cerebrum tissue sections labeling Superoxide Dismutase 1 with purified ab51254 at 1/1000 dilution (0.15 μg/ml).
Heat mediated antigen retrieval was performed with Tris-EDTA buffer (pH 9.0, epitope retrieval solution2) for 20 mins. Rabbit specific IHC polymer detection kit HRP/DAB (ab209101) was used as the secondary antibody. Negative control : secondary antibody only control. Hematoxylin was used as a counterstain.

This data was developed using the same antibody clone in a different buffer formulation containing PBS, BSA, glycerol, and sodium azide (ab51254)

  • Unconjugated

    Anti-Superoxide Dismutase 1 antibody [EP1727Y]

  • HRP

    HRP Anti-Superoxide Dismutase 1 antibody [EP1727Y]

  • 519 Alexa Fluor® 488

    Alexa Fluor® 488 Anti-Superoxide Dismutase 1 antibody [EP1727Y]

  • 660 APC

    APC Anti-Superoxide Dismutase 1 antibody [EP1727Y]

  • 578 PE

    PE Anti-Superoxide Dismutase 1 antibody [EP1727Y]

  • 617 Alexa Fluor® 594

    Alexa Fluor® 594 Anti-Superoxide Dismutase 1 antibody [EP1727Y]

  • 565 Alexa Fluor® 555

    Alexa Fluor® 555 Anti-Superoxide Dismutase 1 antibody [EP1727Y]

  • 665 Alexa Fluor® 647

    Alexa Fluor® 647 Anti-Superoxide Dismutase 1 antibody [EP1727Y]

Key facts

Host species

Rabbit

Clonality

Monoclonal

Clone number

EP1727Y

Isotype

IgG

Carrier free

Yes

Reacts with

Mouse, Rat, Human

Applications

ICC/IF, WB, Flow Cyt (Intra), IHC-P

applications

Immunogen

The exact immunogen used to generate this antibody is proprietary information.

Reactivity data

{ "title": "Reactivity Data", "filters": { "stats": ["", "Species", "Dilution Info", "Notes"], "tabs": { "all-applications": {"fullname" : "All Applications", "shortname": "All Applications"}, "IP" : {"fullname" : "Immunoprecipitation", "shortname":"IP"}, "WB" : {"fullname" : "Western blot", "shortname":"WB"}, "ICCIF" : {"fullname" : "Immunocytochemistry/ Immunofluorescence", "shortname":"ICC/IF"}, "FlowCytIntra" : {"fullname" : "Flow Cytometry (Intracellular)", "shortname":"Flow Cyt (Intra)"}, "IHCP" : {"fullname" : "Immunohistochemistry (Formalin/PFA-fixed paraffin-embedded sections)", "shortname":"IHC-P"} }, "product-promise": { "all": "all", "testedAndGuaranteed": "tested", "guaranteed": "expected", "predicted": "predicted", "notRecommended": "not-recommended" } }, "values": { "Human": { "IP-species-checked": "notRecommended", "IP-species-dilution-info": "", "IP-species-notes": "<p></p>", "WB-species-checked": "testedAndGuaranteed", "WB-species-dilution-info": "", "WB-species-notes": "<p></p>", "ICCIF-species-checked": "testedAndGuaranteed", "ICCIF-species-dilution-info": "", "ICCIF-species-notes": "<p></p>", "FlowCytIntra-species-checked": "testedAndGuaranteed", "FlowCytIntra-species-dilution-info": "", "FlowCytIntra-species-notes": "<p></p>", "IHCP-species-checked": "guaranteed", "IHCP-species-dilution-info": "", "IHCP-species-notes": "" }, "Mouse": { "IP-species-checked": "notRecommended", "IP-species-dilution-info": "", "IP-species-notes": "<p></p>", "WB-species-checked": "testedAndGuaranteed", "WB-species-dilution-info": "", "WB-species-notes": "<p></p>", "ICCIF-species-checked": "testedAndGuaranteed", "ICCIF-species-dilution-info": "", "ICCIF-species-notes": "<p></p>", "FlowCytIntra-species-checked": "guaranteed", "FlowCytIntra-species-dilution-info": "", "FlowCytIntra-species-notes": "", "IHCP-species-checked": "guaranteed", "IHCP-species-dilution-info": "", "IHCP-species-notes": "" }, "Rat": { "IP-species-checked": "notRecommended", "IP-species-dilution-info": "", "IP-species-notes": "<p></p>", "WB-species-checked": "guaranteed", "WB-species-dilution-info": "", "WB-species-notes": "<p></p>", "ICCIF-species-checked": "testedAndGuaranteed", "ICCIF-species-dilution-info": "", "ICCIF-species-notes": "<p></p>", "FlowCytIntra-species-checked": "guaranteed", "FlowCytIntra-species-dilution-info": "", "FlowCytIntra-species-notes": "", "IHCP-species-checked": "testedAndGuaranteed", "IHCP-species-dilution-info": "", "IHCP-species-notes": "<p></p>" } } }

Product details

ab238954 is the carrier-free version of ab51254.

Patented technology
Our RabMAb® technology is a patented hybridoma-based technology for making rabbit monoclonal antibodies. For details on our patents, please refer to RabMAb® patents.

What are the advantages of a recombinant monoclonal antibody?
This product is a recombinant monoclonal antibody, which offers several advantages including:

  • - High batch-to-batch consistency and reproducibility
  • - Improved sensitivity and specificity
  • - Long-term security of supply
  • - Animal-free batch production

For more information, read more on recombinant antibodies.

Conjugation ready
Our carrier-free antibodies are typically supplied in a PBS-only formulation, purified and free of BSA, sodium azide and glycerol. This conjugation-ready format is designed for use with fluorochromes, metal isotopes, oligonucleotides, and enzymes, which makes them ideal for antibody labelling, functional and cell-based assays, flow-based assays (e.g. mass cytometry) and Multiplex Imaging applications.

Use our conjugation kits for antibody conjugates that are ready-to-use in as little as 20 minutes with 1 minute hands-on-time and 100% antibody recovery: available for fluorescent dyes, HRP, biotin and gold.

Compatibility
This product is compatible with the Maxpar® Antibody Labeling Kit from Fluidigm, without the need for antibody preparation. Maxpar® is a trademark of Fluidigm Canada Inc.

Properties and storage information

Form
Liquid
Purification technique
Affinity purification Protein A
Storage buffer
pH: 7.2 - 7.4 Constituents: PBS
Shipped at conditions
Blue Ice
Appropriate short-term storage conditions
+4°C
Appropriate long-term storage conditions
+4°C
Storage information
Do Not Freeze

Supplementary information

This supplementary information is collated from multiple sources and compiled automatically.

Superoxide Dismutase 1 (SOD1) also known as Cu/Zn SOD or simply dismutase is an enzyme important for the detoxification of superoxide radicals. SOD1 catalyzes the conversion of two superoxide molecules into oxygen and hydrogen peroxide maintaining cellular redox balance. This enzyme typically exhibits a mass of approximately 32 kDa. SOD1 is expressed in the cytoplasm of cells throughout the body including tissues like liver kidney and brain.
Biological function summary

The enzyme functions as a homodimer with each subunit containing a copper and zinc ion. These metal ions are essential for the catalytic activity of SOD1 as the copper ion participates in electron transfer while the zinc ion provides structural stability. The enzyme protects cells from oxidative stress by neutralizing excess reactive oxygen species ensuring cellular health and functioning.

Pathways

SOD1 plays an important role in the cellular antioxidant defense system and is a part of the reactive oxygen species (ROS) metabolic pathway. It works in conjunction with catalase and glutathione peroxidase to limit oxidative damage within cells. The close interaction between these enzymes highlights the interdependence within the antioxidant defense network emphasizing their role in maintaining cellular homeostasis.

Mutations in the SOD1 gene are linked to familial Amyotrophic Lateral Sclerosis (ALS) a neurodegenerative condition. In ALS aberrant SOD1 proteins may lead to increased oxidative stress and motor neuron damage. Research also connects SOD1 to the pathogenesis of Alzheimer's disease where oxidative stress is a contributing factor. These associations underline SOD1's significance in neurodegenerative diseases highlighting potential therapeutic targets for interventions focused on oxidative stress management.

Product protocols

For this product, it's our understanding that no specific protocols are required. You can visit:

Target data

Destroys radicals which are normally produced within the cells and which are toxic to biological systems.
See full target information SOD1

Publications (1)

Recent publications for all applications. Explore the full list and refine your search

Food science & nutrition 13:e70408 PubMed40491976

2025

Molecular Mechanisms Underlying Apple Extract Ameliorates Depression-Incident Cognitive Dysfunction Based on Network Pharmacology.

Applications

Unspecified application

Species

Unspecified reactive species

Yue Chen,Shunqiang Yang,Huihuang Shi,Jizhe Cui,Zhu Li
View all publications

Product promise

We are committed to supporting your work with high-quality reagents, and we're here for you every step of the way. In the unlikely event that one of our products does not perform as expected, you're protected by our Product Promise.
For full details, please see our Terms & Conditions

Please note: All products are 'FOR RESEARCH USE ONLY. NOT FOR USE IN DIAGNOSTIC OR THERAPEUTIC PROCEDURES'.

For licensing inquiries, please contact partnerships@abcam.com