JavaScript is disabled in your browser. Please enable JavaScript to view this website.
AB204343

Anti-SUPT16H antibody

Be the first to review this product! Submit a review

|

(4 Publications)

Rabbit Polyclonal SUPT16H antibody. Suitable for IHC-P, WB, ICC/IF and reacts with Human samples. Cited in 4 publications. Immunogen corresponding to Recombinant Fragment Protein within Human SUPT16H aa 150-300.

View Alternative Names

FACT140, FACTP140, SUPT16H, FACT complex subunit SPT16, Chromatin-specific transcription elongation factor 140 kDa subunit, FACT 140 kDa subunit, FACTp140, Facilitates chromatin transcription complex subunit SPT16, hSPT16

3 Images
Immunohistochemistry (Formalin/PFA-fixed paraffin-embedded sections) - Anti-SUPT16H antibody (AB204343)
  • IHC-P

Supplier Data

Immunohistochemistry (Formalin/PFA-fixed paraffin-embedded sections) - Anti-SUPT16H antibody (AB204343)

Immunohistochemical analysis of paraffin-embedded Human rectum tissue labeling SUPT16H with ab204343 at 1/1000 dilution.

Immunocytochemistry/ Immunofluorescence - Anti-SUPT16H antibody (AB204343)
  • ICC/IF

Supplier Data

Immunocytochemistry/ Immunofluorescence - Anti-SUPT16H antibody (AB204343)

Immunofluorescent analysis of PFA-fixed, Triton X-100 permeabilized U-2 OS cells labeling SUPT16H with ab204343 at 4 μg/ml (green).

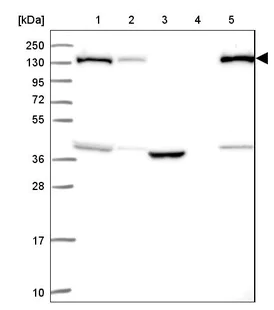
Western blot - Anti-SUPT16H antibody (AB204343)
  • WB

Supplier Data

Western blot - Anti-SUPT16H antibody (AB204343)

All lanes:

Western blot - Anti-SUPT16H antibody (ab204343) at 1/500 dilution

Lane 1:

RT-4 cell lysate

Lane 2:

U-251 MG cell lysate

Lane 3:

Human plasma

Lane 4:

Human liver tissue lysate

Lane 5:

Human tonsil tissue lysate

Predicted band size: 120 kDa

true

Key facts

Host species

Rabbit

Clonality

Polyclonal

Isotype

IgG

Carrier free

No

Reacts with

Human

Applications

ICC/IF, WB, IHC-P

applications

Immunogen

Recombinant Fragment Protein within Human SUPT16H aa 150-300. The exact immunogen used to generate this antibody is proprietary information.

Q9Y5B9

Reactivity data

{ "title": "Reactivity Data", "filters": { "stats": ["", "Species", "Dilution Info", "Notes"], "tabs": { "all-applications": {"fullname" : "All Applications", "shortname": "All Applications"}, "IHCP" : {"fullname" : "Immunohistochemistry (Formalin/PFA-fixed paraffin-embedded sections)", "shortname":"IHC-P"}, "WB" : {"fullname" : "Western blot", "shortname":"WB"}, "ICCIF" : {"fullname" : "Immunocytochemistry/ Immunofluorescence", "shortname":"ICC/IF"} }, "product-promise": { "all": "all", "testedAndGuaranteed": "tested", "guaranteed": "expected", "predicted": "predicted", "notRecommended": "not-recommended" } }, "values": { "Human": { "IHCP-species-checked": "testedAndGuaranteed", "IHCP-species-dilution-info": "1/1000 - 1/2500", "IHCP-species-notes": "<p></p> Perform heat-mediated antigen retrieval with citrate buffer pH 6 before commencing with IHC staining protocol.", "WB-species-checked": "testedAndGuaranteed", "WB-species-dilution-info": "1/500 - 1/1000", "WB-species-notes": "<p></p>", "ICCIF-species-checked": "testedAndGuaranteed", "ICCIF-species-dilution-info": "0.25-2 µg/mL", "ICCIF-species-notes": "<p></p>" }, "Mouse": { "IHCP-species-checked": "predicted", "IHCP-species-dilution-info": "", "IHCP-species-notes": "", "WB-species-checked": "predicted", "WB-species-dilution-info": "", "WB-species-notes": "", "ICCIF-species-checked": "predicted", "ICCIF-species-dilution-info": "", "ICCIF-species-notes": "" }, "Rat": { "IHCP-species-checked": "predicted", "IHCP-species-dilution-info": "", "IHCP-species-notes": "", "WB-species-checked": "predicted", "WB-species-dilution-info": "", "WB-species-notes": "", "ICCIF-species-checked": "predicted", "ICCIF-species-dilution-info": "", "ICCIF-species-notes": "" }, "Xenopus laevis": { "IHCP-species-checked": "predicted", "IHCP-species-dilution-info": "", "IHCP-species-notes": "", "WB-species-checked": "predicted", "WB-species-dilution-info": "", "WB-species-notes": "", "ICCIF-species-checked": "predicted", "ICCIF-species-dilution-info": "", "ICCIF-species-notes": "" } } }

Properties and storage information

Form
Liquid
Purification technique
Affinity purification Immunogen
Storage buffer
pH: 7.2 Preservative: 0.02% Sodium azide Constituents: PBS, 40% Glycerol (glycerin, glycerine)
Shipped at conditions
Blue Ice
Appropriate short-term storage duration
1-2 weeks
Appropriate short-term storage conditions
+4°C
Appropriate long-term storage conditions
-20°C
Aliquoting information
Upon delivery aliquot
Storage information
Avoid freeze / thaw cycle

Supplementary information

This supplementary information is collated from multiple sources and compiled automatically.

SUPT16H also known as FACT80 is a protein that plays an important mechanical role in chromatin remodeling. It has a molecular mass of approximately 142 kDa. This protein becomes substantially expressed in actively dividing cells particularly in tissues with high rates of cell proliferation such as the bone marrow and epithelial layers. SUPT16H along with SSRP1 forms a heterodimeric structure that functions as the Facilitates Chromatin Transcription (FACT) complex which modulates nucleosome organization during transcription elongation.
Biological function summary

The SUPT16H protein operates by working within the FACT complex to unravel nucleosomes allowing RNA polymerase II to move along DNA more efficiently by transiently modifying chromatin structure. This function is essential during the transcriptional elongation process making it pivotal in gene expression regulation. The protein as part of the FACT complex participates in chromatin destabilization and reassembly proving important in maintaining chromatin integrity during cell cycle progression and other cellular stress responses.

Pathways

SUPT16H plays a role in the transcriptional regulation pathway. It is strongly linked to pathways like the p53 signaling pathway which responds to DNA damage and maintains genomic stability. Within these pathways SUPT16H interacts with proteins such as RNA polymerase II highlighting its role in transcriptional regulation. In direct relation to this function SUPT16H also connects with p53-related proteins modulating their transcriptional activity in response to cellular changes.

The SUPT16H protein has demonstrated involvement in various cancer types due to its role in gene expression regulation. Aberrations in its function can lead to dysregulated transcription contributing to oncogenic transformations. Furthermore SUPT16H ties into neurodegenerative disorders such as Alzheimer's disease where altered chromatin dynamics may impact neuronal survival. In these contexts SUPT16H associates with cancer-related proteins and those involved in neuronal signaling pathways highlighting its importance in disease pathogenesis.

Product protocols

For this product, it's our understanding that no specific protocols are required. You can visit:

Target data

Component of the FACT complex, a general chromatin factor that acts to reorganize nucleosomes. The FACT complex is involved in multiple processes that require DNA as a template such as mRNA elongation, DNA replication and DNA repair. During transcription elongation the FACT complex acts as a histone chaperone that both destabilizes and restores nucleosomal structure. It facilitates the passage of RNA polymerase II and transcription by promoting the dissociation of one histone H2A-H2B dimer from the nucleosome, then subsequently promotes the reestablishment of the nucleosome following the passage of RNA polymerase II. The FACT complex is probably also involved in phosphorylation of 'Ser-392' of p53/TP53 via its association with CK2 (casein kinase II).
See full target information SUPT16H

Publications (4)

Recent publications for all applications. Explore the full list and refine your search

International journal of molecular sciences 24: PubMed36769360

2023

Haploinsufficiency Impairs PI3K/AKT/mTOR/Autophagy Pathway in Human Pluripotent Stem Cells Derived Neural Stem Cells.

Applications

Unspecified application

Species

Unspecified reactive species

Junwen Wang,Ziyi Wang,Limeng Dai,Xintong Zhu,Xingying Guan,Junyi Wang,Jia Li,Mao Zhang,Yun Bai,Hong Guo

eLife 11: PubMed35293859

2022

The TFIIH complex is required to establish and maintain mitotic chromosome structure.

Applications

Unspecified application

Species

Unspecified reactive species

Julian Haase,Richard Chen,Wesley M Parker,Mary Kate Bonner,Lisa M Jenkins,Alexander E Kelly

Molecular cancer therapeutics 19:258-269 PubMed31575655

2019

Targeting Histone Chaperone FACT Complex Overcomes 5-Fluorouracil Resistance in Colon Cancer.

Applications

Unspecified application

Species

Unspecified reactive species

Heyu Song,Jiping Zeng,Shrabasti Roychoudhury,Pranjal Biswas,Bhopal Mohapatra,Sutapa Ray,Kayvon Dowlatshahi,Jing Wang,Vimla Band,Geoffrey Talmon,Kishor K Bhakat

Human molecular genetics 24:6565-79 PubMed26395458

2015

A role for repressive complexes and H3K9 di-methylation in PRDM5-associated brittle cornea syndrome.

Applications

IHC-P

Species

Human

Louise F Porter,Giorgio G Galli,Sally Williamson,Julian Selley,David Knight,Nursel Elcioglu,Ali Aydin,Mustafa Elcioglu,Hanka Venselaar,Anders H Lund,Richard Bonshek,Graeme C Black,Forbes D Manson
View all publications

Product promise

We are committed to supporting your work with high-quality reagents, and we're here for you every step of the way. In the unlikely event that one of our products does not perform as expected, you're protected by our Product Promise.
For full details, please see our Terms & Conditions

Please note: All products are 'FOR RESEARCH USE ONLY. NOT FOR USE IN DIAGNOSTIC OR THERAPEUTIC PROCEDURES'.

For licensing inquiries, please contact partnerships@abcam.com