JavaScript is disabled in your browser. Please enable JavaScript to view this website.
AB302611

Anti-SUR1 antibody [EPR25761-44]

Be the first to review this product! Submit a review

|

(0 Publication)

Rabbit Recombinant Monoclonal SUR1 antibody. Suitable for Flow Cyt (Intra), ICC/IF, WB and reacts with Human, Rat samples.

View Alternative Names

HRINS, SUR, SUR1, ABCC8, ATP-binding cassette sub-family C member 8, Sulfonylurea receptor 1

3 Images
Immunocytochemistry/ Immunofluorescence - Anti-SUR1 antibody [EPR25761-44] (AB302611)
  • ICC/IF

Supplier Data

Immunocytochemistry/ Immunofluorescence - Anti-SUR1 antibody [EPR25761-44] (AB302611)

Immunofluorescent analysis of 4% Paraformaldehyde-fixed, 0.1% TritonX-100 permeabilized SK-N-BE(2) (human neuroblastoma neuroblast) cells labelling SUR1 with ab302611 at 1/100 (5.37 ug/ml) dilution, followed by ab150081 Goat Anti-Rabbit IgG H&L (Alexa Fluor® 488) preadsorbed antibody at 1/1000 2 ug/ml dilution (Green). Confocal image showing cytoplasmic staining in SK-N-BE(2) cell lineNegative control : HEK-293 (PMID : 23255597) is observed. ab195889 Anti-alpha Tubulin mouse monoclonal antibody - Microtubule Marker (Alexa Fluor® 594) was used to counterstain tubulin at 1/200 2.5ug/ml dilution (Red). The Nuclear counterstain was DAPI (Blue). Secondary antibody only control : Secondary antibody is ab150081 Goat Anti-Rabbit IgG H&L (Alexa Fluor® 488) preadsorbed at 1/1000 2 ug/ml dilution.

Flow Cytometry (Intracellular) - Anti-SUR1 antibody [EPR25761-44] (AB302611)
  • Flow Cyt (Intra)

Supplier Data

Flow Cytometry (Intracellular) - Anti-SUR1 antibody [EPR25761-44] (AB302611)

Flow cytometric analysis of 4% paraformaldehyde fixed 90% methanol permeabilized HEK-293 (human embryonic kidney epithelial cell, Left) / SK-N-BE(2) (human neuroblastoma neuroblast, Right) cells labelling SUR1 with ab302611 at 1/5000 dilution (0.01ug) (Red) compared with a isotype control and an unlabelled control (cells without incubation with primary antibody and secondary antibody) (Blue). A Goat Anti-Rabbit IgG (Alexa Fluor® 488, ab150081) at 1/2000 dilution was used as the secondary antibody. Negative control : HEK-293 (PMID : 23255597).

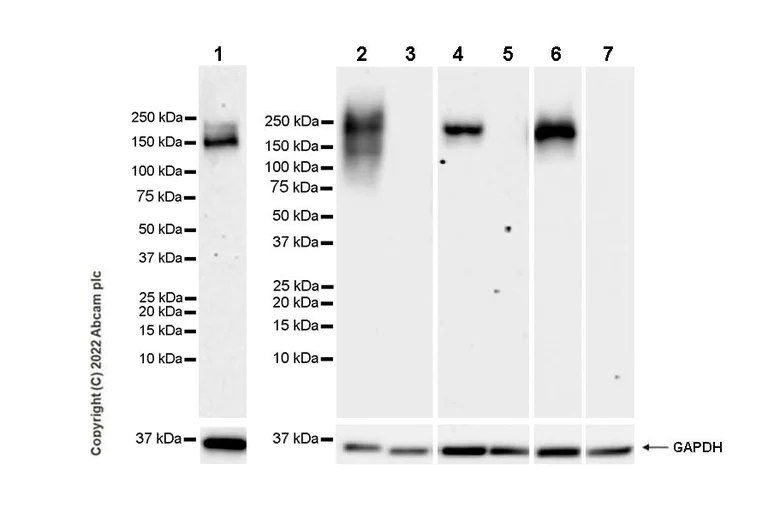
Western blot - Anti-SUR1 antibody [EPR25761-44] (AB302611)
  • WB

Supplier Data

Western blot - Anti-SUR1 antibody [EPR25761-44] (AB302611)

Blocking and diluting buffer and concentration : 5% NFDM/TBST.

Negative control : Kidney (PMID : 17535866 ), HEK-293(PMID : 23255597, 32332165 )

The expression molecular weight observed in lane 1 is consistent with what has been described in the literature (PMID : 21674179, 17657312)

Samples are non-boiled as boiling may cause protein aggregates.

Lane 1 of this blot was developed using a high sensitivity ECL substrate. The high-sensitivity ECL substrate used allows for the detection of proteins in the mid-femtogram range.

Exposure time :

Lane 1 : 3 minutes

Lane 2, 3, 6, 7 : 26 seconds

Lane 4, 5 : 70 seconds

All lanes:

Western blot - Anti-SUR1 antibody [EPR25761-44] (ab302611) at 1/1000 dilution

Lane 1:

Human pancreas tissue lysate 20 µg at 20 µg

Lane 2:

Human hypothalamus tissue lysate 20 µg at 20 µg

Lane 3:

Human kidney tissue lysate 20 µg at 20 µg

Lane 4:

SK-N-BE(2) (human neuroblastoma neuroblast), whole cell lysate 20 µg at 20 µg

Lane 5:

HEK-293 (human embryonic kidney epithelial cell), whole cell lysate 20 µg at 20 µg

Lane 6:

Rat hypothalamus tissue lysate 20 µg at 20 µg

Lane 7:

Rat kidney tissue lysate 20 µg at 20 µg

Secondary

All lanes:

Western blot - Goat Anti-Rabbit IgG H&L (HRP) (<a href='/en-us/products/secondary-antibodies/goat-rabbit-igg-h-l-hrp-ab97051'>ab97051</a>) at 1/100000 dilution

Observed band size: 150 kDa,180 kDa

true

  • Carrier free

    Anti-SUR1 antibody [EPR25761-44] - BSA and Azide free

Key facts

Host species

Rabbit

Clonality

Monoclonal

Clone number

EPR25761-44

Isotype

IgG

Carrier free

No

Reacts with

Rat, Human

Applications

WB, ICC/IF, Flow Cyt (Intra)

applications

Immunogen

The exact immunogen used to generate this antibody is proprietary information.

Reactivity data

{ "title": "Reactivity Data", "filters": { "stats": ["", "Species", "Dilution Info", "Notes"], "tabs": { "all-applications": {"fullname" : "All Applications", "shortname": "All Applications"}, "IP" : {"fullname" : "Immunoprecipitation", "shortname":"IP"}, "FlowCytIntra" : {"fullname" : "Flow Cytometry (Intracellular)", "shortname":"Flow Cyt (Intra)"}, "ICCIF" : {"fullname" : "Immunocytochemistry/ Immunofluorescence", "shortname":"ICC/IF"}, "IHCFr" : {"fullname" : "Immunohistochemistry (Frozen sections)", "shortname":"IHC-Fr"}, "IHCP" : {"fullname" : "Immunohistochemistry (Formalin/PFA-fixed paraffin-embedded sections)", "shortname":"IHC-P"}, "WB" : {"fullname" : "Western blot", "shortname":"WB"} }, "product-promise": { "all": "all", "testedAndGuaranteed": "tested", "guaranteed": "expected", "predicted": "predicted", "notRecommended": "not-recommended" } }, "values": { "Human": { "IP-species-checked": "notRecommended", "IP-species-dilution-info": "", "IP-species-notes": "<p></p>", "FlowCytIntra-species-checked": "testedAndGuaranteed", "FlowCytIntra-species-dilution-info": "1/5000", "FlowCytIntra-species-notes": "<p></p>", "ICCIF-species-checked": "testedAndGuaranteed", "ICCIF-species-dilution-info": "1/100", "ICCIF-species-notes": "<p></p>", "IHCFr-species-checked": "notRecommended", "IHCFr-species-dilution-info": "", "IHCFr-species-notes": "", "IHCP-species-checked": "notRecommended", "IHCP-species-dilution-info": "", "IHCP-species-notes": "<p></p> Perform heat-mediated antigen retrieval with Tris/EDTA buffer pH 9.0 before commencing with IHC staining protocol.", "WB-species-checked": "guaranteed", "WB-species-dilution-info": "", "WB-species-notes": "" }, "Mouse": { "IP-species-checked": "notRecommended", "IP-species-dilution-info": "", "IP-species-notes": "", "FlowCytIntra-species-checked": "notRecommended", "FlowCytIntra-species-dilution-info": "1/5000", "FlowCytIntra-species-notes": "<p></p>", "ICCIF-species-checked": "notRecommended", "ICCIF-species-dilution-info": "1/100", "ICCIF-species-notes": "<p></p>", "IHCFr-species-checked": "notRecommended", "IHCFr-species-dilution-info": "", "IHCFr-species-notes": "<p></p>", "IHCP-species-checked": "notRecommended", "IHCP-species-dilution-info": "1/100", "IHCP-species-notes": "<p></p> Perform heat-mediated antigen retrieval with Tris/EDTA buffer pH 9.0 before commencing with IHC staining protocol.", "WB-species-checked": "notRecommended", "WB-species-dilution-info": "1/1000", "WB-species-notes": "<p></p>" }, "Rat": { "IP-species-checked": "notRecommended", "IP-species-dilution-info": "", "IP-species-notes": "", "FlowCytIntra-species-checked": "guaranteed", "FlowCytIntra-species-dilution-info": "", "FlowCytIntra-species-notes": "", "ICCIF-species-checked": "guaranteed", "ICCIF-species-dilution-info": "", "ICCIF-species-notes": "", "IHCFr-species-checked": "notRecommended", "IHCFr-species-dilution-info": "", "IHCFr-species-notes": "<p></p>", "IHCP-species-checked": "notRecommended", "IHCP-species-dilution-info": "", "IHCP-species-notes": "<p></p>", "WB-species-checked": "testedAndGuaranteed", "WB-species-dilution-info": "1/1000", "WB-species-notes": "<p></p>" } } }

Product details

Want a custom formulation?
This antibody clone is manufactured by Abcam. If you require a custom buffer formulation or conjugation for your experiments, please contact orders@abcam.com

Patented technology
Our RabMAb® technology is a patented hybridoma-based technology for making rabbit monoclonal antibodies. For details on our patents, please refer to RabMAb® patents.

What are the advantages of a recombinant monoclonal antibody?
This product is a recombinant monoclonal antibody, which offers several advantages including:

  • - High batch-to-batch consistency and reproducibility
  • - Improved sensitivity and specificity
  • - Long-term security of supply
  • - Animal-free batch production

For more information, read more on recombinant antibodies.

Properties and storage information

Form
Liquid
Purification technique
Affinity purification Protein A
Storage buffer
pH: 7.2 - 7.4 Preservative: 0.01% Sodium azide Constituents: PBS, 40% Glycerol (glycerin, glycerine), 0.05% BSA
Shipped at conditions
Blue Ice
Appropriate short-term storage duration
1-2 weeks
Appropriate short-term storage conditions
+4°C
Appropriate long-term storage conditions
-20°C
Aliquoting information
Upon delivery aliquot
Storage information
Avoid freeze / thaw cycle

Supplementary information

This supplementary information is collated from multiple sources and compiled automatically.

The SUR1 protein also known as ABCC8 is an important subunit of ATP-sensitive potassium (K_ATP) channels. This protein has a molecular mass of approximately 158 kDa. SUR1 is expressed mainly in pancreatic beta cells although one can also find it in neurons and cardiac tissue. It plays an essential role in regulating the membrane potential and in turn controlling insulin secretion. SUR1 is a member of the ATP-binding cassette (ABC) transporter family which contributes to its ability to influence cellular responses to changes in metabolic states.
Biological function summary

SUR1 binds with the Kir6.2 channel subunits to form functional K_ATP channel complexes. These channels respond to intracellular ATP and ADP levels providing a critical link between cellular energy metabolism and electric cell function. In pancreatic beta cells the opening and closing of these channels trigger the release of insulin in response to blood glucose levels. In the brain the channels modulate neuronal excitability and play a role in neuroprotection. The coupling with Kir6.2 emphasizes the role of the SUR1-Kir6.2 complex in many cellular processes.

Pathways

The K_ATP channels containing SUR1 participate in the insulin secretion pathway and the cellular response to hypoxia. The insulin secretion pathway is important for glucose homeostasis where SUR1 interacts with proteins like Kir6.2 directly linking glucose metabolism to insulin release. In the cellular response to hypoxia SUR1 influences neuronal survival by modifying cell membrane potential regulating excitability and managing cellular energy usage in low oxygen conditions. These pathways demonstrate the importance of SUR1 in maintaining energy balance within cells and across organs.

SUR1 has a significant role in conditions such as congenital hyperinsulinism and neonatal diabetes. Mutations in the SUR1 gene (ABCC8) can lead to deregulation of insulin secretion causing the overproduction of insulin seen in congenital hyperinsulinism. Similarly other mutations might result in impaired insulin release contributing to neonatal diabetes. Additionally SUR1 interacts with Kir6.2 during these disorders and this interaction becomes a target for therapeutic strategies aimed at either activating or inhibiting K_ATP channels as needed to restore balanced insulin levels.

Product protocols

For this product, it's our understanding that no specific protocols are required. You can visit:

Target data

Subunit of the beta-cell ATP-sensitive potassium channel (KATP). Regulator of ATP-sensitive K(+) channels and insulin release.
See full target information ABCC8

Product promise

We are committed to supporting your work with high-quality reagents, and we're here for you every step of the way. In the unlikely event that one of our products does not perform as expected, you're protected by our Product Promise.
For full details, please see our Terms & Conditions

Please note: All products are 'FOR RESEARCH USE ONLY. NOT FOR USE IN DIAGNOSTIC OR THERAPEUTIC PROCEDURES'.

For licensing inquiries, please contact partnerships@abcam.com