JavaScript is disabled in your browser. Please enable JavaScript to view this website.
AB133369

Anti-SURF4 antibody

Be the first to review this product! Submit a review

|

(2 Publications)

Rabbit Polyclonal SURF4 antibody. Suitable for IHC-P and reacts with Human samples. Cited in 2 publications. Immunogen corresponding to Synthetic Peptide within Human SURF4.

View Alternative Names

SURF-4, SURF4, Surfeit locus protein 4

2 Images
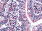
Immunohistochemistry (Formalin/PFA-fixed paraffin-embedded sections) - Anti-SURF4 antibody (AB133369)
  • IHC-P

Unknown

Immunohistochemistry (Formalin/PFA-fixed paraffin-embedded sections) - Anti-SURF4 antibody (AB133369)

ab133369, at 5 µg/ml, staining SURF4 in Formalin-fixed, Paraffin-embedded Human intestine tissue by Immunohistochemistry.

Immunohistochemistry (Formalin/PFA-fixed paraffin-embedded sections) - Anti-SURF4 antibody (AB133369)
  • IHC-P

Unknown

Immunohistochemistry (Formalin/PFA-fixed paraffin-embedded sections) - Anti-SURF4 antibody (AB133369)

ab133369, at 5 µg/ml, staining SURF4 in Formalin-fixed, Paraffin-embedded Human liver tissue by Immunohistochemistry.

Key facts

Host species

Rabbit

Clonality

Polyclonal

Isotype

IgG

Carrier free

No

Reacts with

Human

Applications

IHC-P

applications

Immunogen

Synthetic Peptide within Human SURF4. The exact immunogen used to generate this antibody is proprietary information.

O15260

Specificity

BLAST analysis of the peptide immunogen showed no homology with other human proteins.

Reactivity data

{ "title": "Reactivity Data", "filters": { "stats": ["", "Species", "Dilution Info", "Notes"], "tabs": { "all-applications": {"fullname" : "All Applications", "shortname": "All Applications"}, "IHCP" : {"fullname" : "Immunohistochemistry (Formalin/PFA-fixed paraffin-embedded sections)", "shortname":"IHC-P"} }, "product-promise": { "all": "all", "testedAndGuaranteed": "tested", "guaranteed": "expected", "predicted": "predicted", "notRecommended": "not-recommended" } }, "values": { "Human": { "IHCP-species-checked": "testedAndGuaranteed", "IHCP-species-dilution-info": "5 µg/mL", "IHCP-species-notes": "<p></p> Perform heat-mediated antigen retrieval with citrate buffer pH 6 before commencing with IHC staining protocol." }, "Mouse": { "IHCP-species-checked": "predicted", "IHCP-species-dilution-info": "", "IHCP-species-notes": "" }, "Rat": { "IHCP-species-checked": "predicted", "IHCP-species-dilution-info": "", "IHCP-species-notes": "" }, "Cow": { "IHCP-species-checked": "predicted", "IHCP-species-dilution-info": "", "IHCP-species-notes": "" }, "Gorilla": { "IHCP-species-checked": "predicted", "IHCP-species-dilution-info": "", "IHCP-species-notes": "" }, "Monkey": { "IHCP-species-checked": "predicted", "IHCP-species-dilution-info": "", "IHCP-species-notes": "" }, "Opossum": { "IHCP-species-checked": "predicted", "IHCP-species-dilution-info": "", "IHCP-species-notes": "" }, "Orangutan": { "IHCP-species-checked": "predicted", "IHCP-species-dilution-info": "", "IHCP-species-notes": "" } } }

Properties and storage information

Form
Liquid
Purification technique
Affinity purification Immunogen
Storage buffer
pH: 7.4 Preservative: 0.1% Sodium azide Constituents: PBS
Shipped at conditions
Blue Ice
Appropriate short-term storage conditions
+4°C
Appropriate long-term storage conditions
-80°C
Aliquoting information
Upon delivery aliquot
Storage information
Avoid freeze / thaw cycle

Supplementary information

This supplementary information is collated from multiple sources and compiled automatically.

SURF4 also known as Surfeit locus protein 4 is a membrane protein with a molecular mass of approximately 30 kDa. It functions mechanically as part of the endoplasmic reticulum membrane and plays a role in protein transport. SURF4 facilitates the movement of specific proteins between the endoplasmic reticulum and the Golgi apparatus. This protein exhibits broad expression being present in various tissues including liver and kidney.
Biological function summary

The functions of SURF4 integrate into cellular processes through its involvement in protein secretion and sorting pathways. SURF4 participates as part of a complex that mediates the trafficking of glycoproteins which are essential for numerous cellular activities. The protein assists in the maintenance of quality control within the secretory pathway and ensures that proteins reach their correct destinations which is critical for proper cell function.

Pathways

SURF4 engages actively in processes related to protein transport and glycoprotein trafficking. It participates in the secretory pathway ensuring efficient delivery of proteins to the Golgi apparatus. The protein relates closely to other endoplasmic reticulum proteins like EMC1 which is involved in the coordinated movement and processing of proteins within the cell. SURF4's role intertwines with these components influencing cellular homeostasis and protein synthesis.

SURF4 interlinks with health issues involving protein misfolding and secretion defects. Mutations or dysregulation can lead to conditions like congenital disorders of glycosylation characterized by defects in glycoprotein synthesis and processing. Dysregulation of SURF4 activity may also impact hepatic steatosis as SURF4 is implicated in lipid metabolism. The interaction with proteins like SEC61 which aids in protein translocation highlights its importance in maintaining cellular balance and reducing disease risk.

Product protocols

For this product, it's our understanding that no specific protocols are required. You can visit:

Target data

Endoplasmic reticulum cargo receptor that mediates the export of lipoproteins by recruiting cargos into COPII vesicles to facilitate their secretion (PubMed : 29643117, PubMed : 30251625, PubMed : 33186557). Acts as a cargo receptor for lipoproteins bearing both APOB and APOA1, thereby regulating lipoprotein delivery and the maintenance of lipid homeostasis (PubMed : 29643117, PubMed : 33186557). Synergizes with the GTPase SAR1B to mediate transport of circulating lipoproteins (PubMed : 33186557). Promotes the secretion of PCSK9 (PubMed : 30251625). Also mediates the efficient secretion of erythropoietin (EPO) (PubMed : 32989016). May also play a role in the maintenance of the architecture of the endoplasmic reticulum-Golgi intermediate compartment and of the Golgi (PubMed : 18287528).
See full target information SURF4

Publications (2)

Recent publications for all applications. Explore the full list and refine your search

Aging 14:9317-9337 PubMed36446386

2022

High SURF4 expression is associated with poor prognosis of breast cancer.

Applications

Unspecified application

Species

Unspecified reactive species

Jingtong Zhai,Jiashu Han,Cong Li,Fengzhu Guo,Fei Ma,Binghe Xu

Oncotarget 8:70854-70864 PubMed29050326

2017

Different effection of p.1125Val>Ala and rs11954856 in APC on Wnt signaling pathway.

Applications

Unspecified application

Species

Unspecified reactive species

Fei-Feng Li,Zhi-Xun Zhao,Peng Yan,Song Wang,Zheng Liu,Qiong Zhang,Xiao-Ning Zhang,Chang-Hao Sun,Xi-Shan Wang,Gui-Yu Wang,Shu-Lin Liu
View all publications

Product promise

We are committed to supporting your work with high-quality reagents, and we're here for you every step of the way. In the unlikely event that one of our products does not perform as expected, you're protected by our Product Promise.
For full details, please see our Terms & Conditions

Please note: All products are 'FOR RESEARCH USE ONLY. NOT FOR USE IN DIAGNOSTIC OR THERAPEUTIC PROCEDURES'.

For licensing inquiries, please contact partnerships@abcam.com